JavaScript is disabled in your browser. Please enable JavaScript to view this website.
AB228772

Anti-SATB1 antibody - C-terminal

3

(1 Review)

|

(3 Publications)

Rabbit Polyclonal SATB1 antibody. C-terminal. Suitable for IP, ChIP, WB, IHC-P and reacts with Human, Mouse samples. Cited in 3 publications. Immunogen corresponding to Recombinant Fragment Protein within Human SATB1.

View Alternative Names

DNA-binding protein SATB1, Special AT-rich sequence-binding protein 1, SATB1

6 Images
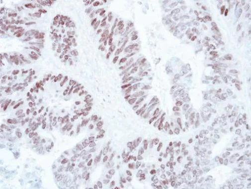
Immunohistochemistry (Formalin/PFA-fixed paraffin-embedded sections) - Anti-SATB1 antibody - C-terminal (AB228772)
  • IHC-P

Supplier Data

Immunohistochemistry (Formalin/PFA-fixed paraffin-embedded sections) - Anti-SATB1 antibody - C-terminal (AB228772)

Paraffin-embedded human colon carcinoma tissue stained for SATB1 using ab228772 at 1/250 dilution in immunohistochemical analysis.

Immunoprecipitation - Anti-SATB1 antibody - C-terminal (AB228772)
  • IP

Supplier Data

Immunoprecipitation - Anti-SATB1 antibody - C-terminal (AB228772)

SATB1 was immunoprecipitated from HEK-293T (human epithelial cell line from embryonic kidney transformed with large T antigen) whole cell lysate with ab228772. Western blot was performed from the immunoprecipitate using ab228772 at 1/1000 dilution. Anti-rabbit IgG was used as secondary antibody.

Lane 1 : 2 μg of preimmune rabbit IgG instead of ab228772 in HEK-293T whole cell lysate.
Lane 2 : ab228772 IP in HEK-293T whole cell lysate.

All lanes:

Immunoprecipitation - Anti-SATB1 antibody - C-terminal (ab228772)

Predicted band size: 85 kDa

true

ChIP - Anti-SATB1 antibody - C-terminal (AB228772)
  • ChIP

Supplier Data

ChIP - Anti-SATB1 antibody - C-terminal (AB228772)

Cross-linked ChIP was performed with Jurkat (human T cell leukemia cell line from peripheral blood) chromatin extract and 5 μg of either control rabbit IgG or ab228772. The precipitated DNA was detected by PCR with primer set targeting to BCL2 promoter.

Western blot - Anti-SATB1 antibody - C-terminal (AB228772)
  • WB

Supplier Data

Western blot - Anti-SATB1 antibody - C-terminal (AB228772)

7.5% SDS-PAGE gel.

All lanes:

Western blot - Anti-SATB1 antibody - C-terminal (ab228772) at 1/500 dilution

All lanes:

Jurkat (human T cell leukemia cell line from peripheral blood) whole cell extract at 30 µg

Predicted band size: 85 kDa

false

Western blot - Anti-SATB1 antibody - C-terminal (AB228772)
  • WB

Supplier Data

Western blot - Anti-SATB1 antibody - C-terminal (AB228772)

7.5% SDS-PAGE gel.

All lanes:

Western blot - Anti-SATB1 antibody - C-terminal (ab228772) at 1/500 dilution

All lanes:

THP-1 (human monocytic leukemia cell line) whole cell extract at 30 µg

Predicted band size: 85 kDa

false

Western blot - Anti-SATB1 antibody - C-terminal (AB228772)
  • WB

Supplier Data

Western blot - Anti-SATB1 antibody - C-terminal (AB228772)

7.5% SDS-PAGE gel.

All lanes:

Western blot - Anti-SATB1 antibody - C-terminal (ab228772) at 1/5000 dilution

All lanes:

Mouse thymus tissue extract at 50 µg

Secondary

All lanes:

HRP-conjugated anti-rabbit IgG

Predicted band size: 85 kDa

false

Key facts

Host species

Rabbit

Clonality

Polyclonal

Isotype

IgG

Carrier free

No

Reacts with

Mouse, Human

Applications

ChIP, IHC-P, WB, IP

applications

Immunogen

Recombinant Fragment Protein within Human SATB1. The exact immunogen used to generate this antibody is proprietary information.

Q01826

Reactivity data

{ "title": "Reactivity Data", "filters": { "stats": ["", "Species", "Dilution Info", "Notes"], "tabs": { "all-applications": {"fullname" : "All Applications", "shortname": "All Applications"}, "IP" : {"fullname" : "Immunoprecipitation", "shortname":"IP"}, "ChIP" : {"fullname" : "ChIP", "shortname":"ChIP"}, "WB" : {"fullname" : "Western blot", "shortname":"WB"}, "IHCP" : {"fullname" : "Immunohistochemistry (Formalin/PFA-fixed paraffin-embedded sections)", "shortname":"IHC-P"} }, "product-promise": { "all": "all", "testedAndGuaranteed": "tested", "guaranteed": "expected", "predicted": "predicted", "notRecommended": "not-recommended" } }, "values": { "Human": { "IP-species-checked": "testedAndGuaranteed", "IP-species-dilution-info": "1/100 - 1/500", "IP-species-notes": "<p></p>", "ChIP-species-checked": "testedAndGuaranteed", "ChIP-species-dilution-info": "", "ChIP-species-notes": "<p></p>", "WB-species-checked": "testedAndGuaranteed", "WB-species-dilution-info": "1/500 - 1/10000", "WB-species-notes": "<p></p>", "IHCP-species-checked": "testedAndGuaranteed", "IHCP-species-dilution-info": "1/100 - 1/1000", "IHCP-species-notes": "<p></p>" }, "Mouse": { "IP-species-checked": "guaranteed", "IP-species-dilution-info": "", "IP-species-notes": "", "ChIP-species-checked": "guaranteed", "ChIP-species-dilution-info": "", "ChIP-species-notes": "", "WB-species-checked": "testedAndGuaranteed", "WB-species-dilution-info": "1/500 - 1/10000", "WB-species-notes": "<p></p>", "IHCP-species-checked": "guaranteed", "IHCP-species-dilution-info": "", "IHCP-species-notes": "" }, "Rat": { "IP-species-checked": "predicted", "IP-species-dilution-info": "", "IP-species-notes": "", "ChIP-species-checked": "predicted", "ChIP-species-dilution-info": "", "ChIP-species-notes": "", "WB-species-checked": "predicted", "WB-species-dilution-info": "", "WB-species-notes": "", "IHCP-species-checked": "predicted", "IHCP-species-dilution-info": "", "IHCP-species-notes": "" }, "Chicken": { "IP-species-checked": "predicted", "IP-species-dilution-info": "", "IP-species-notes": "", "ChIP-species-checked": "predicted", "ChIP-species-dilution-info": "", "ChIP-species-notes": "", "WB-species-checked": "predicted", "WB-species-dilution-info": "", "WB-species-notes": "", "IHCP-species-checked": "predicted", "IHCP-species-dilution-info": "", "IHCP-species-notes": "" }, "Rhesus monkey": { "IP-species-checked": "predicted", "IP-species-dilution-info": "", "IP-species-notes": "", "ChIP-species-checked": "predicted", "ChIP-species-dilution-info": "", "ChIP-species-notes": "", "WB-species-checked": "predicted", "WB-species-dilution-info": "", "WB-species-notes": "", "IHCP-species-checked": "predicted", "IHCP-species-dilution-info": "", "IHCP-species-notes": "" } } }

Properties and storage information

Form
Liquid
Purification technique
Affinity purification Immunogen
Storage buffer
pH: 7 Preservative: 0.01% Thimerosal (merthiolate) Constituents: PBS, 20% Glycerol (glycerin, glycerine), 1% BSA
Shipped at conditions
Blue Ice
Appropriate short-term storage duration
1-2 weeks
Appropriate short-term storage conditions
+4°C
Appropriate long-term storage conditions
-20°C
Aliquoting information
Upon delivery aliquot
Storage information
Avoid freeze / thaw cycle

Supplementary information

This supplementary information is collated from multiple sources and compiled automatically.

SATB1 or Special AT-rich Sequence Binding Protein 1 is a nuclear matrix-associated protein with a mass of approximately 85 kDa. It modifies chromatin structure by organizing the density of DNA through loop formation which regulates gene expression. SATB1 is expressed in thymocytes breast tissue and various other cell types and plays a significant role in cellular differentiation and development. It binds selectively to base-unpairing regions allowing it to influence expression patterns of multiple genes.
Biological function summary

SATB1 acts as a genome organizer and transcription regulator by linking chromatin remodeling complexes to specific genomic loci. It participates in chromatin loop domain organization influencing higher-order chromatin structure and gene silencing or activation. SATB1 does not usually work alone but rather associates with corepressors such as HDAC1 and coactivators like PCAF in regulating transcription. Its functions have been noted as particularly important in T cell development where it assists in the regulation of T cell receptor genes.

Pathways

SATB1 integrates into the Wnt signaling pathway and influences the Notch signaling pathway. The protein interacts with β-catenin in the Wnt pathway aiding in sustaining key developmental processes. In the Notch signaling pathway SATB1 influences cell fate decisions impacting differentiation and proliferation through its interaction with RBP-Jκ and other transcription modulators. MUTYH and LRP6 are among the proteins within these pathways influenced by SATB1's regulatory capacity.

SATB1 links to various cancer types including breast cancer and colorectal cancer. Overexpression of SATB1 can drive tumor progression and metastasis by altering gene expression landscapes. It's known to affect pathways regulated by proteins like BRCA1 in breast cancer contributing to disease pathogenicity. In immune disorders such as autoimmune diseases SATB1 interacts with STAT5 impacting cytokine signaling pathways and thereby influencing immunological tolerance and efficacy.

Product protocols

For this product, it's our understanding that no specific protocols are required. You can visit:

Target data

Crucial silencing factor contributing to the initiation of X inactivation mediated by Xist RNA that occurs during embryogenesis and in lymphoma (By similarity). Binds to DNA at special AT-rich sequences, the consensus SATB1-binding sequence (CSBS), at nuclear matrix- or scaffold-associated regions. Thought to recognize the sugar-phosphate structure of double-stranded DNA. Transcriptional repressor controlling nuclear and viral gene expression in a phosphorylated and acetylated status-dependent manner, by binding to matrix attachment regions (MARs) of DNA and inducing a local chromatin-loop remodeling. Acts as a docking site for several chromatin remodeling enzymes (e.g. PML at the MHC-I locus) and also by recruiting corepressors (HDACs) or coactivators (HATs) directly to promoters and enhancers. Modulates genes that are essential in the maturation of the immune T-cell CD8SP from thymocytes. Required for the switching of fetal globin species, and beta- and gamma-globin genes regulation during erythroid differentiation. Plays a role in chromatin organization and nuclear architecture during apoptosis. Interacts with the unique region (UR) of cytomegalovirus (CMV). Alu-like motifs and SATB1-binding sites provide a unique chromatin context which seems preferentially targeted by the HIV-1 integration machinery. Moreover, HIV-1 Tat may overcome SATB1-mediated repression of IL2 and IL2RA (interleukin) in T-cells by binding to the same domain than HDAC1. Delineates specific epigenetic modifications at target gene loci, directly up-regulating metastasis-associated genes while down-regulating tumor-suppressor genes. Reprograms chromatin organization and the transcription profiles of breast tumors to promote growth and metastasis. Promotes neuronal differentiation of neural stem/progenitor cells in the adult subventricular zone, possibly by positively regulating the expression of NEUROD1 (By similarity).
See full target information SATB1

Publications (3)

Recent publications for all applications. Explore the full list and refine your search

Journal of cell communication and signaling 17:993-1008 PubMed37191839

2023

MiR-218-5p promotes trophoblast infiltration and inhibits endoplasmic reticulum/oxidative stress by reducing UBE3A-mediated degradation of SATB1.

Applications

Unspecified application

Species

Unspecified reactive species

Xiao Gu,Xiaomei Sun,Yanling Yu,Lei Li

Immunity 55:115-128.e9 PubMed35021053

2022

TGF-β-mediated silencing of genomic organizer SATB1 promotes Tfh cell differentiation and formation of intra-tumoral tertiary lymphoid structures.

Applications

Unspecified application

Species

Unspecified reactive species

Ricardo A Chaurio,Carmen M Anadon,Tara Lee Costich,Kyle K Payne,Subir Biswas,Carly M Harro,Carlos Moran,Antonio C Ortiz,Carla Cortina,Kristen E Rigolizzo,Kimberly B Sprenger,Jessica A Mine,Patrick Innamarato,Gunjan Mandal,John J Powers,Alexandra Martin,Zhitao Wang,Sumit Mehta,Bradford A Perez,Roger Li,John Robinson,Jodi L Kroeger,Tyler J Curiel,Xiaoqing Yu,Paulo C Rodriguez,Jose R Conejo-Garcia

Journal of cellular biochemistry 120:6671-6682 PubMed30368875

2018

SATB1 3'-UTR and lncRNA-UCA1 competitively bind to miR-495-3p and together regulate the proliferation and invasion of gastric cancer.

Applications

Unspecified application

Species

Unspecified reactive species

Li Sun,Lina Liu,Junshu Yang,Hai Li,Can Zhang
View all publications

Product promise

We are committed to supporting your work with high-quality reagents, and we're here for you every step of the way. In the unlikely event that one of our products does not perform as expected, you're protected by our Product Promise.
For full details, please see our Terms & Conditions

Please note: All products are 'FOR RESEARCH USE ONLY. NOT FOR USE IN DIAGNOSTIC OR THERAPEUTIC PROCEDURES'.

For licensing inquiries, please contact partnerships@abcam.com