JavaScript is disabled in your browser. Please enable JavaScript to view this website.
AB196651

Anti-Scavenging Receptor SRB2 antibody [EPR12081] - C-terminal

Be the first to review this product! Submit a review

|

(2 Publications)

Rabbit Recombinant Monoclonal LIMPII antibody. C-terminal. Suitable for WB, Flow Cyt (Intra), IHC-P, ICC/IF and reacts with Human, Mouse samples. Cited in 2 publications.

View Alternative Names

CD36, CD36L2, LIMP2, LIMPII, SCARB2, Lysosome membrane protein 2, 85 kDa lysosomal membrane sialoglycoprotein, CD36 antigen-like 2, Lysosome membrane protein II, Scavenger receptor class B member 2, LGP85, LIMP II

9 Images
Flow Cytometry (Intracellular) - Anti-Scavenging Receptor SRB2 antibody [EPR12081] - C-terminal (AB196651)
  • Flow Cyt (Intra)

Supplier Data

Flow Cytometry (Intracellular) - Anti-Scavenging Receptor SRB2 antibody [EPR12081] - C-terminal (AB196651)

Intracellular flow cytometric analysis of 2% paraformaldehyde-fixed MCF7 (Human breast adenocarcinoma cell line) cells labeling Scavenging Receptor SRB2 with ab196651 at 1/150 dilution (red) compared with a rabbit monoclonal IgG isotype control (black) and an unlabelled control (cells without incubation with primary antibody and secondary antibody; blue). Goat anti rabbit IgG (FITC) at 1/150 dilution was used as the secondary antibody.

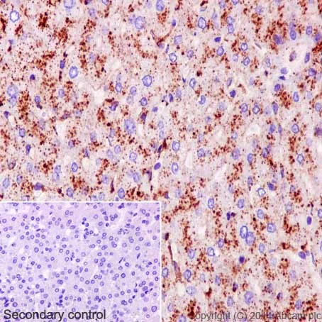
Immunohistochemistry (Formalin/PFA-fixed paraffin-embedded sections) - Anti-Scavenging Receptor SRB2 antibody [EPR12081] - C-terminal (AB196651)
  • IHC-P

Supplier Data

Immunohistochemistry (Formalin/PFA-fixed paraffin-embedded sections) - Anti-Scavenging Receptor SRB2 antibody [EPR12081] - C-terminal (AB196651)

Immunohistochemical analysis of paraffin-embedded Human liver tissue labeling Scavenging Receptor SRB2 with ab196651 at 1/500 dilution followed by Goat Anti-Rabbit IgG H&L (HRP) (ab97051) secondary antibody at 1/500 dilution. Cytoplasm staining on human liver tissue is observed. Counter stained with Hematoxylin. Heat mediated antigen retrieval was performed with Tris/EDTA buffer pH 9.0 before commencing with IHC staining protocol.

Negative control : Used PBS instead of primary antibody secondary antibody is Goat Anti-Rabbit IgG H&L (HRP) (ab97051) at 1/500 dilution.

Immunocytochemistry/ Immunofluorescence - Anti-Scavenging Receptor SRB2 antibody [EPR12081] - C-terminal (AB196651)
  • ICC/IF

Lab

Immunocytochemistry/ Immunofluorescence - Anti-Scavenging Receptor SRB2 antibody [EPR12081] - C-terminal (AB196651)

Immunofluorescent analysis of 100% methanol-fixed, 0.1% TritonX-100 permeabilized MCF7 (human breast adenocarcinoma epithelial cell) cells labelling Scavenging Receptor SRB2 with ab196651 at 1/100 dilution, followed by Goat Anti-Rabbit IgG H&L (Alexa Fluor® 488) preadsorbed (ab150081) secondary antibody at 1/1000 dilution.

Confocal image showing cytoplasmic staining in MCF7 cell line (shown in green). The counterstain was observed in magenta. Nuclear DNA was labelled with DAPI (shown in blue). Image was taken with a confocal microscope (Leica-Microsystems, TCS SP8).

ab195889 Anti-alpha Tubulin mouse monoclonal antibody - Microtubule Marker (Alexa Fluor® 594) was used to counterstain tubulin at 1/200 dilution (Magenta).

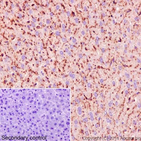
Immunohistochemistry (Formalin/PFA-fixed paraffin-embedded sections) - Anti-Scavenging Receptor SRB2 antibody [EPR12081] - C-terminal (AB196651)
  • IHC-P

Supplier Data

Immunohistochemistry (Formalin/PFA-fixed paraffin-embedded sections) - Anti-Scavenging Receptor SRB2 antibody [EPR12081] - C-terminal (AB196651)

Immunohistochemical analysis of paraffin-embedded Mouse liver tissue labeling Scavenging Receptor SRB2 with ab196651 at 1/500 dilution followed by Goat Anti-Rabbit IgG H&L (HRP) (ab97051) secondary antibody at 1/500 dilution. Cytoplasm staining on mouse liver tissue is observed. Counter stained with Hematoxylin. Heat mediated antigen retrieval was performed with Tris/EDTA buffer pH 9.0 before commencing with IHC staining protocol.

Negative control : Used PBS instead of primary antibody secondary antibody is Goat Anti-Rabbit IgG H&L (HRP) (ab97051) at 1/500 dilution.

Immunocytochemistry/ Immunofluorescence - Anti-Scavenging Receptor SRB2 antibody [EPR12081] - C-terminal (AB196651)
  • ICC/IF

Lab

Immunocytochemistry/ Immunofluorescence - Anti-Scavenging Receptor SRB2 antibody [EPR12081] - C-terminal (AB196651)

Immunofluorescent analysis of 100% methanol-fixed, 0.1% TritonX-100 permeabilized Neuro-2a (mouse neuroblastoma neuroblast) cells labelling Scavenging Receptor SRB2 with ab196651 at 1/100 dilution, followed by Goat Anti-Rabbit IgG H&L (Alexa Fluor® 488) preadsorbed (ab150081) secondary antibody at 1/1000 dilution.

Confocal image showing cytoplasmic staining in Neuro-2a cell line (shown in green). The counterstain was observed in magenta. Nuclear DNA was labelled with DAPI (shown in blue). Image was taken with a confocal microscope (Leica-Microsystems, TCS SP8).

ab195889 Anti-alpha Tubulin mouse monoclonal antibody - Microtubule Marker (Alexa Fluor® 594) was used to counterstain tubulin at 1/200 dilution (Magenta).

Western blot - Anti-Scavenging Receptor SRB2 antibody [EPR12081] - C-terminal (AB196651)
  • WB

Lab

Western blot - Anti-Scavenging Receptor SRB2 antibody [EPR12081] - C-terminal (AB196651)

ab196651 was shown to react with SCARB2 in wild-type MCF7 cells in Western blot with loss of signal observed in SCARB2 knockout cell line ab274952. Wild-type MCF7 and SCARB2 knockout cell lysates were subjected to SDS-PAGE. Membranes were blocked in 5% milk in TBST for 1 hr before incubation with ab196651 overnight at 4 °C at a 1/20000 dilution. Blots were incubated with secondary antibodies at 0.2 µg/mL before imaging.

This data was provided by YCharOS Inc., an open science company with the mission of characterizing commercially available antibody reagents for all human proteins. Abcam and YCharOS are working together to help address the reproducibility crisis by enabling the life science community to better evaluate commercially available antibodies.

All lanes:

Western blot - Anti-Scavenging Receptor SRB2 antibody [EPR12081] - C-terminal (ab196651) at 1/20000 dilution

Lane 1:

Wild-type MCF7 lysate at 30 µg

Lane 2:

SCARB2 knock-out MCF7 lysate at 30 µg

Lane 2:

Western blot - Human SCARB2 knockout MCF7 cell line (<a href='/en-us/products/cell-lines/human-scarb2-knockout-mcf7-cell-line-ab274952'>ab274952</a>) at 30 µg

false

Western blot - Anti-Scavenging Receptor SRB2 antibody [EPR12081] - C-terminal (AB196651)
  • WB

Supplier Data

Western blot - Anti-Scavenging Receptor SRB2 antibody [EPR12081] - C-terminal (AB196651)

Blocking/Dilution buffer : 5% NFDM/TBST.

The observed MW is consistent with what has been described in the literature (PMID : 21389126, PMID : 22272359 and PMID : 23635510).

All lanes:

Western blot - Anti-Scavenging Receptor SRB2 antibody [EPR12081] - C-terminal (ab196651) at 1/20000 dilution

All lanes:

Human fetal kidney tissue lysate at 10 µg

Secondary

All lanes:

Anti-Rabbit IgG (HRP), specific to the non-reduced form of IgG at 1/1000 dilution

Predicted band size: 54 kDa

Observed band size: 80 kDa

false

Western blot - Anti-Scavenging Receptor SRB2 antibody [EPR12081] - C-terminal (AB196651)
  • WB

Supplier Data

Western blot - Anti-Scavenging Receptor SRB2 antibody [EPR12081] - C-terminal (AB196651)

Blocking/Dilution buffer : 5% NFDM/TBST.

The observed MW is consistent with what has been described in the literature (PMID : 21389126, PMID : 22272359 and PMID : 23635510).

All lanes:

Western blot - Anti-Scavenging Receptor SRB2 antibody [EPR12081] - C-terminal (ab196651) at 1/20000 dilution

Lane 1:

MCF7 (Human breast adenocarcinoma cell line) whole cell lysate at 10 µg

Lane 2:

HeLa (Human epithelial cells from cervix adenocarcinoma) whole cell lysate at 10 µg

Secondary

All lanes:

Goat Anti-Rabbit IgG, (H+L), Peroxidase conjugated at 1/1000 dilution

Predicted band size: 54 kDa

Observed band size: 80 kDa

false

Western blot - Anti-Scavenging Receptor SRB2 antibody [EPR12081] - C-terminal (AB196651)
  • WB

Lab

Western blot - Anti-Scavenging Receptor SRB2 antibody [EPR12081] - C-terminal (AB196651)

False colour image of Western blot : Anti-Scavenging Receptor SRB2 antibody [EPR12081] - C-terminal staining at 1/20000 dilution, shown in green; Mouse anti-GAPDH antibody [6C5] (ab8245) loading control staining at 1/20000 dilution, shown in red. In Western blot, ab196651 was shown to bind specifically to Scavenging Receptor SRB2. A band was observed at 80 kDa in wild-type MCF7 cell lysates with no signal observed at this size in SCARB2 knockout cell line ab274952 (knockout cell lysate ab275010). To generate this image, wild-type and SCARB2 knockout MCF7 cell lysates were analysed. First, samples were run on an SDS-PAGE gel then transferred onto a nitrocellulose membrane. Membranes were blocked in 3 % milk in TBS-0.1 % Tween® 20 (TBS-T) before incubation with primary antibodies overnight at 4 °C. Blots were washed four times in TBS-T, incubated with secondary antibodies for 1 h at room temperature, washed again four times then imaged. Secondary antibodies used were Goat anti-Rabbit IgG H&L (IRDye® 800CW) preabsorbed (ab216773) and Goat anti-Mouse IgG H&L (IRDye® 680RD) preabsorbed (ab216776) at 1/20000 dilution.

All lanes:

Western blot - Anti-Scavenging Receptor SRB2 antibody [EPR12081] - C-terminal (ab196651) at 1/20000 dilution

Lane 1:

Wild-type MCF7 cell lysate at 20 µg

Lane 2:

SCARB2 knockout MCF7 cell lysate at 20 µg

Lane 2:

Western blot - Human SCARB2 knockout MCF7 cell line (<a href='/en-us/products/cell-lines/human-scarb2-knockout-mcf7-cell-line-ab274952'>ab274952</a>)

Predicted band size: 54 kDa

Observed band size: 80 kDa

false

Key facts

Host species

Rabbit

Clonality

Monoclonal

Clone number

EPR12081

Isotype

IgG

Carrier free

No

Reacts with

Mouse, Human

Applications

ICC/IF, IHC-P, Flow Cyt (Intra), WB

applications

Immunogen

The exact immunogen used to generate this antibody is proprietary information.

Reactivity data

{ "title": "Reactivity Data", "filters": { "stats": ["", "Species", "Dilution Info", "Notes"], "tabs": { "all-applications": {"fullname" : "All Applications", "shortname": "All Applications"}, "WB" : {"fullname" : "Western blot", "shortname":"WB"}, "FlowCytIntra" : {"fullname" : "Flow Cytometry (Intracellular)", "shortname":"Flow Cyt (Intra)"}, "IHCP" : {"fullname" : "Immunohistochemistry (Formalin/PFA-fixed paraffin-embedded sections)", "shortname":"IHC-P"}, "ICCIF" : {"fullname" : "Immunocytochemistry/ Immunofluorescence", "shortname":"ICC/IF"} }, "product-promise": { "all": "all", "testedAndGuaranteed": "tested", "guaranteed": "expected", "predicted": "predicted", "notRecommended": "not-recommended" } }, "values": { "Human": { "WB-species-checked": "testedAndGuaranteed", "WB-species-dilution-info": "1/20000", "WB-species-notes": "<p></p>", "FlowCytIntra-species-checked": "testedAndGuaranteed", "FlowCytIntra-species-dilution-info": "1/150", "FlowCytIntra-species-notes": "<p><a href='/en-us/products/primary-antibodies/rabbit-igg-monoclonal-epr25a-isotype-control-ab172730'>ab172730</a> - Rabbit monoclonal IgG, is suitable for use as an isotype control with this antibody.</p>", "IHCP-species-checked": "testedAndGuaranteed", "IHCP-species-dilution-info": "1/250 - 1/500", "IHCP-species-notes": "<p></p>", "ICCIF-species-checked": "testedAndGuaranteed", "ICCIF-species-dilution-info": "1/100", "ICCIF-species-notes": "<p></p>" }, "Mouse": { "WB-species-checked": "guaranteed", "WB-species-dilution-info": "", "WB-species-notes": "", "FlowCytIntra-species-checked": "guaranteed", "FlowCytIntra-species-dilution-info": "", "FlowCytIntra-species-notes": "", "IHCP-species-checked": "testedAndGuaranteed", "IHCP-species-dilution-info": "1/250 - 1/500", "IHCP-species-notes": "<p></p>", "ICCIF-species-checked": "testedAndGuaranteed", "ICCIF-species-dilution-info": "1/100", "ICCIF-species-notes": "<p></p>" }, "Rat": { "WB-species-checked": "predicted", "WB-species-dilution-info": "", "WB-species-notes": "", "FlowCytIntra-species-checked": "predicted", "FlowCytIntra-species-dilution-info": "", "FlowCytIntra-species-notes": "", "IHCP-species-checked": "predicted", "IHCP-species-dilution-info": "", "IHCP-species-notes": "", "ICCIF-species-checked": "predicted", "ICCIF-species-dilution-info": "", "ICCIF-species-notes": "" } } }

Product details

Patented technology
Our RabMAb® technology is a patented hybridoma-based technology for making rabbit monoclonal antibodies. For details on our patents, please refer to RabMAb® patents.

What are the advantages of a recombinant monoclonal antibody?
This product is a recombinant monoclonal antibody, which offers several advantages including:

  • - High batch-to-batch consistency and reproducibility
  • - Improved sensitivity and specificity
  • - Long-term security of supply
  • - Animal-free batch production

For more information, read more on recombinant antibodies.

Properties and storage information

Form
Liquid
Purification technique
Affinity purification Protein A
Storage buffer
pH: 7.2 - 7.4 Preservative: 0.01% Sodium azide Constituents: PBS, 40% Glycerol (glycerin, glycerine), 0.05% BSA
Shipped at conditions
Blue Ice
Appropriate short-term storage duration
1-2 weeks
Appropriate short-term storage conditions
+4°C
Appropriate long-term storage conditions
-20°C
Aliquoting information
Upon delivery aliquot
Storage information
Avoid freeze / thaw cycle

Supplementary information

This supplementary information is collated from multiple sources and compiled automatically.

Scavenging receptor SRB2 also known as CD36 is a transmembrane glycoprotein with a molecular mass of approximately 88 kDa. This receptor is widely expressed in various tissues including adipose tissue heart skeletal muscle and certain endothelial cells. It functions as a scavenger receptor by mediating the uptake of oxidized low-density lipoproteins (oxLDL) fatty acids and other ligands. CD36 is involved in several mechanisms such as lipid metabolism inflammation and cell adhesion due to its interaction with a variety of ligands and its presence on the cell surface.
Biological function summary

Scavenger receptor class B type 2 plays a significant role in the transport and metabolism of lipids. CD36 is not part of a higher-order complex but associates with integrins to mediate cell adhesion and signaling. It aids in the cellular uptake of long-chain fatty acids which is important for energy homeostasis. It also participates in the immune response by recognizing pathogens and facilitating their clearance. The receptor's ability to bind a diverse range of ligands marks it as an important player in maintaining cellular lipid balance and immune functions.

Pathways

Scavenger receptor SRB2 integrates into the fatty acid metabolism and inflammatory pathways. Within the fatty acid metabolism pathway it facilitates the uptake of fatty acids into cells working closely alongside proteins like FABP (fatty acid-binding proteins). In the context of inflammatory pathways SRB2 participates in the recognition and clearance of oxLDL influencing the activity of proteins such as TLR4 (Toll-like receptor 4) which are involved in the immune response. Through these pathways CD36 modulates critical cellular processes including lipid storage oxidation and inflammatory responses.

Scavenger receptor SRB2 has significant connections to atherosclerosis and type 2 diabetes. In atherosclerosis the receptor contributes to plaque formation by mediating the uptake of oxLDL a process linked with lipoprotein metabolism. Additionally CD36's role in fatty acid uptake and utilization associates it with insulin resistance making it relevant in the pathophysiology of type 2 diabetes. Interactions with other proteins such as PPARγ (peroxisome proliferator-activated receptor gamma) in these conditions highlight the receptor's part in lipid-induced inflammation and metabolic dysfunctions.

Product protocols

For this product, it's our understanding that no specific protocols are required. You can visit:

Target data

Acts as a lysosomal receptor for glucosylceramidase (GBA1) targeting.. (Microbial infection) Acts as a receptor for enterovirus 71.
See full target information SCARB2

Publications (2)

Recent publications for all applications. Explore the full list and refine your search

Chembiochem : a European journal of chemical biology 26:e202401084 PubMed40246689

2025

The Position of Indole Methylation Controls the Structure, DNA Binding, and Cellular Functions of Mithramycin SA-Trp Analogues.

Applications

Unspecified application

Species

Unspecified reactive species

Caixia Hou,Suhas Bhosale,Kazuto Yasuda,Rajesh Yetirajam,Markos Leggas,Jürgen Rohr,Oleg V Tsodikov

Science advances 5:eaau4255 PubMed30854425

2019

Type III interferon signaling restricts enterovirus 71 infection of goblet cells.

Applications

Unspecified application

Species

Unspecified reactive species

Charles Good,Alexandra I Wells,Carolyn B Coyne
View all publications

Product promise

We are committed to supporting your work with high-quality reagents, and we're here for you every step of the way. In the unlikely event that one of our products does not perform as expected, you're protected by our Product Promise.
For full details, please see our Terms & Conditions

Please note: All products are 'FOR RESEARCH USE ONLY. NOT FOR USE IN DIAGNOSTIC OR THERAPEUTIC PROCEDURES'.

For licensing inquiries, please contact partnerships@abcam.com