JavaScript is disabled in your browser. Please enable JavaScript to view this website.
AB249081

Anti-SCAMP2/SC2 antibody [EPR10185] - BSA and Azide free

Be the first to review this product! Submit a review

|

(0 Publication)

Rabbit Recombinant Monoclonal SCAMP2/SC2 antibody. Carrier free. Suitable for IHC-P, WB, Flow Cyt (Intra) and reacts with Human samples.

View Alternative Names

Secretory carrier-associated membrane protein 2, Secretory carrier membrane protein 2, SCAMP2

7 Images
Western blot - Anti-SCAMP2/SC2 antibody [EPR10185] - BSA and Azide free (AB249081)
  • WB

Unknown

Western blot - Anti-SCAMP2/SC2 antibody [EPR10185] - BSA and Azide free (AB249081)

This data was developed using ab154181, the same antibody clone in a different buffer formulation.

All lanes:

Western blot - Anti-SCAMP2/SC2 antibody [EPR10185] (<a href='/en-us/products/primary-antibodies/scamp2-sc2-antibody-epr10185-ab154181'>ab154181</a>) at 1/1000 dilution

Lane 1:

HepG2 lysates at 10 µg

Lane 2:

293T lysates at 10 µg

Lane 3:

Human tonsil lysates at 10 µg

Secondary

All lanes:

HRP labelled goat anti-rabbit at 1/2000 dilution

Predicted band size: 37 kDa,49 kDa

false

Immunohistochemistry (Formalin/PFA-fixed paraffin-embedded sections) - Anti-SCAMP2/SC2 antibody [EPR10185] - BSA and Azide free (AB249081)
  • IHC-P

Unknown

Immunohistochemistry (Formalin/PFA-fixed paraffin-embedded sections) - Anti-SCAMP2/SC2 antibody [EPR10185] - BSA and Azide free (AB249081)

This data was developed using ab154181, the same antibody clone in a different buffer formulation.

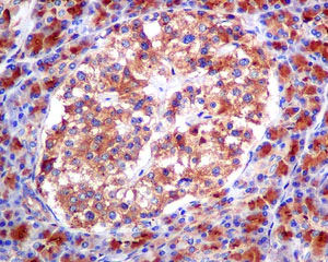
Immunohistochemical analysis of paraffin-embedded Human pancreas tissue labeling SCAMP2/SC2 with ab154181 at 1/250 dilution.

Perform heat mediated antigen retrieval with citrate buffer pH 6 before commencing with IHC staining protocol.

Flow Cytometry (Intracellular) - Anti-SCAMP2/SC2 antibody [EPR10185] - BSA and Azide free (AB249081)
  • Flow Cyt (Intra)

Unknown

Flow Cytometry (Intracellular) - Anti-SCAMP2/SC2 antibody [EPR10185] - BSA and Azide free (AB249081)

This data was developed using ab154181, the same antibody clone in a different buffer formulation.

Intracellular flow cytometric analysis of permeabilized 293T cells with ab154181 at 1/10 dilution (red) or a rabbit IgG (negative) (green).

Immunohistochemistry (Formalin/PFA-fixed paraffin-embedded sections) - Anti-SCAMP2/SC2 antibody [EPR10185] - BSA and Azide free (AB249081)
  • IHC-P

Unknown

Immunohistochemistry (Formalin/PFA-fixed paraffin-embedded sections) - Anti-SCAMP2/SC2 antibody [EPR10185] - BSA and Azide free (AB249081)

This data was developed using ab154181, the same antibody clone in a different buffer formulation.

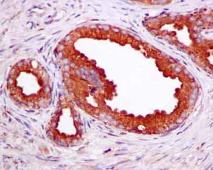
Immunohistochemical analysis of paraffin embedded Human prostate hyperplasia tissue using ab154181 showing +ve staining.

Perform heat mediated antigen retrieval with citrate buffer pH 6 before commencing with IHC staining protocol.

Immunohistochemistry (Formalin/PFA-fixed paraffin-embedded sections) - Anti-SCAMP2/SC2 antibody [EPR10185] - BSA and Azide free (AB249081)
  • IHC-P

Unknown

Immunohistochemistry (Formalin/PFA-fixed paraffin-embedded sections) - Anti-SCAMP2/SC2 antibody [EPR10185] - BSA and Azide free (AB249081)

This data was developed using ab154181, the same antibody clone in a different buffer formulation.

Immunohistochemical analysis of paraffin embedded Human thyroid gland carcinoma tissue using ab154181 showing +ve staining.

Perform heat mediated antigen retrieval with citrate buffer pH 6 before commencing with IHC staining protocol.

Immunohistochemistry (Formalin/PFA-fixed paraffin-embedded sections) - Anti-SCAMP2/SC2 antibody [EPR10185] - BSA and Azide free (AB249081)
  • IHC-P

Unknown

Immunohistochemistry (Formalin/PFA-fixed paraffin-embedded sections) - Anti-SCAMP2/SC2 antibody [EPR10185] - BSA and Azide free (AB249081)

This data was developed using ab154181, the same antibody clone in a different buffer formulation.

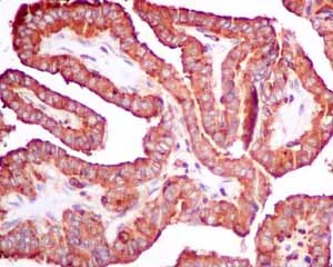
Immunohistochemical analysis of paraffin embedded Human lung carcinoma tissue using ab154181 showing +ve staining.

Perform heat mediated antigen retrieval with citrate buffer pH 6 before commencing with IHC staining protocol.

Immunohistochemistry (Formalin/PFA-fixed paraffin-embedded sections) - Anti-SCAMP2/SC2 antibody [EPR10185] - BSA and Azide free (AB249081)
  • IHC-P

Unknown

Immunohistochemistry (Formalin/PFA-fixed paraffin-embedded sections) - Anti-SCAMP2/SC2 antibody [EPR10185] - BSA and Azide free (AB249081)

This data was developed using ab154181, the same antibody clone in a different buffer formulation.

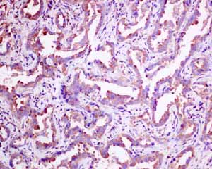
Immunohistochemical analysis of paraffin embedded Human cervical carcinoma tissue using ab154181 showing +ve staining.

Perform heat mediated antigen retrieval with citrate buffer pH 6 before commencing with IHC staining protocol.

Key facts

Host species

Rabbit

Clonality

Monoclonal

Clone number

EPR10185

Isotype

IgG

Carrier free

Yes

Reacts with

Human

Applications

Flow Cyt (Intra), WB, IHC-P

applications

Immunogen

The exact immunogen used to generate this antibody is proprietary information.

Reactivity data

{ "title": "Reactivity Data", "filters": { "stats": ["", "Species", "Dilution Info", "Notes"], "tabs": { "all-applications": {"fullname" : "All Applications", "shortname": "All Applications"}, "IHCP" : {"fullname" : "Immunohistochemistry (Formalin/PFA-fixed paraffin-embedded sections)", "shortname":"IHC-P"}, "WB" : {"fullname" : "Western blot", "shortname":"WB"}, "FlowCytIntra" : {"fullname" : "Flow Cytometry (Intracellular)", "shortname":"Flow Cyt (Intra)"} }, "product-promise": { "all": "all", "testedAndGuaranteed": "tested", "guaranteed": "expected", "predicted": "predicted", "notRecommended": "not-recommended" } }, "values": { "Human": { "IHCP-species-checked": "testedAndGuaranteed", "IHCP-species-dilution-info": "", "IHCP-species-notes": "<p></p> Perform heat-mediated antigen retrieval with citrate buffer pH 6 before commencing with IHC staining protocol.", "WB-species-checked": "testedAndGuaranteed", "WB-species-dilution-info": "", "WB-species-notes": "<p></p>", "FlowCytIntra-species-checked": "testedAndGuaranteed", "FlowCytIntra-species-dilution-info": "", "FlowCytIntra-species-notes": "<p></p>" } } }

Product details

Properties and storage information

Form
Liquid
Purification technique
Affinity purification Protein A
Storage buffer
pH: 7.2 - 7.4 Constituents: PBS
Shipped at conditions
Blue Ice
Appropriate short-term storage conditions
+4°C
Appropriate long-term storage conditions
+4°C
Storage information
Do Not Freeze

Supplementary information

This supplementary information is collated from multiple sources and compiled automatically.

SCAMP2 also known as SC2 is a small protein with a mass of approximately 33 kDa. It plays a role in secretory vesicle trafficking. SCAMP2 is widely expressed in various tissues including high levels in brain and endocrine tissues. This protein is embedded in the membrane of secretory vesicles which suggests an involvement in membrane trafficking processes. SCAMP2 possesses features such as coiled-coil domains important for intracellular trafficking functions.
Biological function summary

SCAMP2 is part of the intricate machinery regulating vesicle fusion and exocytosis. The protein participates in the transportation of vesicles between cell compartments ensuring the delivery of proteins and lipids to their target sites. SCAMP2 often functions as part of a larger complex involving other SCAMP family members enhancing vesicle recycling and secretion process efficiency. It regulates synaptic vesicle exocytosis which is essential for neurotransmitter release in the nervous system.

Pathways

The actions of SCAMP2 are integral in intracellular transport and exocytosis pathways. It interacts with SNARE proteins which are critical components of the membrane fusion machinery. SCAMP2 aids in coordinating the recruitment and assembly of SNARE complexes thereby facilitating efficient vesicle docking and fusion during neurotransmitter release. By engaging with proteins like syntaxin and VAMP2 SCAMP2 ensures proper communication between neurons playing an important role in synaptic transmission.

SCAMP2 is linked to neurological conditions such as epilepsy and neurodegenerative disorders. Alterations in SCAMP2 expression or function may affect synaptic transmission which can disrupt neural network stability and lead to disease states. It interacts with other neuronal proteins like synapsin and synaptophysin which may contribute to the development or progression of these conditions. Understanding SCAMP2's role can provide insight into therapeutic approaches for epilepsy and other related disorders.

Product protocols

For this product, it's our understanding that no specific protocols are required. You can visit:

Target data

Functions in post-Golgi recycling pathways. Acts as a recycling carrier to the cell surface.
See full target information Secretory carrier-associated membrane protein 2

Product promise

We are committed to supporting your work with high-quality reagents, and we're here for you every step of the way. In the unlikely event that one of our products does not perform as expected, you're protected by our Product Promise.
For full details, please see our Terms & Conditions

Please note: All products are 'FOR RESEARCH USE ONLY. NOT FOR USE IN DIAGNOSTIC OR THERAPEUTIC PROCEDURES'.

For licensing inquiries, please contact partnerships@abcam.com