JavaScript is disabled in your browser. Please enable JavaScript to view this website.
AB275752

Anti-SCA2 antibody [EPR23630-49] - BSA and Azide free

  • BOND RX™ Validated
  • RabMAb
  • Recombinant
  • KO Validated
  • What is this?

Be the first to review this product! Submit a review

|

(0 Publication)

Anti-SCA2 antibody [EPR23630-49] - BSA and Azide free (ab275752) is a rabbit recombinant monoclonal antibody provided in a PBS only buffer for easy conjugation. Suitable for Western Blot, Flow Cytometry, IHC-P, IHC-Fr, ICC/IF in Human, Mouse, Rat.

- KO validated for confirmed specificity
- BSA, sodium azide, and glycerol-free for easy conjugation
- Biophysical QC for unrivalled batch-batch consistency

View Alternative Names

ATX2, SCA2, TNRC13, ATXN2, Ataxin-2, Spinocerebellar ataxia type 2 protein, Trinucleotide repeat-containing gene 13 protein

11 Images
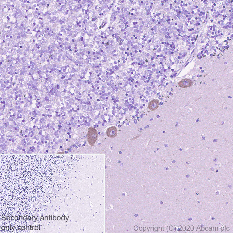
Immunohistochemistry (Formalin/PFA-fixed paraffin-embedded sections) - Anti-SCA2 antibody [EPR23630-49] - BSA and Azide free (AB275752)
  • IHC-P

Lab

Immunohistochemistry (Formalin/PFA-fixed paraffin-embedded sections) - Anti-SCA2 antibody [EPR23630-49] - BSA and Azide free (AB275752)

This data was developed using ab254362, the same antibody clone in a different buffer formulation.

Immunohistochemical analysis of paraffin-embedded human cerebrum tissue labeling SCA2 with ab254362 at 1/1000 dilution, followed by a ready to use secondary from Rabbit specific IHC polymer detection kit HRP/DAB (ab209101). Cytoplasmic staining on neurons of human cerebrum (PMID : 9989626). The section was incubated with ab254362 for 30 mins at room temperature. The immunostaining was performed on a Leica Biosystems BOND® RX instrument. Counter stained with Hematoxylin.

Secondary antibody only control : Used PBS instead of primary antibody, secondary antibody is a ready to use secondary from Rabbit specific IHC polymer detection kit HRP/DAB (ab209101).

Heat mediated antigen retrieval with Tris-EDTA buffer (pH 9.0, epitope retrieval solution2) for 20 mins.

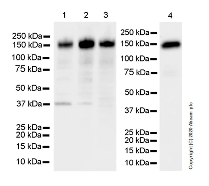
Western blot - Anti-SCA2 antibody [EPR23630-49] - BSA and Azide free (AB275752)
  • WB

Lab

Western blot - Anti-SCA2 antibody [EPR23630-49] - BSA and Azide free (AB275752)

This data was developed using ab254362, the same antibody clone in a different buffer formulation.

The molecular weight observed is consistent with what has been described in the literature (PMID : 9989626).
Lysates should be made freshly and used in WB immediately to minimize protein degradation.

Blocking/Dilution buffer : 5% NFDM/TBST.

Exposure times : Lanes 1-3 : 10 seconds; Lane 4 : 15 seconds.

All lanes:

Western blot - Anti-SCA2 antibody [EPR23630-49] (<a href='/en-us/products/primary-antibodies/sca2-antibody-epr23630-49-ab254362'>ab254362</a>) at 1/1000 dilution

Lane 1:

HeLa (human cervix adenocarcinoma epithelial cell) whole cell lysate at 20 µg

Lane 2:

HEK-293T (human epithelial cell line from embryonic kidney transformed with large T antigen) whole cell lysate at 20 µg

Lane 3:

NIH/3T3 (mouse embryonic fibroblast) whole cell lysate at 20 µg

Lane 4:

PC-12 (rat adrenal gland pheochromocytoma) whole cell lysate at 20 µg

Secondary

All lanes:

Western blot - Goat Anti-Rabbit IgG H&L (HRP) (<a href='/en-us/products/secondary-antibodies/goat-rabbit-igg-h-l-hrp-ab97051'>ab97051</a>) at 1/20000 dilution

Predicted band size: 140 kDa

Observed band size: 145 kDa,41 kDa

false

Flow Cytometry (Intracellular) - Anti-SCA2 antibody [EPR23630-49] - BSA and Azide free (AB275752)
  • Flow Cyt (Intra)

Lab

Flow Cytometry (Intracellular) - Anti-SCA2 antibody [EPR23630-49] - BSA and Azide free (AB275752)

This data was developed using ab254362, the same antibody clone in a different buffer formulation.

Intracellular flow cytometric analysis of 4% paraformaldehyde-fixed, 90% methanol permeabilized HeLa (human epithelial cell line from cervix adenocarcinoma) cells labeling SCA2 with ab254362 at 1/500 dilution (red) compared with a Rabbit IgG, monoclonal [EPR25A] - Isotype Control (ab172730) (black) and an unlabelled control (cells without incubation with primary antibody and secondary antibody) (blue).

Goat Anti-Rabbit IgG H&L (Alexa Fluor®488) at 1/2000 dilution was used as the secondary antibody.

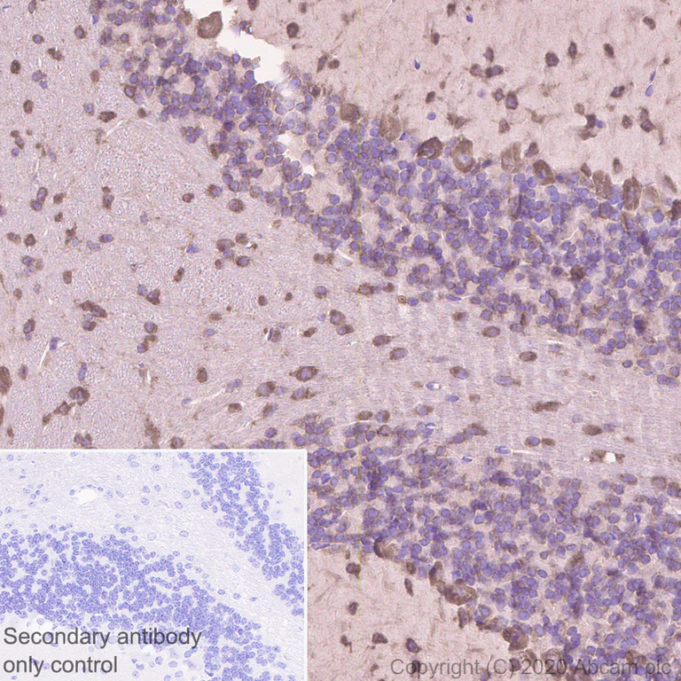
Immunohistochemistry (Formalin/PFA-fixed paraffin-embedded sections) - Anti-SCA2 antibody [EPR23630-49] - BSA and Azide free (AB275752)
  • IHC-P

Lab

Immunohistochemistry (Formalin/PFA-fixed paraffin-embedded sections) - Anti-SCA2 antibody [EPR23630-49] - BSA and Azide free (AB275752)

This data was developed using ab254362, the same antibody clone in a different buffer formulation.

Immunohistochemical analysis of paraffin-embedded rat cerebellum tissue labeling SCA2 with ab254362 at 1/1000 dilution, followed by a ready to use secondary from Rabbit specific IHC polymer detection kit HRP/DAB (ab209101). Cytoplasmic staining in rat cerebellum (PMID : 26868665). The section was incubated with ab254362 for 30 mins at room temperature. The immunostaining was performed on a Leica Biosystems BOND® RX instrument. Counter stained with Hematoxylin.

Secondary antibody only control : Used PBS instead of primary antibody, secondary antibody is a ready to use secondary from Rabbit specific IHC polymer detection kit HRP/DAB (ab209101).

Heat mediated antigen retrieval with Tris-EDTA buffer (pH 9.0, epitope retrieval solution2) for 20 mins.

Immunocytochemistry/ Immunofluorescence - Anti-SCA2 antibody [EPR23630-49] - BSA and Azide free (AB275752)
  • ICC/IF

Lab

Immunocytochemistry/ Immunofluorescence - Anti-SCA2 antibody [EPR23630-49] - BSA and Azide free (AB275752)

This data was developed using ab254362, the same antibody clone in a different buffer formulation.

Immunofluorescent analysis of 4% paraformaldehyde-fixed, 0.1% Triton X-100 permeabilized HeLa (human epithelial cell line from cervix adenocarcinoma) cells labeling SCA2 with ab254362 at 1/50 dilution, followed by Goat Anti-Rabbit IgG H&L (Alexa Fluor® 488) (ab150077) secondary antibody at 1/1000 dilution (green). Confocal image showing cytoplasmic staining on HeLa cell line. The nuclear counterstain is DAPI (blue).
Tubulin is detected with ab195889 Anti-alpha Tubulin mouse monoclonal antibody - Microtubule Marker (Alexa Fluor® 594) at 1/200 dilution (red).

The negative control is secondary antibody only.

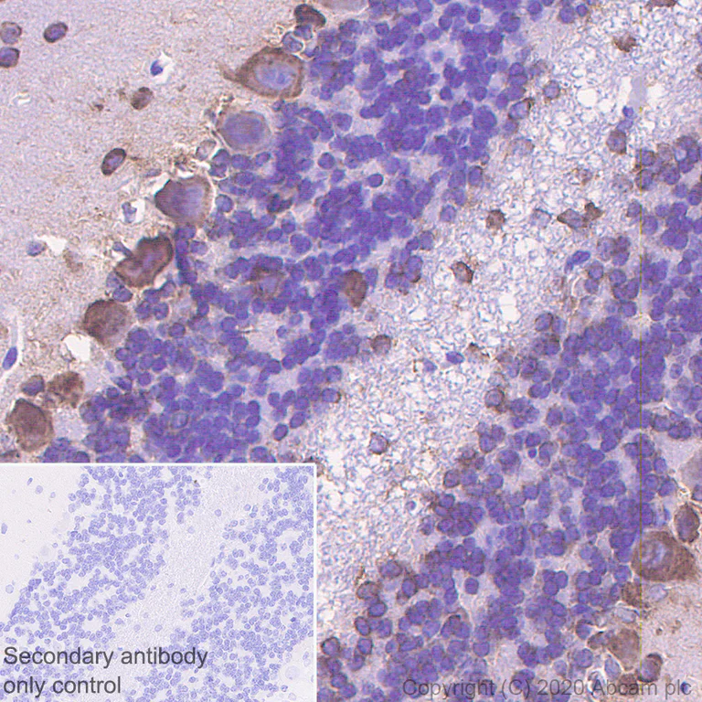
Immunohistochemistry (Formalin/PFA-fixed paraffin-embedded sections) - Anti-SCA2 antibody [EPR23630-49] - BSA and Azide free (AB275752)
  • IHC-P

Lab

Immunohistochemistry (Formalin/PFA-fixed paraffin-embedded sections) - Anti-SCA2 antibody [EPR23630-49] - BSA and Azide free (AB275752)

This data was developed using ab254362, the same antibody clone in a different buffer formulation.

Immunohistochemical analysis of paraffin-embedded human cerebellum tissue labeling SCA2 with ab254362 at 1/1000 dilution, followed by a ready to use secondary from Rabbit specific IHC polymer detection kit HRP/DAB (ab209101). Cytoplasmic staining on Purkinje cells in human cerebellum (PMID : 9989626). The section was incubated with ab254362 for 30 mins at room temperature. The immunostaining was performed on a Leica Biosystems BOND® RX instrument. Counter stained with Hematoxylin.

Secondary antibody only control : Used PBS instead of primary antibody, secondary antibody is a ready to use secondary from Rabbit specific IHC polymer detection kit HRP/DAB (ab209101).

Heat mediated antigen retrieval with Tris-EDTA buffer (pH 9.0, epitope retrieval solution2) for 20 mins.

Immunohistochemistry (Frozen sections) - Anti-SCA2 antibody [EPR23630-49] - BSA and Azide free (AB275752)
  • IHC-Fr

Lab

Immunohistochemistry (Frozen sections) - Anti-SCA2 antibody [EPR23630-49] - BSA and Azide free (AB275752)

This data was developed using ab254362, the same antibody clone in a different buffer formulation.

Immunohistochemical analysis of 4% PFA-fixed, 0.2% Triton X-100 permeabilized frozen mouse cerebellum tissue labeling SCA2 with ab254362 at 1/50 dilution, followed by ab150077 Goat Anti-Rabbit IgG H&L (Alexa Fluor® 488) at a 1/1000 dilution. Positive staining on mouse cerebellum is observed. Nuclear counterstain is DAPI.

Secondary antibody only control : Used PBS instead of primary antibody, secondary antibody is ab150077 Goat Anti-Rabbit IgG H&L (Alexa Fluor® 488) at a 1/1000 dilution.

Heat mediated antigen retrieval using sodium citrate buffer (10mM citrate pH 6.0 + 0.05% Tween-20).

Flow Cytometry (Intracellular) - Anti-SCA2 antibody [EPR23630-49] - BSA and Azide free (AB275752)
  • Flow Cyt (Intra)

Lab

Flow Cytometry (Intracellular) - Anti-SCA2 antibody [EPR23630-49] - BSA and Azide free (AB275752)

This data was developed using ab254362, the same antibody clone in a different buffer formulation.

Intracellular flow cytometric analysis of 4% paraformaldehyde-fixed, 90% methanol permeabilized NIH/3T3 (mouse embryo fibroblast cell line) cells labeling SCA2 with ab254362 at 1/500 dilution (red) compared with a Rabbit IgG, monoclonal [EPR25A] - Isotype Control (ab172730) (black) and an unlabelled control (cells without incubation with primary antibody and secondary antibody) (blue).

Goat Anti-Rabbit IgG H&L (Alexa Fluor®488) at 1/2000 dilution was used as the secondary antibody.

Immunohistochemistry (Formalin/PFA-fixed paraffin-embedded sections) - Anti-SCA2 antibody [EPR23630-49] - BSA and Azide free (AB275752)
  • IHC-P

Lab

Immunohistochemistry (Formalin/PFA-fixed paraffin-embedded sections) - Anti-SCA2 antibody [EPR23630-49] - BSA and Azide free (AB275752)

This data was developed using ab254362, the same antibody clone in a different buffer formulation.

Immunohistochemical analysis of paraffin-embedded mouse cerebellum tissue labeling SCA2 with ab254362 at 1/1000 dilution, followed by a ready to use secondary from Rabbit specific IHC polymer detection kit HRP/DAB (ab209101). Cytoplasmic staining in mouse cerebellum (PMID : 26868665). The section was incubated with ab254362 for 30 mins at room temperature. The immunostaining was performed on a Leica Biosystems BOND® RX instrument. Counter stained with Hematoxylin.

Secondary antibody only control : Used PBS instead of primary antibody, secondary antibody is a ready to use secondary from Rabbit specific IHC polymer detection kit HRP/DAB (ab209101).

Heat mediated antigen retrieval with Tris-EDTA buffer (pH 9.0, epitope retrieval solution2) for 20 mins.

Immunohistochemistry (Frozen sections) - Anti-SCA2 antibody [EPR23630-49] - BSA and Azide free (AB275752)
  • IHC-Fr

Lab

Immunohistochemistry (Frozen sections) - Anti-SCA2 antibody [EPR23630-49] - BSA and Azide free (AB275752)

This data was developed using ab254362, the same antibody clone in a different buffer formulation.

Immunohistochemical analysis of 4% PFA-fixed, 0.2% Triton X-100 permeabilized frozen mouse cerebrum tissue labeling SCA2 with ab254362 at 1/50 dilution, followed by ab150077 Goat Anti-Rabbit IgG H&L (Alexa Fluor® 488) at a 1/1000 dilution. Positive staining on mouse cerebrum is observed. Nuclear counterstain is DAPI.

Secondary antibody only control : Used PBS instead of primary antibody, secondary antibody is ab150077 Goat Anti-Rabbit IgG H&L (Alexa Fluor® 488) at a 1/1000 dilution.

Heat mediated antigen retrieval using sodium citrate buffer (10mM citrate pH 6.0 + 0.05% Tween-20).

Immunocytochemistry/ Immunofluorescence - Anti-SCA2 antibody [EPR23630-49] - BSA and Azide free (AB275752)
  • ICC/IF

Lab

Immunocytochemistry/ Immunofluorescence - Anti-SCA2 antibody [EPR23630-49] - BSA and Azide free (AB275752)

This data was developed using ab254362, the same antibody clone in a different buffer formulation.

Immunofluorescent analysis of 4% paraformaldehyde-fixed, 0.1% Triton X-100 permeabilized NIH/3T3 (mouse embryo fibroblast cell line) cells labeling SCA2 with ab254362 at 1/50 dilution, followed by Goat Anti-Rabbit IgG H&L (Alexa Fluor® 488) (ab150077) secondary antibody at 1/1000 dilution (green). Confocal image showing cytoplasmic staining on NIH/3T3 cell line. The nuclear counterstain is DAPI (blue).
Tubulin is detected with ab195889 Anti-alpha Tubulin mouse monoclonal antibody - Microtubule Marker (Alexa Fluor® 594) at 1/200 dilution (red).

The negative control is secondary antibody only.

Key facts

Host species

Rabbit

Clonality

Monoclonal

Clone number

EPR23630-49

Isotype

IgG

Carrier free

Yes

Reacts with

Mouse, Rat, Human

Applications

IHC-P, Flow Cyt (Intra), ICC/IF, IHC-Fr, WB

applications

Immunogen

The exact immunogen used to generate this antibody is proprietary information.

Reactivity data

{ "title": "Reactivity Data", "filters": { "stats": ["", "Species", "Dilution Info", "Notes"], "tabs": { "all-applications": {"fullname" : "All Applications", "shortname": "All Applications"}, "ICCIF" : {"fullname" : "Immunocytochemistry/ Immunofluorescence", "shortname":"ICC/IF"}, "IP" : {"fullname" : "Immunoprecipitation", "shortname":"IP"}, "WB" : {"fullname" : "Western blot", "shortname":"WB"}, "IHCP" : {"fullname" : "Immunohistochemistry (Formalin/PFA-fixed paraffin-embedded sections)", "shortname":"IHC-P"}, "IHCFr" : {"fullname" : "Immunohistochemistry (Frozen sections)", "shortname":"IHC-Fr"}, "FlowCytIntra" : {"fullname" : "Flow Cytometry (Intracellular)", "shortname":"Flow Cyt (Intra)"} }, "product-promise": { "all": "all", "testedAndGuaranteed": "tested", "guaranteed": "expected", "predicted": "predicted", "notRecommended": "not-recommended" } }, "values": { "Human": { "ICCIF-species-checked": "testedAndGuaranteed", "ICCIF-species-dilution-info": "", "ICCIF-species-notes": "<p></p>", "IP-species-checked": "notRecommended", "IP-species-dilution-info": "", "IP-species-notes": "<p></p>", "WB-species-checked": "testedAndGuaranteed", "WB-species-dilution-info": "", "WB-species-notes": "<p></p>", "IHCP-species-checked": "testedAndGuaranteed", "IHCP-species-dilution-info": "", "IHCP-species-notes": "<p></p> Perform heat-mediated antigen retrieval with Tris/EDTA buffer pH 9.0 before commencing with IHC staining protocol.", "IHCFr-species-checked": "guaranteed", "IHCFr-species-dilution-info": "", "IHCFr-species-notes": "", "FlowCytIntra-species-checked": "testedAndGuaranteed", "FlowCytIntra-species-dilution-info": "", "FlowCytIntra-species-notes": "<p></p>" }, "Mouse": { "ICCIF-species-checked": "testedAndGuaranteed", "ICCIF-species-dilution-info": "", "ICCIF-species-notes": "<p></p>", "IP-species-checked": "notRecommended", "IP-species-dilution-info": "", "IP-species-notes": "", "WB-species-checked": "testedAndGuaranteed", "WB-species-dilution-info": "", "WB-species-notes": "<p></p>", "IHCP-species-checked": "testedAndGuaranteed", "IHCP-species-dilution-info": "", "IHCP-species-notes": "<p></p> Perform heat-mediated antigen retrieval with Tris/EDTA buffer pH 9.0 before commencing with IHC staining protocol.", "IHCFr-species-checked": "testedAndGuaranteed", "IHCFr-species-dilution-info": "", "IHCFr-species-notes": "<p>Heat mediated antigen retrieval using sodium citrate buffer (10mM citrate pH 6.0 + 0.05% Tween-20).</p>", "FlowCytIntra-species-checked": "testedAndGuaranteed", "FlowCytIntra-species-dilution-info": "", "FlowCytIntra-species-notes": "<p></p>" }, "Rat": { "ICCIF-species-checked": "guaranteed", "ICCIF-species-dilution-info": "", "ICCIF-species-notes": "", "IP-species-checked": "notRecommended", "IP-species-dilution-info": "", "IP-species-notes": "", "WB-species-checked": "testedAndGuaranteed", "WB-species-dilution-info": "", "WB-species-notes": "<p></p>", "IHCP-species-checked": "testedAndGuaranteed", "IHCP-species-dilution-info": "", "IHCP-species-notes": "<p></p> Perform heat-mediated antigen retrieval with Tris/EDTA buffer pH 9.0 before commencing with IHC staining protocol.", "IHCFr-species-checked": "guaranteed", "IHCFr-species-dilution-info": "", "IHCFr-species-notes": "", "FlowCytIntra-species-checked": "guaranteed", "FlowCytIntra-species-dilution-info": "", "FlowCytIntra-species-notes": "" } } }

Product details

What is this antibody validated in?
Anti-SCA2 antibody [EPR23630-49] - BSA and Azide free (ab275752) is a rabbit recombinant monoclonal antibody and is validated for use in Western Blot (WB), Flow Cytometry (Intra), Flow Cytometry (Flow Cyt), Immunohistochemistry (IHC-P), Immunohistochemistry (IHC-Fr), Immunocytochemistry/immunofluorescence (ICC/IF) in Human, Mouse, Rat samples.

What is the molecular weight of SCA2?
Anti-SCA2 [EPR23630-49] - BSA and Azide free (ab275752) specifically detects a band for SCA2 (UniProt: Q99700) at a molecular weight of 140kDa.

Specificity confirmed
The specificity of Anti-SCA2 antibody [EPR23630-49] - BSA and Azide free (ab275752) has been confirmed by Western blot testing in ATXN2 Knockout HAP1 cells.

Other related products
We have a range of other formats of antibody clone [EPR23630-49] also available for your convenience: ab254362, Carrier free - ab275752, Alexa Fluor® 647 - ab286816, Alexa Fluor® 488 - ab300055

Patented technology
Our RabMAb® technology is a patented hybridoma-based technology for making rabbit monoclonal antibodies. For details on our patents, please refer to RabMAb® patents.

What are the advantages of a recombinant monoclonal antibody?
This product is a recombinant monoclonal antibody, which offers several advantages including:

  • - High batch-to-batch consistency and reproducibility
  • - Improved sensitivity and specificity
  • - Long-term security of supply
  • - Animal-free batch production

For more information, read more on recombinant antibodies.

Conjugation ready
Our carrier-free antibodies are typically supplied in a PBS-only formulation, purified and free of BSA, sodium azide and glycerol. This conjugation-ready format is designed for use with fluorochromes, metal isotopes, oligonucleotides, and enzymes, which makes them ideal for antibody labelling, functional and cell-based assays, flow-based assays (e.g. mass cytometry) and Multiplex Imaging applications.

Use our conjugation kits for antibody conjugates that are ready-to-use in as little as 20 minutes with 1 minute hands-on-time and 100% antibody recovery: available for fluorescent dyes, HRP, biotin and gold.

Compatibility
This product is compatible with the Maxpar® Antibody Labeling Kit from Fluidigm, without the need for antibody preparation. Maxpar® is a trademark of Fluidigm Canada Inc.

Properties and storage information

Form
Liquid
Purification technique
Affinity purification Protein A
Storage buffer
Constituents: 100% PBS
Shipped at conditions
Blue Ice
Appropriate short-term storage conditions
+4°C
Appropriate long-term storage conditions
+4°C

Supplementary information

This supplementary information is collated from multiple sources and compiled automatically.

SCA2 also known as Spinocerebellar Ataxia Type 2 refers to a protein primarily affected by mutations in the ATXN2 gene. It weighs around 150 kDa. SCA2 expresses predominantly in the brain with significant presence in Purkinje cells of the cerebellum as well as regions like the thalamus and hippocampus. It functions as an essential component within neuron-specific structures and may associate with RNA processing events.
Biological function summary

SCA2 shows significant interactions within the neuronal RNA processing machinery. This protein is part of a large complex involved in regulating RNA stability and translation. Its role contributes significantly to maintaining neuron function and viability affecting synaptic signaling and plasticity which are critical for cognitive processes and motor control. SCA2 influences neural communication through modulation and degradation of messenger RNAs.

Pathways

SCA2 plays a role in the mRNA metabolic process related cellular pathways. It interacts in pathways like RNA transport and degradation linking it functionally to proteins such as TDP-43 and FUS which also have prominent roles in RNA processing. These associations support communication across neurons and ensure accurate protein synthesis necessary for neuronal health and function.

Malfunction or mutation in SCA2 relates directly to spinocerebellar ataxia type 2 a degenerative disorder affecting movement. The imbalance in related pathways often leads to pathological changes contributing to dysfunctions in Ataxin-2 often seen alongside interactions with proteins like Huntingtin which elucidate its involvement in neurological diseases. Such connections imply a substantial impact on neuronal survival and disease progression.

Product protocols

For this product, it's our understanding that no specific protocols are required. You can visit:

Target data

Involved in EGFR trafficking, acting as negative regulator of endocytic EGFR internalization at the plasma membrane.
See full target information ATXN2

Product promise

We are committed to supporting your work with high-quality reagents, and we're here for you every step of the way. In the unlikely event that one of our products does not perform as expected, you're protected by our Product Promise.
For full details, please see our Terms & Conditions

Associated Products

Select an associated product type
Alternative Version
Primary Antibodies

AB286816

Alexa Fluor® 647 Anti-SCA2 antibody [EPR23630-49]

primary-antibodies

alexa-fluor-647-sca2-antibody-epr23630-49-ab286816

0

(0 reviews)

Alternative Version
Primary Antibodies

AB300055

Alexa Fluor® 488 Anti-SCA2 antibody [EPR23630-49]

primary-antibodies

alexa-fluor-488-sca2-antibody-epr23630-49-ab300055

0

(0 reviews)

Please note: All products are 'FOR RESEARCH USE ONLY. NOT FOR USE IN DIAGNOSTIC OR THERAPEUTIC PROCEDURES'.

For licensing inquiries, please contact partnerships@abcam.com