JavaScript is disabled in your browser. Please enable JavaScript to view this website.
AB176822

Anti-SART3 antibody

Be the first to review this product! Submit a review

|

(2 Publications)

Rabbit Polyclonal SART3 antibody. Suitable for IP, WB, IHC-Fr and reacts with Human samples. Cited in 2 publications. Immunogen corresponding to Synthetic Peptide within Human SART3 aa 600-650.

View Alternative Names

KIAA0156, TIP110, SART3, Squamous cell carcinoma antigen recognized by T-cells 3, SART-3, Tat-interacting protein of 110 kDa, p110 nuclear RNA-binding protein, Tip110

4 Images
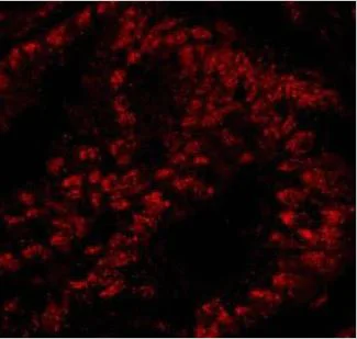
Immunohistochemistry (Frozen sections) - Anti-SART3 antibody (AB176822)
  • IHC-Fr

Supplier Data

Immunohistochemistry (Frozen sections) - Anti-SART3 antibody (AB176822)

Immunohistochemical analysis of frozen section of Human colon carcinoma tissue labeling SART3 with ab176822 at 0.5 μg/ml.
Detection : Red-fluorescent Goat anti-Rabbit IgG-heavy and light chain, cross-adsorbed Antibody DyLight® 594 Conjugated used at a dilution of 1/100.

Western blot - Anti-SART3 antibody (AB176822)
  • WB

Supplier Data

Western blot - Anti-SART3 antibody (AB176822)

All lanes:

Western blot - Anti-SART3 antibody (ab176822) at 0.02 µg/mL

Lane 1:

HeLa whole cell lysate at 50 µg

Lane 2:

HeLa whole cell lysate at 15 µg

Lane 3:

HeLa whole cell lysate at 5 µg

Predicted band size: 110 kDa

true

Exposure time: 3s

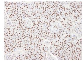
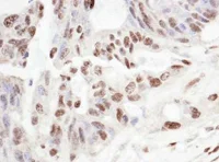
Immunohistochemistry (Frozen sections) - Anti-SART3 antibody (AB176822)
  • IHC-Fr

Supplier Data

Immunohistochemistry (Frozen sections) - Anti-SART3 antibody (AB176822)

Immunohistochemical analysis of frozen section of Human ovarian carcinoma tissue labeling SART3 with ab176822 at 1 μg/ml.

Detection : DAB staining.

Immunoprecipitation - Anti-SART3 antibody (AB176822)
  • IP

Supplier Data

Immunoprecipitation - Anti-SART3 antibody (AB176822)

Detection of SART3 by Western Blot of Immunoprecipitate.
abX176822 at 0.04μg/ml labeling SART3 in HeLa whole cell lysate immunoprecipitated using ab176822 at 3μg/mg lysate (1 mg/IP; 20% of IP loaded/lane). Detection : Chemiluminescence with exposure times of 3
seconds.

All lanes:

Immunoprecipitation - Anti-SART3 antibody (ab176822)

Predicted band size: 110 kDa

true

Exposure time: 3s

Key facts

Host species

Rabbit

Clonality

Polyclonal

Isotype

IgG

Carrier free

No

Reacts with

Human

Applications

IP, WB, IHC-Fr

applications

Immunogen

Synthetic Peptide within Human SART3 aa 600-650. The exact immunogen used to generate this antibody is proprietary information.

Q15020

Reactivity data

{ "title": "Reactivity Data", "filters": { "stats": ["", "Species", "Dilution Info", "Notes"], "tabs": { "all-applications": {"fullname" : "All Applications", "shortname": "All Applications"}, "IP" : {"fullname" : "Immunoprecipitation", "shortname":"IP"}, "WB" : {"fullname" : "Western blot", "shortname":"WB"}, "IHCFr" : {"fullname" : "Immunohistochemistry (Frozen sections)", "shortname":"IHC-Fr"} }, "product-promise": { "all": "all", "testedAndGuaranteed": "tested", "guaranteed": "expected", "predicted": "predicted", "notRecommended": "not-recommended" } }, "values": { "Human": { "IP-species-checked": "testedAndGuaranteed", "IP-species-dilution-info": "2-5 µg/mg of lysate", "IP-species-notes": "<p></p>", "WB-species-checked": "testedAndGuaranteed", "WB-species-dilution-info": "1/2000 - 1/10000", "WB-species-notes": "<p></p>", "IHCFr-species-checked": "testedAndGuaranteed", "IHCFr-species-dilution-info": "1/500 - 1/2000", "IHCFr-species-notes": "<p>Epitope retrieval with citrate buffer pH 6.0 is recommended for FFPE tissue sections</p>" }, "Chimpanzee": { "IP-species-checked": "predicted", "IP-species-dilution-info": "", "IP-species-notes": "", "WB-species-checked": "predicted", "WB-species-dilution-info": "", "WB-species-notes": "", "IHCFr-species-checked": "predicted", "IHCFr-species-dilution-info": "", "IHCFr-species-notes": "" }, "Orangutan": { "IP-species-checked": "predicted", "IP-species-dilution-info": "", "IP-species-notes": "", "WB-species-checked": "predicted", "WB-species-dilution-info": "", "WB-species-notes": "", "IHCFr-species-checked": "predicted", "IHCFr-species-dilution-info": "", "IHCFr-species-notes": "" } } }

Properties and storage information

Form
Liquid
Purification technique
Affinity purification Immunogen
Purification notes
ab176822 was affinity purified using an epitope specific to SART3 immobilized on solid support.
Storage buffer
pH: 6.8 - 7.4 Preservative: 0.09% Sodium azide Constituents: 99% Tris buffered saline, 0.1% BSA
Shipped at conditions
Blue Ice
Appropriate short-term storage duration
1-2 weeks
Appropriate short-term storage conditions
+4°C
Appropriate long-term storage conditions
-20°C
Aliquoting information
Upon delivery aliquot
Storage information
Avoid freeze / thaw cycle

Supplementary information

This supplementary information is collated from multiple sources and compiled automatically.

SART3 also known as squamous cell carcinoma antigen recognized by T-cells 3 is a 110 kDa protein involved in various cellular processes. It is expressed in the nucleus of cells and has roles in RNA processing and splicing. SART3 assists in the assembly of the U4/U6 di-snRNP complex which is essential for the spliceosomal machinery. The protein's role in splicing indicates its participation in regulating gene expression and maintaining cellular function.
Biological function summary

SART3 plays a significant role in mRNA splicing by assisting the formation of tri-snRNP which is necessary for spliceosome activity. SART3 interacts with other splicing factors and is a component of the spliceosomal complex. Its localization in the nucleus supports its involvement in pre-mRNA splicing. This function is important for producing mature mRNA molecules which are fundamental for protein synthesis in cells.

Pathways

SART3's involvement in the spliceosome pathway highlights its importance in RNA processing. This pathway is critical for gene expression and regulation. SART3 works alongside other proteins such as U4/U6 snRNP and U5 snRNP to form and stabilize the spliceosome machinery. Another related pathway is mRNA surveillance ensuring the accuracy of mRNA processing and detecting defective transcripts. Through these pathways SART3 ensures that the cellular transcriptome is correctly processed and functional.

Aberrations in SART3 expression or function can be linked to cancer and autoimmune diseases. For instance alterations in SART3 have implications in squamous cell carcinoma where its recognized antigen role by T-cells might initiate an immune response. In autoimmune disorders abnormal splicing events linked to SART3 may contribute to disease pathogenesis. SART3 also interacts with HLA proteins in the immune system potentially influencing immune recognition and response in these disease contexts.

Product protocols

For this product, it's our understanding that no specific protocols are required. You can visit:

Target data

U6 snRNP-binding protein that functions as a recycling factor of the splicing machinery. Promotes the initial reassembly of U4 and U6 snRNPs following their ejection from the spliceosome during its maturation (PubMed : 12032085). Also binds U6atac snRNPs and may function as a recycling factor for U4atac/U6atac spliceosomal snRNP, an initial step in the assembly of U12-type spliceosomal complex. The U12-type spliceosomal complex plays a role in the splicing of introns with non-canonical splice sites (PubMed : 14749385). May also function as a substrate-targeting factor for deubiquitinases like USP4 and USP15. Recruits USP4 to ubiquitinated PRPF3 within the U4/U5/U6 tri-snRNP complex, promoting PRPF3 deubiquitination and thereby regulating the spliceosome U4/U5/U6 tri-snRNP spliceosomal complex disassembly (PubMed : 20595234). May also recruit the deubiquitinase USP15 to histone H2B and mediate histone deubiquitination, thereby regulating gene expression and/or DNA repair (PubMed : 24526689). May play a role in hematopoiesis probably through transcription regulation of specific genes including MYC (By similarity).. Regulates Tat transactivation activity through direct interaction. May be a cellular factor for HIV-1 gene expression and viral replication.
See full target information SART3

Publications (2)

Recent publications for all applications. Explore the full list and refine your search

Nature communications 12:3646 PubMed34131137

2021

TSSC4 is a component of U5 snRNP that promotes tri-snRNP formation.

Applications

Unspecified application

Species

Unspecified reactive species

Klára Klimešová,Jitka Vojáčková,Nenad Radivojević,Franck Vandermoere,Edouard Bertrand,Celine Verheggen,David Staněk

Scientific reports 8:12875 PubMed30150770

2018

Acetylation state of RelA modulated by epigenetic drugs prolongs survival and induces a neuroprotective effect on ALS murine model.

Applications

Unspecified application

Species

Unspecified reactive species

Lorenzo Schiaffino,Roberta Bonafede,Ilaria Scambi,Edoardo Parrella,Marina Pizzi,Raffaella Mariotti
View all publications

Product promise

We are committed to supporting your work with high-quality reagents, and we're here for you every step of the way. In the unlikely event that one of our products does not perform as expected, you're protected by our Product Promise.
For full details, please see our Terms & Conditions

Please note: All products are 'FOR RESEARCH USE ONLY. NOT FOR USE IN DIAGNOSTIC OR THERAPEUTIC PROCEDURES'.

For licensing inquiries, please contact partnerships@abcam.com