JavaScript is disabled in your browser. Please enable JavaScript to view this website.
AB109122

Anti-SATB1 antibody [EPR3951]

  • BOND RX™ Validated
  • RabMAb
  • Recombinant
  • KO Validated
  • 20ul selling size
  • What is this?

5

(2 Reviews)

|

(32 Publications)

Anti-SATB1 antibody [EPR3951] (ab109122) is a rabbit monoclonal antibody detecting SATB1 in Western Blot, Flow Cytometry, IP, IHC-P, ICC/IF. Suitable for Human, Mouse, Rat.

- KO validated for confirmed specificity
- Biophysical QC for unrivalled batch-batch consistency
- Over 20 publications

View Alternative Names

DNA-binding protein SATB1, Special AT-rich sequence-binding protein 1, SATB1

9 Images
Immunocytochemistry/ Immunofluorescence - Anti-SATB1 antibody [EPR3951] (AB109122)
  • ICC/IF

Lab

Immunocytochemistry/ Immunofluorescence - Anti-SATB1 antibody [EPR3951] (AB109122)

Immunocytochemistry analysis of Jurkat (Human T cell leukemia T lymphocyte) cells labeling SATB1 with Purified ab109122 at 1 : 50 dilution (2.5 μg/ml). Cells were fixed in 4% Paraformaldehyde and permeabilized with 0.1% tritonX-100. Cells were counterstained with ab195889 Anti-alpha Tubulin antibody [DM1A] - Microtubule Marker (Alexa Fluor® 594) 1 : 200 (2.5 μg/ml). Goat anti rabbit IgG (Alexa Fluor® 488, ab150077) was used as the secondary antibody at 1 : 1000 (2 μg/ml) dilution. DAPI (blue) was used as nuclear counterstain. PBS instead of the primary antibody was used as the secondary antibody only control.

Immunohistochemistry (Formalin/PFA-fixed paraffin-embedded sections) - Anti-SATB1 antibody [EPR3951] (AB109122)
  • IHC-P

Lab

Immunohistochemistry (Formalin/PFA-fixed paraffin-embedded sections) - Anti-SATB1 antibody [EPR3951] (AB109122)

Immunohistochemistry (Formalin/PFA-fixed paraffin-embedded sections) analysis of human lung carcinoma tissue sections labeling SATB1 with Purified ab109122 at 1 : 500 dilution (0.246 μg/ml). Heat mediated antigen retrieval was performed using Heat mediated antigen retrieval using Bond™ Epitope Retrieval Solution 2 (pH 9.0) . Tissue was counterstained with Hematoxylin. Rabbit specific IHC polymer detection kit HRP/DAB (ab209101) secondary antibody was used. PBS instead of the primary antibody was used as the negative control.

Flow Cytometry - Anti-SATB1 antibody [EPR3951] (AB109122)
  • Flow Cyt

Lab

Flow Cytometry - Anti-SATB1 antibody [EPR3951] (AB109122)

Flow Cytometry analysis of Jurkat (Human T cell leukemia T lymphocyte) cells labelling SATB1 with Purified ab109122 at 1 : 20 dilution (10 μg/ml) (Red). Cells were fixed with 4% Paraformaldehyde and permeabilised with 90% Methanol. A Goat anti rabbit IgG (Alexa Fluor® 488, ab150077) secondary antibody was used at 1 : 2000. Isotype control - Rabbit monoclonal IgG (Black). Unlabelled control - Cell without incubation with primary antibody and secondary antibody (Blue).

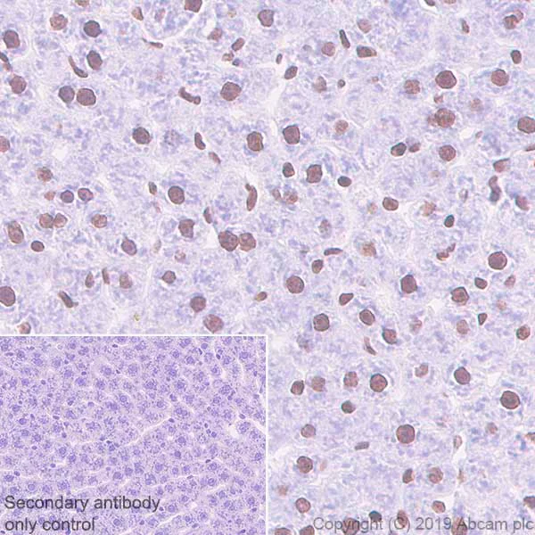
Immunohistochemistry (Formalin/PFA-fixed paraffin-embedded sections) - Anti-SATB1 antibody [EPR3951] (AB109122)
  • IHC-P

Lab

Immunohistochemistry (Formalin/PFA-fixed paraffin-embedded sections) - Anti-SATB1 antibody [EPR3951] (AB109122)

Immunohistochemistry (Formalin/PFA-fixed paraffin-embedded sections) analysis of rat liver tissue sections labeling SATB1 with Purified ab109122 at 1 : 500 dilution (0.246 μg/ml). Heat mediated antigen retrieval was performed using Heat mediated antigen retrieval using Bond™ Epitope Retrieval Solution 2 (pH 9.0) . Tissue was counterstained with Hematoxylin. Rabbit specific IHC polymer detection kit HRP/DAB (ab209101) secondary antibody was used. PBS instead of the primary antibody was used as the negative control.

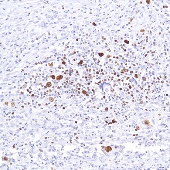
Immunohistochemistry (Formalin/PFA-fixed paraffin-embedded sections) - Anti-SATB1 antibody [EPR3951] (AB109122)
  • IHC-P

Lab

Immunohistochemistry (Formalin/PFA-fixed paraffin-embedded sections) - Anti-SATB1 antibody [EPR3951] (AB109122)

Immunohistochemistry (Formalin/PFA-fixed paraffin-embedded sections) analysis of mouse liver tissue sections labeling SATB1 with Purified ab109122 at 1 : 500 dilution (0.246 μg/ml). Heat mediated antigen retrieval was performed using Heat mediated antigen retrieval using Bond™ Epitope Retrieval Solution 2 (pH 9.0) . Tissue was counterstained with Hematoxylin. Rabbit specific IHC polymer detection kit HRP/DAB (ab209101) secondary antibody was used. PBS instead of the primary antibody was used as the negative control.

Immunoprecipitation - Anti-SATB1 antibody [EPR3951] (AB109122)
  • IP

Lab

Immunoprecipitation - Anti-SATB1 antibody [EPR3951] (AB109122)

Purified ab109122 at 1 : 20 dilution (0.6μg) immunoprecipitating SATB1 in Rat thymus lysate.
Lane 1 (input) : Rat thymus lysate 10 μg
Lane 2 (+) : ab109122 + Rat thymus lysate.
Lane 3 (-) : Rabbit monoclonal IgG (ab172730) instead of ab109122 in Rat thymus lysate.
VeriBlot for IP Detection Reagent (HRP)(ab131366) (1 : 5000 dilution) was used for Western blotting.
Blocking Buffer and concentration : 5% NFDM/TBST.
Diluting buffer and concentration : 5% NFDM/TBST.
Observed band size : kDa

All lanes:

Immunoprecipitation - Anti-SATB1 antibody [EPR3951] (ab109122)

Predicted band size: 85 kDa

false

Western blot - Anti-SATB1 antibody [EPR3951] (AB109122)
  • WB

Lab

Western blot - Anti-SATB1 antibody [EPR3951] (AB109122)

Lane 1 : Wild-type HAP1 whole cell lysate (20 μg)
Lane 2 : SATB1 knockout HAP1 whole cell lysate (20 μg)
Lane 3 : Jurkat whole cell lysate (20 μg)
Lane 4 : THP1 whole cell lysate (20 μg)

Lanes 1 - 4 : Merged signal (red and green). Green - ab109122 observed at 100 kDa. Red - loading control, ab9484, observed at 37 kDa.

ab109122 was shown to specifically react with SATB1 in wild-type HAP1 cells as signal was lost in SATB1 knockout cells. Wild-type and SATB1 knockout samples were subjected to SDS-PAGE. ab109122 and ab9484 (Mouse anti-GAPDH loading control) were incubated overnight at 4°C at 1/1000 dilution and 1/20000 dilution respectively. Blots were developed with Goat anti-Rabbit IgG H&L (IRDye® 800CW) preabsorbed ab216773 and Goat anti-Mouse IgG H&L (IRDye® 680RD) preabsorbed ab216776 secondary antibodies at 1/20000 dilution for 1 hour at room temperature before imaging.

All lanes:

Western blot - Anti-SATB1 antibody [EPR3951] (ab109122)

Predicted band size: 85 kDa

false

Western blot - Anti-SATB1 antibody [EPR3951] (AB109122)
  • WB

Unknown

Western blot - Anti-SATB1 antibody [EPR3951] (AB109122)

All lanes:

Western blot - Anti-SATB1 antibody [EPR3951] (ab109122) at 1/1000 dilution

Lane 1:

LNCaP (Human prostate carcinoma epithelial cell) whole cell lysate at 20 µg

Lane 2:

THP-1 (Human monocytic leukemia monocyte) whole cell lysate at 20 µg

Lane 3:

Mouse liver lysate at 20 µg

Lane 4:

Mouse thymus lysate at 20 µg

Lane 5:

Rat thymus lysate at 20 µg

Secondary

All lanes:

Western blot - Goat Anti-Rabbit IgG H&L (HRP) (<a href='/en-us/products/secondary-antibodies/goat-rabbit-igg-h-l-hrp-ab97051'>ab97051</a>) at 1/20000 dilution

Predicted band size: 85 kDa

false

Western blot - Anti-SATB1 antibody [EPR3951] (AB109122)
  • WB

Unknown

Western blot - Anti-SATB1 antibody [EPR3951] (AB109122)

All lanes:

Western blot - Anti-SATB1 antibody [EPR3951] (ab109122) at 1/1000 dilution

Lane 1:

Jurkat (Human T cell leukemia T lymphocyte) nuclear extract lysate at 20 µg

Lane 2:

Jurkat (Human T cell leukemia T lymphocyte) without nuclear extract lysate at 20 µg

Lane 3:

Jurkat (Human T cell leukemia T lymphocyte) whole cell lysate at 20 µg

Secondary

All lanes:

Western blot - Goat Anti-Rabbit IgG H&L (HRP) (<a href='/en-us/products/secondary-antibodies/goat-rabbit-igg-h-l-hrp-ab97051'>ab97051</a>) at 1/20000 dilution

Predicted band size: 85 kDa

false

  • HRP

    HRP Anti-SATB1 antibody [EPR3951]

  • Carrier free

    Anti-SATB1 antibody [EPR3951] - BSA and Azide free

Key facts

Host species

Rabbit

Clonality

Monoclonal

Clone number

EPR3951

Isotype

IgG

Carrier free

No

Reacts with

Mouse, Human, Rat

Applications

Flow Cyt, IHC-P, WB, IP, ICC/IF

applications

Immunogen

The exact immunogen used to generate this antibody is proprietary information.

Reactivity data

{ "title": "Reactivity Data", "filters": { "stats": ["", "Species", "Dilution Info", "Notes"], "tabs": { "all-applications": {"fullname" : "All Applications", "shortname": "All Applications"}, "IHCP" : {"fullname" : "Immunohistochemistry (Formalin/PFA-fixed paraffin-embedded sections)", "shortname":"IHC-P"}, "IP" : {"fullname" : "Immunoprecipitation", "shortname":"IP"}, "FlowCyt" : {"fullname" : "Flow Cytometry", "shortname":"Flow Cyt"}, "WB" : {"fullname" : "Western blot", "shortname":"WB"}, "ICCIF" : {"fullname" : "Immunocytochemistry/ Immunofluorescence", "shortname":"ICC/IF"} }, "product-promise": { "all": "all", "testedAndGuaranteed": "tested", "guaranteed": "expected", "predicted": "predicted", "notRecommended": "not-recommended" } }, "values": { "Human": { "IHCP-species-checked": "testedAndGuaranteed", "IHCP-species-dilution-info": "1/500", "IHCP-species-notes": "<p>heat up to 98 degrees C, below boiling, and then let cool for 10-20 min.</p> Perform heat-mediated antigen retrieval before commencing with IHC staining protocol.", "IP-species-checked": "guaranteed", "IP-species-dilution-info": "", "IP-species-notes": "", "FlowCyt-species-checked": "testedAndGuaranteed", "FlowCyt-species-dilution-info": "1/20", "FlowCyt-species-notes": "<p></p>", "WB-species-checked": "testedAndGuaranteed", "WB-species-dilution-info": "1/1000", "WB-species-notes": "<p></p>", "ICCIF-species-checked": "testedAndGuaranteed", "ICCIF-species-dilution-info": "1/50", "ICCIF-species-notes": "<p></p>" }, "Mouse": { "IHCP-species-checked": "testedAndGuaranteed", "IHCP-species-dilution-info": "1/500", "IHCP-species-notes": "<p>heat up to 98 degrees C, below boiling, and then let cool for 10-20 min.</p> Perform heat-mediated antigen retrieval before commencing with IHC staining protocol.", "IP-species-checked": "guaranteed", "IP-species-dilution-info": "", "IP-species-notes": "", "FlowCyt-species-checked": "guaranteed", "FlowCyt-species-dilution-info": "", "FlowCyt-species-notes": "", "WB-species-checked": "testedAndGuaranteed", "WB-species-dilution-info": "1/1000", "WB-species-notes": "<p></p>", "ICCIF-species-checked": "guaranteed", "ICCIF-species-dilution-info": "", "ICCIF-species-notes": "" }, "Rat": { "IHCP-species-checked": "testedAndGuaranteed", "IHCP-species-dilution-info": "1/500", "IHCP-species-notes": "<p>heat up to 98 degrees C, below boiling, and then let cool for 10-20 min.</p> Perform heat-mediated antigen retrieval before commencing with IHC staining protocol.", "IP-species-checked": "testedAndGuaranteed", "IP-species-dilution-info": "1/20", "IP-species-notes": "<p></p>", "FlowCyt-species-checked": "guaranteed", "FlowCyt-species-dilution-info": "", "FlowCyt-species-notes": "", "WB-species-checked": "testedAndGuaranteed", "WB-species-dilution-info": "1/1000", "WB-species-notes": "<p></p>", "ICCIF-species-checked": "guaranteed", "ICCIF-species-dilution-info": "", "ICCIF-species-notes": "" } } }

Product details

What is this antibody validated in?
Anti-SATB1 antibody [EPR3951] (ab109122) is a rabbit recombinant monoclonal antibody and is validated for use in Western Blot (WB), Flow Cytometry (Flow Cyt), Immunoprecipitation (IP), Immunohistochemistry (IHC-P), Immunocytochemistry/immunofluorescence (ICC/IF) in Human, Mouse, Rat samples.

What is the molecular weight of SATB1?
Anti-SATB1 [EPR3951] (ab109122) specifically detects a band for SATB1 (UniProt: Q01826) at a molecular weight of 86kDa.

Trusted by the scientific community
Anti-SATB1 [EPR3951] (ab109122) was first used in a scientific publication in 2011 and has been cited over 20 times in peer-reviewed journals.

Trial sizes available!
Test your antibody or perform pre-screening before committing to a larger quantity. Sold in 10µl. Discover our selection of trial-size antibodies.

Specificity confirmed
The specificity of Anti-SATB1 antibody [EPR3951] (ab109122) has been confirmed by Western blot testing in SATB1 Knockout HAP1 cells.

Other related products
We have a range of other formats of antibody clone [EPR3951] also available for your convenience: ab109122, HRP - ab203964, Carrier free - ab239944

Patented technology
Our RabMAb® technology is a patented hybridoma-based technology for making rabbit monoclonal antibodies. For details on our patents, please refer to RabMAb® patents.

What are the advantages of a recombinant monoclonal antibody?
This product is a recombinant monoclonal antibody, which offers several advantages including:

  • - High batch-to-batch consistency and reproducibility
  • - Improved sensitivity and specificity
  • - Long-term security of supply
  • - Animal-free batch production

For more information, read more on recombinant antibodies.

Properties and storage information

Form
Liquid
Purification technique
Affinity purification Protein A
Storage buffer
pH: 7.2 - 7.4 Preservative: 0.01% Sodium azide Constituents: PBS, 40% Glycerol (glycerin, glycerine), 0.05% BSA
Shipped at conditions
Blue Ice
Appropriate short-term storage duration
1-2 weeks
Appropriate short-term storage conditions
+4°C
Appropriate long-term storage conditions
-20°C
Aliquoting information
Upon delivery aliquot
Storage information
Avoid freeze / thaw cycle

Supplementary information

This supplementary information is collated from multiple sources and compiled automatically.

SATB1 or Special AT-rich Sequence Binding Protein 1 is a nuclear matrix-associated protein with a mass of approximately 85 kDa. It modifies chromatin structure by organizing the density of DNA through loop formation which regulates gene expression. SATB1 is expressed in thymocytes breast tissue and various other cell types and plays a significant role in cellular differentiation and development. It binds selectively to base-unpairing regions allowing it to influence expression patterns of multiple genes.
Biological function summary

SATB1 acts as a genome organizer and transcription regulator by linking chromatin remodeling complexes to specific genomic loci. It participates in chromatin loop domain organization influencing higher-order chromatin structure and gene silencing or activation. SATB1 does not usually work alone but rather associates with corepressors such as HDAC1 and coactivators like PCAF in regulating transcription. Its functions have been noted as particularly important in T cell development where it assists in the regulation of T cell receptor genes.

Pathways

SATB1 integrates into the Wnt signaling pathway and influences the Notch signaling pathway. The protein interacts with Β-catenin in the Wnt pathway aiding in sustaining key developmental processes. In the Notch signaling pathway SATB1 influences cell fate decisions impacting differentiation and proliferation through its interaction with RBP-Jκ and other transcription modulators. MUTYH and LRP6 are among the proteins within these pathways influenced by SATB1's regulatory capacity.

SATB1 links to various cancer types including breast cancer and colorectal cancer. Overexpression of SATB1 can drive tumor progression and metastasis by altering gene expression landscapes. It's known to affect pathways regulated by proteins like BRCA1 in breast cancer contributing to disease pathogenicity. In immune disorders such as autoimmune diseases SATB1 interacts with STAT5 impacting cytokine signaling pathways and thereby influencing immunological tolerance and efficacy.

Product protocols

For this product, it's our understanding that no specific protocols are required. You can visit:

Target data

Crucial silencing factor contributing to the initiation of X inactivation mediated by Xist RNA that occurs during embryogenesis and in lymphoma (By similarity). Binds to DNA at special AT-rich sequences, the consensus SATB1-binding sequence (CSBS), at nuclear matrix- or scaffold-associated regions. Thought to recognize the sugar-phosphate structure of double-stranded DNA. Transcriptional repressor controlling nuclear and viral gene expression in a phosphorylated and acetylated status-dependent manner, by binding to matrix attachment regions (MARs) of DNA and inducing a local chromatin-loop remodeling. Acts as a docking site for several chromatin remodeling enzymes (e.g. PML at the MHC-I locus) and also by recruiting corepressors (HDACs) or coactivators (HATs) directly to promoters and enhancers. Modulates genes that are essential in the maturation of the immune T-cell CD8SP from thymocytes. Required for the switching of fetal globin species, and beta- and gamma-globin genes regulation during erythroid differentiation. Plays a role in chromatin organization and nuclear architecture during apoptosis. Interacts with the unique region (UR) of cytomegalovirus (CMV). Alu-like motifs and SATB1-binding sites provide a unique chromatin context which seems preferentially targeted by the HIV-1 integration machinery. Moreover, HIV-1 Tat may overcome SATB1-mediated repression of IL2 and IL2RA (interleukin) in T-cells by binding to the same domain than HDAC1. Delineates specific epigenetic modifications at target gene loci, directly up-regulating metastasis-associated genes while down-regulating tumor-suppressor genes. Reprograms chromatin organization and the transcription profiles of breast tumors to promote growth and metastasis. Promotes neuronal differentiation of neural stem/progenitor cells in the adult subventricular zone, possibly by positively regulating the expression of NEUROD1 (By similarity).
See full target information SATB1

Publications (32)

Recent publications for all applications. Explore the full list and refine your search

PLoS genetics 21:e1011693 PubMed40354322

2025

Molecular insights into region-specific sexual dichromatism: Comparative transcriptome analysis of red cheek pigmentation in zebra finches.

Applications

Unspecified application

Species

Unspecified reactive species

Gee-Way Lin,Chih-Kuan Chen,Ting-Xin Jiang,Ya-Chen Liang,Pin-Chi Tang,Ping Wu,Randall B Widelitz,Chih-Feng Chen,Cheng-Ming Chuong

Nature communications 15:10129 PubMed39613744

2024

Cell-type specific, inducible and acute degradation of targeted protein in mice by two degron systems.

Applications

Unspecified application

Species

Unspecified reactive species

Motoi Yamashita,Chihiro Ogawa,Baihao Zhang,Tetsuro Kobayashi,Aneela Nomura,Clive Barker,Chengcheng Zou,Satoshi Yamanaka,Ken-Ichiro Hayashi,Yoichi Shinkai,Kazuyo Moro,Sidonia Fargarasan,Koshi Imami,Jun Seita,Fumiyuki Shirai,Tatsuya Sawasaki,Masato T Kanemaki,Ichiro Taniuchi

Neuron 112:2765-2782.e9 PubMed38917805

2024

Individual thalamic inhibitory interneurons are functionally specialized toward distinct visual features.

Applications

Unspecified application

Species

Unspecified reactive species

Fiona E Müllner,Botond Roska

Scientific reports 14:11243 PubMed38755179

2024

The miR-641-STIM1 and SATB1 axes play important roles in the regulation of the Th17/Treg balance in ITP.

Applications

Unspecified application

Species

Unspecified reactive species

Hongkai Zhu,Xueqin Ruan,Kexin Zhao,Wenyong Kuang,Sufang Liu,Wenzhe Yan,Xianming Fu,Zhao Cheng,Ruijuan Li,Hongling Peng

Cell 187:2767-2784.e23 PubMed38733989

2024

Perivascular neurons instruct 3D vascular lattice formation via neurovascular contact.

Applications

Unspecified application

Species

Unspecified reactive species

Kenichi Toma,Mengya Zhao,Shaobo Zhang,Fei Wang,Hannah K Graham,Jun Zou,Shweta Modgil,Wenhao H Shang,Nicole Y Tsai,Zhishun Cai,Liping Liu,Guiying Hong,Arnold R Kriegstein,Yang Hu,Jakob Körbelin,Ruobing Zhang,Yaping Joyce Liao,Tyson N Kim,Xin Ye,Xin Duan

Cell reports 42:113038 PubMed37624696

2023

Osteopontin drives retinal ganglion cell resiliency in glaucomatous optic neuropathy.

Applications

Unspecified application

Species

Unspecified reactive species

Mengya Zhao,Kenichi Toma,Benyam Kinde,Liang Li,Amit K Patel,Kong-Yan Wu,Matthew R Lum,Chengxi Tan,Jody E Hooper,Arnold R Kriegstein,Anna La Torre,Yaping Joyce Liao,Derek S Welsbie,Yang Hu,Ying Han,Xin Duan

Developmental cell 58:2080-2096.e7 PubMed37557174

2023

Rejection of inappropriate synaptic partners in mouse retina mediated by transcellular FLRT2-UNC5 signaling.

Applications

Unspecified application

Species

Unspecified reactive species

Cameron L Prigge,Mayur Dembla,Arsha Sharma,Malak El-Quessny,Christopher Kozlowski,Caitlin E Paisley,Adam M Miltner,Tyler M Johnson,Luca Della Santina,Marla B Feller,Jeremy N Kay

Life science alliance 6: PubMed37193606

2023

Identification of a novel enhancer essential for expression in T2 cells and activated ILC2s.

Applications

Unspecified application

Species

Unspecified reactive species

Aneela Nomura,Tetsuro Kobayashi,Wooseok Seo,Michiko Ohno-Oishi,Kiyokazu Kakugawa,Sawako Muroi,Hideyuki Yoshida,Takaho A Endo,Kazuyo Moro,Ichiro Taniuchi

Iranian journal of public health 51:2706-2716 PubMed36742227

2023

Peripheral Blood of Vitiligo Patients-Derived Exosomal MiR-21-5p Inhibits Melanocytes Melanogenesis via Targeting SATB1.

Applications

Unspecified application

Species

Unspecified reactive species

Change Zhang,Wu Guo,Sheng Wang,Yuzi Di,Dengting Wu

Frontiers in cell and developmental biology 10:918235 PubMed36589740

2022

Transcriptional regulation of in mouse trophoblast stem cells.

Applications

Unspecified application

Species

Unspecified reactive species

Wei Yu,V Praveen Chakravarthi,Shaon Borosha,Iman Dilower,Eun Bee Lee,Anamika Ratri,Rebekah R Starks,Patrick E Fields,Michael W Wolfe,M Omar Faruque,Geetu Tuteja,M A Karim Rumi
View all publications

Product promise

We are committed to supporting your work with high-quality reagents, and we're here for you every step of the way. In the unlikely event that one of our products does not perform as expected, you're protected by our Product Promise.
For full details, please see our Terms & Conditions

Please note: All products are 'FOR RESEARCH USE ONLY. NOT FOR USE IN DIAGNOSTIC OR THERAPEUTIC PROCEDURES'.

For licensing inquiries, please contact partnerships@abcam.com