JavaScript is disabled in your browser. Please enable JavaScript to view this website.
AB133709

Anti-SAMM50/SAM50 antibody [EPR8718]

5

(1 Review)

|

(6 Publications)

Rabbit Recombinant Monoclonal SAMM50/SAM50 antibody. Suitable for IHC-P, WB and reacts with Human, Mouse, Rat samples. Cited in 6 publications.

View Alternative Names

SAM50, CGI-51, TRG3, SAMM50, Sorting and assembly machinery component 50 homolog, Transformation-related gene 3 protein, TRG-3

4 Images
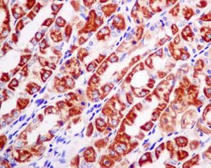
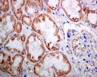
Immunohistochemistry (Formalin/PFA-fixed paraffin-embedded sections) - Anti-SAMM50/SAM50 antibody [EPR8718] (AB133709)
  • IHC-P

Unknown

Immunohistochemistry (Formalin/PFA-fixed paraffin-embedded sections) - Anti-SAMM50/SAM50 antibody [EPR8718] (AB133709)

ab133709 at 1/50 dilution staining SAMM50/SAM50 in paraffin embedded Human kidney tissue using immunohistochemical analysis.

Perform heat mediated antigen retrieval with citrate buffer pH 6 before commencing with IHC staining protocol.

Immunohistochemistry (Formalin/PFA-fixed paraffin-embedded sections) - Anti-SAMM50/SAM50 antibody [EPR8718] (AB133709)
  • IHC-P

Unknown

Immunohistochemistry (Formalin/PFA-fixed paraffin-embedded sections) - Anti-SAMM50/SAM50 antibody [EPR8718] (AB133709)

ab133709 at 1/50 dilution staining SAMM50/SAM50 in paraffin embedded Human ovarian carcinoma tissue using immunohistochemical analysis.

Perform heat mediated antigen retrieval with citrate buffer pH 6 before commencing with IHC staining protocol.

Western blot - Anti-SAMM50/SAM50 antibody [EPR8718] (AB133709)
  • WB

Unknown

Western blot - Anti-SAMM50/SAM50 antibody [EPR8718] (AB133709)

All lanes:

Western blot - Anti-SAMM50/SAM50 antibody [EPR8718] (ab133709) at 1/1000 dilution

Lane 1:

Human fetal heart tissue lysate at 10 µg

Lane 2:

A431 cell lysate at 10 µg

Lane 3:

HeLa cell lysate at 10 µg

Lane 4:

HepG2 cell lysate at 10 µg

Secondary

All lanes:

Goat anti-rabbit HRP conjugated at 1/2000 dilution

Predicted band size: 52 kDa

false

OI-RD Scanning - Anti-SAMM50/SAM50 antibody [EPR8718] (AB133709)
  • OI-RD Scanning

Unknown

OI-RD Scanning - Anti-SAMM50/SAM50 antibody [EPR8718] (AB133709)

We have systematically measured KD (the equilibrium dissociation constant between the antibody and its antigen), of more than 840 recombinant antibodies to assess not only their individual KD values but also to see the average affinity of antibody. Based on the comparison with published literature values for mouse monoclonal antibodies, Recombinant antibodies appear to be on average 1-2 order of magnitude higher affinity.

  • Carrier free

    Anti-SAMM50/SAM50 antibody [EPR8718] - BSA and Azide free

Key facts

Host species

Rabbit

Clonality

Monoclonal

Clone number

EPR8718

Isotype

IgG

Carrier free

No

Reacts with

Human

Applications

WB, IHC-P

applications

Immunogen

The exact immunogen used to generate this antibody is proprietary information.

Reactivity data

{ "title": "Reactivity Data", "filters": { "stats": ["", "Species", "Dilution Info", "Notes"], "tabs": { "all-applications": {"fullname" : "All Applications", "shortname": "All Applications"}, "IHCP" : {"fullname" : "Immunohistochemistry (Formalin/PFA-fixed paraffin-embedded sections)", "shortname":"IHC-P"}, "ICCIF" : {"fullname" : "Immunocytochemistry/ Immunofluorescence", "shortname":"ICC/IF"}, "IP" : {"fullname" : "Immunoprecipitation", "shortname":"IP"}, "WB" : {"fullname" : "Western blot", "shortname":"WB"} }, "product-promise": { "all": "all", "testedAndGuaranteed": "tested", "guaranteed": "expected", "predicted": "predicted", "notRecommended": "not-recommended" } }, "values": { "Human": { "IHCP-species-checked": "testedAndGuaranteed", "IHCP-species-dilution-info": "1/50 - 1/100", "IHCP-species-notes": "<p>Perform antigen retrieval before commencing with IHC staining protocol</p>", "ICCIF-species-checked": "notRecommended", "ICCIF-species-dilution-info": "", "ICCIF-species-notes": "<p></p>", "IP-species-checked": "notRecommended", "IP-species-dilution-info": "", "IP-species-notes": "<p></p>", "WB-species-checked": "testedAndGuaranteed", "WB-species-dilution-info": "1/1000 - 1/10000", "WB-species-notes": "<p></p>" }, "Mouse": { "IHCP-species-checked": "predicted", "IHCP-species-dilution-info": "", "IHCP-species-notes": "", "ICCIF-species-checked": "notRecommended", "ICCIF-species-dilution-info": "", "ICCIF-species-notes": "", "IP-species-checked": "notRecommended", "IP-species-dilution-info": "", "IP-species-notes": "", "WB-species-checked": "guaranteed", "WB-species-dilution-info": "", "WB-species-notes": "<p></p>" }, "Rat": { "IHCP-species-checked": "predicted", "IHCP-species-dilution-info": "", "IHCP-species-notes": "", "ICCIF-species-checked": "notRecommended", "ICCIF-species-dilution-info": "", "ICCIF-species-notes": "", "IP-species-checked": "notRecommended", "IP-species-dilution-info": "", "IP-species-notes": "", "WB-species-checked": "guaranteed", "WB-species-dilution-info": "", "WB-species-notes": "<p></p>" } } }

Product details

Patented technology
Our RabMAb® technology is a patented hybridoma-based technology for making rabbit monoclonal antibodies. For details on our patents, please refer to RabMAb® patents.

What are the advantages of a recombinant monoclonal antibody?
This product is a recombinant monoclonal antibody, which offers several advantages including:

  • - High batch-to-batch consistency and reproducibility
  • - Improved sensitivity and specificity
  • - Long-term security of supply
  • - Animal-free batch production

For more information, read more on recombinant antibodies.

Properties and storage information

Form
Liquid
Purification technique
Affinity purification Protein A
Storage buffer
pH: 7.2 - 7.4 Preservative: 0.01% Sodium azide Constituents: PBS, 50% Tissue culture supernatant, 40% Glycerol (glycerin, glycerine), 0.05% BSA
Shipped at conditions
Blue Ice
Appropriate short-term storage conditions
+4°C
Appropriate long-term storage conditions
-20°C
Storage information
Stable for 12 months at -20°C

Supplementary information

This supplementary information is collated from multiple sources and compiled automatically.

SAMM50 also known as SAM50 is an important component in mitochondrial function. This protein is part of the sorting and assembly machinery (SAM) complex and is necessary for the insertion of β-barrel proteins into the mitochondrial outer membrane. SAMM50 has a molecular mass of approximately 50 kDa. It is predominantly expressed in tissues with high metabolic activity such as the liver and skeletal muscle where mitochondrial function is essential.
Biological function summary

SAMM50 functions as an integral part of the SAM complex which includes other essential subunits like SAM35 and SAM37. This complex facilitates the import and assembly of proteins into the mitochondrial outer membrane important for maintaining mitochondrial structure and function. By ensuring correct protein placement in the outer membrane SAMM50 supports mitochondrial membrane integrity and energy production processes.

Pathways

SAMM50 is involved in essential cellular pathways like mitochondrial protein import and metabolism. SAMM50 interacts with proteins such as TOM40 a component of the translocase of the outer membrane complex which assists in protein transport into mitochondrial compartments. These pathways contribute to the overall cellular energy balance and metabolic regulation reflecting the importance of SAMM50 in maintaining cellular homeostasis.

Alterations in SAMM50 expression or function relate to conditions like mitochondrial myopathy and liver disease. These disorders are linked to defective mitochondrial function due to improper protein import and assembly. SAMM50's interaction with other mitochondrial proteins such as TIM23 complex components influences these conditions by impacting the efficiency and functionality of mitochondrial protein import and assembly processes.

Product protocols

For this product, it's our understanding that no specific protocols are required. You can visit:

Target data

Plays a crucial role in the maintenance of the structure of mitochondrial cristae and the proper assembly of the mitochondrial respiratory chain complexes (PubMed : 22252321, PubMed : 25781180). Required for the assembly of TOMM40 into the TOM complex (PubMed : 15644312).
See full target information SAMM50

Publications (6)

Recent publications for all applications. Explore the full list and refine your search

Frontiers in cardiovascular medicine 8:748156 PubMed34631840

2021

Samm50 Promotes Hypertrophy by Regulating Pink1-Dependent Mitophagy Signaling in Neonatal Cardiomyocytes.

Applications

Unspecified application

Species

Unspecified reactive species

Ran Xu,Le Kang,Siang Wei,Chunjie Yang,Yuanfeng Fu,Zhiwen Ding,Yunzeng Zou

FEBS open bio 11:1893-1906 PubMed33728819

2021

The role of SAMM50 in non-alcoholic fatty liver disease: from genetics to mechanisms.

Applications

Unspecified application

Species

Unspecified reactive species

Zuyin Li,Weixing Shen,Gang Wu,Changjiang Qin,Yijie Zhang,Yupeng Wang,Guohe Song,Chao Xiao,Xin Zhang,Guilong Deng,Ruitao Wang,Xiaoliang Wang

Nature communications 11:4589 PubMed32917887

2020

Loss of MTX2 causes mandibuloacral dysplasia and links mitochondrial dysfunction to altered nuclear morphology.

Applications

Unspecified application

Species

Unspecified reactive species

Sahar Elouej,Karim Harhouri,Morgane Le Mao,Genevieve Baujat,Sheela Nampoothiri,Hϋlya Kayserili,Nihal Al Menabawy,Laila Selim,Arianne Llamos Paneque,Christian Kubisch,Davor Lessel,Robert Rubinsztajn,Chayki Charar,Catherine Bartoli,Coraline Airault,Jean-François Deleuze,Agnes Rötig,Peter Bauer,Catarina Pereira,Abigail Loh,Nathalie Escande-Beillard,Antoine Muchir,Lisa Martino,Yosef Gruenbaum,Song-Hua Lee,Philippe Manivet,Guy Lenaers,Bruno Reversade,Nicolas Lévy,Annachiara De Sandre-Giovannoli

EMBO reports 20:e47728 PubMed31602805

2019

Parkin-mediated ubiquitylation redistributes MITOL/March5 from mitochondria to peroxisomes.

Applications

Unspecified application

Species

Unspecified reactive species

Fumika Koyano,Koji Yamano,Hidetaka Kosako,Yoko Kimura,Mayumi Kimura,Yukio Fujiki,Keiji Tanaka,Noriyuki Matsuda

Molecular cell 68:786-796.e6 PubMed29149599

2017

Autophagosomal Content Profiling Reveals an LC3C-Dependent Piecemeal Mitophagy Pathway.

Applications

Unspecified application

Species

Unspecified reactive species

François Le Guerroué,Franziska Eck,Jennifer Jung,Tatjana Starzetz,Michel Mittelbronn,Manuel Kaulich,Christian Behrends

Scientific reports 5:16064 PubMed26530328

2015

Mitofilin and CHCHD6 physically interact with Sam50 to sustain cristae structure.

Applications

Unspecified application

Species

Unspecified reactive species

Chengli Ding,Zhifei Wu,Lei Huang,Yajie Wang,Jie Xue,Si Chen,Zixin Deng,Lianrong Wang,Zhiyin Song,Shi Chen
View all publications

Product promise

We are committed to supporting your work with high-quality reagents, and we're here for you every step of the way. In the unlikely event that one of our products does not perform as expected, you're protected by our Product Promise.
For full details, please see our Terms & Conditions

Please note: All products are 'FOR RESEARCH USE ONLY. NOT FOR USE IN DIAGNOSTIC OR THERAPEUTIC PROCEDURES'.

For licensing inquiries, please contact partnerships@abcam.com