JavaScript is disabled in your browser. Please enable JavaScript to view this website.
AB238787

Anti-SATB2 antibody [SP281] - BSA and Azide free

Be the first to review this product! Submit a review

|

(1 Publication)

Rabbit Recombinant Monoclonal SATB2 antibody. Carrier free. Suitable for WB, IHC-FoFr, IHC-P and reacts with Mouse, Rat, Human samples. Cited in 1 publication.

View Alternative Names

KIAA1034, SATB2, DNA-binding protein SATB2, Special AT-rich sequence-binding protein 2

8 Images
Immunohistochemistry (Formalin/PFA-fixed paraffin-embedded sections) - Anti-SATB2 antibody [SP281] - BSA and Azide free (AB238787)
  • IHC-P

Unknown

Immunohistochemistry (Formalin/PFA-fixed paraffin-embedded sections) - Anti-SATB2 antibody [SP281] - BSA and Azide free (AB238787)

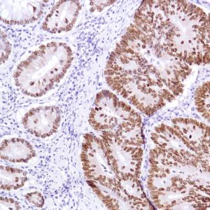
Immunohistochemistry (Formalin/PFA-fixed paraffin-embedded sections) analysis of Human colon tissue sections labeling SATB2 with ab227686 at 1/100 dilution (1.58 μg/ml). Heat mediated antigen retrieval with sodium citrate buffer (pH 6.0, epitope retrieval solution 1) for 10mins. Rabbit specific IHC polymer detection kit HRP/DAB (ab209101) was used as the secondary antibody. Hematoxylin was used as a counterstain. Nuclear staining on the human colon, performed on a Leica Biosystems BOND™ RX instrument.
The section was incubated with ab227686 for 10 mins at room temperature. This image was generated using ab227686, the same clone, but with a different buffer formulation.

Immunohistochemistry (Formalin/PFA-fixed paraffin-embedded sections) - Anti-SATB2 antibody [SP281] - BSA and Azide free (AB238787)
  • IHC-P

Supplier Data

Immunohistochemistry (Formalin/PFA-fixed paraffin-embedded sections) - Anti-SATB2 antibody [SP281] - BSA and Azide free (AB238787)

Formalin-fixed, paraffin-embedded human colon tissue stained for SATB2 using ab227686 at 1/100 dilution in immunohistochemical analysis.

This data was developed using the same antibody clone in a different buffer formulation containing PBS, BSA, and sodium azide (ab227686).

Immunohistochemistry (Formalin/PFA-fixed paraffin-embedded sections) - Anti-SATB2 antibody [SP281] - BSA and Azide free (AB238787)
  • IHC-P

Unknown

Immunohistochemistry (Formalin/PFA-fixed paraffin-embedded sections) - Anti-SATB2 antibody [SP281] - BSA and Azide free (AB238787)

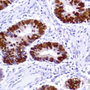
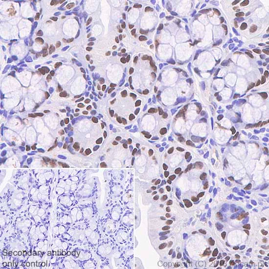
Immunohistochemistry (Formalin/PFA-fixed paraffin-embedded sections) analysis of Human colon carcinoma tissue sections labeling SATB2 with ab227686 at 1/100 dilution (1.58 μg/ml). Heat mediated antigen retrieval with sodium citrate buffer (pH 6.0, epitope retrieval solution 1) for 10mins. Rabbit specific IHC polymer detection kit HRP/DAB (ab209101) was used as the secondary antibody. Hematoxylin was used as a counterstain. Nuclear staining on the human colon carcinoma, performed on a Leica Biosystems BOND™ RX instrument.
The section was incubated with ab227686 for 10 mins at room temperature. This image was generated using ab227686, the same clone, but with a different buffer formulation.

Immunohistochemistry (Formalin/PFA-fixed paraffin-embedded sections) - Anti-SATB2 antibody [SP281] - BSA and Azide free (AB238787)
  • IHC-P

Unknown

Immunohistochemistry (Formalin/PFA-fixed paraffin-embedded sections) - Anti-SATB2 antibody [SP281] - BSA and Azide free (AB238787)

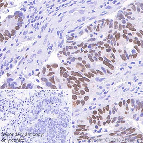
Formalin-fixed, paraffin-embedded human colon adenocarcinoma tissue stained for SATB2 using ab227686 at 1/100 dilution in immunohistochemical analysis.

This data was developed using the same antibody clone in a different buffer formulation containing PBS, BSA, glycerol, and sodium azide (ab227686).

Immunohistochemistry (Formalin/PFA-fixed paraffin-embedded sections) - Anti-SATB2 antibody [SP281] - BSA and Azide free (AB238787)
  • IHC-P

Supplier Data

Immunohistochemistry (Formalin/PFA-fixed paraffin-embedded sections) - Anti-SATB2 antibody [SP281] - BSA and Azide free (AB238787)

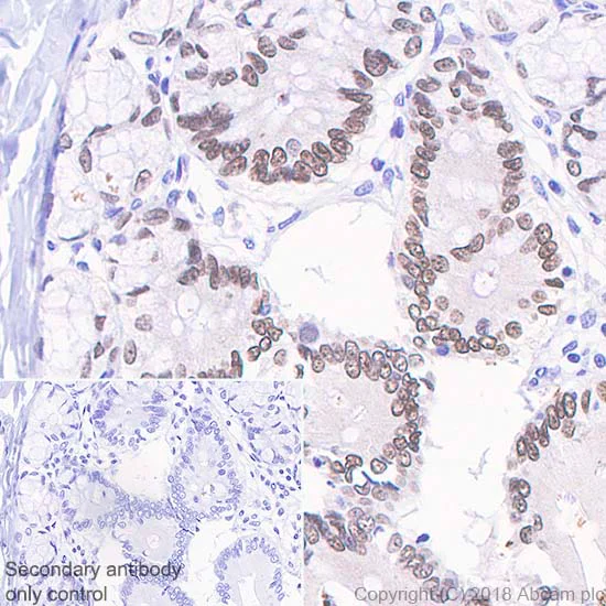
Formalin-fixed, paraffin-embedded human colon adenocarcinoma tissue stained for SATB2 using ab227686 at 1/100 dilution in immunohistochemical analysis.

This data was developed using the same antibody clone in a different buffer formulation containing PBS, BSA, glycerol, and sodium azide (ab227686).

Immunohistochemistry (Formalin/PFA-fixed paraffin-embedded sections) - Anti-SATB2 antibody [SP281] - BSA and Azide free (AB238787)
  • IHC-P

Unknown

Immunohistochemistry (Formalin/PFA-fixed paraffin-embedded sections) - Anti-SATB2 antibody [SP281] - BSA and Azide free (AB238787)

Immunohistochemistry (Formalin/PFA-fixed paraffin-embedded sections) analysis of Mouse colon tissue sections labeling SATB2 with ab227686 at 1/100 dilution (1.58 μg/ml). Heat mediated antigen retrieval with sodium citrate buffer (pH 6.0, epitope retrieval solution 1) for 10mins. Rabbit specific IHC polymer detection kit HRP/DAB (ab209101) was used as the secondary antibody. Hematoxylin was used as a counterstain. Nuclear staining on the mouse colon, performed on a Leica Biosystems BOND™ RX instrument.
The section was incubated with ab227686 for 10 mins at room temperature. This image was generated using ab227686, the same clone, but with a different buffer formulation.

Immunohistochemistry (PFA perfusion fixed frozen sections) - Anti-SATB2 antibody [SP281] - BSA and Azide free (AB238787)
  • IHC-FoFr

Unknown

Immunohistochemistry (PFA perfusion fixed frozen sections) - Anti-SATB2 antibody [SP281] - BSA and Azide free (AB238787)

Immunohistochemistry (PFA perfusion fixed frozen sections) analysis of mouse cerebral cortex tissue sections labeling SATB2 with purified ab227686 at 1 : 20 (7.9 µg/ml). Heat mediated antigen retrieval was performed Heat mediated antigen retrieval using sodium citrate buffer (10mM citrate pH 6.0 + 0.05% Tween-20). Goat anti rabbit IgG (Alexa Fluor® 488, ab150077)was used as the secondary antibody. Negative control : PBS instead of the primary antibody. DAPI was used as a counterstain.

Immunohistochemistry (Formalin/PFA-fixed paraffin-embedded sections) - Anti-SATB2 antibody [SP281] - BSA and Azide free (AB238787)
  • IHC-P

Unknown

Immunohistochemistry (Formalin/PFA-fixed paraffin-embedded sections) - Anti-SATB2 antibody [SP281] - BSA and Azide free (AB238787)

Immunohistochemistry (Formalin/PFA-fixed paraffin-embedded sections) analysis of Rat colon tissue sections labeling SATB2 with ab227686 at 1/100 dilution (1.58 μg/ml). Heat mediated antigen retrieval with sodium citrate buffer (pH 6.0, epitope retrieval solution 1) for 10mins. Rabbit specific IHC polymer detection kit HRP/DAB (ab209101) was used as the secondary antibody. Hematoxylin was used as a counterstain. Nuclear staining on the rat colon, performed on a Leica Biosystems BOND™ RX instrument.
The section was incubated with ab227686 for 10 mins at room temperature. This image was generated using ab227686, the same clone, but with a different buffer formulation.

  • 665 Alexa Fluor® 647

    Alexa Fluor® 647 Anti-SATB2 antibody [SP281] - C-terminal

  • 565 Alexa Fluor® 555

    Alexa Fluor® 555 Anti-SATB2 antibody [SP281] - C-terminal

  • 617 Alexa Fluor® 594

    Alexa Fluor® 594 Anti-SATB2 antibody [SP281] - C-terminal

  • 578 PE

    PE Anti-SATB2 antibody [SP281] - C-terminal

  • 660 APC

    APC Anti-SATB2 antibody [SP281] - C-terminal

  • 775 Alexa Fluor® 750

    Alexa Fluor® 750 Anti-SATB2 antibody [SP281] - C-terminal

  • Unconjugated

    Anti-SATB2 antibody [SP281] - C-terminal

Key facts

Host species

Rabbit

Clonality

Monoclonal

Clone number

SP281

Isotype

IgG

Carrier free

Yes

Reacts with

Mouse, Rat, Human

Applications

IHC-P, IHC-FoFr, WB

applications

Immunogen

The exact immunogen used to generate this antibody is proprietary information.

Reactivity data

{ "title": "Reactivity Data", "filters": { "stats": ["", "Species", "Dilution Info", "Notes"], "tabs": { "all-applications": {"fullname" : "All Applications", "shortname": "All Applications"}, "WB" : {"fullname" : "Western blot", "shortname":"WB"}, "IHCFoFr" : {"fullname" : "Immunohistochemistry (PFA perfusion fixed frozen sections)", "shortname":"IHC-FoFr"}, "IHCP" : {"fullname" : "Immunohistochemistry (Formalin/PFA-fixed paraffin-embedded sections)", "shortname":"IHC-P"} }, "product-promise": { "all": "all", "testedAndGuaranteed": "tested", "guaranteed": "expected", "predicted": "predicted", "notRecommended": "not-recommended" } }, "values": { "Human": { "WB-species-checked": "guaranteed", "WB-species-dilution-info": "", "WB-species-notes": "<p></p>", "IHCFoFr-species-checked": "guaranteed", "IHCFoFr-species-dilution-info": "", "IHCFoFr-species-notes": "", "IHCP-species-checked": "testedAndGuaranteed", "IHCP-species-dilution-info": "", "IHCP-species-notes": "<p>Boil tissue section in citrate buffer pH 6.0 for 10 minutes followed by cooling at room temperature for 20 minutes. Incubate for 10 minutes at room temperature.</p>" }, "Mouse": { "WB-species-checked": "guaranteed", "WB-species-dilution-info": "", "WB-species-notes": "<p></p>", "IHCFoFr-species-checked": "testedAndGuaranteed", "IHCFoFr-species-dilution-info": "", "IHCFoFr-species-notes": "<p></p>", "IHCP-species-checked": "guaranteed", "IHCP-species-dilution-info": "", "IHCP-species-notes": "" }, "Rat": { "WB-species-checked": "guaranteed", "WB-species-dilution-info": "", "WB-species-notes": "<p></p>", "IHCFoFr-species-checked": "predicted", "IHCFoFr-species-dilution-info": "", "IHCFoFr-species-notes": "", "IHCP-species-checked": "predicted", "IHCP-species-dilution-info": "", "IHCP-species-notes": "" } } }

Product details

ab238787 is the carrier-free version of ab227686.

What are the advantages of a recombinant monoclonal antibody?
This product is a recombinant monoclonal antibody, which offers several advantages including:

  • - High batch-to-batch consistency and reproducibility
  • - Improved sensitivity and specificity
  • - Long-term security of supply
  • - Animal-free batch production

For more information, read more on recombinant antibodies.

Conjugation ready
Our carrier-free antibodies are typically supplied in a PBS-only formulation, purified and free of BSA, sodium azide and glycerol. This conjugation-ready format is designed for use with fluorochromes, metal isotopes, oligonucleotides, and enzymes, which makes them ideal for antibody labelling, functional and cell-based assays, flow-based assays (e.g. mass cytometry) and Multiplex Imaging applications.

Use our conjugation kits for antibody conjugates that are ready-to-use in as little as 20 minutes with 1 minute hands-on-time and 100% antibody recovery: available for fluorescent dyes, HRP, biotin and gold.

Compatibility
This product is compatible with the Maxpar® Antibody Labeling Kit from Fluidigm, without the need for antibody preparation. Maxpar® is a trademark of Fluidigm Canada Inc.

Properties and storage information

Form
Liquid
Purification technique
Affinity purification Protein A/G
Purification notes
Purified from TCS by protein A/G.
Storage buffer
pH: 7.2 - 7.4 Constituents: PBS
Shipped at conditions
Blue Ice
Appropriate short-term storage conditions
+4°C
Appropriate long-term storage conditions
+4°C
Storage information
Do Not Freeze

Supplementary information

This supplementary information is collated from multiple sources and compiled automatically.

The SATB2 protein also known as Special AT-rich Sequence-Binding Protein 2 is a DNA-binding protein with a mass of about 82 kDa. It plays a role in chromatin organization and transcriptional regulation by binding to AT-rich sequences within the nuclear matrix. SATB2 shows high expression levels in the cerebral cortex and the bone where it influences gene expression. It functions by facilitating the assembly of transcriptional machineries enhancing or repressing the transcription of its target genes.
Biological function summary

SATB2 acts as a regulator of multiple developmental processes. It serves as a master control gene in osteoblast differentiation and skeletal development by forming complexes with core binding factors. In the brain SATB2 contributes to the development and maintenance of neuronal networks that are essential for cognitive functions. Its binding to matrix attachment regions aids in the spatial organization of nuclear chromatin impacting gene expression pertinent to development and differentiation.

Pathways

SATB2 operates within the Wnt signaling pathway and the regulation of osteoblast differentiation. It interacts with proteins such as RUNX2 and β-catenin which play roles in bone formation and homeostasis. Within these pathways SATB2 modulates gene networks that influence the expression of structural and signaling proteins important for tissue differentiation and repair particularly in bone and neuronal contexts.

SATB2 has associations with cleft palate and intellectual disabilities conditions often related to alterations in craniofacial and neurological development. It interacts with proteins like SOX9 and TCF7L1 which have roles in developmental processes that when disrupted can lead to such conditions. Understanding SATB2's involvement in these disorders provides insights into potential therapeutic targets for interventions aiming to mitigate developmental abnormalities.

Product protocols

For this product, it's our understanding that no specific protocols are required. You can visit:

Target data

Binds to DNA, at nuclear matrix- or scaffold-associated regions. Thought to recognize the sugar-phosphate structure of double-stranded DNA. Transcription factor controlling nuclear gene expression, by binding to matrix attachment regions (MARs) of DNA and inducing a local chromatin-loop remodeling. Acts as a docking site for several chromatin remodeling enzymes and also by recruiting corepressors (HDACs) or coactivators (HATs) directly to promoters and enhancers. Required for the initiation of the upper-layer neurons (UL1) specific genetic program and for the inactivation of deep-layer neurons (DL) and UL2 specific genes, probably by modulating BCL11B expression. Repressor of Ctip2 and regulatory determinant of corticocortical connections in the developing cerebral cortex. May play an important role in palate formation. Acts as a molecular node in a transcriptional network regulating skeletal development and osteoblast differentiation.
See full target information SATB2

Publications (1)

Recent publications for all applications. Explore the full list and refine your search

Frontiers in immunology 14:1162669 PubMed37207208

2023

Naproxen chemoprevention induces proliferation of cytotoxic lymphocytes in Lynch Syndrome colorectal mucosa.

Applications

Unspecified application

Species

Unspecified reactive species

Charles M Bowen,Nan Deng,Laura Reyes-Uribe,Edwin Roger Parra,Pedro Rocha,Luisa M Solis,Ignacio I Wistuba,Valerie O Sepeda,Lana Vornik,Marjorie Perloff,Eva Szabo,Asad Umar,Krishna M Sinha,Powel H Brown,Eduardo Vilar
View all publications

Product promise

We are committed to supporting your work with high-quality reagents, and we're here for you every step of the way. In the unlikely event that one of our products does not perform as expected, you're protected by our Product Promise.
For full details, please see our Terms & Conditions

Please note: All products are 'FOR RESEARCH USE ONLY. NOT FOR USE IN DIAGNOSTIC OR THERAPEUTIC PROCEDURES'.

For licensing inquiries, please contact partnerships@abcam.com