JavaScript is disabled in your browser. Please enable JavaScript to view this website.
AB151110

Anti-SBF2 antibody

3

(1 Review)

|

(1 Publication)

Rabbit Polyclonal SBF2 antibody. Suitable for IHC-P, WB, ICC/IF and reacts with Human samples. Cited in 1 publication. Immunogen corresponding to Recombinant Fragment Protein within Human SBF2 aa 1650-1750.

View Alternative Names

CMT4B2, KIAA1766, MTMR13, SBF2, Myotubularin-related protein 13, Inactive phosphatidylinositol 3-phosphatase 13, SET-binding factor 2

3 Images
Immunocytochemistry/ Immunofluorescence - Anti-SBF2 antibody (AB151110)
  • ICC/IF

Unknown

Immunocytochemistry/ Immunofluorescence - Anti-SBF2 antibody (AB151110)

Immunofluorescent staining of Human cell line A-431 shows positivity in nucleus but not nucleoli and cytoplasm. Recommended concentration of ab151110 1-4 µg/ml. Cells treated with PFA/Triton X-100.

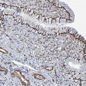
Immunohistochemistry (Formalin/PFA-fixed paraffin-embedded sections) - Anti-SBF2 antibody (AB151110)
  • IHC-P

Unknown

Immunohistochemistry (Formalin/PFA-fixed paraffin-embedded sections) - Anti-SBF2 antibody (AB151110)

Immunohistochemical analysis of paraffin-embedded Human cervix tissue labeling SBF2 with ab151110 at 1/200 dilution.

Western blot - Anti-SBF2 antibody (AB151110)
  • WB

Unknown

Western blot - Anti-SBF2 antibody (AB151110)

All lanes:

Western blot - Anti-SBF2 antibody (ab151110) at 1/250 dilution

Lane 1:

RT 4 cell lysate

Lane 2:

U 251 MG cell lysate

Lane 3:

Human plasma lysate

Lane 4:

Human liver tissue lysate

Lane 5:

Human tonsil tissue lysate

Predicted band size: 208 kDa

false

Key facts

Host species

Rabbit

Clonality

Polyclonal

Isotype

IgG

Carrier free

No

Reacts with

Human

Applications

IHC-P, WB, ICC/IF

applications

Immunogen

Recombinant Fragment Protein within Human SBF2 aa 1650-1750. The exact immunogen used to generate this antibody is proprietary information.

Q86WG5

Reactivity data

{ "title": "Reactivity Data", "filters": { "stats": ["", "Species", "Dilution Info", "Notes"], "tabs": { "all-applications": {"fullname" : "All Applications", "shortname": "All Applications"}, "IHCP" : {"fullname" : "Immunohistochemistry (Formalin/PFA-fixed paraffin-embedded sections)", "shortname":"IHC-P"}, "WB" : {"fullname" : "Western blot", "shortname":"WB"}, "ICCIF" : {"fullname" : "Immunocytochemistry/ Immunofluorescence", "shortname":"ICC/IF"} }, "product-promise": { "all": "all", "testedAndGuaranteed": "tested", "guaranteed": "expected", "predicted": "predicted", "notRecommended": "not-recommended" } }, "values": { "Human": { "IHCP-species-checked": "testedAndGuaranteed", "IHCP-species-dilution-info": "1/50 - 1/200", "IHCP-species-notes": "<p></p> Perform heat-mediated antigen retrieval with citrate buffer pH 6 before commencing with IHC staining protocol.", "WB-species-checked": "testedAndGuaranteed", "WB-species-dilution-info": "0.04-0.4 µg/mL", "WB-species-notes": "<p></p>", "ICCIF-species-checked": "testedAndGuaranteed", "ICCIF-species-dilution-info": "1-4 µg/mL", "ICCIF-species-notes": "<p>Recommend PFA Fixation and Triton X-100 treatment</p>" } } }

Properties and storage information

Form
Liquid
Purification technique
Affinity purification Immunogen
Storage buffer
pH: 7.2 Preservative: 0.02% Sodium azide Constituents: PBS, 40% Glycerol (glycerin, glycerine)
Shipped at conditions
Blue Ice
Appropriate short-term storage conditions
+4°C
Appropriate long-term storage conditions
-20°C
Aliquoting information
Upon delivery aliquot
Storage information
Avoid freeze / thaw cycle

Supplementary information

This supplementary information is collated from multiple sources and compiled automatically.

SBF2 also known as SET binding factor 2 or pseudophosphatase MTMR13 is a protein with a molecular weight of approximately 150 kDa. It functions as a pseudophosphatase which means it lacks catalytic activity typically seen in phosphatases but can still play a regulatory role. SBF2 shows strong expression in nervous tissue particularly in Schwann cells which are essential for peripheral nerve function. The protein contains a coiled-coil domain that may facilitate interactions with other proteins or cellular components.
Biological function summary

SBF2 participates in cellular processes linked to endocytosis the pathway that internalizes cell surface receptors and other molecules. It serves as part of a complex with active phosphatases like MTMR2 modulating their action and localization in the cell. Through these interactions SBF2 exerts influence over cellular homeostasis and membrane trafficking although the exact mechanisms are not fully understood. Despite its lack of enzymatic function it remains significant in organizing cellular responses that demand rapid adaptation.

Pathways

SBF2 contributes to the phosphatidylinositol signaling pathways affecting how cells perceive and react to external signals. In this manner it assists in the regulation of protein interactions for signal transduction. Together with MTMR2 SBF2 influences phosphatidylinositol 3-phosphate levels and modulates trafficking of endosomal proteins. It carries a role in directing cellular components and maintaining the clarity of signaling messages that depend on precise molecular feedback.

Mutations or dysregulation of SBF2 directly correlate with Charcot-Marie-Tooth disease type 4B a hereditary neuropathy characterized by demyelination. The condition affects peripheral nerves and connects SBF2 to dysfunction in myelin sheath maintenance. During these pathological states SBF2 often shows altered interactions with MTMR2 leading to disrupted myelin homeostasis. Understanding the role of SBF2 in these contexts paves a path to potential therapeutic strategies targeting neuropathic conditions involving impaired cellular signaling and protein trafficking.

Product protocols

For this product, it's our understanding that no specific protocols are required. You can visit:

Target data

Guanine nucleotide exchange factor (GEF) which activates RAB21 and possibly RAB28 (PubMed : 20937701, PubMed : 25648148). Promotes the exchange of GDP to GTP, converting inactive GDP-bound Rab proteins into their active GTP-bound form (PubMed : 20937701, PubMed : 25648148). In response to starvation-induced autophagy, activates RAB21 which in turn binds to and regulates SNARE protein VAMP8 endolysosomal transport required for SNARE-mediated autophagosome-lysosome fusion (PubMed : 25648148). Acts as an adapter for the phosphatase MTMR2 (By similarity). Increases MTMR2 catalytic activity towards phosphatidylinositol 3,5-bisphosphate and to a lesser extent towards phosphatidylinositol 3-phosphate (By similarity).
See full target information SBF2

Publications (1)

Recent publications for all applications. Explore the full list and refine your search

International wound journal 21:e14447 PubMed38149752

2023

Molecular characterization of chronic cutaneous wounds reveals subregion- and wound type-specific differential gene expression.

Applications

Unspecified application

Species

Unspecified reactive species

Shola Michelle Richards,Caroline Gubser Keller,Robert Kreutzer,Géraldine Greiner,Svenja Ley,Arno Doelemeyer,Valerie Dubost,Thierry Flandre,Susan Kirkland,Walter Carbone,Rishika Pandya,Judith Knehr,Guglielmo Roma,Sven Schuierer,Laure Bouchez,Klaus Seuwen,Alexandra Aebi,David Westhead,Gabriele Hintzen,Giorgia Jurisic,Imtiaz Hossain,Marilisa Neri,Nenad Manevski,Kamal Kumar Balavenkatraman,Pierre Moulin,Annette Begrich,Barbara Bertschi,Roland Huber,Tewis Bouwmeester,Vickie R Driver,Moritz von Schwabedissen,Dirk Schaefer,Barbara Wettstein,Reto Wettstein,Heinz Ruffner
View all publications

Product promise

We are committed to supporting your work with high-quality reagents, and we're here for you every step of the way. In the unlikely event that one of our products does not perform as expected, you're protected by our Product Promise.
For full details, please see our Terms & Conditions

Please note: All products are 'FOR RESEARCH USE ONLY. NOT FOR USE IN DIAGNOSTIC OR THERAPEUTIC PROCEDURES'.

For licensing inquiries, please contact partnerships@abcam.com