JavaScript is disabled in your browser. Please enable JavaScript to view this website.
AB121831

Anti-SAMD12 antibody

Be the first to review this product! Submit a review

|

(2 Publications)

Rabbit Polyclonal SAMD12 antibody. Suitable for IHC-P, WB, ICC/IF and reacts with Human samples. Cited in 2 publications. Immunogen corresponding to Recombinant Fragment Protein within Human Sterile alpha motif domain-containing protein 12 aa 1-150.

View Alternative Names

Sterile alpha motif domain-containing protein 12, SAM domain-containing protein 12, SAMD12

6 Images
Immunohistochemistry (Formalin/PFA-fixed paraffin-embedded sections) - Anti-SAMD12 antibody (AB121831)
  • IHC-P

Supplier Data

Immunohistochemistry (Formalin/PFA-fixed paraffin-embedded sections) - Anti-SAMD12 antibody (AB121831)

Immunohistochemical analysis of human pancreas tissue labelling SAMD12 using ab121831 at a 1/200 dilution. Cytoplasmic staining observed in human islets of Langerhans.

Immunohistochemistry (Formalin/PFA-fixed paraffin-embedded sections) - Anti-SAMD12 antibody (AB121831)
  • IHC-P

Supplier Data

Immunohistochemistry (Formalin/PFA-fixed paraffin-embedded sections) - Anti-SAMD12 antibody (AB121831)

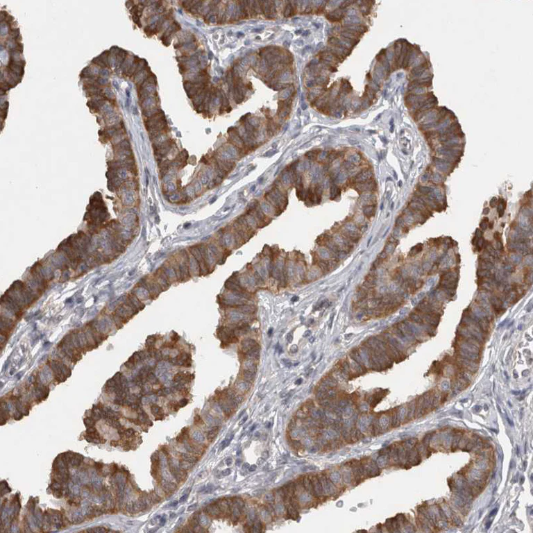
Immunohistochemical analysis of human fallopian tube tissue labelling SAMD12 using ab121831 at a 1/200 dilution. Cytoplasmic staining observed in human glandular cells.

Immunocytochemistry/ Immunofluorescence - Anti-SAMD12 antibody (AB121831)
  • ICC/IF

Unknown

Immunocytochemistry/ Immunofluorescence - Anti-SAMD12 antibody (AB121831)

Immunofluorescent staining of Human cell line U-251MG shows positivity in cytoplasm and golgi apparatus. Recommended concentration of ab121831 1-4 µg/ml. Cells treated with PFA/Triton X-100.

Immunohistochemistry (Formalin/PFA-fixed paraffin-embedded sections) - Anti-SAMD12 antibody (AB121831)
  • IHC-P

Supplier Data

Immunohistochemistry (Formalin/PFA-fixed paraffin-embedded sections) - Anti-SAMD12 antibody (AB121831)

Immunohistochemical analysis of human cerebral cortex tissue labelling SAMD12 using ab121831 at a 1/200 dilution. Cytoplasmic staining observed in human neuronal cells.

Immunohistochemistry (Formalin/PFA-fixed paraffin-embedded sections) - Anti-SAMD12 antibody (AB121831)
  • IHC-P

Supplier Data

Immunohistochemistry (Formalin/PFA-fixed paraffin-embedded sections) - Anti-SAMD12 antibody (AB121831)

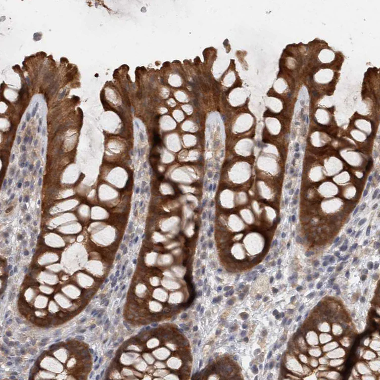
Immunohistochemical analysis of human colon tissue labelling SAMD12 using ab121831 at a 1/200 dilution. Cytoplasmic staining observed in human glandular cells.

Western blot - Anti-SAMD12 antibody (AB121831)
  • WB

Unknown

Western blot - Anti-SAMD12 antibody (AB121831)

All lanes:

Western blot - Anti-SAMD12 antibody (ab121831) at 1/250 dilution

Lane 1:

Negative control (vector only transfected HEK293T lysate)

Lane 2:

Over expression Lysate (co-expressed with a C terminal myc-DDK tag (~3.1 kDa) in mammalian HEK293T cells)

Predicted band size: 23 kDa

false

Key facts

Host species

Rabbit

Clonality

Polyclonal

Isotype

IgG

Carrier free

No

Reacts with

Human

Applications

IHC-P, ICC/IF, WB

applications

Immunogen

Recombinant Fragment Protein within Human Sterile alpha motif domain-containing protein 12 aa 1-150. The exact immunogen used to generate this antibody is proprietary information.

Q8N8I0

Reactivity data

{ "title": "Reactivity Data", "filters": { "stats": ["", "Species", "Dilution Info", "Notes"], "tabs": { "all-applications": {"fullname" : "All Applications", "shortname": "All Applications"}, "IHCP" : {"fullname" : "Immunohistochemistry (Formalin/PFA-fixed paraffin-embedded sections)", "shortname":"IHC-P"}, "WB" : {"fullname" : "Western blot", "shortname":"WB"}, "ICCIF" : {"fullname" : "Immunocytochemistry/ Immunofluorescence", "shortname":"ICC/IF"} }, "product-promise": { "all": "all", "testedAndGuaranteed": "tested", "guaranteed": "expected", "predicted": "predicted", "notRecommended": "not-recommended" } }, "values": { "Human": { "IHCP-species-checked": "testedAndGuaranteed", "IHCP-species-dilution-info": "1/50 - 1/200", "IHCP-species-notes": "<p></p> Perform heat-mediated antigen retrieval with citrate buffer pH 6 before commencing with IHC staining protocol.", "WB-species-checked": "testedAndGuaranteed", "WB-species-dilution-info": "0.04-0.4 µg/mL", "WB-species-notes": "<p></p>", "ICCIF-species-checked": "testedAndGuaranteed", "ICCIF-species-dilution-info": "0.25-2 µg/mL", "ICCIF-species-notes": "<p></p>" } } }

Properties and storage information

Form
Liquid
Purification technique
Affinity purification Immunogen
Storage buffer
pH: 7.2 Preservative: 0.02% Sodium azide Constituents: PBS, 40% Glycerol (glycerin, glycerine)
Shipped at conditions
Blue Ice
Appropriate short-term storage conditions
+4°C
Appropriate long-term storage conditions
-20°C
Aliquoting information
Upon delivery aliquot
Storage information
Avoid freeze / thaw cycle

Supplementary information

This supplementary information is collated from multiple sources and compiled automatically.

SAMD12 short for Sterile Alpha Motif Domain Containing 12 has a mechanical role in cellular processes and protein interactions. It is a protein with a mass of approximately 105 kDa. SAMD12 expression occurs broadly across human tissues with higher presence noted in the brain and testis. This protein belongs to the family of proteins containing sterile alpha motifs which are known for their involvement in protein-protein interactions.
Biological function summary

SAMD12 functions as a mediator in cellular signaling and communication. It participates in processes that regulate gene expression and cellular structure contributing to neuronal development and maintenance. Although SAMD12 is not part of a large complex it interacts with diverse proteins that aid in stabilizing cellular architecture and signaling networks.

Pathways

SAMD12 has significant interactions within the cellular signaling and development domains. It plays roles in the Wnt signaling pathway and neurodevelopmental pathways. SAMD12 interacts with proteins such as beta-catenin in the Wnt pathway influencing cellular proliferation and differentiation. Through these pathways SAMD12 connects to various proteins that coordinate cellular growth and structural integrity.

SAMD12 has associations with neurodegenerative disorders and certain cancers. In neurological contexts abnormal SAMD12 expression links to conditions like hereditary spastic paraplegia where it may interact with proteins like SPAST affecting neuronal function. SAMD12's involvement in cancers relates to its role in cellular signaling pathways that regulate cell growth and division suggesting its influence in tumorigenesis processes.

Product protocols

For this product, it's our understanding that no specific protocols are required. You can visit:

Publications (2)

Recent publications for all applications. Explore the full list and refine your search

PLoS pathogens 21:e1012467 PubMed40198713

2025

A targeted CRISPR screen identifies ETS1 as a regulator of HIV-1 latency.

Applications

Unspecified application

Species

Unspecified reactive species

Manickam Ashokkumar,Terry L Hafer,Abby Felton,Nancie M Archin,David M Margolis,Michael Emerman,Edward P Browne

Cancer discovery 13:332-347 PubMed36259929

2022

A Dynamic rRNA Ribomethylome Drives Stemness in Acute Myeloid Leukemia.

Applications

Unspecified application

Species

Unspecified reactive species

Fengbiao Zhou,Nesrine Aroua,Yi Liu,Christian Rohde,Jingdong Cheng,Anna-Katharina Wirth,Daria Fijalkowska,Stefanie Göllner,Michelle Lotze,Haiyang Yun,Xiaobing Yu,Caroline Pabst,Tim Sauer,Thomas Oellerich,Hubert Serve,Christoph Röllig,Martin Bornhäuser,Christian Thiede,Claudia Baldus,Michaela Frye,Simon Raffel,Jeroen Krijgsveld,Irmela Jeremias,Roland Beckmann,Andreas Trumpp,Carsten Müller-Tidow
View all publications

Product promise

We are committed to supporting your work with high-quality reagents, and we're here for you every step of the way. In the unlikely event that one of our products does not perform as expected, you're protected by our Product Promise.
For full details, please see our Terms & Conditions

Please note: All products are 'FOR RESEARCH USE ONLY. NOT FOR USE IN DIAGNOSTIC OR THERAPEUTIC PROCEDURES'.

For licensing inquiries, please contact partnerships@abcam.com