JavaScript is disabled in your browser. Please enable JavaScript to view this website.
AB254693

Anti-SAMD4A antibody

Be the first to review this product! Submit a review

|

(1 Publication)

Rabbit Polyclonal SAMD4A antibody. Suitable for IHC-P, ICC/IF and reacts with Human samples. Cited in 1 publication. Immunogen corresponding to Recombinant Fragment Protein within Human SAMD4A aa 550-650.

View Alternative Names

KIAA1053, SAMD4, SMAUG1, SAMD4A, Protein Smaug homolog 1, Smaug 1, hSmaug1, Sterile alpha motif domain-containing protein 4A, SAM domain-containing protein 4A

2 Images
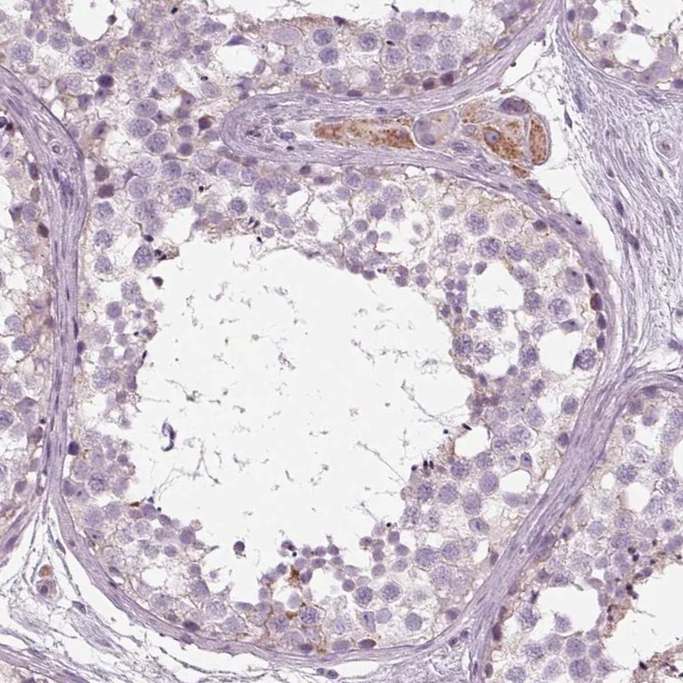
Immunohistochemistry (Formalin/PFA-fixed paraffin-embedded sections) - Anti-SAMD4A antibody (AB254693)
  • IHC-P

Unknown

Immunohistochemistry (Formalin/PFA-fixed paraffin-embedded sections) - Anti-SAMD4A antibody (AB254693)

Paraffin-embedded human testis tissue stained for SAMD4A using ab254693 at 1/2500 dilution in immunohistochemical analysis.

Immunocytochemistry/ Immunofluorescence - Anti-SAMD4A antibody (AB254693)
  • ICC/IF

Unknown

Immunocytochemistry/ Immunofluorescence - Anti-SAMD4A antibody (AB254693)

PFA fixed, Triton X-100 permeabilized CACO-2 (Human colorectal adenocarcinoma cell line) cells labeling SAMD4A using ab254693 at 4µg/ml (green) in ICC/IF.

Key facts

Host species

Rabbit

Clonality

Polyclonal

Isotype

IgG

Carrier free

No

Reacts with

Human

Applications

ICC/IF, IHC-P

applications

Immunogen

Recombinant Fragment Protein within Human SAMD4A aa 550-650. The exact immunogen used to generate this antibody is proprietary information.

Q9UPU9

Reactivity data

{ "title": "Reactivity Data", "filters": { "stats": ["", "Species", "Dilution Info", "Notes"], "tabs": { "all-applications": {"fullname" : "All Applications", "shortname": "All Applications"}, "IHCP" : {"fullname" : "Immunohistochemistry (Formalin/PFA-fixed paraffin-embedded sections)", "shortname":"IHC-P"}, "ICCIF" : {"fullname" : "Immunocytochemistry/ Immunofluorescence", "shortname":"ICC/IF"} }, "product-promise": { "all": "all", "testedAndGuaranteed": "tested", "guaranteed": "expected", "predicted": "predicted", "notRecommended": "not-recommended" } }, "values": { "Human": { "IHCP-species-checked": "testedAndGuaranteed", "IHCP-species-dilution-info": "1/2500 - 1/5000", "IHCP-species-notes": "<p></p> Perform heat-mediated antigen retrieval with citrate buffer pH 6 before commencing with IHC staining protocol.", "ICCIF-species-checked": "testedAndGuaranteed", "ICCIF-species-dilution-info": "0.25-2 µg/mL", "ICCIF-species-notes": "<p>Fixation/Permeabilization: PFA/Triton X-100.</p>" } } }

Properties and storage information

Form
Liquid
Purification technique
Affinity purification Immunogen
Storage buffer
pH: 7.2 Preservative: 0.02% Sodium azide Constituents: PBS, 40% Glycerol (glycerin, glycerine)
Shipped at conditions
Blue Ice
Appropriate short-term storage duration
1-2 weeks
Appropriate short-term storage conditions
+4°C
Appropriate long-term storage conditions
-20°C
Aliquoting information
Upon delivery aliquot
Storage information
Avoid freeze / thaw cycle

Supplementary information

This supplementary information is collated from multiple sources and compiled automatically.

SAMD4A also known as Smaug1 is a regulatory protein involved in mRNA turnover. This protein has an approximate mass of around 109 kDa. You can find SAMD4A expression in various tissues notably in the brain heart and skeletal muscle. It acts by binding to specific mRNA targets controlling their stability and translation. The presence of SAMD4A impacts how these target messages are processed indicating its role in post-transcriptional regulation.
Biological function summary

The function of SAMD4A in mRNA regulation plays an important role in cellular homeostasis. It interacts with components of the cellular machinery involved in mRNA decay and translation repression. Although it often functions independently SAMD4A can also be part of larger protein complexes involved in mRNA processing and degradation. Through these interactions it helps ensure that mRNA levels within cells remain balanced contributing to normal cellular function and development.

Pathways

SAMD4A is integrated within the mRNA surveillance and decay pathways. It directly impacts the nonsense-mediated mRNA decay (NMD) pathway a quality control system that identifies and degrades faulty mRNAs. SAMD4A's interaction with proteins such as UPF1 plays a significant role in this process. Additionally it can influence the translational repression pathway which regulates protein synthesis by controlling mRNA availability.

SAMD4A connects closely with neurological conditions and muscle-related diseases. Alterations in its expression or function have been linked to neuronal disorders like autism spectrum disorders. In muscle dysregulation of SAMD4A is associated with muscular dystrophy. Its partnership with proteins such as FMR1 in neurons and muscle fibers indicates its involvement in maintaining normal neurodevelopment and muscle function.

Product protocols

For this product, it's our understanding that no specific protocols are required. You can visit:

Target data

Acts as a translational repressor of SRE-containing messengers.
See full target information SAMD4A

Publications (1)

Recent publications for all applications. Explore the full list and refine your search

Aging cell 23:e14320 PubMed39158018

2024

Single-cell RNA sequencing reveals the CRTAC1 population actively contributes to the pathogenesis of spinal ligament degeneration by SPP1 macrophage.

Applications

Unspecified application

Species

Unspecified reactive species

Yulong Tang,Dachun Zhuo,Yuexin Yu,Weilin Pu,Yanyun Ma,Yuting Zhang,Yan Huang,Qing Zhang,Kunhai Tang,Chen Meng,Di Yang,Lu Bai,Dongyi He,Li Jin,Hejian Zou,Huji Xu,Qi Zhu,Jiucun Wang,Yuanyuan Chen,Jing Liu
View all publications

Product promise

We are committed to supporting your work with high-quality reagents, and we're here for you every step of the way. In the unlikely event that one of our products does not perform as expected, you're protected by our Product Promise.
For full details, please see our Terms & Conditions

Please note: All products are 'FOR RESEARCH USE ONLY. NOT FOR USE IN DIAGNOSTIC OR THERAPEUTIC PROCEDURES'.

For licensing inquiries, please contact partnerships@abcam.com