JavaScript is disabled in your browser. Please enable JavaScript to view this website.
AB316858

Anti-SAP102 antibody [EPR28704-52]

  • BOND RX™ Validated
  • 20ul selling size
  • Recombinant
  • RabMAb
  • What is this?

Be the first to review this product! Submit a review

|

(0 Publication)

Rabbit Recombinant Monoclonal SAP102 antibody. Suitable for Dot, WB, IHC-P, IHC-Fr, ICC/IF, Flow Cyt (Intra) and reacts with Recombinant fragment - Mouse, Human, Mouse, Rat samples.

View Alternative Names

Dlgh3, Dlg3, Disks large homolog 3, Synapse-associated protein 102, SAP-102, SAP102

18 Images
Flow Cytometry (Intracellular) - Anti-SAP102 antibody [EPR28704-52] (AB316858)
  • Flow Cyt (Intra)

Supplier Data

Flow Cytometry (Intracellular) - Anti-SAP102 antibody [EPR28704-52] (AB316858)

Flow cytometric analysis of 4% paraformaldehyde fixed 90% methanol permeabilized Rat primary neuron cells labelling SAP102 with ab316858 at 1/500 dilution (0.1ug)/ Right compared with a Rabbit monoclonal IgG (ab172730) / Left isotype control.

Goat Anti-Rabbit IgG (Alexa Fluor® 488, ab150081) at 1/5000 dilution was used as the secondary antibody.

Immunohistochemistry (Formalin/PFA-fixed paraffin-embedded sections) - Anti-SAP102 antibody [EPR28704-52] (AB316858)
  • IHC-P

Supplier Data

Immunohistochemistry (Formalin/PFA-fixed paraffin-embedded sections) - Anti-SAP102 antibody [EPR28704-52] (AB316858)

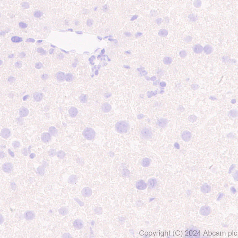
Immunohistochemical analysis of paraffin-embedded Rat liver tissue labeling SAP102 with ab316858 at 1/100 (4.98 ug/ml) dilution, followed by a ready to use LeicaDS9800 (Bond™ Polymer Refine Detection).

Negative control : No staining on rat liver.
The section was incubated with ab316858 for 30 mins at room temperature.
The immunostaining was performed on a Leica Biosystems BOND® RX instrument

Counterstained with Hematoxylin.

Secondary antibody only control : Secondary antibody is a ready to use LeicaDS9800 (Bond™ Polymer Refine Detection).

Heat mediated antigen retrieval was performed with Tris-EDTA buffer (pH 9.0, Epitope Retrieval Solution2) for 20 mins

Immunohistochemistry (Formalin/PFA-fixed paraffin-embedded sections) - Anti-SAP102 antibody [EPR28704-52] (AB316858)
  • IHC-P

Supplier Data

Immunohistochemistry (Formalin/PFA-fixed paraffin-embedded sections) - Anti-SAP102 antibody [EPR28704-52] (AB316858)

Immunohistochemical analysis of paraffin-embedded Mouse liver tissue labeling SAP102 with ab316858 at 1/100 (4.98 ug/ml) dilution, followed by a ready to use LeicaDS9800 (Bond™ Polymer Refine Detection).

Negative control : No staining on mouse liver.
The section was incubated with ab316858 for 30 mins at room temperature.
The immunostaining was performed on a Leica Biosystems BOND® RX instrument

Counterstained with Hematoxylin.

Secondary antibody only control : Secondary antibody is a ready to use LeicaDS9800 (Bond™ Polymer Refine Detection).

Heat mediated antigen retrieval was performed with Tris-EDTA buffer (pH 9.0, Epitope Retrieval Solution2) for 20 mins

Immunohistochemistry (Formalin/PFA-fixed paraffin-embedded sections) - Anti-SAP102 antibody [EPR28704-52] (AB316858)
  • IHC-P

Supplier Data

Immunohistochemistry (Formalin/PFA-fixed paraffin-embedded sections) - Anti-SAP102 antibody [EPR28704-52] (AB316858)

Immunohistochemical analysis of paraffin-embedded Mouse skeletal muscle tissue labeling SAP102 with ab316858 at 1/100 (4.98 ug/ml) dilution, followed by a ready to use LeicaDS9800 (Bond™ Polymer Refine Detection).

Negative control : No staining on mouse skeletal muscle.
The section was incubated with ab316858 for 30 mins at room temperature.
The immunostaining was performed on a Leica Biosystems BOND® RX instrument

Counterstained with Hematoxylin.

Secondary antibody only control : Secondary antibody is a ready to use LeicaDS9800 (Bond™ Polymer Refine Detection).

Heat mediated antigen retrieval was performed with Tris-EDTA buffer (pH 9.0, Epitope Retrieval Solution2) for 20 mins

Immunohistochemistry (Formalin/PFA-fixed paraffin-embedded sections) - Anti-SAP102 antibody [EPR28704-52] (AB316858)
  • IHC-P

Supplier Data

Immunohistochemistry (Formalin/PFA-fixed paraffin-embedded sections) - Anti-SAP102 antibody [EPR28704-52] (AB316858)

Immunohistochemical analysis of paraffin-embedded Rat skeletal muscle tissue labeling SAP102 with ab316858 at 1/100 (4.98 ug/ml) dilution, followed by a ready to use LeicaDS9800 (Bond™ Polymer Refine Detection).

Negative control : No staining on rat skeletal muscle.
The section was incubated with ab316858 for 30 mins at room temperature.
The immunostaining was performed on a Leica Biosystems BOND® RX instrument

Counterstained with Hematoxylin.

Secondary antibody only control : Secondary antibody is a ready to use LeicaDS9800 (Bond™ Polymer Refine Detection).

Heat mediated antigen retrieval was performed with Tris-EDTA buffer (pH 9.0, Epitope Retrieval Solution2) for 20 mins

Immunohistochemistry (Frozen sections) - Anti-SAP102 antibody [EPR28704-52] (AB316858)
  • IHC-Fr

Supplier Data

Immunohistochemistry (Frozen sections) - Anti-SAP102 antibody [EPR28704-52] (AB316858)

Immunohistochemical analysis of 4% PFA-fixed, 0.2% Triton X-100 permeabilized frozen Mouse skeletal muscle (fresh frozen) tissue labeling SAP102 with ab316858 at 1/500 (0.996 ug/ml) dilution followed by ab150081 Goat Anti-Rabbit IgG H&L (Alexa Fluor® 488) preadsorbed at 1/1000 (2 ug/mL) dilution (Green).

Negative control : confocal image showing no staining on mouse skeletal muscle. The nuclear counterstain was DAPI (Blue). The section was incubated with ab316858 for 60 mins at room temperature. The section was then mounted using Fluoromount®.The immunostaining was performed on a Leica Biosystems BOND® RX instrument. Image was taken with a confocal microscope (Leica-Microsystems, TCS SP8).

Secondary antibody control : Secondary antibody is ab150081 Goat Anti-Rabbit IgG H&L (Alexa Fluor® 488) preadsorbedat 1/1000 (2 ug/mL) dilution.

Immunohistochemistry (Frozen sections) - Anti-SAP102 antibody [EPR28704-52] (AB316858)
  • IHC-Fr

Supplier Data

Immunohistochemistry (Frozen sections) - Anti-SAP102 antibody [EPR28704-52] (AB316858)

Immunohistochemical analysis of 4% PFA-fixed, 0.2% Triton X-100 permeabilized frozen Rat skeletal muscle (fresh frozen) tissue labeling SAP102 with ab316858 at 1/500 (0.996 ug/ml) dilution followed by ab150081 Goat Anti-Rabbit IgG H&L (Alexa Fluor® 488) preadsorbed at 1/1000 (2 ug/mL) dilution (Green).

Negative control : confocal image showing no staining on rat skeletal muscle. The nuclear counterstain was DAPI (Blue). The section was incubated with ab316858 for 60 mins at room temperature. The section was then mounted using Fluoromount®.The immunostaining was performed on a Leica Biosystems BOND® RX instrument. Image was taken with a confocal microscope (Leica-Microsystems, TCS SP8).

Secondary antibody control : Secondary antibody is ab150081 Goat Anti-Rabbit IgG H&L (Alexa Fluor® 488) preadsorbedat 1/1000 (2 ug/mL) dilution.

Immunohistochemistry (Formalin/PFA-fixed paraffin-embedded sections) - Anti-SAP102 antibody [EPR28704-52] (AB316858)
  • IHC-P

Supplier Data

Immunohistochemistry (Formalin/PFA-fixed paraffin-embedded sections) - Anti-SAP102 antibody [EPR28704-52] (AB316858)

Immunohistochemical analysis of paraffin-embedded Mouse hippocampus tissue labeling SAP102 with ab316858 at 1/100 (4.98 ug/ml) dilution, followed by a ready to use LeicaDS9800 (Bond™ Polymer Refine Detection).

Positive staining on mouse hippocampus.
The section was incubated with ab316858 for 30 mins at room temperature.
The immunostaining was performed on a Leica Biosystems BOND® RX instrument

Counterstained with Hematoxylin.

Secondary antibody only control : Secondary antibody is a ready to use LeicaDS9800 (Bond™ Polymer Refine Detection).

Heat mediated antigen retrieval was performed with Tris-EDTA buffer (pH 9.0, Epitope Retrieval Solution2) for 20 mins

Immunohistochemistry (Formalin/PFA-fixed paraffin-embedded sections) - Anti-SAP102 antibody [EPR28704-52] (AB316858)
  • IHC-P

Supplier Data

Immunohistochemistry (Formalin/PFA-fixed paraffin-embedded sections) - Anti-SAP102 antibody [EPR28704-52] (AB316858)

Immunohistochemical analysis of paraffin-embedded Mouse brain cortex tissue labeling SAP102 with ab316858 at 1/100 (4.98 ug/ml) dilution, followed by a ready to use LeicaDS9800 (Bond™ Polymer Refine Detection).

Positive staining on mouse brain cortex.
The section was incubated with ab316858 for 30 mins at room temperature.
The immunostaining was performed on a Leica Biosystems BOND® RX instrument

Counterstained with Hematoxylin.

Secondary antibody only control : Secondary antibody is a ready to use LeicaDS9800 (Bond™ Polymer Refine Detection).

Heat mediated antigen retrieval was performed with Tris-EDTA buffer (pH 9.0, Epitope Retrieval Solution2) for 20 mins

Immunohistochemistry (Formalin/PFA-fixed paraffin-embedded sections) - Anti-SAP102 antibody [EPR28704-52] (AB316858)
  • IHC-P

Supplier Data

Immunohistochemistry (Formalin/PFA-fixed paraffin-embedded sections) - Anti-SAP102 antibody [EPR28704-52] (AB316858)

Immunohistochemical analysis of paraffin-embedded Rat hippocampus tissue labeling SAP102 with ab316858 at 1/100 (4.98 ug/ml) dilution, followed by a ready to use LeicaDS9800 (Bond™ Polymer Refine Detection).

Positive staining on rat hippocampus (PMID : 8780649).
The section was incubated with ab316858 for 30 mins at room temperature.
The immunostaining was performed on a Leica Biosystems BOND® RX instrument

Counterstained with Hematoxylin.

Secondary antibody only control : Secondary antibody is a ready to use LeicaDS9800 (Bond™ Polymer Refine Detection).

Heat mediated antigen retrieval was performed with Tris-EDTA buffer (pH 9.0, Epitope Retrieval Solution2) for 20 mins

Immunocytochemistry/ Immunofluorescence - Anti-SAP102 antibody [EPR28704-52] (AB316858)
  • ICC/IF

Supplier Data

Immunocytochemistry/ Immunofluorescence - Anti-SAP102 antibody [EPR28704-52] (AB316858)

Immunofluorescent analysis of 4% Paraformaldehyde-fixed, 0.1% TritonX-100 permeabilized rat primary neuron cells labelling SAP102 with ab316858 at 1/50 (9.96 ug/ml) dilution, followed by ab150081 Goat Anti-Rabbit IgG H&L (Alexa Fluor® 488) preadsorbed antibody at 1/1000 (2 ug/ml) dilution (Green).

Confocal image showing cytoplasmic staining in rat primary neuron.
Confocal scanning Z step was set as 0.3 μm followed by image processing with maximum Z projection.
Image was taken with a confocal microscope(Leica-Microsystems, TCS SP8).

ab11267 Anti-MAP2 mouse monoclonal antibody was used to counterstain at 1/500 (4ug/ml) dilution (Magenta). The Nuclear counterstain was DAPI (Blue).

Secondary antibody only control : Secondary antibody is ab150081 Goat Anti-Rabbit IgG H&L (Alexa Fluor® 488) preadsorbed at 1/1000 (2 ug/ml) dilution.

Immunohistochemistry (Frozen sections) - Anti-SAP102 antibody [EPR28704-52] (AB316858)
  • IHC-Fr

Supplier Data

Immunohistochemistry (Frozen sections) - Anti-SAP102 antibody [EPR28704-52] (AB316858)

Immunohistochemical analysis of 4% PFA-fixed, 0.2% Triton X-100 permeabilized frozen Rat hippocmapus (fresh frozen) tissue labeling SAP102 with ab316858 at 1/500 (0.996 ug/ml) dilution followed by ab150081 Goat Anti-Rabbit IgG H&L (Alexa Fluor® 488) preadsorbed at 1/1000 (2 ug/mL) dilution (Green).

Panel A : merged staining of anti-SAP102 (ab316858, green), anti-NeuN (ab190565, grey) and anti-GFAP (ab201732, magenta) on rat hippocampus.
Panel B : anti-SAP102 stained on rat hippocampus.
Panel C : anti-NeuN stained in neurons of rat hippocampus.
Panel D : anti-GFAP stained in astrocytes of rat hippocampus.
The nuclear counterstain was DAPI (Blue). The section was incubated with ab316858 for 60 mins at room temperature. The section was then mounted using Fluoromount®.The immunostaining was performed on a Leica Biosystems BOND® RX instrument. Image was taken with a confocal microscope (Leica-Microsystems, TCS SP8).

Secondary antibody control : Secondary antibody is ab150081 Goat Anti-Rabbit IgG H&L (Alexa Fluor® 488) preadsorbedat 1/1000 (2 ug/mL) dilution.

Immunohistochemistry (Frozen sections) - Anti-SAP102 antibody [EPR28704-52] (AB316858)
  • IHC-Fr

Supplier Data

Immunohistochemistry (Frozen sections) - Anti-SAP102 antibody [EPR28704-52] (AB316858)

Immunohistochemical analysis of 4% PFA-fixed, 0.2% Triton X-100 permeabilized frozen Mouse hippocmapus (fresh frozen) tissue labeling SAP102 with ab316858 at 1/500 (0.996 ug/ml) dilution followed by ab150081 Goat Anti-Rabbit IgG H&L (Alexa Fluor® 488) preadsorbed at 1/1000 (2 ug/mL) dilution (Green).

Panel A : merged staining of anti-SAP102 (ab316858, green), anti-NeuN (ab190565, grey) and anti-GFAP (ab201732, magenta) on mouse hippocampus.
Panel B : anti-SAP102 stained on mouse hippocampus.
Panel C : anti-NeuN stained in neurons of mouse hippocampus.
Panel D : anti-GFAP stained in astrocytes of mouse hippocampus.
The nuclear counterstain was DAPI (Blue). The section was incubated with ab316858 for 60 mins at room temperature. The section was then mounted using Fluoromount®.The immunostaining was performed on a Leica Biosystems BOND® RX instrument. Image was taken with a confocal microscope (Leica-Microsystems, TCS SP8).

Secondary antibody control : Secondary antibody is ab150081 Goat Anti-Rabbit IgG H&L (Alexa Fluor® 488) preadsorbedat 1/1000 (2 ug/mL) dilution.

Immunocytochemistry/ Immunofluorescence - Anti-SAP102 antibody [EPR28704-52] (AB316858)
  • ICC/IF

Supplier Data

Immunocytochemistry/ Immunofluorescence - Anti-SAP102 antibody [EPR28704-52] (AB316858)

Immunofluorescent analysis of 4% Paraformaldehyde-fixed, 0.1% TritonX-100 permeabilized mouse primary neuron cells labelling SAP102 with ab316858 at 1/50 (9.96 ug/ml) dilution, followed by ab150081 Goat Anti-Rabbit IgG H&L (Alexa Fluor® 488) preadsorbed antibody at 1/1000 (2 ug/ml) dilution (Green).

Confocal image showing cytoplasmic staining in mouse primary neuron.
Confocal scanning Z step was set as 0.3 μm followed by image processing with maximum Z projection.
Image was taken with a confocal microscope(Leica-Microsystems, TCS SP8).

ab11267 Anti-MAP2 mouse monoclonal antibody was used to counterstain at 1/500 (4ug/ml) dilution (Magenta). The Nuclear counterstain was DAPI (Blue).

Secondary antibody only control : Secondary antibody is ab150081 Goat Anti-Rabbit IgG H&L (Alexa Fluor® 488) preadsorbed at 1/1000 (2 ug/ml) dilution.

Flow Cytometry (Intracellular) - Anti-SAP102 antibody [EPR28704-52] (AB316858)
  • Flow Cyt (Intra)

Supplier Data

Flow Cytometry (Intracellular) - Anti-SAP102 antibody [EPR28704-52] (AB316858)

Flow cytometric analysis of 4% paraformaldehyde fixed 90% methanol permeabilized Mouse primary neuron cells labelling SAP102 with ab316858 at 1/500 dilution (0.1ug)/ Right compared with a Rabbit monoclonal IgG (ab172730) / Left isotype control.

Goat Anti-Rabbit IgG (Alexa Fluor® 488, ab150081) at 1/5000 dilution was used as the secondary antibody.

Western blot - Anti-SAP102 antibody [EPR28704-52] (AB316858)
  • WB

Supplier Data

Western blot - Anti-SAP102 antibody [EPR28704-52] (AB316858)

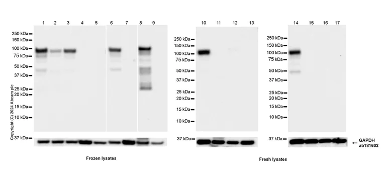
Negative control : skeletal muscle (PMID : 8780649), heart (PMID : 8780649), liver (PMID : 8780649), spleen, testis.

In lanes 1-9, the lysate was stored at -80℃ prior to Western Blotting. The bands beneath the target band (100 kDa) are likey to be degradation products. In lanes 10-17, the lysates were freshly made and used for Western Blotting immediately to minimize protein degradation.

Lanes 1-7, 10-17 are applied with Goat Anti-Rabbit IgG, (H+L), Peroxidase conjugated (ab97051) at 1/100000 and lanes 8-9 are applied with Goat Anti-Rabbit IgG (HRP) with minimal cross-reactivity with human IgG at 1/2000.

In Western blot, Anti-GAPDH antibody [EPR16891] - Loading Control (ab181602) staining at 1/200000 dilution.

All lanes:

Western blot - Anti-SAP102 antibody [EPR28704-52] (ab316858) at 1/1000 dilution

Lane 1:

Mouse hippocampus tissue lysate at 20 µg with 5% NFDM/TBST

Lane 2:

Mouse cerebellum tissue lysate at 20 µg with 5% NFDM/TBST

Lane 3:

Mouse brain tissue lysate at 20 µg with 5% NFDM/TBST

Lane 4:

Mouse skeletal muscle tissue lysate at 20 µg with 5% NFDM/TBST

Lane 5:

Mouse heart tissue lysate at 20 µg with 5% NFDM/TBST

Lane 6:

Rat brain tissue lysate at 20 µg with 5% NFDM/TBST

Lane 7:

Rat skeletal muscle tissue lysate at 20 µg with 5% NFDM/TBST

Lane 8:

Human brain tissue lysate at 20 µg with 5% NFDM/TBST

Lane 9:

Human liver tissue lysate at 20 µg with 5% NFDM/TBST

Lane 10:

mouse brain tissue lysate at 20 µg with 5% NFDM/TBST

Lane 11:

mouse liver tissue lysate at 20 µg with 5% NFDM/TBST

Lane 12:

mouse testis tissue lysate at 20 µg with 5% NFDM/TBST

Lane 13:

mouse spleen tissue lysate at 20 µg with 5% NFDM/TBST

Lane 14:

rat brain tissue lysate at 20 µg with 5% NFDM/TBST

Lane 15:

rat liver tissue lysate at 20 µg with 5% NFDM/TBST

Lane 16:

rat testis tissue lysate at 20 µg with 5% NFDM/TBST

Lane 17:

rat spleen tissue lysate at 20 µg with 5% NFDM/TBST

Secondary

Lanes 1, 2, 3, 4, 5, 6, 7, 10, 11, 12, 13, 14, 15, 16 and 17:

Western blot - Goat Anti-Rabbit IgG H&L (HRP) (<a href='/en-us/products/secondary-antibodies/goat-rabbit-igg-h-l-hrp-ab97051'>ab97051</a>) at 1/100000 dilution

Lanes 8 - 9:

Goat Anti-Rabbit IgG (HRP) with minimal cross-reactivity with human IgG at 1/2000 dilution

Observed band size: 100 kDa,36 kDa

false

Exposure time: 8s

Western blot - Anti-SAP102 antibody [EPR28704-52] (AB316858)
  • WB

Supplier Data

Western blot - Anti-SAP102 antibody [EPR28704-52] (AB316858)

Lysates were freshly made and used for Western blotting immediately to minimize protein degradation.

In Western blot, Anti-GAPDH antibody [EPR16891] - Loading Control (ab181602) staining at 1/200000 dilution.

All lanes:

Western blot - Anti-SAP102 antibody [EPR28704-52] (ab316858) at 1/1000 dilution

Lane 1:

Neuro-2a (mouse neuroblastoma neuroblast) whole cell lysate at 20 µg with 5% NFDM/TBST

Lane 2:

U-87 MG (human glioblastoma-astrocytoma epithelial cell) whole cell lysate at 20 µg with 5% NFDM/TBST

Lane 3:

SH-SY5Y (human neuroblastoma epithelial cell) whole cell lysate at 20 µg with 5% NFDM/TBST

Secondary

All lanes:

Western blot - Goat Anti-Rabbit IgG H&L (HRP) (<a href='/en-us/products/secondary-antibodies/goat-rabbit-igg-h-l-hrp-ab97051'>ab97051</a>) at 1/100000 dilution

Observed band size: 100 kDa,36 kDa

false

Exposure time: 180s

Dot Blot - Anti-SAP102 antibody [EPR28704-52] (AB316858)
  • Dot

Supplier Data

Dot Blot - Anti-SAP102 antibody [EPR28704-52] (AB316858)

Dot blot analysis of SAP102 using ab316858 at 1 : 1000 (0.498 ug/ml) followed by a Goat Anti-Rabbit IgG, (H+L), Peroxidase conjugated (ab97051) at 1 : 100,000 dilution.

Lane 1 : His-tagged mouse SAP102 fragment
Lane 2 : His-tagged mouse SAP97 fragment
Lane 3 : His-tagged mouse PSD93 fragment
Lane 4 : His-tagged mouse PSD95 fragment

This antibody does not cross-react with mouse SAP97, PSD93 and PSD95.

All lanes:

Dot Blot - Anti-SAP102 antibody [EPR28704-52] (ab316858) at 1/1000 dilution

Lane 1:

His-tagged mouse SAP102 fragment

Lane 2:

His-tagged mouse SAP97 fragment

Lane 3:

His-tagged mouse PSD93 fragment

Lane 4:

His-tagged mouse PSD95 fragment

Secondary

All lanes:

Dot Blot - Goat Anti-Rabbit IgG H&L (HRP) (<a href='/en-us/products/secondary-antibodies/goat-rabbit-igg-h-l-hrp-ab97051'>ab97051</a>) at 1/100000 dilution

false

Exposure time: 136s

  • Carrier free

    Anti-SAP102 antibody [EPR28704-52] - BSA and Azide free

  • 519 Alexa Fluor® 488

    Alexa Fluor® 488 Anti-SAP102 antibody [EPR28704-52]

Key facts

Host species

Rabbit

Clonality

Monoclonal

Clone number

EPR28704-52

Isotype

IgG

Carrier free

No

Reacts with

Human, Mouse, Rat

Applications

ICC/IF, Dot, Flow Cyt (Intra), IHC-P, WB, IHC-Fr

applications

Immunogen

The exact immunogen used to generate this antibody is proprietary information.

Specificity

Unsuitable for human IHC, human ICC and human FC.

Reactivity data

{ "title": "Reactivity Data", "filters": { "stats": ["", "Species", "Dilution Info", "Notes"], "tabs": { "all-applications": {"fullname" : "All Applications", "shortname": "All Applications"}, "Dot" : {"fullname" : "Dot Blot", "shortname":"Dot"}, "WB" : {"fullname" : "Western blot", "shortname":"WB"}, "IHCP" : {"fullname" : "Immunohistochemistry (Formalin/PFA-fixed paraffin-embedded sections)", "shortname":"IHC-P"}, "IHCFr" : {"fullname" : "Immunohistochemistry (Frozen sections)", "shortname":"IHC-Fr"}, "ICCIF" : {"fullname" : "Immunocytochemistry/ Immunofluorescence", "shortname":"ICC/IF"}, "FlowCytIntra" : {"fullname" : "Flow Cytometry (Intracellular)", "shortname":"Flow Cyt (Intra)"}, "IP" : {"fullname" : "Immunoprecipitation", "shortname":"IP"} }, "product-promise": { "all": "all", "testedAndGuaranteed": "tested", "guaranteed": "expected", "predicted": "predicted", "notRecommended": "not-recommended" } }, "values": { "Human": { "Dot-species-checked": "guaranteed", "Dot-species-dilution-info": "", "Dot-species-notes": "", "WB-species-checked": "testedAndGuaranteed", "WB-species-dilution-info": "1/1000", "WB-species-notes": "<p></p>", "IHCP-species-checked": "notRecommended", "IHCP-species-dilution-info": "", "IHCP-species-notes": "<p></p>", "IHCFr-species-checked": "guaranteed", "IHCFr-species-dilution-info": "", "IHCFr-species-notes": "", "ICCIF-species-checked": "notRecommended", "ICCIF-species-dilution-info": "", "ICCIF-species-notes": "<p></p>", "FlowCytIntra-species-checked": "notRecommended", "FlowCytIntra-species-dilution-info": "", "FlowCytIntra-species-notes": "<p></p>", "IP-species-checked": "notRecommended", "IP-species-dilution-info": "", "IP-species-notes": "" }, "Mouse": { "Dot-species-checked": "guaranteed", "Dot-species-dilution-info": "", "Dot-species-notes": "", "WB-species-checked": "testedAndGuaranteed", "WB-species-dilution-info": "1/1000", "WB-species-notes": "<p></p>", "IHCP-species-checked": "testedAndGuaranteed", "IHCP-species-dilution-info": "1/100", "IHCP-species-notes": "<p></p> Perform heat-mediated antigen retrieval with Tris/EDTA buffer pH 9.0 before commencing with IHC staining protocol.", "IHCFr-species-checked": "testedAndGuaranteed", "IHCFr-species-dilution-info": "1/500", "IHCFr-species-notes": "<p></p>", "ICCIF-species-checked": "testedAndGuaranteed", "ICCIF-species-dilution-info": "1/50", "ICCIF-species-notes": "<p></p>", "FlowCytIntra-species-checked": "testedAndGuaranteed", "FlowCytIntra-species-dilution-info": "1/500", "FlowCytIntra-species-notes": "<p></p>", "IP-species-checked": "notRecommended", "IP-species-dilution-info": "", "IP-species-notes": "<p></p>" }, "Rat": { "Dot-species-checked": "guaranteed", "Dot-species-dilution-info": "", "Dot-species-notes": "", "WB-species-checked": "testedAndGuaranteed", "WB-species-dilution-info": "1/1000", "WB-species-notes": "<p></p>", "IHCP-species-checked": "testedAndGuaranteed", "IHCP-species-dilution-info": "1/100", "IHCP-species-notes": "<p></p> Perform heat-mediated antigen retrieval with Tris/EDTA buffer pH 9.0 before commencing with IHC staining protocol.", "IHCFr-species-checked": "testedAndGuaranteed", "IHCFr-species-dilution-info": "1/500", "IHCFr-species-notes": "<p></p>", "ICCIF-species-checked": "testedAndGuaranteed", "ICCIF-species-dilution-info": "1/50", "ICCIF-species-notes": "<p></p>", "FlowCytIntra-species-checked": "testedAndGuaranteed", "FlowCytIntra-species-dilution-info": "1/500", "FlowCytIntra-species-notes": "<p></p>", "IP-species-checked": "notRecommended", "IP-species-dilution-info": "", "IP-species-notes": "" }, "Recombinant fragment - Mouse": { "Dot-species-checked": "testedAndGuaranteed", "Dot-species-dilution-info": "1/1000", "Dot-species-notes": "<p></p>", "WB-species-checked": "notRecommended", "WB-species-dilution-info": "", "WB-species-notes": "", "IHCP-species-checked": "notRecommended", "IHCP-species-dilution-info": "", "IHCP-species-notes": "", "IHCFr-species-checked": "notRecommended", "IHCFr-species-dilution-info": "", "IHCFr-species-notes": "", "ICCIF-species-checked": "notRecommended", "ICCIF-species-dilution-info": "", "ICCIF-species-notes": "", "FlowCytIntra-species-checked": "notRecommended", "FlowCytIntra-species-dilution-info": "", "FlowCytIntra-species-notes": "", "IP-species-checked": "notRecommended", "IP-species-dilution-info": "", "IP-species-notes": "" } } }

Product details

Patented technology
Our RabMAb® technology is a patented hybridoma-based technology for making rabbit monoclonal antibodies. For details on our patents, please refer to RabMAb® patents.

What are the advantages of a recombinant monoclonal antibody?
This product is a recombinant monoclonal antibody, which offers several advantages including:

  • - High batch-to-batch consistency and reproducibility
  • - Improved sensitivity and specificity
  • - Long-term security of supply
  • - Animal-free batch production

For more information, read more on recombinant antibodies.

Properties and storage information

Form
Liquid
Purification technique
Affinity purification Protein A
Storage buffer
pH: 7.2 - 7.4 Preservative: 0.01% Sodium azide Constituents: PBS, 40% Glycerol (glycerin, glycerine), 0.05% BSA
Shipped at conditions
Blue Ice
Appropriate short-term storage duration
1-2 weeks
Appropriate short-term storage conditions
+4°C
Appropriate long-term storage conditions
-20°C
Aliquoting information
Upon delivery aliquot
Storage information
Avoid freeze / thaw cycle

Supplementary information

This supplementary information is collated from multiple sources and compiled automatically.

SAP102 also known as DLG3 is a member of the membrane-associated guanylate kinase (MAGUK) protein family. This protein weighs approximately 97 kDa and is mainly expressed in the brain. SAP102 plays a significant role in signal transduction by organizing synaptic signaling complexes. It contains PDZ domains that facilitate protein-protein interactions and its expression in neuronal synapses is notable.
Biological function summary

The interaction between SAP102 and N-methyl-D-aspartate (NMDA) receptors has major implications in synapse development and plasticity. SAP102 forms part of the postsynaptic density (PSD) complex which contributes to synaptic organization and dynamics. This complex is essential for the correct functioning of synaptic signaling pathways influencing learning and memory processes.

Pathways

The regulation of synaptic plasticity and neurotransmitter release involves SAP102. In this context it plays a part in the NMDA receptor signaling pathway and the synaptic vesicle cycle. SAP102 is associated with proteins such as PSD95 and SAP97 which work together to modulate synaptic strength and communication.

Abnormalities in SAP102 function or expression have links to neurodevelopmental disorders like intellectual disability and autism spectrum disorder. Mutations in SAP102 and related proteins such as neuroligins or neurexins can disrupt synaptic communication leading to defective neural circuit formation. Understanding SAP102's role in these disorders offers insights into potential therapeutic approaches.

Product protocols

For this product, it's our understanding that no specific protocols are required. You can visit:

Target data

Required for learning most likely through its role in synaptic plasticity following NMDA receptor signaling.
See full target information Dlg3

Product promise

We are committed to supporting your work with high-quality reagents, and we're here for you every step of the way. In the unlikely event that one of our products does not perform as expected, you're protected by our Product Promise.
For full details, please see our Terms & Conditions

Please note: All products are 'FOR RESEARCH USE ONLY. NOT FOR USE IN DIAGNOSTIC OR THERAPEUTIC PROCEDURES'.

For licensing inquiries, please contact partnerships@abcam.com