JavaScript is disabled in your browser. Please enable JavaScript to view this website.
AB280201

Anti-SARS-CoV-2 nucleocapsid protein antibody [EPR24334-118] - BSA and Azide free

5

(3 Reviews)

|

(0 Publication)

Rabbit Recombinant Monoclonal NCAP antibody. Carrier free. Suitable for ICC/IF, IP, ELISA, WB, IHC-P, Flow Cyt (Intra) and reacts with Recombinant fragment - SARS-CoV-2, SARS-CoV-2, Recombinant full length protein - SARS-CoV-2 samples.

View Alternative Names

Nucleoprotein, N, Nucleocapsid protein, NC, Protein N

15 Images
Immunocytochemistry/ Immunofluorescence - Anti-SARS-CoV-2 nucleocapsid protein antibody [EPR24334-118] - BSA and Azide free (AB280201)
  • ICC/IF

Supplier Data

Immunocytochemistry/ Immunofluorescence - Anti-SARS-CoV-2 nucleocapsid protein antibody [EPR24334-118] - BSA and Azide free (AB280201)

This data was developed using ab271180, the same antibody clone in a different buffer formulation.

Immunofluorescent analysis of 4% Paraformaldehyde-fixed, 0.1% TritonX-100-permeabilized 293T cells transfected with myc-tagged SARS-CoV-2 Nucleocapsid protein expression vector labelling SARS-CoV-2 with ab271180 at 1/1000 dilution, followed by ab150080 Goat Anti-Rabbit IgG H&L (Alexa Fluor® 594) antibody at 1/1000 dilution (Red). ab202008 Anti-Myc tag mouse monoclonal antibody (Alexa Fluor® 488) was used to counterstain Myc tag at 1/200 dilution (Green). The nuclear counterstain was DAPI (Blue). Confocal image showing cytoplasmic staining in 293T cells transfected with myc-tagged SARS-CoV-2 Nucleocapsid protein expression vector.

Immunohistochemistry (Formalin/PFA-fixed paraffin-embedded sections) - Anti-SARS-CoV-2 nucleocapsid protein antibody [EPR24334-118] - BSA and Azide free (AB280201)
  • IHC-P

Supplier Data

Immunohistochemistry (Formalin/PFA-fixed paraffin-embedded sections) - Anti-SARS-CoV-2 nucleocapsid protein antibody [EPR24334-118] - BSA and Azide free (AB280201)

This data was developed using ab271180, the same antibody clone in a different buffer formulation.

Immunohistochemical analysis of paraffin-embedded Human lung labeling SARS-CoV-2 with ab271180 at 1/4000 dilution followed by ready to use Goat Anti-Rabbit IgG H&L (HRP polymer). Negative control : No staining on human lung. The section was incubated with ab271180 for 30 mins at room temperature. The immunostaining was performed on a Leica Biosystems BOND® RX instrument. Counterstained with Hematoxylin.

Secondary antibody only control : Goat Anti-Rabbit IgG H&L (HRP polymer).

Heat mediated antigen retrieval with Tris-EDTA buffer (pH 9.0, epitope retrieval solution2) for 20 mins.

Flow Cytometry (Intracellular) - Anti-SARS-CoV-2 nucleocapsid protein antibody [EPR24334-118] - BSA and Azide free (AB280201)
  • Flow Cyt (Intra)

Supplier Data

Flow Cytometry (Intracellular) - Anti-SARS-CoV-2 nucleocapsid protein antibody [EPR24334-118] - BSA and Azide free (AB280201)

This data was developed using ab271180, the same antibody clone in a different buffer formulation.

Flow cytometric analysis of 4% paraformaldehyde fixed 90% methanol permeabilized HEK-293T (human embryonic kidney) transfected with myc-tagged SARS-CoV-1 Nucleocapsid protein expression construct (Left)/ HEK-293T (human embryonic kidney) transfected with myc-tagged MERS Nucleocapsid protein expression construct (Right).

A Goat anti rabbit IgG (Alexa Fluor® 488, ab150077 at 1/2000 dilution was used as the secondary antibody.

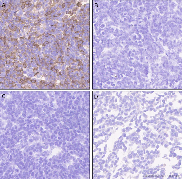
Immunohistochemistry (Formalin/PFA-fixed paraffin-embedded sections) - Anti-SARS-CoV-2 nucleocapsid protein antibody [EPR24334-118] - BSA and Azide free (AB280201)
  • IHC-P

Supplier Data

Immunohistochemistry (Formalin/PFA-fixed paraffin-embedded sections) - Anti-SARS-CoV-2 nucleocapsid protein antibody [EPR24334-118] - BSA and Azide free (AB280201)

This data was developed using ab271180, the same antibody clone in a different buffer formulation.

Immunohistochemical analysis of paraffin-embedded HEK-293T (human epithelial cell line from embryonic kidney transformed with large T antigen) transfected with SARS-CoV-2 Nucleocapsid protein expression vector containing a myc-His-tag® (Panel A)
HEK-293T transfected with SARS-CoV-1 Nucleocapsid protein expression vector containing a myc-His-tag® (Panel B) HEK-293T transfected with MERS Nucleocapsid protein expression vector containing a myc-His-tag® (Panel C) HEK-293T transfected with control vector containing a myc-His-tag® (Panel D) with 271180 at 1/4000 dilution followed by ready to use Goat Anti-Rabbit IgG H&L (HRP polymer). Positive staining on (A) HEK-293T transfected with a SARS-CoV-2 Nucleocapsid protein expression vector is observed. No staining on (B) HEK-293T transfected with a SARS-CoV-1 Nucleocapsid protein expression vector, (C) HEK-293T transfected with MERS Nucleocapsid protein expression vector and (D) HEK-293T transfected with empty vector. The section was incubated with ab271180 for 30 mins at room temperature. The immunostaining was performed on a Leica Biosystems BOND® RX instrument. Counterstained with Hematoxylin.

Heat mediated antigen retrieval with Tris-EDTA buffer (pH 9.0, epitope retrieval solution2) for 20 mins

Immunocytochemistry/ Immunofluorescence - Anti-SARS-CoV-2 nucleocapsid protein antibody [EPR24334-118] - BSA and Azide free (AB280201)
  • ICC/IF

Supplier Data

Immunocytochemistry/ Immunofluorescence - Anti-SARS-CoV-2 nucleocapsid protein antibody [EPR24334-118] - BSA and Azide free (AB280201)

This data was developed using ab271180, the same antibody clone in a different buffer formulation.

Immunofluorescent analysis of 4% Paraformaldehyde-fixed, 0.1% TritonX-100-permeabilized 293T cells transfected with myc-tagged SARS-CoV-1 and MERS Nucleocapsid protein labelling SARS-CoV-2 with ab271180 at 1/1000 dilution, followed by ab150080 Goat Anti-Rabbit IgG H&L (Alexa Fluor® 594) antibody at 1/1000 dilution. ab202008 Anti-Myc tag mouse monoclonal antibody (Alexa Fluor® 488) was used to counterstain Myc tag at 1/200 dilution (Green). The nuclear counterstain was DAPI (Blue). Confocal image showing no staining in 293T cells transfected with myc-tagged SARS-CoV-1 and MERS Nucleocapsid protein, which are negative controls for SARS-CoV-2.

Flow Cytometry (Intracellular) - Anti-SARS-CoV-2 nucleocapsid protein antibody [EPR24334-118] - BSA and Azide free (AB280201)
  • Flow Cyt (Intra)

Supplier Data

Flow Cytometry (Intracellular) - Anti-SARS-CoV-2 nucleocapsid protein antibody [EPR24334-118] - BSA and Azide free (AB280201)

This data was developed using ab271180, the same antibody clone in a different buffer formulation.

Flow cytometric analysis of 4% paraformaldehyde fixed 90% methanol permeabilized HEK-293T (human embryonic kidney) transfected with myc-tagged SARS-CoV-2 Nucleocapsid protein expression construct labelling SARS-CoV-2 with ab271180 at 1/500 dilution (Right) compared with a Rabbit monoclonal IgG (ab172730) (Left) isotype control.

A Goat anti rabbit IgG (Alexa Fluor® 488, ab150077 at 1/2000 dilution was used as the secondary antibody.

Immunoprecipitation - Anti-SARS-CoV-2 nucleocapsid protein antibody [EPR24334-118] - BSA and Azide free (AB280201)
  • IP

Supplier Data

Immunoprecipitation - Anti-SARS-CoV-2 nucleocapsid protein antibody [EPR24334-118] - BSA and Azide free (AB280201)

This data was developed using ab271180, the same antibody clone in a different buffer formulation.

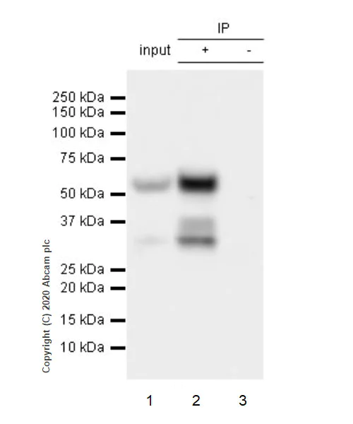
SARS-CoV-2 was immunoprecipitated from 0.35 mg HEK-293T (human embryonic kidney) transfected with SARS-CoV-2 Nucleocapsid protein expression vector containing a myc-His-tag®, whole cell lysate 5 μg with ab271180 at 1/30 dilution (2μg in 0.35mg lysates). Western blot was performed on the immunoprecipitate using ab267373 at 1/1000 dilution. VeriBlot for IP Detection Reagent (HRP)(ab131366) was used at 1/5000 dilution.

Lane 1 : HEK-293T (human embryonic kidney) transfected with SARS-CoV-2 Nucleocapsid protein expression vector containing a myc-His-tag® whole cell lysate 5 μg

Lane 2 : ab271180 IP in HEK-293T transfected with SARS-CoV-2 Nucleocapsid protein expression vector containing a myc-His-tag® whole cell lysate.

Lane 3 : Rabbit monoclonal IgG (ab172730) instead of ab271180 in HEK-293T transfected with SARS-CoV-2 Nucleocapsid protein expression vector containing a myc-His-tag® whole cell lysate

Blocking and dilution buffer and concentration : 5% NFDM/TBST.

Exposure time : 3.25 seconds.

All lanes:

Immunoprecipitation - Rabbit monoclonal [EPR24334-118] to SARS-CoV-2 nucleocapsid protein (<a href='/en-us/products/primary-antibodies/rabbit-monoclonal-epr24334-118-to-sars-cov-2-nucleocapsid-protein-ab271180'>ab271180</a>)

Observed band size: 51 kDa

false

ELISA - Anti-SARS-CoV-2 nucleocapsid protein antibody [EPR24334-118] - BSA and Azide free (AB280201)
  • ELISA

Lab

ELISA - Anti-SARS-CoV-2 nucleocapsid protein antibody [EPR24334-118] - BSA and Azide free (AB280201)

Plates were coated with Recombinant Human coronavirus SARS-CoV-2 nucleocapsid protein (His tag, ab273530) and Recombinant Human coronavirus SARS Nucleocapsid Protein (ab270829) at 500 ng/ml.

Primary antibody (ab280201) concentration range 0.045-100 ng /ml.

Pre-adsorbed secondary antibody, goat anti-rabbit IgG H&L (HRP, ab97080) used at 1/2000 dilution.

Immunohistochemistry (Formalin/PFA-fixed paraffin-embedded sections) - Anti-SARS-CoV-2 nucleocapsid protein antibody [EPR24334-118] - BSA and Azide free (AB280201)
  • IHC-P

Supplier Data

Immunohistochemistry (Formalin/PFA-fixed paraffin-embedded sections) - Anti-SARS-CoV-2 nucleocapsid protein antibody [EPR24334-118] - BSA and Azide free (AB280201)

This data was developed using ab271180, the same antibody clone in a different buffer formulation.

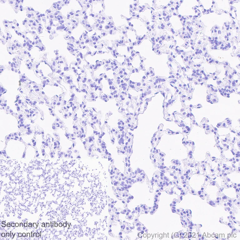
Immunohistochemical analysis of paraffin-embedded Mouse lung labeling SARS-CoV-2 with ab271180 at 1/4000 dilution followed by ready to use Goat Anti-Rabbit IgG H&L (HRP polymer). Negative control : No staining on Mouse lung. The section was incubated with ab271180 for 30 mins at room temperature. The immunostaining was performed on a Leica Biosystems BOND® RX instrument. Counterstained with Hematoxylin.

Secondary antibody only control : Goat Anti-Rabbit IgG H&L (HRP polymer).

Heat mediated antigen retrieval with Tris-EDTA buffer (pH 9.0, epitope retrieval solution2) for 20 mins.

Immunohistochemistry (Formalin/PFA-fixed paraffin-embedded sections) - Anti-SARS-CoV-2 nucleocapsid protein antibody [EPR24334-118] - BSA and Azide free (AB280201)
  • IHC-P

Supplier Data

Immunohistochemistry (Formalin/PFA-fixed paraffin-embedded sections) - Anti-SARS-CoV-2 nucleocapsid protein antibody [EPR24334-118] - BSA and Azide free (AB280201)

This data was developed using ab271180, the same antibody clone in a different buffer formulation.

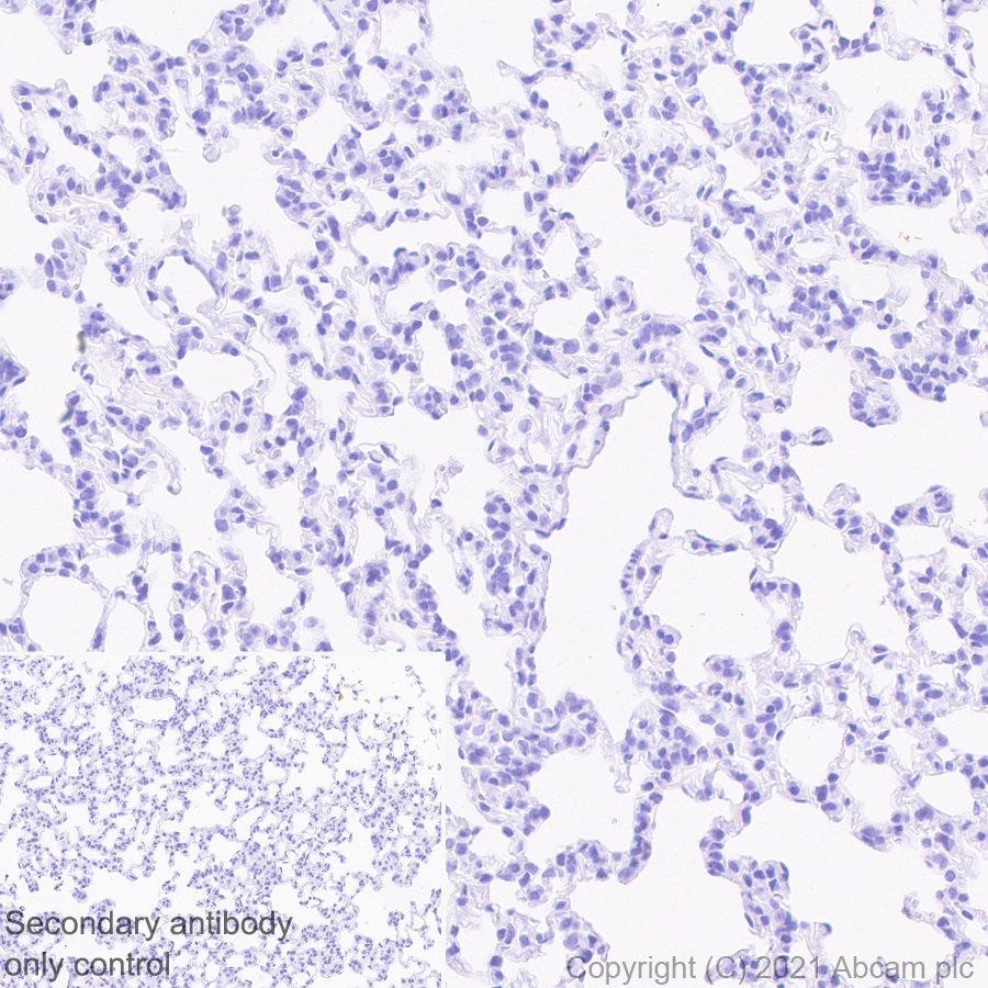
Immunohistochemical analysis of paraffin-embedded Rat lung labeling SARS-CoV-2 with ab271180 at 1/4000 dilution followed by ready to use Goat Anti-Rabbit IgG H&L (HRP polymer). Negative control : No staining on Rat lung. The section was incubated with ab271180 for 30 mins at room temperature. The immunostaining was performed on a Leica Biosystems BOND® RX instrument. Counterstained with Hematoxylin.

Secondary antibody only control : Goat Anti-Rabbit IgG H&L (HRP polymer).

Heat mediated antigen retrieval with Tris-EDTA buffer (pH 9.0, epitope retrieval solution2) for 20 mins.

Immunocytochemistry/ Immunofluorescence - Anti-SARS-CoV-2 nucleocapsid protein antibody [EPR24334-118] - BSA and Azide free (AB280201)
  • ICC/IF

Supplier Data

Immunocytochemistry/ Immunofluorescence - Anti-SARS-CoV-2 nucleocapsid protein antibody [EPR24334-118] - BSA and Azide free (AB280201)

This data was developed using ab271180, the same antibody clone in a different buffer formulation.

Immunofluorescent analysis of 4% Paraformaldehyde-fixed, 0.1% TritonX-100-permeabilized Vero cells labelling SARS-CoV-2 with ab271180 at 1/1000 dilution, followed by ab150077 Goat Anti-Rabbit IgG H&L (Alexa Fluor® 488) antibody at 1/500 dilution. Fluorescent image showing positve staining in Vero cells after infecting with SARS-CoV-2 virus for 48 h. Nuclear counter stain DAPI.
Two indenpendent optical fields were captured for imaging at each given antibody dilution.

This piece of data was kindly provided by Dr. Hangping Yao, State Key Laboratory for Diagnosis and Treatment of Infectious Diseases in Zhejiang University, School of Medicine

Western blot - Anti-SARS-CoV-2 nucleocapsid protein antibody [EPR24334-118] - BSA and Azide free (AB280201)
  • WB

Lab

Western blot - Anti-SARS-CoV-2 nucleocapsid protein antibody [EPR24334-118] - BSA and Azide free (AB280201)

Samples

Lanes 1 & 3 : Recombinant Human coronavirus SARS-CoV-2 Nucleocapsid Protein (His tag) (ab273530) (0.1 μg)

Lanes 2 & 4 : Recombinant Human coronavirus SARS-CoV-2 Nucleocapsid Protein (His tag) (ab272107) (0.1 μg)

Green : Rabbit monoclonal [EPR24334-118] to SARS-CoV-2 nucleocapsid protein - BSA and Azide free (ab280201)

Red : Mouse monoclonal [HIS.H8] to 6X His tag® (ab18184)

Lanes 1 & 2 : Green - ab280201 observed at 50 kDa.

Lanes 3 & 4 : Red - loading control Mouse anti-6x HisTag observed at 50 kDa.

ab280201 was shown to react with SARS-CoV-2 nucleocapsid protein in Western blot. Membranes were blocked in 3% milk before incubation with ab271180 and Mouse anti-6x HisTag overnight at 4 °C at a 1/1000 dilution. Blots were incubated with Goat anti-Rabbit IgG H&L (IRDye® 800CW) preabsorbed (ab216773) and Goat anti-Mouse IgG H&L (IRDye® 680RD) preabsorbed (ab216776) secondary antibodies at 1/20000 dilution for 1 h at room temperature before imaging.

All lanes:

Western blot - Anti-SARS-CoV-2 nucleocapsid protein antibody [EPR24334-118] - BSA and Azide free (ab280201)

All lanes:

Western blot - Recombinant Human coronavirus SARS-CoV-2 nucleocapsid protein (His tag) (<a href='/en-us/products/proteins-peptides/recombinant-human-coronavirus-sars-cov-2-nucleocapsid-protein-his-tag-ab273530'>ab273530</a>)

Observed band size: 50 kDa

false

Western blot - Anti-SARS-CoV-2 nucleocapsid protein antibody [EPR24334-118] - BSA and Azide free (AB280201)
  • WB

Lab

Western blot - Anti-SARS-CoV-2 nucleocapsid protein antibody [EPR24334-118] - BSA and Azide free (AB280201)

Lanes 1 - 3 : Green - ab271180 observed at 51 kDa. Lanes 4 - 6 : Red - loading control ab18184 (Mouse monoclonal [HIS.H8] to 6X His tag®) observed at 51 kDa.

ab271180 was shown to react with SARS-CoV-2 nucleocapsid protein in Western blot. Membranes were blocked in 3 % milk in TBS-T (0.1 % Tween®) before incubation with ab271180 and ab18184 (Mouse monoclonal [HIS.H8] to 6X His tag®) overnight at 4 °C at a 1 in 1000 dilution of both antibodies. Blots were incubated with Goat anti-Rabbit IgG H&L (IRDye® 800CW) preabsorbed (ab216773) and Goat anti-Mouse IgG H&L (IRDye® 680RD) preabsorbed (ab216776) secondary antibodies at 1 in 20000 dilution for 1 h at room temperature before imaging.

All lanes:

Western blot - Anti-SARS-CoV-2 nucleocapsid protein antibody [EPR24334-118] - BSA and Azide free (ab280201)

Lanes 1 and 4:

Western blot - Recombinant Human coronavirus SARS-CoV-2 nucleocapsid protein (His tag) (<a href='/en-us/products/proteins-peptides/recombinant-human-coronavirus-sars-cov-2-nucleocapsid-protein-his-tag-ab273530'>ab273530</a>) at 0.1 µg

Lanes 2, 3 and 5:

Recombinant Human coronavirus SARS Nucleocapsid Protein (ab270829) at 0.1 µg

Lane 6:

Western blot - Recombinant Human coronavirus SARS-CoV-2 Nucleocapsid Protein (His tag) (<a href='/en-us/products/proteins-peptides/recombinant-human-coronavirus-sars-cov-2-nucleocapsid-protein-his-tag-ab272107'>ab272107</a>) at 0.1 µg

Observed band size: 51 kDa

false

Western blot - Anti-SARS-CoV-2 nucleocapsid protein antibody [EPR24334-118] - BSA and Azide free (AB280201)
  • WB

Supplier Data

Western blot - Anti-SARS-CoV-2 nucleocapsid protein antibody [EPR24334-118] - BSA and Azide free (AB280201)

This data was developed using ab271180, the same antibody clone in a different buffer formulation.

Blocking and diluting buffer and concentration : 5% NFDM/TBST.

Data was kindly provided by Dr. Hangping Yao, State Key Laboratory for Diagnosis and Treatment of Infectious Diseases in Zhejiang University, School of Medicine.

All lanes:

Western blot - Rabbit monoclonal [EPR24334-118] to SARS-CoV-2 nucleocapsid protein (<a href='/en-us/products/primary-antibodies/rabbit-monoclonal-epr24334-118-to-sars-cov-2-nucleocapsid-protein-ab271180'>ab271180</a>) at 1/1000 dilution

Lane 1:

SARS-CoV-2 Nucleocapsid Recombinant Protein at 0.1 µg

Lane 2:

SARS-CoV-2 infected Vero for 48 hours

Lane 3:

Uninfected Vero

Observed band size: 51 kDa

false

Western blot - Anti-SARS-CoV-2 nucleocapsid protein antibody [EPR24334-118] - BSA and Azide free (AB280201)
  • WB

Collaborator

Western blot - Anti-SARS-CoV-2 nucleocapsid protein antibody [EPR24334-118] - BSA and Azide free (AB280201)

This data was developed using ab271180, the same antibody clone in a different buffer formulation.

Blocking and diluting buffer and concentration : 5% NFDM/TBST.

Exposure time 7.75 seconds

All lanes:

Western blot - Rabbit monoclonal [EPR24334-118] to SARS-CoV-2 nucleocapsid protein (<a href='/en-us/products/primary-antibodies/rabbit-monoclonal-epr24334-118-to-sars-cov-2-nucleocapsid-protein-ab271180'>ab271180</a>) at 1/1000 dilution

Lane 1:

HEK-293T (human embryonic kidney) transfected with SARS-CoV-2 Nucleocapsid protein expression vector containing a myc-His-tag®, whole cell lysate at 10 µg

Lane 2:

HEK-293T (human embryonic kidney) transfected with SARS-CoV-1 Nucleocapsid protein expression vector containing a myc-His-tag®, whole cell lysate at 10 µg

Lane 3:

HEK-293T (human embryonic kidney) transfected with MERS Nucleocapsid protein expression vector containing a myc-His-tag®, whole cell lysate at 10 µg

Secondary

All lanes:

Western blot - Goat Anti-Rabbit IgG H&L (HRP) (<a href='/en-us/products/secondary-antibodies/goat-rabbit-igg-h-l-hrp-ab97051'>ab97051</a>) at 1/100000 dilution

Observed band size: 51 kDa

false

  • Unconjugated

    Rabbit monoclonal [EPR24334-118] to SARS-CoV-2 nucleocapsid protein

  • 578 PE

    PE Anti-SARS-CoV-2 nucleocapsid protein antibody [EPR24334-118]

  • 519 Alexa Fluor® 488

    Alexa Fluor® 488 Anti-SARS-CoV-2 nucleocapsid protein antibody [EPR24334-118]

  • 665 Alexa Fluor® 647

    Alexa Fluor® 647 Anti-SARS-CoV-2 nucleocapsid protein antibody [EPR24334-118]

Key facts

Host species

Rabbit

Clonality

Monoclonal

Clone number

EPR24334-118

Isotype

IgG

Carrier free

Yes

Reacts with

SARS-CoV-2

Applications

WB, Flow Cyt (Intra), ICC/IF, IHC-P, ELISA, IP

applications

Immunogen

The exact immunogen used to generate this antibody is proprietary information.

Reactivity data

{ "title": "Reactivity Data", "filters": { "stats": ["", "Species", "Dilution Info", "Notes"], "tabs": { "all-applications": {"fullname" : "All Applications", "shortname": "All Applications"}, "ICCIF" : {"fullname" : "Immunocytochemistry/ Immunofluorescence", "shortname":"ICC/IF"}, "IP" : {"fullname" : "Immunoprecipitation", "shortname":"IP"}, "ELISA" : {"fullname" : "ELISA", "shortname":"ELISA"}, "WB" : {"fullname" : "Western blot", "shortname":"WB"}, "IHCP" : {"fullname" : "Immunohistochemistry (Formalin/PFA-fixed paraffin-embedded sections)", "shortname":"IHC-P"}, "FlowCytIntra" : {"fullname" : "Flow Cytometry (Intracellular)", "shortname":"Flow Cyt (Intra)"} }, "product-promise": { "all": "all", "testedAndGuaranteed": "tested", "guaranteed": "expected", "predicted": "predicted", "notRecommended": "not-recommended" } }, "values": { "Recombinant fragment - SARS-CoV-2": { "ICCIF-species-checked": "testedAndGuaranteed", "ICCIF-species-dilution-info": "", "ICCIF-species-notes": "<p></p>", "IP-species-checked": "testedAndGuaranteed", "IP-species-dilution-info": "", "IP-species-notes": "<p></p>", "ELISA-species-checked": "notRecommended", "ELISA-species-dilution-info": "", "ELISA-species-notes": "", "WB-species-checked": "testedAndGuaranteed", "WB-species-dilution-info": "", "WB-species-notes": "<p></p>", "IHCP-species-checked": "testedAndGuaranteed", "IHCP-species-dilution-info": "", "IHCP-species-notes": "<p></p>", "FlowCytIntra-species-checked": "testedAndGuaranteed", "FlowCytIntra-species-dilution-info": "", "FlowCytIntra-species-notes": "<p></p>" }, "Recombinant full length protein - SARS-CoV-2": { "ICCIF-species-checked": "notRecommended", "ICCIF-species-dilution-info": "", "ICCIF-species-notes": "", "IP-species-checked": "notRecommended", "IP-species-dilution-info": "", "IP-species-notes": "", "ELISA-species-checked": "testedAndGuaranteed", "ELISA-species-dilution-info": "", "ELISA-species-notes": "<p></p>", "WB-species-checked": "testedAndGuaranteed", "WB-species-dilution-info": "", "WB-species-notes": "<p></p>", "IHCP-species-checked": "notRecommended", "IHCP-species-dilution-info": "", "IHCP-species-notes": "", "FlowCytIntra-species-checked": "notRecommended", "FlowCytIntra-species-dilution-info": "", "FlowCytIntra-species-notes": "" }, "SARS-CoV-2": { "ICCIF-species-checked": "testedAndGuaranteed", "ICCIF-species-dilution-info": "", "ICCIF-species-notes": "<p></p>", "IP-species-checked": "guaranteed", "IP-species-dilution-info": "", "IP-species-notes": "", "ELISA-species-checked": "guaranteed", "ELISA-species-dilution-info": "", "ELISA-species-notes": "", "WB-species-checked": "testedAndGuaranteed", "WB-species-dilution-info": "", "WB-species-notes": "<p></p>", "IHCP-species-checked": "guaranteed", "IHCP-species-dilution-info": "", "IHCP-species-notes": "", "FlowCytIntra-species-checked": "guaranteed", "FlowCytIntra-species-dilution-info": "", "FlowCytIntra-species-notes": "" } } }

Product details

This antibody is developed with the collaboration of Dr. Hangping Yao, State Key Laboratory for Diagnosis and Treatment of Infectious Diseases in Zhejiang University, School of Medicine.

ab280201 is the carrier-free version of ab271180.

Patented technology
Our RabMAb® technology is a patented hybridoma-based technology for making rabbit monoclonal antibodies. For details on our patents, please refer to RabMAb® patents.

What are the advantages of a recombinant monoclonal antibody?
This product is a recombinant monoclonal antibody, which offers several advantages including:

  • - High batch-to-batch consistency and reproducibility
  • - Improved sensitivity and specificity
  • - Long-term security of supply
  • - Animal-free batch production

For more information, read more on recombinant antibodies.

Conjugation ready
Our carrier-free antibodies are typically supplied in a PBS-only formulation, purified and free of BSA, sodium azide and glycerol. This conjugation-ready format is designed for use with fluorochromes, metal isotopes, oligonucleotides, and enzymes, which makes them ideal for antibody labelling, functional and cell-based assays, flow-based assays (e.g. mass cytometry) and Multiplex Imaging applications.

Use our conjugation kits for antibody conjugates that are ready-to-use in as little as 20 minutes with 1 minute hands-on-time and 100% antibody recovery: available for fluorescent dyes, HRP, biotin and gold.

Compatibility
This product is compatible with the Maxpar® Antibody Labeling Kit from Fluidigm, without the need for antibody preparation. Maxpar® is a trademark of Fluidigm Canada Inc.

Properties and storage information

Form
Liquid
Purification technique
Affinity purification Protein A
Storage buffer
Constituents: PBS
Shipped at conditions
Blue Ice
Appropriate short-term storage conditions
+4°C
Appropriate long-term storage conditions
+4°C

Supplementary information

This supplementary information is collated from multiple sources and compiled automatically.

The SARS-CoV-2 nucleocapsid protein also known as N protein plays a central role in the packaging and replication of the viral RNA genome. It functions mechanically by binding to the viral RNA to facilitate its replication and encapsidation. The nucleocapsid protein is expressed within the virus-infected cells particularly in the cytoplasm. It is a highly conserved structural protein of the virus and has a molecular weight of approximately 50 kDa. Additionally the nucleocapsid protein aids in RNA binding and is essential for the virus's structural stability.
Biological function summary

The nucleocapsid protein of SARS-CoV-2 is involved in maintaining the integrity of the viral genome. It forms a ribonucleoprotein complex with the viral RNA which is necessary for viral replication. The nucleocapsid protein is integral in the formation of the virus's structure and assists in the assembly and release of new virus particles. It interacts with other viral proteins contributing to the stability and functioning of the virus.

Pathways

The nucleocapsid protein is involved in the viral life cycle and replication pathways. The protein participates in the RNA replication and transcription complex working alongside proteins such as the RNA-dependent RNA polymerase and other non-structural proteins. These interactions within the pathways are essential for the efficient replication of the viral genome and production of new viral particles which are key steps in the virus's lifecycle.

The nucleocapsid protein is directly linked to COVID-19 the disease caused by the SARS-CoV-2 virus. It is a target for various diagnostic tests such as the COVID ELISA test and corona IgA test due to its immunogenic properties. The presence of nucleocapsid antibodies in patients is often measured through tests like the ELISA test which helps in diagnosing COVID-19. The nucleocapsid protein's involvement in COVID-19 progression connects it with other viral proteins highlighting its significance in disease mechanisms and potential therapeutic targeting.

Product protocols

For this product, it's our understanding that no specific protocols are required. You can visit:

Target data

Packages the positive strand viral genome RNA into a helical ribonucleocapsid (RNP) and plays a fundamental role during virion assembly through its interactions with the viral genome and membrane protein M (PubMed : 33264373). Plays an important role in enhancing the efficiency of subgenomic viral RNA transcription as well as viral replication. Attenuates the stress granules formation by reducing host G3BP1 access to host mRNAs under stress conditions (PubMed : 34901782, PubMed : 36534661).. May block host chemokine function in vivo, facilitating viral replication and transmission (PubMed : 35921414). Acts by being secreted into the extracellular space where it competes to host chemokines for binding to host glycosaminoglycans (GAG) (PubMed : 35921414).. May induce inflammasome responses in cultured cells and mice. Acts by interacting with host NLRP3 to facilitate inflammasome assembly, which induces cytokine release that may play a role in COVID lung injury.
See full target information N

Product promise

We are committed to supporting your work with high-quality reagents, and we're here for you every step of the way. In the unlikely event that one of our products does not perform as expected, you're protected by our Product Promise.
For full details, please see our Terms & Conditions

Please note: All products are 'FOR RESEARCH USE ONLY. NOT FOR USE IN DIAGNOSTIC OR THERAPEUTIC PROCEDURES'.

For licensing inquiries, please contact partnerships@abcam.com