JavaScript is disabled in your browser. Please enable JavaScript to view this website.
AB308061

Anti-SCAP antibody [EPR26242-60] - BSA and Azide free

Be the first to review this product! Submit a review

|

(0 Publication)

Rabbit Recombinant Monoclonal SCAP antibody. Carrier free. Suitable for WB and reacts with Human, Mouse, Rat samples.

View Alternative Names

KIAA0199, PSEC0227, SCAP, Sterol regulatory element-binding protein cleavage-activating protein, SREBP cleavage-activating protein

3 Images
Western blot - Anti-SCAP antibody [EPR26242-60] - BSA and Azide free (AB308061)
  • WB

Supplier Data

Western blot - Anti-SCAP antibody [EPR26242-60] - BSA and Azide free (AB308061)

This data was developed using ab308060, the same antibody clone in a different buffer formulation. Blocking and diluting buffer and concentration : 5% NFDM/TBST. Samples are non-boiled as boiling may cause protein aggregates. Anti-GAPDH antibody (ab181602) loading control staining at 1/200000 dilution. Exposure time : 48 seconds.

All lanes:

Western blot - Anti-SCAP antibody [EPR26242-60] (<a href='/en-us/products/primary-antibodies/scap-antibody-epr26242-60-ab308060'>ab308060</a>) at 1/1000 dilution

Lane 1:

DLD-1 whole cell lysate at 20 µg

Lane 2:

LNCaP whole cell lysate at 20 µg

Lane 3:

HeLa transfected with scrambled siRNA control whole cell lysate at 20 µg

Lane 4:

HeLa transfected with siRNA specifically targeting Human SCAP whole cell lysate at 20 µg

Secondary

All lanes:

Western blot - Goat Anti-Rabbit IgG H&L (HRP) (<a href='/en-us/products/secondary-antibodies/goat-rabbit-igg-h-l-hrp-ab97051'>ab97051</a>) at 1/100000 dilution

Observed band size: 150 kDa

false

Exposure time: 48s

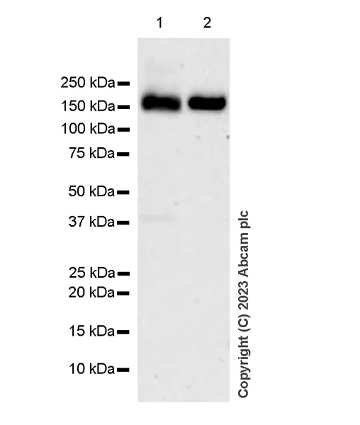
Western blot - Anti-SCAP antibody [EPR26242-60] - BSA and Azide free (AB308061)
  • WB

Supplier Data

Western blot - Anti-SCAP antibody [EPR26242-60] - BSA and Azide free (AB308061)

This data was developed using ab308060, the same antibody clone in a different buffer formulation. Blocking and diluting buffer and concentration : 5% NFDM/TBST. The lysates were freshly made and used for Western Blotting immediately to minimize protein degradation. Samples are non-boiled as boiling may cause protein aggregation. Exposure time : 180 seconds.

All lanes:

Western blot - Anti-SCAP antibody [EPR26242-60] (<a href='/en-us/products/primary-antibodies/scap-antibody-epr26242-60-ab308060'>ab308060</a>) at 1/1000 dilution

Lane 1:

Mouse liver tissue lysate

Lane 2:

Mouse spleen tissue lysate

Secondary

All lanes:

Western blot - Goat Anti-Rabbit IgG H&L (HRP) (<a href='/en-us/products/secondary-antibodies/goat-rabbit-igg-h-l-hrp-ab97051'>ab97051</a>) at 1/100000 dilution

Observed band size: 150 kDa

false

Exposure time: 180s

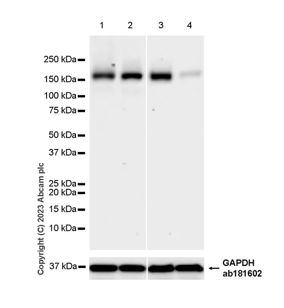
Western blot - Anti-SCAP antibody [EPR26242-60] - BSA and Azide free (AB308061)
  • WB

Supplier Data

Western blot - Anti-SCAP antibody [EPR26242-60] - BSA and Azide free (AB308061)

This data was developed using ab308060, the same antibody clone in a different buffer formulation. Blocking and diluting buffer and concentration : 5% NFDM/TBST. In lanes 1-2, the lysates were stored at -80°C prior to Western Blotting. The bands beneath the target band (150 kDa) are likey to be degradation products. In lanes 3-4, the lysates were freshly made and used for Western Blotting immediately to minimize protein degradation. In Western blot, anti-GAPDH antibody (ab181602) loading control staining at 1/200000 dilution. Samples are non-boiled as boiling may cause protein aggregation. Exposure time : 81 seconds.

All lanes:

Western blot - Anti-SCAP antibody [EPR26242-60] (<a href='/en-us/products/primary-antibodies/scap-antibody-epr26242-60-ab308060'>ab308060</a>) at 1/1000 dilution

Lane 1:

NIH/3T3 whole cell lysate at 20 µg

Lane 2:

PC-12 whole cell lysate at 20 µg

Lane 3:

NIH/3T3 fresh whole cell lysate at 20 µg

Lane 4:

PC-12 fresh whole cell lysate at 20 µg

Secondary

All lanes:

Western blot - Goat Anti-Rabbit IgG H&L (HRP) (<a href='/en-us/products/secondary-antibodies/goat-rabbit-igg-h-l-hrp-ab97051'>ab97051</a>) at 1/100000 dilution

Observed band size: 150 kDa

false

Exposure time: 81s

Key facts

Host species

Rabbit

Clonality

Monoclonal

Clone number

EPR26242-60

Isotype

IgG

Carrier free

Yes

Reacts with

Human, Mouse, Rat

Applications

WB

applications

Immunogen

The exact immunogen used to generate this antibody is proprietary information.

Reactivity data

{ "title": "Reactivity Data", "filters": { "stats": ["", "Species", "Dilution Info", "Notes"], "tabs": { "all-applications": {"fullname" : "All Applications", "shortname": "All Applications"}, "WB" : {"fullname" : "Western blot", "shortname":"WB"}, "IHCP" : {"fullname" : "Immunohistochemistry (Formalin/PFA-fixed paraffin-embedded sections)", "shortname":"IHC-P"}, "ICCIF" : {"fullname" : "Immunocytochemistry/ Immunofluorescence", "shortname":"ICC/IF"}, "FlowCytIntra" : {"fullname" : "Flow Cytometry (Intracellular)", "shortname":"Flow Cyt (Intra)"}, "IP" : {"fullname" : "Immunoprecipitation", "shortname":"IP"} }, "product-promise": { "all": "all", "testedAndGuaranteed": "tested", "guaranteed": "expected", "predicted": "predicted", "notRecommended": "not-recommended" } }, "values": { "Human": { "WB-species-checked": "testedAndGuaranteed", "WB-species-dilution-info": "", "WB-species-notes": "<p></p>", "IHCP-species-checked": "notRecommended", "IHCP-species-dilution-info": "", "IHCP-species-notes": "<p></p>", "ICCIF-species-checked": "notRecommended", "ICCIF-species-dilution-info": "", "ICCIF-species-notes": "<p></p>", "FlowCytIntra-species-checked": "notRecommended", "FlowCytIntra-species-dilution-info": "", "FlowCytIntra-species-notes": "<p></p>", "IP-species-checked": "notRecommended", "IP-species-dilution-info": "", "IP-species-notes": "<p></p>" }, "Mouse": { "WB-species-checked": "testedAndGuaranteed", "WB-species-dilution-info": "", "WB-species-notes": "<p></p>", "IHCP-species-checked": "notRecommended", "IHCP-species-dilution-info": "", "IHCP-species-notes": "<p></p>", "ICCIF-species-checked": "notRecommended", "ICCIF-species-dilution-info": "", "ICCIF-species-notes": "<p></p>", "FlowCytIntra-species-checked": "notRecommended", "FlowCytIntra-species-dilution-info": "", "FlowCytIntra-species-notes": "<p></p>", "IP-species-checked": "notRecommended", "IP-species-dilution-info": "", "IP-species-notes": "<p></p>" }, "Rat": { "WB-species-checked": "testedAndGuaranteed", "WB-species-dilution-info": "", "WB-species-notes": "<p></p>", "IHCP-species-checked": "notRecommended", "IHCP-species-dilution-info": "", "IHCP-species-notes": "<p></p>", "ICCIF-species-checked": "notRecommended", "ICCIF-species-dilution-info": "", "ICCIF-species-notes": "", "FlowCytIntra-species-checked": "notRecommended", "FlowCytIntra-species-dilution-info": "", "FlowCytIntra-species-notes": "", "IP-species-checked": "notRecommended", "IP-species-dilution-info": "", "IP-species-notes": "" } } }

Product details

Patented technology
Our RabMAb® technology is a patented hybridoma-based technology for making rabbit monoclonal antibodies. For details on our patents, please refer to RabMAb® patents.

What are the advantages of a recombinant monoclonal antibody?
This product is a recombinant monoclonal antibody, which offers several advantages including:

  • - High batch-to-batch consistency and reproducibility
  • - Improved sensitivity and specificity
  • - Long-term security of supply
  • - Animal-free batch production

For more information, read more on recombinant antibodies.

Conjugation ready
Our carrier-free antibodies are typically supplied in a PBS-only formulation, purified and free of BSA, sodium azide and glycerol. This conjugation-ready format is designed for use with fluorochromes, metal isotopes, oligonucleotides, and enzymes, which makes them ideal for antibody labelling, functional and cell-based assays, flow-based assays (e.g. mass cytometry) and Multiplex Imaging applications.

Use our conjugation kits for antibody conjugates that are ready-to-use in as little as 20 minutes with 1 minute hands-on-time and 100% antibody recovery: available for fluorescent dyes, HRP, biotin and gold.

Compatibility
This product is compatible with the Maxpar® Antibody Labeling Kit from Fluidigm, without the need for antibody preparation. Maxpar® is a trademark of Fluidigm Canada Inc.

Properties and storage information

Form
Liquid
Purification technique
Affinity purification Protein A
Storage buffer
pH: 7.2 - 7.4 Constituents: PBS
Shipped at conditions
Blue Ice
Appropriate short-term storage conditions
+4°C
Appropriate long-term storage conditions
+4°C

Supplementary information

This supplementary information is collated from multiple sources and compiled automatically.

SCAP also known as SREBP cleavage-activating protein is an important player in lipid homeostasis. SCAP has a molecular mass of approximately 150 kDa. It locates in the endoplasmic reticulum and Golgi apparatus within cells. The protein facilitates the movement of sterol regulatory element-binding proteins (SREBPs) from the endoplasmic reticulum to the Golgi. This action activates SREBPs by enabling their cleavage which is necessary for cholesterol and lipid synthesis regulation.
Biological function summary

SCAP acts as a cholesterol sensor when paired with SREBPs in a complex. The SCAP-SREBP complex remains inactive within the endoplasmic reticulum at high cholesterol concentrations. When cholesterol levels decrease SCAP aids in the transport of SREBPs to the Golgi apparatus. This transport triggers proteolytic activation of SREBPs which then migrate to the nucleus to promote gene expression for lipid metabolism.

Pathways

SCAP is instrumental in the cholesterol biosynthesis and lipid metabolic pathways. The protein interacts closely with SREBPs in these pathways to regulate lipid balance within cells. In particular SCAP's action is linked with the insulin signaling pathway aiding in the coordination of growth factor-mediated lipid synthesis. This highlights its importance in the control of lipid-related gene transcription together with proteins like Insig which anchor the SCAP-SREBP complex under high cholesterol levels.

SCAP plays a role in metabolic syndrome and cardiovascular diseases. Dysregulation of SCAP can lead to abnormal cholesterol levels contributing to atherosclerosis and other lipid disorders. The function of SCAP connects to proteins like HMG-CoA reductase in these conditions as it co-regulates the synthesis of cholesterol. Understanding SCAP's role in these diseases may open new therapeutic strategies for managing cholesterol-related disorders.

Product protocols

For this product, it's our understanding that no specific protocols are required. You can visit:

Target data

Escort protein required for cholesterol as well as lipid homeostasis (By similarity). Regulates export of the SCAP-SREBP complex from the endoplasmic reticulum to the Golgi upon low cholesterol, thereby regulating the processing of sterol regulatory element-binding proteins (SREBPs) SREBF1/SREBP1 and SREBF2/SREBP2 (PubMed : 26311497). At high sterol concentrations, formation of a ternary complex with INSIG (INSIG1 or INSIG2) leads to mask the ER export signal in SCAP, promoting retention of the complex in the endoplasmic reticulum (By similarity). Low sterol concentrations trigger release of INSIG, a conformational change in the SSD domain of SCAP, unmasking of the ER export signal, promoting recruitment into COPII-coated vesicles and transport of the SCAP-SREBP to the Golgi : in the Golgi, SREBPs are then processed, releasing the transcription factor fragment of SREBPs from the membrane, its import into the nucleus and up-regulation of LDLR, INSIG1 and the mevalonate pathway (PubMed : 26311497). Binds cholesterol via its SSD domain (By similarity).
See full target information SCAP

Product promise

We are committed to supporting your work with high-quality reagents, and we're here for you every step of the way. In the unlikely event that one of our products does not perform as expected, you're protected by our Product Promise.
For full details, please see our Terms & Conditions

Please note: All products are 'FOR RESEARCH USE ONLY. NOT FOR USE IN DIAGNOSTIC OR THERAPEUTIC PROCEDURES'.

For licensing inquiries, please contact partnerships@abcam.com