JavaScript is disabled in your browser. Please enable JavaScript to view this website.
AB280953

Anti-SARS-CoV2 orf3a antibody [EPR24848-9]

  • BOND RX™ Validated
  • 20ul selling size
  • RabMAb
  • Recombinant
  • What is this?

5

(4 Reviews)

|

(2 Publications)

Rabbit Recombinant Monoclonal SARS CoV-2 ORF3a Protein antibody. Suitable for IP, ICC/IF, Flow Cyt (Intra), WB, IHC-P, ELISA and reacts with Transfected cell lysate - SARS-CoV-2, Transfected cell line - SARS-CoV-2, Recombinant full length protein - SARS-CoV-2 samples. Cited in 2 publications.

View Alternative Names

ORF3a protein, ORF3a, Accessory protein 3a, Protein 3a, Protein U274, Protein X1, 3a

9 Images
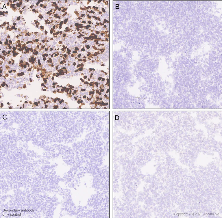
Immunohistochemistry (Formalin/PFA-fixed paraffin-embedded sections) - Anti-SARS-CoV2 orf3a antibody [EPR24848-9] (AB280953)
  • IHC-P

Supplier Data

Immunohistochemistry (Formalin/PFA-fixed paraffin-embedded sections) - Anti-SARS-CoV2 orf3a antibody [EPR24848-9] (AB280953)

Immunohistochemical analysis of paraffin-embedded HEK-293T cells labelling SARS CoV-2 ORF3a Protein with ab280953 at 1/1000 (0.53 μg/ml) dilution followed by a ready to use LeicaDS9800 (Bond™ Polymer Refine Detection). Panel A : HEK-293T (human epithelial cell line from embryonic kidney transformed with large T antigen) transfected with SARS CoV-2 ORF3a Protein expression vector containing a myc-His-tag® Panel B : HEK-293T transfected with SARS-CoV-1 ORF3a Protein vector containing a myc-His-tag®. Panel C : Incubate HEK-293T transfected with SARS CoV-2 ORF3a Protein expression vector containing a myc-His-tag® with secondary antibody only, but not ab280953. Panel D : HEK-293T transfected with control vector containing a myc-His-tag®. Positive staining on (A) HEK-293T transfected with SARS-CoV-2 Protein 3a expression vector. No staining on (B) HEK-293T transfected with a SARS-CoV-1 Protein 3a expression vector, (C) HEK-293T transfected with SARS-CoV-2 Protein 3a expression vector and incubated with secondary antibody only and (D) HEK-293T transfected with empty vector. The section was incubated with ab280953 for 30 mins at room temperature. The immunostaining was performed on a Leica Biosystems BOND® RX instrument. Counterstained with Hematoxylin.

Secondary antibody only control : Secondary antibody is a ready to use LeicaDS9800 (Bond™ Polymer Refine Detection) was used.

Heat mediated antigen retrieval with Tris-EDTA buffer (pH 9.0, epitope retrieval solution2) for 20 mins.

Flow Cytometry (Intracellular) - Anti-SARS-CoV2 orf3a antibody [EPR24848-9] (AB280953)
  • Flow Cyt (Intra)

Supplier Data

Flow Cytometry (Intracellular) - Anti-SARS-CoV2 orf3a antibody [EPR24848-9] (AB280953)

Flow cytometric analysis of 4% paraformaldehyde fixed 90% methanol permeabilized HEK-293T (human embryonic kidney) transfected with myc-tagged SARS CoV-2 ORF3a Protein expression construct (Right) with ab280953 at 1/500 dilution compared with HEK-293T (human embryonic kidney) transfected with myc-tagged SARS-COV-1 ORF3a Protein expression construct (Left).

A Goat anti rabbit IgG (Alexa Fluor® 488, ab150077 at 1/2000 dilution was used as the secondary antibody.

Immunohistochemistry (Formalin/PFA-fixed paraffin-embedded sections) - Anti-SARS-CoV2 orf3a antibody [EPR24848-9] (AB280953)
  • IHC-P

Supplier Data

Immunohistochemistry (Formalin/PFA-fixed paraffin-embedded sections) - Anti-SARS-CoV2 orf3a antibody [EPR24848-9] (AB280953)

Immunohistochemical analysis of paraffin-embedded Human lung tissue labelling SARS CoV-2 ORF3a Protein with ab280953 at 1/1000 (0.53 μg/ml) dilution followed by a ready to use LeicaDS9800 (Bond™ Polymer Refine Detection). No staining on human lung. The section was incubated with ab280953 for 30 mins at room temperature. The immunostaining was performed on a Leica Biosystems BOND® RX instrument. Counterstained with Hematoxylin.

Secondary antibody only control : Secondary antibody is a ready to use LeicaDS9800 (Bond™ Polymer Refine Detection) was used.

Heat mediated antigen retrieval with Tris-EDTA buffer (pH 9.0, epitope retrieval solution2) for 20 mins.

Immunoprecipitation - Anti-SARS-CoV2 orf3a antibody [EPR24848-9] (AB280953)
  • IP

Supplier Data

Immunoprecipitation - Anti-SARS-CoV2 orf3a antibody [EPR24848-9] (AB280953)

SARS CoV-2 ORF3a Protein was immunoprecipitated from 0.35 mg HEK-293T (human embryonic kidney) transfected with SARS CoV-2 ORF3a Protein expression vector containing a myc-His-tag®, whole cell lysate 20 μg with ab280953 at 1/30 dilution (2μg in 0.35mg lysates). Western blot was performed on the immunoprecipitate using ab280953 at 1/1000 dilution. VeriBlot for IP Detection Reagent (HRP)(ab131366) was used at 1/5000 dilution.

Lane 1 : HEK-293T (human embryonic kidney) transfected with SARS CoV-2 ORF3a Protein expression vector containing a myc-His-tag®, whole cell lysate 20 μg

Lane 2 : ab280953 IP in HEK-293T transfected with SARS CoV-2 ORF3a Protein expression vector containing a myc-His-tag® whole cell lysate

Lane 3 : Rabbit monoclonal IgG (ab172730) instead of ab280953 in HEK-293T transfected with SARS CoV-2 ORF3a Protein expression vector containing a myc-His-tag® whole cell lysate

Blocking and dilution buffer and concentration : 5% NFDM/TBST.

Exposure time : 3 seconds.

All lanes:

Immunoprecipitation - Anti-SARS-CoV2 orf3a antibody [EPR24848-9] (ab280953)

Observed band size: 23 kDa

false

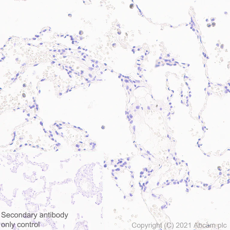
Immunohistochemistry (Formalin/PFA-fixed paraffin-embedded sections) - Anti-SARS-CoV2 orf3a antibody [EPR24848-9] (AB280953)
  • IHC-P

Supplier Data

Immunohistochemistry (Formalin/PFA-fixed paraffin-embedded sections) - Anti-SARS-CoV2 orf3a antibody [EPR24848-9] (AB280953)

Immunohistochemical analysis of paraffin-embedded Rat lung tissue labelling SARS CoV-2 ORF3a Protein with ab280953 at 1/1000 (0.53 μg/ml) dilution followed by a ready to use LeicaDS9800 (Bond™ Polymer Refine Detection). No staining on rat lung. The section was incubated with ab280953 for 30 mins at room temperature. The immunostaining was performed on a Leica Biosystems BOND® RX instrument. Counterstained with Hematoxylin.

Secondary antibody only control : Secondary antibody is a ready to use LeicaDS9800 (Bond™ Polymer Refine Detection) was used.

Heat mediated antigen retrieval with Tris-EDTA buffer (pH 9.0, epitope retrieval solution2) for 20 mins.

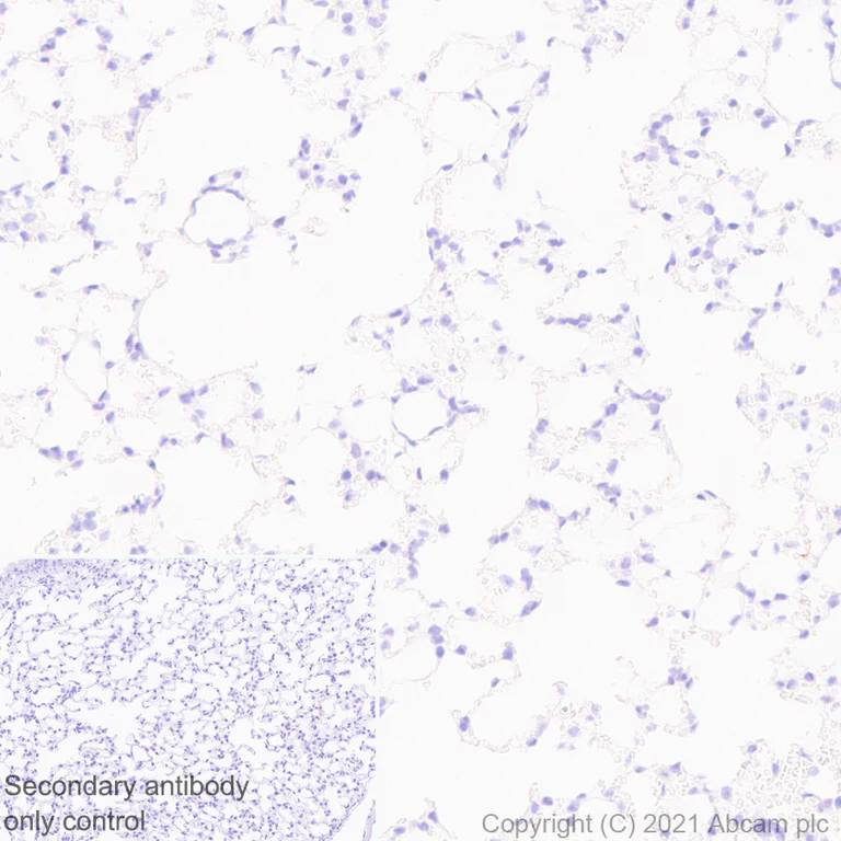
Immunohistochemistry (Formalin/PFA-fixed paraffin-embedded sections) - Anti-SARS-CoV2 orf3a antibody [EPR24848-9] (AB280953)
  • IHC-P

Supplier Data

Immunohistochemistry (Formalin/PFA-fixed paraffin-embedded sections) - Anti-SARS-CoV2 orf3a antibody [EPR24848-9] (AB280953)

Immunohistochemical analysis of paraffin-embedded Mouse lung tissue labelling SARS CoV-2 ORF3a Protein with ab280953 at 1/1000 (0.53 μg/ml) dilution followed by a ready to use LeicaDS9800 (Bond™ Polymer Refine Detection). No staining on mouse lung. The section was incubated with ab280953 for 30 mins at room temperature. The immunostaining was performed on a Leica Biosystems BOND® RX instrument. Counterstained with Hematoxylin.

Secondary antibody only control : Secondary antibody is a ready to use LeicaDS9800 (Bond™ Polymer Refine Detection) was used.

Heat mediated antigen retrieval with Tris-EDTA buffer (pH 9.0, epitope retrieval solution2) for 20 mins.

ELISA - Anti-SARS-CoV2 orf3a antibody [EPR24848-9] (AB280953)
  • ELISA

Lab

ELISA - Anti-SARS-CoV2 orf3a antibody [EPR24848-9] (AB280953)

Recombinant Anti-SARS CoV-2 ORF3a Protein antibody [EPR24848-9] (ab280953)

Plates were coated with a recombinant protein ORF3 at 1000 ng/ml.

Primary antibody (ab280953) concentration range 0.045-100 ng /ml.

Pre-adsorbed secondary antibody, goat anti-rabbit IgG H&L (HRP, ab97080) used at 1/2000 dilution.

Western blot - Anti-SARS-CoV2 orf3a antibody [EPR24848-9] (AB280953)
  • WB

Lab

Western blot - Anti-SARS-CoV2 orf3a antibody [EPR24848-9] (AB280953)

Lanes 1 – 4 : Green – ab280953 observed at 26 kDa.

Lanes 5 – 8 : Red – loading control ab18184 (Mouse monoclonal [HIS.H8] to 6X His tag®) observed at 26 kDa.

ab280953 was shown to bind specifically to SARS CoV-2 ORF3a Protein in Western blot. Samples were run on an SDS-PAGE gel then transferred onto a nitrocellulose membrane. Membranes were blocked in 3 % milk in TBS-0.1 % Tween® 20 (TBS-T) before incubation with primary antibodies overnight at 4 °C. Blots were washed four times in TBS-T, incubated with secondary antibodies for 1 h at room temperature, washed again four times then imaged. Secondary antibodies used were Goat anti-Rabbit IgG H&L (IRDye® 800CW) preabsorbed (ab216773) and Goat anti-Mouse IgG H&L (IRDye® 680RD) preabsorbed (ab216776) at 1/20000 dilution.

Blocking buffer : 3% milk in TBS-0.1 % Tween® 20 (TBS-T)

All lanes:

Western blot - Anti-SARS-CoV2 orf3a antibody [EPR24848-9] (ab280953) at 1/1000 dilution

Lanes 1 and 5:

Expi293 transfected with SARS-CoV-2 ORF3a protein expression vector (His-tagged) cell lysate at 40 µg

Lanes 2 and 6:

Expi293 transfected with SARS-CoV-2 ORF3a protein expression vector (His-tagged) cell lysate at 20 µg

Lanes 3 and 7:

Expi293 transfected with SARS-CoV-1 ORF3a protein expression vector (His-tagged) cell lysate at 40 µg

Lanes 4 and 8:

Expi293 transfected with SARS-CoV-1 ORF3a protein expression vector (His-tagged) cell lysate at 20 µg

Observed band size: 26 kDa

false

Western blot - Anti-SARS-CoV2 orf3a antibody [EPR24848-9] (AB280953)
  • WB

Supplier Data

Western blot - Anti-SARS-CoV2 orf3a antibody [EPR24848-9] (AB280953)

Blocking and Diluting buffer and concentration : 5% NFDM/TBST

Exposure time 5.5 seconds

All lanes:

Western blot - Anti-SARS-CoV2 orf3a antibody [EPR24848-9] (ab280953) at 1/1000 dilution

Lane 1:

HEK-293T (human embryonic kidney) transfected with an empty vector (vector control) containing a myc-His-tag®, whole cell lysate at 20 µg

Lane 2:

HEK-293T transfected with SARS-CoV-2 ORF3a Protein expression vector containing a myc-His-tag®, whole cell lysate at 20 µg

Lane 3:

HEK-293T transfected with SARS-CoV-1 ORF3a Protein expression vector containing a myc-His-tag®, whole cell lysate at 20 µg

Secondary

All lanes:

Western blot - Goat Anti-Rabbit IgG H&L (HRP) (<a href='/en-us/products/secondary-antibodies/goat-rabbit-igg-h-l-hrp-ab97051'>ab97051</a>) at 1/100000 dilution

Observed band size: 23 kDa

false

  • Carrier free

    Anti-SARS CoV-2 ORF3a Protein antibody [EPR24848-9] - BSA and Azide free

  • 519 Alexa Fluor® 488

    Alexa Fluor® 488 Anti-SARS CoV-2 ORF3a Protein antibody [EPR24848-9]

  • 665 Alexa Fluor® 647

    Alexa Fluor® 647 Anti-SARS CoV-2 ORF3a Protein antibody [EPR24848-9]

Key facts

Host species

Rabbit

Clonality

Monoclonal

Clone number

EPR24848-9

Isotype

IgG

Carrier free

No

Reacts with

SARS-CoV-2

Applications

WB, ICC/IF, ELISA, IHC-P, IP, Flow Cyt (Intra)

applications

Immunogen

The exact immunogen used to generate this antibody is proprietary information.

Reactivity data

{ "title": "Reactivity Data", "filters": { "stats": ["", "Species", "Dilution Info", "Notes"], "tabs": { "all-applications": {"fullname" : "All Applications", "shortname": "All Applications"}, "IP" : {"fullname" : "Immunoprecipitation", "shortname":"IP"}, "ICCIF" : {"fullname" : "Immunocytochemistry/ Immunofluorescence", "shortname":"ICC/IF"}, "FlowCytIntra" : {"fullname" : "Flow Cytometry (Intracellular)", "shortname":"Flow Cyt (Intra)"}, "WB" : {"fullname" : "Western blot", "shortname":"WB"}, "IHCP" : {"fullname" : "Immunohistochemistry (Formalin/PFA-fixed paraffin-embedded sections)", "shortname":"IHC-P"}, "ELISA" : {"fullname" : "ELISA", "shortname":"ELISA"} }, "product-promise": { "all": "all", "testedAndGuaranteed": "tested", "guaranteed": "expected", "predicted": "predicted", "notRecommended": "not-recommended" } }, "values": { "Recombinant full length protein - SARS-CoV-2": { "IP-species-checked": "notRecommended", "IP-species-dilution-info": "", "IP-species-notes": "", "ICCIF-species-checked": "notRecommended", "ICCIF-species-dilution-info": "", "ICCIF-species-notes": "", "FlowCytIntra-species-checked": "notRecommended", "FlowCytIntra-species-dilution-info": "", "FlowCytIntra-species-notes": "", "WB-species-checked": "notRecommended", "WB-species-dilution-info": "", "WB-species-notes": "", "IHCP-species-checked": "notRecommended", "IHCP-species-dilution-info": "", "IHCP-species-notes": "", "ELISA-species-checked": "testedAndGuaranteed", "ELISA-species-dilution-info": "", "ELISA-species-notes": "<p></p>" }, "SARS-CoV-2": { "IP-species-checked": "predicted", "IP-species-dilution-info": "", "IP-species-notes": "", "ICCIF-species-checked": "predicted", "ICCIF-species-dilution-info": "", "ICCIF-species-notes": "", "FlowCytIntra-species-checked": "predicted", "FlowCytIntra-species-dilution-info": "", "FlowCytIntra-species-notes": "", "WB-species-checked": "predicted", "WB-species-dilution-info": "", "WB-species-notes": "", "IHCP-species-checked": "predicted", "IHCP-species-dilution-info": "", "IHCP-species-notes": "", "ELISA-species-checked": "predicted", "ELISA-species-dilution-info": "", "ELISA-species-notes": "" }, "Transfected cell line - SARS-CoV-2": { "IP-species-checked": "notRecommended", "IP-species-dilution-info": "", "IP-species-notes": "", "ICCIF-species-checked": "testedAndGuaranteed", "ICCIF-species-dilution-info": "1/500", "ICCIF-species-notes": "<p></p>", "FlowCytIntra-species-checked": "testedAndGuaranteed", "FlowCytIntra-species-dilution-info": "1/500", "FlowCytIntra-species-notes": "<p></p>", "WB-species-checked": "notRecommended", "WB-species-dilution-info": "", "WB-species-notes": "", "IHCP-species-checked": "testedAndGuaranteed", "IHCP-species-dilution-info": "1/1000", "IHCP-species-notes": "<p></p>", "ELISA-species-checked": "notRecommended", "ELISA-species-dilution-info": "", "ELISA-species-notes": "" }, "Transfected cell lysate - SARS-CoV-2": { "IP-species-checked": "testedAndGuaranteed", "IP-species-dilution-info": "1/1000", "IP-species-notes": "<p></p>", "ICCIF-species-checked": "notRecommended", "ICCIF-species-dilution-info": "", "ICCIF-species-notes": "", "FlowCytIntra-species-checked": "notRecommended", "FlowCytIntra-species-dilution-info": "", "FlowCytIntra-species-notes": "", "WB-species-checked": "testedAndGuaranteed", "WB-species-dilution-info": "1/1000", "WB-species-notes": "<p></p>", "IHCP-species-checked": "notRecommended", "IHCP-species-dilution-info": "", "IHCP-species-notes": "", "ELISA-species-checked": "notRecommended", "ELISA-species-dilution-info": "", "ELISA-species-notes": "" } } }

Product details

Patented technology
Our RabMAb® technology is a patented hybridoma-based technology for making rabbit monoclonal antibodies. For details on our patents, please refer to RabMAb® patents.

What are the advantages of a recombinant monoclonal antibody?
This product is a recombinant monoclonal antibody, which offers several advantages including:

  • - High batch-to-batch consistency and reproducibility
  • - Improved sensitivity and specificity
  • - Long-term security of supply
  • - Animal-free batch production

For more information, read more on recombinant antibodies.

Properties and storage information

Form
Liquid
Purification technique
Affinity purification Protein A
Storage buffer
pH: 7.2 - 7.4 Preservative: 0.01% Sodium azide Constituents: PBS, 40% Glycerol (glycerin, glycerine), 0.05% BSA
Shipped at conditions
Blue Ice
Appropriate short-term storage duration
1-2 weeks
Appropriate short-term storage conditions
+4°C
Appropriate long-term storage conditions
-20°C
Aliquoting information
Upon delivery aliquot
Storage information
Avoid freeze / thaw cycle

Supplementary information

This supplementary information is collated from multiple sources and compiled automatically.

The SARS-CoV-2 ORF3a protein also known as ORF3 is an accessory protein of the SARS-CoV-2 virus weighing approximately 275 amino acids. It is expressed in infected host cells and plays an important role in the virus's lifecycle. ORF3a is known for its role as an ion channel involved in the viral replication cycle. Its functions include altering host cell processes to facilitate viral propagation and possibly contributing to viral pathogenesis.
Biological function summary

The SARS-CoV-2 ORF3a protein interferes with the host immune response promoting virus survival and replication. ORF3a is implicated in the enhancement of viral pathogenic effects by modulating innate and adaptive immunity. Though not part of a large known stable complex ORF3a interacts with other viral and host proteins impacting processes like apoptosis and inflammation.

Pathways

ORF3a affects several critical processes within the host cell. It plays a role in the apoptosis pathway influencing cell death mechanisms that help the virus evade immune defenses. Additionally it modulates the NF-kB signaling pathway which is vital for immune response regulation. Other related proteins include ORF7a and NSP6 which work alongside ORF3a to manipulate host cell environments to the virus's advantage.

The SARS-CoV-2 ORF3a protein is directly connected to COVID-19 impacting the severity and progression of the disease. Its interaction with host proteins contributes to dysregulated immune responses and cytokine storms characteristic of severe COVID-19 cases. The protein's role in apoptosis links it to potential lung tissue damage exacerbating respiratory conditions associated with COVID-19 infections.

Product protocols

For this product, it's our understanding that no specific protocols are required. You can visit:

Target data

Plays a role in viral egress via lysosomal trafficking (PubMed : 33157038, PubMed : 33422265). Forms homotetrameric ion channels (viroporins) localized at endosomes and lysosomes, that may induce deacidification of lysosomes, allowing safe egress of virions via lysosomal trafficking (PubMed : 33157038, PubMed : 33422265, PubMed : 34158638). Also blocks autolysosome formation by binding and sequestering the host component VPS39 for homotypic fusion and protein sorting (HOPS) on late endosomes (PubMed : 33422265). This prevents fusion of autophagosomes with lysosomes, disrupting autophagy and facilitating virus egress (PubMed : 33422265). Induces host RETREG1/FAM134B-dependent reticulophagy by interacting with host HMGB1 and enhancing the association between HMGB1 and host BECN1 (PubMed : 35239449). This induces endoplasmic reticulum stress and inflammatory responses and facilitates viral infection (PubMed : 35239449).
See full target information 3a

Additional targets

SARS CoV-2 ORF3a Protein

Publications (2)

Recent publications for all applications. Explore the full list and refine your search

Viruses 17: PubMed40284965

2025

The Role of the Tyrosine-Based Sorting Signals of the ORF3a Protein of SARS-CoV-2 in Intracellular Trafficking and Pathogenesis.

Applications

Unspecified application

Species

Unspecified reactive species

Edward B Stephens,Dusan Kunec,Wyatt Henke,Ricardo Martin Vidal,Brandon Greishaber,Rabina Saud,Maria Kalamvoki,Gagandeep Singh,Sujan Kafle,Jessie D Trujillo,Franco Matias Ferreyra,Igor Morozov,Juergen A Richt

Autophagy 18:2576-2592 PubMed35239449

2022

SARS-CoV-2 ORF3a induces RETREG1/FAM134B-dependent reticulophagy and triggers sequential ER stress and inflammatory responses during SARS-CoV-2 infection.

Applications

Unspecified application

Species

Unspecified reactive species

Xiaolin Zhang,Ziwei Yang,Ting Pan,Xubing Long,Qinqin Sun,Pei-Hui Wang,Xiaojuan Li,Ersheng Kuang
View all publications

Product promise

We are committed to supporting your work with high-quality reagents, and we're here for you every step of the way. In the unlikely event that one of our products does not perform as expected, you're protected by our Product Promise.
For full details, please see our Terms & Conditions

Please note: All products are 'FOR RESEARCH USE ONLY. NOT FOR USE IN DIAGNOSTIC OR THERAPEUTIC PROCEDURES'.

For licensing inquiries, please contact partnerships@abcam.com