JavaScript is disabled in your browser. Please enable JavaScript to view this website.
AB254362

Anti-SCA2 antibody [EPR23630-49]

  • BOND RX™ Validated
  • RabMAb
  • Recombinant
  • KO Validated
  • What is this?

Be the first to review this product! Submit a review

|

(1 Publication)

Rabbit Recombinant Monoclonal SCA2 antibody. Suitable for ICC/IF, WB, IHC-Fr, Flow Cyt (Intra), IHC-P and reacts with Mouse, Human, Rat samples. Cited in 1 publication.

View Alternative Names

ATX2, SCA2, TNRC13, ATXN2, Ataxin-2, Spinocerebellar ataxia type 2 protein, Trinucleotide repeat-containing gene 13 protein

12 Images
Flow Cytometry (Intracellular) - Anti-SCA2 antibody [EPR23630-49] (AB254362)
  • Flow Cyt (Intra)

Lab

Flow Cytometry (Intracellular) - Anti-SCA2 antibody [EPR23630-49] (AB254362)

Intracellular flow cytometric analysis of 4% paraformaldehyde-fixed, 90% methanol permeabilized HeLa (human epithelial cell line from cervix adenocarcinoma) cells labeling SCA2 with ab254362 at 1/500 dilution (red) compared with a Rabbit IgG, monoclonal [EPR25A] - Isotype Control (ab172730) (black) and an unlabelled control (cells without incubation with primary antibody and secondary antibody) (blue).

Goat Anti-Rabbit IgG H&L (Alexa Fluor® 488) at 1/2000 dilution was used as the secondary antibody.

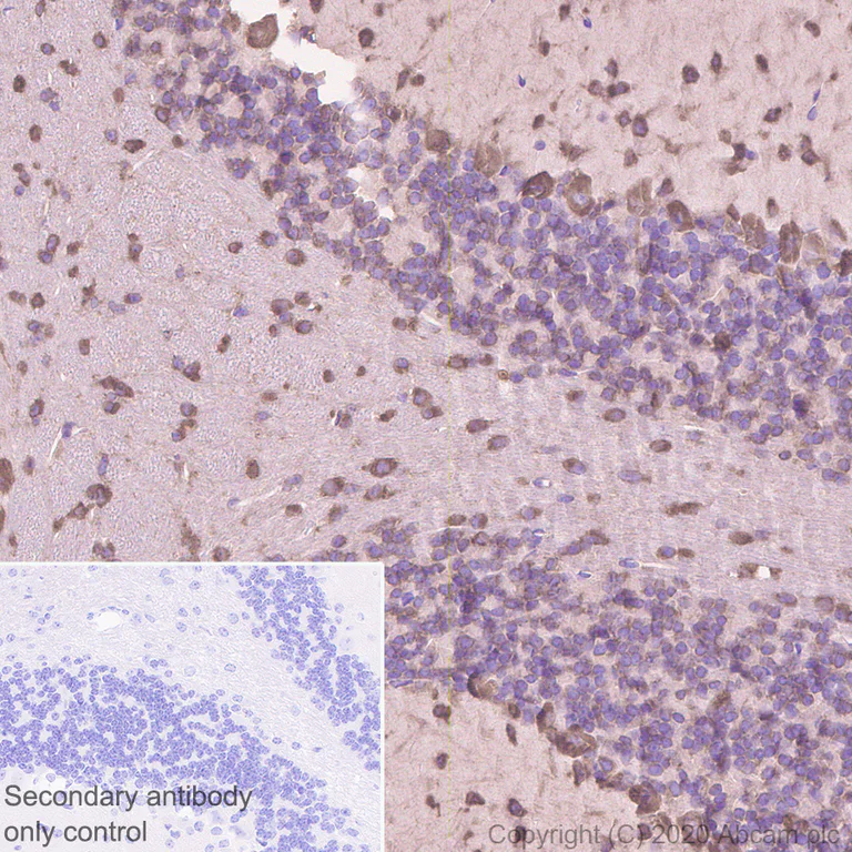
Immunohistochemistry (Formalin/PFA-fixed paraffin-embedded sections) - Anti-SCA2 antibody [EPR23630-49] (AB254362)
  • IHC-P

Lab

Immunohistochemistry (Formalin/PFA-fixed paraffin-embedded sections) - Anti-SCA2 antibody [EPR23630-49] (AB254362)

Immunohistochemical analysis of paraffin-embedded human cerebellum tissue labeling SCA2 with ab254362 at 1/1000 dilution, followed by a ready to use secondary from Rabbit specific IHC polymer detection kit HRP/DAB (ab209101). Cytoplasmic staining on Purkinje cells in human cerebellum (PMID : 9989626). The section was incubated with ab254362 for 30 mins at room temperature. The immunostaining was performed on a Leica Biosystems BOND® RX instrument. Counter stained with Hematoxylin.

Secondary antibody only control : Used PBS instead of primary antibody, secondary antibody is a ready to use secondary from Rabbit specific IHC polymer detection kit HRP/DAB (ab209101).

Heat mediated antigen retrieval with Tris-EDTA buffer (pH 9.0, epitope retrieval solution2) for 20 mins.

Immunocytochemistry/ Immunofluorescence - Anti-SCA2 antibody [EPR23630-49] (AB254362)
  • ICC/IF

Lab

Immunocytochemistry/ Immunofluorescence - Anti-SCA2 antibody [EPR23630-49] (AB254362)

Immunofluorescent analysis of 4% paraformaldehyde-fixed, 0.1% Triton X-100 permeabilized HeLa (human epithelial cell line from cervix adenocarcinoma) cells labeling SCA2 with ab254362 at 1/50 dilution, followed by Goat Anti-Rabbit IgG H&L (Alexa Fluor® 488) (ab150077) secondary antibody at 1/1000 dilution (green). Confocal image showing cytoplasmic staining on HeLa cell line. The nuclear counterstain is DAPI (blue).
Tubulin is detected with ab195889 Anti-alpha Tubulin mouse monoclonal antibody - Microtubule Marker (Alexa Fluor® 594) at 1/200 dilution (red).

The negative control is secondary antibody only.

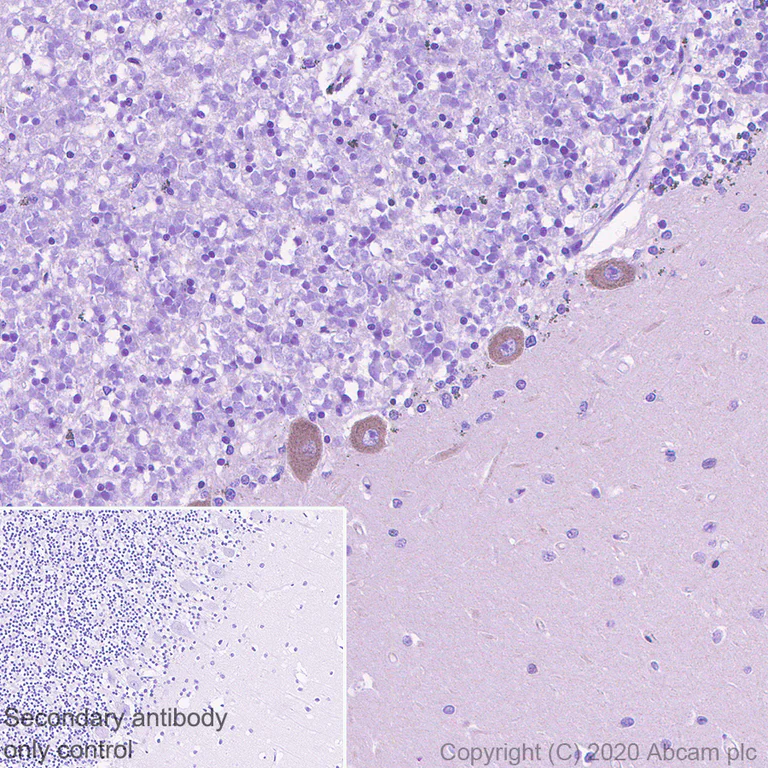
Immunohistochemistry (Formalin/PFA-fixed paraffin-embedded sections) - Anti-SCA2 antibody [EPR23630-49] (AB254362)
  • IHC-P

Lab

Immunohistochemistry (Formalin/PFA-fixed paraffin-embedded sections) - Anti-SCA2 antibody [EPR23630-49] (AB254362)

Immunohistochemical analysis of paraffin-embedded human cerebrum tissue labeling SCA2 with ab254362 at 1/1000 dilution, followed by a ready to use secondary from Rabbit specific IHC polymer detection kit HRP/DAB (ab209101). Cytoplasmic staining on neurons of human cerebrum (PMID : 9989626). The section was incubated with ab254362 for 30 mins at room temperature. The immunostaining was performed on a Leica Biosystems BOND® RX instrument. Counter stained with Hematoxylin.

Secondary antibody only control : Used PBS instead of primary antibody, secondary antibody is a ready to use secondary from Rabbit specific IHC polymer detection kit HRP/DAB (ab209101).

Heat mediated antigen retrieval with Tris-EDTA buffer (pH 9.0, epitope retrieval solution2) for 20 mins.

Immunohistochemistry (Frozen sections) - Anti-SCA2 antibody [EPR23630-49] (AB254362)
  • IHC-Fr

Lab

Immunohistochemistry (Frozen sections) - Anti-SCA2 antibody [EPR23630-49] (AB254362)

Immunohistochemical analysis of 4% PFA-fixed, 0.2% Triton X-100 permeabilized frozen mouse cerebrum tissue labeling SCA2 with ab254362 at 1/50 dilution, followed by ab150077 Goat Anti-Rabbit IgG H&L (Alexa Fluor® 488) at a 1/1000 dilution. Positive staining on mouse cerebrum is observed. Nuclear counterstain is DAPI.

Secondary antibody only control : Used PBS instead of primary antibody, secondary antibody is ab150077 Goat Anti-Rabbit IgG H&L (Alexa Fluor® 488) at a 1/1000 dilution.

Heat mediated antigen retrieval using sodium citrate buffer (10mM citrate pH 6.0 + 0.05% Tween-20).

Flow Cytometry (Intracellular) - Anti-SCA2 antibody [EPR23630-49] (AB254362)
  • Flow Cyt (Intra)

Lab

Flow Cytometry (Intracellular) - Anti-SCA2 antibody [EPR23630-49] (AB254362)

Intracellular flow cytometric analysis of 4% paraformaldehyde-fixed, 90% methanol permeabilized NIH/3T3 (mouse embryo fibroblast cell line) cells labeling SCA2 with ab254362 at 1/500 dilution (red) compared with a Rabbit IgG, monoclonal [EPR25A] - Isotype Control (ab172730) (black) and an unlabelled control (cells without incubation with primary antibody and secondary antibody) (blue).

Goat Anti-Rabbit IgG H&L (Alexa Fluor® 488) at 1/2000 dilution was used as the secondary antibody.

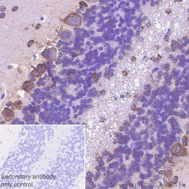
Immunohistochemistry (Formalin/PFA-fixed paraffin-embedded sections) - Anti-SCA2 antibody [EPR23630-49] (AB254362)
  • IHC-P

Lab

Immunohistochemistry (Formalin/PFA-fixed paraffin-embedded sections) - Anti-SCA2 antibody [EPR23630-49] (AB254362)

Immunohistochemical analysis of paraffin-embedded mouse cerebellum tissue labeling SCA2 with ab254362 at 1/1000 dilution, followed by a ready to use secondary from Rabbit specific IHC polymer detection kit HRP/DAB (ab209101). Cytoplasmic staining in mouse cerebellum (PMID : 26868665). The section was incubated with ab254362 for 30 mins at room temperature. The immunostaining was performed on a Leica Biosystems BOND® RX instrument. Counter stained with Hematoxylin.

Secondary antibody only control : Used PBS instead of primary antibody, secondary antibody is a ready to use secondary from Rabbit specific IHC polymer detection kit HRP/DAB (ab209101).

Heat mediated antigen retrieval with Tris-EDTA buffer (pH 9.0, epitope retrieval solution2) for 20 mins.

Immunohistochemistry (Formalin/PFA-fixed paraffin-embedded sections) - Anti-SCA2 antibody [EPR23630-49] (AB254362)
  • IHC-P

Lab

Immunohistochemistry (Formalin/PFA-fixed paraffin-embedded sections) - Anti-SCA2 antibody [EPR23630-49] (AB254362)

Immunohistochemical analysis of paraffin-embedded rat cerebellum tissue labeling SCA2 with ab254362 at 1/1000 dilution, followed by a ready to use secondary from Rabbit specific IHC polymer detection kit HRP/DAB (ab209101). Cytoplasmic staining in rat cerebellum (PMID : 26868665). The section was incubated with ab254362 for 30 mins at room temperature. The immunostaining was performed on a Leica Biosystems BOND® RX instrument. Counter stained with Hematoxylin.

Secondary antibody only control : Used PBS instead of primary antibody, secondary antibody is a ready to use secondary from Rabbit specific IHC polymer detection kit HRP/DAB (ab209101).

Heat mediated antigen retrieval with Tris-EDTA buffer (pH 9.0, epitope retrieval solution2) for 20 mins.

Immunohistochemistry (Frozen sections) - Anti-SCA2 antibody [EPR23630-49] (AB254362)
  • IHC-Fr

Lab

Immunohistochemistry (Frozen sections) - Anti-SCA2 antibody [EPR23630-49] (AB254362)

Immunohistochemical analysis of 4% PFA-fixed, 0.2% Triton X-100 permeabilized frozen mouse cerebellum tissue labeling SCA2 with ab254362 at 1/50 dilution, followed by ab150077 Goat Anti-Rabbit IgG H&L (Alexa Fluor® 488) at a 1/1000 dilution. Positive staining on mouse cerebellum is observed. Nuclear counterstain is DAPI.

Secondary antibody only control : Used PBS instead of primary antibody, secondary antibody is ab150077 Goat Anti-Rabbit IgG H&L (Alexa Fluor® 488) at a 1/1000 dilution.

Heat mediated antigen retrieval using sodium citrate buffer (10mM citrate pH 6.0 + 0.05% Tween-20).

Immunocytochemistry/ Immunofluorescence - Anti-SCA2 antibody [EPR23630-49] (AB254362)
  • ICC/IF

Lab

Immunocytochemistry/ Immunofluorescence - Anti-SCA2 antibody [EPR23630-49] (AB254362)

Immunofluorescent analysis of 4% paraformaldehyde-fixed, 0.1% Triton X-100 permeabilized NIH/3T3 (mouse embryo fibroblast cell line) cells labeling SCA2 with ab254362 at 1/50 dilution, followed by Goat Anti-Rabbit IgG H&L (Alexa Fluor® 488) (ab150077) secondary antibody at 1/1000 dilution (green). Confocal image showing cytoplasmic staining on NIH/3T3 cell line. The nuclear counterstain is DAPI (blue).
Tubulin is detected with ab195889 Anti-alpha Tubulin mouse monoclonal antibody - Microtubule Marker (Alexa Fluor® 594) at 1/200 dilution (red).

The negative control is secondary antibody only.

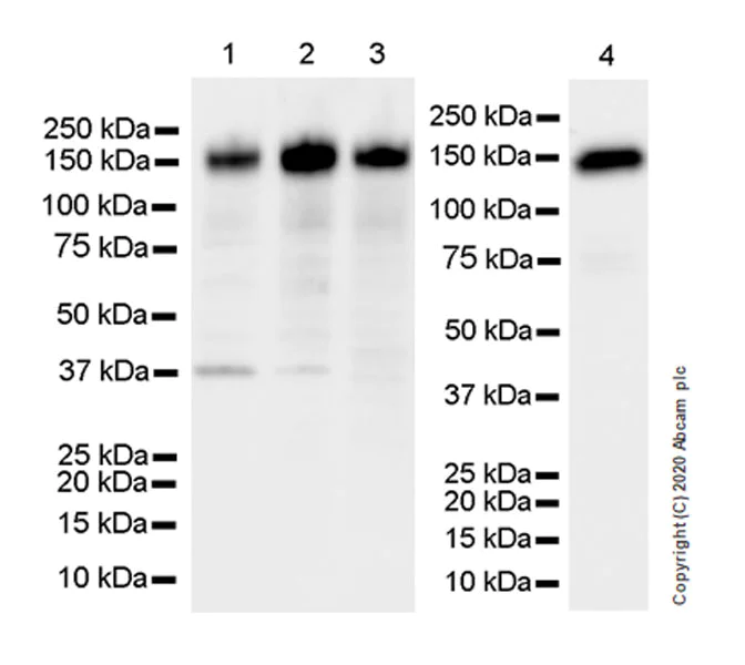
Western blot - Anti-SCA2 antibody [EPR23630-49] (AB254362)
  • WB

Lab

Western blot - Anti-SCA2 antibody [EPR23630-49] (AB254362)

The molecular weight observed is consistent with what has been described in the literature (PMID : 9989626).
Lysates should be made freshly and used in WB immediately to minimize protein degradation.

Blocking/Dilution buffer : 5% NFDM/TBST.

Exposure times : Lanes 1-3 : 10 seconds; Lane 4 : 15 seconds.

All lanes:

Western blot - Anti-SCA2 antibody [EPR23630-49] (ab254362) at 1/1000 dilution

Lane 1:

HeLa (human cervix adenocarcinoma epithelial cell) whole cell lysate at 20 µg

Lane 2:

HEK-293T (human epithelial cell line from embryonic kidney transformed with large T antigen) whole cell lysate at 20 µg

Lane 3:

NIH/3T3 (mouse embryonic fibroblast) whole cell lysate at 20 µg

Lane 4:

PC-12 (rat adrenal gland pheochromocytoma) whole cell lysate at 20 µg

Secondary

All lanes:

Western blot - Goat Anti-Rabbit IgG H&L (HRP) (<a href='/en-us/products/secondary-antibodies/goat-rabbit-igg-h-l-hrp-ab97051'>ab97051</a>) at 1/20000 dilution

Predicted band size: 140 kDa

Observed band size: 145 kDa,41 kDa

false

Western blot - Anti-SCA2 antibody [EPR23630-49] (AB254362)
  • WB

Collaborator

Western blot - Anti-SCA2 antibody [EPR23630-49] (AB254362)

ab254362 was shown to react with aTXN2 in wild-type HAP1 cells in Western blot with loss of signal observed in a ATXN2 knockout cell line. Wild-type HAP1 and ATXN2 knockout cell lysates were subjected to SDS-PAGE. Membranes were blocked in 5% milk in TBST for 1 hr before incubation with ab254362 overnight at 4 °C at a 1/1000 dilution. Blots were incubated with goat anti-rabbit HRP secondary antibodies at before imaging. These data were provided by YCharOS Inc., an open science company with the mission of characterizing commercially available antibody reagents for all human proteins. Abcam and YCharOS are working together to help address the reproducibility crisis by enabling the life science community to better evaluate commercially available antibodies.

All lanes:

Western blot - Anti-SCA2 antibody [EPR23630-49] (ab254362)

Predicted band size: 140 kDa

false

Key facts

Host species

Rabbit

Clonality

Monoclonal

Clone number

EPR23630-49

Isotype

IgG

Carrier free

No

Reacts with

Mouse, Rat, Human

Applications

Flow Cyt (Intra), WB, IHC-P, IHC-Fr, ICC/IF

applications

Immunogen

The exact immunogen used to generate this antibody is proprietary information.

Reactivity data

{ "title": "Reactivity Data", "filters": { "stats": ["", "Species", "Dilution Info", "Notes"], "tabs": { "all-applications": {"fullname" : "All Applications", "shortname": "All Applications"}, "ICCIF" : {"fullname" : "Immunocytochemistry/ Immunofluorescence", "shortname":"ICC/IF"}, "IP" : {"fullname" : "Immunoprecipitation", "shortname":"IP"}, "WB" : {"fullname" : "Western blot", "shortname":"WB"}, "IHCFr" : {"fullname" : "Immunohistochemistry (Frozen sections)", "shortname":"IHC-Fr"}, "FlowCytIntra" : {"fullname" : "Flow Cytometry (Intracellular)", "shortname":"Flow Cyt (Intra)"}, "IHCP" : {"fullname" : "Immunohistochemistry (Formalin/PFA-fixed paraffin-embedded sections)", "shortname":"IHC-P"} }, "product-promise": { "all": "all", "testedAndGuaranteed": "tested", "guaranteed": "expected", "predicted": "predicted", "notRecommended": "not-recommended" } }, "values": { "Human": { "ICCIF-species-checked": "testedAndGuaranteed", "ICCIF-species-dilution-info": "1/50", "ICCIF-species-notes": "<p></p>", "IP-species-checked": "notRecommended", "IP-species-dilution-info": "", "IP-species-notes": "<p></p>", "WB-species-checked": "testedAndGuaranteed", "WB-species-dilution-info": "1/1000", "WB-species-notes": "<p></p>", "IHCFr-species-checked": "guaranteed", "IHCFr-species-dilution-info": "", "IHCFr-species-notes": "", "FlowCytIntra-species-checked": "testedAndGuaranteed", "FlowCytIntra-species-dilution-info": "1/500", "FlowCytIntra-species-notes": "<p></p>", "IHCP-species-checked": "testedAndGuaranteed", "IHCP-species-dilution-info": "1/1000", "IHCP-species-notes": "<p></p>" }, "Mouse": { "ICCIF-species-checked": "testedAndGuaranteed", "ICCIF-species-dilution-info": "1/50", "ICCIF-species-notes": "<p></p>", "IP-species-checked": "notRecommended", "IP-species-dilution-info": "", "IP-species-notes": "<p></p>", "WB-species-checked": "testedAndGuaranteed", "WB-species-dilution-info": "1/1000", "WB-species-notes": "<p></p>", "IHCFr-species-checked": "testedAndGuaranteed", "IHCFr-species-dilution-info": "1/50", "IHCFr-species-notes": "<p>Heat mediated antigen retrieval using sodium citrate buffer (10mM citrate pH 6.0 + 0.05% Tween-20).</p>", "FlowCytIntra-species-checked": "testedAndGuaranteed", "FlowCytIntra-species-dilution-info": "1/500", "FlowCytIntra-species-notes": "<p></p>", "IHCP-species-checked": "testedAndGuaranteed", "IHCP-species-dilution-info": "1/1000", "IHCP-species-notes": "<p></p>" }, "Rat": { "ICCIF-species-checked": "guaranteed", "ICCIF-species-dilution-info": "", "ICCIF-species-notes": "", "IP-species-checked": "notRecommended", "IP-species-dilution-info": "", "IP-species-notes": "<p></p>", "WB-species-checked": "testedAndGuaranteed", "WB-species-dilution-info": "1/1000", "WB-species-notes": "<p></p>", "IHCFr-species-checked": "guaranteed", "IHCFr-species-dilution-info": "", "IHCFr-species-notes": "", "FlowCytIntra-species-checked": "guaranteed", "FlowCytIntra-species-dilution-info": "", "FlowCytIntra-species-notes": "", "IHCP-species-checked": "testedAndGuaranteed", "IHCP-species-dilution-info": "1/1000", "IHCP-species-notes": "<p></p>" } } }

Product details

Patented technology
Our RabMAb® technology is a patented hybridoma-based technology for making rabbit monoclonal antibodies. For details on our patents, please refer to RabMAb® patents.

What are the advantages of a recombinant monoclonal antibody?
This product is a recombinant monoclonal antibody, which offers several advantages including:

  • - High batch-to-batch consistency and reproducibility
  • - Improved sensitivity and specificity
  • - Long-term security of supply
  • - Animal-free batch production

For more information, read more on recombinant antibodies.

Properties and storage information

Form
Liquid
Purification technique
Affinity purification Protein A
Storage buffer
Preservative: 0.01% Sodium azide Constituents: PBS, 40% Glycerol (glycerin, glycerine), 0.05% BSA
Shipped at conditions
Blue Ice
Appropriate short-term storage duration
1-2 weeks
Appropriate short-term storage conditions
+4°C
Appropriate long-term storage conditions
-20°C
Aliquoting information
Upon delivery aliquot
Storage information
Avoid freeze / thaw cycle

Supplementary information

This supplementary information is collated from multiple sources and compiled automatically.

SCA2 also known as Spinocerebellar Ataxia Type 2 refers to a protein primarily affected by mutations in the ATXN2 gene. It weighs around 150 kDa. SCA2 expresses predominantly in the brain with significant presence in Purkinje cells of the cerebellum as well as regions like the thalamus and hippocampus. It functions as an essential component within neuron-specific structures and may associate with RNA processing events.
Biological function summary

SCA2 shows significant interactions within the neuronal RNA processing machinery. This protein is part of a large complex involved in regulating RNA stability and translation. Its role contributes significantly to maintaining neuron function and viability affecting synaptic signaling and plasticity which are critical for cognitive processes and motor control. SCA2 influences neural communication through modulation and degradation of messenger RNAs.

Pathways

SCA2 plays a role in the mRNA metabolic process related cellular pathways. It interacts in pathways like RNA transport and degradation linking it functionally to proteins such as TDP-43 and FUS which also have prominent roles in RNA processing. These associations support communication across neurons and ensure accurate protein synthesis necessary for neuronal health and function.

Malfunction or mutation in SCA2 relates directly to spinocerebellar ataxia type 2 a degenerative disorder affecting movement. The imbalance in related pathways often leads to pathological changes contributing to dysfunctions in Ataxin-2 often seen alongside interactions with proteins like Huntingtin which elucidate its involvement in neurological diseases. Such connections imply a substantial impact on neuronal survival and disease progression.

Product protocols

For this product, it's our understanding that no specific protocols are required. You can visit:

Target data

Involved in EGFR trafficking, acting as negative regulator of endocytic EGFR internalization at the plasma membrane.
See full target information ATXN2

Publications (1)

Recent publications for all applications. Explore the full list and refine your search

Molecular neurobiology 62:12768-12790 PubMed40450087

2025

Accurate Quantification of Mutant and Wild-Type polyQ Proteins Using Simple Western Capillary Immunoassays.

Applications

Unspecified application

Species

Unspecified reactive species

Bas Röttgering,Janwillem Testerink,Rudie Weij,Chantal Beekman,Nicole Datson
View all publications

Product promise

We are committed to supporting your work with high-quality reagents, and we're here for you every step of the way. In the unlikely event that one of our products does not perform as expected, you're protected by our Product Promise.
For full details, please see our Terms & Conditions

Please note: All products are 'FOR RESEARCH USE ONLY. NOT FOR USE IN DIAGNOSTIC OR THERAPEUTIC PROCEDURES'.

For licensing inquiries, please contact partnerships@abcam.com