JavaScript is disabled in your browser. Please enable JavaScript to view this website.
AB106572

Anti-Scavenging Receptor SR-BI antibody

Be the first to review this product! Submit a review

|

(9 Publications)

Rabbit Polyclonal Scavenging Receptor SR-BI antibody. Suitable for WB, IHC-P, ICC/IF and reacts with Human samples. Cited in 9 publications. Immunogen corresponding to Synthetic Peptide within Human SCARB1.

View Alternative Names

CD36, CD36L1, CLA1, SCARB1, Scavenger receptor class B member 1, SRB1, CD36 and LIMPII analogous 1, CD36 antigen-like 1, SR-BI, CLA-1

3 Images
Immunocytochemistry/ Immunofluorescence - Anti-Scavenging Receptor SR-BI antibody (AB106572)
  • ICC/IF

Unknown

Immunocytochemistry/ Immunofluorescence - Anti-Scavenging Receptor SR-BI antibody (AB106572)

Immunofluorescence of SCARB1 in Human Spleen cells using ab106572 at 20 ug/ml.

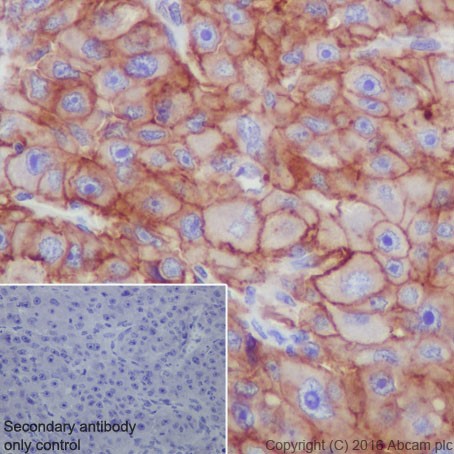
Immunohistochemistry (Formalin/PFA-fixed paraffin-embedded sections) - Anti-Scavenging Receptor SR-BI antibody (AB106572)
  • IHC-P

Unknown

Immunohistochemistry (Formalin/PFA-fixed paraffin-embedded sections) - Anti-Scavenging Receptor SR-BI antibody (AB106572)

Immunohistochemical analysis of Scavenging Receptor SR-BI in paraffin embedded Human spleen tissue sections, using ab106572 at 2.5 μg/ml.

Western blot - Anti-Scavenging Receptor SR-BI antibody (AB106572)
  • WB

Unknown

Western blot - Anti-Scavenging Receptor SR-BI antibody (AB106572)

Lane 1:

Western blot - Anti-Scavenging Receptor SR-BI antibody (ab106572) at 1 µg/mL

Lane 2:

Western blot - Anti-Scavenging Receptor SR-BI antibody (ab106572) at 2 µg/mL

All lanes:

Human spleen tissue lysate at 15 µg

Predicted band size: 60 kDa

false

Key facts

Host species

Rabbit

Clonality

Polyclonal

Isotype

IgG

Carrier free

No

Reacts with

Human

Applications

ICC/IF, IHC-P, WB

applications

Immunogen

Synthetic Peptide within Human SCARB1. The exact immunogen used to generate this antibody is proprietary information.

Q8WTV0

Reactivity data

{ "title": "Reactivity Data", "filters": { "stats": ["", "Species", "Dilution Info", "Notes"], "tabs": { "all-applications": {"fullname" : "All Applications", "shortname": "All Applications"}, "WB" : {"fullname" : "Western blot", "shortname":"WB"}, "IHCP" : {"fullname" : "Immunohistochemistry (Formalin/PFA-fixed paraffin-embedded sections)", "shortname":"IHC-P"}, "ICCIF" : {"fullname" : "Immunocytochemistry/ Immunofluorescence", "shortname":"ICC/IF"} }, "product-promise": { "all": "all", "testedAndGuaranteed": "tested", "guaranteed": "expected", "predicted": "predicted", "notRecommended": "not-recommended" } }, "values": { "Human": { "WB-species-checked": "testedAndGuaranteed", "WB-species-dilution-info": "1-2 µg/mL", "WB-species-notes": "<p></p>", "IHCP-species-checked": "testedAndGuaranteed", "IHCP-species-dilution-info": "2.5 µg/mL", "IHCP-species-notes": "<p></p>", "ICCIF-species-checked": "testedAndGuaranteed", "ICCIF-species-dilution-info": "20 µg/mL", "ICCIF-species-notes": "<p></p>" } } }

Properties and storage information

Form
Liquid
Purification technique
Affinity purification Immunogen
Storage buffer
pH: 7.2 Preservative: 0.02% Sodium azide Constituents: PBS
Shipped at conditions
Blue Ice
Appropriate short-term storage duration
Up to 12 months
Appropriate short-term storage conditions
+4°C
Appropriate long-term storage conditions
-20°C

Supplementary information

This supplementary information is collated from multiple sources and compiled automatically.

Scavenging Receptor Class B Type 1 (SR-BI) also known as CLA-1 in humans is a membrane protein involved in the selective uptake of lipids. This protein has a molecular mass of approximately 82 kDa and is primarily expressed in the liver and non-placental tissues such as adrenal glands and ovaries. SR-BI mediates the transfer of cholesterol esters from high-density lipoprotein (HDL) to cells while playing a role in reverse cholesterol transport. Its function is essential for maintaining cholesterol homeostasis.
Biological function summary

SR-BI contributes to lipid metabolism by influencing the dynamics of cholesterol and lipid circulation within the body. It forms part of the larger HDL receptor complex which facilitates the selective uptake of lipids without internalizing the entire lipoprotein. Through this mechanism SR-BI assists cells in acquiring necessary components for membrane synthesis and hormone production.

Pathways

SR-BI integrates into the cholesterol biosynthesis pathway and the reverse cholesterol transport pathway. In these pathways SR-BI works closely with proteins like ATP-binding cassette transporter A1 (ABCA1) and lecithin-cholesterol acyltransferase (LCAT). These interactions promote the efflux and transport of cholesterol therefore playing a vital role in lipid regulation and metabolic processes.

SR-BI's malfunction can lead to cardiovascular diseases due to its role in cholesterol metabolism. Elevated levels of HDL cholesterol without functional SR-BI impair reverse cholesterol transport potentially leading to atherosclerosis. Moreover SR-BI interacts with apolipoprotein A-I (apoA-I) a major protein component of HDL impacting its efficacy and connection to coronary artery disease. Understanding SR-BI pathways and their interactions can provide insights into therapeutic strategies for treating cholesterol-related disorders.

Product protocols

For this product, it's our understanding that no specific protocols are required. You can visit:

Target data

Receptor for different ligands such as phospholipids, cholesterol ester, lipoproteins, phosphatidylserine and apoptotic cells (PubMed : 12016218, PubMed : 12519372, PubMed : 21226579). Receptor for HDL, mediating selective uptake of cholesteryl ether and HDL-dependent cholesterol efflux (PubMed : 26965621). Also facilitates the flux of free and esterified cholesterol between the cell surface and apoB-containing lipoproteins and modified lipoproteins, although less efficiently than HDL. May be involved in the phagocytosis of apoptotic cells, via its phosphatidylserine binding activity (PubMed : 12016218).. (Microbial infection) Acts as a receptor for hepatitis C virus in hepatocytes and appears to facilitate its cell entry (PubMed : 12356718, PubMed : 12913001, PubMed : 18000990). Binding between SCARB1 and the hepatitis C virus glycoprotein E2 is independent of the genotype of the viral isolate (PubMed : 12356718).. (Microbial infection) Mediates uptake of M.fortuitum, E.coli and S.aureus.. (Microbial infection) Facilitates the entry of human coronavirus SARS-CoV-2 by acting as an entry cofactor through HDL binding.
See full target information SCARB1

Publications (9)

Recent publications for all applications. Explore the full list and refine your search

Bioengineered 13:10258-10273 PubMed35435123

2022

CircRNA CTNNB1 (circCTNNB1) ameliorates cerebral ischemia/reperfusion injury by sponging miR-96-5p to up-regulate scavenger receptor class B type 1 (SRB1) expression.

Applications

Unspecified application

Species

Unspecified reactive species

Chun Chen,Xiaolong Chang,Shifei Zhang,Qi Zhao,Chunyan Lei

Foods (Basel, Switzerland) 10: PubMed34829135

2021

The Effects of Anthocyanin-Rich Bilberry Extract on Transintestinal Cholesterol Excretion.

Applications

Unspecified application

Species

Unspecified reactive species

Jimin Hong,Minji Kim,Bohkyung Kim

EMBO reports 21:e48692 PubMed32072744

2020

ABCA12 regulates insulin secretion from β-cells.

Applications

Unspecified application

Species

Unspecified reactive species

Gloria M Ursino,Ying Fu,Denny L Cottle,Nigora Mukhamedova,Lynelle K Jones,Hann Low,Ming Shen Tham,Wan Jun Gan,Natalie A Mellett,Partha P Das,Jacquelyn M Weir,Michael Ditiatkovski,Stacey Fynch,Peter Thorn,Helen E Thomas,Peter J Meikle,Helena C Parkington,Ian M Smyth,Dmitri Sviridov

Nutrition & metabolism 16:25 PubMed31049071

2019

Myricetin ameliorates atherosclerosis in the low-density-lipoprotein receptor knockout mice by suppression of cholesterol accumulation in macrophage foam cells.

Applications

Unspecified application

Species

Unspecified reactive species

Zhe Meng,Mengyu Wang,Junhui Xing,Yuzhou Liu,Haiyu Li

Molecular immunology 107:21-28 PubMed30639475

2019

ZAP70 deficiency promotes reverse cholesterol transport through MAPK/ERK pathway in Jurkat cell.

Applications

Unspecified application

Species

Unspecified reactive species

Jichen Liu,Kai Guo,Lu Hu,Tiantian Luo,Yusheng Ma,Yanan Zhang,Wenyan Lai,Zhigang Guo

Biomedicine & pharmacotherapy = Biomedecine & phar 102:271-277 PubMed29567540

2018

Silencing ZAP70 prevents HSP65-induced reverse cholesterol transport and NF-κB activation in T cells.

Applications

Unspecified application

Species

Unspecified reactive species

Jing Hu,Tiantian Luo,Dan Xi,Kai Guo,Lu Hu,Jinzhen Zhao,Si Chen,Zhigang Guo

Experimental and therapeutic medicine 12:4113-4120 PubMed28105139

2016

Baicalin promotes cholesterol efflux by regulating the expression of SR-BI in macrophages.

Applications

Unspecified application

Species

Unspecified reactive species

Renchao Yu,Yuexia Lv,Juanling Wang,Nana Pan,Rui Zhang,Xiaxia Wang,Haichu Yu,Lijuan Tan,Yunhe Zhao,Bo Li

Journal of immunology (Baltimore, Md. : 1950) 197:3861-3870 PubMed27742830

2016

Lck Inhibits Heat Shock Protein 65-Mediated Reverse Cholesterol Transport in T Cells.

Applications

Unspecified application

Species

Unspecified reactive species

Tiantian Luo,Jing Hu,Dan Xi,Haowei Xiong,Wenshuai He,Jichen Liu,Menghao Li,Hao Lu,Jinzhen Zhao,Wenyan Lai,Zhigang Guo

Virology journal 13:59 PubMed27044429

2016

A robust model of natural hepatitis C infection using hepatocyte-like cells derived from human induced pluripotent stem cells as a long-term host.

Applications

Unspecified application

Species

Unspecified reactive species

Khanit Sa-Ngiamsuntorn,Adisak Wongkajornsilp,Phetcharat Phanthong,Suparerk Borwornpinyo,Narisorn Kitiyanant,Wasun Chantratita,Suradej Hongeng
View all publications

Product promise

We are committed to supporting your work with high-quality reagents, and we're here for you every step of the way. In the unlikely event that one of our products does not perform as expected, you're protected by our Product Promise.
For full details, please see our Terms & Conditions

Please note: All products are 'FOR RESEARCH USE ONLY. NOT FOR USE IN DIAGNOSTIC OR THERAPEUTIC PROCEDURES'.

For licensing inquiries, please contact partnerships@abcam.com