JavaScript is disabled in your browser. Please enable JavaScript to view this website.
AB281306

Anti-SARS-CoV-2 Spike Glycoprotein S1 antibody [HL257] - BSA and Azide free

Be the first to review this product! Submit a review

|

(1 Publication)

Rabbit Recombinant Monoclonal SPIKE antibody. Carrier free. Suitable for IHC-P, ICC, WB, I-ELISA and reacts with SARS-CoV-2 samples. Cited in 1 publication.
10 Images
Immunocytochemistry - Anti-SARS-CoV-2 Spike Glycoprotein S1 antibody [HL257] - BSA and Azide free (AB281306)
  • ICC

Supplier Data

Immunocytochemistry - Anti-SARS-CoV-2 Spike Glycoprotein S1 antibody [HL257] - BSA and Azide free (AB281306)

Mock and SARS-CoV-2 (COVID-19) Spike transfected HEK-293T (Human epithelial cell line from embryonic kidney transformed with large T antigen) whole cell FFPE Cell Pellet Block. SARS-CoV-2 (COVID-19) Spike RBD stained by ab281306 (green) at 1/1000 dilution in immunocytochemical analysis. Fluoroshield with DAPI (blue). Antigen Retrieval achieved with Citrate buffer at pH 6.0 for 15 minutes.

Immunohistochemistry (Formalin/PFA-fixed paraffin-embedded sections) - Anti-SARS-CoV-2 Spike Glycoprotein S1 antibody [HL257] - BSA and Azide free (AB281306)
  • IHC-P

Supplier Data

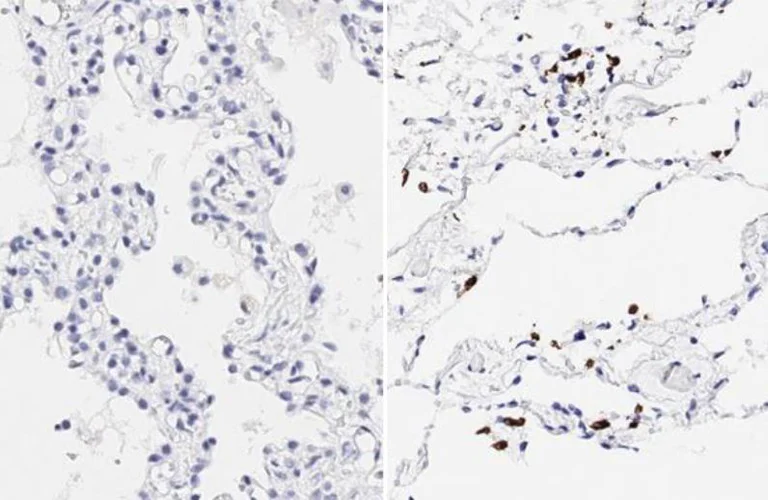
Immunohistochemistry (Formalin/PFA-fixed paraffin-embedded sections) - Anti-SARS-CoV-2 Spike Glycoprotein S1 antibody [HL257] - BSA and Azide free (AB281306)

Paraffin-embedded non-infected (left) and infected (right) human lung tissue stained for SARS-CoV-2 (COVID-19) Spike RBD using ab281306 at 1/1000 dilution in immunohistochemical analysis. Antigen Retrieval was achieved with Citrate buffer at pH 6.0 for 20 minutes.

Immunocytochemistry - Anti-SARS-CoV-2 Spike Glycoprotein S1 antibody [HL257] - BSA and Azide free (AB281306)
  • ICC

Supplier Data

Immunocytochemistry - Anti-SARS-CoV-2 Spike Glycoprotein S1 antibody [HL257] - BSA and Azide free (AB281306)

Mock and transfected HEK-293T (Human epithelial cell line from embryonic kidney transformed with large T antigen) whole cells were fixed in 4% paraformaldehyde at room temperature for 15 minutes. SARS-CoV-2 (COVID-19) Spike S1 stained (green) by ab281306 at 1/1000 dilution in immunocytochemical analysis. Fluoroshield with DAPI (blue).

Immunohistochemistry (Formalin/PFA-fixed paraffin-embedded sections) - Anti-SARS-CoV-2 Spike Glycoprotein S1 antibody [HL257] - BSA and Azide free (AB281306)
  • IHC-P

Supplier Data

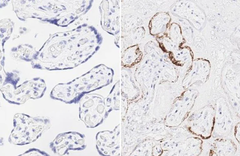
Immunohistochemistry (Formalin/PFA-fixed paraffin-embedded sections) - Anti-SARS-CoV-2 Spike Glycoprotein S1 antibody [HL257] - BSA and Azide free (AB281306)

Paraffin-embedded non-infected (left) and infected (right) human placenta tissue stained for SARS-CoV-2 (COVID-19) Spike RBD using ab281306 at 1/500 dilution in immunohistochemical analysis. Antigen Retrieval was achieved with Citrate buffer at pH 6.0 for 20 minutes.

Immunohistochemistry (Formalin/PFA-fixed paraffin-embedded sections) - Anti-SARS-CoV-2 Spike Glycoprotein S1 antibody [HL257] - BSA and Azide free (AB281306)
  • IHC-P

Supplier Data

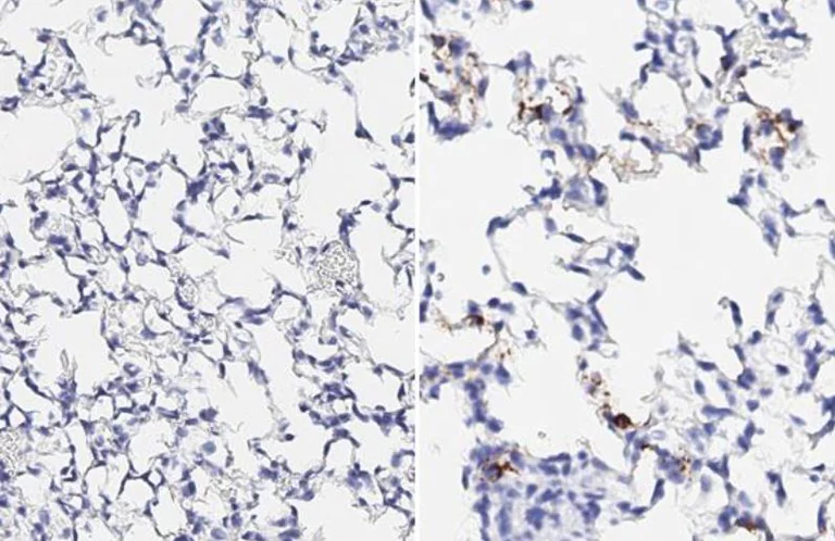
Immunohistochemistry (Formalin/PFA-fixed paraffin-embedded sections) - Anti-SARS-CoV-2 Spike Glycoprotein S1 antibody [HL257] - BSA and Azide free (AB281306)

Paraffin-embedded infected lung tissue derived from the AdV-hACE2-transduced BALB/c mice model. SARS-CoV-2 (COVID-19) Spike RBD protein stained by IgG control (left) and ab281306 at 1/1000 dilution (right) in immunohistochemical analysis. Antigen Retrieval was achieved with Citrate buffer at pH 6.0 for 20 minutes.

Indirect ELISA - Anti-SARS-CoV-2 Spike Glycoprotein S1 antibody [HL257] - BSA and Azide free (AB281306)
  • I-ELISA

Supplier Data

Indirect ELISA - Anti-SARS-CoV-2 Spike Glycoprotein S1 antibody [HL257] - BSA and Azide free (AB281306)

Indirect ELISA analysis performed by coating plate with recombinant SARS-CoV-2 (COVID-19) Spike RBD protein, His tag (active) protein (62.5-4000 ng/mL). Coated protein probed ab281306 at 1 μg/mL. HRP-Rabbit IgG antibody at 1/10000 dilution detected bound primary antibody.

Western blot - Anti-SARS-CoV-2 Spike Glycoprotein S1 antibody [HL257] - BSA and Azide free (AB281306)
  • WB

Supplier Data

Western blot - Anti-SARS-CoV-2 Spike Glycoprotein S1 antibody [HL257] - BSA and Azide free (AB281306)

5% SDS-PAGE

All lanes:

Western blot - Anti-SARS-CoV-2 Spike Glycoprotein S1 antibody [HL257] - BSA and Azide free (ab281306) at 1/5000 dilution

Lane 1:

Non-transfected HEK-293T (Human epithelial cell line from embryonic kidney transformed with large T antigen) whole cell extracts at 30 µg

Lane 2:

Transfected HEK-293T whole cell extracts at 30 µg

Secondary

All lanes:

HRP-conjugated anti-rabbit IgG antibody

false

Western blot - Anti-SARS-CoV-2 Spike Glycoprotein S1 antibody [HL257] - BSA and Azide free (AB281306)
  • WB

Supplier Data

Western blot - Anti-SARS-CoV-2 Spike Glycoprotein S1 antibody [HL257] - BSA and Azide free (AB281306)

5% SDS-PAGE

All lanes:

Western blot - Anti-SARS-CoV-2 Spike Glycoprotein S1 antibody [HL257] - BSA and Azide free (ab281306) at 1/5000 dilution

Lane 1:

Non-transfected HEK-293T (Human epithelial cell line from embryonic kidney transformed with large T antigen) whole cell extracts at 30 µg

Lane 2:

SARS-CoV Spike transfected HEK-293T whole cell extracts at 30 µg

Lane 3:

SARS-CoV Spike (COVID-19) transfected HEK-293T whole cell extracts at 30 µg

Lane 4:

MERS-CoV Spike transfected HEK-293T whole cell extracts at 30 µg

Secondary

All lanes:

HRP-conjugated anti-rabbit IgG antibody

false

Western blot - Anti-SARS-CoV-2 Spike Glycoprotein S1 antibody [HL257] - BSA and Azide free (AB281306)
  • WB

Supplier Data

Western blot - Anti-SARS-CoV-2 Spike Glycoprotein S1 antibody [HL257] - BSA and Azide free (AB281306)

5% SDS-PAGE

All lanes:

Western blot - Anti-SARS-CoV-2 Spike Glycoprotein S1 antibody [HL257] - BSA and Azide free (ab281306) at 1/5000 dilution

Lane 1:

Non-transfected Vero E6 whole cell extracts at 30 µg

Lane 2:

SARS-CoV-2 (Covid-19) transfected Vero E6 whole cell extracts at 30 µg

Secondary

All lanes:

HRP-conjugated anti-rabbit IgG antibody

false

Western blot - Anti-SARS-CoV-2 Spike Glycoprotein S1 antibody [HL257] - BSA and Azide free (AB281306)
  • WB

Supplier Data

Western blot - Anti-SARS-CoV-2 Spike Glycoprotein S1 antibody [HL257] - BSA and Azide free (AB281306)

12% SDS-PAGE

All lanes:

Western blot - Anti-SARS-CoV-2 Spike Glycoprotein S1 antibody [HL257] - BSA and Azide free (ab281306) at 1/20000 dilution

All lanes:

SARS-CoV-2 (COVID-19) Spike RBD protein, His tag (active)

Secondary

All lanes:

HRP-conjugated anti-rabbit IgG antibody

false

Key facts

Host species

Rabbit

Clonality

Monoclonal

Clone number

HL257

Isotype

IgG

Carrier free

Yes

Reacts with

SARS-CoV-2

Applications

IHC-P, WB, ICC, I-ELISA

applications

Reactivity data

{ "title": "Reactivity Data", "filters": { "stats": ["", "Species", "Dilution Info", "Notes"], "tabs": { "all-applications": {"fullname" : "All Applications", "shortname": "All Applications"}, "IHCP" : {"fullname" : "Immunohistochemistry (Formalin/PFA-fixed paraffin-embedded sections)", "shortname":"IHC-P"}, "ICC" : {"fullname" : "Immunocytochemistry", "shortname":"ICC"}, "WB" : {"fullname" : "Western blot", "shortname":"WB"}, "IELISA" : {"fullname" : "Indirect ELISA", "shortname":"I-ELISA"} }, "product-promise": { "all": "all", "testedAndGuaranteed": "tested", "guaranteed": "expected", "predicted": "predicted", "notRecommended": "not-recommended" } }, "values": { "SARS-CoV-2": { "IHCP-species-checked": "testedAndGuaranteed", "IHCP-species-dilution-info": "", "IHCP-species-notes": "<p></p>", "ICC-species-checked": "testedAndGuaranteed", "ICC-species-dilution-info": "1/100 - 1/1000", "ICC-species-notes": "<p></p>", "WB-species-checked": "testedAndGuaranteed", "WB-species-dilution-info": "1/1000 - 1/10000", "WB-species-notes": "<p></p>", "IELISA-species-checked": "testedAndGuaranteed", "IELISA-species-dilution-info": "", "IELISA-species-notes": "<p></p>" } } }

Properties and storage information

Form
Liquid
Purification technique
Affinity purification Protein A
Storage buffer
pH: 7.4 Constituents: PBS
Shipped at conditions
Blue Ice
Appropriate short-term storage conditions
+4°C
Appropriate long-term storage conditions
+4°C

Supplementary information

This supplementary information is collated from multiple sources and compiled automatically.

The SARS-CoV-2 Spike Glycoprotein S1 also known as the G10 spike or glycoprotein spike plays an important role in allowing the virus to attach and enter host cells. This protein with a mass of approximately 180 kDa is located on the surface of the virus and forms the outer spikes observed in coronaviruses. Expression of the spike glycoprotein is in virus-infected cells where it facilitates the interaction with host cell receptors. The S1 subunit includes a receptor-binding domain that specifically binds to the human angiotensin-converting enzyme 2 (ACE2) receptors initiating the infection process.
Biological function summary

The spike glycoprotein S1 mediates the fusion of the viral and cellular membranes which is necessary for viral entry. It forms part of a larger trimeric complex comprising S1 and S2 subunits. This complex undergoes conformational changes that drive the membrane fusion process. The glycoprotein contains multiple glycosylation sites which help shield the virus from the host immune response. The proper function and presentation of this glycoprotein are critical for efficient viral spread and infection establishment.

Pathways

The spike glycoprotein S1 is integral to the viral infection pathway and host immune evasion. It interacts with the renin-angiotensin system by binding to the ACE2 receptor disrupting normal receptor activity. This interaction not only facilitates viral entry but also impacts the homeostatic functions typically mediated by ACE2 which include blood pressure regulation. Additionally the spike protein is involved in downstream activation of immune signaling pathways including those related to inflammation and cytokine production which may involve proteins such as IL-6.

Infection with the spike glycoprotein S1 is directly related to COVID-19. The binding to ACE2 receptors is linked to the pathology of the disease contributing to respiratory symptoms and in severe cases acute respiratory distress syndrome (ARDS). Through the IL-6 signaling pathway the spike protein is indirectly connected to cytokine release syndrome often observed in severe COVID-19 cases. This connection highlights the importance of targeting this glycoprotein for potential therapeutic interventions and diagnostics such as ELISA SARS-CoV-2 tests and the development of anti-spike antibodies available on platforms like antispark.com for research and clinical purposes.

Product protocols

For this product, it's our understanding that no specific protocols are required. You can visit:

Publications (1)

Recent publications for all applications. Explore the full list and refine your search

Immunity, inflammation and disease 11:e827 PubMed36988249

2023

Emergence of SARS-CoV-2 spike protein at the vaccination site.

Applications

Unspecified application

Species

Unspecified reactive species

Annika Beck,Hanna Dietenberger,Sebastian N Kunz,Kevin Mellert,Peter Möller
View all publications

Product promise

We are committed to supporting your work with high-quality reagents, and we're here for you every step of the way. In the unlikely event that one of our products does not perform as expected, you're protected by our Product Promise.
For full details, please see our Terms & Conditions

Please note: All products are 'FOR RESEARCH USE ONLY. NOT FOR USE IN DIAGNOSTIC OR THERAPEUTIC PROCEDURES'.

For licensing inquiries, please contact partnerships@abcam.com