JavaScript is disabled in your browser. Please enable JavaScript to view this website.
AB248032

Anti-SARA antibody [EPR5020] - BSA and Azide free

3

(1 Review)

|

(1 Publication)

Rabbit Recombinant Monoclonal SARA antibody. Carrier free. Suitable for IHC-P, WB and reacts with Human samples. Cited in 1 publication.

View Alternative Names

MADHIP, SARA, SMADIP, ZFYVE9, Zinc finger FYVE domain-containing protein 9, Mothers against decapentaplegic homolog-interacting protein, Novel serine protease, Receptor activation anchor, Smad anchor for receptor activation, Madh-interacting protein, NSP, hSARA

4 Images
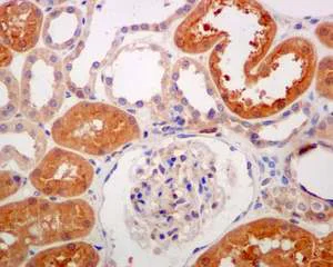
Immunohistochemistry (Formalin/PFA-fixed paraffin-embedded sections) - Anti-SARA antibody [EPR5020] - BSA and Azide free (AB248032)
  • IHC-P

Unknown

Immunohistochemistry (Formalin/PFA-fixed paraffin-embedded sections) - Anti-SARA antibody [EPR5020] - BSA and Azide free (AB248032)

This data was developed using ab124875, the same antibody clone in a different buffer formulation.

Staining of SARA in Paraffin-embedded Human kidney tissue by Immunohistochemistry using ab124875 at a dilution of 1/100.

Perform heat mediated antigen retrieval with citrate buffer pH 6 before commencing with IHC staining protocol.

Western blot - Anti-SARA antibody [EPR5020] - BSA and Azide free (AB248032)
  • WB

Unknown

Western blot - Anti-SARA antibody [EPR5020] - BSA and Azide free (AB248032)

This data was developed using ab124875, the same antibody clone in a different buffer formulation.

All lanes:

Western blot - Anti-SARA antibody [EPR5020] (<a href='/en-us/products/primary-antibodies/sara-antibody-epr5020-ab124875'>ab124875</a>) at 1/10000 dilution

Lane 1:

Jurkat cell lysate at 10 µg

Lane 2:

HeLa cell lysate at 10 µg

Lane 3:

Human fetal brain tissue lysate at 10 µg

Secondary

All lanes:

HRP labelled goat anti-rabbit at 1/2000 dilution

Predicted band size: 156 kDa

false

Western blot - Anti-SARA antibody [EPR5020] - BSA and Azide free (AB248032)
  • WB

Unknown

Western blot - Anti-SARA antibody [EPR5020] - BSA and Azide free (AB248032)

This data was developed using ab124875, the same antibody clone in a different buffer formulation.

All lanes:

Western blot - Anti-SARA antibody [EPR5020] (<a href='/en-us/products/primary-antibodies/sara-antibody-epr5020-ab124875'>ab124875</a>) at 1/10000 dilution

Lane 1:

Human heart tissue lysate at 10 µg

Lane 2:

A673 cell lysate at 10 µg

Lane 3:

HT-1080 cell lysate at 10 µg

Lane 4:

BxPC-3 cell lysate at 10 µg

Secondary

All lanes:

HRP labelled goat anti-rabbit at 1/2000 dilution

Predicted band size: 156 kDa

false

OI-RD Scanning - Anti-SARA antibody [EPR5020] - BSA and Azide free (AB248032)
  • OI-RD Scanning

Unknown

OI-RD Scanning - Anti-SARA antibody [EPR5020] - BSA and Azide free (AB248032)

We have systematically measured KD (the equilibrium dissociation constant between the antibody and its antigen), of more than 840 recombinant antibodies to assess not only their individual KD values but also to see the average affinity of antibody. Based on the comparison with published literature values for mouse monoclonal antibodies, Recombinant antibodies appear to be on average 1-2 order of magnitude higher affinity.

Key facts

Host species

Rabbit

Clonality

Monoclonal

Clone number

EPR5020

Isotype

IgG

Carrier free

Yes

Reacts with

Human

Applications

IHC-P, WB

applications

Immunogen

The exact immunogen used to generate this antibody is proprietary information.

Reactivity data

{ "title": "Reactivity Data", "filters": { "stats": ["", "Species", "Dilution Info", "Notes"], "tabs": { "all-applications": {"fullname" : "All Applications", "shortname": "All Applications"}, "IHCP" : {"fullname" : "Immunohistochemistry (Formalin/PFA-fixed paraffin-embedded sections)", "shortname":"IHC-P"}, "WB" : {"fullname" : "Western blot", "shortname":"WB"}, "ICCIF" : {"fullname" : "Immunocytochemistry/ Immunofluorescence", "shortname":"ICC/IF"} }, "product-promise": { "all": "all", "testedAndGuaranteed": "tested", "guaranteed": "expected", "predicted": "predicted", "notRecommended": "not-recommended" } }, "values": { "Human": { "IHCP-species-checked": "testedAndGuaranteed", "IHCP-species-dilution-info": "", "IHCP-species-notes": "<p></p>", "WB-species-checked": "testedAndGuaranteed", "WB-species-dilution-info": "", "WB-species-notes": "<p></p>", "ICCIF-species-checked": "notRecommended", "ICCIF-species-dilution-info": "", "ICCIF-species-notes": "<p></p>" }, "Rat": { "IHCP-species-checked": "predicted", "IHCP-species-dilution-info": "", "IHCP-species-notes": "", "WB-species-checked": "predicted", "WB-species-dilution-info": "", "WB-species-notes": "", "ICCIF-species-checked": "notRecommended", "ICCIF-species-dilution-info": "", "ICCIF-species-notes": "" } } }

Product details

ab248032 is the carrier-free version of ab124875.

Species reactivity
Mouse: We have preliminary internal testing data to indicate this antibody may not react with this species.
Please contact us for more information.

Patented technology
Our RabMAb® technology is a patented hybridoma-based technology for making rabbit monoclonal antibodies. For details on our patents, please refer to RabMAb® patents.

What are the advantages of a recombinant monoclonal antibody?
This product is a recombinant monoclonal antibody, which offers several advantages including:

  • - High batch-to-batch consistency and reproducibility
  • - Improved sensitivity and specificity
  • - Long-term security of supply
  • - Animal-free batch production

For more information, read more on recombinant antibodies.

Conjugation ready
Our carrier-free antibodies are typically supplied in a PBS-only formulation, purified and free of BSA, sodium azide and glycerol. This conjugation-ready format is designed for use with fluorochromes, metal isotopes, oligonucleotides, and enzymes, which makes them ideal for antibody labelling, functional and cell-based assays, flow-based assays (e.g. mass cytometry) and Multiplex Imaging applications.

Use our conjugation kits for antibody conjugates that are ready-to-use in as little as 20 minutes with 1 minute hands-on-time and 100% antibody recovery: available for fluorescent dyes, HRP, biotin and gold.

Compatibility
This product is compatible with the Maxpar® Antibody Labeling Kit from Fluidigm, without the need for antibody preparation. Maxpar® is a trademark of Fluidigm Canada Inc.

Properties and storage information

Form
Liquid
Purification technique
Affinity purification Protein A
Storage buffer
pH: 7.2 - 7.4 Constituents: PBS
Shipped at conditions
Blue Ice
Appropriate short-term storage conditions
+4°C
Appropriate long-term storage conditions
+4°C
Storage information
Do Not Freeze

Supplementary information

This supplementary information is collated from multiple sources and compiled automatically.

SARA also known as Smad anchor for receptor activation plays an important mechanical role in cellular signaling. It functions by binding to phosphorylated receptor-regulated Smad proteins (R-Smads) and facilitating their movement and accumulation in the nucleus. SARA has a molecular mass of approximately 150 kDa and is prominently expressed in a variety of tissues including the brain liver and kidney indicating a widespread functional role in physiological processes.
Biological function summary

SARA engages in interactions with several signaling molecules in the cell. It acts as a scaffolding protein that forms part of a complex with the Smad proteins assisting in the regulation of transforming growth factor-beta (TGF-β) signaling. By serving as a critical link between membranes and the cytoplasm it ensures the accurate transmission of signals necessary for cellular responses. Its location and function highlight its vital role in maintaining cellular homeostasis.

Pathways

SARA plays an important role in TGF-β and bone morphogenetic protein (BMP) signaling pathways. These pathways are essential for regulating cellular processes such as proliferation differentiation and apoptosis. SARA interacts with Smad2 Smad3 and Smad7 which are key components of these pathways. Through these interactions SARA helps mediate the transduction of signals that guide complex cellular activities and responses linking external signals to gene expression inside the nucleus.

Research has linked SARA to cancer and fibrotic diseases. Its role in TGF-β signaling suggests that alterations in SARA expression or function can contribute to tumor progression and metastatic processes. Additionally in fibrotic diseases where excess tissue scarring occurs the modulation of the pathway by proteins like Smad2 and Smad3 with SARA's involvement can result in aberrant tissue responses. Understanding SARA's involvement in these conditions may offer potential therapeutic insights.

Product protocols

For this product, it's our understanding that no specific protocols are required. You can visit:

Target data

Early endosomal protein that functions to recruit SMAD2/SMAD3 to intracellular membranes and to the TGF-beta receptor. Plays a significant role in TGF-mediated signaling by regulating the subcellular location of SMAD2 and SMAD3 and modulating the transcriptional activity of the SMAD3/SMAD4 complex. Possibly associated with TGF-beta receptor internalization.
See full target information ZFYVE9

Publications (1)

Recent publications for all applications. Explore the full list and refine your search

Journal of virology 97:e0190722 PubMed36946735

2023

Characterization of the Impact of Merkel Cell Polyomavirus-Induced Interferon Signaling on Viral Infection.

Applications

Unspecified application

Species

Unspecified reactive species

Ranran Wang,June F Yang,Taylor E Senay,Wei Liu,Jianxin You
View all publications

Product promise

We are committed to supporting your work with high-quality reagents, and we're here for you every step of the way. In the unlikely event that one of our products does not perform as expected, you're protected by our Product Promise.
For full details, please see our Terms & Conditions

Please note: All products are 'FOR RESEARCH USE ONLY. NOT FOR USE IN DIAGNOSTIC OR THERAPEUTIC PROCEDURES'.

For licensing inquiries, please contact partnerships@abcam.com