JavaScript is disabled in your browser. Please enable JavaScript to view this website.
AB273433

Anti-SARS spike glycoprotein antibody [1A9]

5

(1 Review)

|

(30 Publications)

Mouse Monoclonal SPIKE antibody. Carrier free. Suitable for ICC/IF, IP, Flow Cyt, WB, sELISA and reacts with SARS-CoV-2, SARS-CoV, Recombinant fragment - SARS-CoV-2 samples. Cited in 30 publications.

View Alternative Names

2, S, Spike glycoprotein, S glycoprotein, E2, Peplomer protein

9 Images
Immunocytochemistry/ Immunofluorescence - Anti-SARS spike glycoprotein antibody [1A9] (AB273433)
  • ICC/IF

Supplier Data

Immunocytochemistry/ Immunofluorescence - Anti-SARS spike glycoprotein antibody [1A9] (AB273433)

4% paraformaldehyde-fixed BHK-21 cells stained for SARS-CoV-2 (COVID-19) spike (green) using ab273433 at 1/2000 dilution in ICC.

Flow Cytometry - Anti-SARS spike glycoprotein antibody [1A9] (AB273433)
  • Flow Cyt

Supplier Data

Flow Cytometry - Anti-SARS spike glycoprotein antibody [1A9] (AB273433)

Flow cytometric analysis of HEK-293T cells infected with recombinant vaccinia virus carrying the spike gene, using ab273433.

Immunocytochemistry/ Immunofluorescence - Anti-SARS spike glycoprotein antibody [1A9] (AB273433)
  • ICC/IF

Supplier Data

Immunocytochemistry/ Immunofluorescence - Anti-SARS spike glycoprotein antibody [1A9] (AB273433)

Mock and SARS-CoV-2-transfected COS-7 cells stained for SARS-CoV-2 (COVID-19) spike (green) using ab273433 at 1/2000 dilution in ICC. Nuclei were counterstained with DAPI (Blue).

Immunocytochemistry/ Immunofluorescence - Anti-SARS spike glycoprotein antibody [1A9] (AB273433)
  • ICC/IF

Supplier Data

Immunocytochemistry/ Immunofluorescence - Anti-SARS spike glycoprotein antibody [1A9] (AB273433)

Methanol-fixed Vero E6 cells infected with SARS-CoV-2 (MOI of 1) stained for SARS-CoV-2 (green) using ab273433 at 1/2000 dilution in ICC. Counterstained with DAPI (Blue).

Immunoprecipitation - Anti-SARS spike glycoprotein antibody [1A9] (AB273433)
  • IP

Supplier Data

Immunoprecipitation - Anti-SARS spike glycoprotein antibody [1A9] (AB273433)

SARS-CoV-2 Spike was immunoprecipitated from 2μg of HEK-293T whole cell lysate with ab273433. Western blot was performed from the immunoprecipitate using ab273433. EasyBlot HRP-conjugated anti mouse IgG antibody.

Lane 1 : HEK-293T lysate 2 μg (Input).
Lane 2 : Control IgG IP in HEK-293T lysate.
Lane 3 : ab273433 IP in HEK-293T lysate.

All lanes:

Immunoprecipitation - Anti-SARS spike glycoprotein antibody [1A9] (ab273433)

Predicted band size: 139 kDa

false

Sandwich ELISA - Anti-SARS spike glycoprotein antibody [1A9] (AB273433)
  • sELISA

Supplier Data

Sandwich ELISA - Anti-SARS spike glycoprotein antibody [1A9] (AB273433)

Sandwich ELISA detection of SARS spike glycoprotein using ab273433 as the capture antibody at 5 μg/mL. An alternative antibody was used as the detection antibody at 1 μg/mL followed by a Rabbit IgG antibody (HRP) at 1/10000 to detect the primary antibody.

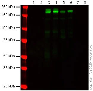
Western blot - Anti-SARS spike glycoprotein antibody [1A9] (AB273433)
  • WB

Lab

Western blot - Anti-SARS spike glycoprotein antibody [1A9] (AB273433)

Lanes 1 - 8 : Merged signal (red and green). Green - ab273433 observed at 200 kDa. Red - loading control.

ab273433 was shown to react with SARS spike glycoprotein in western blot. Membranes were blocked in 3% milk before incubation with ab273433 overnight at 4°C at 1 ug/ml. Blots were incubated with Donkey anti-Mouse IgG H&L(IRDye® 800CW) preabsorbed (ab216774) antibody at 1 in 20000 dilution for 1 hour at room temperature before imaging.

All lanes:

Western blot - Anti-SARS spike glycoprotein antibody [1A9] (ab273433) at 1 µg/mL

Lane 1:

Mock transfected human Expi cell lysate at 10 µg

Lane 2:

PDL-1 Flag transfected human Expi cell lysate at 10 µg

Lane 3:

SARS-Cov1 spike protein transfected human Expi cell lysate at 10 µg

Lane 4:

SARS-Cov1 3xFlag spike protein transfected human Expi cell lysate at 10 µg

Lane 5:

SARS-Cov2 spike protein transfected human Expi cell lysate at 10 µg

Lane 6:

SARS-Cov2 3xFlag spike protein transfected human Expi cell lysate at 10 µg

Lane 7:

MERS Spike protein transfected human Expi cell lysate at 10 µg

Lane 8:

MERS 3xFlag Spike protein transfected human Expi cell lysate at 10 µg

Predicted band size: 139 kDa

Observed band size: 200 kDa

false

Western blot - Anti-SARS spike glycoprotein antibody [1A9] (AB273433)
  • WB

Supplier Data

Western blot - Anti-SARS spike glycoprotein antibody [1A9] (AB273433)

Lane 1:

Western blot - Anti-SARS spike glycoprotein antibody [1A9] (ab273433)

Lanes 2 - 3:

Western blot - Anti-SARS spike glycoprotein antibody [1A9] (ab273433) at 1/1000 dilution

Lane 1:

Mock

Lane 2:

SARS-CoV infected Caco-2 whole cell extract

Lane 3:

SARS-CoV-2 infected Caco-2 whole cell extract

Predicted band size: 139 kDa

false

Western blot - Anti-SARS spike glycoprotein antibody [1A9] (AB273433)
  • WB

Supplier Data

Western blot - Anti-SARS spike glycoprotein antibody [1A9] (AB273433)

All lanes:

Western blot - Anti-SARS spike glycoprotein antibody [1A9] (ab273433) at 1/1000 dilution

Lane 1:

Non-transfected HEK-293T whole cell extract at 30 µg

Lane 2:

Transfected HEK-293T whole cell extract at 30 µg

Secondary

All lanes:

HRP-conjugated anti-mouse IgG antibody

Predicted band size: 139 kDa

false

Key facts

Host species

Mouse

Clonality

Monoclonal

Clone number

1A9

Isotype

IgG1

Carrier free

Yes

Reacts with

SARS-CoV, SARS-CoV-2

Applications

WB, Flow Cyt, sELISA, IP, ICC/IF

applications

Reactivity data

{ "title": "Reactivity Data", "filters": { "stats": ["", "Species", "Dilution Info", "Notes"], "tabs": { "all-applications": {"fullname" : "All Applications", "shortname": "All Applications"}, "ICCIF" : {"fullname" : "Immunocytochemistry/ Immunofluorescence", "shortname":"ICC/IF"}, "IP" : {"fullname" : "Immunoprecipitation", "shortname":"IP"}, "FlowCyt" : {"fullname" : "Flow Cytometry", "shortname":"Flow Cyt"}, "WB" : {"fullname" : "Western blot", "shortname":"WB"}, "sELISA" : {"fullname" : "Sandwich ELISA", "shortname":"sELISA"} }, "product-promise": { "all": "all", "testedAndGuaranteed": "tested", "guaranteed": "expected", "predicted": "predicted", "notRecommended": "not-recommended" } }, "values": { "Recombinant fragment - SARS-CoV-2": { "ICCIF-species-checked": "notRecommended", "ICCIF-species-dilution-info": "", "ICCIF-species-notes": "", "IP-species-checked": "notRecommended", "IP-species-dilution-info": "", "IP-species-notes": "", "FlowCyt-species-checked": "notRecommended", "FlowCyt-species-dilution-info": "", "FlowCyt-species-notes": "", "WB-species-checked": "notRecommended", "WB-species-dilution-info": "", "WB-species-notes": "", "sELISA-species-checked": "testedAndGuaranteed", "sELISA-species-dilution-info": "5 µg/mL", "sELISA-species-notes": "<p></p>" }, "SARS-CoV": { "ICCIF-species-checked": "guaranteed", "ICCIF-species-dilution-info": "", "ICCIF-species-notes": "", "IP-species-checked": "guaranteed", "IP-species-dilution-info": "", "IP-species-notes": "", "FlowCyt-species-checked": "guaranteed", "FlowCyt-species-dilution-info": "", "FlowCyt-species-notes": "", "WB-species-checked": "testedAndGuaranteed", "WB-species-dilution-info": "1/500 - 1/3000", "WB-species-notes": "<p></p>", "sELISA-species-checked": "guaranteed", "sELISA-species-dilution-info": "", "sELISA-species-notes": "" }, "SARS-CoV-2": { "ICCIF-species-checked": "testedAndGuaranteed", "ICCIF-species-dilution-info": "1/100 - 1/2000", "ICCIF-species-notes": "<p></p>", "IP-species-checked": "testedAndGuaranteed", "IP-species-dilution-info": "", "IP-species-notes": "<p></p>", "FlowCyt-species-checked": "testedAndGuaranteed", "FlowCyt-species-dilution-info": "", "FlowCyt-species-notes": "<p></p>", "WB-species-checked": "testedAndGuaranteed", "WB-species-dilution-info": "1/500 - 1/3000", "WB-species-notes": "<p></p>", "sELISA-species-checked": "guaranteed", "sELISA-species-dilution-info": "", "sELISA-species-notes": "" } } }

Product details

Applications overview

Tick: Tested and Guaranteed to work X: Will not work —: No data

<img src="https://www.abcam.com/ps/Products/273/ab273433/Images/ab273433-394126-applications-overview.jpg" height="125" width="678">

Properties and storage information

Form
Liquid
Purification technique
Affinity purification Protein G
Storage buffer
pH: 7.4 Constituents: PBS
Shipped at conditions
Blue Ice
Appropriate short-term storage duration
1-2 weeks
Appropriate short-term storage conditions
+4°C
Appropriate long-term storage conditions
-20°C
Aliquoting information
Upon delivery aliquot
Storage information
Avoid freeze / thaw cycle

Supplementary information

This supplementary information is collated from multiple sources and compiled automatically.

The SARS spike glycoprotein also known as the S glycoprotein is a critical component of the SARS-CoV-2 virus. It weighs approximately 180 kDa and can be found on the surface of the viral envelope. The spike glycoprotein facilitates the entry of the virus into host cells by binding to the angiotensin-converting enzyme 2 (ACE2) receptor. This protein is often targeted by monoclonal antibodies and vaccine strategies aimed at preventing infection. Researchers isolate antibodies that bind specifically to the spike contributing to the development of therapeutic agents like anti-spike monoclonal antibodies.
Biological function summary

The spike glycoprotein serves a fundamental role in the viral life cycle by mediating fusion between the viral membrane and host cell membranes. Its function is divided into two subunits: S1 which is responsible for receptor binding and S2 which is important for membrane fusion. Upon receptor binding a conformational change in the glycoprotein occurs triggering fusion events critical for viral entry. This protein is not typically part of a larger complex but operates in tandem with viral envelope proteins to facilitate replication.

Pathways

The spike glycoprotein's interaction with the host cell's ACE2 receptor places it within the renin-angiotensin-aldosterone system (RAAS) affecting several downstream signaling pathways. The binding initiates endocytosis of the virus into the host cell and impacts inflammation pathways and immune response mechanisms involving interleukin proteins. The spike protein shares functional relationships with other viral proteins such as nucleocapsid and membrane proteins contributing to the virion's structure and infection process.

The spike glycoprotein is closely associated with COVID-19 and the disease's ability to spread and mutate. It's a central focus in the development of potential treatments and vaccines given its role in viral entry. Some mutations in the spike protein can enhance transmissibility or resistance to neutralization influencing the course of infection. In seeking therapeutic interventions researchers focus on spike-related interactions with host proteins like ACE2 which are important in managing COVID-19 symptoms and complications.

Product protocols

For this product, it's our understanding that no specific protocols are required. You can visit:

Target data

Spike protein S1. Attaches the virion to the cell membrane by interacting with host receptor, initiating the infection. The major receptor is host ACE2 (PubMed : 32142651, PubMed : 32155444, PubMed : 33607086). When S2/S2' has been cleaved, binding to the receptor triggers direct fusion at the cell membrane (PubMed : 34561887). When S2/S2' has not been cleaved, binding to the receptor results in internalization of the virus by endocytosis leading to fusion of the virion membrane with the host endosomal membrane (PubMed : 32075877, PubMed : 32221306). Alternatively, may use NRP1/NRP2 (PubMed : 33082294, PubMed : 33082293) and integrin as entry receptors (PubMed : 35150743). The use of NRP1/NRP2 receptors may explain the tropism of the virus in human olfactory epithelial cells, which express these molecules at high levels but ACE2 at low levels (PubMed : 33082293). The stalk domain of S contains three hinges, giving the head unexpected orientational freedom (PubMed : 32817270).. Spike protein S2. Precursor of the fusion protein processed in the biosynthesis of the S protein and the formation of virus particle. Mediates fusion of the virion and cellular membranes by functioning as a class I viral fusion protein. Contains two viral fusion peptides that are unmasked after cleavage. The S2/S2' cleavage occurs during virus entry at the cell membrane by host TMPRSS2 (PubMed : 32142651) or during endocytosis by host CSTL (PubMed : 32703818, PubMed : 34159616). In either case, this triggers an extensive and irreversible conformational change leading to fusion of the viral envelope with the cellular cytoplasmic membrane, releasing viral genomic RNA into the host cell cytoplasm (PubMed : 34561887). Under the current model, the protein has at least three conformational states : pre-fusion native state, pre-hairpin intermediate state, and post-fusion hairpin state. During fusion of the viral and target cell membranes, the coiled coil regions (heptad repeats) adopt a trimer-of-hairpins structure and position the fusion peptide in close proximity to the C-terminal region of the ectodomain. Formation of this structure appears to promote apposition and subsequent fusion of viral and target cell membranes.. Spike protein S2'. Subunit of the fusion protein that is processed upon entry into the host cell. Mediates fusion of the virion and cellular membranes by functioning as a class I viral fusion protein. Contains a viral fusion peptide that is unmasked after S2 cleavage. This cleavage can occur at the cell membrane by host TMPRSS2 or during endocytosis by host CSTL (PubMed : 32703818, PubMed : 34159616). In either case, this triggers an extensive and irreversible conformational change that leads to fusion of the viral envelope with the cellular cytoplasmic membrane, releasing viral genomic RNA into the host cell cytoplasm (PubMed : 34561887). Under the current model, the protein has at least three conformational states : pre-fusion native state, pre-hairpin intermediate state, and post-fusion hairpin state. During fusion of the viral and target cell membranes, the coiled coil regions (heptad repeats) adopt a trimer-of-hairpins structure and position the fusion peptide in close proximity to the C-terminal region of the ectodomain. Formation of this structure appears to promote apposition and subsequent fusion of viral and target cell membranes.
See full target information S

Publications (30)

Recent publications for all applications. Explore the full list and refine your search

Vaccines 13: PubMed40266136

2025

Multivalent Exosome Based Protein Vaccine: A "Mix and Match" Approach to Epidemic Viruses' Challenges.

Applications

Unspecified application

Species

Unspecified reactive species

Mafalda Cacciottolo,Li-En Hsieh,Yujia Li,Michael J LeClaire,Ciana L Mora,Christy Lau,Charles Dwyer,Kristi Elliott,Minghao Sun

Communications biology 7:1460 PubMed39511285

2024

Targeting protein homeostasis with small molecules as a strategy for the development of pan-coronavirus antiviral therapies.

Applications

Unspecified application

Species

Unspecified reactive species

Yu-Qian Mao,Shahrzad Jahanshahi,Ramy Malty,David A J Van Ommen,Yimei Wan,Trevor M Morey,Stephanie H W Chuang,Veronika Pavlova,Choudhary Ahmed,Subha Dahal,Funing Lin,Maria Mangos,Jocelyn Nurtanto,Yuetong Song,Terek Been,Natasha Christie-Holmes,Scott D Gray-Owen,Mohan Babu,Amy P Wong,Robert A Batey,Liliana Attisano,Alan Cochrane,Walid A Houry

Nature microbiology 9:1293-1311 PubMed38622380

2024

Age-specific nasal epithelial responses to SARS-CoV-2 infection.

Applications

Unspecified application

Species

Unspecified reactive species

Maximillian N J Woodall,Ana-Maria Cujba,Kaylee B Worlock,Katie-Marie Case,Tereza Masonou,Masahiro Yoshida,Krzysztof Polanski,Ni Huang,Rik G H Lindeboom,Lira Mamanova,Liam Bolt,Laura Richardson,Batuhan Cakir,Samuel Ellis,Machaela Palor,Thomas Burgoyne,Andreia Pinto,Dale Moulding,Timothy D McHugh,Aarash Saleh,Eliz Kilich,Puja Mehta,Chris O'Callaghan,Jie Zhou,Wendy Barclay,Paolo De Coppi,Colin R Butler,Mario Cortina-Borja,Heloise Vinette,Sunando Roy,Judith Breuer,Rachel C Chambers,Wendy E Heywood,Kevin Mills,Robert E Hynds,Sarah A Teichmann,Kerstin B Meyer,Marko Z Nikolić,Claire M Smith

Signal transduction and targeted therapy 9:98 PubMed38609366

2024

Infection with SARS-CoV-2 can cause pancreatic impairment.

Applications

Unspecified application

Species

Unspecified reactive species

Wei Deng,Linlin Bao,Zhiqi Song,Ling Zhang,Pin Yu,Yanfeng Xu,Jue Wang,Wenjie Zhao,Xiuqin Zhang,Yunlin Han,Yanhong Li,Jiangning Liu,Qi Lv,Xujian Liang,Fengdi Li,Feifei Qi,Ran Deng,Siyuan Wang,Yibai Xiong,Ruiping Xiao,Hongyang Wang,Chuan Qin

Vaccines 11: PubMed37766083

2023

Oral Immunization with rVSV Bivalent Vaccine Elicits Protective Immune Responses, Including ADCC, against Both SARS-CoV-2 and Influenza A Viruses.

Applications

Unspecified application

Species

Unspecified reactive species

Maggie Jing Ouyang,Zhujun Ao,Titus A Olukitibi,Peter Lawrynuik,Christopher Shieh,Sam K P Kung,Keith R Fowke,Darwyn Kobasa,Xiaojian Yao

PloS one 18:e0290046 PubMed37607200

2023

Nanograms of SARS-CoV-2 spike protein delivered by exosomes induce potent neutralization of both delta and omicron variants.

Applications

Unspecified application

Species

Unspecified reactive species

Mafalda Cacciottolo,Yujia Li,Justin B Nice,Michael J LeClaire,Ryan Twaddle,Ciana L Mora,Stephanie Y Adachi,Meredith Young,Jenna Angeles,Kristi Elliott,Minghao Sun

Brain, behavior, & immunity - health 32:100675 PubMed37600600

2023

Meditation-induced bloodborne factors as an adjuvant treatment to COVID-19 disease.

Applications

Unspecified application

Species

Unspecified reactive species

Juan P Zuniga-Hertz,Ramamurthy Chitteti,Joe Dispenza,Raphael Cuomo,Jacqueline A Bonds,Elena L Kopp,Sierra Simpson,Jonathan Okerblom,Svetlana Maurya,Brinda K Rana,Atsushi Miyonahara,Ingrid R Niesman,Jacqueline Maree,Gianna Belza,Hillari D Hamilton,Carla Stanton,David J Gonzalez,Michelle A Poirier,Tobias Moeller-Bertram,Hemal H Patel

Microbiology spectrum 11:e0050323 PubMed37093009

2023

Exosome-Based Multivalent Vaccine: Achieving Potent Immunization, Broadened Reactivity, and Strong T-Cell Responses with Nanograms of Proteins.

Applications

Unspecified application

Species

Unspecified reactive species

Mafalda Cacciottolo,Justin B Nice,Yujia Li,Michael J LeClaire,Ryan Twaddle,Ciana L Mora,Stephanie Y Adachi,Esther R Chin,Meredith Young,Jenna Angeles,Kristi Elliott,Minghao Sun

Life science alliance 6: PubMed36977594

2023

Reduced replication but increased interferon resistance of SARS-CoV-2 Omicron BA.1.

Applications

Unspecified application

Species

Unspecified reactive species

Rayhane Nchioua,Annika Schundner,Susanne Klute,Lennart Koepke,Maximilian Hirschenberger,Sabrina Noettger,Giorgio Fois,Fabian Zech,Alexander Graf,Stefan Krebs,Peter Braubach,Helmut Blum,Steffen Stenger,Dorota Kmiec,Manfred Frick,Frank Kirchhoff,Konstantin Mj Sparrer

Science advances 8:eade5085 PubMed36563151

2022

The D614G mutation redirects SARS-CoV-2 spike to lysosomes and suppresses deleterious traits of the furin cleavage site insertion mutation.

Applications

Unspecified application

Species

Unspecified reactive species

Chenxu Guo,Shang-Jui Tsai,Yiwei Ai,Maggie Li,Eduardo Anaya,Andrew Pekosz,Andrea Cox,Stephen J Gould
View all publications

Product promise

We are committed to supporting your work with high-quality reagents, and we're here for you every step of the way. In the unlikely event that one of our products does not perform as expected, you're protected by our Product Promise.
For full details, please see our Terms & Conditions

Please note: All products are 'FOR RESEARCH USE ONLY. NOT FOR USE IN DIAGNOSTIC OR THERAPEUTIC PROCEDURES'.

For licensing inquiries, please contact partnerships@abcam.com