JavaScript is disabled in your browser. Please enable JavaScript to view this website.
AB111739

Anti-SAP130 antibody

Be the first to review this product! Submit a review

|

(4 Publications)

Rabbit Polyclonal SAP130 antibody. Suitable for IHC-P, WB, ICC/IF and reacts with Human samples. Cited in 4 publications. Immunogen corresponding to Recombinant Fragment Protein within Human SAP130 aa 750 to C-terminus.

View Alternative Names

Histone deacetylase complex subunit SAP130, 130 kDa Sin3-associated polypeptide, Sin3-associated polypeptide p130, SAP130

3 Images
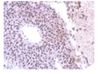
Immunohistochemistry (Formalin/PFA-fixed paraffin-embedded sections) - Anti-SAP130 antibody (AB111739)
  • IHC-P

Unknown

Immunohistochemistry (Formalin/PFA-fixed paraffin-embedded sections) - Anti-SAP130 antibody (AB111739)

Immunohistochemical analysis of SAP130 in paraffin embedded PC14 xenograft, using ab111739 at a 1/500 dilution.

Immunocytochemistry/ Immunofluorescence - Anti-SAP130 antibody (AB111739)
  • ICC/IF

Supplier Data

Immunocytochemistry/ Immunofluorescence - Anti-SAP130 antibody (AB111739)

Immunofluorescence analysis of SAP130 in paraformaldehyde-fixed MCF7, using ab111739 at a 1/500 dilution. Lower image was costained with Hoechst 33342.

Western blot - Anti-SAP130 antibody (AB111739)
  • WB

Unknown

Western blot - Anti-SAP130 antibody (AB111739)

7.5% SDS PAGE

All lanes:

Western blot - Anti-SAP130 antibody (ab111739) at 1/1000 dilution

All lanes:

MCF7 whole cell lysate at 30 µg

Predicted band size: 110 kDa

false

Key facts

Host species

Rabbit

Clonality

Polyclonal

Isotype

IgG

Carrier free

No

Reacts with

Human

Applications

ICC/IF, IHC-P, WB

applications

Immunogen

Recombinant Fragment Protein within Human SAP130 aa 750 to C-terminus. The exact immunogen used to generate this antibody is proprietary information.

Q9H0E3

Reactivity data

{ "title": "Reactivity Data", "filters": { "stats": ["", "Species", "Dilution Info", "Notes"], "tabs": { "all-applications": {"fullname" : "All Applications", "shortname": "All Applications"}, "IHCP" : {"fullname" : "Immunohistochemistry (Formalin/PFA-fixed paraffin-embedded sections)", "shortname":"IHC-P"}, "WB" : {"fullname" : "Western blot", "shortname":"WB"}, "ICCIF" : {"fullname" : "Immunocytochemistry/ Immunofluorescence", "shortname":"ICC/IF"} }, "product-promise": { "all": "all", "testedAndGuaranteed": "tested", "guaranteed": "expected", "predicted": "predicted", "notRecommended": "not-recommended" } }, "values": { "Human": { "IHCP-species-checked": "testedAndGuaranteed", "IHCP-species-dilution-info": "1/100 - 1/500", "IHCP-species-notes": "<p>(or Tris-EDTA buffer, pH 8.0).</p> Perform heat-mediated antigen retrieval with citrate buffer pH 6 before commencing with IHC staining protocol.", "WB-species-checked": "testedAndGuaranteed", "WB-species-dilution-info": "1/500 - 1/3000", "WB-species-notes": "<p></p>", "ICCIF-species-checked": "testedAndGuaranteed", "ICCIF-species-dilution-info": "1/100 - 1/500", "ICCIF-species-notes": "<p></p>" }, "Mouse": { "IHCP-species-checked": "predicted", "IHCP-species-dilution-info": "", "IHCP-species-notes": "", "WB-species-checked": "predicted", "WB-species-dilution-info": "", "WB-species-notes": "", "ICCIF-species-checked": "predicted", "ICCIF-species-dilution-info": "", "ICCIF-species-notes": "" }, "Chicken": { "IHCP-species-checked": "predicted", "IHCP-species-dilution-info": "", "IHCP-species-notes": "", "WB-species-checked": "predicted", "WB-species-dilution-info": "", "WB-species-notes": "", "ICCIF-species-checked": "predicted", "ICCIF-species-dilution-info": "", "ICCIF-species-notes": "" } } }

Properties and storage information

Form
Liquid
Purification technique
Affinity purification Immunogen
Storage buffer
pH: 7 Preservative: 0.01% Thimerosal (merthiolate) Constituents: PBS, 20% Glycerol (glycerin, glycerine), 1% BSA
Shipped at conditions
Blue Ice
Appropriate short-term storage conditions
+4°C
Appropriate long-term storage conditions
-20°C
Aliquoting information
Upon delivery aliquot
Storage information
Avoid freeze / thaw cycle

Supplementary information

This supplementary information is collated from multiple sources and compiled automatically.

SAP130 also known as SAP nuclear factor 130 kDa is a protein with a molecular mass of approximately 130 kDa. It is a component of the spliceosome a complex essential for pre-mRNA splicing. This protein can be found in the nucleus of cells throughout various human tissues. SAP130 serves as an integral part of the larger U2-type spliceosomal complex where it interacts with other proteins to facilitate accurate gene expression regulation.
Biological function summary

SAP130 participates in the assembly of the spliceosome where it plays a direct role in RNA processing events. As part of the U2 snRNP component of the spliceosome it binds with snRNP proteins to enable intron removal from pre-mRNA. The splicing process allows for diverse proteins to be produced from a single gene highlighting SAP130’s importance in genetic variation. This protein may also have indirect roles in cell cycle regulation due to its involvement in RNA maturation.

Pathways

SAP130 contributes to both the mRNA processing and cell cycle pathways. These pathways involve a network of interactions where SAP130 interfaces with proteins such as SF3B1 and PRPF8 which are also critical spliceosomal components. This involvement ensures proper cell cycle progression and gene expression regulation. Through its interactions SAP130 maintains genomic stability and allows correct cellular function during growth and replication phases.

Abnormal SAP130 function has connections with cancer and autoimmune conditions. A disruption in its activity could lead to incorrect RNA splicing which might result in the development of tumors. Additionally SAP130 has been associated with systemic lupus erythematosus where its presence may exacerbate inflammatory processes. During these conditions SAP130 can interact with pathogenic proteins such as calcineurin which shares roles in immune system modulation.

Product protocols

For this product, it's our understanding that no specific protocols are required. You can visit:

Target data

Acts as a transcriptional repressor. May function in the assembly and/or enzymatic activity of the mSin3A corepressor complex or in mediating interactions between the complex and other regulatory complexes.
See full target information SAP130

Publications (4)

Recent publications for all applications. Explore the full list and refine your search

American journal of human genetics 108:1813-1816 PubMed34626580

2021

The risks of using unapproved gene symbols.

Applications

Unspecified application

Species

Unspecified reactive species

Bryony Braschi,Ruth L Seal,Susan Tweedie,Tamsin E M Jones,Elspeth A Bruford

Cells 10: PubMed33800128

2021

Ambiguity about Splicing Factor 3b Subunit 3 (SF3B3) and Sin3A Associated Protein 130 (SAP130).

Applications

Unspecified application

Species

Unspecified reactive species

Paula I Metselaar,Celine Hos,Olaf Welting,Jos A Bosch,Aletta D Kraneveld,Wouter J de Jonge,Anje A Te Velde

Annals of translational medicine 8:986 PubMed32953786

2020

Spliceosome-associated protein 130: a novel biomarker for idiopathic pulmonary fibrosis.

Applications

Unspecified application

Species

Unspecified reactive species

Kaixiong Liu,Dong Liu,Yun Feng,Hongying Zhang,Dunhuan Zeng,Qinhua Liu,Jieming Qu

The EMBO journal 36:3532-3547 PubMed29074626

2017

Human THO-Sin3A interaction reveals new mechanisms to prevent R-loops that cause genome instability.

Applications

Unspecified application

Species

Unspecified reactive species

Irene Salas-Armenteros,Carmen Pérez-Calero,Aleix Bayona-Feliu,Emanuela Tumini,Rosa Luna,Andrés Aguilera
View all publications

Product promise

We are committed to supporting your work with high-quality reagents, and we're here for you every step of the way. In the unlikely event that one of our products does not perform as expected, you're protected by our Product Promise.
For full details, please see our Terms & Conditions

Please note: All products are 'FOR RESEARCH USE ONLY. NOT FOR USE IN DIAGNOSTIC OR THERAPEUTIC PROCEDURES'.

For licensing inquiries, please contact partnerships@abcam.com