JavaScript is disabled in your browser. Please enable JavaScript to view this website.
AB248626

Anti-SAMM50/SAM50 antibody [EPR8718] - BSA and Azide free

Be the first to review this product! Submit a review

|

(1 Publication)

Rabbit Recombinant Monoclonal SAMM50/SAM50 antibody. Carrier free. Suitable for IHC-P, WB and reacts with Human, Mouse, Rat samples. Cited in 1 publication.

View Alternative Names

SAM50, CGI-51, TRG3, SAMM50, Sorting and assembly machinery component 50 homolog, Transformation-related gene 3 protein, TRG-3

4 Images
Immunohistochemistry (Formalin/PFA-fixed paraffin-embedded sections) - Anti-SAMM50/SAM50 antibody [EPR8718] - BSA and Azide free (AB248626)
  • IHC-P

Unknown

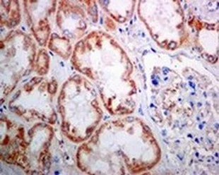
Immunohistochemistry (Formalin/PFA-fixed paraffin-embedded sections) - Anti-SAMM50/SAM50 antibody [EPR8718] - BSA and Azide free (AB248626)

This data was developed using ab133709, the same antibody clone in a different buffer formulation.

ab133709, at 1/50 dilution, staining SAMM50/SAM50 in paraffin embedded Human kidney tissue using immunohistochemical analysis.

Perform heat mediated antigen retrieval with citrate buffer pH 6 before commencing with IHC staining protocol.

Immunohistochemistry (Formalin/PFA-fixed paraffin-embedded sections) - Anti-SAMM50/SAM50 antibody [EPR8718] - BSA and Azide free (AB248626)
  • IHC-P

Unknown

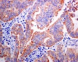
Immunohistochemistry (Formalin/PFA-fixed paraffin-embedded sections) - Anti-SAMM50/SAM50 antibody [EPR8718] - BSA and Azide free (AB248626)

This data was developed using ab133709, the same antibody clone in a different buffer formulation.

ab133709, at 1/50 dilution, staining SAMM50/SAM50 in paraffin embedded Human ovarian carcinoma tissue using immunohistochemical analysis.

Perform heat mediated antigen retrieval with citrate buffer pH 6 before commencing with IHC staining protocol.

Western blot - Anti-SAMM50/SAM50 antibody [EPR8718] - BSA and Azide free (AB248626)
  • WB

Unknown

Western blot - Anti-SAMM50/SAM50 antibody [EPR8718] - BSA and Azide free (AB248626)

This data was developed using ab133709, the same antibody clone in a different buffer formulation.

All lanes:

Western blot - Anti-SAMM50/SAM50 antibody [EPR8718] (<a href='/en-us/products/primary-antibodies/samm50-sam50-antibody-epr8718-ab133709'>ab133709</a>) at 1/1000 dilution

Lane 1:

Human fetal heart tissue lysate at 10 µg

Lane 2:

A431 cell lysate at 10 µg

Lane 3:

HeLa cell lysate at 10 µg

Lane 4:

HepG2 cell lysate at 10 µg

Secondary

All lanes:

Goat anti-rabbit HRP conjugated at 1/2000 dilution

Predicted band size: 52 kDa

false

OI-RD Scanning - Anti-SAMM50/SAM50 antibody [EPR8718] - BSA and Azide free (AB248626)
  • OI-RD Scanning

Unknown

OI-RD Scanning - Anti-SAMM50/SAM50 antibody [EPR8718] - BSA and Azide free (AB248626)

We have systematically measured KD (the equilibrium dissociation constant between the antibody and its antigen), of more than 840 recombinant antibodies to assess not only their individual KD values but also to see the average affinity of antibody. Based on the comparison with published literature values for mouse monoclonal antibodies, Recombinant antibodies appear to be on average 1-2 order of magnitude higher affinity.

Key facts

Host species

Rabbit

Clonality

Monoclonal

Clone number

EPR8718

Isotype

IgG

Carrier free

Yes

Reacts with

Human

Applications

WB, IHC-P

applications

Immunogen

The exact immunogen used to generate this antibody is proprietary information.

Reactivity data

{ "title": "Reactivity Data", "filters": { "stats": ["", "Species", "Dilution Info", "Notes"], "tabs": { "all-applications": {"fullname" : "All Applications", "shortname": "All Applications"}, "IHCP" : {"fullname" : "Immunohistochemistry (Formalin/PFA-fixed paraffin-embedded sections)", "shortname":"IHC-P"}, "ICCIF" : {"fullname" : "Immunocytochemistry/ Immunofluorescence", "shortname":"ICC/IF"}, "IP" : {"fullname" : "Immunoprecipitation", "shortname":"IP"}, "WB" : {"fullname" : "Western blot", "shortname":"WB"} }, "product-promise": { "all": "all", "testedAndGuaranteed": "tested", "guaranteed": "expected", "predicted": "predicted", "notRecommended": "not-recommended" } }, "values": { "Human": { "IHCP-species-checked": "testedAndGuaranteed", "IHCP-species-dilution-info": "", "IHCP-species-notes": "<p>Perform antigen retrieval before commencing with IHC staining protocol.</p>", "ICCIF-species-checked": "notRecommended", "ICCIF-species-dilution-info": "", "ICCIF-species-notes": "<p></p>", "IP-species-checked": "notRecommended", "IP-species-dilution-info": "", "IP-species-notes": "<p></p>", "WB-species-checked": "testedAndGuaranteed", "WB-species-dilution-info": "", "WB-species-notes": "<p></p>" }, "Mouse": { "IHCP-species-checked": "predicted", "IHCP-species-dilution-info": "", "IHCP-species-notes": "", "ICCIF-species-checked": "notRecommended", "ICCIF-species-dilution-info": "", "ICCIF-species-notes": "", "IP-species-checked": "notRecommended", "IP-species-dilution-info": "", "IP-species-notes": "", "WB-species-checked": "guaranteed", "WB-species-dilution-info": "", "WB-species-notes": "<p></p>" }, "Rat": { "IHCP-species-checked": "predicted", "IHCP-species-dilution-info": "", "IHCP-species-notes": "", "ICCIF-species-checked": "notRecommended", "ICCIF-species-dilution-info": "", "ICCIF-species-notes": "", "IP-species-checked": "notRecommended", "IP-species-dilution-info": "", "IP-species-notes": "", "WB-species-checked": "guaranteed", "WB-species-dilution-info": "", "WB-species-notes": "<p></p>" } } }

Product details

ab248626 is the carrier-free version of ab133709.

Patented technology
Our RabMAb® technology is a patented hybridoma-based technology for making rabbit monoclonal antibodies. For details on our patents, please refer to RabMAb® patents.

What are the advantages of a recombinant monoclonal antibody?
This product is a recombinant monoclonal antibody, which offers several advantages including:

  • - High batch-to-batch consistency and reproducibility
  • - Improved sensitivity and specificity
  • - Long-term security of supply
  • - Animal-free batch production

For more information, read more on recombinant antibodies.

Conjugation ready
Our carrier-free antibodies are typically supplied in a PBS-only formulation, purified and free of BSA, sodium azide and glycerol. This conjugation-ready format is designed for use with fluorochromes, metal isotopes, oligonucleotides, and enzymes, which makes them ideal for antibody labelling, functional and cell-based assays, flow-based assays (e.g. mass cytometry) and Multiplex Imaging applications.

Use our conjugation kits for antibody conjugates that are ready-to-use in as little as 20 minutes with 1 minute hands-on-time and 100% antibody recovery: available for fluorescent dyes, HRP, biotin and gold.

Compatibility
This product is compatible with the Maxpar® Antibody Labeling Kit from Fluidigm, without the need for antibody preparation. Maxpar® is a trademark of Fluidigm Canada Inc.

Properties and storage information

Form
Liquid
Purification technique
Affinity purification Protein A
Storage buffer
pH: 7.2 - 7.4 Constituents: PBS
Shipped at conditions
Blue Ice
Appropriate short-term storage conditions
+4°C
Appropriate long-term storage conditions
+4°C
Storage information
Do Not Freeze

Supplementary information

This supplementary information is collated from multiple sources and compiled automatically.

SAMM50 also known as SAM50 is an important component in mitochondrial function. This protein is part of the sorting and assembly machinery (SAM) complex and is necessary for the insertion of β-barrel proteins into the mitochondrial outer membrane. SAMM50 has a molecular mass of approximately 50 kDa. It is predominantly expressed in tissues with high metabolic activity such as the liver and skeletal muscle where mitochondrial function is essential.
Biological function summary

SAMM50 functions as an integral part of the SAM complex which includes other essential subunits like SAM35 and SAM37. This complex facilitates the import and assembly of proteins into the mitochondrial outer membrane important for maintaining mitochondrial structure and function. By ensuring correct protein placement in the outer membrane SAMM50 supports mitochondrial membrane integrity and energy production processes.

Pathways

SAMM50 is involved in essential cellular pathways like mitochondrial protein import and metabolism. SAMM50 interacts with proteins such as TOM40 a component of the translocase of the outer membrane complex which assists in protein transport into mitochondrial compartments. These pathways contribute to the overall cellular energy balance and metabolic regulation reflecting the importance of SAMM50 in maintaining cellular homeostasis.

Alterations in SAMM50 expression or function relate to conditions like mitochondrial myopathy and liver disease. These disorders are linked to defective mitochondrial function due to improper protein import and assembly. SAMM50's interaction with other mitochondrial proteins such as TIM23 complex components influences these conditions by impacting the efficiency and functionality of mitochondrial protein import and assembly processes.

Product protocols

For this product, it's our understanding that no specific protocols are required. You can visit:

Target data

Plays a crucial role in the maintenance of the structure of mitochondrial cristae and the proper assembly of the mitochondrial respiratory chain complexes (PubMed : 22252321, PubMed : 25781180). Required for the assembly of TOMM40 into the TOM complex (PubMed : 15644312).
See full target information SAMM50

Publications (1)

Recent publications for all applications. Explore the full list and refine your search

Immunity, inflammation and disease 10:e727 PubMed36301031

2022

Forkhead box M1 recruits FoxP3 Treg cells to induce immune escape in hilar cholangiocarcinoma.

Applications

Unspecified application

Species

Unspecified reactive species

Kai Ma,Zhaowei Sun,Xueliang Li,Jingyun Guo,Qinlei Wang,Mujian Teng
View all publications

Product promise

We are committed to supporting your work with high-quality reagents, and we're here for you every step of the way. In the unlikely event that one of our products does not perform as expected, you're protected by our Product Promise.
For full details, please see our Terms & Conditions

Please note: All products are 'FOR RESEARCH USE ONLY. NOT FOR USE IN DIAGNOSTIC OR THERAPEUTIC PROCEDURES'.

For licensing inquiries, please contact partnerships@abcam.com