JavaScript is disabled in your browser. Please enable JavaScript to view this website.
AB212176

Anti-SATB2 antibody [EPNCIR130B] - BSA and Azide free

Be the first to review this product! Submit a review

|

(1 Publication)

Rabbit Recombinant Monoclonal SATB2 antibody. Carrier free. Suitable for IHC-P, WB and reacts with Human samples. Cited in 1 publication.

View Alternative Names

KIAA1034, SATB2, DNA-binding protein SATB2, Special AT-rich sequence-binding protein 2

5 Images
Immunohistochemistry (Formalin/PFA-fixed paraffin-embedded sections) - Anti-SATB2 antibody [EPNCIR130B] - BSA and Azide free (AB212176)
  • IHC-P

Unknown

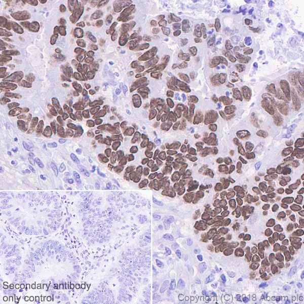
Immunohistochemistry (Formalin/PFA-fixed paraffin-embedded sections) - Anti-SATB2 antibody [EPNCIR130B] - BSA and Azide free (AB212176)

This data was developed using ab133328, the same antibody clone in a different buffer formulation.Immunohistochemistry (Formalin/PFA-fixed paraffin-embedded sections) analysis of Human colon cancer tissue sections labeling SATB2 with Purified ab133328 at 1 : 100 dilution (1.57 µg/ml). Heat mediated antigen retrieval was performed using ab93684 (Tris/EDTA buffer, pH 9.0). ImmunoHistoProbe one step HRP Polymer (ready to use)was used as the secondary antibody.Negative control : PBS instead of the primary antibody.Hematoxylin was used as a counterstain.

Immunohistochemistry (Formalin/PFA-fixed paraffin-embedded sections) - Anti-SATB2 antibody [EPNCIR130B] - BSA and Azide free (AB212176)
  • IHC-P

Unknown

Immunohistochemistry (Formalin/PFA-fixed paraffin-embedded sections) - Anti-SATB2 antibody [EPNCIR130B] - BSA and Azide free (AB212176)

This data was developed using ab133328, the same antibody clone in a different buffer formulation.

Immunohistochemical analysis of paraffin-embedded Human breast cancer tissue labelling SATB2 with unpurified ab133328 at 1/100 dilution.

Perform heat mediated antigen retrieval with citrate buffer pH 6 before commencing with IHC staining protocol.

Western blot - Anti-SATB2 antibody [EPNCIR130B] - BSA and Azide free (AB212176)
  • WB

Unknown

Western blot - Anti-SATB2 antibody [EPNCIR130B] - BSA and Azide free (AB212176)

This data was developed using ab133328, the same antibody clone in a different buffer formulation.

All lanes:

Western blot - Anti-SATB2 antibody [EPNCIR130B] (<a href='/en-us/products/primary-antibodies/satb2-antibody-epncir130b-ab133328'>ab133328</a>) at 1/1000 dilution

Lane 1:

HT-1080 cell lysate at 10 µg

Lane 2:

Saos-2 cell lysate at 10 µg

Lane 3:

Human fetal brain lysate at 10 µg

Secondary

All lanes:

HRP labelled goat anti-rabbit at 1/2000 dilution

Predicted band size: 83 kDa

false

Western blot - Anti-SATB2 antibody [EPNCIR130B] - BSA and Azide free (AB212176)
  • WB

Lab

Western blot - Anti-SATB2 antibody [EPNCIR130B] - BSA and Azide free (AB212176)

This data was developed using ab133328, the same antibody clone in a different buffer formulation.

Lanes 1 - 2 : Merged signal (red and green). Green - ab133328 observed at 83 kDa. Red - loading control, ab9484, observed at 37 kDa.

ab133328 was shown to specifically react with SATB2 in wild-type HAP1 cells as signal was lost in SATB2 knockout cells. Wild-type and SATB2 knockout samples were subjected to SDS-PAGE. ab133328 and ab9484 (Mouse anti-GAPDH loading control) were incubated overnight at 4°C at 1/1000 dilution and 1/20000 dilution respectively. Blots were developed with Goat anti-Rabbit IgG H&L (IRDye® 800CW) preabsorbed ab216773 and Goat anti-Mouse IgG H&L (IRDye® 680RD) preabsorbed ab216776 secondary antibodies at 1/20000 dilution for 1 hour at room temperature before imaging.

All lanes:

Western blot - Anti-SATB2 antibody [EPNCIR130B] (<a href='/en-us/products/primary-antibodies/satb2-antibody-epncir130b-ab133328'>ab133328</a>) at 1/1000 dilution

Lane 1:

Wild-type HAP1 whole cell lysate at 20 µg

Lane 2:

SATB2 knockout HAP1 whole cell lysate at 20 µg

Predicted band size: 83 kDa

Observed band size: 83 kDa

false

Western blot - Anti-SATB2 antibody [EPNCIR130B] - BSA and Azide free (AB212176)
  • WB

Lab

Western blot - Anti-SATB2 antibody [EPNCIR130B] - BSA and Azide free (AB212176)

This data was developed using ab133328, the same antibody clone in a different buffer formulation.

Blocking and diluting buffer and concentration : 5% NFDM/TBST

Freshly made lysate is highly recommended to minimize protein degradation.

All lanes:

Western blot - Anti-SATB2 antibody [EPNCIR130B] (<a href='/en-us/products/primary-antibodies/satb2-antibody-epncir130b-ab133328'>ab133328</a>) at 1/10000 dilution

Lane 1:

Saos-2 (Human osteosarcoma epithelial) whole cell fresh lysate at 10 µg

Lane 2:

Saos-2 (Human osteosarcoma epithelial) whole cell lysate at 10 µg

Secondary

All lanes:

Western blot - Goat Anti-Rabbit IgG H&L (HRP) (<a href='/en-us/products/secondary-antibodies/goat-rabbit-igg-h-l-hrp-ab97051'>ab97051</a>) at 1/20000 dilution

Predicted band size: 83 kDa

Observed band size: 83 kDa

false

Exposure time: 20s

Key facts

Host species

Rabbit

Clonality

Monoclonal

Clone number

EPNCIR130B

Isotype

IgG

Carrier free

Yes

Reacts with

Human

Applications

WB, IHC-P

applications

Immunogen

The exact immunogen used to generate this antibody is proprietary information.

Reactivity data

{ "title": "Reactivity Data", "filters": { "stats": ["", "Species", "Dilution Info", "Notes"], "tabs": { "all-applications": {"fullname" : "All Applications", "shortname": "All Applications"}, "IHCP" : {"fullname" : "Immunohistochemistry (Formalin/PFA-fixed paraffin-embedded sections)", "shortname":"IHC-P"}, "WB" : {"fullname" : "Western blot", "shortname":"WB"} }, "product-promise": { "all": "all", "testedAndGuaranteed": "tested", "guaranteed": "expected", "predicted": "predicted", "notRecommended": "not-recommended" } }, "values": { "Human": { "IHCP-species-checked": "testedAndGuaranteed", "IHCP-species-dilution-info": "", "IHCP-species-notes": "<p></p>", "WB-species-checked": "testedAndGuaranteed", "WB-species-dilution-info": "", "WB-species-notes": "<p></p>" } } }

Product details

ab212176 is the carrier-free version of ab133328.

This antibody was developed as part of a collaboration between Epitomics, the National Cancer Institute's Center for Cancer Research and the lab of John Niederhuber. View antibodies from NCI Center for Cancer Research Collaboration.

Species reactivity
Mouse, Rat: We have preliminary internal testing data to indicate this antibody may not react with these species.
Please contact us for more information.

Patented technology
Our RabMAb® technology is a patented hybridoma-based technology for making rabbit monoclonal antibodies. For details on our patents, please refer to RabMAb® patents.

What are the advantages of a recombinant monoclonal antibody?
This product is a recombinant monoclonal antibody, which offers several advantages including:

  • - High batch-to-batch consistency and reproducibility
  • - Improved sensitivity and specificity
  • - Long-term security of supply
  • - Animal-free batch production

For more information, read more on recombinant antibodies.

Conjugation ready
Our carrier-free antibodies are typically supplied in a PBS-only formulation, purified and free of BSA, sodium azide and glycerol. This conjugation-ready format is designed for use with fluorochromes, metal isotopes, oligonucleotides, and enzymes, which makes them ideal for antibody labelling, functional and cell-based assays, flow-based assays (e.g. mass cytometry) and Multiplex Imaging applications.

Use our conjugation kits for antibody conjugates that are ready-to-use in as little as 20 minutes with 1 minute hands-on-time and 100% antibody recovery: available for fluorescent dyes, HRP, biotin and gold.

Compatibility
This product is compatible with the Maxpar® Antibody Labeling Kit from Fluidigm, without the need for antibody preparation. Maxpar® is a trademark of Fluidigm Canada Inc.

Properties and storage information

Form
Liquid
Purification technique
Affinity purification Protein A
Storage buffer
pH: 7.2 - 7.4 Constituents: PBS
Shipped at conditions
Blue Ice
Appropriate short-term storage conditions
+4°C
Appropriate long-term storage conditions
+4°C
Storage information
Do Not Freeze

Supplementary information

This supplementary information is collated from multiple sources and compiled automatically.

The SATB2 protein also known as Special AT-rich Sequence-Binding Protein 2 is a DNA-binding protein with a mass of about 82 kDa. It plays a role in chromatin organization and transcriptional regulation by binding to AT-rich sequences within the nuclear matrix. SATB2 shows high expression levels in the cerebral cortex and the bone where it influences gene expression. It functions by facilitating the assembly of transcriptional machineries enhancing or repressing the transcription of its target genes.
Biological function summary

SATB2 acts as a regulator of multiple developmental processes. It serves as a master control gene in osteoblast differentiation and skeletal development by forming complexes with core binding factors. In the brain SATB2 contributes to the development and maintenance of neuronal networks that are essential for cognitive functions. Its binding to matrix attachment regions aids in the spatial organization of nuclear chromatin impacting gene expression pertinent to development and differentiation.

Pathways

SATB2 operates within the Wnt signaling pathway and the regulation of osteoblast differentiation. It interacts with proteins such as RUNX2 and β-catenin which play roles in bone formation and homeostasis. Within these pathways SATB2 modulates gene networks that influence the expression of structural and signaling proteins important for tissue differentiation and repair particularly in bone and neuronal contexts.

SATB2 has associations with cleft palate and intellectual disabilities conditions often related to alterations in craniofacial and neurological development. It interacts with proteins like SOX9 and TCF7L1 which have roles in developmental processes that when disrupted can lead to such conditions. Understanding SATB2's involvement in these disorders provides insights into potential therapeutic targets for interventions aiming to mitigate developmental abnormalities.

Product protocols

For this product, it's our understanding that no specific protocols are required. You can visit:

Target data

Binds to DNA, at nuclear matrix- or scaffold-associated regions. Thought to recognize the sugar-phosphate structure of double-stranded DNA. Transcription factor controlling nuclear gene expression, by binding to matrix attachment regions (MARs) of DNA and inducing a local chromatin-loop remodeling. Acts as a docking site for several chromatin remodeling enzymes and also by recruiting corepressors (HDACs) or coactivators (HATs) directly to promoters and enhancers. Required for the initiation of the upper-layer neurons (UL1) specific genetic program and for the inactivation of deep-layer neurons (DL) and UL2 specific genes, probably by modulating BCL11B expression. Repressor of Ctip2 and regulatory determinant of corticocortical connections in the developing cerebral cortex. May play an important role in palate formation. Acts as a molecular node in a transcriptional network regulating skeletal development and osteoblast differentiation.
See full target information SATB2

Publications (1)

Recent publications for all applications. Explore the full list and refine your search

Cancers 15: PubMed36765785

2023

Flexible Cyclic Immunofluorescence (cyCIF) Using Oligonucleotide Barcoded Antibodies.

Applications

Unspecified application

Species

Unspecified reactive species

Nathan P McMahon,Jocelyn A Jones,Ashley N Anderson,Matthew S Dietz,Melissa H Wong,Summer L Gibbs
View all publications

Product promise

We are committed to supporting your work with high-quality reagents, and we're here for you every step of the way. In the unlikely event that one of our products does not perform as expected, you're protected by our Product Promise.
For full details, please see our Terms & Conditions

Please note: All products are 'FOR RESEARCH USE ONLY. NOT FOR USE IN DIAGNOSTIC OR THERAPEUTIC PROCEDURES'.

For licensing inquiries, please contact partnerships@abcam.com