JavaScript is disabled in your browser. Please enable JavaScript to view this website.
AB229227

Anti-SARS2 antibody

Be the first to review this product! Submit a review

|

(2 Publications)

Rabbit Polyclonal SARS2 antibody. Suitable for WB, IHC-P and reacts with Human samples. Cited in 2 publications. Immunogen corresponding to Recombinant Fragment Protein within Human SARS2.

View Alternative Names

SARSM, SARS2, SerRSmt, Seryl-tRNA synthetase, Seryl-tRNA(Ser/Sec) synthetase, SerRS

3 Images
Immunohistochemistry (Formalin/PFA-fixed paraffin-embedded sections) - Anti-SARS2 antibody (AB229227)
  • IHC-P

Supplier Data

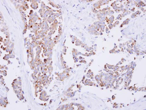
Immunohistochemistry (Formalin/PFA-fixed paraffin-embedded sections) - Anti-SARS2 antibody (AB229227)

Paraffin-embedded human lung carcinoma tissue stained for SARS2 using ab229227 at 1/250 dilution in immunohistochemical analysis.

Immunohistochemistry (Formalin/PFA-fixed paraffin-embedded sections) - Anti-SARS2 antibody (AB229227)
  • IHC-P

Supplier Data

Immunohistochemistry (Formalin/PFA-fixed paraffin-embedded sections) - Anti-SARS2 antibody (AB229227)

Paraffin-embedded human hepatoma tissue stained for SARS2 using ab229227 at 1/500 dilution in immunohistochemical analysis.

Western blot - Anti-SARS2 antibody (AB229227)
  • WB

Supplier Data

Western blot - Anti-SARS2 antibody (AB229227)

7.5% SDS-PAGE gel.

All lanes:

Western blot - Anti-SARS2 antibody (ab229227) at 1/1000 dilution

All lanes:

U-87 MG (human glioblastoma-astrocytoma epithelial cell line) whole cell lysate at 30 µg

Predicted band size: 58 kDa

false

Key facts

Host species

Rabbit

Clonality

Polyclonal

Isotype

IgG

Carrier free

No

Reacts with

Human

Applications

WB, IHC-P

applications

Immunogen

Recombinant Fragment Protein within Human SARS2. The exact immunogen used to generate this antibody is proprietary information.

Q9NP81

Reactivity data

{ "title": "Reactivity Data", "filters": { "stats": ["", "Species", "Dilution Info", "Notes"], "tabs": { "all-applications": {"fullname" : "All Applications", "shortname": "All Applications"}, "WB" : {"fullname" : "Western blot", "shortname":"WB"}, "IHCP" : {"fullname" : "Immunohistochemistry (Formalin/PFA-fixed paraffin-embedded sections)", "shortname":"IHC-P"} }, "product-promise": { "all": "all", "testedAndGuaranteed": "tested", "guaranteed": "expected", "predicted": "predicted", "notRecommended": "not-recommended" } }, "values": { "Human": { "WB-species-checked": "testedAndGuaranteed", "WB-species-dilution-info": "1/500 - 1/3000", "WB-species-notes": "<p></p>", "IHCP-species-checked": "testedAndGuaranteed", "IHCP-species-dilution-info": "1/100 - 1/1000", "IHCP-species-notes": "<p></p>" } } }

Properties and storage information

Form
Liquid
Purification technique
Affinity purification Immunogen
Storage buffer
pH: 7 Preservative: 0.01% Thimerosal (merthiolate) Constituents: 20% Glycerol (glycerin, glycerine), 1.21% Tris, 0.75% Glycine
Shipped at conditions
Blue Ice
Appropriate short-term storage duration
1-2 weeks
Appropriate short-term storage conditions
+4°C
Appropriate long-term storage conditions
-20°C
Aliquoting information
Upon delivery aliquot
Storage information
Avoid freeze / thaw cycle

Supplementary information

This supplementary information is collated from multiple sources and compiled automatically.

SARS2 also known as angiotensin-converting enzyme 2 (ACE2) plays an important role in converting angiotensin II into angiotensin 1-7 a peptide that affects blood pressure and fluid balance. This protein has a mass of approximately 120 kDa and is expressed in various tissues including the lungs heart kidneys and gastrointestinal tract. ACE2 serves as a functional receptor for the spike protein of severe acute respiratory syndrome coronavirus 2 (SARS-CoV-2) which allows viral entry into host cells.
Biological function summary

SARS2 regulates cardiovascular and renal functions and maintains the renin-angiotensin system (RAS). It is a part of a counter-regulatory mechanism alongside other components like angiotensin-converting enzyme (ACE). ACE2 contributes greatly to the modulation of RAS by balancing the effects of angiotensin II through its breakdown into angiotensin 1-7. These actions protect organs from damage that could be caused by angiotensin II-related stresses.

Pathways

SARS2 is deeply involved in both the RAS and the kallikrein-kinin system. These pathways control blood pressure electrolyte balance and inflammation. Within the RAS SARS2 works closely with ACE and also impacts kinins levels through the kallikrein-kinin system. Such interactions make SARS2 important in both systemic and local cellular effects in different tissues.

SARS2's role in COVID-19 is notable as it serves as the entry point for the SARS-CoV-2 virus that causes the disease. Additionally its involvement in blood pressure regulation links it to hypertension. The connection with SARS-CoV-2 highlights interactions with spike protein which enhances the understanding of COVID-19's pathology. Hypertension studies point to the interplay with angiotensin II highlighting SARS2's significance in cardiovascular health.

Product protocols

For this product, it's our understanding that no specific protocols are required. You can visit:

Target data

Catalyzes the attachment of serine to tRNA(Ser). Is also probably able to aminoacylate tRNA(Sec) with serine, to form the misacylated tRNA L-seryl-tRNA(Sec), which will be further converted into selenocysteinyl-tRNA(Sec).
See full target information SARS2

Publications (2)

Recent publications for all applications. Explore the full list and refine your search

Stem cell research & therapy 15:316 PubMed39304926

2024

MSC-extracellular vesicle microRNAs target host cell-entry receptors in COVID-19: in silico modeling for in vivo validation.

Applications

Unspecified application

Species

Unspecified reactive species

Hajer A Al Saihati,Arigue A Dessouky,Rabab F Salim,Islam Elgohary,Mohamed El-Sherbiny,Fares E M Ali,Mahmoud M A Moustafa,Dalia Shaheen,Nicholas Robert Forsyth,Omnia A Badr,Nesrine Ebrahim

Neural plasticity 2022:3172861 PubMed35237315

2022

Preferential Involvement of BRCA1/BARD1, Not Tip60/Fe65, in DNA Double-Strand Break Repair in Presenilin-1 P117L Alzheimer Models.

Applications

Unspecified application

Species

Unspecified reactive species

Marcella M Authiat,Emmanuelle Gruz-Gibelli,Julien Colas,Estelle Bianchi,Marta Garcia-Arauzo,Pascale Marin,François R Herrmann,Armand Savioz
View all publications

Product promise

We are committed to supporting your work with high-quality reagents, and we're here for you every step of the way. In the unlikely event that one of our products does not perform as expected, you're protected by our Product Promise.
For full details, please see our Terms & Conditions

Please note: All products are 'FOR RESEARCH USE ONLY. NOT FOR USE IN DIAGNOSTIC OR THERAPEUTIC PROCEDURES'.

For licensing inquiries, please contact partnerships@abcam.com