JavaScript is disabled in your browser. Please enable JavaScript to view this website.
AB315964

Anti-SARS-CoV2 nsp12 antibody [EPR24837-213]

  • BOND RX™ Validated
  • 20ul selling size
  • RabMAb
  • Recombinant
  • What is this?

Be the first to review this product! Submit a review

|

(0 Publication)

Rabbit Recombinant Monoclonal R1AB antibody. Suitable for WB, ICC/IF, IP, IHC-P, Flow Cyt and reacts with SARS-CoV-2 samples.

View Alternative Names

1a-1b, rep, Replicase polyprotein 1ab, pp1ab, ORF1ab polyprotein

9 Images
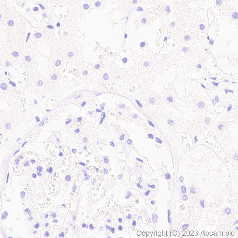
Immunohistochemistry (Formalin/PFA-fixed paraffin-embedded sections) - Anti-SARS-CoV2 nsp12 antibody [EPR24837-213] (AB315964)
  • IHC-P

Lab

Immunohistochemistry (Formalin/PFA-fixed paraffin-embedded sections) - Anti-SARS-CoV2 nsp12 antibody [EPR24837-213] (AB315964)

Immunohistochemical analysis of paraffin-embedded human kidney tissues labelling SARS-CoV2 nsp12 with ab315964 at a 1/4000 dilution, followed by LeicaDS9800 (Bond™ Polymer Refine Detection) ready to use secondary antibody. Counter stained with Hematoxylin.

Negative control : no staining on human kidney. The section was incubated with ab315964 for 30 mins at room temperature.

The immunostaining was performed on a Leica Biosystems BOND® RX instrument.

Heat mediated antigen retrieval was performed with Tris-EDTA buffer (pH 9.0, Epitope Retrieval Solution2) for 20 mins.

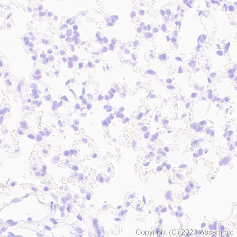
Immunohistochemistry (Formalin/PFA-fixed paraffin-embedded sections) - Anti-SARS-CoV2 nsp12 antibody [EPR24837-213] (AB315964)
  • IHC-P

Lab

Immunohistochemistry (Formalin/PFA-fixed paraffin-embedded sections) - Anti-SARS-CoV2 nsp12 antibody [EPR24837-213] (AB315964)

Immunohistochemical analysis of paraffin-embedded mouse lung tissues labelling SARS-CoV2 nsp12 with ab315964 at a 1/4000 dilution, followed by LeicaDS9800 (Bond™ Polymer Refine Detection) ready to use secondary antibody. Counter stained with Hematoxylin.

Negative control : no staining on mouse lung. The section was incubated with ab315964 for 30 mins at room temperature.

The immunostaining was performed on a Leica Biosystems BOND® RX instrument.

Heat mediated antigen retrieval was performed with Tris-EDTA buffer (pH 9.0, Epitope Retrieval Solution2) for 20 mins.

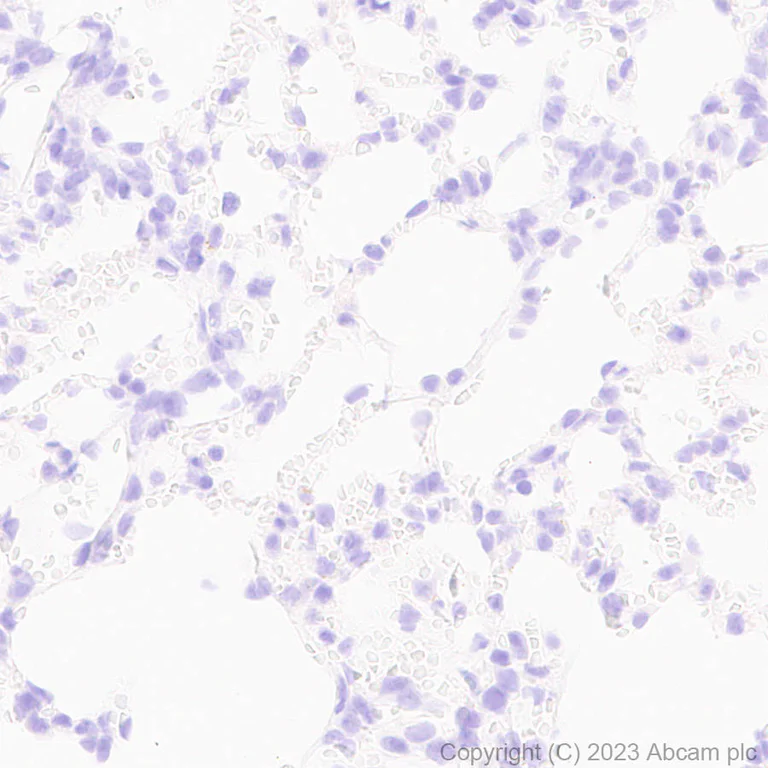
Immunohistochemistry (Formalin/PFA-fixed paraffin-embedded sections) - Anti-SARS-CoV2 nsp12 antibody [EPR24837-213] (AB315964)
  • IHC-P

Lab

Immunohistochemistry (Formalin/PFA-fixed paraffin-embedded sections) - Anti-SARS-CoV2 nsp12 antibody [EPR24837-213] (AB315964)

Immunohistochemical analysis of paraffin-embedded rat lung tissues labelling SARS-CoV2 nsp12 with ab315964 at 1/4000 dilution, followed by LeicaDS9800 (Bond™ Polymer Refine Detection) ready to use secondary antibody. Counter stained with Hematoxylin.

Negative control : no staining on rat lung. The section was incubated with ab315964 for 30 mins at room temperature. The immunostaining was performed on a Leica Biosystems BOND® RX instrument.

Heat mediated antigen retrieval was performed with Tris-EDTA buffer (pH 9.0, Epitope Retrieval Solution2) for 20 mins.

Immunocytochemistry/ Immunofluorescence - Anti-SARS-CoV2 nsp12 antibody [EPR24837-213] (AB315964)
  • ICC/IF

Lab

Immunocytochemistry/ Immunofluorescence - Anti-SARS-CoV2 nsp12 antibody [EPR24837-213] (AB315964)

Immunofluorescent analysis of 4% paraformaldehyde-fixed, 0.1% TritonX-100 permeabilized 293T (human embryonic kidney epithelial) cells labelling SARS-CoV2 nsp12 with ab315964 at a 1/500 dilution, followed by ab150081 AlexaFluor® 488 Goat anti-Rabbit IgG H&L secondary antibody at a 1/1000 dilution. Myc-Tag Mouse mAb (Alexa Fluor® 647) at a 1/100 dilution used as a counterstain. The Nuclear counterstain was DAPI (blue).

Confocal image showing positive staining in 293T cells transfected with a SARS-CoV2 nsp12 expression vector containing a myc-His-tag® and 293T cells transfected with a SARS-CoV1 nsp12 expression vector containing a myc-His-tag® (shown in green). In addition, it shows no staining in 293T cells transfected with a MERS-CoV2 nsp12 expression vector containing a myc-His-tag®.

Image was taken with a confocal microscope (Leica-Microsystems, TCS SP8).

Flow Cytometry - Anti-SARS-CoV2 nsp12 antibody [EPR24837-213] (AB315964)
  • Flow Cyt

Lab

Flow Cytometry - Anti-SARS-CoV2 nsp12 antibody [EPR24837-213] (AB315964)

Flow cytometric analysis of permeabilized with 90% methanol and 4% paraformaldehyde fixed HEK-293T cells :
1.Isotype
2.Transfected with a SARS-CoV2 nsp12 expression vector containing a myc- tag
3.Transfected with a SARS-CoV1 nsp12 expression vector containing a myc- tag
4.Transfected with a MERS-CoV2 nsp12 expression vector

Labelling SARS-CoV2 nsp12 with ab315964 at a 1/500 dilution (red line) compared with a Rabbit monoclonal IgG (ab172730) Isotype control (black line) and an unlabelled control (cells without incubation with primary antibody and secondary antibody) (blue line). Goat Anti-Rabbit IgG (Alexa Fluor® 488, ab150081) at a 1/5000 dilution was used as the secondary antibody.

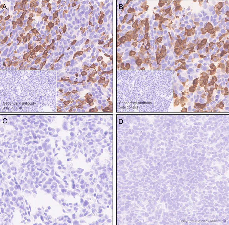
Immunohistochemistry (Formalin/PFA-fixed paraffin-embedded sections) - Anti-SARS-CoV2 nsp12 antibody [EPR24837-213] (AB315964)
  • IHC-P

Lab

Immunohistochemistry (Formalin/PFA-fixed paraffin-embedded sections) - Anti-SARS-CoV2 nsp12 antibody [EPR24837-213] (AB315964)

Immunohistochemical analysis of paraffin-embedded sections :
(A) HEK-293T (human embryonic kidney epithelial cell line) transfected with a SARS-CoV2 nsp12 expression vector containing a his tag.
(B) HEK-293T transfected with a SARS-CoV1 nsp12 expression vector containing a his tag.
(C) HEK-293T transfected with a MERS-CoV nsp12 expression vector containing a his tag.
(D) HEK-293T transfected with empty vector containing a his tag.

SARS-CoV2 nsp12 was labeled with ab315964 at a 1/4000 dilution, followed by LeicaDS9800 (Bond™ Polymer Refine Detection) ready to use secondary antibody. Counter stained with Hematoxylin.

Positive staining on- (A) HEK-293Ttransfected with a SARS-CoV2 nsp12 expression vector containing a his tag and (B) HEK-293T transfected with a SARS-CoV1 nsp12 expression vector containing a his tag. No staining on (C) HEK-293T transfected with a MERS-CoV nsp12 expression vector containing a his tag and (D) HEK-293T transfected with empty vector containing a his tag. The section was incubated with ab315964 for 30 mins at room temperature.

The immunostaining was performed on a Leica Biosystems BOND® RX instrument.

Heat mediated antigen retrieval was performed with Tris-EDTA buffer (pH 9.0, Epitope Retrieval Solution2) for 20 mins.

Immunoprecipitation - Anti-SARS-CoV2 nsp12 antibody [EPR24837-213] (AB315964)
  • IP

Lab

Immunoprecipitation - Anti-SARS-CoV2 nsp12 antibody [EPR24837-213] (AB315964)

SARS-CoV2 nsp12 was immunoprecipitated from 0.35 mg HEK-293 transfected with SARS-CoV2 nsp12 (aa4393-5324) expression vector containing a myc-His-tag®, whole cell lysate with ab315964 at 1/30 dilution (2μg in 0.35mg lysates). Western blot was performed on the immunoprecipitate using ab315964 at 1/1000 dilution. VeriBlot for IP secondary antibody (HRP) (ab131366) was used at 1/5000 dilution.

Lane 1(Input) : HEK-293 transfected with SARS-CoV2 nsp12 (aa4393-5324) expression vector containing a myc-His-tag®, whole cell lysate 10 μg
Lane 2(+) : HEK-293 transfected with SARS-CoV2 nsp12 (aa4393-5324) expression vector containing a myc-His-tag®, whole cell lysate.
Lane 3(-) : Rabbit monoclonal IgG (ab172730) instead of ab315964 in HEK-293 transfected with SARS-CoV2 nsp12 (aa4393-5324) expression vector containing a myc-His-tag®, whole cell lysate.

Blocking and dilution buffer and concentration : 5% NFDM/TBST.

All lanes:

Immunoprecipitation - Anti-SARS-CoV2 nsp12 antibody [EPR24837-213] (ab315964) at 1/30 dilution

Lane 1:

HEK-293 transfected with SARS-CoV2 nsp12 (aa4393-5324) expression vector containing a myc-His-tag<sup>®</sup>, whole cell lysate at 10 µg

Lane 2:

HEK-293 transfected with SARS-CoV2 nsp12 (aa4393-5324) expression vector containing a myc-His-tag<sup>®</sup>, whole cell lysate.

Lane 3:

Rabbit monoclonal IgG (<a href='/en-us/products/primary-antibodies/rabbit-igg-monoclonal-epr25a-isotype-control-ab172730'>ab172730</a>) instead of ab315964 in HEK-293 transfected with SARS-CoV2 nsp12 (aa4393-5324) expression vector containing a myc-His-tag<sup>®</sup>, whole cell lysate

Secondary

All lanes:

Immunoprecipitation - VeriBlot for IP Detection Reagent (HRP) (<a href='/en-us/products/reagents/veriblot-for-ip-detection-reagent-hrp-ab131366'>ab131366</a>) at 1/5000 dilution

Observed band size: 90 kDa

false

Exposure time: 6s

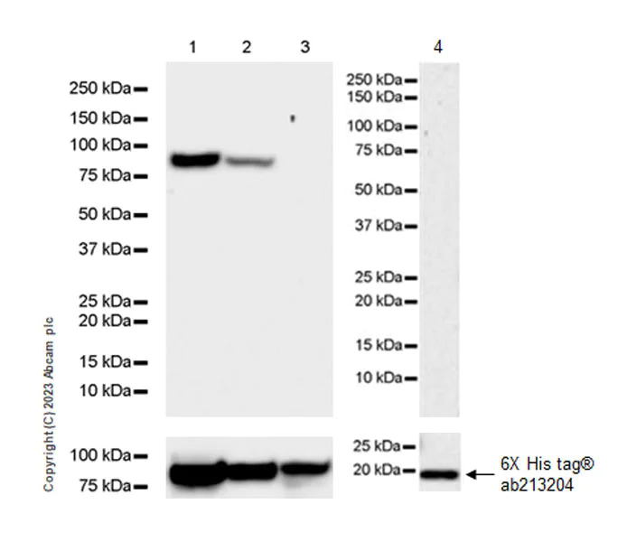
Western blot - Anti-SARS-CoV2 nsp12 antibody [EPR24837-213] (AB315964)
  • WB

Lab

Western blot - Anti-SARS-CoV2 nsp12 antibody [EPR24837-213] (AB315964)

Blocking and dilution buffer : 5% NFDM/TBST.

This antibody does not cross-react with MERS-CoV nsp12 and SARS-CoV2 nsp1, but show cross-reactivity with SARS-CoV1 nsp12.

In western blot, anti-His antibody (ab213204) staining at a 1/5000 dilution.

All lanes:

Western blot - Anti-SARS-CoV2 nsp12 antibody [EPR24837-213] (ab315964) at 1/1000 dilution

Lane 1:

HEK-293 transfected with SARS-CoV2 nsp12 (aa4393-5324) expression vector containing a myc-His-tag<sup>®</sup>, whole cell lysate at 20 µg

Lane 2:

HEK-293 transfected with SARS-CoV1 nsp12 (aa4370-5301) expression vector containing a myc-His-tag<sup>®</sup>, whole cell lysate at 20 µg

Lane 3:

HEK-293 transfected with MERS-CoV nsp12 (aa4378-5301) expression vector containing a myc-His-tag<sup>®</sup>, whole cell lysate at 20 µg

Lane 4:

His-tagged SARS-CoV2 nsp1 (aa1-180) recombinant protein at 10 ng

Secondary

All lanes:

Western blot - Goat Anti-Rabbit IgG H&L (HRP) (<a href='/en-us/products/secondary-antibodies/goat-rabbit-igg-h-l-hrp-ab97051'>ab97051</a>) at 1/100000 dilution

Observed band size: 90 kDa

false

Exposure time: 48s

Western blot - Anti-SARS-CoV2 nsp12 antibody [EPR24837-213] (AB315964)
  • WB

Supplier Data

Western blot - Anti-SARS-CoV2 nsp12 antibody [EPR24837-213] (AB315964)

This antibody does not cross-react with MERS-CoV nsp12.

Merged signal (red and green). Green - ab315964 observed at 107 kDa. Red - loading control, ab8245, observed at 37 kDa.

All lanes:

Western blot - Anti-SARS-CoV2 nsp12 antibody [EPR24837-213] (ab315964) at 1/2000 dilution

Lane 1:

HEK-293 cells transfected with control expression vector, whole cell lysate at 20 µg

Lane 2:

HEK-293 transfected with SARS-CoV2 nsp12 expression vector, whole cell lysate at 20 µg

Lane 3:

HEK-293 transfected with SARS-CoV1 nsp12 expression vector, whole cell lysate at 20 µg

Lane 4:

HEK-293 transfected with MERS-CoV nsp12 expression vector, whole cell lysate at 20 µg

Secondary

All lanes:

Goat anti-Rabbit IgG H&L (800CW) preadsorbed, green channel at 1/20000 dilution

Observed band size: 107 kDa,37 kDa

false

  • Carrier free

    Anti-SARS-CoV2 nsp12 antibody [EPR24837-213] - BSA and Azide free

Key facts

Host species

Rabbit

Clonality

Monoclonal

Clone number

EPR24837-213

Isotype

IgG

Carrier free

No

Reacts with

SARS-CoV-2

Applications

IHC-P, WB, Flow Cyt, IP, ICC/IF

applications

Immunogen

The exact immunogen used to generate this antibody is proprietary information.

Reactivity data

{ "title": "Reactivity Data", "filters": { "stats": ["", "Species", "Dilution Info", "Notes"], "tabs": { "all-applications": {"fullname" : "All Applications", "shortname": "All Applications"}, "WB" : {"fullname" : "Western blot", "shortname":"WB"}, "ICCIF" : {"fullname" : "Immunocytochemistry/ Immunofluorescence", "shortname":"ICC/IF"}, "IP" : {"fullname" : "Immunoprecipitation", "shortname":"IP"}, "IHCP" : {"fullname" : "Immunohistochemistry (Formalin/PFA-fixed paraffin-embedded sections)", "shortname":"IHC-P"}, "FlowCyt" : {"fullname" : "Flow Cytometry", "shortname":"Flow Cyt"} }, "product-promise": { "all": "all", "testedAndGuaranteed": "tested", "guaranteed": "expected", "predicted": "predicted", "notRecommended": "not-recommended" } }, "values": { "SARS-CoV-2": { "WB-species-checked": "testedAndGuaranteed", "WB-species-dilution-info": "1/2000", "WB-species-notes": "<p></p>", "ICCIF-species-checked": "testedAndGuaranteed", "ICCIF-species-dilution-info": "1/500", "ICCIF-species-notes": "<p></p>", "IP-species-checked": "testedAndGuaranteed", "IP-species-dilution-info": "1/30", "IP-species-notes": "<p></p>", "IHCP-species-checked": "testedAndGuaranteed", "IHCP-species-dilution-info": "1/4000", "IHCP-species-notes": "<p></p>", "FlowCyt-species-checked": "testedAndGuaranteed", "FlowCyt-species-dilution-info": "1/500", "FlowCyt-species-notes": "<p></p>" } } }

Product details

Patented technology
Our RabMAb® technology is a patented hybridoma-based technology for making rabbit monoclonal antibodies. For details on our patents, please refer to RabMAb® patents.

What are the advantages of a recombinant monoclonal antibody?
This product is a recombinant monoclonal antibody, which offers several advantages including:

  • - High batch-to-batch consistency and reproducibility
  • - Improved sensitivity and specificity
  • - Long-term security of supply
  • - Animal-free batch production

For more information, read more on recombinant antibodies.

Properties and storage information

Form
Liquid
Purification technique
Affinity purification Protein A
Storage buffer
pH: 7.2 - 7.4 Preservative: 0.01% Sodium azide Constituents: PBS, 40% Glycerol (glycerin, glycerine), 0.05% BSA
Shipped at conditions
Blue Ice
Appropriate short-term storage duration
1-2 weeks
Appropriate short-term storage conditions
+4°C
Appropriate long-term storage conditions
-20°C
Aliquoting information
Upon delivery aliquot
Storage information
Avoid freeze / thaw cycle

Supplementary information

This supplementary information is collated from multiple sources and compiled automatically.

SARS-CoV2 nsp12 also known as RNA-dependent RNA polymerase (RdRp) plays a central role in the viral replication cycle of the SARS-CoV2 virus. This enzyme has a molecular mass of approximately 106 kDa. It carries out its activities inside the host cell where the virus replicates such as in lung epithelial cells. Mechanically nsp12 facilitates the production of new viral RNA strands by copying the viral RNA genome allowing the virus to proliferate within the host.
Biological function summary

RNA-dependent RNA polymerase coordinates with other non-structural proteins to form the replication-transcription complex. Within this complex vital functions include the catalysis of viral RNA synthesis. The enzyme interacts with cofactors like nsp7 and nsp8 to enhance its polymerase activity and ensure efficient replication of viral RNA. These interactions are important to the viral life cycle making nsp12 an important player in SARS-CoV2 biology.

Pathways

The replication and transcription activities mediated by nsp12 integrate into the viral RNA synthesis pathway. This pathway is essential for the synthesis of subgenomic RNA and ultimately the production of structural proteins necessary for virion assembly. Nsp12 works closely with proteins such as nsp7 and nsp8 forming a replication complex to execute these functions. These interactions ensure the processive synthesis of RNA and are highly conserved across coronaviruses.

Nsp12 closely associates with COVID-19 the disease caused by SARS-CoV2. This protein's role in viral replication makes it a target for antiviral drug development as inhibiting nsp12 could block viral replication and reduce viral load in infected individuals. Remdesivir an antiviral medication targets this protein to impair its function. Mutation or dysfunction in nsp12 combined with its interaction with other viral proteins directly correlates with viral pathogenicity and disease severity highlighting its significance in the context of SARS-CoV2 infection.

Product protocols

For this product, it's our understanding that no specific protocols are required. You can visit:

Target data

Replicase polyprotein 1ab. Multifunctional protein involved in the transcription and replication of viral RNAs. Contains the proteinases responsible for the cleavages of the polyprotein.. Host translation inhibitor nsp1. Inhibits host translation by associating with the open head conformation of the 40S subunit (PubMed : 32680882, PubMed : 32908316, PubMed : 33080218, PubMed : 33479166). The C-terminus binds to and obstructs ribosomal mRNA entry tunnel (PubMed : 32680882, PubMed : 32908316, PubMed : 33080218, PubMed : 33479166). Thereby inhibits antiviral response triggered by innate immunity or interferons (PubMed : 32680882, PubMed : 32979938, PubMed : 33080218). The nsp1-40S ribosome complex further induces an endonucleolytic cleavage near the 5'UTR of host mRNAs, targeting them for degradation (By similarity). This inhibits the integrated stress response (ISR) in the infected cell by preventing EIF2S1/eIF2-alpha phosphorylation upstream of stress granule formation and depletes host G3BP1 (PubMed : 36534661). Viral mRNAs less susceptible to nsp1-mediated inhibition of translation, because of their 5'-end leader sequence (PubMed : 32908316, PubMed : 33080218).. Non-structural protein 2. Enhances mRNA repression of the 4EHP-GYF2 complex in the host, thereby inhibiting the antiviral response and facilitating SARS-CoV-2 replication. Possibly acts in cooperation with nsp1, which induces ribosome stalling on host mRNA, triggering mRNA repression by the host 4EHP-GYF2 complex which is enhanced by nsp2.. Papain-like protease nsp3. Responsible for the cleavages located at the N-terminus of the replicase polyprotein. Participates together with nsp4 in the assembly of virally-induced cytoplasmic double-membrane vesicles necessary for viral replication (PubMed : 35551511). Antagonizes innate immune induction of type I interferon by blocking the phosphorylation, dimerization and subsequent nuclear translocation of host IRF3 (PubMed : 32733001). Prevents also host NF-kappa-B signaling (By similarity). In addition, PL-PRO possesses a deubiquitinating/deISGylating activity and processes both 'Lys-48'- and 'Lys-63'-linked polyubiquitin chains from cellular substrates (PubMed : 32726803). Cleaves preferentially ISG15 from antiviral protein IFIH1 (MDA5), but not RIGI (PubMed : 33727702). Can play a role in host ADP-ribosylation by ADP-ribose (PubMed : 32578982). Plays a role in the formation and maintenance of double membrane vesicles (DMVs) replication organelles (PubMed : 35551511). DMVs are formed by nsp3 and nsp4, while nsp6 zippers ER membranes and connects to lipid droplets (PubMed : 35551511).. Non-structural protein 4. Plays a role in the formation and maintenance of double membrane vesicles (DMVs) replication organelles (PubMed : 35551511). DMVs are formed by nsp3 and nsp4, while nsp6 zippers ER membranes and connects to lipid droplets (PubMed : 35551511).. 3C-like proteinase nsp5. Cleaves the C-terminus of replicase polyprotein at 11 sites (PubMed : 32321856). Recognizes substrates containing the core sequence [ILMVF]-Q-|-[SGACN] (PubMed : 32198291, PubMed : 32272481). May cleave human NLRP1 in lung epithelial cells, thereby activating the NLRP1 inflammasome pathway (PubMed : 35594856). May cleave human GSDMD, triggering alternative GSDME-mediated epithelial cell death upon activation of the NLRP1 inflammasome, which may enhance the release interleukins 1B, 6, 16 and 18 (PubMed : 35594856). Also able to bind an ADP-ribose-1''-phosphate (ADRP) (PubMed : 32198291, PubMed : 32272481).. Non-structural protein 6. Plays a role in the formation and maintenance of double membrane vesicles (DMVs) replication organelles (PubMed : 35551511). DMVs are formed by nsp3 and nsp4, while nsp6 zippers ER membranes and connects to lipid droplets (PubMed : 35551511). LDs are consumed during DMV formation (PubMed : 35551511). Binds to host TBK1 without affecting TBK1 phosphorylation; the interaction with TBK1 decreases IRF3 phosphorylation, which leads to reduced IFN-beta production (PubMed : 32979938).. Non-structural protein 7. Plays a role in viral RNA synthesis (PubMed : 32277040, PubMed : 32358203, PubMed : 32438371, PubMed : 32526208). Forms a hexadecamer with nsp8 (8 subunits of each) that may participate in viral replication by acting as a primase. Alternatively, may synthesize substantially longer products than oligonucleotide primers (By similarity).. Non-structural protein 8. Plays a role in viral RNA synthesis (PubMed : 32277040, PubMed : 32358203, PubMed : 32438371, PubMed : 32526208). Forms a hexadecamer with nsp7 (8 subunits of each) that may participate in viral replication by acting as a primase. Alternatively, may synthesize substantially longer products than oligonucleotide primers (By similarity). Interacts with ribosome signal recognition particle RNA (SRP) (PubMed : 33080218). Together with NSP9, suppress protein integration into the cell membrane, thereby disrupting host immune defenses (PubMed : 33080218).. Viral protein genome-linked nsp9. Forms a primer, NSP9-pU, which is utilized by the polymerase for the initiation of RNA chains (PubMed : 37794589). Interacts with ribosome signal recognition particle RNA (SRP) (PubMed : 33080218). Together with NSP8, suppress protein integration into the cell membrane, thereby disrupting host immune defenses (PubMed : 33080218).. Non-structural protein 10. Plays a pivotal role in viral transcription by stimulating both nsp14 3'-5' exoribonuclease (By similarity) and nsp16 2'-O-methyltransferase activities (PubMed : 35944563). Therefore plays an essential role in viral mRNAs cap methylation.. RNA-directed RNA polymerase nsp12. RNA-directed RNA polymerase that catalyzes the transcription of viral genomic and subgenomic RNAs. Acts in complex with nsp7 and nsp8 to transcribe both the minus and positive strands of genomic RNA (PubMed : 32277040, PubMed : 32358203, PubMed : 32438371, PubMed : 32526208). The kinase-like NiRAN domain of NSP12 attaches one or more nucleotides to the amino terminus of NSP9, forming a covalent RNA-protein intermediate that serves as transcription/replication primer (PubMed : 37794589). Subgenomic RNAs (sgRNAs) are formed by discontinuous transcription : The polymerase has the ability to pause at transcription-regulating sequences (TRS) and jump to the leader TRS, resulting in a major deletion (PubMed : 35706445). This creates a series of subgenomic RNAs that are replicated, transcribed and translated (PubMed : 35706445). In addition, Nsp12 is a subunit of the viral RNA capping enzyme that catalyzes the RNA guanylyltransferase reaction for genomic and sub-genomic RNAs (PubMed : 35944563). Subsequently, the NiRAN domain transfers RNA to GDP, and forms the core cap structure GpppA-RNA (PubMed : 35944563).. Helicase nsp13. Plays a role in viral RNA synthesis (PubMed : 33232691). Multi-functional protein with a zinc-binding domain in N-terminus displaying RNA and DNA duplex-unwinding activities with 5' to 3' polarity. Activity of helicase is dependent on magnesium (By similarity). Binds to host TBK1 and inhibits TBK1 phosphorylation; the interaction with TBK1 decreases IRF3 phosphorylation, which leads to reduced IFN-beta production (PubMed : 32979938).. Guanine-N7 methyltransferase nsp14. Plays a role in viral RNA synthesis through two distinct activities. The N7-guanine methyltransferase activity plays a role in the formation of the cap structure GpppA-RNA (PubMed : 35944563). The proofreading exoribonuclease reduces the sensitivity of the virus to RNA mutagens during replication (By similarity). This activity acts on both ssRNA and dsRNA in a 3'-5' direction (By similarity).. Uridylate-specific endoribonuclease nsp15. Plays a role in viral transcription/replication and prevents the simultaneous activation of host cell dsRNA sensors, such as MDA5/IFIH1, OAS, and PKR (By similarity). Acts by degrading the 5'-polyuridines generated during replication of the poly(A) region of viral genomic and subgenomic RNAs (PubMed : 33504779, PubMed : 33564093). Catalyzes a two-step reaction in which a 2'3'-cyclic phosphate (2'3'-cP) is first generated by 2'-O transesterification, which is then hydrolyzed to a 3'-phosphate (3'-P) (PubMed : 33504779, PubMed : 33564093). If not degraded, poly(U) RNA would hybridize with poly(A) RNA tails and activate host dsRNA sensors (By similarity). May bind genomic dsRNA in association with the replication-transcription complex (RTC), and play a role in nsp12 discontinous transcription (PubMed : 34562452, PubMed : 35706445).. 2'-O-methyltransferase nsp16. Methyltransferase that mediates mRNA cap 2'-O-ribose methylation to the 5'-cap structure of viral mRNAs (PubMed : 35944563). N7-methyl guanosine cap is a prerequisite for binding of nsp16 (PubMed : 35944563). Therefore plays an essential role in viral mRNAs cap methylation which is essential to evade immune system (PubMed : 35944563). May disrupt host mRNA splicing in nucleus by interacting with pre-mRNA Recognition Domains ofthe U1 and U2 snRNAs (PubMed : 33080218).
See full target information rep

Product promise

We are committed to supporting your work with high-quality reagents, and we're here for you every step of the way. In the unlikely event that one of our products does not perform as expected, you're protected by our Product Promise.
For full details, please see our Terms & Conditions

Please note: All products are 'FOR RESEARCH USE ONLY. NOT FOR USE IN DIAGNOSTIC OR THERAPEUTIC PROCEDURES'.

For licensing inquiries, please contact partnerships@abcam.com