JavaScript is disabled in your browser. Please enable JavaScript to view this website.
AB239944

Anti-SATB1 antibody [EPR3951] - BSA and Azide free

  • BOND RX™ Validated
  • RabMAb
  • Recombinant
  • KO Validated
  • What is this?

Be the first to review this product! Submit a review

|

(1 Publication)

Rabbit Recombinant Monoclonal SATB1 antibody. Carrier free. Suitable for IHC-P, IP, Flow Cyt, WB, ICC/IF and reacts with Human, Rat, Mouse samples. Cited in 1 publication.

View Alternative Names

DNA-binding protein SATB1, Special AT-rich sequence-binding protein 1, SATB1

9 Images
Flow Cytometry - Anti-SATB1 antibody [EPR3951] - BSA and Azide free (AB239944)
  • Flow Cyt

Lab

Flow Cytometry - Anti-SATB1 antibody [EPR3951] - BSA and Azide free (AB239944)

This data was developed using ab239944, the same antibody clone in a different buffer formulation.
Flow Cytometry analysis of Jurkat (Human T cell leukemia T lymphocyte) cells labelling SATB1 with Purified ab239944 at 1 : 20 dilution (10 μg/ml) (Red). Cells were fixed with 4% Paraformaldehyde and permeabilised with 90% Methanol. A Goat anti rabbit IgG (Alexa Fluor® 488, ab150077) secondary antibody was used at 1 : 2000. Isotype control - Rabbit monoclonal IgG (Black). Unlabelled control - Cell without incubation with primary antibody and secondary antibody (Blue).

Immunocytochemistry/ Immunofluorescence - Anti-SATB1 antibody [EPR3951] - BSA and Azide free (AB239944)
  • ICC/IF

Lab

Immunocytochemistry/ Immunofluorescence - Anti-SATB1 antibody [EPR3951] - BSA and Azide free (AB239944)

This data was developed using ab239944, the same antibody clone in a different buffer formulation.
Immunocytochemistry analysis of Jurkat (Human T cell leukemia T lymphocyte) cells labeling SATB1 with Purified ab239944 at 1 : 50 dilution (2.5μg/ml). Cells were fixed in 4% Paraformaldehyde and permeabilized with 0.1% tritonX-100. Cells were counterstained with ab195889 Anti-alpha Tubulin antibody [DM1A] - Microtubule Marker (Alexa Fluor® 594) 1 : 200 (2.5 μg/ml). Goat anti rabbit IgG (Alexa Fluor® 488, ab150077) was used as the secondary antibody at 1 : 1000 (2 μg/ml) dilution. DAPI (blue) was used as nuclear counterstain. PBS instead of the primary antibody was used as the secondary antibody only control.

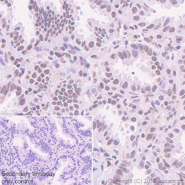
Immunohistochemistry (Formalin/PFA-fixed paraffin-embedded sections) - Anti-SATB1 antibody [EPR3951] - BSA and Azide free (AB239944)
  • IHC-P

Lab

Immunohistochemistry (Formalin/PFA-fixed paraffin-embedded sections) - Anti-SATB1 antibody [EPR3951] - BSA and Azide free (AB239944)

This data was developed using ab109122, the same antibody clone in a different buffer formulation.
Immunohistochemistry (Formalin/PFA-fixed paraffin-embedded sections) analysis of human lung carcinoma tissue sections labeling SATB1 with Purified ab109122 at 1 : 500 dilution (0.246 μg/ml). Heat mediated antigen retrieval was performed using Heat mediated antigen retrieval using Bond™ Epitope Retrieval Solution 2 (pH 9.0) . Tissue was counterstained with Hematoxylin. Rabbit specific IHC polymer detection kit HRP/DAB (ab209101) secondary antibody was used. PBS instead of the primary antibody was used as the negative control.

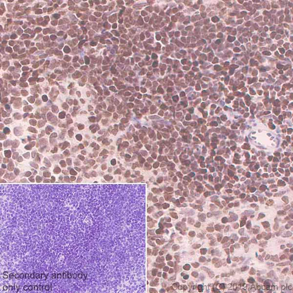
Immunohistochemistry (Formalin/PFA-fixed paraffin-embedded sections) - Anti-SATB1 antibody [EPR3951] - BSA and Azide free (AB239944)
  • IHC-P

Lab

Immunohistochemistry (Formalin/PFA-fixed paraffin-embedded sections) - Anti-SATB1 antibody [EPR3951] - BSA and Azide free (AB239944)

This data was developed using ab109122, the same antibody clone in a different buffer formulation.
Immunohistochemistry (Formalin/PFA-fixed paraffin-embedded sections) analysis of rat liver tissue sections labeling SATB1 with Purified ab109122 at 1 : 500 dilution (0.246 μg/ml). Heat mediated antigen retrieval was performed using Heat mediated antigen retrieval using Bond™ Epitope Retrieval Solution 2 (pH 9.0) . Tissue was counterstained with Hematoxylin. Rabbit specific IHC polymer detection kit HRP/DAB (ab209101) secondary antibody was used. PBS instead of the primary antibody was used as the negative control.

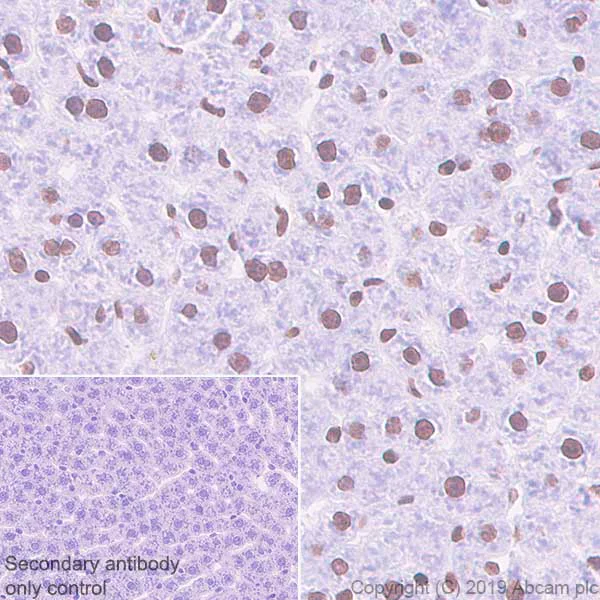
Immunohistochemistry (Formalin/PFA-fixed paraffin-embedded sections) - Anti-SATB1 antibody [EPR3951] - BSA and Azide free (AB239944)
  • IHC-P

Lab

Immunohistochemistry (Formalin/PFA-fixed paraffin-embedded sections) - Anti-SATB1 antibody [EPR3951] - BSA and Azide free (AB239944)

This data was developed using ab109122, the same antibody clone in a different buffer formulation.
Immunohistochemistry (Formalin/PFA-fixed paraffin-embedded sections) analysis of mouse liver tissue sections labeling SATB1 with Purified ab109122 at 1 : 500 dilution (0.246 μg/ml). Heat mediated antigen retrieval was performed using Heat mediated antigen retrieval using Bond™ Epitope Retrieval Solution 2 (pH 9.0) . Tissue was counterstained with Hematoxylin. Rabbit specific IHC polymer detection kit HRP/DAB (ab209101) secondary antibody was used. PBS instead of the primary antibody was used as the negative control.

Immunoprecipitation - Anti-SATB1 antibody [EPR3951] - BSA and Azide free (AB239944)
  • IP

Lab

Immunoprecipitation - Anti-SATB1 antibody [EPR3951] - BSA and Azide free (AB239944)

This data was developed using ab239944, the same antibody clone in a different buffer formulation.
Purified ab239944 at 1 : 20 dilution (0.6μg) immunoprecipitating SATB1 in Rat thymus lysate.
Lane 1 (input) : Rat thymus lysate 10 μg
Lane 2 (+) : ab239944 + Rat thymus lysate.
Lane 3 (-) : Rabbit monoclonal IgG (ab172730) instead of ab109122 in Rat thymus lysate.
VeriBlot for IP Detection Reagent (HRP)(ab131366) (1 : 5000 dilution) was used for Western blotting.
Blocking Buffer and concentration : 5% NFDM/TBST.
Diluting buffer and concentration : 5% NFDM/TBST.
Observed band size : kDa

All lanes:

Immunoprecipitation - Anti-SATB1 antibody [EPR3951] (<a href='/en-us/products/primary-antibodies/satb1-antibody-epr3951-ab109122'>ab109122</a>)

Predicted band size: 85 kDa

false

Western blot - Anti-SATB1 antibody [EPR3951] - BSA and Azide free (AB239944)
  • WB

Supplier Data

Western blot - Anti-SATB1 antibody [EPR3951] - BSA and Azide free (AB239944)

This data was developed using the same antibody clone in a different buffer formulation (ab109122).

Lane 1 : Wild-type HAP1 whole cell lysate (20 μg)
Lane 2 : SATB1 knockout HAP1 whole cell lysate (20 μg)
Lane 3 : Jurkat whole cell lysate (20 μg)
Lane 4 : THP1 whole cell lysate (20 μg)

Lanes 1 - 4 : Merged signal (red and green). Green - ab109122 observed at 100 kDa. Red - loading control, ab9484, observed at 37 kDa.

ab109122 was shown to specifically react with SATB1 in wild-type HAP1 cells as signal was lost in SATB1 knockout cells. Wild-type and SATB1 knockout samples were subjected to SDS-PAGE. ab109122 and ab9484 (Mouse anti-GAPDH loading control) were incubated overnight at 4°C at 1/1000 dilution and 1/20000 dilution respectively. Blots were developed with Goat anti-Rabbit IgG H&L (IRDye® 800CW) preabsorbed ab216773 and Goat anti-Mouse IgG H&L (IRDye® 680RD) preabsorbed ab216776 secondary antibodies at 1/20000 dilution for 1 hour at room temperature before imaging.

All lanes:

Western blot - Anti-SATB1 antibody [EPR3951] - BSA and Azide free (ab239944)

Predicted band size: 85 kDa

false

Western blot - Anti-SATB1 antibody [EPR3951] - BSA and Azide free (AB239944)
  • WB

Unknown

Western blot - Anti-SATB1 antibody [EPR3951] - BSA and Azide free (AB239944)

All lanes:

Western blot - Anti-SATB1 antibody [EPR3951] (<a href='/en-us/products/primary-antibodies/satb1-antibody-epr3951-ab109122'>ab109122</a>) at 1/1000 dilution

Lane 1:

LNCaP (Human prostate carcinoma epithelial cell) whole cell lysate at 20 µg

Lane 2:

THP-1 (Human monocytic leukemia monocyte) whole cell lysate at 20 µg

Lane 3:

Mouse liver lysate at 20 µg

Lane 4:

Mouse thymus lysate at 20 µg

Lane 5:

Rat thymus lysate at 20 µg

Secondary

All lanes:

Western blot - Goat Anti-Rabbit IgG H&L (HRP) (<a href='/en-us/products/secondary-antibodies/goat-rabbit-igg-h-l-hrp-ab97051'>ab97051</a>) at 1/20000 dilution

Predicted band size: 85 kDa

false

Western blot - Anti-SATB1 antibody [EPR3951] - BSA and Azide free (AB239944)
  • WB

Unknown

Western blot - Anti-SATB1 antibody [EPR3951] - BSA and Azide free (AB239944)

All lanes:

Western blot - Anti-SATB1 antibody [EPR3951] (<a href='/en-us/products/primary-antibodies/satb1-antibody-epr3951-ab109122'>ab109122</a>) at 1/1000 dilution

Lane 1:

Jurkat (Human T cell leukemia T lymphocyte) nuclear extract lysate at 20 µg

Lane 2:

Jurkat (Human T cell leukemia T lymphocyte) without nuclear extract lysate at 20 µg

Lane 3:

Jurkat (Human T cell leukemia T lymphocyte) whole cell lysate at 20 µg

Secondary

All lanes:

Western blot - Goat Anti-Rabbit IgG H&L (HRP) (<a href='/en-us/products/secondary-antibodies/goat-rabbit-igg-h-l-hrp-ab97051'>ab97051</a>) at 1/20000 dilution

Predicted band size: 85 kDa

false

  • Unconjugated

    Anti-SATB1 antibody [EPR3951]

  • HRP

    HRP Anti-SATB1 antibody [EPR3951]

Key facts

Host species

Rabbit

Clonality

Monoclonal

Clone number

EPR3951

Isotype

IgG

Carrier free

Yes

Reacts with

Mouse, Human, Rat

Applications

ICC/IF, WB, IP, IHC-P, Flow Cyt

applications

Immunogen

The exact immunogen used to generate this antibody is proprietary information.

Reactivity data

{ "title": "Reactivity Data", "filters": { "stats": ["", "Species", "Dilution Info", "Notes"], "tabs": { "all-applications": {"fullname" : "All Applications", "shortname": "All Applications"}, "IHCP" : {"fullname" : "Immunohistochemistry (Formalin/PFA-fixed paraffin-embedded sections)", "shortname":"IHC-P"}, "IP" : {"fullname" : "Immunoprecipitation", "shortname":"IP"}, "FlowCyt" : {"fullname" : "Flow Cytometry", "shortname":"Flow Cyt"}, "WB" : {"fullname" : "Western blot", "shortname":"WB"}, "ICCIF" : {"fullname" : "Immunocytochemistry/ Immunofluorescence", "shortname":"ICC/IF"} }, "product-promise": { "all": "all", "testedAndGuaranteed": "tested", "guaranteed": "expected", "predicted": "predicted", "notRecommended": "not-recommended" } }, "values": { "Human": { "IHCP-species-checked": "testedAndGuaranteed", "IHCP-species-dilution-info": "", "IHCP-species-notes": "<p>(heat to 98 degrees C, allow to cool for 10-20 minutes)</p>", "IP-species-checked": "guaranteed", "IP-species-dilution-info": "", "IP-species-notes": "", "FlowCyt-species-checked": "testedAndGuaranteed", "FlowCyt-species-dilution-info": "", "FlowCyt-species-notes": "<p></p>", "WB-species-checked": "testedAndGuaranteed", "WB-species-dilution-info": "", "WB-species-notes": "<p></p>", "ICCIF-species-checked": "testedAndGuaranteed", "ICCIF-species-dilution-info": "", "ICCIF-species-notes": "<p></p>" }, "Mouse": { "IHCP-species-checked": "guaranteed", "IHCP-species-dilution-info": "", "IHCP-species-notes": "", "IP-species-checked": "guaranteed", "IP-species-dilution-info": "", "IP-species-notes": "", "FlowCyt-species-checked": "guaranteed", "FlowCyt-species-dilution-info": "", "FlowCyt-species-notes": "", "WB-species-checked": "testedAndGuaranteed", "WB-species-dilution-info": "", "WB-species-notes": "<p></p>", "ICCIF-species-checked": "guaranteed", "ICCIF-species-dilution-info": "", "ICCIF-species-notes": "" }, "Rat": { "IHCP-species-checked": "guaranteed", "IHCP-species-dilution-info": "", "IHCP-species-notes": "", "IP-species-checked": "testedAndGuaranteed", "IP-species-dilution-info": "", "IP-species-notes": "<p></p>", "FlowCyt-species-checked": "guaranteed", "FlowCyt-species-dilution-info": "", "FlowCyt-species-notes": "", "WB-species-checked": "testedAndGuaranteed", "WB-species-dilution-info": "", "WB-species-notes": "<p></p>", "ICCIF-species-checked": "guaranteed", "ICCIF-species-dilution-info": "", "ICCIF-species-notes": "" } } }

Product details

ab239944 is the carrier-free version of ab109122.

Patented technology
Our RabMAb® technology is a patented hybridoma-based technology for making rabbit monoclonal antibodies. For details on our patents, please refer to RabMAb® patents.

What are the advantages of a recombinant monoclonal antibody?
This product is a recombinant monoclonal antibody, which offers several advantages including:

  • - High batch-to-batch consistency and reproducibility
  • - Improved sensitivity and specificity
  • - Long-term security of supply
  • - Animal-free batch production

For more information, read more on recombinant antibodies.

Conjugation ready
Our carrier-free antibodies are typically supplied in a PBS-only formulation, purified and free of BSA, sodium azide and glycerol. This conjugation-ready format is designed for use with fluorochromes, metal isotopes, oligonucleotides, and enzymes, which makes them ideal for antibody labelling, functional and cell-based assays, flow-based assays (e.g. mass cytometry) and Multiplex Imaging applications.

Use our conjugation kits for antibody conjugates that are ready-to-use in as little as 20 minutes with 1 minute hands-on-time and 100% antibody recovery: available for fluorescent dyes, HRP, biotin and gold.

Compatibility
This product is compatible with the Maxpar® Antibody Labeling Kit from Fluidigm, without the need for antibody preparation. Maxpar® is a trademark of Fluidigm Canada Inc.

Properties and storage information

Form
Liquid
Purification technique
Affinity purification Protein A
Storage buffer
pH: 7.2 - 7.4 Constituents: PBS
Shipped at conditions
Blue Ice
Appropriate short-term storage conditions
+4°C
Appropriate long-term storage conditions
+4°C
Storage information
Do Not Freeze

Supplementary information

This supplementary information is collated from multiple sources and compiled automatically.

SATB1 or Special AT-rich Sequence Binding Protein 1 is a nuclear matrix-associated protein with a mass of approximately 85 kDa. It modifies chromatin structure by organizing the density of DNA through loop formation which regulates gene expression. SATB1 is expressed in thymocytes breast tissue and various other cell types and plays a significant role in cellular differentiation and development. It binds selectively to base-unpairing regions allowing it to influence expression patterns of multiple genes.
Biological function summary

SATB1 acts as a genome organizer and transcription regulator by linking chromatin remodeling complexes to specific genomic loci. It participates in chromatin loop domain organization influencing higher-order chromatin structure and gene silencing or activation. SATB1 does not usually work alone but rather associates with corepressors such as HDAC1 and coactivators like PCAF in regulating transcription. Its functions have been noted as particularly important in T cell development where it assists in the regulation of T cell receptor genes.

Pathways

SATB1 integrates into the Wnt signaling pathway and influences the Notch signaling pathway. The protein interacts with β-catenin in the Wnt pathway aiding in sustaining key developmental processes. In the Notch signaling pathway SATB1 influences cell fate decisions impacting differentiation and proliferation through its interaction with RBP-Jκ and other transcription modulators. MUTYH and LRP6 are among the proteins within these pathways influenced by SATB1's regulatory capacity.

SATB1 links to various cancer types including breast cancer and colorectal cancer. Overexpression of SATB1 can drive tumor progression and metastasis by altering gene expression landscapes. It's known to affect pathways regulated by proteins like BRCA1 in breast cancer contributing to disease pathogenicity. In immune disorders such as autoimmune diseases SATB1 interacts with STAT5 impacting cytokine signaling pathways and thereby influencing immunological tolerance and efficacy.

Product protocols

For this product, it's our understanding that no specific protocols are required. You can visit:

Target data

Crucial silencing factor contributing to the initiation of X inactivation mediated by Xist RNA that occurs during embryogenesis and in lymphoma (By similarity). Binds to DNA at special AT-rich sequences, the consensus SATB1-binding sequence (CSBS), at nuclear matrix- or scaffold-associated regions. Thought to recognize the sugar-phosphate structure of double-stranded DNA. Transcriptional repressor controlling nuclear and viral gene expression in a phosphorylated and acetylated status-dependent manner, by binding to matrix attachment regions (MARs) of DNA and inducing a local chromatin-loop remodeling. Acts as a docking site for several chromatin remodeling enzymes (e.g. PML at the MHC-I locus) and also by recruiting corepressors (HDACs) or coactivators (HATs) directly to promoters and enhancers. Modulates genes that are essential in the maturation of the immune T-cell CD8SP from thymocytes. Required for the switching of fetal globin species, and beta- and gamma-globin genes regulation during erythroid differentiation. Plays a role in chromatin organization and nuclear architecture during apoptosis. Interacts with the unique region (UR) of cytomegalovirus (CMV). Alu-like motifs and SATB1-binding sites provide a unique chromatin context which seems preferentially targeted by the HIV-1 integration machinery. Moreover, HIV-1 Tat may overcome SATB1-mediated repression of IL2 and IL2RA (interleukin) in T-cells by binding to the same domain than HDAC1. Delineates specific epigenetic modifications at target gene loci, directly up-regulating metastasis-associated genes while down-regulating tumor-suppressor genes. Reprograms chromatin organization and the transcription profiles of breast tumors to promote growth and metastasis. Promotes neuronal differentiation of neural stem/progenitor cells in the adult subventricular zone, possibly by positively regulating the expression of NEUROD1 (By similarity).
See full target information SATB1

Publications (1)

Recent publications for all applications. Explore the full list and refine your search

International journal of oncology 63: PubMed37449524

2023

circRPS19 affects HK2‑mediated aerobic glycolysis and cell viability via the miR‑125a‑5p/USP7 pathway in gastric cancer.

Applications

Unspecified application

Species

Unspecified reactive species

Xia Zheng,Jie Shao,Jun Qian,Shenlin Liu
View all publications

Product promise

We are committed to supporting your work with high-quality reagents, and we're here for you every step of the way. In the unlikely event that one of our products does not perform as expected, you're protected by our Product Promise.
For full details, please see our Terms & Conditions

Please note: All products are 'FOR RESEARCH USE ONLY. NOT FOR USE IN DIAGNOSTIC OR THERAPEUTIC PROCEDURES'.

For licensing inquiries, please contact partnerships@abcam.com