JavaScript is disabled in your browser. Please enable JavaScript to view this website.
AB122789

Anti-SBNO1 antibody

Be the first to review this product! Submit a review

|

(3 Publications)

Rabbit Polyclonal SBNO1 antibody. Suitable for IHC-P, ICC, WB and reacts with Human samples. Cited in 3 publications. Immunogen corresponding to Recombinant Fragment Protein within Human SBNO1 aa 1-150.

View Alternative Names

MOP3, SBNO1, Protein strawberry notch homolog 1, Monocyte protein 3, MOP-3

6 Images
Immunohistochemistry (Formalin/PFA-fixed paraffin-embedded sections) - Anti-SBNO1 antibody (AB122789)
  • IHC-P

Supplier Data

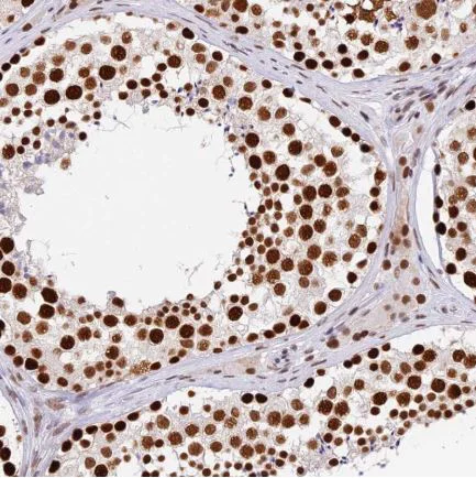
Immunohistochemistry (Formalin/PFA-fixed paraffin-embedded sections) - Anti-SBNO1 antibody (AB122789)

Immunohistochemical analysis of human testis tissue labeling SBNO1 in the nucleus of cells in seminiferous ducts with ab122789 at a 1/50 dilution.

Performed heat mediated antigen retrieval with citrate buffer pH 6 before commencing with IHC staining protocol.

Immunohistochemistry (Formalin/PFA-fixed paraffin-embedded sections) - Anti-SBNO1 antibody (AB122789)
  • IHC-P

Supplier Data

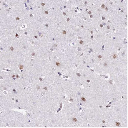
Immunohistochemistry (Formalin/PFA-fixed paraffin-embedded sections) - Anti-SBNO1 antibody (AB122789)

Immunohistochemical analysis of human cerebral cortex tissue labeling SBNO1 in the nucleus of neurons with ab122789 at a 1/50 dilution.

Performed heat mediated antigen retrieval with citrate buffer pH 6 before commencing with IHC staining protocol.

Immunohistochemistry (Formalin/PFA-fixed paraffin-embedded sections) - Anti-SBNO1 antibody (AB122789)
  • IHC-P

Supplier Data

Immunohistochemistry (Formalin/PFA-fixed paraffin-embedded sections) - Anti-SBNO1 antibody (AB122789)

Immunohistochemical analysis of human endometrium tissue labeling SBNO1 in the nucleus of glandular cells with ab122789 at a 1/50 dilution.

Performed heat mediated antigen retrieval with citrate buffer pH 6 before commencing with IHC staining protocol.

Immunocytochemistry - Anti-SBNO1 antibody (AB122789)
  • ICC

Supplier Data

Immunocytochemistry - Anti-SBNO1 antibody (AB122789)

Immunocytochemical analysis of A549 (Human lung carcinoma cell line) whole cells labeling SBNO1 in the nucleus of cells in seminiferous ducts with ab122789 at 2 μg/ml.

Immunohistochemistry (Formalin/PFA-fixed paraffin-embedded sections) - Anti-SBNO1 antibody (AB122789)
  • IHC-P

Supplier Data

Immunohistochemistry (Formalin/PFA-fixed paraffin-embedded sections) - Anti-SBNO1 antibody (AB122789)

Immunohistochemical analysis of human lymphoid tissue labeling SBNO1 in the nucleus of germinal center cells with ab122789 at a 1/50 dilution.

Performed heat mediated antigen retrieval with citrate buffer pH 6 before commencing with IHC staining protocol.

Western blot - Anti-SBNO1 antibody (AB122789)
  • WB

Supplier Data

Western blot - Anti-SBNO1 antibody (AB122789)

Western blot analysis of K562 cell lysate labeling SNBO1 with ab122789 at 0.04 ug/ml.

All lanes:

Western blot - Anti-SBNO1 antibody (ab122789) at 0.04 µg/mL

All lanes:

K562 (Human chronic myelogenous leukemia lymphoblast cell line) whole cell lysate

Predicted band size: 154 kDa

false

Key facts

Host species

Rabbit

Clonality

Polyclonal

Isotype

IgG

Carrier free

No

Reacts with

Human

Applications

WB, IHC-P, ICC

applications

Immunogen

Recombinant Fragment Protein within Human SBNO1 aa 1-150. The exact immunogen used to generate this antibody is proprietary information.

A3KN83

Reactivity data

{ "title": "Reactivity Data", "filters": { "stats": ["", "Species", "Dilution Info", "Notes"], "tabs": { "all-applications": {"fullname" : "All Applications", "shortname": "All Applications"}, "IHCP" : {"fullname" : "Immunohistochemistry (Formalin/PFA-fixed paraffin-embedded sections)", "shortname":"IHC-P"}, "ICC" : {"fullname" : "Immunocytochemistry", "shortname":"ICC"}, "WB" : {"fullname" : "Western blot", "shortname":"WB"} }, "product-promise": { "all": "all", "testedAndGuaranteed": "tested", "guaranteed": "expected", "predicted": "predicted", "notRecommended": "not-recommended" } }, "values": { "Human": { "IHCP-species-checked": "testedAndGuaranteed", "IHCP-species-dilution-info": "1/50 - 1/200", "IHCP-species-notes": "<p></p> Perform heat-mediated antigen retrieval with citrate buffer pH 6 before commencing with IHC staining protocol.", "ICC-species-checked": "testedAndGuaranteed", "ICC-species-dilution-info": "0.25-2 µg/mL", "ICC-species-notes": "<p>Fixation/Permeabilization: PFA/Triton X-100</p>", "WB-species-checked": "testedAndGuaranteed", "WB-species-dilution-info": "0.04-0.4 µg/mL", "WB-species-notes": "<p></p>" } } }

Properties and storage information

Form
Liquid
Purification technique
Affinity purification Immunogen
Storage buffer
pH: 7.2 Preservative: 0.02% Sodium azide Constituents: PBS, 40% Glycerol (glycerin, glycerine)
Shipped at conditions
Blue Ice
Appropriate short-term storage conditions
+4°C
Appropriate long-term storage conditions
-20°C
Aliquoting information
Upon delivery aliquot
Storage information
Avoid freeze / thaw cycle

Supplementary information

This supplementary information is collated from multiple sources and compiled automatically.

SBNO1 also known as Strawberry Notch Homolog 1 is a DNA-binding protein involved in transcriptional regulation. Creatively referred to by researchers as SBNO1 this protein has a molecular mass of about 84 kDa. It is expressed in various tissues with significant levels in immune cells and organs like the spleen and lymph nodes. SBNO1 locates both in the nucleus and the cytoplasm where it performs its mechanical roles related to gene expression.
Biological function summary

SBNO1 functions as a transcriptional co-regulator and plays a role in inflammatory response. It does not form part of a persistent complex but interacts dynamically with other molecules during gene regulation processes. Researchers have observed that SBNO1 modulates the signaling of pro-inflammatory cytokines influencing the immune system significantly. By affecting the transcription of particular genes SBNO1 contributes to cellular responses to external stimuli.

Pathways

SBNO1 interacts significantly with the Toll-like receptor signaling pathway affecting immune response regulation. Additionally it plays a role in the NF-kappa B signaling pathway where it assists in modulating inflammation and immune functions. SBNO1 works alongside proteins such as MYD88 and IRAK4 influencing the cascade of events leading to the activation of transcription factors responsible for inflammatory gene expression.

SBNO1 plays a role in conditions such as autoimmune diseases and chronic inflammation. Its regulation of cytokine signaling links SBNO1 to rheumatoid arthritis where it potentially affects disease severity. SBNO1's interaction with key proteins like IL-6 and TNF-alpha further highlights its involvement in pathological inflammatory processes. Understanding SBNO1's function could provide insights into therapeutic targets for managing inflammatory disorders.

Product protocols

For this product, it's our understanding that no specific protocols are required. You can visit:

Publications (3)

Recent publications for all applications. Explore the full list and refine your search

Cell death discovery 11:342 PubMed40707437

2025

Strawberry notch 1 safeguards neuronal genome via regulation of Yeats4 expression.

Applications

Unspecified application

Species

Unspecified reactive species

Dai Ihara,Ayano Narumoto,Yukie Kande,Tomoki Hayashi,Yasuaki Ikuno,Manabu Shirai,Masaki Wakabayashi,Ryo Nitta,Hayato Naka-Kaneda,Yu Katsuyama

Developmental cell 53:9-26.e4 PubMed32197068

2020

Glycolysis-Independent Glucose Metabolism Distinguishes TE from ICM Fate during Mammalian Embryogenesis.

Applications

Unspecified application

Species

Unspecified reactive species

Fangtao Chi,Mark S Sharpley,Raghavendra Nagaraj,Shubhendu Sen Roy,Utpal Banerjee

Scientific reports 7:46135 PubMed28401892

2017

Notch and Hippo signaling converge on Strawberry Notch 1 (Sbno1) to synergistically activate Cdx2 during specification of the trophectoderm.

Applications

Unspecified application

Species

Unspecified reactive species

Yusuke Watanabe,Kota Y Miyasaka,Atsushi Kubo,Yasuyuki S Kida,Osamu Nakagawa,Yoshikazu Hirate,Hiroshi Sasaki,Toshihiko Ogura
View all publications

Product promise

We are committed to supporting your work with high-quality reagents, and we're here for you every step of the way. In the unlikely event that one of our products does not perform as expected, you're protected by our Product Promise.
For full details, please see our Terms & Conditions

Please note: All products are 'FOR RESEARCH USE ONLY. NOT FOR USE IN DIAGNOSTIC OR THERAPEUTIC PROCEDURES'.

For licensing inquiries, please contact partnerships@abcam.com