JavaScript is disabled in your browser. Please enable JavaScript to view this website.
AB155278

Anti-SAR1B + SAR1A antibody [EPR10105(B)]

5

(3 Reviews)

|

(6 Publications)

Rabbit Recombinant Monoclonal SAR1B antibody. Suitable for IHC-P, WB, ICC/IF, Flow Cyt (Intra) and reacts with Human, Recombinant full length protein - Human, Mouse, Rat samples. Cited in 6 publications.

View Alternative Names

SARA2, SARB, SAR1B, Small COPII coat GTPase SAR1B, GTP-binding protein B, Secretion-associated Ras-related GTPase 1B, GTBPB

7 Images
Immunohistochemistry (Formalin/PFA-fixed paraffin-embedded sections) - Anti-SAR1B + SAR1A antibody [EPR10105(B)] (AB155278)
  • IHC-P

Unknown

Immunohistochemistry (Formalin/PFA-fixed paraffin-embedded sections) - Anti-SAR1B + SAR1A antibody [EPR10105(B)] (AB155278)

Immunohistochemical analysis of paraffin embedded Human gastric carcinoma tissue labeling SAR1B with ab155278 at 1/50 dilution.

Perform heat mediated antigen retrieval with citrate buffer pH 6 before commencing with IHC staining protocol.

Immunocytochemistry/ Immunofluorescence - Anti-SAR1B + SAR1A antibody [EPR10105(B)] (AB155278)
  • ICC/IF

Unknown

Immunocytochemistry/ Immunofluorescence - Anti-SAR1B + SAR1A antibody [EPR10105(B)] (AB155278)

Immunofluorescence analysis of 293T cells labeling SAR1B with ab155278 at a 1/50 dilution.

Flow Cytometry (Intracellular) - Anti-SAR1B + SAR1A antibody [EPR10105(B)] (AB155278)
  • Flow Cyt (Intra)

Unknown

Flow Cytometry (Intracellular) - Anti-SAR1B + SAR1A antibody [EPR10105(B)] (AB155278)

Intracellular flow cytometric analysis of permeabilized 293T cells using ab155278 at a 1/10 dilution (red) or a rabbit IgG (negative) (green).

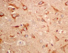
Immunohistochemistry (Formalin/PFA-fixed paraffin-embedded sections) - Anti-SAR1B + SAR1A antibody [EPR10105(B)] (AB155278)
  • IHC-P

Unknown

Immunohistochemistry (Formalin/PFA-fixed paraffin-embedded sections) - Anti-SAR1B + SAR1A antibody [EPR10105(B)] (AB155278)

Immunohistochemical analysis of paraffin embedded Human brain tissue labeling SAR1B with ab155278 at 1/50 dilution.

Perform heat mediated antigen retrieval with citrate buffer pH 6 before commencing with IHC staining protocol.

Western blot - Anti-SAR1B + SAR1A antibody [EPR10105(B)] (AB155278)
  • WB

Lab

Western blot - Anti-SAR1B + SAR1A antibody [EPR10105(B)] (AB155278)

Blocking and diluting buffer and concentration : 5% NFDM/TBST

ab181602 was used as a GAPDH loading control.

Negative control : Human plasma

All lanes:

Western blot - Anti-SAR1B + SAR1A antibody [EPR10105(B)] (ab155278) at 1/1000 dilution

Lane 1:

HepG2 (Human hepatocellular carcinoma epithelial cell) whole cell lysate at 20 µg

Lane 2:

HEK-293 (Human embryonic kidney epithelial cell) whole cell lysate at 20 µg

Lane 3:

Human liver tissue lysate at 20 µg

Lane 4:

Human plasma tissue lysate at 20 µg

Secondary

All lanes:

Goat Anti-Rabbit IgG (HRP) with minimal cross-reactivity with human IgG at 1/2000 dilution

Observed band size: 22-23 kDa

false

Exposure time: 3s

Western blot - Anti-SAR1B + SAR1A antibody [EPR10105(B)] (AB155278)
  • WB

Unknown

Western blot - Anti-SAR1B + SAR1A antibody [EPR10105(B)] (AB155278)

All lanes:

Western blot - Anti-SAR1B + SAR1A antibody [EPR10105(B)] (ab155278) at 1/1000 dilution

Lane 1:

293T cell lysate at 10 µg

Lane 2:

Fetal liver tissue lysate at 10 µg

Lane 3:

Fetal brain tissue lysate at 10 µg

Lane 4:

Human skeletal muscle tissue lysate at 10 µg

Predicted band size: 22 kDa

false

Western blot - Anti-SAR1B + SAR1A antibody [EPR10105(B)] (AB155278)
  • WB

Lab

Western blot - Anti-SAR1B + SAR1A antibody [EPR10105(B)] (AB155278)

Blocking and diluting buffer and concentration : 5% NFDM/TBST.

ab111947 was used as a GST tag loading control.

All lanes:

Western blot - Anti-SAR1B + SAR1A antibody [EPR10105(B)] (ab155278) at 1/1000 dilution

Lane 1:

Human SAR1B recombinant full-length protein with a GST tag at the N-terminus at 10 ng

Lane 2:

Human SAR1A recombinant full-length protein with a GST tag at the N-terminus at 10 ng

Secondary

All lanes:

Goat Anti-Rabbit IgG (HRP) with minimal cross-reactivity with human IgG at 1/2000 dilution

Observed band size: 48 kDa

false

Exposure time: 3s

Key facts

Host species

Rabbit

Clonality

Monoclonal

Clone number

EPR10105(B)

Isotype

IgG

Carrier free

No

Reacts with

Human

Applications

WB, Flow Cyt (Intra), ICC/IF, IHC-P

applications

Immunogen

The exact immunogen used to generate this antibody is proprietary information.

Reactivity data

{ "title": "Reactivity Data", "filters": { "stats": ["", "Species", "Dilution Info", "Notes"], "tabs": { "all-applications": {"fullname" : "All Applications", "shortname": "All Applications"}, "IHCP" : {"fullname" : "Immunohistochemistry (Formalin/PFA-fixed paraffin-embedded sections)", "shortname":"IHC-P"}, "WB" : {"fullname" : "Western blot", "shortname":"WB"}, "ICCIF" : {"fullname" : "Immunocytochemistry/ Immunofluorescence", "shortname":"ICC/IF"}, "FlowCytIntra" : {"fullname" : "Flow Cytometry (Intracellular)", "shortname":"Flow Cyt (Intra)"} }, "product-promise": { "all": "all", "testedAndGuaranteed": "tested", "guaranteed": "expected", "predicted": "predicted", "notRecommended": "not-recommended" } }, "values": { "Human": { "IHCP-species-checked": "testedAndGuaranteed", "IHCP-species-dilution-info": "1/50 - 1/100", "IHCP-species-notes": "<p></p> Perform heat-mediated antigen retrieval with citrate buffer pH 6 before commencing with IHC staining protocol.", "WB-species-checked": "testedAndGuaranteed", "WB-species-dilution-info": "1/1000 - 1/10000", "WB-species-notes": "<p></p>", "ICCIF-species-checked": "testedAndGuaranteed", "ICCIF-species-dilution-info": "1/50 - 1/100", "ICCIF-species-notes": "<p></p>", "FlowCytIntra-species-checked": "testedAndGuaranteed", "FlowCytIntra-species-dilution-info": "1/10 - 1/100", "FlowCytIntra-species-notes": "<p><a href='/en-us/products/primary-antibodies/rabbit-igg-monoclonal-epr25a-isotype-control-ab172730'>ab172730</a> - Rabbit monoclonal IgG, is suitable for use as an isotype control with this antibody.</p>" }, "Mouse": { "IHCP-species-checked": "predicted", "IHCP-species-dilution-info": "", "IHCP-species-notes": "", "WB-species-checked": "guaranteed", "WB-species-dilution-info": "", "WB-species-notes": "<p></p>", "ICCIF-species-checked": "predicted", "ICCIF-species-dilution-info": "", "ICCIF-species-notes": "", "FlowCytIntra-species-checked": "predicted", "FlowCytIntra-species-dilution-info": "", "FlowCytIntra-species-notes": "" }, "Rat": { "IHCP-species-checked": "predicted", "IHCP-species-dilution-info": "", "IHCP-species-notes": "", "WB-species-checked": "guaranteed", "WB-species-dilution-info": "", "WB-species-notes": "<p></p>", "ICCIF-species-checked": "predicted", "ICCIF-species-dilution-info": "", "ICCIF-species-notes": "", "FlowCytIntra-species-checked": "predicted", "FlowCytIntra-species-dilution-info": "", "FlowCytIntra-species-notes": "" }, "Recombinant full length protein - Human": { "IHCP-species-checked": "notRecommended", "IHCP-species-dilution-info": "", "IHCP-species-notes": "", "WB-species-checked": "testedAndGuaranteed", "WB-species-dilution-info": "1/1000 - 1/10000", "WB-species-notes": "<p></p>", "ICCIF-species-checked": "notRecommended", "ICCIF-species-dilution-info": "", "ICCIF-species-notes": "", "FlowCytIntra-species-checked": "notRecommended", "FlowCytIntra-species-dilution-info": "", "FlowCytIntra-species-notes": "" } } }

Product details

Patented technology
Our RabMAb® technology is a patented hybridoma-based technology for making rabbit monoclonal antibodies. For details on our patents, please refer to RabMAb® patents.

What are the advantages of a recombinant monoclonal antibody?
This product is a recombinant monoclonal antibody, which offers several advantages including:

  • - High batch-to-batch consistency and reproducibility
  • - Improved sensitivity and specificity
  • - Long-term security of supply
  • - Animal-free batch production

For more information, read more on recombinant antibodies.

Properties and storage information

Form
Liquid
Purity
Tissue culture supernatant
Storage buffer
pH: 7.2 - 7.4 Preservative: 0.01% Sodium azide Constituents: 50% Tissue culture supernatant, 40% Glycerol (glycerin, glycerine), 9% PBS, 0.05% BSA
Shipped at conditions
Blue Ice
Appropriate short-term storage conditions
+4°C
Appropriate long-term storage conditions
-20°C

Supplementary information

This supplementary information is collated from multiple sources and compiled automatically.

SAR1B also known as Secretion-Associated RAS Related GTPase 1B is a small GTPase protein with a molecular mass of approximately 22 kDa. This protein plays an important role in intracellular trafficking specifically in the transport of proteins from the endoplasmic reticulum to the Golgi apparatus. SAR1B is expressed in various tissues with a higher presence in liver and small intestine cells where it participates in the regulation of lipoprotein assembly and secretion.
Biological function summary

SAR1B is essential for the formation of the coat protein complex II (COPII) facilitating the export of proteins in vesicles from the endoplasmic reticulum. As part of this COPII complex SAR1B assists in the scission of transport vesicles allowing their movement towards the Golgi apparatus. The interaction with other proteins such as SEC23 and SEC24 enhances the specificity of protein selection for transport which is necessary for proper cellular function.

Pathways

Several important interactions include SAR1B's role in the lipid metabolism and secretion pathways. It collaborates within these pathways to ensure the efficient transport of lipids and proteins necessary for maintaining lipid homeostasis. SAR1B works in coordination with other proteins such as SEC24 and SEC23 underlining its importance in these pathways that are critical for metabolic regulation.

Mutations in SAR1B have been linked with chylomicron retention disease also known as Anderson's disease. This condition is characterized by defective chylomicron secretion leading to symptoms such as fat malabsorption and low blood cholesterol levels. The disease highlights SAR1B's involvement with proteins ensuring proper lipid transport like APOB and MTTP emphasizing its contribution to lipid processing and systemic lipid balance.

Product protocols

For this product, it's our understanding that no specific protocols are required. You can visit:

Target data

Small GTPase that cycles between an active GTP-bound and an inactive GDP-bound state and mainly functions in vesicle-mediated endoplasmic reticulum (ER) to Golgi transport. The active GTP-bound form inserts into the endoplasmic reticulum membrane where it recruits the remainder of the coat protein complex II/COPII (PubMed : 23433038, PubMed : 32358066, PubMed : 33186557, PubMed : 36369712). The coat protein complex II assembling and polymerizing on endoplasmic reticulum membrane is responsible for both the sorting of cargos and the deformation and budding of membranes into vesicles destined to the Golgi (PubMed : 23433038, PubMed : 32358066, PubMed : 33186557). In contrast to SAR1A, SAR1B specifically interacts with the cargo receptor SURF4 to mediate the transport of lipid-carrying lipoproteins including APOB and APOA1 from the endoplasmic reticulum to the Golgi and thereby, indirectly regulates lipid homeostasis (PubMed : 32358066, PubMed : 33186557). In addition to its role in vesicle trafficking, can also function as a leucine sensor regulating TORC1 signaling and more indirectly cellular metabolism, growth and survival. In absence of leucine, interacts with the GATOR2 complex via MIOS and inhibits TORC1 signaling. The binding of leucine abrogates the interaction with GATOR2 and the inhibition of the TORC1 signaling. This function is completely independent of the GTPase activity of SAR1B (PubMed : 34290409).
See full target information SAR1B

Additional targets

SAR1A

Publications (6)

Recent publications for all applications. Explore the full list and refine your search

Cell reports 41:111538 PubMed36288700

2022

A multienzyme S-nitrosylation cascade regulates cholesterol homeostasis.

Applications

Unspecified application

Species

Unspecified reactive species

Colin T Stomberski,Nicholas M Venetos,Hua-Lin Zhou,Zhaoxia Qian,Bryce R Collison,Seth J Field,Richard T Premont,Jonathan S Stamler

Frontiers in immunology 12:738143 PubMed34489982

2021

Endoplasmic Reticulum Stress Disturbs Lipid Homeostasis and Augments Inflammation in the Intestine and Isolated Intestinal Cells of Large Yellow Croaker ().

Applications

Unspecified application

Species

Unspecified reactive species

Wei Fang,Qiuchi Chen,Jiamin Li,Yongtao Liu,Zengqi Zhao,Yanan Shen,Kangsen Mai,Qinghui Ai

Neuroscience 449:228-240 PubMed33002559

2020

Inhibition of Sar1b, the Gene Implicated in Chylomicron Retention Disease, Impairs Migration and Morphogenesis of Developing Cortical Neurons.

Applications

Unspecified application

Species

Unspecified reactive species

Xue Li,Meifang Yan,Zhiqiang Guo,Li Yan,Ruru Feng,Hao Zhu,Xiaomeng Tu,Sidney Yu,Jie-Guang Chen

Oncology letters 20:186 PubMed32952655

2020

Knockdown of SAR1B suppresses proliferation and induces apoptosis of RKO colorectal cancer cells.

Applications

Unspecified application

Species

Unspecified reactive species

Yong Lu,Shen-Kang Zhou,Rui Chen,Liang-Xian Jiang,Lei-Lei Yang,Tie-Nan Bi

Cells 8: PubMed31847122

2019

Post-ER Stress Biogenesis of Golgi Is Governed by Giantin.

Applications

Unspecified application

Species

Unspecified reactive species

Cole P Frisbie,Alexander Y Lushnikov,Alexey V Krasnoslobodtsev,Jean-Jack M Riethoven,Jennifer L Clarke,Elena I Stepchenkova,Armen Petrosyan

The Journal of biological chemistry 291:10659-76 PubMed27013658

2016

Inactivation of Tm6sf2, a Gene Defective in Fatty Liver Disease, Impairs Lipidation but Not Secretion of Very Low Density Lipoproteins.

Applications

WB

Species

Unspecified reactive species

Eriks Smagris,Shenise Gilyard,Soumik BasuRay,Jonathan C Cohen,Helen H Hobbs
View all publications

Product promise

We are committed to supporting your work with high-quality reagents, and we're here for you every step of the way. In the unlikely event that one of our products does not perform as expected, you're protected by our Product Promise.
For full details, please see our Terms & Conditions

Please note: All products are 'FOR RESEARCH USE ONLY. NOT FOR USE IN DIAGNOSTIC OR THERAPEUTIC PROCEDURES'.

For licensing inquiries, please contact partnerships@abcam.com