JavaScript is disabled in your browser. Please enable JavaScript to view this website.
AB300481

Anti-SAP97 antibody [EPR26467-123]

  • BOND RX™ Validated
  • 20ul selling size
  • RabMAb
  • Recombinant
  • What is this?

Be the first to review this product! Submit a review

|

(1 Publication)

Rabbit Recombinant Monoclonal SAP97 antibody. Suitable for IP, IHC-Fr, IHC-P, WB and reacts with Mouse, Human, Rat samples. Cited in 1 publication.

View Alternative Names

Disks large homolog 1, Synapse-associated protein 97, hDlg, SAP-97, SAP97, DLG1

11 Images
Immunohistochemistry (Formalin/PFA-fixed paraffin-embedded sections) - Anti-SAP97 antibody [EPR26467-123] (AB300481)
  • IHC-P

Supplier Data

Immunohistochemistry (Formalin/PFA-fixed paraffin-embedded sections) - Anti-SAP97 antibody [EPR26467-123] (AB300481)

Immunohistochemical analysis of paraffin-embedded Human colon tissue labeling SAP97 with ab300481 at 1/2000 (0.234 ug/ml) followed by a ready to use LeicaDS9800 (Bond™ Polymer Refine Detection) was used. Positive staining on human colon (PMID : 7891172). The section was incubated with ab300481 for 30 mins at room temperature.The immunostaining was performed on a Leica Biosystems BOND® RX instrument Counterstained with Hematoxylin. Secondary antibody only control : Secondary antibody is a ready to use LeicaDS9800 (Bond™ Polymer Refine Detection) was used. Heat mediated antigen retrieval with Tris-EDTA buffer (pH 9.0, epitope retrieval solution2) for 20 mins

Immunoprecipitation - Anti-SAP97 antibody [EPR26467-123] (AB300481)
  • IP

Lab

Immunoprecipitation - Anti-SAP97 antibody [EPR26467-123] (AB300481)

SAP97 was immunoprecipitated from 0.35 mg SH-SY5Y (human neuroblastoma epithelial cell), whole cell lysate 10 µg with ab300481 at 1/30 dilution (2µg in 0.35mg lysates). Western blot was performed on the immunoprecipitate using ab300481 at 1/1000 dilution. VeriBlot for IP secondary antibody(HRP)(ab131366) was used at 1/5000 dilution. Lane 1 : SH-SY5Y (human neuroblastoma epithelial cell), whole cell lysate 10 µg (Inset) Lane 2 : ab300481 IP in SH-SY5Y whole cell lysate Lane 3 : Rabbit monoclonal IgG (ab172730) instead of ab300481 in SH-SY5Y whole cell lysate Blocking and dilution buffer and concentration : 5% NFDM/TBST. Exposure time : 5.5 seconds

All lanes:

Immunoprecipitation - Anti-SAP97 antibody [EPR26467-123] (ab300481) at 1/30 dilution

Lane 1:

SH-SY5Y (human neuroblastoma epithelial cell), whole cell lysate (Inset) at 10 µg

Lane 2:

ab300481 IP in SH-SY5Y whole cell lysate

Lane 3:

Immunoprecipitation - Rabbit IgG, monoclonal [EPR25A] - Isotype Control (<a href='/en-us/products/primary-antibodies/rabbit-igg-monoclonal-epr25a-isotype-control-ab172730'>ab172730</a>)

Secondary

All lanes:

Immunoprecipitation - VeriBlot for IP Detection Reagent (HRP) (<a href='/en-us/products/reagents/veriblot-for-ip-detection-reagent-hrp-ab131366'>ab131366</a>) at 1/5000 dilution

Observed band size: 100 kDa

false

Exposure time: 5.5s

Immunohistochemistry (Formalin/PFA-fixed paraffin-embedded sections) - Anti-SAP97 antibody [EPR26467-123] (AB300481)
  • IHC-P

Supplier Data

Immunohistochemistry (Formalin/PFA-fixed paraffin-embedded sections) - Anti-SAP97 antibody [EPR26467-123] (AB300481)

Immunohistochemical analysis of paraffin-embedded Mouse liver tissue labeling SAP97 with ab300481 at 1/4000 (0.117 ug/ml) followed by a ready to use LeicaDS9800 (Bond™ Polymer Refine Detection) was used. Positive staining on mouse liver (PMID : 11181181). The section was incubated with ab300481 for 30 mins at room temperature.The immunostaining was performed on a Leica Biosystems BOND® RX instrument Counterstained with Hematoxylin. Secondary antibody only control : Secondary antibody is a ready to use LeicaDS9800 (Bond™ Polymer Refine Detection) was used. Heat mediated antigen retrieval with Tris-EDTA buffer (pH 9.0, epitope retrieval solution2) for 20 mins

Immunohistochemistry (Formalin/PFA-fixed paraffin-embedded sections) - Anti-SAP97 antibody [EPR26467-123] (AB300481)
  • IHC-P

Supplier Data

Immunohistochemistry (Formalin/PFA-fixed paraffin-embedded sections) - Anti-SAP97 antibody [EPR26467-123] (AB300481)

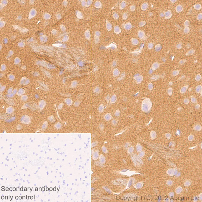
Immunohistochemical analysis of paraffin-embedded Mouse cerebrum tissue labeling SAP97 with ab300481 at 1/4000 (0.117 ug/ml) followed by a ready to use LeicaDS9800 (Bond™ Polymer Refine Detection) was used. Positive staining on mouse cerebrum (PMID : 7891172, PMID : 11181181). The section was incubated with ab300481 for 30 mins at room temperature.The immunostaining was performed on a Leica Biosystems BOND® RX instrument Counterstained with Hematoxylin. Secondary antibody only control : Secondary antibody is a ready to use LeicaDS9800 (Bond™ Polymer Refine Detection) was used. Heat mediated antigen retrieval with Tris-EDTA buffer (pH 9.0, epitope retrieval solution2) for 20 mins

Immunohistochemistry (Formalin/PFA-fixed paraffin-embedded sections) - Anti-SAP97 antibody [EPR26467-123] (AB300481)
  • IHC-P

Supplier Data

Immunohistochemistry (Formalin/PFA-fixed paraffin-embedded sections) - Anti-SAP97 antibody [EPR26467-123] (AB300481)

Immunohistochemical analysis of paraffin-embedded Rat cerebrum tissue labeling SAP97 with ab300481 at 1/4000 (0.117 ug/ml) followed by a ready to use LeicaDS9800 (Bond™ Polymer Refine Detection) was used. Positive staining on rat cerebrum (PMID : 7891172, PMID : 11181181). The section was incubated with ab300481 for 30 mins at room temperature.The immunostaining was performed on a Leica Biosystems BOND® RX instrument Counterstained with Hematoxylin. Secondary antibody only control : Secondary antibody is a ready to use LeicaDS9800 (Bond™ Polymer Refine Detection) was used. Heat mediated antigen retrieval with Tris-EDTA buffer (pH 9.0, epitope retrieval solution2) for 20 mins

Immunohistochemistry (Frozen sections) - Anti-SAP97 antibody [EPR26467-123] (AB300481)
  • IHC-Fr

Supplier Data

Immunohistochemistry (Frozen sections) - Anti-SAP97 antibody [EPR26467-123] (AB300481)

Immunohistochemical analysis of 4% PFA-fixed, 0.2% Triton X-100 permeabilized frozen Rat cerebrum (fresh) tissue labeling SAP97 with ab300481 at 1/100 (4.67 ug/ml) dilution followed by ab150081 Goat Anti-Rabbit IgG H&L (Alexa Fluor® 488) preadsorbed at 1/1000 2 ug/mL dilution (Green). Positive staining on rat cerebrum is observed. The nuclear counterstain was DAPI (Blue). Secondary antibody control : Secondary antibody is ab150081 Goat Anti-Rabbit IgG H&L (Alexa Fluor® 488) preadsorbedat 1/1000 2 ug/mL dilution. .

Immunohistochemistry (Frozen sections) - Anti-SAP97 antibody [EPR26467-123] (AB300481)
  • IHC-Fr

Supplier Data

Immunohistochemistry (Frozen sections) - Anti-SAP97 antibody [EPR26467-123] (AB300481)

Immunohistochemical analysis of 4% PFA-fixed, 0.2% Triton X-100 permeabilized frozen Mouse cerebrum (fresh) tissue labeling SAP97 with ab300481 at 1/100 (4.67 ug/ml) dilution followed by ab150081 Goat Anti-Rabbit IgG H&L (Alexa Fluor® 488) preadsorbed at 1/1000 2 ug/mL dilution (Green). Positive staining on mouse cerebrum is observed. The nuclear counterstain was DAPI (Blue). Secondary antibody control : Secondary antibody is ab150081 Goat Anti-Rabbit IgG H&L (Alexa Fluor® 488) preadsorbedat 1/1000 2 ug/mL dilution. .

Immunoprecipitation - Anti-SAP97 antibody [EPR26467-123] (AB300481)
  • IP

Lab

Immunoprecipitation - Anti-SAP97 antibody [EPR26467-123] (AB300481)

SAP97 was immunoprecipitated from 0.35 mg Mouse brain tissue lysate 10 µg with ab300481 at 1/30 dilution (2µg in 0.35mg lysates). Western blot was performed on the immunoprecipitate using ab300481 at 1/1000 dilution. VeriBlot for IP secondary antibody(HRP)(ab131366) was used at 1/5000 dilution. Lane 1 : Mouse brain tissue lysate 10 µg (Inset) Lane 2 : ab300481 IP in Mouse brain tissue lysate Lane 3 : Rabbit monoclonal IgG (ab172730) instead of ab300481 in mouse brain tissue lysate Blocking and dilution buffer and concentration : 5% NFDM/TBST. Exposure time : 5.5 seconds

All lanes:

Immunoprecipitation - Anti-SAP97 antibody [EPR26467-123] (ab300481) at 1/30 dilution

Lane 1:

Mouse brain tissue lysate (Inset) at 10 µg

Lane 2:

Immunoprecipitation - Anti-SAP97 antibody [EPR26467-123] (ab300481)

Lane 3:

Immunoprecipitation - Rabbit IgG, monoclonal [EPR25A] - Isotype Control (<a href='/en-us/products/primary-antibodies/rabbit-igg-monoclonal-epr25a-isotype-control-ab172730'>ab172730</a>)

Secondary

All lanes:

Immunoprecipitation - VeriBlot for IP Detection Reagent (HRP) (<a href='/en-us/products/reagents/veriblot-for-ip-detection-reagent-hrp-ab131366'>ab131366</a>) at 1/5000 dilution

Observed band size: 100 kDa

false

Exposure time: 5.5s

Western blot - Anti-SAP97 antibody [EPR26467-123] (AB300481)
  • WB

Supplier Data

Western blot - Anti-SAP97 antibody [EPR26467-123] (AB300481)

Blocking and diluting buffer and concentration : 5% NFDM/TBST

All lanes:

Western blot - Anti-SAP97 antibody [EPR26467-123] (ab300481) at 1/1000 dilution

Lane 1:

HepG2 (human hepatocellar carcinoma epithelial cell) transfected with scrambled siRNA control, whole cell lysate 20 µg

Lane 2:

HepG2 transfected with siRNAs specifically targeti DLG1, whole cell lysate 20 µg

Secondary

All lanes:

Western blot - Goat Anti-Rabbit IgG H&L (HRP) (<a href='/en-us/products/secondary-antibodies/goat-rabbit-igg-h-l-hrp-ab97051'>ab97051</a>) at 1/100000 dilution

Observed band size: 130 kDa

false

Exposure time: 15s

Western blot - Anti-SAP97 antibody [EPR26467-123] (AB300481)
  • WB

Supplier Data

Western blot - Anti-SAP97 antibody [EPR26467-123] (AB300481)

Blocking and diluting buffer and concentration : 5% NFDM/TBST.

This blot was developed using a high sensitivity ECL substrate. The high-sensitivity ECL substrate used allows for the detection of proteins in the mid-femtogram range.

All lanes:

Western blot - Anti-SAP97 antibody [EPR26467-123] (ab300481) at 1/1000 dilution

Lane 1:

HeLa (human epithelial cell line from cervix adenocarcinoma), whole cell lysate at 20 µg

Lane 2:

293T (human embryonic kidney epithelial cell), whole cell lysate at 20 µg

Secondary

All lanes:

Western blot - Goat Anti-Rabbit IgG H&L (HRP) (<a href='/en-us/products/secondary-antibodies/goat-rabbit-igg-h-l-hrp-ab97051'>ab97051</a>) at 1/100000 dilution

Observed band size: 130 kDa

true

Western blot - Anti-SAP97 antibody [EPR26467-123] (AB300481)
  • WB

Supplier Data

Western blot - Anti-SAP97 antibody [EPR26467-123] (AB300481)

Blocking and diluting buffer and concentration : 5% NFDM/TBST The blot of lane 6 was developed using a high sensitivity ECL substrate.The expression profile/ molecular weight observed is consistent with what has been described in the literature (PMID : 8755482).

All lanes:

Western blot - Anti-SAP97 antibody [EPR26467-123] (ab300481) at 1/1000 dilution

Lane 1:

U-87 MG (human glioblastoma-astrocytoma epithelial cell), whole cell lysate 20 µg

Lane 2:

SH-SY5Y (human neuroblastoma epithelial cell), whole cell lysate 20 µg

Lane 3:

Mouse brain tissue lysate 20 µg

Lane 4:

Mouse liver tissue lysate 20 µg

Lane 5:

Rat brain tissue lysate 20 µg

Lane 6:

Human cerebellum tissue lysate 20 µg

Secondary

All lanes:

Western blot - Goat Anti-Rabbit IgG H&L (HRP) (<a href='/en-us/products/secondary-antibodies/goat-rabbit-igg-h-l-hrp-ab97051'>ab97051</a>) at 1/100000 dilution

Observed band size: 130 kDa

false

  • Carrier free

    Anti-SAP97 antibody [EPR26467-123] (BSA and Azide free)

Key facts

Host species

Rabbit

Clonality

Monoclonal

Clone number

EPR26467-123

Isotype

IgG

Carrier free

No

Reacts with

Mouse, Rat, Human

Applications

WB, IHC-Fr, IHC-P, IP

applications

Immunogen

The exact immunogen used to generate this antibody is proprietary information.

Reactivity data

{ "title": "Reactivity Data", "filters": { "stats": ["", "Species", "Dilution Info", "Notes"], "tabs": { "all-applications": {"fullname" : "All Applications", "shortname": "All Applications"}, "IP" : {"fullname" : "Immunoprecipitation", "shortname":"IP"}, "FlowCytIntra" : {"fullname" : "Flow Cytometry (Intracellular)", "shortname":"Flow Cyt (Intra)"}, "ICCIF" : {"fullname" : "Immunocytochemistry/ Immunofluorescence", "shortname":"ICC/IF"}, "IHCFr" : {"fullname" : "Immunohistochemistry (Frozen sections)", "shortname":"IHC-Fr"}, "IHCP" : {"fullname" : "Immunohistochemistry (Formalin/PFA-fixed paraffin-embedded sections)", "shortname":"IHC-P"}, "WB" : {"fullname" : "Western blot", "shortname":"WB"} }, "product-promise": { "all": "all", "testedAndGuaranteed": "tested", "guaranteed": "expected", "predicted": "predicted", "notRecommended": "not-recommended" } }, "values": { "Human": { "IP-species-checked": "testedAndGuaranteed", "IP-species-dilution-info": "1/30", "IP-species-notes": "<p></p>", "FlowCytIntra-species-checked": "notRecommended", "FlowCytIntra-species-dilution-info": "", "FlowCytIntra-species-notes": "<p></p>", "ICCIF-species-checked": "notRecommended", "ICCIF-species-dilution-info": "", "ICCIF-species-notes": "<p></p>", "IHCFr-species-checked": "guaranteed", "IHCFr-species-dilution-info": "", "IHCFr-species-notes": "", "IHCP-species-checked": "testedAndGuaranteed", "IHCP-species-dilution-info": "1/2000", "IHCP-species-notes": "<p></p> Perform heat-mediated antigen retrieval with Tris/EDTA buffer pH 9.0 before commencing with IHC staining protocol.", "WB-species-checked": "testedAndGuaranteed", "WB-species-dilution-info": "1/1000", "WB-species-notes": "<p></p>" }, "Mouse": { "IP-species-checked": "testedAndGuaranteed", "IP-species-dilution-info": "1/30", "IP-species-notes": "<p></p>", "FlowCytIntra-species-checked": "notRecommended", "FlowCytIntra-species-dilution-info": "", "FlowCytIntra-species-notes": "<p></p>", "ICCIF-species-checked": "notRecommended", "ICCIF-species-dilution-info": "", "ICCIF-species-notes": "<p></p>", "IHCFr-species-checked": "testedAndGuaranteed", "IHCFr-species-dilution-info": "1/100", "IHCFr-species-notes": "<p></p>", "IHCP-species-checked": "testedAndGuaranteed", "IHCP-species-dilution-info": "1/2000", "IHCP-species-notes": "<p></p> Perform heat-mediated antigen retrieval with Tris/EDTA buffer pH 9.0 before commencing with IHC staining protocol.", "WB-species-checked": "testedAndGuaranteed", "WB-species-dilution-info": "1/1000", "WB-species-notes": "<p></p>" }, "Rat": { "IP-species-checked": "guaranteed", "IP-species-dilution-info": "", "IP-species-notes": "", "FlowCytIntra-species-checked": "notRecommended", "FlowCytIntra-species-dilution-info": "", "FlowCytIntra-species-notes": "<p></p>", "ICCIF-species-checked": "notRecommended", "ICCIF-species-dilution-info": "", "ICCIF-species-notes": "<p></p>", "IHCFr-species-checked": "testedAndGuaranteed", "IHCFr-species-dilution-info": "1/100", "IHCFr-species-notes": "<p></p>", "IHCP-species-checked": "testedAndGuaranteed", "IHCP-species-dilution-info": "1/2000", "IHCP-species-notes": "<p></p> Perform heat-mediated antigen retrieval with Tris/EDTA buffer pH 9.0 before commencing with IHC staining protocol.", "WB-species-checked": "testedAndGuaranteed", "WB-species-dilution-info": "1/1000", "WB-species-notes": "<p></p>" } } }

Product details

Want a custom formulation?
This antibody clone is manufactured by Abcam. If you require a custom buffer formulation or conjugation for your experiments, please contact orders@abcam.com

Patented technology
Our RabMAb® technology is a patented hybridoma-based technology for making rabbit monoclonal antibodies. For details on our patents, please refer to RabMAb® patents.

What are the advantages of a recombinant monoclonal antibody?
This product is a recombinant monoclonal antibody, which offers several advantages including:

  • - High batch-to-batch consistency and reproducibility
  • - Improved sensitivity and specificity
  • - Long-term security of supply
  • - Animal-free batch production

For more information, read more on recombinant antibodies.

Properties and storage information

Form
Liquid
Purification technique
Affinity purification Protein A
Storage buffer
pH: 7.2 - 7.4 Preservative: 0.01% Sodium azide Constituents: PBS, 40% Glycerol (glycerin, glycerine), 0.05% BSA
Shipped at conditions
Blue Ice
Appropriate short-term storage duration
1-2 weeks
Appropriate short-term storage conditions
+4°C
Appropriate long-term storage conditions
-20°C
Aliquoting information
Upon delivery aliquot
Storage information
Avoid freeze / thaw cycle

Supplementary information

This supplementary information is collated from multiple sources and compiled automatically.

SAP97 also known as Synapse-associated protein 97 or DLG1 is a member of the membrane-associated guanylate kinase (MAGUK) family. It has a molecular mass of approximately 97 kDa. This protein is well-expressed in several tissues with high levels observed within the brain and cardiac muscles. SAP97 plays an essential role in organizing synaptic proteins and maintaining cell polarity by aiding in the trafficking and localization of certain ion channels and receptors across the plasma membrane.
Biological function summary

The function of SAP97 is closely linked to synaptic plasticity and signal transduction. This protein forms part of larger protein complexes that include ion channels and receptors helping regulate the transmission of signals between neurons. In the brain SAP97 facilitates the clustering of neurotransmitter receptors at synapses including AMPA receptors which are vital for excitatory synaptic transmission. Its role extends to modulating the structural organization and functional regulation of these protein complexes at synaptic junctions.

Pathways

SAP97 is involved in key signaling processes particularly the glutamatergic synapse pathway where it influences the trafficking and surface expression of glutamate receptors. It interacts with other MAGUK family members like PSD-95 to regulate the assembly of the postsynaptic density. This protein also plays a role in the cardiac signaling cascade particularly in interactions involving potassium channels impacting the cardiac action potential.

SAP97 has associations with neurological and cardiac conditions. Abnormal expression or mutation in SAP97 can contribute to disorders such as schizophrenia and arrhythmias. In schizophrenia disruption in SAP97 function affects synaptic communication with related proteins like PSD-95 implicated in the disease's pathology. In cardiac arrhythmias the misregulation of SAP97 interaction with ion channels might result in altered cardiac electrical activity impacting the role of proteins such as Kv4.2 in the heart's electrophysiological stability.

Product protocols

For this product, it's our understanding that no specific protocols are required. You can visit:

Target data

Essential multidomain scaffolding protein required for normal development (By similarity). Recruits channels, receptors and signaling molecules to discrete plasma membrane domains in polarized cells. Promotes epithelial cell layer barrier function via maintaining cell-cell adhesion (By similarity). May also play a role in adherens junction assembly, signal transduction, cell proliferation, synaptogenesis and lymphocyte activation. Regulates the excitability of cardiac myocytes by modulating the functional expression of Kv4 channels. Functional regulator of Kv1.5 channel. During long-term depression in hippocampal neurons, it recruits ADAM10 to the plasma membrane (PubMed : 23676497).
See full target information DLG1_HUMAN

Publications (1)

Recent publications for all applications. Explore the full list and refine your search

EMBO reports 25:3040-3063 PubMed38849673

2024

DLG1 functions upstream of SDCCAG3 and IFT20 to control ciliary targeting of polycystin-2.

Applications

Unspecified application

Species

Unspecified reactive species

Csenge K Rezi,Mariam G Aslanyan,Gaurav D Diwan,Tao Cheng,Mohamed Chamlali,Katrin Junger,Zeinab Anvarian,Esben Lorentzen,Kleo B Pauly,Yasmin Afshar-Bahadori,Eduardo Fa Fernandes,Feng Qian,Sébastien Tosi,Søren T Christensen,Stine F Pedersen,Kristian Strømgaard,Robert B Russell,Jeffrey H Miner,Moe R Mahjoub,Karsten Boldt,Ronald Roepman,Lotte B Pedersen
View all publications

Product promise

We are committed to supporting your work with high-quality reagents, and we're here for you every step of the way. In the unlikely event that one of our products does not perform as expected, you're protected by our Product Promise.
For full details, please see our Terms & Conditions

Please note: All products are 'FOR RESEARCH USE ONLY. NOT FOR USE IN DIAGNOSTIC OR THERAPEUTIC PROCEDURES'.

For licensing inquiries, please contact partnerships@abcam.com