JavaScript is disabled in your browser. Please enable JavaScript to view this website.
AB204320

Anti-SAP30BP antibody

Be the first to review this product! Submit a review

|

(1 Publication)

Rabbit Polyclonal SAP30BP antibody. Suitable for IHC-P, WB, ICC/IF and reacts with Human samples. Cited in 1 publication. Immunogen corresponding to Recombinant Fragment Protein within Human SAP30BP aa 50-200.

View Alternative Names

HCNGP, HTRG, HTRP, SAP30BP, SAP30-binding protein, Transcriptional regulator protein HCNGP

3 Images
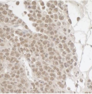
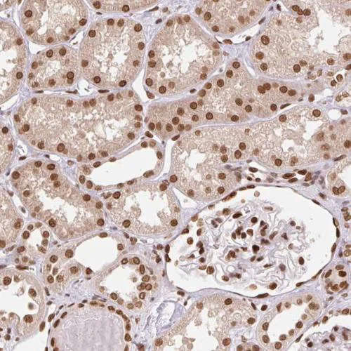
Immunohistochemistry (Formalin/PFA-fixed paraffin-embedded sections) - Anti-SAP30BP antibody (AB204320)
  • IHC-P

Supplier Data

Immunohistochemistry (Formalin/PFA-fixed paraffin-embedded sections) - Anti-SAP30BP antibody (AB204320)

Immunohistochemical analysis of paraffin-embedded Human kidney tissue, labeling SAP30BP with ab204320 at 1/200 dilution.

Immunocytochemistry/ Immunofluorescence - Anti-SAP30BP antibody (AB204320)
  • ICC/IF

Supplier Data

Immunocytochemistry/ Immunofluorescence - Anti-SAP30BP antibody (AB204320)

Immunofluorescent analysis of MCF7 cells (PFA-fixed/Triton X-100 permeabilized) labeling SAP30BP with ab204320 at 4 μg/ml.

Western blot - Anti-SAP30BP antibody (AB204320)
  • WB

Supplier Data

Western blot - Anti-SAP30BP antibody (AB204320)

All lanes:

Western blot - Anti-SAP30BP antibody (ab204320) at 1/100 dilution

Lane 1:

Negative Control

Lane 2:

LY415705 cell lysate

Predicted band size: 34 kDa

true

Key facts

Host species

Rabbit

Clonality

Polyclonal

Isotype

IgG

Carrier free

No

Reacts with

Human

Applications

ICC/IF, IHC-P, WB

applications

Immunogen

Recombinant Fragment Protein within Human SAP30BP aa 50-200. The exact immunogen used to generate this antibody is proprietary information.

Q9UHR5

Reactivity data

{ "title": "Reactivity Data", "filters": { "stats": ["", "Species", "Dilution Info", "Notes"], "tabs": { "all-applications": {"fullname" : "All Applications", "shortname": "All Applications"}, "IHCP" : {"fullname" : "Immunohistochemistry (Formalin/PFA-fixed paraffin-embedded sections)", "shortname":"IHC-P"}, "WB" : {"fullname" : "Western blot", "shortname":"WB"}, "ICCIF" : {"fullname" : "Immunocytochemistry/ Immunofluorescence", "shortname":"ICC/IF"} }, "product-promise": { "all": "all", "testedAndGuaranteed": "tested", "guaranteed": "expected", "predicted": "predicted", "notRecommended": "not-recommended" } }, "values": { "Human": { "IHCP-species-checked": "testedAndGuaranteed", "IHCP-species-dilution-info": "1/200 - 1/500", "IHCP-species-notes": "<p></p> Perform heat-mediated antigen retrieval with citrate buffer pH 6 before commencing with IHC staining protocol.", "WB-species-checked": "testedAndGuaranteed", "WB-species-dilution-info": "", "WB-species-notes": "<p></p>", "ICCIF-species-checked": "testedAndGuaranteed", "ICCIF-species-dilution-info": "0.25-2 µg/mL", "ICCIF-species-notes": "<p></p>" }, "Mouse": { "IHCP-species-checked": "predicted", "IHCP-species-dilution-info": "", "IHCP-species-notes": "", "WB-species-checked": "predicted", "WB-species-dilution-info": "", "WB-species-notes": "", "ICCIF-species-checked": "predicted", "ICCIF-species-dilution-info": "", "ICCIF-species-notes": "" }, "Rat": { "IHCP-species-checked": "predicted", "IHCP-species-dilution-info": "", "IHCP-species-notes": "", "WB-species-checked": "predicted", "WB-species-dilution-info": "", "WB-species-notes": "", "ICCIF-species-checked": "predicted", "ICCIF-species-dilution-info": "", "ICCIF-species-notes": "" } } }

Properties and storage information

Form
Liquid
Purification technique
Affinity purification Immunogen
Storage buffer
pH: 7.2 Preservative: 0.02% Sodium azide Constituents: PBS, 40% Glycerol (glycerin, glycerine)
Shipped at conditions
Blue Ice
Appropriate short-term storage duration
1-2 weeks
Appropriate short-term storage conditions
+4°C
Appropriate long-term storage conditions
-20°C
Aliquoting information
Upon delivery aliquot
Storage information
Avoid freeze / thaw cycle

Supplementary information

This supplementary information is collated from multiple sources and compiled automatically.

The SAP30BP protein also known as Sin3-associated protein 30-like protein or SAP30L has a molecular mass of approximately 35 kDa. It acts as a transcriptional co-repressor that brings about changes in chromatin structure. SAP30BP contains a unique conserved domain that helps it interact with other proteins and chromatin allowing it to modulate gene expression. The protein is expressed widely across various tissues including the brain heart and liver indicating its diverse role in cellular processes.
Biological function summary

The action of SAP30BP involves participation in the Sin3 complex where it works with other members to suppress transcription efficiently. This complex can modify histones and alter higher-order chromatin structure leading to changes in gene activity. Through these actions SAP30BP influences many cellular processes such as differentiation and cell cycle progression. Its ability to interface with specific DNA sequences and recruit further repressors highlights its role in transcriptional regulation.

Pathways

SAP30BP interacts with several proteins to influence transcriptional repression mechanisms. It plays a part in the histone deacetylation pathway collaborating with HDAC1 and HDAC2. These interactions lead to deacetylation of histones reducing transcription of target genes. Another significant pathway involving SAP30BP is the Notch-signaling pathway where it impacts cell fate decisions. By interacting with core proteins like MAML1 SAP30BP affects the regulation of differentiation and development.

SAP30BP has associations with cancer and neurodegenerative diseases. In cancer changes in the SAP30BP expression can alter cell growth and division contributing to tumorigenesis. The protein interacts with TP53 an important tumor suppressor indicating its involvement in tumor biology. In neurodegenerative disorders SAP30BP expression affects neural cell function and survival. Its interactions with proteins like HDAC1 in the context of these diseases reveal underlying mechanisms impacting disease progression and potential therapeutic targets.

Product protocols

For this product, it's our understanding that no specific protocols are required. You can visit:

Target data

Plays a role in transcriptional repression by promoting histone deacetylase activity, leading to deacetylation of histone H3 (PubMed : 21221920). May be involved in the regulation of beta-2-microglobulin genes (By similarity).. (Microbial infection) Involved in transcriptional repression of HHV-1 genes TK and gC.
See full target information SAP30BP

Publications (1)

Recent publications for all applications. Explore the full list and refine your search

Discover oncology 15:69 PubMed38460058

2024

DDOST is associated with tumor immunosuppressive microenvironment in cervical cancer.

Applications

Unspecified application

Species

Unspecified reactive species

Jie Mei,Liuliu Pan,Min Huang,Dandan Bao,Hui Gao,Danhan Wang
View all publications

Product promise

We are committed to supporting your work with high-quality reagents, and we're here for you every step of the way. In the unlikely event that one of our products does not perform as expected, you're protected by our Product Promise.
For full details, please see our Terms & Conditions

Please note: All products are 'FOR RESEARCH USE ONLY. NOT FOR USE IN DIAGNOSTIC OR THERAPEUTIC PROCEDURES'.

For licensing inquiries, please contact partnerships@abcam.com