JavaScript is disabled in your browser. Please enable JavaScript to view this website.
AB272006

Anti-SATB1 antibody [SP287] - BSA and Azide free

Be the first to review this product! Submit a review

|

(0 Publication)

Rabbit Recombinant Monoclonal SATB1 antibody. Carrier free. Suitable for IHC-P and reacts with Human samples.

View Alternative Names

DNA-binding protein SATB1, Special AT-rich sequence-binding protein 1, SATB1

5 Images
Immunohistochemistry (Formalin/PFA-fixed paraffin-embedded sections) - Anti-SATB1 antibody [SP287] - BSA and Azide free (AB272006)
  • IHC-P

Supplier Data

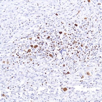
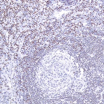
Immunohistochemistry (Formalin/PFA-fixed paraffin-embedded sections) - Anti-SATB1 antibody [SP287] - BSA and Azide free (AB272006)

Formalin fixed, paraffin embedded human HK lymphoma tissue stained for SATB1 with ab226834 at 1/100 dilution in immunohistochemical analysis.

This data was developed using the same antibody clone in a different buffer formulation containing PBS, BSA, glycerol, and sodium azide (ab226834).

Immunohistochemistry (Formalin/PFA-fixed paraffin-embedded sections) - Anti-SATB1 antibody [SP287] - BSA and Azide free (AB272006)
  • IHC-P

Supplier Data

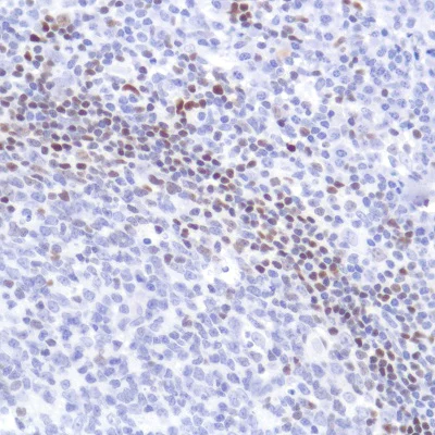
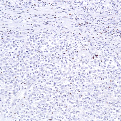
Immunohistochemistry (Formalin/PFA-fixed paraffin-embedded sections) - Anti-SATB1 antibody [SP287] - BSA and Azide free (AB272006)

Formalin fixed, paraffin embedded human B-cell lymphoma tissue stained for SATB1 with ab226834 at 1/100 dilution in immunohistochemical analysis.

This data was developed using the same antibody clone in a different buffer formulation containing PBS, BSA, glycerol, and sodium azide (ab226834).

Immunohistochemistry (Formalin/PFA-fixed paraffin-embedded sections) - Anti-SATB1 antibody [SP287] - BSA and Azide free (AB272006)
  • IHC-P

Unknown

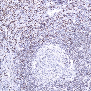
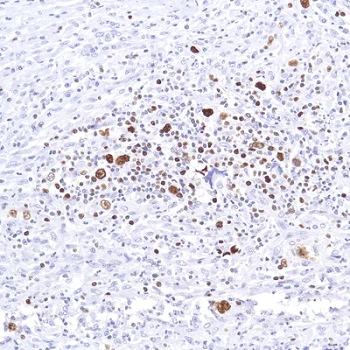
Immunohistochemistry (Formalin/PFA-fixed paraffin-embedded sections) - Anti-SATB1 antibody [SP287] - BSA and Azide free (AB272006)

Formalin fixed, paraffin embedded human thymus tissue stained for SATB1 with ab226834 at 1/100 dilution in immunohistochemical analysis.

This data was developed using the same antibody clone in a different buffer formulation containing PBS, BSA, glycerol, and sodium azide (ab226834).

Immunohistochemistry (Formalin/PFA-fixed paraffin-embedded sections) - Anti-SATB1 antibody [SP287] - BSA and Azide free (AB272006)
  • IHC-P

Supplier Data

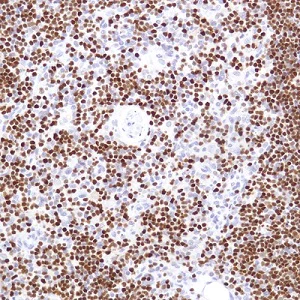
Immunohistochemistry (Formalin/PFA-fixed paraffin-embedded sections) - Anti-SATB1 antibody [SP287] - BSA and Azide free (AB272006)

Formalin fixed, paraffin embedded human tonsil tissue stained for SATB1 with ab226834 at 1/100 dilution in immunohistochemical analysis.

This data was developed using the same antibody clone in a different buffer formulation containing PBS, BSA, glycerol, and sodium azide (ab226834).

Immunohistochemistry (Formalin/PFA-fixed paraffin-embedded sections) - Anti-SATB1 antibody [SP287] - BSA and Azide free (AB272006)
  • IHC-P

Supplier Data

Immunohistochemistry (Formalin/PFA-fixed paraffin-embedded sections) - Anti-SATB1 antibody [SP287] - BSA and Azide free (AB272006)

Formalin fixed, paraffin embedded human lymph node tissue stained for SATB1 with ab226834 at 1/100 dilution in immunohistochemical analysis.

This data was developed using the same antibody clone in a different buffer formulation containing PBS, BSA, glycerol, and sodium azide (ab226834).

Key facts

Host species

Rabbit

Clonality

Monoclonal

Clone number

SP287

Isotype

IgG

Carrier free

Yes

Reacts with

Human

Applications

IHC-P

applications

Immunogen

The exact immunogen used to generate this antibody is proprietary information.

Reactivity data

{ "title": "Reactivity Data", "filters": { "stats": ["", "Species", "Dilution Info", "Notes"], "tabs": { "all-applications": {"fullname" : "All Applications", "shortname": "All Applications"}, "IHCP" : {"fullname" : "Immunohistochemistry (Formalin/PFA-fixed paraffin-embedded sections)", "shortname":"IHC-P"} }, "product-promise": { "all": "all", "testedAndGuaranteed": "tested", "guaranteed": "expected", "predicted": "predicted", "notRecommended": "not-recommended" } }, "values": { "Human": { "IHCP-species-checked": "testedAndGuaranteed", "IHCP-species-dilution-info": "", "IHCP-species-notes": "<p>Primary incubation for 10 minutes at room temperature.</p>" } } }

Product details

ab272006 is the carrier-free version of ab226834.

Patented technology
Our RabMAb® technology is a patented hybridoma-based technology for making rabbit monoclonal antibodies. For details on our patents, please refer to RabMAb® patents.

What are the advantages of a recombinant monoclonal antibody?
This product is a recombinant monoclonal antibody, which offers several advantages including:

  • - High batch-to-batch consistency and reproducibility
  • - Improved sensitivity and specificity
  • - Long-term security of supply
  • - Animal-free batch production

For more information, read more on recombinant antibodies.

Conjugation ready
Our carrier-free antibodies are typically supplied in a PBS-only formulation, purified and free of BSA, sodium azide and glycerol. This conjugation-ready format is designed for use with fluorochromes, metal isotopes, oligonucleotides, and enzymes, which makes them ideal for antibody labelling, functional and cell-based assays, flow-based assays (e.g. mass cytometry) and Multiplex Imaging applications.

Use our conjugation kits for antibody conjugates that are ready-to-use in as little as 20 minutes with 1 minute hands-on-time and 100% antibody recovery: available for fluorescent dyes, HRP, biotin and gold.

Compatibility
This product is compatible with the Maxpar® Antibody Labeling Kit from Fluidigm, without the need for antibody preparation. Maxpar® is a trademark of Fluidigm Canada Inc.

Properties and storage information

Form
Liquid
Purification technique
Affinity purification Protein A/G
Storage buffer
pH: 7.2 - 7.4 Constituents: PBS
Shipped at conditions
Blue Ice
Appropriate short-term storage conditions
+4°C
Appropriate long-term storage conditions
+4°C
Storage information
Do Not Freeze

Supplementary information

This supplementary information is collated from multiple sources and compiled automatically.

SATB1 or Special AT-rich Sequence Binding Protein 1 is a nuclear matrix-associated protein with a mass of approximately 85 kDa. It modifies chromatin structure by organizing the density of DNA through loop formation which regulates gene expression. SATB1 is expressed in thymocytes breast tissue and various other cell types and plays a significant role in cellular differentiation and development. It binds selectively to base-unpairing regions allowing it to influence expression patterns of multiple genes.
Biological function summary

SATB1 acts as a genome organizer and transcription regulator by linking chromatin remodeling complexes to specific genomic loci. It participates in chromatin loop domain organization influencing higher-order chromatin structure and gene silencing or activation. SATB1 does not usually work alone but rather associates with corepressors such as HDAC1 and coactivators like PCAF in regulating transcription. Its functions have been noted as particularly important in T cell development where it assists in the regulation of T cell receptor genes.

Pathways

SATB1 integrates into the Wnt signaling pathway and influences the Notch signaling pathway. The protein interacts with β-catenin in the Wnt pathway aiding in sustaining key developmental processes. In the Notch signaling pathway SATB1 influences cell fate decisions impacting differentiation and proliferation through its interaction with RBP-Jκ and other transcription modulators. MUTYH and LRP6 are among the proteins within these pathways influenced by SATB1's regulatory capacity.

SATB1 links to various cancer types including breast cancer and colorectal cancer. Overexpression of SATB1 can drive tumor progression and metastasis by altering gene expression landscapes. It's known to affect pathways regulated by proteins like BRCA1 in breast cancer contributing to disease pathogenicity. In immune disorders such as autoimmune diseases SATB1 interacts with STAT5 impacting cytokine signaling pathways and thereby influencing immunological tolerance and efficacy.

Product protocols

For this product, it's our understanding that no specific protocols are required. You can visit:

Target data

Crucial silencing factor contributing to the initiation of X inactivation mediated by Xist RNA that occurs during embryogenesis and in lymphoma (By similarity). Binds to DNA at special AT-rich sequences, the consensus SATB1-binding sequence (CSBS), at nuclear matrix- or scaffold-associated regions. Thought to recognize the sugar-phosphate structure of double-stranded DNA. Transcriptional repressor controlling nuclear and viral gene expression in a phosphorylated and acetylated status-dependent manner, by binding to matrix attachment regions (MARs) of DNA and inducing a local chromatin-loop remodeling. Acts as a docking site for several chromatin remodeling enzymes (e.g. PML at the MHC-I locus) and also by recruiting corepressors (HDACs) or coactivators (HATs) directly to promoters and enhancers. Modulates genes that are essential in the maturation of the immune T-cell CD8SP from thymocytes. Required for the switching of fetal globin species, and beta- and gamma-globin genes regulation during erythroid differentiation. Plays a role in chromatin organization and nuclear architecture during apoptosis. Interacts with the unique region (UR) of cytomegalovirus (CMV). Alu-like motifs and SATB1-binding sites provide a unique chromatin context which seems preferentially targeted by the HIV-1 integration machinery. Moreover, HIV-1 Tat may overcome SATB1-mediated repression of IL2 and IL2RA (interleukin) in T-cells by binding to the same domain than HDAC1. Delineates specific epigenetic modifications at target gene loci, directly up-regulating metastasis-associated genes while down-regulating tumor-suppressor genes. Reprograms chromatin organization and the transcription profiles of breast tumors to promote growth and metastasis. Promotes neuronal differentiation of neural stem/progenitor cells in the adult subventricular zone, possibly by positively regulating the expression of NEUROD1 (By similarity).
See full target information SATB1

Product promise

We are committed to supporting your work with high-quality reagents, and we're here for you every step of the way. In the unlikely event that one of our products does not perform as expected, you're protected by our Product Promise.
For full details, please see our Terms & Conditions

Please note: All products are 'FOR RESEARCH USE ONLY. NOT FOR USE IN DIAGNOSTIC OR THERAPEUTIC PROCEDURES'.

For licensing inquiries, please contact partnerships@abcam.com