JavaScript is disabled in your browser. Please enable JavaScript to view this website.
AB275759

Anti-SARS-CoV-2 Spike Glycoprotein S1 antibody

Be the first to review this product! Submit a review

|

(5 Publications)

Rabbit Polyclonal SPIKE antibody. Suitable for ICC/IF, ELISA, WB, IHC-P and reacts with Transfected cell line - SARS-CoV-2, SARS-CoV-2, Recombinant fragment, Transfected cell lysate - SARS-CoV-2 samples. Cited in 5 publications.

View Alternative Names

2, S, Spike glycoprotein, S glycoprotein, E2, Peplomer protein

11 Images
Immunohistochemistry (Formalin/PFA-fixed paraffin-embedded sections) - Anti-SARS-CoV-2 Spike Glycoprotein S1 antibody (AB275759)
  • IHC-P

Supplier Data

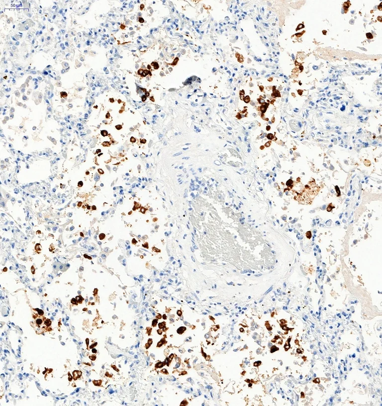
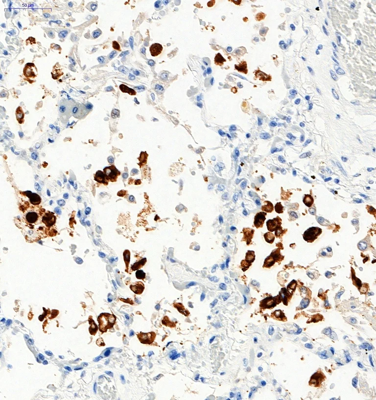
Immunohistochemistry (Formalin/PFA-fixed paraffin-embedded sections) - Anti-SARS-CoV-2 Spike Glycoprotein S1 antibody (AB275759)

Formaldehyde-fixed, paraffin-embedded human lung tissue from a COVID-19 patient was stained for SARS-CoV-2 Spike Glycoprotein S1 using ab275759 at 1 μg/mL, followed by a Goat Anti-Rabbit IgG conjugate at 1/250 dilution. Counter stained with hematoxylin. Primary incubation overnight at 4°C.

Heat-mediated antigen retrieval with citrate buffer, pH 6.0. Tissue was blocked with 10% serum for 1 hour at room temperature.

40X magnification.

Courtesy of Hallgeir Rui

Immunocytochemistry/ Immunofluorescence - Anti-SARS-CoV-2 Spike Glycoprotein S1 antibody (AB275759)
  • ICC/IF

Unknown

Immunocytochemistry/ Immunofluorescence - Anti-SARS-CoV-2 Spike Glycoprotein S1 antibody (AB275759)

Immunofluorescent analysis of 4% paraformaldehyde-fixed Spike transfected HEK-293 (Human epithelial cell line from embryonic kidney) cells labelling SARS-CoV-2 Spike Glycoprotein S1 with ab275759 at 5 μg/mL, followed by goat anti-rabbit IgG secondary antibody at 1/500 dilution (Green). The nuclear counter stain was DAPI (Blue).

Western blot - Anti-SARS-CoV-2 Spike Glycoprotein S1 antibody (AB275759)
  • WB

Lab

Western blot - Anti-SARS-CoV-2 Spike Glycoprotein S1 antibody (AB275759)

Lanes 1 - 3 : Green - ab275759 observed at 200kDa.

ab275759 was shown to react with SARS-CoV-2 Spike Glycoprotein S1 in western blot. Membranes were blocked in 3% milk before incubation with ab275759 overnight at 4°C at 1 μg/ml. Blots were incubated with Goat anti-Rabbit IgG H&L (IRDye® 800CW) preabsorbed (ab216773) secondary antibody at 1 in 20000 dilution for 1 hour at room temperature before imaging.

All lanes:

Western blot - Anti-SARS-CoV-2 Spike Glycoprotein S1 antibody (ab275759) at 1 µg/mL

Lane 1:

SARS-Cov1 spike protein (DDDDK-tagged) transfected HEK-293 cell lysate at 10 µg

Lane 2:

SARS-Cov2 spike protein (DDDDK-tagged) transfected HEK-293 cell lysate at 10 µg

Lane 3:

MERS Spike protein (DDDDK-tagged) transfected HEK-293 cell lysate at 10 µg

Observed band size: 200 kDa

false

Western blot - Anti-SARS-CoV-2 Spike Glycoprotein S1 antibody (AB275759)
  • WB

Supplier Data

Western blot - Anti-SARS-CoV-2 Spike Glycoprotein S1 antibody (AB275759)

Primary incubation for 1 hour at room temperature.

Blocking and dilution buffer : 5% NFDM/TBST.

All lanes:

Western blot - Anti-SARS-CoV-2 Spike Glycoprotein S1 antibody (ab275759) at 1 µg/mL

Lane 1:

Non-transfected HEK-293 (Human epithelial cell line from embryonic kidney) cell lysate at 10 µg

Lane 2:

SARS-COV-2 Spike over-expressing HEK-293 cell lysate at 10 µg

Secondary

All lanes:

Goat Anti-Rabbit IgG HRP conjugate at 1/10000 dilution

false

Courtesy of Hallgeir Rui

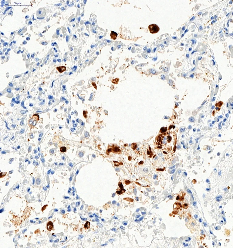
Immunohistochemistry (Formalin/PFA-fixed paraffin-embedded sections) - Anti-SARS-CoV-2 Spike Glycoprotein S1 antibody (AB275759)
  • IHC-P

Supplier Data

Immunohistochemistry (Formalin/PFA-fixed paraffin-embedded sections) - Anti-SARS-CoV-2 Spike Glycoprotein S1 antibody (AB275759)

Formaldehyde-fixed, paraffin-embedded human lung tissue from a COVID-19 patient was stained for SARS-CoV-2 Spike Glycoprotein S1 using ab275759 at 1 μg/mL, followed by a Goat Anti-Rabbit IgG conjugate at 1/250 dilution. Counter stained with hematoxylin. Primary incubation overnight at 4°C.

Heat-mediated antigen retrieval with citrate buffer, pH 6.0. Tissue was blocked with 10% serum for 1 hour at room temperature.

40X magnification.

Courtesy of Hallgeir Rui

Immunohistochemistry (Formalin/PFA-fixed paraffin-embedded sections) - Anti-SARS-CoV-2 Spike Glycoprotein S1 antibody (AB275759)
  • IHC-P

Supplier Data

Immunohistochemistry (Formalin/PFA-fixed paraffin-embedded sections) - Anti-SARS-CoV-2 Spike Glycoprotein S1 antibody (AB275759)

Formaldehyde-fixed, paraffin-embedded human lung tissue from a COVID-19 patient was stained for SARS-CoV-2 Spike Glycoprotein S1 using ab275759 at 1 μg/mL, followed by a Goat Anti-Rabbit IgG conjugate at 1/250 dilution. Counter stained with hematoxylin. Primary incubation overnight at 4°C.

Heat-mediated antigen retrieval with citrate buffer, pH 6.0. Tissue was blocked with 10% serum for 1 hour at room temperature.

40X magnification.

Courtesy of Hallgeir Rui

Western blot - Anti-SARS-CoV-2 Spike Glycoprotein S1 antibody (AB275759)
  • WB

Supplier Data

Western blot - Anti-SARS-CoV-2 Spike Glycoprotein S1 antibody (AB275759)

Primary incubation for 1 hour at room temperature.

Blocking and dilution buffer : 5% NFDM/TBST.

Lane 1:

Western blot - Anti-SARS-CoV-2 Spike Glycoprotein S1 antibody (ab275759) at 1 µg/mL

Lane 2:

Western blot - Anti-SARS-CoV-2 Spike Glycoprotein S1 antibody (ab275759) at 2 µg/mL

All lanes:

Recombinant SARS-COV-2 Spike Glycoprotein S1 (aa 16 - 685), 10 ng

Secondary

All lanes:

Goat Anti-Rabbit IgG HRP conjugate at 1/10000 dilution

false

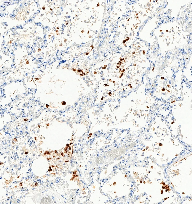
Immunohistochemistry (Formalin/PFA-fixed paraffin-embedded sections) - Anti-SARS-CoV-2 Spike Glycoprotein S1 antibody (AB275759)
  • IHC-P

Supplier Data

Immunohistochemistry (Formalin/PFA-fixed paraffin-embedded sections) - Anti-SARS-CoV-2 Spike Glycoprotein S1 antibody (AB275759)

Formaldehyde-fixed, paraffin-embedded human lung tissue from a COVID-19 patient was stained for SARS-CoV-2 Spike Glycoprotein S1 using ab275759 at 1 μg/mL, followed by a Goat Anti-Rabbit IgG conjugate at 1/250 dilution. Counter stained with hematoxylin. Primary incubation overnight at 4°C.

Heat-mediated antigen retrieval with citrate buffer, pH 6.0. Tissue was blocked with 10% serum for 1 hour at room temperature.

40X magnification.

Courtesy of Hallgeir Rui

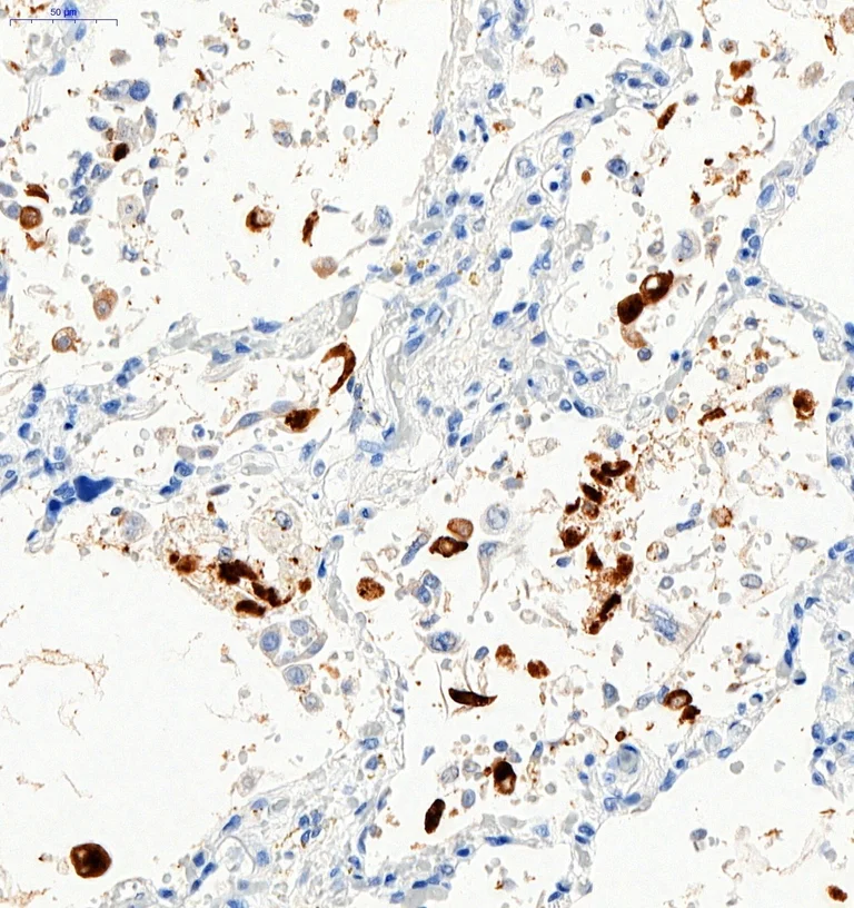
Immunohistochemistry (Formalin/PFA-fixed paraffin-embedded sections) - Anti-SARS-CoV-2 Spike Glycoprotein S1 antibody (AB275759)
  • IHC-P

Supplier Data

Immunohistochemistry (Formalin/PFA-fixed paraffin-embedded sections) - Anti-SARS-CoV-2 Spike Glycoprotein S1 antibody (AB275759)

Formaldehyde-fixed, paraffin-embedded human lung tissue from a COVID-19 patient was stained for SARS-CoV-2 Spike Glycoprotein S1 using ab275759 at 1 μg/mL, followed by a Goat Anti-Rabbit IgG conjugate at 1/250 dilution. Counter stained with hematoxylin. Primary incubation overnight at 4°C.

Heat-mediated antigen retrieval with citrate buffer, pH 6.0. Tissue was blocked with 10% serum for 1 hour at room temperature.

40X magnification.

Courtesy of Hallgeir Rui

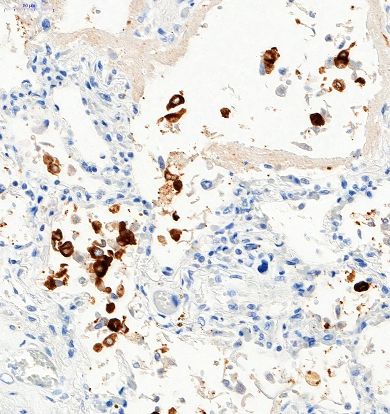
Immunohistochemistry (Formalin/PFA-fixed paraffin-embedded sections) - Anti-SARS-CoV-2 Spike Glycoprotein S1 antibody (AB275759)
  • IHC-P

Supplier Data

Immunohistochemistry (Formalin/PFA-fixed paraffin-embedded sections) - Anti-SARS-CoV-2 Spike Glycoprotein S1 antibody (AB275759)

Formaldehyde-fixed, paraffin-embedded human lung tissue from a COVID-19 patient was stained for SARS-CoV-2 Spike Glycoprotein S1 using ab275759 at 1 μg/mL, followed by a Goat Anti-Rabbit IgG conjugate at 1/250 dilution. Counter stained with hematoxylin. Primary incubation overnight at 4°C.

Heat-mediated antigen retrieval with citrate buffer, pH 6.0. Tissue was blocked with 10% serum for 1 hour at room temperature.

40X magnification.

Courtesy of Hallgeir Rui

ELISA - Anti-SARS-CoV-2 Spike Glycoprotein S1 antibody (AB275759)
  • ELISA

Supplier Data

ELISA - Anti-SARS-CoV-2 Spike Glycoprotein S1 antibody (AB275759)

A direct ELISA was performed using a recombinant SARS-COV-2 Spike 1 Glycoprotein (aa 16 - 685) as the coating antigen and ab275759 as capture antibody. A goat anti-rabbit IgG-HRP conjugate was used as the secondary antibody at a 1/20000 dilution.

Key facts

Host species

Rabbit

Clonality

Polyclonal

Isotype

IgG

Carrier free

No

Reacts with

SARS-CoV-2

Applications

ELISA, WB, IHC-P, ICC/IF

applications

Reactivity data

{ "title": "Reactivity Data", "filters": { "stats": ["", "Species", "Dilution Info", "Notes"], "tabs": { "all-applications": {"fullname" : "All Applications", "shortname": "All Applications"}, "ICCIF" : {"fullname" : "Immunocytochemistry/ Immunofluorescence", "shortname":"ICC/IF"}, "ELISA" : {"fullname" : "ELISA", "shortname":"ELISA"}, "WB" : {"fullname" : "Western blot", "shortname":"WB"}, "IHCP" : {"fullname" : "Immunohistochemistry (Formalin/PFA-fixed paraffin-embedded sections)", "shortname":"IHC-P"} }, "product-promise": { "all": "all", "testedAndGuaranteed": "tested", "guaranteed": "expected", "predicted": "predicted", "notRecommended": "not-recommended" } }, "values": { "Recombinant fragment": { "ICCIF-species-checked": "notRecommended", "ICCIF-species-dilution-info": "", "ICCIF-species-notes": "", "ELISA-species-checked": "testedAndGuaranteed", "ELISA-species-dilution-info": "", "ELISA-species-notes": "<p></p>", "WB-species-checked": "notRecommended", "WB-species-dilution-info": "", "WB-species-notes": "", "IHCP-species-checked": "notRecommended", "IHCP-species-dilution-info": "", "IHCP-species-notes": "" }, "SARS-CoV": { "ICCIF-species-checked": "predicted", "ICCIF-species-dilution-info": "", "ICCIF-species-notes": "", "ELISA-species-checked": "predicted", "ELISA-species-dilution-info": "", "ELISA-species-notes": "", "WB-species-checked": "predicted", "WB-species-dilution-info": "", "WB-species-notes": "", "IHCP-species-checked": "predicted", "IHCP-species-dilution-info": "", "IHCP-species-notes": "" }, "SARS-CoV-2": { "ICCIF-species-checked": "guaranteed", "ICCIF-species-dilution-info": "", "ICCIF-species-notes": "", "ELISA-species-checked": "guaranteed", "ELISA-species-dilution-info": "", "ELISA-species-notes": "", "WB-species-checked": "guaranteed", "WB-species-dilution-info": "", "WB-species-notes": "", "IHCP-species-checked": "testedAndGuaranteed", "IHCP-species-dilution-info": "1 µg/mL", "IHCP-species-notes": "<p></p>" }, "Transfected cell line - SARS-CoV-2": { "ICCIF-species-checked": "testedAndGuaranteed", "ICCIF-species-dilution-info": "5 µg/mL", "ICCIF-species-notes": "<p></p>", "ELISA-species-checked": "notRecommended", "ELISA-species-dilution-info": "", "ELISA-species-notes": "", "WB-species-checked": "notRecommended", "WB-species-dilution-info": "", "WB-species-notes": "", "IHCP-species-checked": "notRecommended", "IHCP-species-dilution-info": "", "IHCP-species-notes": "" }, "Transfected cell lysate - SARS-CoV-2": { "ICCIF-species-checked": "notRecommended", "ICCIF-species-dilution-info": "", "ICCIF-species-notes": "", "ELISA-species-checked": "notRecommended", "ELISA-species-dilution-info": "", "ELISA-species-notes": "", "WB-species-checked": "testedAndGuaranteed", "WB-species-dilution-info": "1-2 µg/mL", "WB-species-notes": "<p></p>", "IHCP-species-checked": "notRecommended", "IHCP-species-dilution-info": "", "IHCP-species-notes": "" } } }

You may be interested in:

AB284402

COVID-19 S-Protein (S1RBD) ELISA Kit

0

0 Reviews

View product

We recommend this product because it’s often used in the same experiment or related research.

We advise that you always check the datasheet to ensure it fits your experiments, or contact ourtechnical teamfor help.

Properties and storage information

Form
Liquid
Purification technique
Affinity purification Immunogen
Storage buffer
Preservative: 0.02% Sodium azide Constituents: 99% PBS
Shipped at conditions
Blue Ice
Appropriate short-term storage duration
1-2 weeks
Appropriate short-term storage conditions
+4°C
Appropriate long-term storage conditions
-20°C
Aliquoting information
Upon delivery aliquot
Storage information
Avoid freeze / thaw cycle

Supplementary information

This supplementary information is collated from multiple sources and compiled automatically.

The SARS-CoV-2 Spike Glycoprotein S1 also known as the G10 spike or glycoprotein spike plays an important role in allowing the virus to attach and enter host cells. This protein with a mass of approximately 180 kDa is located on the surface of the virus and forms the outer spikes observed in coronaviruses. Expression of the spike glycoprotein is in virus-infected cells where it facilitates the interaction with host cell receptors. The S1 subunit includes a receptor-binding domain that specifically binds to the human angiotensin-converting enzyme 2 (ACE2) receptors initiating the infection process.
Biological function summary

The spike glycoprotein S1 mediates the fusion of the viral and cellular membranes which is necessary for viral entry. It forms part of a larger trimeric complex comprising S1 and S2 subunits. This complex undergoes conformational changes that drive the membrane fusion process. The glycoprotein contains multiple glycosylation sites which help shield the virus from the host immune response. The proper function and presentation of this glycoprotein are critical for efficient viral spread and infection establishment.

Pathways

The spike glycoprotein S1 is integral to the viral infection pathway and host immune evasion. It interacts with the renin-angiotensin system by binding to the ACE2 receptor disrupting normal receptor activity. This interaction not only facilitates viral entry but also impacts the homeostatic functions typically mediated by ACE2 which include blood pressure regulation. Additionally the spike protein is involved in downstream activation of immune signaling pathways including those related to inflammation and cytokine production which may involve proteins such as IL-6.

Infection with the spike glycoprotein S1 is directly related to COVID-19. The binding to ACE2 receptors is linked to the pathology of the disease contributing to respiratory symptoms and in severe cases acute respiratory distress syndrome (ARDS). Through the IL-6 signaling pathway the spike protein is indirectly connected to cytokine release syndrome often observed in severe COVID-19 cases. This connection highlights the importance of targeting this glycoprotein for potential therapeutic interventions and diagnostics such as ELISA SARS-CoV-2 tests and the development of anti-spike antibodies available on platforms like antispark.com for research and clinical purposes.

Product protocols

For this product, it's our understanding that no specific protocols are required. You can visit:

Target data

Spike protein S1. Attaches the virion to the cell membrane by interacting with host receptor, initiating the infection. The major receptor is host ACE2 (PubMed : 32142651, PubMed : 32155444, PubMed : 33607086). When S2/S2' has been cleaved, binding to the receptor triggers direct fusion at the cell membrane (PubMed : 34561887). When S2/S2' has not been cleaved, binding to the receptor results in internalization of the virus by endocytosis leading to fusion of the virion membrane with the host endosomal membrane (PubMed : 32075877, PubMed : 32221306). Alternatively, may use NRP1/NRP2 (PubMed : 33082294, PubMed : 33082293) and integrin as entry receptors (PubMed : 35150743). The use of NRP1/NRP2 receptors may explain the tropism of the virus in human olfactory epithelial cells, which express these molecules at high levels but ACE2 at low levels (PubMed : 33082293). The stalk domain of S contains three hinges, giving the head unexpected orientational freedom (PubMed : 32817270).. Spike protein S2. Precursor of the fusion protein processed in the biosynthesis of the S protein and the formation of virus particle. Mediates fusion of the virion and cellular membranes by functioning as a class I viral fusion protein. Contains two viral fusion peptides that are unmasked after cleavage. The S2/S2' cleavage occurs during virus entry at the cell membrane by host TMPRSS2 (PubMed : 32142651) or during endocytosis by host CSTL (PubMed : 32703818, PubMed : 34159616). In either case, this triggers an extensive and irreversible conformational change leading to fusion of the viral envelope with the cellular cytoplasmic membrane, releasing viral genomic RNA into the host cell cytoplasm (PubMed : 34561887). Under the current model, the protein has at least three conformational states : pre-fusion native state, pre-hairpin intermediate state, and post-fusion hairpin state. During fusion of the viral and target cell membranes, the coiled coil regions (heptad repeats) adopt a trimer-of-hairpins structure and position the fusion peptide in close proximity to the C-terminal region of the ectodomain. Formation of this structure appears to promote apposition and subsequent fusion of viral and target cell membranes.. Spike protein S2'. Subunit of the fusion protein that is processed upon entry into the host cell. Mediates fusion of the virion and cellular membranes by functioning as a class I viral fusion protein. Contains a viral fusion peptide that is unmasked after S2 cleavage. This cleavage can occur at the cell membrane by host TMPRSS2 or during endocytosis by host CSTL (PubMed : 32703818, PubMed : 34159616). In either case, this triggers an extensive and irreversible conformational change that leads to fusion of the viral envelope with the cellular cytoplasmic membrane, releasing viral genomic RNA into the host cell cytoplasm (PubMed : 34561887). Under the current model, the protein has at least three conformational states : pre-fusion native state, pre-hairpin intermediate state, and post-fusion hairpin state. During fusion of the viral and target cell membranes, the coiled coil regions (heptad repeats) adopt a trimer-of-hairpins structure and position the fusion peptide in close proximity to the C-terminal region of the ectodomain. Formation of this structure appears to promote apposition and subsequent fusion of viral and target cell membranes.
See full target information S

Publications (5)

Recent publications for all applications. Explore the full list and refine your search

ACS sensors 8:3338-3348 PubMed37610841

2023

Multiplexed Biosensing of Proteins and Virions with Disposable Plasmonic Assays.

Applications

Unspecified application

Species

Unspecified reactive species

Stephanie Wallace,Martin Kartau,Tarun Kakkar,Chris Davis,Agnieszka Szemiel,Iliyana Samardzhieva,Swetha Vijayakrishnan,Sarah Cole,Giuditta De Lorenzo,Emmanuel Maillart,Kevin Gautier,Adrian J Lapthorn,Arvind H Patel,Nikolaj Gadegaard,Malcolm Kadodwala,Edward Hutchinson,Affar S Karimullah

Cell reports. Medicine 3:100843 PubMed36480934

2022

A genetically engineered, stem-cell-derived cellular vaccine.

Applications

Unspecified application

Species

Unspecified reactive species

Amanda Cooper,Adam Sidaway,Abishek Chandrashekar,Elizabeth Latta,Krishnendu Chakraborty,Jingyou Yu,Katherine McMahan,Victoria Giffin,Cordelia Manickam,Kyle Kroll,Matthew Mosher,R Keith Reeves,Rihab Gam,Elisa Arthofer,Modassir Choudhry,Tom Henley,Dan H Barouch

Andrology 11:1016-1022 PubMed36426580

2022

Evidence for residual SARS-CoV-2 in corpus cavernosum of patients who recovered from COVID-19 infection.

Applications

Unspecified application

Species

Unspecified reactive species

Elif Kervancioglu Demirci,Murat Dursun,Erva Seviç,Rıfat Burak Ergül,Mustafa Önel,Ali Ağaçfidan,Ateş Kadıoğlu

Nature chemical biology 19:275-283 PubMed36175661

2022

Targeted protein S-nitrosylation of ACE2 inhibits SARS-CoV-2 infection.

Applications

Unspecified application

Species

Unspecified reactive species

Chang-Ki Oh,Tomohiro Nakamura,Nathan Beutler,Xu Zhang,Juan Piña-Crespo,Maria Talantova,Swagata Ghatak,Dorit Trudler,Lauren N Carnevale,Scott R McKercher,Malina A Bakowski,Jolene K Diedrich,Amanda J Roberts,Ashley K Woods,Victor Chi,Anil K Gupta,Mia A Rosenfeld,Fiona L Kearns,Lorenzo Casalino,Namir Shaabani,Hejun Liu,Ian A Wilson,Rommie E Amaro,Dennis R Burton,John R Yates,Cyrus Becker,Thomas F Rogers,Arnab K Chatterjee,Stuart A Lipton

Orvosi hetilap 163:975-983 PubMed35895554

2022

Detection of SARS-CoV-2 proteins by immunohistochemistry in human tissues Pathology collaborative analysis

Applications

Unspecified application

Species

Unspecified reactive species

Adrián Pesti,Csaba Gyömörei,Péter Juhász,Endre Kálmán,András Kiss,Levente Kuthi,Gábor Lotz,Gábor Méhes,Zsuzsa Schaff,László Tiszlavicz
View all publications

Product promise

We are committed to supporting your work with high-quality reagents, and we're here for you every step of the way. In the unlikely event that one of our products does not perform as expected, you're protected by our Product Promise.
For full details, please see our Terms & Conditions

Please note: All products are 'FOR RESEARCH USE ONLY. NOT FOR USE IN DIAGNOSTIC OR THERAPEUTIC PROCEDURES'.

For licensing inquiries, please contact partnerships@abcam.com