JavaScript is disabled in your browser. Please enable JavaScript to view this website.
AB314911

Anti-Sarcomeric Alpha Actinin antibody [RM1072] - BSA and Azide free

Be the first to review this product! Submit a review

|

(0 Publication)

Rabbit Recombinant Multiclonal Sarcomeric Alpha Actinin antibody. Carrier free. Suitable for WB, IHC-P, IP and reacts with Human, Mouse, Rat, Recombinant fragment - Human samples.

View Alternative Names

Alpha-actinin-2, Alpha-actinin skeletal muscle isoform 2, F-actin cross-linking protein, ACTN2

11 Images
Immunohistochemistry (Formalin/PFA-fixed paraffin-embedded sections) - Anti-Sarcomeric Alpha Actinin antibody [RM1072] - BSA and Azide free (AB314911)
  • IHC-P

Supplier Data

Immunohistochemistry (Formalin/PFA-fixed paraffin-embedded sections) - Anti-Sarcomeric Alpha Actinin antibody [RM1072] - BSA and Azide free (AB314911)

This data was developed using ab314910, the same antibody clone in a different buffer formulation.

Immunohistochemical analysis of paraffin-embedded human cardiac muscle tissue labeling Sarcomeric Alpha Actinin with ab314910 at 1/5000 (0.099 ug/ml) followed by a ready to use LeicaDS9800 (Bond™ Polymer Refine Detection). Cytoplasmic staining on human cardiac muscle. The section was incubated with ab314910 for 30 mins at room temperature. The immunostaining was performed on a Leica Biosystems BOND® RX instrument. Counterstained with Hematoxylin.

Secondary antibody only control : Secondary antibody is a ready to use LeicaDS9800 (Bond™ Polymer Refine Detection).

Heat mediated antigen retrieval was performed with Citrate buffer (pH 6.0, Epitope Retrieval Solution 1) for 20 mins.

Immunohistochemistry (Formalin/PFA-fixed paraffin-embedded sections) - Anti-Sarcomeric Alpha Actinin antibody [RM1072] - BSA and Azide free (AB314911)
  • IHC-P

Supplier Data

Immunohistochemistry (Formalin/PFA-fixed paraffin-embedded sections) - Anti-Sarcomeric Alpha Actinin antibody [RM1072] - BSA and Azide free (AB314911)

This data was developed using ab314910, the same antibody clone in a different buffer formulation.

Immunohistochemical analysis of paraffin-embedded human kidney tissue labeling Sarcomeric Alpha Actinin with ab314910 at 1/5000 (0.099 ug/ml) followed by a ready to use LeicaDS9800 (Bond™ Polymer Refine Detection). Negative control : no staining on human kidney. The section was incubated with ab314910 for 30 mins at room temperature. The immunostaining was performed on a Leica Biosystems BOND® RX instrument. Counterstained with Hematoxylin.

Secondary antibody only control : Secondary antibody is a ready to use LeicaDS9800 (Bond™ Polymer Refine Detection).

Heat mediated antigen retrieval was performed with Citrate buffer (pH 6.0, Epitope Retrieval Solution 1) for 20 mins.

Immunohistochemistry (Formalin/PFA-fixed paraffin-embedded sections) - Anti-Sarcomeric Alpha Actinin antibody [RM1072] - BSA and Azide free (AB314911)
  • IHC-P

Supplier Data

Immunohistochemistry (Formalin/PFA-fixed paraffin-embedded sections) - Anti-Sarcomeric Alpha Actinin antibody [RM1072] - BSA and Azide free (AB314911)

This data was developed using ab314910, the same antibody clone in a different buffer formulation.

Immunohistochemical analysis of paraffin-embedded human skeletal muscle tissue labeling Sarcomeric Alpha Actinin with ab314910 at 1/5000 (0.099 ug/ml) followed by a ready to use LeicaDS9800 (Bond™ Polymer Refine Detection). Cytoplasmic staining on human skeletal muscle. The section was incubated with ab314910 for 30 mins at room temperature. The immunostaining was performed on a Leica Biosystems BOND® RX instrument. Counterstained with Hematoxylin.

Secondary antibody only control : Secondary antibody is a ready to use LeicaDS9800 (Bond™ Polymer Refine Detection).

Heat mediated antigen retrieval was performed with Citrate buffer (pH 6.0, Epitope Retrieval Solution 1) for 20 mins.

Immunoprecipitation - Anti-Sarcomeric Alpha Actinin antibody [RM1072] - BSA and Azide free (AB314911)
  • IP

Supplier Data

Immunoprecipitation - Anti-Sarcomeric Alpha Actinin antibody [RM1072] - BSA and Azide free (AB314911)

This data was developed using ab314910, the same antibody clone in a different buffer formulation.

Sarcomeric Alpha Actinin was immunoprecipitated from 0.35 mg RD (human muscle multinucleated spindle-shaped cell) whole cell lysate with ab314910 at 1/30 dilution (2ug in 0.35mg lysates). Western blot was performed on the immunoprecipitate using ab314910 at 1/1000 dilution. VeriBlot for IP secondary antibody(HRP)(ab131366) was used at 1/5000 dilution.

Lane 1 : RD (human muscle multinucleated spindle-shaped cell) whole cell lysate

Lane 2 : ab314910 IP in RD (human muscle multinucleated spindle-shaped cell) whole cell lysate

Lane 3 : Rabbit monoclonal IgG (ab172730) instead of ab314910 in RD whole cell lysate

Blocking and dilution buffer and concentration : 5% NFDM/TBST.

All lanes:

Immunoprecipitation - Anti-Sarcomeric Alpha Actinin antibody [RM1072] (<a href='/en-us/products/primary-antibodies/sarcomeric-alpha-actinin-antibody-rm1072-ab314910'>ab314910</a>) at 1/30 dilution

All lanes:

RD (human muscle multinucleated spindle-shaped cell) whole cell lysate

Secondary

All lanes:

Immunoprecipitation - VeriBlot for IP Detection Reagent (HRP) (<a href='/en-us/products/reagents/veriblot-for-ip-detection-reagent-hrp-ab131366'>ab131366</a>) at 1/5000 dilution

false

Exposure time: 23s

Immunohistochemistry (Formalin/PFA-fixed paraffin-embedded sections) - Anti-Sarcomeric Alpha Actinin antibody [RM1072] - BSA and Azide free (AB314911)
  • IHC-P

Supplier Data

Immunohistochemistry (Formalin/PFA-fixed paraffin-embedded sections) - Anti-Sarcomeric Alpha Actinin antibody [RM1072] - BSA and Azide free (AB314911)

This data was developed using ab314910, the same antibody clone in a different buffer formulation.

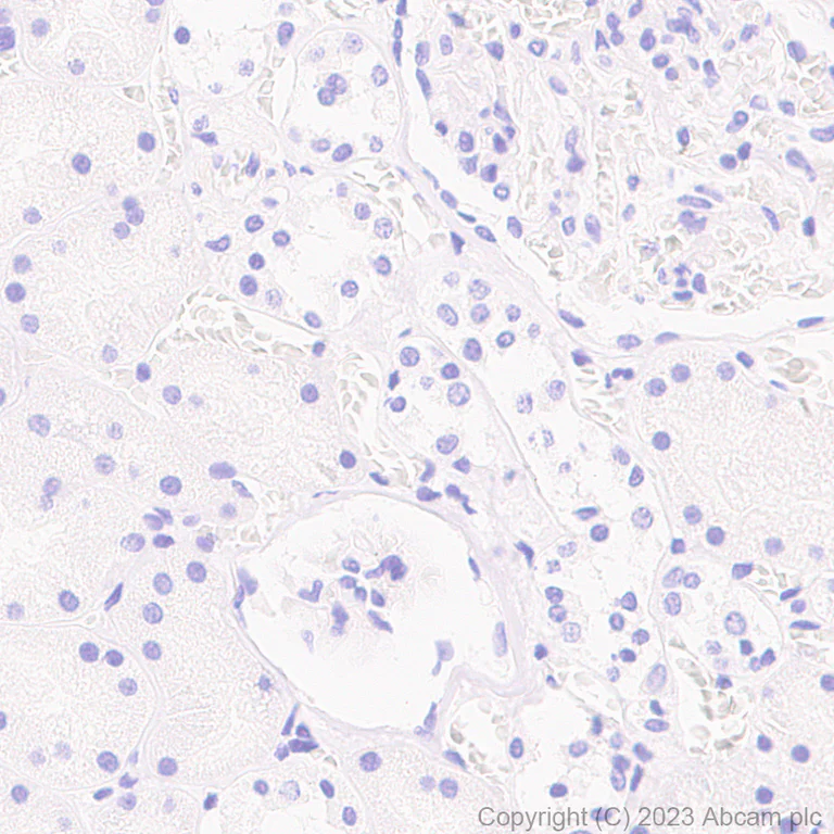
Immunohistochemical analysis of paraffin-embedded mouse kidney tissue labeling Sarcomeric Alpha Actinin with ab314910 at 1/5000 (0.099 ug/ml) followed by a ready to use LeicaDS9800 (Bond™ Polymer Refine Detection). Negative control : no staining on mouse kidney. The section was incubated with ab314910 for 30 mins at room temperature. The immunostaining was performed on a Leica Biosystems BOND® RX instrument. Counterstained with Hematoxylin.

Secondary antibody only control : Secondary antibody is a ready to use LeicaDS9800 (Bond™ Polymer Refine Detection).

Heat mediated antigen retrieval was performed with Citrate buffer (pH 6.0, Epitope Retrieval Solution 1) for 20 mins.

Immunohistochemistry (Formalin/PFA-fixed paraffin-embedded sections) - Anti-Sarcomeric Alpha Actinin antibody [RM1072] - BSA and Azide free (AB314911)
  • IHC-P

Supplier Data

Immunohistochemistry (Formalin/PFA-fixed paraffin-embedded sections) - Anti-Sarcomeric Alpha Actinin antibody [RM1072] - BSA and Azide free (AB314911)

This data was developed using ab314910, the same antibody clone in a different buffer formulation.

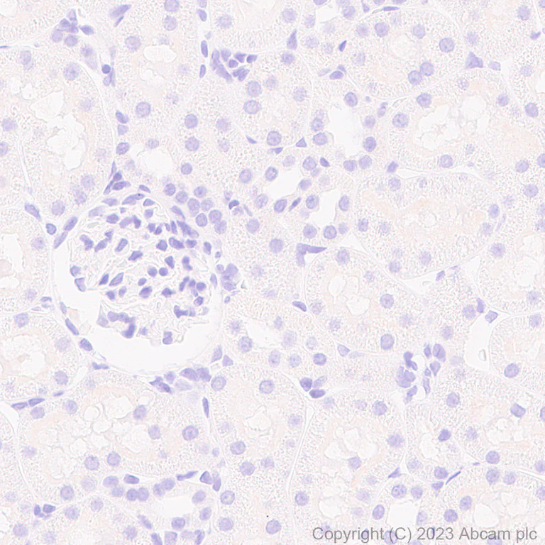
Immunohistochemical analysis of paraffin-embedded rat kidney tissue labeling Sarcomeric Alpha Actinin with ab314910 at 1/5000 (0.099 ug/ml) followed by a ready to use LeicaDS9800 (Bond™ Polymer Refine Detection). Negative control : nearly no staining on rat kidney. The section was incubated with ab314910 for 30 mins at room temperature. The immunostaining was performed on a Leica Biosystems BOND® RX instrument. Counterstained with Hematoxylin.

Secondary antibody only control : Secondary antibody is a ready to use LeicaDS9800 (Bond™ Polymer Refine Detection).

Heat mediated antigen retrieval was performed with Citrate buffer (pH 6.0, Epitope Retrieval Solution 1) for 20 mins.

Immunohistochemistry (Formalin/PFA-fixed paraffin-embedded sections) - Anti-Sarcomeric Alpha Actinin antibody [RM1072] - BSA and Azide free (AB314911)
  • IHC-P

Supplier Data

Immunohistochemistry (Formalin/PFA-fixed paraffin-embedded sections) - Anti-Sarcomeric Alpha Actinin antibody [RM1072] - BSA and Azide free (AB314911)

This data was developed using ab314910, the same antibody clone in a different buffer formulation.

Immunohistochemical analysis of paraffin-embedded rat cardiac muscle tissue labeling Sarcomeric Alpha Actinin with ab314910 at 1/5000 (0.099 ug/ml) followed by a ready to use LeicaDS9800 (Bond™ Polymer Refine Detection). Cytoplasmic staining on rat cardiac muscle. The section was incubated with ab314910 for 30 mins at room temperature. The immunostaining was performed on a Leica Biosystems BOND® RX instrument. Counterstained with Hematoxylin.

Secondary antibody only control : Secondary antibody is a ready to use LeicaDS9800 (Bond™ Polymer Refine Detection).

Heat mediated antigen retrieval was performed with Citrate buffer (pH 6.0, Epitope Retrieval Solution 1) for 20 mins.

Immunohistochemistry (Formalin/PFA-fixed paraffin-embedded sections) - Anti-Sarcomeric Alpha Actinin antibody [RM1072] - BSA and Azide free (AB314911)
  • IHC-P

Supplier Data

Immunohistochemistry (Formalin/PFA-fixed paraffin-embedded sections) - Anti-Sarcomeric Alpha Actinin antibody [RM1072] - BSA and Azide free (AB314911)

This data was developed using ab314910, the same antibody clone in a different buffer formulation.

Immunohistochemical analysis of paraffin-embedded mouse skeletal muscle tissue labeling Sarcomeric Alpha Actinin with ab314910 at 1/5000 (0.099 ug/ml) followed by a ready to use LeicaDS9800 (Bond™ Polymer Refine Detection). Cytoplasmic staining on mouse skeletal muscle. The section was incubated with ab314910 for 30 mins at room temperature. The immunostaining was performed on a Leica Biosystems BOND® RX instrument. Counterstained with Hematoxylin.

Secondary antibody only control : Secondary antibody is a ready to use LeicaDS9800 (Bond™ Polymer Refine Detection).

Heat mediated antigen retrieval was performed with Citrate buffer (pH 6.0, Epitope Retrieval Solution 1) for 20 mins.

Western blot - Anti-Sarcomeric Alpha Actinin antibody [RM1072] - BSA and Azide free (AB314911)
  • WB

Supplier Data

Western blot - Anti-Sarcomeric Alpha Actinin antibody [RM1072] - BSA and Azide free (AB314911)

This data was developed using ab314910, the same antibody clone in a different buffer formulation.

Blocking and diluting buffer and concentration : 5% NFDM/TBST

Blocking and diluting buffer and concentration : 5% NFDM/TBST

The identity of the lower MW band at approximately 45kDa (in lane 3/5) is unknown.

In Western blot, Anti-GAPDH antibody [EPR16891] - Loading Control (ab181602) staining at 1/200000 dilution.

Exposure time : Lanes 1-5 : 4 seconds; Lane 6 : 59 seconds

All lanes:

Western blot - Anti-Sarcomeric Alpha Actinin antibody [RM1072] (<a href='/en-us/products/primary-antibodies/sarcomeric-alpha-actinin-antibody-rm1072-ab314910'>ab314910</a>) at 1/1000 dilution

Lane 1:

Human skeletal muscle tissue lysate at 20 µg

Lane 2:

Mouse skeletal muscle tissue lysate at 20 µg

Lane 3:

Mouse heart tissue lysate at 20 µg

Lane 4:

Rat skeletal muscle tissue lysate at 20 µg

Lane 5:

Rat heart tissue lysate at 20 µg

Lane 6:

RD (human muscle mtinucleated spindle-shaped cell) whole cell lysate at 20 µg

Secondary

All lanes:

Western blot - Goat Anti-Rabbit IgG H&L (HRP) (<a href='/en-us/products/secondary-antibodies/goat-rabbit-igg-h-l-hrp-ab97051'>ab97051</a>) at 1/100000 dilution

Observed band size: 103 kDa,36 kDa

false

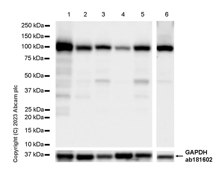
Western blot - Anti-Sarcomeric Alpha Actinin antibody [RM1072] - BSA and Azide free (AB314911)
  • WB

Supplier Data

Western blot - Anti-Sarcomeric Alpha Actinin antibody [RM1072] - BSA and Azide free (AB314911)

This data was developed using ab314910, the same antibody clone in a different buffer formulation.

Blocking and diluting buffer and concentration : 5% NFDM/TBST

Low expression : Kindey.

The identity of the lower MW band at approximately 45kDa is unknown.

In Western blot, Anti-GAPDH antibody [EPR16891] - Loading Control (ab181602) staining at 1/200000 dilution.

All lanes:

Western blot - Anti-Sarcomeric Alpha Actinin antibody [RM1072] (<a href='/en-us/products/primary-antibodies/sarcomeric-alpha-actinin-antibody-rm1072-ab314910'>ab314910</a>) at 1/1000 dilution

Lane 1:

Mouse brain tissue lysate at 20 µg

Lane 2:

Mouse heart tissue lysate at 20 µg

Lane 3:

Mouse kidney tissue lysate at 20 µg

Lane 4:

Rat brain tissue lysate at 20 µg

Lane 5:

Rat kidney tissue lysate at 20 µg

Secondary

All lanes:

Western blot - Goat Anti-Rabbit IgG H&L (HRP) (<a href='/en-us/products/secondary-antibodies/goat-rabbit-igg-h-l-hrp-ab97051'>ab97051</a>) at 1/100000 dilution

Observed band size: 103 kDa,36 kDa

false

Exposure time: 15s

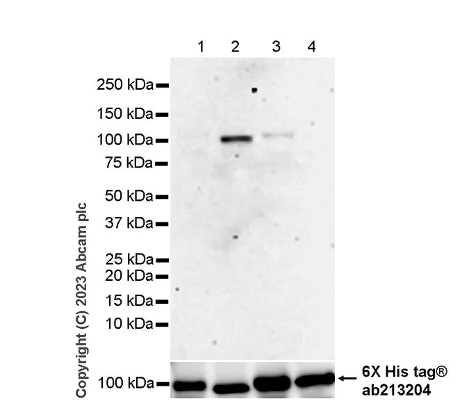
Western blot - Anti-Sarcomeric Alpha Actinin antibody [RM1072] - BSA and Azide free (AB314911)
  • WB

Supplier Data

Western blot - Anti-Sarcomeric Alpha Actinin antibody [RM1072] - BSA and Azide free (AB314911)

This data was developed using ab314910, the same antibody clone in a different buffer formulation.

Blocking and diluting buffer and concentration : 5% NFDM/TBST

This antibody displays limited ACTN3 cross-reactivity in an exogenous setting.

In Western blot, Anti-6X His tag® antibody [EPR20547] - ChIP Grade (ab213204) staining at 1/5000 dilution.

All lanes:

Western blot - Anti-Sarcomeric Alpha Actinin antibody [RM1072] (<a href='/en-us/products/primary-antibodies/sarcomeric-alpha-actinin-antibody-rm1072-ab314910'>ab314910</a>) at 1/1000 dilution

Lane 1:

His-tagged human actn1 recombinant protein at 20 ng

Lane 2:

His-tagged human actn2 recombinant protein at 10 ng

Lane 3:

His-tagged human actn3 recombinant protein at 20 ng

Lane 4:

His-tagged human actn4 recombinant protein at 10 ng

Secondary

All lanes:

Western blot - Goat Anti-Rabbit IgG H&L (HRP) (<a href='/en-us/products/secondary-antibodies/goat-rabbit-igg-h-l-hrp-ab97051'>ab97051</a>) at 1/100000 dilution

Observed band size: 100 kDa

false

Exposure time: 180s

  • Unconjugated

    Anti-Sarcomeric Alpha Actinin antibody [RM1072]

Key facts

Host species

Rabbit

Clonality

Multiclonal

Clone number

RM1072

Isotype

IgG

Carrier free

Yes

Reacts with

Human, Mouse, Rat

Applications

IP, IHC-P, WB

applications

Immunogen

The exact immunogen used to generate this antibody is proprietary information.

Specificity

This antibody displays limited ACTN3 cross-reactivity in an exogenous setting.
Unsuitable for mosue and rat IP.

Reactivity data

{ "title": "Reactivity Data", "filters": { "stats": ["", "Species", "Dilution Info", "Notes"], "tabs": { "all-applications": {"fullname" : "All Applications", "shortname": "All Applications"}, "WB" : {"fullname" : "Western blot", "shortname":"WB"}, "IHCP" : {"fullname" : "Immunohistochemistry (Formalin/PFA-fixed paraffin-embedded sections)", "shortname":"IHC-P"}, "IP" : {"fullname" : "Immunoprecipitation", "shortname":"IP"}, "FlowCytIntra" : {"fullname" : "Flow Cytometry (Intracellular)", "shortname":"Flow Cyt (Intra)"}, "ICCIF" : {"fullname" : "Immunocytochemistry/ Immunofluorescence", "shortname":"ICC/IF"} }, "product-promise": { "all": "all", "testedAndGuaranteed": "tested", "guaranteed": "expected", "predicted": "predicted", "notRecommended": "not-recommended" } }, "values": { "Human": { "WB-species-checked": "testedAndGuaranteed", "WB-species-dilution-info": "", "WB-species-notes": "<p></p>", "IHCP-species-checked": "testedAndGuaranteed", "IHCP-species-dilution-info": "", "IHCP-species-notes": "<p></p>", "IP-species-checked": "testedAndGuaranteed", "IP-species-dilution-info": "", "IP-species-notes": "<p></p>", "FlowCytIntra-species-checked": "notRecommended", "FlowCytIntra-species-dilution-info": "", "FlowCytIntra-species-notes": "<p></p>", "ICCIF-species-checked": "notRecommended", "ICCIF-species-dilution-info": "", "ICCIF-species-notes": "<p></p>" }, "Mouse": { "WB-species-checked": "testedAndGuaranteed", "WB-species-dilution-info": "", "WB-species-notes": "<p></p>", "IHCP-species-checked": "testedAndGuaranteed", "IHCP-species-dilution-info": "", "IHCP-species-notes": "<p></p>", "IP-species-checked": "notRecommended", "IP-species-dilution-info": "", "IP-species-notes": "<p></p>", "FlowCytIntra-species-checked": "notRecommended", "FlowCytIntra-species-dilution-info": "", "FlowCytIntra-species-notes": "<p></p>", "ICCIF-species-checked": "notRecommended", "ICCIF-species-dilution-info": "", "ICCIF-species-notes": "<p></p>" }, "Rat": { "WB-species-checked": "testedAndGuaranteed", "WB-species-dilution-info": "", "WB-species-notes": "<p></p>", "IHCP-species-checked": "testedAndGuaranteed", "IHCP-species-dilution-info": "", "IHCP-species-notes": "<p></p>", "IP-species-checked": "notRecommended", "IP-species-dilution-info": "", "IP-species-notes": "<p></p>", "FlowCytIntra-species-checked": "notRecommended", "FlowCytIntra-species-dilution-info": "", "FlowCytIntra-species-notes": "<p></p>", "ICCIF-species-checked": "notRecommended", "ICCIF-species-dilution-info": "", "ICCIF-species-notes": "" }, "Recombinant fragment - Human": { "WB-species-checked": "testedAndGuaranteed", "WB-species-dilution-info": "", "WB-species-notes": "<p></p>", "IHCP-species-checked": "notRecommended", "IHCP-species-dilution-info": "", "IHCP-species-notes": "", "IP-species-checked": "notRecommended", "IP-species-dilution-info": "", "IP-species-notes": "", "FlowCytIntra-species-checked": "notRecommended", "FlowCytIntra-species-dilution-info": "", "FlowCytIntra-species-notes": "", "ICCIF-species-checked": "notRecommended", "ICCIF-species-dilution-info": "", "ICCIF-species-notes": "" } } }

Product details

ab314911 is the carrier-free version of ab314910.

What are recombinant multiclonals?
Recombinant multiclonals are a mixture of recombinant antibodies co-expressed from a library of heavy and light chains. They offer several advantages including:

  • - The sensitivity of polyclonal antibodies by recognising multiple epitopes
  • - High batch-to-batch consistency and reproducibility
  • - Improved sensitivity and specificity
  • - Long-term security of supply
  • - Animal-free batch production

View our range of recombinant multiclonal antibodies.

Patented technology
Our RabMAb® technology is a patented hybridoma-based technology for making rabbit monoclonal antibodies. For details on our patents, please refer to RabMAb® patents.

Conjugation ready
Our carrier-free antibodies are typically supplied in a PBS-only formulation, purified and free of BSA, sodium azide and glycerol. This conjugation-ready format is designed for use with fluorochromes, metal isotopes, oligonucleotides, and enzymes, which makes them ideal for antibody labelling, functional and cell-based assays, flow-based assays (e.g. mass cytometry) and Multiplex Imaging applications.

Use our conjugation kits for antibody conjugates that are ready-to-use in as little as 20 minutes with 1 minute hands-on-time and 100% antibody recovery: available for fluorescent dyes, HRP, biotin and gold.

Compatibility
This product is compatible with the Maxpar® Antibody Labeling Kit from Fluidigm, without the need for antibody preparation. Maxpar® is a trademark of Fluidigm Canada Inc.

Properties and storage information

Form
Liquid
Purification technique
Affinity purification Protein A
Storage buffer
pH: 7.2 - 7.4 Constituents: PBS
Shipped at conditions
Blue Ice
Appropriate short-term storage conditions
+4°C
Appropriate long-term storage conditions
+4°C

Supplementary information

This supplementary information is collated from multiple sources and compiled automatically.

Sarcomeric Alpha Actinin often referred to as alpha-actinin or A-actinin is a protein that functions mechanically as a cross-linker of actin filaments in the sarcomere. It plays a critical role in organizing the actin cytoskeleton providing structural integrity and facilitating muscle contraction. The protein typically has a molecular mass of approximately 100 kDa. It is expressed in a variety of tissues including skeletal and cardiac muscle where it establishes the architecture of the Z-disc by anchoring actin filaments.
Biological function summary

Sarcomeric alpha actinin associates with multiple proteins to form a complex that coordinates muscle function. It not only serves as a structural component but also participates in signaling processes influencing muscle repair and growth. Alpha actinin connects to other cytoskeletal proteins and adaptors coordinating with integrin pathways to transmit external mechanical signals into cellular responses. The ability of alpha actinin to interact with a range of proteins like filamin and spectrin enhances its role in maintaining cellular architecture.

Pathways

Alpha actinin is critical in both the integrin and dystrophin-glycoprotein complex pathways facilitating signal transduction and maintaining muscle stability. Its interaction with actin filaments is important for pathways involving cell adhesion and motility. Within these pathways actin-related proteins such as ACTN2 and titin partner with alpha actinin to sustain cellular structure and function during dynamic processes including muscle contraction and relaxation.

Mutations or defects in alpha actinin have implications in muscular dystrophy and cardiomyopathy. These conditions often involve disruptions in the muscle's structural framework and mechanical signaling where alpha actinin's interaction with dystrophin becomes significant. Additionally such disorders may showcase altered connectivity between alpha actinin and spectrin further affecting muscle integrity and function in pathological conditions.

Product protocols

For this product, it's our understanding that no specific protocols are required. You can visit:

Target data

F-actin cross-linking protein which is thought to anchor actin to a variety of intracellular structures. This is a bundling protein.
See full target information ACTN2

Product promise

We are committed to supporting your work with high-quality reagents, and we're here for you every step of the way. In the unlikely event that one of our products does not perform as expected, you're protected by our Product Promise.
For full details, please see our Terms & Conditions

Please note: All products are 'FOR RESEARCH USE ONLY. NOT FOR USE IN DIAGNOSTIC OR THERAPEUTIC PROCEDURES'.

For licensing inquiries, please contact partnerships@abcam.com