JavaScript is disabled in your browser. Please enable JavaScript to view this website.
AB251656

Anti-SASH3 antibody

Be the first to review this product! Submit a review

|

(1 Publication)

Rabbit Polyclonal SASH3 antibody. Suitable for IHC-P, WB and reacts with Human samples. Cited in 1 publication. Immunogen corresponding to Recombinant Fragment Protein within Human SASH3 aa 250 to C-terminus.

View Alternative Names

CXorf9, SLY, SASH3, SAM and SH3 domain-containing protein 3, SH3 protein expressed in lymphocytes homolog

5 Images
Immunohistochemistry (Formalin/PFA-fixed paraffin-embedded sections) - Anti-SASH3 antibody (AB251656)
  • IHC-P

Supplier Data

Immunohistochemistry (Formalin/PFA-fixed paraffin-embedded sections) - Anti-SASH3 antibody (AB251656)

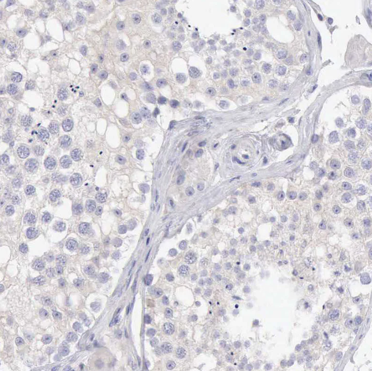
Paraffin-embedded human testis tissue stained for SASH3 using ab251656 in immunohistochemical analysis, showing no positivity in cells in seminiferous ducts as expected.

Immunohistochemistry (Formalin/PFA-fixed paraffin-embedded sections) - Anti-SASH3 antibody (AB251656)
  • IHC-P

Supplier Data

Immunohistochemistry (Formalin/PFA-fixed paraffin-embedded sections) - Anti-SASH3 antibody (AB251656)

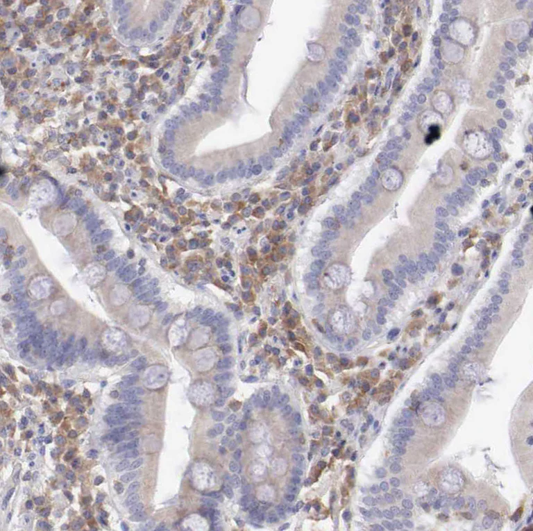
Paraffin-embedded human duodenum tissue stained for SASH3 using ab251656 in immunohistochemical analysis, showing moderate cytoplasmic positivity in lymphoid cells.

Immunohistochemistry (Formalin/PFA-fixed paraffin-embedded sections) - Anti-SASH3 antibody (AB251656)
  • IHC-P

Supplier Data

Immunohistochemistry (Formalin/PFA-fixed paraffin-embedded sections) - Anti-SASH3 antibody (AB251656)

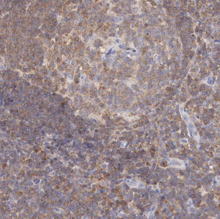
Paraffin-embedded human lymph node tissue stained for SASH3 using ab251656 in immunohistochemical analysis, showing moderate cytoplasmic positivity in lymphocytes.

Immunohistochemistry (Formalin/PFA-fixed paraffin-embedded sections) - Anti-SASH3 antibody (AB251656)
  • IHC-P

Unknown

Immunohistochemistry (Formalin/PFA-fixed paraffin-embedded sections) - Anti-SASH3 antibody (AB251656)

Paraffin-embedded human skeletal muscle tissue stained for SASH3 using ab251656 at 1/50 dilution in immunohistochemical analysis. Low expression, as expected.

Western blot - Anti-SASH3 antibody (AB251656)
  • WB

Unknown

Western blot - Anti-SASH3 antibody (AB251656)

All lanes:

Western blot - Anti-SASH3 antibody (ab251656) at 0.4 µg/mL

Lane 1:

Vector only transfected HEK-293T (human epithelial cell line from embryonic kidney transformed with large T antigen) whole cell lysate

Lane 2:

HEK-293T overexpressing human SASH3 with a C-terminal myc-DDK tag, whole cell lysate

Predicted band size: 41 kDa

false

Key facts

Host species

Rabbit

Clonality

Polyclonal

Isotype

IgG

Carrier free

No

Reacts with

Human

Applications

WB, IHC-P

applications

Immunogen

Recombinant Fragment Protein within Human SASH3 aa 250 to C-terminus. The exact immunogen used to generate this antibody is proprietary information.

O75995

Reactivity data

{ "title": "Reactivity Data", "filters": { "stats": ["", "Species", "Dilution Info", "Notes"], "tabs": { "all-applications": {"fullname" : "All Applications", "shortname": "All Applications"}, "IHCP" : {"fullname" : "Immunohistochemistry (Formalin/PFA-fixed paraffin-embedded sections)", "shortname":"IHC-P"}, "WB" : {"fullname" : "Western blot", "shortname":"WB"} }, "product-promise": { "all": "all", "testedAndGuaranteed": "tested", "guaranteed": "expected", "predicted": "predicted", "notRecommended": "not-recommended" } }, "values": { "Human": { "IHCP-species-checked": "testedAndGuaranteed", "IHCP-species-dilution-info": "1/200 - 1/500", "IHCP-species-notes": "<p></p> Perform heat-mediated antigen retrieval with citrate buffer pH 6 before commencing with IHC staining protocol.", "WB-species-checked": "testedAndGuaranteed", "WB-species-dilution-info": "0.04-0.4 µg/mL", "WB-species-notes": "<p></p>" }, "Mouse": { "IHCP-species-checked": "predicted", "IHCP-species-dilution-info": "", "IHCP-species-notes": "", "WB-species-checked": "predicted", "WB-species-dilution-info": "", "WB-species-notes": "" }, "Cow": { "IHCP-species-checked": "predicted", "IHCP-species-dilution-info": "", "IHCP-species-notes": "", "WB-species-checked": "predicted", "WB-species-dilution-info": "", "WB-species-notes": "" } } }

Properties and storage information

Form
Liquid
Purification technique
Affinity purification Immunogen
Storage buffer
pH: 7.2 Preservative: 0.02% Sodium azide Constituents: PBS, 40% Glycerol (glycerin, glycerine)
Shipped at conditions
Blue Ice
Appropriate short-term storage duration
1-2 weeks
Appropriate short-term storage conditions
+4°C
Appropriate long-term storage conditions
-20°C
Aliquoting information
Upon delivery aliquot
Storage information
Avoid freeze / thaw cycle

Supplementary information

This supplementary information is collated from multiple sources and compiled automatically.

SASH3 also known as SAM and SH3 Domain Containing 3 or FYVE and coiled-coil domain autoantigen 1 (FCA1) is an adaptor protein with mass approximately 138 kDa. This protein plays a mechanical role in intracellular signaling through its SH3 and SAM domains which mediate protein-protein interactions. SASH3 is expressed mainly in lymphoid tissues including spleen and thymus making it significant in the immune system.
Biological function summary

SASH3 functions in cellular signaling processes related to immune response. SASH3 is not part of a large protein complex but associates with other proteins in immune cells to regulate signaling pathways. It plays a role in modulating T-cell activation a critical function for orchestrating immune responses.

Pathways

SASH3 interfaces notably with the T-cell receptor signaling pathway influencing immune cell activation. It interacts with proteins such as Vav1 and Lck which are known to mediate signal transduction in response to activation of the immune system. SASH3's involvement in these pathways impacts cellular proliferation and differentiation core elements of immune response control.

SASH3 relates to conditions such as systemic lupus erythematosus and other autoimmune diseases where improper immune regulation occurs. Altered SASH3 expression or mutations may contribute to these diseases by disrupting normal signal transduction involving related proteins like CD3 and ZAP-70. Understanding SASH3's function could offer insights for developing therapeutic targets in treating such immune system disorders.

Product protocols

For this product, it's our understanding that no specific protocols are required. You can visit:

Target data

May function as a signaling adapter protein in lymphocytes.
See full target information SASH3

Publications (1)

Recent publications for all applications. Explore the full list and refine your search

Nature communications 14:5913 PubMed37737247

2023

Hypoxanthine phosphoribosyl transferase 1 metabolizes temozolomide to activate AMPK for driving chemoresistance of glioblastomas.

Applications

Unspecified application

Species

Unspecified reactive species

Jianxing Yin,Xiefeng Wang,Xin Ge,Fangshu Ding,Zhumei Shi,Zehe Ge,Guang Huang,Ningwei Zhao,Dongyin Chen,Junxia Zhang,Sameer Agnihotri,Yuandong Cao,Jing Ji,Fan Lin,Qianghu Wang,Qigang Zhou,Xiuxing Wang,Yongping You,Zhimin Lu,Xu Qian
View all publications

Product promise

We are committed to supporting your work with high-quality reagents, and we're here for you every step of the way. In the unlikely event that one of our products does not perform as expected, you're protected by our Product Promise.
For full details, please see our Terms & Conditions

Please note: All products are 'FOR RESEARCH USE ONLY. NOT FOR USE IN DIAGNOSTIC OR THERAPEUTIC PROCEDURES'.

For licensing inquiries, please contact partnerships@abcam.com