JavaScript is disabled in your browser. Please enable JavaScript to view this website.
AB272504

Anti-SARS-CoV-2 spike glycoprotein antibody - Coronavirus

4

(5 Reviews)

|

(76 Publications)

Anti-SARS-CoV-2 spike glycoprotein antibody - Coronavirus (ab272504) is a rabbit polyclonal antibody detecting SARS-CoV-2 Spike Glycoprotein in Western Blot, IHC-P, ICC/IF, ELISA. Suitable for SARS-CoV-2.

- Over 40 publications

View Alternative Names

2, S, Spike glycoprotein, S glycoprotein, E2, Peplomer protein

6 Images
Immunohistochemistry (Formalin/PFA-fixed paraffin-embedded sections) - Anti-SARS-CoV-2 spike glycoprotein antibody - Coronavirus (AB272504)
  • IHC-P

Supplier Data

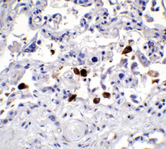
Immunohistochemistry (Formalin/PFA-fixed paraffin-embedded sections) - Anti-SARS-CoV-2 spike glycoprotein antibody - Coronavirus (AB272504)

Immunohistochemical analysis of paraffin-embedded COVID-19 patient lung tissue using anti-SARS-CoV-2 (COVID-19) Spike S2 antibody (ab272504, 0.5 μg/mL). Tissue was fixed with formaldehyde and blocked with 10% serum for 1 hour at room temperature; antigen retrieval was by heat mediation with a citrate buffer (pH6). Samples were incubated with primary antibody overnight at 4°C. A goat anti-rabbit IgG H&L (HRP) at 1/250 was used as secondary. Counter stained with Hematoxylin. Strong spike protein signal was observed in macrophages and airway epithelium of COVID-19 patient lung but not in non-COVID-19 patient lung.

Immunohistochemistry (Formalin/PFA-fixed paraffin-embedded sections) - Anti-SARS-CoV-2 spike glycoprotein antibody - Coronavirus (AB272504)
  • IHC-P

Supplier Data

Immunohistochemistry (Formalin/PFA-fixed paraffin-embedded sections) - Anti-SARS-CoV-2 spike glycoprotein antibody - Coronavirus (AB272504)

Immunohistochemical analysis of paraffin-embedded COVID-19 patient lung tissue using anti-SARS-CoV-2 (COVID-19) Spike S2 antibody (ab272504, 0.5 μg/mL). Tissue was fixed with formaldehyde and blocked with 10% serum for 1 hour at room temperature; antigen retrieval was by heat mediation with a citrate buffer (pH6). Samples were incubated with primary antibody overnight at 4°C. A goat anti-rabbit IgG H&L (HRP) at 1/250 was used as secondary. Counter stained with Hematoxylin. Strong spike protein signal was observed in macrophages of COVID-19 patient lung.

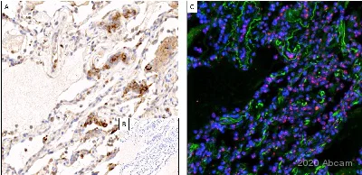
Immunohistochemistry (Formalin/PFA-fixed paraffin-embedded sections) - Anti-SARS-CoV-2 spike glycoprotein antibody - Coronavirus (AB272504)
  • IHC-P

AbReview75222****

Immunohistochemistry (Formalin/PFA-fixed paraffin-embedded sections) - Anti-SARS-CoV-2 spike glycoprotein antibody - Coronavirus (AB272504)

Immunohistochemistry analysis (Formalin/PFA-fixed paraffin-embedded sections) of Covid-19 positive lung, autopsy sample tissue. Stained with ab272504 at 1/200 dilution. Blocking was done with Nanostring Buffer W for 1 hour at 25°C. The sample was incubated with the primary antibody and Nanostring Buffer W at 12µg/ml for 12 hours at 4°C. Antigen retrieval method was heat mediated, Citrate Buffer pH 6.0.

This image is courtesy of an anonymous Abreview

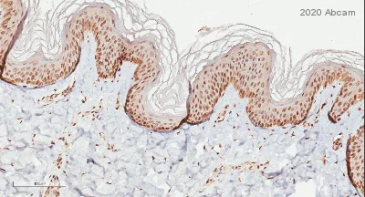
Immunohistochemistry (Formalin/PFA-fixed paraffin-embedded sections) - Anti-SARS-CoV-2 spike glycoprotein antibody - Coronavirus (AB272504)
  • IHC-P

AbReview76522****

Immunohistochemistry (Formalin/PFA-fixed paraffin-embedded sections) - Anti-SARS-CoV-2 spike glycoprotein antibody - Coronavirus (AB272504)

Immunohistochemistry analysis (Formalin/PFA-fixed paraffin-embedded sections) of paraformaldehyde fixed human Skin (Covid-19 positive, autopsy sample) tissue. Stained with ab272504 at 1/200 dilution. Secondary antibody used was HRP Novolink Max Polymer Detection System. Blocking was done with 10% milk for 30 minutes at 21°C. The sample was incubated with the primary antibody and 1% BSA for 12 hours at 4°C. Antigen retrieval method was heat mediated, Dako Retrieval Solution (S1699).

This image is courtesy of an anonymous Abreview

ELISA - Anti-SARS-CoV-2 spike glycoprotein antibody - Coronavirus (AB272504)
  • ELISA

Supplier Data

ELISA - Anti-SARS-CoV-2 spike glycoprotein antibody - Coronavirus (AB272504)

A direct ELISA was performed using antigen or control peptide as coating antigen and ab272504 as the capture antibody at 1 μg/ml, followed by the secondary antibody goat anti-rabbit IgG HRP conjugate at 1/20000 dilution. Detection range was from 0.5 ng/ml to 1000 ng/ml.

Western blot - Anti-SARS-CoV-2 spike glycoprotein antibody - Coronavirus (AB272504)
  • WB

Supplier Data

Western blot - Anti-SARS-CoV-2 spike glycoprotein antibody - Coronavirus (AB272504)

Primary incubation for 1 hour at room temperature.

Blocking and dilution buffer : 5% NFDM/TBST.

All lanes:

Western blot - Anti-SARS-CoV-2 spike glycoprotein antibody - Coronavirus (ab272504) at 1 µg/mL

Lane 1:

Wild-type HEK-293 cell lysate at 15 µg

Lane 2:

HEK-293 overexpressing SARS-CoV-2 spike glycoprotein, cell lysate at 15 µg

Secondary

All lanes:

Goat anti-rabbit IgG HRP conjugate at 1/10000 dilution

false

Key facts

Host species

Rabbit

Clonality

Polyclonal

Isotype

IgG

Carrier free

No

Reacts with

SARS-CoV-2

Applications

ELISA, WB, ICC/IF, IHC-P

applications

Specificity

The immunogen for ab272504 is within the last 50 aa of the spike protein - a peptide corresponding to 20 amino acids near the carboxy terminus of SARS-CoV-2 (COVID-19) Spike glycoprotein. The Extracellular domain (ECD) is from aa 1 to 1208 (full length 1273aa). Therefore, this antibody detects the transmembrane and cytoplasm domains at the C terminus, but does not detect the ECD (which is the region expressed in many commercially available spike proteins). ab272504 can be used for the detection of full length spike protein and spike protein in COVID-19 patient samples. It will detect 4 ng of free peptide at 1 μg/mL.

Reactivity data

{ "title": "Reactivity Data", "filters": { "stats": ["", "Species", "Dilution Info", "Notes"], "tabs": { "all-applications": {"fullname" : "All Applications", "shortname": "All Applications"}, "IHCP" : {"fullname" : "Immunohistochemistry (Formalin/PFA-fixed paraffin-embedded sections)", "shortname":"IHC-P"}, "ICCIF" : {"fullname" : "Immunocytochemistry/ Immunofluorescence", "shortname":"ICC/IF"}, "ELISA" : {"fullname" : "ELISA", "shortname":"ELISA"}, "WB" : {"fullname" : "Western blot", "shortname":"WB"} }, "product-promise": { "all": "all", "testedAndGuaranteed": "tested", "guaranteed": "expected", "predicted": "predicted", "notRecommended": "not-recommended" } }, "values": { "SARS-CoV-2": { "IHCP-species-checked": "testedAndGuaranteed", "IHCP-species-dilution-info": "0.2 µg/mL", "IHCP-species-notes": "<p></p> Perform heat-mediated antigen retrieval with citrate buffer pH 6 before commencing with IHC staining protocol.", "ICCIF-species-checked": "testedAndGuaranteed", "ICCIF-species-dilution-info": "1 µg/mL", "ICCIF-species-notes": "<p></p>", "ELISA-species-checked": "testedAndGuaranteed", "ELISA-species-dilution-info": "1 µg/mL", "ELISA-species-notes": "<p></p>", "WB-species-checked": "testedAndGuaranteed", "WB-species-dilution-info": "1 µg/mL", "WB-species-notes": "<p></p>" } } }

Product details

Anti-SARS-CoV-2 spike glycoprotein antibody - Coronavirus (ab272504) is a rabbit polyclonal antibody and is validated for use in ELISA, ICC/IF, IHC-P and WB.

Anti-SARS-CoV-2 spike glycoprotein antibody - Coronavirus (ab272504) was first used in a scientific publication in 2020 and has been cited over 48 times in peer reviewed journals. It's performance in IHC in human and mouse samples is trusted by the scientific community.

Abcam's high quality validation processes ensure Anti-SARS-CoV-2 spike glycoprotein antibody - Coronavirus (ab272504) has high sensitivity and specificity.

Anti-SARS-CoV-2 spike glycoprotein antibody - Coronavirus (ab272504) has 5 independent reviews from customers.

Anti-SARS-CoV-2 spike glycoprotein antibody - Coronavirus (ab272504) specifically detects SARS-CoV-2 Spike Glycoprotein (UniProt ID: P0DTC2; Molecular weight: 140kDa) and is sold in 100 ug selling sizes.

Reagent has more than 76 citations. SARS-CoV-2 Spike Glycoprotein antibody is essential for detecting and studying the spike protein, aiding in COVID-19 research, vaccine development and therapeutic studies

Properties and storage information

Form
Liquid
Purification technique
Affinity purification Immunogen
Storage buffer
pH: 7.2 Preservative: 0.02% Sodium azide Constituents: PBS
Shipped at conditions
Blue Ice
Appropriate short-term storage conditions
+4°C
Appropriate long-term storage conditions
+4°C

Supplementary information

This supplementary information is collated from multiple sources and compiled automatically.

The SARS-CoV-2 Spike Glycoprotein also known as the COVID spike protein is an important component of the virus responsible for COVID-19. This protein has a molecular weight of approximately 180 kDa and is found on the surface of the virus. It facilitates viral entry into host cells by binding to the angiotensin-converting enzyme 2 (ACE2) receptor. The spike protein consists of two subunits S1 and S2 where S1 contains the receptor-binding domain (RBD) responsible for engaging with ACE2 while S2 mediates viral and host membrane fusion.
Biological function summary

The spike protein serves as a primary target for the host immune response. It is part of the viral envelope complex essential for the virus's infectivity. The spike protein undergoes structural changes during host cell entry transitioning from a prefusion to a postfusion conformation. This ability to change structure is important for facilitating membrane fusion. Anti-spike antibodies such as those found in convalescent plasma and generated by vaccines target this protein aiming to neutralize the virus and prevent infection.

Pathways

The spike glycoprotein is integral to the viral infection and replication process. The renin-angiotensin system (RAS) pathway plays a significant role as ACE2 a critical component is the entry point for the virus. The spike protein's interaction with ACE2 disrupts the RAS balance leading to potential downstream effects. Additionally the spike protein's role in membrane fusion links it to the endosomal sorting complex pathways necessary for the trafficking of viral particles within host cells.

The spike protein's association with COVID-19 makes it central in understanding disease progression and potential complications. Its interaction with ACE2 is not only significant for viral entry but also links to severe acute respiratory syndrome (SARS) as both viruses exploit this receptor for entry. Moreover the association with inflammatory-related pathways indicates the spike protein's potential in driving cytokine storms which are severe immune responses contributing to the disease’s morbidity. Anti-spike antibodies and therapies are designed to mitigate these effects emphasizing the protein's importance in therapeutic strategies.

Product protocols

For this product, it's our understanding that no specific protocols are required. You can visit:

Target data

Spike protein S1. Attaches the virion to the cell membrane by interacting with host receptor, initiating the infection. The major receptor is host ACE2 (PubMed : 32142651, PubMed : 32155444, PubMed : 33607086). When S2/S2' has been cleaved, binding to the receptor triggers direct fusion at the cell membrane (PubMed : 34561887). When S2/S2' has not been cleaved, binding to the receptor results in internalization of the virus by endocytosis leading to fusion of the virion membrane with the host endosomal membrane (PubMed : 32075877, PubMed : 32221306). Alternatively, may use NRP1/NRP2 (PubMed : 33082294, PubMed : 33082293) and integrin as entry receptors (PubMed : 35150743). The use of NRP1/NRP2 receptors may explain the tropism of the virus in human olfactory epithelial cells, which express these molecules at high levels but ACE2 at low levels (PubMed : 33082293). The stalk domain of S contains three hinges, giving the head unexpected orientational freedom (PubMed : 32817270).. Spike protein S2. Precursor of the fusion protein processed in the biosynthesis of the S protein and the formation of virus particle. Mediates fusion of the virion and cellular membranes by functioning as a class I viral fusion protein. Contains two viral fusion peptides that are unmasked after cleavage. The S2/S2' cleavage occurs during virus entry at the cell membrane by host TMPRSS2 (PubMed : 32142651) or during endocytosis by host CSTL (PubMed : 32703818, PubMed : 34159616). In either case, this triggers an extensive and irreversible conformational change leading to fusion of the viral envelope with the cellular cytoplasmic membrane, releasing viral genomic RNA into the host cell cytoplasm (PubMed : 34561887). Under the current model, the protein has at least three conformational states : pre-fusion native state, pre-hairpin intermediate state, and post-fusion hairpin state. During fusion of the viral and target cell membranes, the coiled coil regions (heptad repeats) adopt a trimer-of-hairpins structure and position the fusion peptide in close proximity to the C-terminal region of the ectodomain. Formation of this structure appears to promote apposition and subsequent fusion of viral and target cell membranes.. Spike protein S2'. Subunit of the fusion protein that is processed upon entry into the host cell. Mediates fusion of the virion and cellular membranes by functioning as a class I viral fusion protein. Contains a viral fusion peptide that is unmasked after S2 cleavage. This cleavage can occur at the cell membrane by host TMPRSS2 or during endocytosis by host CSTL (PubMed : 32703818, PubMed : 34159616). In either case, this triggers an extensive and irreversible conformational change that leads to fusion of the viral envelope with the cellular cytoplasmic membrane, releasing viral genomic RNA into the host cell cytoplasm (PubMed : 34561887). Under the current model, the protein has at least three conformational states : pre-fusion native state, pre-hairpin intermediate state, and post-fusion hairpin state. During fusion of the viral and target cell membranes, the coiled coil regions (heptad repeats) adopt a trimer-of-hairpins structure and position the fusion peptide in close proximity to the C-terminal region of the ectodomain. Formation of this structure appears to promote apposition and subsequent fusion of viral and target cell membranes.
See full target information S

Publications (76)

Recent publications for all applications. Explore the full list and refine your search

iScience 28:113438 PubMed41054506

2025

SARS-CoV-2 infection drives local inflammation of the intestinal epithelium in immunocompromised patients with cancer.

Applications

Unspecified application

Species

Unspecified reactive species

Emil Lou,Christine Luo,Katherine Ladner,Allison Makovec,Phillip Wong,Jeremy Chacon,Eamon Toye,Ella Boytim,Emily Gammon Hawkins,Anthony Patregnani,Emily John,Sanyukta Padmanabhan,Akshat Sarkari,Alison Wong,Julia Stuart,Andrew C Nelson,Brian Betts,Eliseo Eugenin,Justin Hwang

International journal of molecular sciences 26: PubMed40806787

2025

Immunohistochemical Analysis of Placental Tissue of Women Infected with SARS-CoV-2 During Pregnancy-A Prospective Clinical Study.

Applications

Unspecified application

Species

Unspecified reactive species

Marija Bicanin Ilic,Tamara Nikolic Turnic,Aleksandar Nikolov,Srdjan Mujkovic,Ivana Likic Ladjevic,Igor Ilic,Marija Spasojevic,Nikola Jovic,Jovana Joksimovic Jovic,Dejana Rakic,Begzudin Ahmetovic,Sara Rosic,Aleksandra Dimitrijevic

Nature communications 16:6241 PubMed40624080

2025

Vesicle-associated membrane protein 5 is an intrinsic defense factor for embryonic stem cells against coronaviruses.

Applications

Unspecified application

Species

Unspecified reactive species

Huijun Dong,Zihang Pan,Pengtao Jiao,Fei Ye,Qi Peng,Yanying Yu,Xinyuan Lai,Huan Li,Zhao Guan,Juan Deng,Tao Shen,Wenjie Tan,Yi Shi,Qiang Ding,Jianyuan Luo,Tong Li,Hui Zhuang,Kuanhui Xiang

Cell communication and signaling : CCS 23:323 PubMed40604989

2025

Quantitative characterisation of extracellular vesicles designed to decoy or compete with SARS-CoV-2 reveals differential mode of action across variants of concern and highlights the diversity of Omicron.

Applications

Unspecified application

Species

Unspecified reactive species

Melanie Schürz,Isabel Pagani,Eva Klinglmayr,Heloisa Melo Benirschke,Martin Mayora Neto,Luis J V Galietta,Arianna Venturini,Nicoletta Pedemonte,Valeria Capurro,Sandra Laner-Plamberger,Christoph Grabmer,Essi Emminger,Martin Wolf,Marianne Steiner,Cyrus Kohlmetz,Niklas Mayr,Liliia Paniushkina,Katharina Schallmoser,Dirk Strunk,Hans Brandstetter,Martin Hintersteiner,Nigel Temperton,Elisa Vicenzi,Nicole Meisner-Kober

NPJ vaccines 10:40 PubMed40016252

2025

SARS-CoV-2 infection primes cross-protective respiratory IgA in a MyD88- and MAVS-dependent manner.

Applications

Unspecified application

Species

Unspecified reactive species

Moe Kobayashi,Nene Kobayashi,Kyoka Deguchi,Seira Omori,Takeshi Ichinohe

Journal of virology 99:e0185324 PubMed39601592

2024

The respective roles of TMPRSS2 and cathepsins for SARS-CoV-2 infection in human respiratory organoids.

Applications

Unspecified application

Species

Unspecified reactive species

Masatoshi Kakizaki,Rina Hashimoto,Noriyo Nagata,Takuya Yamamoto,Takashi Okura,Hiroshi Katoh,Yuki Kitai,Yukiko Akahori,Kazuya Shirato,Akihide Ryo,Kazuo Takayama,Makoto Takeda

Frontiers in microbiology 15:1455462 PubMed39380676

2024

Characterizing neuroinvasion and neuropathology of SARS-CoV-2 by using AC70 human ACE2 transgenic mice.

Applications

Unspecified application

Species

Unspecified reactive species

Jason C Hsu,Panatda Saenkham-Huntsinger,Pinghan Huang,Cassio Pontes Octaviani,Aleksandra K Drelich,Bi-Hung Peng,Chien-Te K Tseng

Communications biology 7:1239 PubMed39354108

2024

Broadly potent spike-specific human monoclonal antibodies inhibit SARS-CoV-2 Omicron sub-lineages.

Applications

Unspecified application

Species

Unspecified reactive species

Melanie R Walker,Alexander Underwood,Kasper H Björnsson,Sai Sundar Rajan Raghavan,Maria R Bassi,Alekxander Binderup,Long V Pham,Santseharay Ramirez,Mette Pinholt,Robert Dagil,Anne S Knudsen,Manja Idorn,Max Soegaard,Kaituo Wang,Andrew B Ward,Ali Salanti,Jens Bukh,Lea Barfod

iScience 27:110475 PubMed39100693

2024

Genome-scale CRISPR-Cas9 screen identifies host factors as potential therapeutic targets for SARS-CoV-2 infection.

Applications

Unspecified application

Species

Unspecified reactive species

Madoka Sakai,Yoshie Masuda,Yusuke Tarumoto,Naoyuki Aihara,Yugo Tsunoda,Michiko Iwata,Yumiko Kamiya,Ryo Komorizono,Takeshi Noda,Kosuke Yusa,Keizo Tomonaga,Akiko Makino

Vaccines 12: PubMed38932290

2024

Rapid and Scalable Production of Functional SARS-CoV-2 Virus-like Particles (VLPs) by a Stable HEK293 Cell Pool.

Applications

Unspecified application

Species

Unspecified reactive species

Sitthiphol Puarattana-Aroonkorn,Kannan Tharakaraman,Disapan Suriyawipada,Mathuros Ruchirawat,Mayuree Fuangthong,Ram Sasisekharan,Charlermchai Artpradit
View all publications

Product promise

We are committed to supporting your work with high-quality reagents, and we're here for you every step of the way. In the unlikely event that one of our products does not perform as expected, you're protected by our Product Promise.
For full details, please see our Terms & Conditions

Please note: All products are 'FOR RESEARCH USE ONLY. NOT FOR USE IN DIAGNOSTIC OR THERAPEUTIC PROCEDURES'.

For licensing inquiries, please contact partnerships@abcam.com