JavaScript is disabled in your browser. Please enable JavaScript to view this website.
AB300632

Anti-Scavenging Receptor SR-BI antibody [25/CLA-1]

Be the first to review this product! Submit a review

|

(0 Publication)

Mouse Recombinant Monoclonal Scavenging Receptor SR-BI antibody. Suitable for IHC-P, WB and reacts with Human samples.

View Alternative Names

CD36, CD36L1, CLA1, SCARB1, Scavenger receptor class B member 1, SRB1, CD36 and LIMPII analogous 1, CD36 antigen-like 1, SR-BI, CLA-1

6 Images
Immunohistochemistry - Anti-Scavenging Receptor SR-BI antibody [25/CLA-1] (AB300632)
  • IHC

Supplier Data

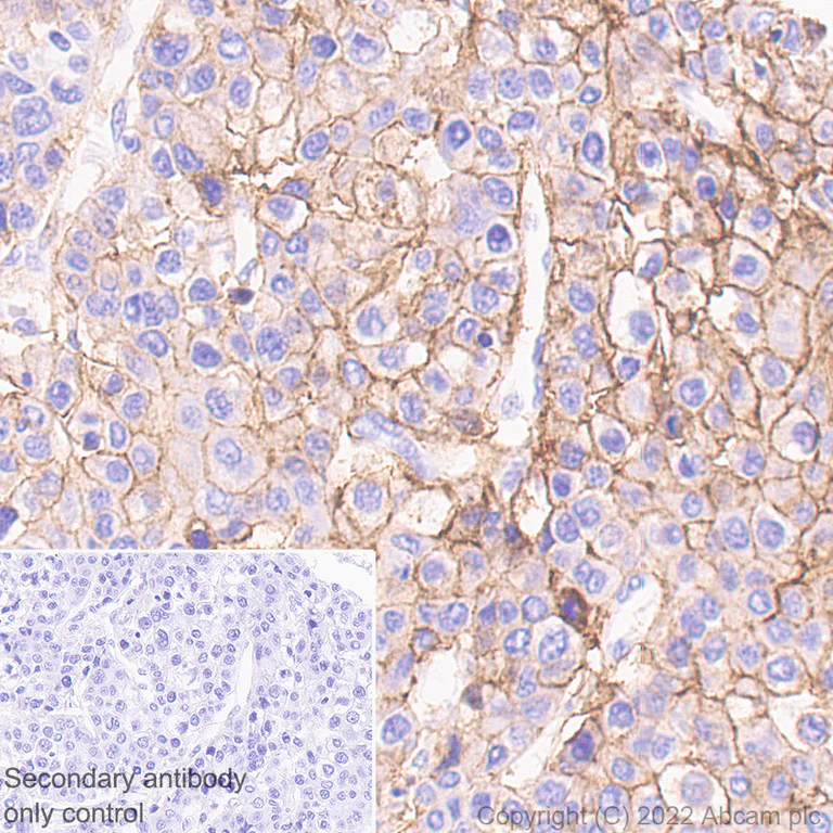
Immunohistochemistry - Anti-Scavenging Receptor SR-BI antibody [25/CLA-1] (AB300632)

Immunohistochemical analysis of paraffin-embedded Human hepatocellular tissue labeling Scavenging Receptor SR-BI with ab300632 at 1/1000 (1.01 µg/mL) followed by a LeicaDS9800 (Bond™ Polymer Refine Detection) was used at Ready to use dilution. Positive staining on human hepatocellular carcinoma. The section was incubated with abxxxxxx for 30mins at room temperature, followed by anti-mouse IgG1 antibody (ab125913) for 8 mins during the LeicaDS9800 kit staining procedure.The immunostaining was performed on a Leica Biosystems BOND® RX instrument Counterstained with Hematoxylin. Secondary antibody only control : Secondary antibody is LeicaDS9800 (Bond™ Polymer Refine Detection) was used at Ready to use dilution. Heat mediated antigen retrieval with Tris-EDTA buffer (pH 9.0, epitope retrieval solution2) for 20 mins

Immunohistochemistry - Anti-Scavenging Receptor SR-BI antibody [25/CLA-1] (AB300632)
  • IHC

Supplier Data

Immunohistochemistry - Anti-Scavenging Receptor SR-BI antibody [25/CLA-1] (AB300632)

Immunohistochemical analysis of paraffin-embedded Human cerebrum tissue labeling Scavenging Receptor SR-BI with ab300632 at 1/1000 (1.01 µg/mL) followed by a LeicaDS9800 (Bond™ Polymer Refine Detection) was used at Ready to use dilution. Positive staining on blood vessels of human cerebrum. The section was incubated with abxxxxxx for 30mins at room temperature, followed by anti-mouse IgG1 antibody (ab125913) for 8 mins during the LeicaDS9800 kit staining procedure.The immunostaining was performed on a Leica Biosystems BOND® RX instrument Counterstained with Hematoxylin. Secondary antibody only control : Secondary antibody is LeicaDS9800 (Bond™ Polymer Refine Detection) was used at Ready to use dilution. Heat mediated antigen retrieval with Tris-EDTA buffer (pH 9.0, epitope retrieval solution2) for 20 mins

Immunohistochemistry - Anti-Scavenging Receptor SR-BI antibody [25/CLA-1] (AB300632)
  • IHC

Supplier Data

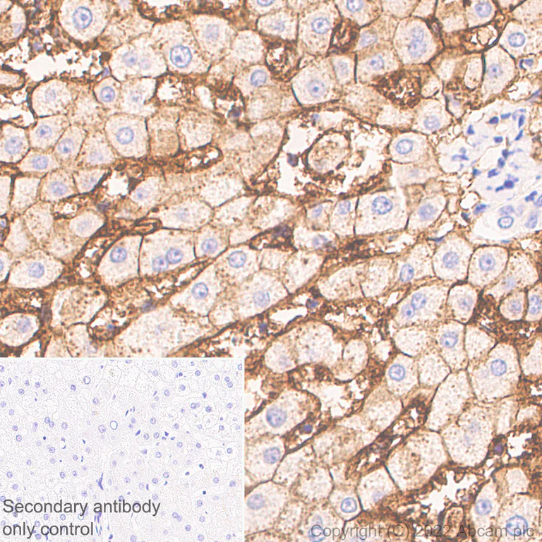
Immunohistochemistry - Anti-Scavenging Receptor SR-BI antibody [25/CLA-1] (AB300632)

Immunohistochemical analysis of paraffin-embedded Human liver tissue labeling Scavenging Receptor SR-BI with ab300632 at 1/1000 (1.01 µg/mL) followed by a LeicaDS9800 (Bond™ Polymer Refine Detection) was used at Ready to use dilution. Positive staining on human liver. The section was incubated with abxxxxxx for 30mins at room temperature, followed by anti-mouse IgG1 antibody (ab125913) for 8 mins during the LeicaDS9800 kit staining procedure.The immunostaining was performed on a Leica Biosystems BOND® RX instrument Counterstained with Hematoxylin. Secondary antibody only control : Secondary antibody is LeicaDS9800 (Bond™ Polymer Refine Detection) was used at Ready to use dilution. Heat mediated antigen retrieval with Tris-EDTA buffer (pH 9.0, epitope retrieval solution2) for 20 mins

Western blot - Anti-Scavenging Receptor SR-BI antibody [25/CLA-1] (AB300632)
  • WB

Lab

Western blot - Anti-Scavenging Receptor SR-BI antibody [25/CLA-1] (AB300632)

False colour image of Western blot : Anti-Scavenging Receptor SR-BI antibody [25/CLA-1] staining at 1/1000 dilution, shown in green; Rabbit Anti-GAPDH antibody [EPR16891] (ab181602) loading control staining at 1/20000 dilution, shown in red. In Western blot, ab300632 was shown to bind specifically to Scavenging Receptor SR-BI. A band was observed at 70 and 75 kDa in wild-type HEK-293T cell lysates with no signal observed at this size in SCARB1 knockout cell line ab282646. To generate this image, wild-type and SCARB1 knockout HEK-293T cell lysates were analysed. First, samples were run on an SDS-PAGE gel then transferred onto a nitrocellulose membrane. Membranes were blocked in 3 % milk in TBS-0.1 % Tween® 20 (TBS-T) before incubation with primary antibodies overnight at 4 °C. Blots were washed four times in TBS-T, incubated with secondary antibodies for 1 h at room temperature, washed again four times then imaged. Secondary antibodies used were Goat anti-Mouse IgG H&L (IRDye® 800CW) preabsorbed (ab216772) and Goat anti-Rabbit IgG H&L (IRDye® 680RD) preabsorbed (ab216777) at 1/20000 dilution.

All lanes:

Western blot - Anti-Scavenging Receptor SR-BI antibody [25/CLA-1] (ab300632) at 1/1000 dilution

Lane 1:

Wild-type HEK-293T cell lysate at 20 µg

Lane 2:

Western blot - Human SCARB1 knockout HEK-293T cell lysate (<a href='/en-us/products/cell-lysates/human-scarb1-knockout-hek-293t-cell-lysate-ab283046'>ab283046</a>)

Lane 2:

Western blot - Human SCARB1 knockout HEK-293T cell line (<a href='/en-us/products/cell-lines/human-scarb1-knockout-hek-293t-cell-line-ab282646'>ab282646</a>)

Lane 2:

SCARB1 knockout HEK-293T cell lysate at 20 µg

Lane 3:

Human Liver cell lysate at 20 µg

Secondary

Lanes 1 - 3:

Western blot - Goat Anti-Rabbit IgG H&L (IRDye® 680RD) preadsorbed (<a href='/en-us/products/secondary-antibodies/goat-rabbit-igg-h-l-irdye-680rd-preadsorbed-ab216777'>ab216777</a>) at 1/20000 dilution

Lanes 1 - 3:

Western blot - Goat anti-Mouse IgG H&L (IRDye® 800CW) preadsorbed (<a href='/en-us/products/secondary-antibodies/goat-mouse-igg-h-l-irdye-800cw-preadsorbed-ab216772'>ab216772</a>) at 1/20000 dilution

Predicted band size: 60 kDa

Observed band size: 70 kDa,75 kDa

false

Western blot - Anti-Scavenging Receptor SR-BI antibody [25/CLA-1] (AB300632)
  • WB

Supplier Data

Western blot - Anti-Scavenging Receptor SR-BI antibody [25/CLA-1] (AB300632)

All lanes:

Western blot - Anti-Scavenging Receptor SR-BI antibody [25/CLA-1] (ab300632) at 1/1000 dilution

Lane 1:

LNCaP (human prostate carcinoma epithelial cell), whole cell lysate at 10 µg

Lane 2:

PC-3 (human prostate adenocarcinoma epithelial cell), whole cell lysate at 10 µg

Lane 3:

Human liver tissue lysate at 10 µg

Secondary

All lanes:

Peroxidase-Conjugated Goat anti-Mouse IgG (H+L) at 1/10000 dilution

false

Western blot - Anti-Scavenging Receptor SR-BI antibody [25/CLA-1] (AB300632)
  • WB

Supplier Data

Western blot - Anti-Scavenging Receptor SR-BI antibody [25/CLA-1] (AB300632)

All lanes:

Western blot - Anti-Scavenging Receptor SR-BI antibody [25/CLA-1] (ab300632) at 1/1000 dilution

Lane 1:

Wild type HAP1, whole cell lysate at 20 µg

Lane 2:

SCARB1 knockout HAP1, whole cell lysate at 20 µg

Lane 3:

HepG2 (human hepatocellar carcinoma epithelial cell), whole cell lysate 20 at 20 µg

Lane 4:

HeLa (human cervix adenocarcinoma epithelial cell), whole cell lysate at 20 µg

Secondary

Lanes 1 - 4:

Western blot - Goat anti-Mouse IgG H&L (IRDye® 800CW) preadsorbed (<a href='/en-us/products/secondary-antibodies/goat-mouse-igg-h-l-irdye-800cw-preadsorbed-ab216772'>ab216772</a>) at 1/10000 dilution

Lanes 1 - 4:

Western blot - Goat Anti-Rabbit IgG H&L (IRDye® 680RD) preadsorbed (<a href='/en-us/products/secondary-antibodies/goat-rabbit-igg-h-l-irdye-680rd-preadsorbed-ab216777'>ab216777</a>) at 1/10000 dilution

false

  • Carrier free

    Anti-Scavenging Receptor SR-BI antibody [25/CLA-1] (BSA and Azide free)

Key facts

Host species

Mouse

Clonality

Monoclonal

Clone number

25/CLA-1 H1L1

Isotype

IgG1

Carrier free

No

Reacts with

Human

Applications

IHC-P, WB

applications

Immunogen

The exact immunogen used to generate this antibody is proprietary information.

Reactivity data

{ "title": "Reactivity Data", "filters": { "stats": ["", "Species", "Dilution Info", "Notes"], "tabs": { "all-applications": {"fullname" : "All Applications", "shortname": "All Applications"}, "IHCP" : {"fullname" : "Immunohistochemistry (Formalin/PFA-fixed paraffin-embedded sections)", "shortname":"IHC-P"}, "WB" : {"fullname" : "Western blot", "shortname":"WB"}, "ICCIF" : {"fullname" : "Immunocytochemistry/ Immunofluorescence", "shortname":"ICC/IF"} }, "product-promise": { "all": "all", "testedAndGuaranteed": "tested", "guaranteed": "expected", "predicted": "predicted", "notRecommended": "not-recommended" } }, "values": { "Human": { "IHCP-species-checked": "testedAndGuaranteed", "IHCP-species-dilution-info": "1/1000", "IHCP-species-notes": "<p></p> Perform heat-mediated antigen retrieval with Tris/EDTA buffer pH 9.0 before commencing with IHC staining protocol.", "WB-species-checked": "testedAndGuaranteed", "WB-species-dilution-info": "1/1000", "WB-species-notes": "<p></p>", "ICCIF-species-checked": "notRecommended", "ICCIF-species-dilution-info": "", "ICCIF-species-notes": "<p></p>" }, "Mouse": { "IHCP-species-checked": "notRecommended", "IHCP-species-dilution-info": "1/1000", "IHCP-species-notes": "<p></p> Perform heat-mediated antigen retrieval with Tris/EDTA buffer pH 9.0 before commencing with IHC staining protocol.", "WB-species-checked": "notRecommended", "WB-species-dilution-info": "1/1000", "WB-species-notes": "<p></p>", "ICCIF-species-checked": "notRecommended", "ICCIF-species-dilution-info": "", "ICCIF-species-notes": "" }, "Rat": { "IHCP-species-checked": "notRecommended", "IHCP-species-dilution-info": "1/1000", "IHCP-species-notes": "<p></p> Perform heat-mediated antigen retrieval with Tris/EDTA buffer pH 9.0 before commencing with IHC staining protocol.", "WB-species-checked": "notRecommended", "WB-species-dilution-info": "1/1000", "WB-species-notes": "<p></p>", "ICCIF-species-checked": "notRecommended", "ICCIF-species-dilution-info": "", "ICCIF-species-notes": "" } } }

Product details

What are the advantages of a recombinant monoclonal antibody?
This product is a recombinant monoclonal antibody, which offers several advantages including:

  • - High batch-to-batch consistency and reproducibility
  • - Improved sensitivity and specificity
  • - Long-term security of supply
  • - Animal-free batch production

For more information, read more on recombinant antibodies.

Want a custom formulation?
This antibody clone is manufactured by Abcam. If you require a custom buffer formulation or conjugation for your experiments, please contact orders@abcam.com

Properties and storage information

Form
Liquid
Purification technique
Affinity purification Protein A
Storage buffer
pH: 7.2 - 7.4 Preservative: 0.01% Sodium azide Constituents: PBS, 40% Glycerol (glycerin, glycerine), 0.05% BSA
Shipped at conditions
Blue Ice
Appropriate short-term storage duration
1-2 weeks
Appropriate short-term storage conditions
+4°C
Appropriate long-term storage conditions
-20°C
Aliquoting information
Upon delivery aliquot
Storage information
Avoid freeze / thaw cycle

Supplementary information

This supplementary information is collated from multiple sources and compiled automatically.

Scavenging Receptor Class B Type 1 (SR-BI) also known as CLA-1 in humans is a membrane protein involved in the selective uptake of lipids. This protein has a molecular mass of approximately 82 kDa and is primarily expressed in the liver and non-placental tissues such as adrenal glands and ovaries. SR-BI mediates the transfer of cholesterol esters from high-density lipoprotein (HDL) to cells while playing a role in reverse cholesterol transport. Its function is essential for maintaining cholesterol homeostasis.
Biological function summary

SR-BI contributes to lipid metabolism by influencing the dynamics of cholesterol and lipid circulation within the body. It forms part of the larger HDL receptor complex which facilitates the selective uptake of lipids without internalizing the entire lipoprotein. Through this mechanism SR-BI assists cells in acquiring necessary components for membrane synthesis and hormone production.

Pathways

SR-BI integrates into the cholesterol biosynthesis pathway and the reverse cholesterol transport pathway. In these pathways SR-BI works closely with proteins like ATP-binding cassette transporter A1 (ABCA1) and lecithin-cholesterol acyltransferase (LCAT). These interactions promote the efflux and transport of cholesterol therefore playing a vital role in lipid regulation and metabolic processes.

SR-BI's malfunction can lead to cardiovascular diseases due to its role in cholesterol metabolism. Elevated levels of HDL cholesterol without functional SR-BI impair reverse cholesterol transport potentially leading to atherosclerosis. Moreover SR-BI interacts with apolipoprotein A-I (apoA-I) a major protein component of HDL impacting its efficacy and connection to coronary artery disease. Understanding SR-BI pathways and their interactions can provide insights into therapeutic strategies for treating cholesterol-related disorders.

Product protocols

For this product, it's our understanding that no specific protocols are required. You can visit:

Target data

Receptor for different ligands such as phospholipids, cholesterol ester, lipoproteins, phosphatidylserine and apoptotic cells (PubMed : 12016218, PubMed : 12519372, PubMed : 21226579). Receptor for HDL, mediating selective uptake of cholesteryl ether and HDL-dependent cholesterol efflux (PubMed : 26965621). Also facilitates the flux of free and esterified cholesterol between the cell surface and apoB-containing lipoproteins and modified lipoproteins, although less efficiently than HDL. May be involved in the phagocytosis of apoptotic cells, via its phosphatidylserine binding activity (PubMed : 12016218).. (Microbial infection) Acts as a receptor for hepatitis C virus in hepatocytes and appears to facilitate its cell entry (PubMed : 12356718, PubMed : 12913001, PubMed : 18000990). Binding between SCARB1 and the hepatitis C virus glycoprotein E2 is independent of the genotype of the viral isolate (PubMed : 12356718).. (Microbial infection) Mediates uptake of M.fortuitum, E.coli and S.aureus.. (Microbial infection) Facilitates the entry of human coronavirus SARS-CoV-2 by acting as an entry cofactor through HDL binding.
See full target information SCARB1

Product promise

We are committed to supporting your work with high-quality reagents, and we're here for you every step of the way. In the unlikely event that one of our products does not perform as expected, you're protected by our Product Promise.
For full details, please see our Terms & Conditions

Please note: All products are 'FOR RESEARCH USE ONLY. NOT FOR USE IN DIAGNOSTIC OR THERAPEUTIC PROCEDURES'.

For licensing inquiries, please contact partnerships@abcam.com