JavaScript is disabled in your browser. Please enable JavaScript to view this website.
AB284630

Anti-SARS-CoV-2 nsp15 antibody [EPR24840-74] - BSA and Azide free

Be the first to review this product! Submit a review

|

(0 Publication)

Rabbit Recombinant Monoclonal R1AB antibody. Carrier free. Suitable for ICC/IF, Flow Cyt, IHC-P, WB, I-ELISA and reacts with Recombinant full length protein - SARS-CoV-2, SARS-CoV-2 samples.

View Alternative Names

1a-1b, rep, Replicase polyprotein 1ab, pp1ab, ORF1ab polyprotein, 1a-1b, rep, Replicase polyprotein 1ab, pp1ab, ORF1ab polyprotein

8 Images
Flow Cytometry - Anti-SARS-CoV-2 nsp15 antibody [EPR24840-74] - BSA and Azide free (AB284630)
  • Flow Cyt

Lab

Flow Cytometry - Anti-SARS-CoV-2 nsp15 antibody [EPR24840-74] - BSA and Azide free (AB284630)

This data was developed using ab284629, the same antibody clone in a different buffer formulation.

Flow Cytometry analysis of HEK-293T (Human embryonic kidney epithelial cell) cells transfected with a SARS-CoV-2 nsp9 (Left) or SARS-CoV2 nsp15 (Right) expression vector containing a myc tag labeling SARS-CoV2 nsp15 with ab284629 at 1/500 dilution (left and right). Cells were fixed with 4% Paraformaldehyde and permeabilised with 90% Methanol. A Goat anti-rabbit IgG (Alexa Fluor® 488, ab150081) secondary antibody was used at 1/5000 dilution. Alexa Fluor® 647 Anti-Myc tag antibody [9E10] (ab223895) was used to label transfected cells.

Immunohistochemistry (Formalin/PFA-fixed paraffin-embedded sections) - Anti-SARS-CoV-2 nsp15 antibody [EPR24840-74] - BSA and Azide free (AB284630)
  • IHC-P

Lab

Immunohistochemistry (Formalin/PFA-fixed paraffin-embedded sections) - Anti-SARS-CoV-2 nsp15 antibody [EPR24840-74] - BSA and Azide free (AB284630)

This data was developed using ab284629, the same antibody clone in a different buffer formulation.

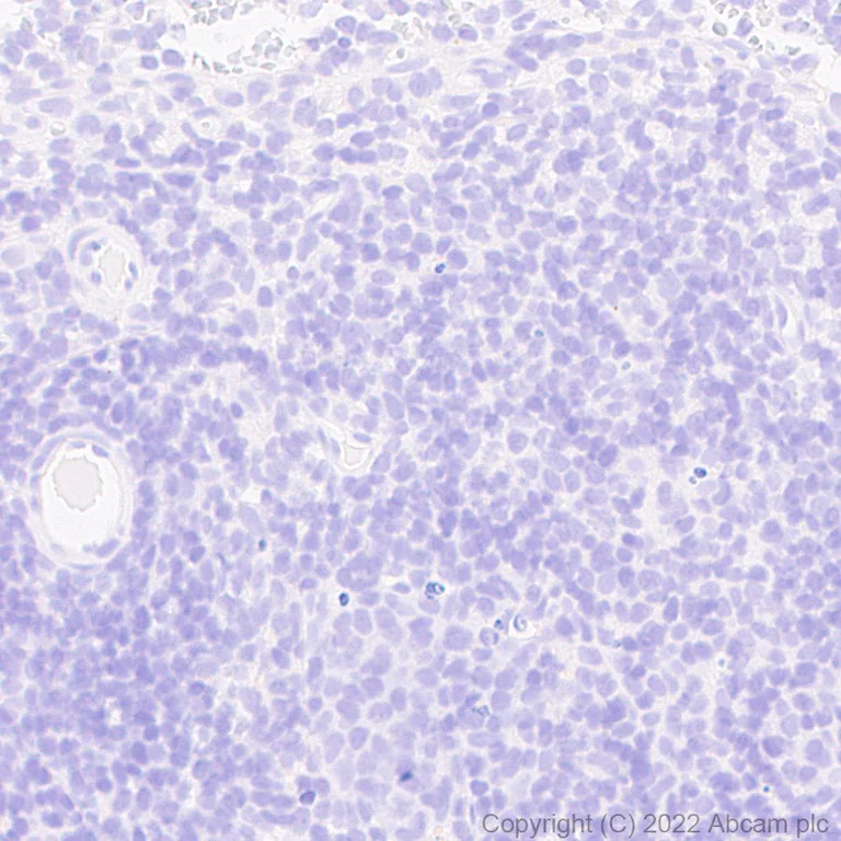
Immunohistochemical analysis of Paraffin-embedded sections of human tonsil tissue labelling SARS-CoV-2 NSP15 with ab284629 at 1/100 dilution, followed by a ready to use LeicaDS9800 (Bond™ Polymer Refine Detection). Counter stained with Haematoxylin. Secondary antibody only control : Used PBS instead of primary antibody

Negative control : no staining on human tonsil.

The section was incubated with ab284629 for 30 mins at room temperature. Heat mediated antigen retrieval using Bond™ Epitope Retrieval Solution 1 (pH 6.0) for 20 minutes.

The immunostaining was performed on a Leica Biosystems BOND® RX instrument.

Immunohistochemistry (Formalin/PFA-fixed paraffin-embedded sections) - Anti-SARS-CoV-2 nsp15 antibody [EPR24840-74] - BSA and Azide free (AB284630)
  • IHC-P

Lab

Immunohistochemistry (Formalin/PFA-fixed paraffin-embedded sections) - Anti-SARS-CoV-2 nsp15 antibody [EPR24840-74] - BSA and Azide free (AB284630)

This data was developed using ab284629, the same antibody clone in a different buffer formulation.

Immunohistochemical analysis of Paraffin-embedded sections A) HEK-293T transfected with SARS-CoV2 NSP15 expression vector containing a his tag (B) HEK-293T transfected with SARS-CoV-2 NSP9 expression vector containing a his tag labelling SARS-CoV-2 NSP15 with ab284629 at 1/100 dilution, followed by a ready to use LeicaDS9800 (Bond™ Polymer Refine Detection). Counter stained with Haematoxylin. Secondary antibody only control : Used PBS instead of primary antibody

Positive staining on HEK-293T transfected with SARS-CoV2 NSP15 expression vector containing a his tag (Image A); No staining on HEK-293T SARS-CoV-2 NSP9 expression vector containing a his tag. (Image B).

The section was incubated with ab284629 for 30 mins at room temperature. Heat mediated antigen retrieval using Bond™ Epitope Retrieval Solution 1 (pH 6.0) for 20 minutes.

The immunostaining was performed on a Leica Biosystems BOND® RX instrument.

Immunocytochemistry/ Immunofluorescence - Anti-SARS-CoV-2 nsp15 antibody [EPR24840-74] - BSA and Azide free (AB284630)
  • ICC/IF

Lab

Immunocytochemistry/ Immunofluorescence - Anti-SARS-CoV-2 nsp15 antibody [EPR24840-74] - BSA and Azide free (AB284630)

Immunofluorescent analysis of 4% paraformaldehyde-fixed, 0.1% Triton X-100 permeabilized HEK-293T (human epithelial cell line from embryonic kidney transformed with large T antigen) cells labelling SARS-CoV2 nsp15 with primary antibody anti-SARS-CoV-2 nsp15 antibody (ab284629) at 1/500 dilution, followed by AlexaFluor®488 Goat anti-Rabbit secondary antibody (green) (ab150081) at 1/1000 dilution. Myc-Tag Mouse mab (Alexa Fluor® 647) (red) was used to counterstain at 1/100 dilution. The nuclear counter stain is DAPI (blue).

Confocal image showing positive staining in HEK-293T cells transfected with a SARS-CoV2 nsp15 expression vector containing a myc tag, and no staining in HEK-293T cells transfected with a SARS-CoV2 nsp9 expression vector containing a myc tag. Image was taken with a confocal microscope (Leica-Microsystems, TCS SP8).

This data was developed using ab284629, the same antibody clone in a different buffer formulation.

Immunohistochemistry (Formalin/PFA-fixed paraffin-embedded sections) - Anti-SARS-CoV-2 nsp15 antibody [EPR24840-74] - BSA and Azide free (AB284630)
  • IHC-P

Lab

Immunohistochemistry (Formalin/PFA-fixed paraffin-embedded sections) - Anti-SARS-CoV-2 nsp15 antibody [EPR24840-74] - BSA and Azide free (AB284630)

This data was developed using ab284629, the same antibody clone in a different buffer formulation.

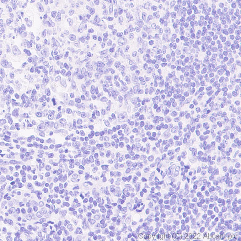
Immunohistochemical analysis of Paraffin-embedded sections of rat spleen tissue labelling SARS-CoV-2 NSP15 with ab284629 at 1/100 dilution, followed by a ready to use LeicaDS9800 (Bond™ Polymer Refine Detection). Counter stained with Haematoxylin. Secondary antibody only control : Used PBS instead of primary antibody

Negative control : no staining on rat spleen.

The section was incubated with ab284629 for 30 mins at room temperature. Heat mediated antigen retrieval using Bond™ Epitope Retrieval Solution 1 (pH 6.0) for 20 minutes.

The immunostaining was performed on a Leica Biosystems BOND® RX instrument.

Immunohistochemistry (Formalin/PFA-fixed paraffin-embedded sections) - Anti-SARS-CoV-2 nsp15 antibody [EPR24840-74] - BSA and Azide free (AB284630)
  • IHC-P

Lab

Immunohistochemistry (Formalin/PFA-fixed paraffin-embedded sections) - Anti-SARS-CoV-2 nsp15 antibody [EPR24840-74] - BSA and Azide free (AB284630)

This data was developed using ab284629, the same antibody clone in a different buffer formulation.

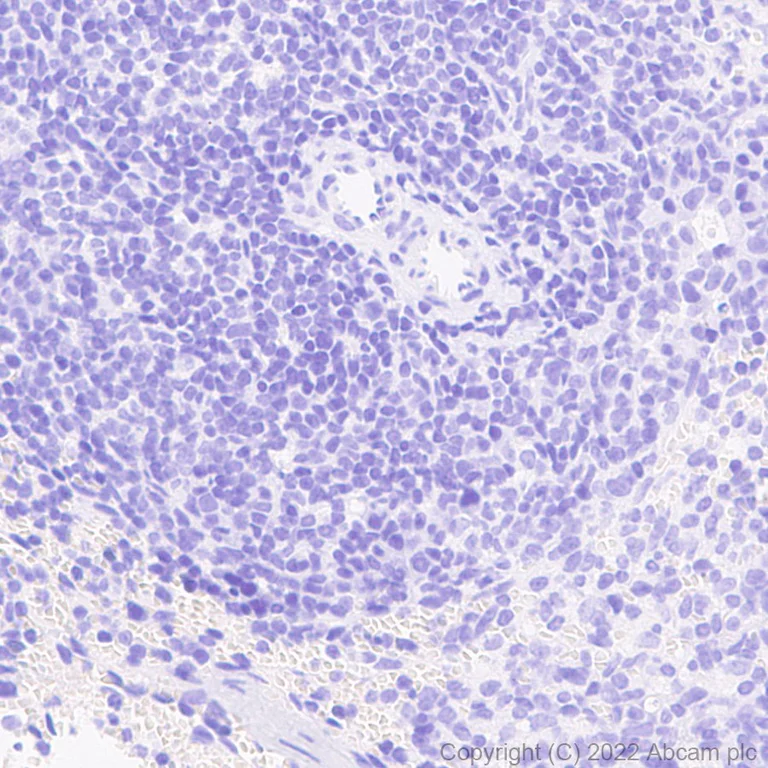
Immunohistochemical analysis of Paraffin-embedded sections of mouse spleen tissue labelling SARS-CoV-2 NSP15 with ab284629 at 1/100 dilution, followed by a ready to use LeicaDS9800 (Bond™ Polymer Refine Detection). Counter stained with Haematoxylin. Secondary antibody only control : Used PBS instead of primary antibody

Negative control : no staining on mouse spleen.

The section was incubated with ab284629 for 30 mins at room temperature. Heat mediated antigen retrieval using Bond™ Epitope Retrieval Solution 1 (pH 6.0) for 20 minutes.

The immunostaining was performed on a Leica Biosystems BOND® RX instrument.

Indirect ELISA - Anti-SARS-CoV-2 nsp15 antibody [EPR24840-74] - BSA and Azide free (AB284630)
  • I-ELISA

Lab

Indirect ELISA - Anti-SARS-CoV-2 nsp15 antibody [EPR24840-74] - BSA and Azide free (AB284630)

This data was developed using ab284629, the same antibody clone in a different buffer formulation.

Indirect ELISA showing primary antibody ab284629 binding to recombinant SARS-COV-2 NSP15 His-tag protein. Plates were coated with recombinant SARS-COV-2 NSP15 His-tag protein and recombinant SARS-COV-2 NSP9 His-tag protein at 1000 ng/ml. Binding of ab284629 was assessed in a serial dilution range 0.016- 1000 ng/ml (a 3-fold serial dilution).

Binding was detected using pre-adsorbed secondary antibody, goat anti-rabbit IgG H&L (HRP, ab97080) at 1/2000 dilution.

Western blot - Anti-SARS-CoV-2 nsp15 antibody [EPR24840-74] - BSA and Azide free (AB284630)
  • WB

Lab

Western blot - Anti-SARS-CoV-2 nsp15 antibody [EPR24840-74] - BSA and Azide free (AB284630)

This data was developed using ab284629, the same antibody clone in a different buffer formulation.

ab284630 was shown to bind specifically to SARS-CoV-2 NSP15 protein in Western blot.

Samples were run on an SDS-PAGE gel then transferred onto a nitrocellulose membrane. Membranes were blocked in 3 % milk in TBS-0.1 % Tween® 20 (TBS-T) before incubation with primary antibodies overnight at 4 °C. Blots were washed four times in TBS-T, incubated with secondary antibodies for 1 h at room temperature, washed again four times then imaged.

Secondary antibodies used were Goat anti-Rabbit IgG H&L (IRDye® 800CW) preabsorbed (ab216773) and Goat anti-Mouse IgG H&L (IRDye® 680RD) preabsorbed (ab216776) at 1/20000 dilution.

Blocking buffer : 3% milk in TBS-0.1% Tween® 20 (TBS-T)

Lanes 1 - 2:

Western blot - Anti-SARS-CoV-2 nsp15 antibody [EPR24840-74] (<a href='/en-us/products/primary-antibodies/sars-cov-2-nsp15-antibody-epr24840-74-ab284629'>ab284629</a>)

Lanes 3 - 4:

Western blot - Anti-SARS-CoV-2 nsp15 antibody [EPR24840-74] (<a href='/en-us/products/primary-antibodies/sars-cov-2-nsp15-antibody-epr24840-74-ab284629'>ab284629</a>) at 1/1000 dilution

Lanes 1 and 3:

Recombinant SARS-CoV2 NSP15 protein (His tagged) at 0.1 µg

Lanes 2 and 4:

Recombinant SARS-CoV2 NSP15 protein (His tagged) at 0.05 µg

Secondary

Lanes 1 - 2:

Western blot - Goat anti-Mouse IgG H&L (IRDye® 680RD) preadsorbed (<a href='/en-us/products/secondary-antibodies/goat-mouse-igg-h-l-irdye-680rd-preadsorbed-ab216776'>ab216776</a>) at 1/20000 dilution

Lanes 3 - 4:

Western blot - Goat anti-Rabbit IgG H&L (IRDye® 800CW) preadsorbed (<a href='/en-us/products/secondary-antibodies/goat-rabbit-igg-h-l-irdye-800cw-preadsorbed-ab216773'>ab216773</a>) at 1/20000 dilution

Predicted band size: 40 kDa

Observed band size: 40 kDa

false

Key facts

Host species

Rabbit

Clonality

Monoclonal

Clone number

EPR24840-74

Carrier free

Yes

Reacts with

SARS-CoV-2

Applications

WB, Flow Cyt, IHC-P, I-ELISA, ICC/IF

applications

Immunogen

The exact immunogen used to generate this antibody is proprietary information.

Reactivity data

{ "title": "Reactivity Data", "filters": { "stats": ["", "Species", "Dilution Info", "Notes"], "tabs": { "all-applications": {"fullname" : "All Applications", "shortname": "All Applications"}, "ICCIF" : {"fullname" : "Immunocytochemistry/ Immunofluorescence", "shortname":"ICC/IF"}, "FlowCyt" : {"fullname" : "Flow Cytometry", "shortname":"Flow Cyt"}, "IHCP" : {"fullname" : "Immunohistochemistry (Formalin/PFA-fixed paraffin-embedded sections)", "shortname":"IHC-P"}, "WB" : {"fullname" : "Western blot", "shortname":"WB"}, "IELISA" : {"fullname" : "Indirect ELISA", "shortname":"I-ELISA"} }, "product-promise": { "all": "all", "testedAndGuaranteed": "tested", "guaranteed": "expected", "predicted": "predicted", "notRecommended": "not-recommended" } }, "values": { "Recombinant full length protein - SARS-CoV-2": { "ICCIF-species-checked": "testedAndGuaranteed", "ICCIF-species-dilution-info": "", "ICCIF-species-notes": "<p></p>", "FlowCyt-species-checked": "testedAndGuaranteed", "FlowCyt-species-dilution-info": "", "FlowCyt-species-notes": "<p></p>", "IHCP-species-checked": "testedAndGuaranteed", "IHCP-species-dilution-info": "", "IHCP-species-notes": "<p></p>", "WB-species-checked": "notRecommended", "WB-species-dilution-info": "", "WB-species-notes": "", "IELISA-species-checked": "notRecommended", "IELISA-species-dilution-info": "", "IELISA-species-notes": "" }, "SARS-CoV-2": { "ICCIF-species-checked": "guaranteed", "ICCIF-species-dilution-info": "", "ICCIF-species-notes": "", "FlowCyt-species-checked": "guaranteed", "FlowCyt-species-dilution-info": "", "FlowCyt-species-notes": "", "IHCP-species-checked": "guaranteed", "IHCP-species-dilution-info": "", "IHCP-species-notes": "", "WB-species-checked": "testedAndGuaranteed", "WB-species-dilution-info": "", "WB-species-notes": "<p></p>", "IELISA-species-checked": "testedAndGuaranteed", "IELISA-species-dilution-info": "", "IELISA-species-notes": "<p></p>" } } }

Product details

ab284630 is a carrier free version of ab284629.

Patented technology
Our RabMAb® technology is a patented hybridoma-based technology for making rabbit monoclonal antibodies. For details on our patents, please refer to RabMAb® patents.

What are the advantages of a recombinant monoclonal antibody?
This product is a recombinant monoclonal antibody, which offers several advantages including:

  • - High batch-to-batch consistency and reproducibility
  • - Improved sensitivity and specificity
  • - Long-term security of supply
  • - Animal-free batch production

For more information, read more on recombinant antibodies.

Conjugation ready
Our carrier-free antibodies are typically supplied in a PBS-only formulation, purified and free of BSA, sodium azide and glycerol. This conjugation-ready format is designed for use with fluorochromes, metal isotopes, oligonucleotides, and enzymes, which makes them ideal for antibody labelling, functional and cell-based assays, flow-based assays (e.g. mass cytometry) and Multiplex Imaging applications.

Use our conjugation kits for antibody conjugates that are ready-to-use in as little as 20 minutes with 1 minute hands-on-time and 100% antibody recovery: available for fluorescent dyes, HRP, biotin and gold.

Compatibility
This product is compatible with the Maxpar® Antibody Labeling Kit from Fluidigm, without the need for antibody preparation. Maxpar® is a trademark of Fluidigm Canada Inc.

Properties and storage information

Form
Liquid
Purification technique
Affinity purification Protein A
Storage buffer
Constituents: 100% PBS
Shipped at conditions
Blue Ice
Appropriate short-term storage conditions
+4°C
Appropriate long-term storage conditions
+4°C
Storage information
Do Not Freeze

Supplementary information

This supplementary information is collated from multiple sources and compiled automatically.

SARS-CoV-2 nsp15 also known as non-structural protein 15 is an endoribonuclease with uridine-specific activity. It is expressed in the cytoplasm of cells infected by the virus. Nsp15 has a monomer mass of approximately 42 kDa. In its active form it typically assembles into a hexameric complex which is important for its enzymatic function. It helps in evading the host immune response by degrading double-stranded RNA intermediates preventing detection by the host's antiviral pathways.
Biological function summary

Nsp15 is an important participant in the viral replication machinery of SARS-CoV-2. Nsp15 as part of the replication and transcription complex processes viral RNA to promote efficient replication. This protein may interact indirectly with other non-structural proteins such as nsp8 and nsp12 which form part of the RNA-dependent RNA polymerase complex. By maintaining the integrity of viral RNA nsp15 ensures successful virus propagation.

Pathways

Nsp15 plays a significant role in the viral life cycle particularly in the genome replication and transcription pathways. This protein is connected to nsp10 and nsp14 which are involved in RNA proofreading and capping. These interactions support the virus in overcoming innate immune responses by ensuring proper RNA processing and replication. Through these pathways nsp15 contributes significantly to the viral survival and proliferation within the host.

Nsp15 is primarily linked to COVID-19. Its role in immune evasion makes it a target of interest in the study of viral pathogenesis and therapeutic interventions. Research has indicated potential interactions between nsp15 and host proteins that could impact disease progression. Furthermore its manipulation or inhibition could serve as a therapeutic strategy potentially reducing the ability of SARS-CoV-2 to spread within the host. Understanding these interactions could aid in the development of antiviral drugs targeting nsp15 specifically.

Product protocols

For this product, it's our understanding that no specific protocols are required. You can visit:

Target data

Replicase polyprotein 1ab. Multifunctional protein involved in the transcription and replication of viral RNAs. Contains the proteinases responsible for the cleavages of the polyprotein.. Host translation inhibitor nsp1. Inhibits host translation by associating with the open head conformation of the 40S subunit (PubMed : 32680882, PubMed : 32908316, PubMed : 33080218, PubMed : 33479166). The C-terminus binds to and obstructs ribosomal mRNA entry tunnel (PubMed : 32680882, PubMed : 32908316, PubMed : 33080218, PubMed : 33479166). Thereby inhibits antiviral response triggered by innate immunity or interferons (PubMed : 32680882, PubMed : 32979938, PubMed : 33080218). The nsp1-40S ribosome complex further induces an endonucleolytic cleavage near the 5'UTR of host mRNAs, targeting them for degradation (By similarity). This inhibits the integrated stress response (ISR) in the infected cell by preventing EIF2S1/eIF2-alpha phosphorylation upstream of stress granule formation and depletes host G3BP1 (PubMed : 36534661). Viral mRNAs less susceptible to nsp1-mediated inhibition of translation, because of their 5'-end leader sequence (PubMed : 32908316, PubMed : 33080218).. Non-structural protein 2. Enhances mRNA repression of the 4EHP-GYF2 complex in the host, thereby inhibiting the antiviral response and facilitating SARS-CoV-2 replication. Possibly acts in cooperation with nsp1, which induces ribosome stalling on host mRNA, triggering mRNA repression by the host 4EHP-GYF2 complex which is enhanced by nsp2.. Papain-like protease nsp3. Responsible for the cleavages located at the N-terminus of the replicase polyprotein. Participates together with nsp4 in the assembly of virally-induced cytoplasmic double-membrane vesicles necessary for viral replication (PubMed : 35551511). Antagonizes innate immune induction of type I interferon by blocking the phosphorylation, dimerization and subsequent nuclear translocation of host IRF3 (PubMed : 32733001). Also prevents host NF-kappa-B signaling (By similarity). In addition, PL-PRO possesses a deubiquitinating/deISGylating activity and processes both 'Lys-48'- and 'Lys-63'-linked polyubiquitin chains from cellular substrates (PubMed : 32726803). Cleaves preferentially ISG15 from antiviral protein IFIH1 (MDA5), but not RIGI (PubMed : 33727702). Can play a role in host ADP-ribosylation by ADP-ribose (PubMed : 32578982). Plays a role in the formation and maintenance of double membrane vesicles (DMVs) replication organelles (PubMed : 35551511). DMVs are formed by nsp3 and nsp4, while nsp6 zippers ER membranes and connects to lipid droplets (PubMed : 35551511).. Non-structural protein 4. Plays a role in the formation and maintenance of double membrane vesicles (DMVs) replication organelles (PubMed : 35551511). DMVs are formed by nsp3 and nsp4, while nsp6 zippers ER membranes and connects to lipid droplets (PubMed : 35551511).. 3C-like proteinase nsp5. Cleaves the C-terminus of replicase polyprotein at 11 sites (PubMed : 32321856). Recognizes substrates containing the core sequence [ILMVF]-Q-|-[SGACN] (PubMed : 32198291, PubMed : 32272481). Cleaves and inactivates human TRMT1, preventing tRNA guanine(26)-dimethylation of tRNAs (PubMed : 37073102, PubMed : 38814682, PubMed : 39773525). May cleave human NLRP1 in lung epithelial cells, thereby activating the NLRP1 inflammasome pathway (PubMed : 35594856). May cleave human GSDMD, triggering alternative GSDME-mediated epithelial cell death upon activation of the NLRP1 inflammasome, which may enhance the release interleukins 1B, 6, 16 and 18 (PubMed : 35594856). Also able to bind an ADP-ribose-1''-phosphate (ADRP) (PubMed : 32198291, PubMed : 32272481).. Non-structural protein 6. Plays a role in the formation and maintenance of double membrane vesicles (DMVs) replication organelles (PubMed : 35551511). DMVs are formed by nsp3 and nsp4, while nsp6 zippers ER membranes and connects to lipid droplets (PubMed : 35551511). LDs are consumed during DMV formation (PubMed : 35551511). Binds to host TBK1 without affecting TBK1 phosphorylation; the interaction with TBK1 decreases IRF3 phosphorylation, which leads to reduced IFN-beta production (PubMed : 32979938).. Non-structural protein 7. Plays a role in viral RNA synthesis (PubMed : 32277040, PubMed : 32358203, PubMed : 32438371, PubMed : 32526208). Forms a hexadecamer with nsp8 (8 subunits of each) that may participate in viral replication by acting as a primase. Alternatively, may synthesize substantially longer products than oligonucleotide primers (By similarity).. Non-structural protein 8. Plays a role in viral RNA synthesis (PubMed : 32277040, PubMed : 32358203, PubMed : 32438371, PubMed : 32526208). Forms a hexadecamer with nsp7 (8 subunits of each) that may participate in viral replication by acting as a primase. Alternatively, may synthesize substantially longer products than oligonucleotide primers (By similarity). Interacts with ribosome signal recognition particle RNA (SRP) (PubMed : 33080218). Together with NSP9, suppress protein integration into the cell membrane, thereby disrupting host immune defenses (PubMed : 33080218).. Viral protein genome-linked nsp9. Forms a primer, NSP9-pU, which is utilized by the polymerase for the initiation of RNA chains (PubMed : 37794589). Interacts with ribosome signal recognition particle RNA (SRP) (PubMed : 33080218). Together with NSP8, suppress protein integration into the cell membrane, thereby disrupting host immune defenses (PubMed : 33080218).. Non-structural protein 10. Plays a pivotal role in viral transcription by stimulating both nsp14 3'-5' exoribonuclease (By similarity) and nsp16 2'-O-methyltransferase activities (PubMed : 35944563). Therefore plays an essential role in viral mRNAs cap methylation.. RNA-directed RNA polymerase nsp12. RNA-directed RNA polymerase that catalyzes the transcription of viral genomic and subgenomic RNAs. Acts in complex with nsp7 and nsp8 to transcribe both the minus and positive strands of genomic RNA (PubMed : 32277040, PubMed : 32358203, PubMed : 32438371, PubMed : 32526208). The kinase-like NiRAN domain of NSP12 attaches one or more nucleotides to the amino terminus of NSP9, forming a covalent RNA-protein intermediate that serves as transcription/replication primer (PubMed : 37794589). Subgenomic RNAs (sgRNAs) are formed by discontinuous transcription : The polymerase has the ability to pause at transcription-regulating sequences (TRS) and jump to the leader TRS, resulting in a major deletion (PubMed : 35706445). This creates a series of subgenomic RNAs that are replicated, transcribed and translated (PubMed : 35706445). In addition, Nsp12 is a subunit of the viral RNA capping enzyme that catalyzes the RNA guanylyltransferase reaction for genomic and sub-genomic RNAs (PubMed : 35944563). Subsequently, the NiRAN domain transfers RNA to GDP, and forms the core cap structure GpppA-RNA (PubMed : 35944563).. Helicase nsp13. Plays a role in viral RNA synthesis (PubMed : 33232691). Multi-functional protein with a zinc-binding domain in N-terminus displaying RNA and DNA duplex-unwinding activities with 5' to 3' polarity. Activity of helicase is dependent on magnesium (By similarity). Binds to host TBK1 and inhibits TBK1 phosphorylation; the interaction with TBK1 decreases IRF3 phosphorylation, which leads to reduced IFN-beta production (PubMed : 32979938).. Guanine-N7 methyltransferase nsp14. Plays a role in viral RNA synthesis through two distinct activities. The N7-guanine methyltransferase activity plays a role in the formation of the cap structure GpppA-RNA (PubMed : 35944563). The proofreading exoribonuclease reduces the sensitivity of the virus to RNA mutagens during replication (By similarity). This activity acts on both ssRNA and dsRNA in a 3'-5' direction (By similarity).. Uridylate-specific endoribonuclease nsp15. Plays a role in viral transcription/replication and prevents the simultaneous activation of host cell dsRNA sensors, such as MDA5/IFIH1, OAS, and PKR (By similarity). Acts by degrading the 5'-polyuridines generated during replication of the poly(A) region of viral genomic and subgenomic RNAs (PubMed : 33504779, PubMed : 33564093). Catalyzes a two-step reaction in which a 2'3'-cyclic phosphate (2'3'-cP) is first generated by 2'-O transesterification, which is then hydrolyzed to a 3'-phosphate (3'-P) (PubMed : 33504779, PubMed : 33564093). If not degraded, poly(U) RNA would hybridize with poly(A) RNA tails and activate host dsRNA sensors (By similarity). May bind genomic dsRNA in association with the replication-transcription complex (RTC), and play a role in nsp12 discontinous transcription (PubMed : 34562452, PubMed : 35706445).. 2'-O-methyltransferase nsp16. Methyltransferase that mediates mRNA cap 2'-O-ribose methylation to the 5'-cap structure of viral mRNAs (PubMed : 35944563). N7-methyl guanosine cap is a prerequisite for binding of nsp16 (PubMed : 35944563). Therefore, it plays an essential role in cap methylation of viral mRNAs, which is essential to evade the immune system, especially when restricted by human IFIT1 and IFIT3 (PubMed : 35944563, PubMed : 36722972, PubMed : 36285486). May disrupt host mRNA splicing in nucleus by interacting with pre-mRNA Recognition Domains of the U1 and U2 snRNAs (PubMed : 33080218).
See full target information rep

Additional targets

rep

Product promise

We are committed to supporting your work with high-quality reagents, and we're here for you every step of the way. In the unlikely event that one of our products does not perform as expected, you're protected by our Product Promise.
For full details, please see our Terms & Conditions

Please note: All products are 'FOR RESEARCH USE ONLY. NOT FOR USE IN DIAGNOSTIC OR THERAPEUTIC PROCEDURES'.

For licensing inquiries, please contact partnerships@abcam.com