JavaScript is disabled in your browser. Please enable JavaScript to view this website.
AB272003

Anti-Scavenging Receptor SR-BI antibody [EPR20190] - BSA and Azide free

Be the first to review this product! Submit a review

|

(0 Publication)

Rabbit Recombinant Monoclonal Scavenging Receptor SR-BI antibody. Carrier free. Suitable for IP, WB, IHC-P, ICC/IF and reacts with Human, Mouse, Rat samples.

View Alternative Names

CD36, CD36L1, CLA1, SCARB1, Scavenger receptor class B member 1, SRB1, CD36 and LIMPII analogous 1, CD36 antigen-like 1, SR-BI, CLA-1

9 Images
Immunocytochemistry/ Immunofluorescence - Anti-Scavenging Receptor SR-BI antibody [EPR20190] - BSA and Azide free (AB272003)
  • ICC/IF

Supplier Data

Immunocytochemistry/ Immunofluorescence - Anti-Scavenging Receptor SR-BI antibody [EPR20190] - BSA and Azide free (AB272003)

Immunofluorescent analysis of 100% methanol fixed HepG2 (Human liver hepatocellular carcinoma cell line) cells labeling Scavenging Receptor SR-BI with ab217318 at 1/100 dilution, followed by Goat anti-rabbit IgG (Alexa Fluor® 488) (ab150077) secondary antibody at 1/1000 dilution (green). Confocal image showing membranous staining on HepG2 cell line.

The nuclear counter stain is DAPI (blue). Tubulin is detected with ab195889 (Anti-alpha Tubulin antibody [DM1A] - Microtubule Marker (Alexa Fluor® 594)) at 1/200 dilution (red).

Secondary antibody only control : Used PBS instead of primary antibody, secondary antibody is Goat anti-rabbit IgG (Alexa Fluor® 488) (ab150077) at 1/1000 dilution.

This data was developed using the same antibody clone in a different buffer formulation containing PBS, BSA, glycerol, and sodium azide (ab217318).

Immunohistochemistry (Formalin/PFA-fixed paraffin-embedded sections) - Anti-Scavenging Receptor SR-BI antibody [EPR20190] - BSA and Azide free (AB272003)
  • IHC-P

Supplier Data

Immunohistochemistry (Formalin/PFA-fixed paraffin-embedded sections) - Anti-Scavenging Receptor SR-BI antibody [EPR20190] - BSA and Azide free (AB272003)

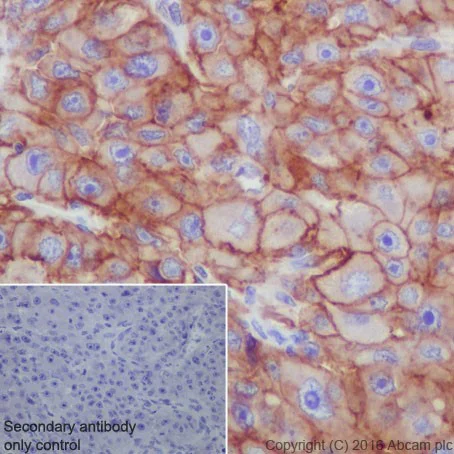
Immunohistochemical analysis of paraffin-embedded human hepatocellular carcinoma tissue labeling Scavenging Receptor SR-BI with ab217318 at 1/1000 dilution, followed by Goat Anti-Rabbit IgG H&L (HRP) Ready to use. Membranous staining on human hepatocellular carcinoma is observed. Counter stained with Hematoxylin.

Secondary antibody only control : Used PBS instead of primary antibody, secondary antibody is Goat Anti-Rabbit IgG H&L (HRP) Ready to use.

Perform heat mediated antigen retrieval with Tris/EDTA buffer pH 9.0 before commencing with IHC staining protocol.

This data was developed using the same antibody clone in a different buffer formulation containing PBS, BSA, glycerol, and sodium azide (ab217318).

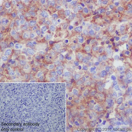
Immunohistochemistry (Formalin/PFA-fixed paraffin-embedded sections) - Anti-Scavenging Receptor SR-BI antibody [EPR20190] - BSA and Azide free (AB272003)
  • IHC-P

Supplier Data

Immunohistochemistry (Formalin/PFA-fixed paraffin-embedded sections) - Anti-Scavenging Receptor SR-BI antibody [EPR20190] - BSA and Azide free (AB272003)

Immunohistochemical analysis of paraffin-embedded human diffuse large B cell lymphoma tissue labeling Scavenging Receptor SR-BI with ab217318 at 1/1000 dilution, followed by Goat Anti-Rabbit IgG H&L (HRP) Ready to use. Membranous and cytoplasmic staining on human diffuse large B cell lymphoma is observed. Counter stained with Hematoxylin.

Secondary antibody only control : Used PBS instead of primary antibody, secondary antibody is Goat Anti-Rabbit IgG H&L (HRP) Ready to use.

Perform heat mediated antigen retrieval with Tris/EDTA buffer pH 9.0 before commencing with IHC staining protocol.

This data was developed using the same antibody clone in a different buffer formulation containing PBS, BSA, glycerol, and sodium azide (ab217318).

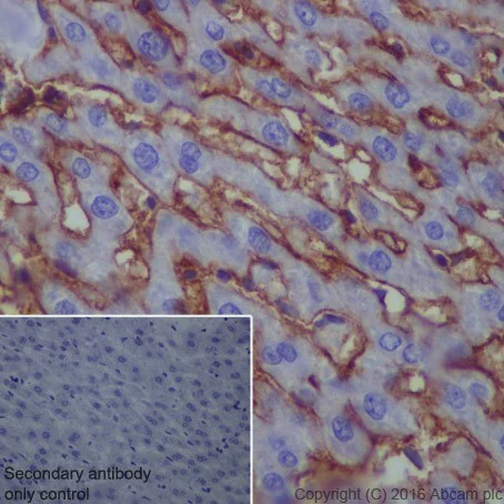
Immunohistochemistry (Formalin/PFA-fixed paraffin-embedded sections) - Anti-Scavenging Receptor SR-BI antibody [EPR20190] - BSA and Azide free (AB272003)
  • IHC-P

Supplier Data

Immunohistochemistry (Formalin/PFA-fixed paraffin-embedded sections) - Anti-Scavenging Receptor SR-BI antibody [EPR20190] - BSA and Azide free (AB272003)

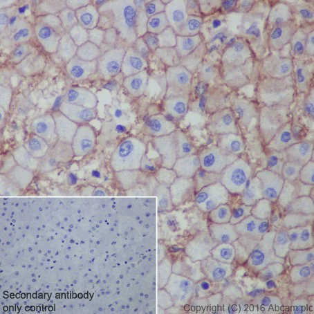
Immunohistochemical analysis of paraffin-embedded human liver tissue labeling Scavenging Receptor SR-BI with ab217318 at 1/1000 dilution, followed by Goat Anti-Rabbit IgG H&L (HRP) Ready to use. Membranous staining on human liver is observed. Counter stained with Hematoxylin.

Secondary antibody only control : Used PBS instead of primary antibody, secondary antibody is Goat Anti-Rabbit IgG H&L (HRP) Ready to use.

Perform heat mediated antigen retrieval with Tris/EDTA buffer pH 9.0 before commencing with IHC staining protocol.

This data was developed using the same antibody clone in a different buffer formulation containing PBS, BSA, glycerol, and sodium azide (ab217318).

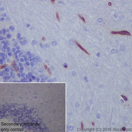
Immunohistochemistry (Formalin/PFA-fixed paraffin-embedded sections) - Anti-Scavenging Receptor SR-BI antibody [EPR20190] - BSA and Azide free (AB272003)
  • IHC-P

Supplier Data

Immunohistochemistry (Formalin/PFA-fixed paraffin-embedded sections) - Anti-Scavenging Receptor SR-BI antibody [EPR20190] - BSA and Azide free (AB272003)

Immunohistochemical analysis of paraffin-embedded rat cerebral cortex tissue labeling Scavenging Receptor SR-BI with ab217318 at 1/1000 dilution, followed by Goat Anti-Rabbit IgG H&L (HRP) Ready to use. Membranous and cytoplasmic staining on rat cerebral cortex blood vessel endothelium is observed. Counter stained with Hematoxylin.

Secondary antibody only control : Used PBS instead of primary antibody, secondary antibody is Goat Anti-Rabbit IgG H&L (HRP) Ready to use.

Perform heat mediated antigen retrieval with Tris/EDTA buffer pH 9.0 before commencing with IHC staining protocol.

This data was developed using the same antibody clone in a different buffer formulation containing PBS, BSA, glycerol, and sodium azide (ab217318).

Immunohistochemistry (Formalin/PFA-fixed paraffin-embedded sections) - Anti-Scavenging Receptor SR-BI antibody [EPR20190] - BSA and Azide free (AB272003)
  • IHC-P

Supplier Data

Immunohistochemistry (Formalin/PFA-fixed paraffin-embedded sections) - Anti-Scavenging Receptor SR-BI antibody [EPR20190] - BSA and Azide free (AB272003)

Immunohistochemical analysis of paraffin-embedded rat liver tissue labeling Scavenging Receptor SR-BI with ab217318 at 1/1000 dilution, followed by Goat Anti-Rabbit IgG H&L (HRP) Ready to use. Membranous and cytoplasmic staining on rat liver is observed. Counter stained with Hematoxylin.

Secondary antibody only control : Used PBS instead of primary antibody, secondary antibody is Goat Anti-Rabbit IgG H&L (HRP) Ready to use.

Perform heat mediated antigen retrieval with Tris/EDTA buffer pH 9.0 before commencing with IHC staining protocol.

This data was developed using the same antibody clone in a different buffer formulation containing PBS, BSA, glycerol, and sodium azide (ab217318).

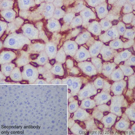
Immunohistochemistry (Formalin/PFA-fixed paraffin-embedded sections) - Anti-Scavenging Receptor SR-BI antibody [EPR20190] - BSA and Azide free (AB272003)
  • IHC-P

Supplier Data

Immunohistochemistry (Formalin/PFA-fixed paraffin-embedded sections) - Anti-Scavenging Receptor SR-BI antibody [EPR20190] - BSA and Azide free (AB272003)

Immunohistochemical analysis of paraffin-embedded mouse liver tissue labeling Scavenging Receptor SR-BI with ab217318 at 1/1000 dilution, followed by Goat Anti-Rabbit IgG H&L (HRP) Ready to use. Membranous staining on mouse liver is observed. Counter stained with Hematoxylin.

Secondary antibody only control : Used PBS instead of primary antibody, secondary antibody is Goat Anti-Rabbit IgG H&L (HRP) Ready to use.

Perform heat mediated antigen retrieval with Tris/EDTA buffer pH 9.0 before commencing with IHC staining protocol.

This data was developed using the same antibody clone in a different buffer formulation containing PBS, BSA, glycerol, and sodium azide (ab217318).

Immunoprecipitation - Anti-Scavenging Receptor SR-BI antibody [EPR20190] - BSA and Azide free (AB272003)
  • IP

Supplier Data

Immunoprecipitation - Anti-Scavenging Receptor SR-BI antibody [EPR20190] - BSA and Azide free (AB272003)

Scavenging Receptor SR-BI was immunoprecipitated from 0.35 mg of human fetal liver lysate with ab217318 at 1/30 dilution. Western blot was performed from the immunoprecipitate using ab217318 at 1/1000 dilution. VeriBlot for IP Detection Reagent (HRP) (ab131366), was used for detection at 1/10000 dilution.

Lane 1 : Human fetal liver lysate, 10 μg (Input).

Lane 2 : ab217318 IP in human fetal liver lysate.

Lane 3 : Rabbit monoclonal IgG (ab172730) instead of ab217318 in human fetal liver lysate.

Blocking and dilution buffer and concentration : 5% NFDM/TBST.

Exposure time : 30 seconds.

This data was developed using the same antibody clone in a different buffer formulation containing PBS, BSA, glycerol, and sodium azide (ab217318).

All lanes:

Immunoprecipitation - Anti-Scavenging Receptor SR-BI antibody [EPR20190] (<a href='/en-us/products/primary-antibodies/scavenging-receptor-sr-bi-antibody-epr20190-ab217318'>ab217318</a>)

Predicted band size: 60 kDa

Observed band size: 82 kDa

false

Western blot - Anti-Scavenging Receptor SR-BI antibody [EPR20190] - BSA and Azide free (AB272003)
  • WB

Lab

Western blot - Anti-Scavenging Receptor SR-BI antibody [EPR20190] - BSA and Azide free (AB272003)

False colour image of Western blot : Anti-Scavenging Receptor SR-BI antibody [EPR20190] staining at 1/2000 dilution, shown in green; Mouse anti-GAPDH antibody [6C5] (ab8245) loading control staining at 1/20000 dilution, shown in red. In Western blot, ab217318 was shown to bind specifically to Scavenging Receptor SR-BI. A band was observed at 70/75 kDa in wild-type HEK-293T cell lysates with no signal observed at this size in SCARB1 knockout cell line ab282646 (knockout cell lysate ab283046). To generate this image, wild-type and SCARB1 knockout HEK-293T cell lysates were analysed. First, samples were run on an SDS-PAGE gel then transferred onto a nitrocellulose membrane. Membranes were blocked in 3 % milk in TBS-0.1 % Tween® 20 (TBS-T) before incubation with primary antibodies overnight at 4 °C. Blots were washed four times in TBS-T, incubated with secondary antibodies for 1 h at room temperature, washed again four times then imaged. Secondary antibodies used were Goat anti-Rabbit IgG H&L (IRDye® 800CW) preabsorbed (ab216773) and Goat anti-Mouse IgG H&L (IRDye® 680RD) preabsorbed (ab216776) at 1/20000 dilution.

This data was developed using the same antibody clone in a different buffer formulation containing PBS, BSA, glycerol, and sodium azide (ab217318).

All lanes:

Western blot - Anti-Scavenging Receptor SR-BI antibody [EPR20190] (<a href='/en-us/products/primary-antibodies/scavenging-receptor-sr-bi-antibody-epr20190-ab217318'>ab217318</a>) at 1/2000 dilution

Lane 1:

Wild-type HEK-293T cell lysate at 20 µg

Lane 2:

SCARB1 knockout HEK-293T cell lysate at 20 µg

Lane 2:

Western blot - Human SCARB1 knockout HEK-293T cell line (<a href='/en-us/products/cell-lines/human-scarb1-knockout-hek-293t-cell-line-ab282646'>ab282646</a>)

Lane 3:

Human Liver cell lysate at 20 µg

Predicted band size: 60 kDa

Observed band size: 70 kDa,75 kDa

false

Key facts

Host species

Rabbit

Clonality

Monoclonal

Clone number

EPR20190

Isotype

IgG

Carrier free

Yes

Reacts with

Mouse, Rat, Human

Applications

WB, IP, ICC/IF, IHC-P

applications

Immunogen

The exact immunogen used to generate this antibody is proprietary information.

Reactivity data

{ "title": "Reactivity Data", "filters": { "stats": ["", "Species", "Dilution Info", "Notes"], "tabs": { "all-applications": {"fullname" : "All Applications", "shortname": "All Applications"}, "IP" : {"fullname" : "Immunoprecipitation", "shortname":"IP"}, "WB" : {"fullname" : "Western blot", "shortname":"WB"}, "IHCP" : {"fullname" : "Immunohistochemistry (Formalin/PFA-fixed paraffin-embedded sections)", "shortname":"IHC-P"}, "ICCIF" : {"fullname" : "Immunocytochemistry/ Immunofluorescence", "shortname":"ICC/IF"} }, "product-promise": { "all": "all", "testedAndGuaranteed": "tested", "guaranteed": "expected", "predicted": "predicted", "notRecommended": "not-recommended" } }, "values": { "Human": { "IP-species-checked": "testedAndGuaranteed", "IP-species-dilution-info": "", "IP-species-notes": "<p></p>", "WB-species-checked": "testedAndGuaranteed", "WB-species-dilution-info": "", "WB-species-notes": "<p></p>", "IHCP-species-checked": "testedAndGuaranteed", "IHCP-species-dilution-info": "", "IHCP-species-notes": "<p></p>", "ICCIF-species-checked": "testedAndGuaranteed", "ICCIF-species-dilution-info": "", "ICCIF-species-notes": "<p></p>" }, "Mouse": { "IP-species-checked": "guaranteed", "IP-species-dilution-info": "", "IP-species-notes": "", "WB-species-checked": "testedAndGuaranteed", "WB-species-dilution-info": "", "WB-species-notes": "<p></p>", "IHCP-species-checked": "testedAndGuaranteed", "IHCP-species-dilution-info": "", "IHCP-species-notes": "<p></p>", "ICCIF-species-checked": "guaranteed", "ICCIF-species-dilution-info": "", "ICCIF-species-notes": "" }, "Rat": { "IP-species-checked": "guaranteed", "IP-species-dilution-info": "", "IP-species-notes": "", "WB-species-checked": "testedAndGuaranteed", "WB-species-dilution-info": "", "WB-species-notes": "<p></p>", "IHCP-species-checked": "testedAndGuaranteed", "IHCP-species-dilution-info": "", "IHCP-species-notes": "<p></p>", "ICCIF-species-checked": "guaranteed", "ICCIF-species-dilution-info": "", "ICCIF-species-notes": "" } } }

Product details

ab272003 is the carrier-free version of ab217318.

Patented technology
Our RabMAb® technology is a patented hybridoma-based technology for making rabbit monoclonal antibodies. For details on our patents, please refer to RabMAb® patents.

What are the advantages of a recombinant monoclonal antibody?
This product is a recombinant monoclonal antibody, which offers several advantages including:

  • - High batch-to-batch consistency and reproducibility
  • - Improved sensitivity and specificity
  • - Long-term security of supply
  • - Animal-free batch production

For more information, read more on recombinant antibodies.

Conjugation ready
Our carrier-free antibodies are typically supplied in a PBS-only formulation, purified and free of BSA, sodium azide and glycerol. This conjugation-ready format is designed for use with fluorochromes, metal isotopes, oligonucleotides, and enzymes, which makes them ideal for antibody labelling, functional and cell-based assays, flow-based assays (e.g. mass cytometry) and Multiplex Imaging applications.

Use our conjugation kits for antibody conjugates that are ready-to-use in as little as 20 minutes with 1 minute hands-on-time and 100% antibody recovery: available for fluorescent dyes, HRP, biotin and gold.

Compatibility
This product is compatible with the Maxpar® Antibody Labeling Kit from Fluidigm, without the need for antibody preparation. Maxpar® is a trademark of Fluidigm Canada Inc.

Properties and storage information

Form
Liquid
Purification technique
Affinity purification Protein A
Storage buffer
pH: 7.2 - 7.4 Constituents: PBS
Shipped at conditions
Blue Ice
Appropriate short-term storage conditions
+4°C
Appropriate long-term storage conditions
+4°C
Storage information
Do Not Freeze

Supplementary information

This supplementary information is collated from multiple sources and compiled automatically.

Scavenging Receptor Class B Type 1 (SR-BI) also known as CLA-1 in humans is a membrane protein involved in the selective uptake of lipids. This protein has a molecular mass of approximately 82 kDa and is primarily expressed in the liver and non-placental tissues such as adrenal glands and ovaries. SR-BI mediates the transfer of cholesterol esters from high-density lipoprotein (HDL) to cells while playing a role in reverse cholesterol transport. Its function is essential for maintaining cholesterol homeostasis.
Biological function summary

SR-BI contributes to lipid metabolism by influencing the dynamics of cholesterol and lipid circulation within the body. It forms part of the larger HDL receptor complex which facilitates the selective uptake of lipids without internalizing the entire lipoprotein. Through this mechanism SR-BI assists cells in acquiring necessary components for membrane synthesis and hormone production.

Pathways

SR-BI integrates into the cholesterol biosynthesis pathway and the reverse cholesterol transport pathway. In these pathways SR-BI works closely with proteins like ATP-binding cassette transporter A1 (ABCA1) and lecithin-cholesterol acyltransferase (LCAT). These interactions promote the efflux and transport of cholesterol therefore playing a vital role in lipid regulation and metabolic processes.

SR-BI's malfunction can lead to cardiovascular diseases due to its role in cholesterol metabolism. Elevated levels of HDL cholesterol without functional SR-BI impair reverse cholesterol transport potentially leading to atherosclerosis. Moreover SR-BI interacts with apolipoprotein A-I (apoA-I) a major protein component of HDL impacting its efficacy and connection to coronary artery disease. Understanding SR-BI pathways and their interactions can provide insights into therapeutic strategies for treating cholesterol-related disorders.

Product protocols

For this product, it's our understanding that no specific protocols are required. You can visit:

Target data

Receptor for different ligands such as phospholipids, cholesterol ester, lipoproteins, phosphatidylserine and apoptotic cells (PubMed : 12016218, PubMed : 12519372, PubMed : 21226579). Receptor for HDL, mediating selective uptake of cholesteryl ether and HDL-dependent cholesterol efflux (PubMed : 26965621). Also facilitates the flux of free and esterified cholesterol between the cell surface and apoB-containing lipoproteins and modified lipoproteins, although less efficiently than HDL. May be involved in the phagocytosis of apoptotic cells, via its phosphatidylserine binding activity (PubMed : 12016218).. (Microbial infection) Acts as a receptor for hepatitis C virus in hepatocytes and appears to facilitate its cell entry (PubMed : 12356718, PubMed : 12913001, PubMed : 18000990). Binding between SCARB1 and the hepatitis C virus glycoprotein E2 is independent of the genotype of the viral isolate (PubMed : 12356718).. (Microbial infection) Mediates uptake of M.fortuitum, E.coli and S.aureus.. (Microbial infection) Facilitates the entry of human coronavirus SARS-CoV-2 by acting as an entry cofactor through HDL binding.
See full target information SCARB1

Product promise

We are committed to supporting your work with high-quality reagents, and we're here for you every step of the way. In the unlikely event that one of our products does not perform as expected, you're protected by our Product Promise.
For full details, please see our Terms & Conditions

Please note: All products are 'FOR RESEARCH USE ONLY. NOT FOR USE IN DIAGNOSTIC OR THERAPEUTIC PROCEDURES'.

For licensing inquiries, please contact partnerships@abcam.com