JavaScript is disabled in your browser. Please enable JavaScript to view this website.
AB236868

Anti-SCD1 antibody [EPR21963]

  • KO Validated
  • RabMAb
  • Recombinant
  • 20ul selling size
  • What is this?

Be the first to review this product! Submit a review

|

(52 Publications)

Anti-SCD1 antibody [EPR21963] (ab236868) is a rabbit monoclonal antibody detecting SCD1 in Western Blot, Flow Cytometry (Intra), Flow Cytometry, IP, IHC-P, ICC/IF. Suitable for Human, Mouse, Rat.

- KO validated for confirmed specificity
- Biophysical QC for unrivalled batch-batch consistency
- Over 20 publications

View Alternative Names

FADS5, SCD1, SCDOS, SCD, Stearoyl-CoA desaturase, hSCD1, Acyl-CoA desaturase, Delta(9)-desaturase, Fatty acid desaturase, Delta-9 desaturase

12 Images
Immunocytochemistry/ Immunofluorescence - Anti-SCD1 antibody [EPR21963] (AB236868)
  • ICC/IF

Supplier Data

Immunocytochemistry/ Immunofluorescence - Anti-SCD1 antibody [EPR21963] (AB236868)

Immunofluorescent analysis of 4% paraformaldehyde-fixed, 0.1% Triton X-100 permeabilized HepG2 (Human hepatocellular carcinoma epithelial cell) cells labeling SCD1 with ab236868 at 1/100 dilution, followed by ab150077 AlexaFluor®488 Goat anti-Rabbit secondary antibody at 1/1000 dilution (Green). Confocal image showing cytoplasmic staining in HepG2 cell line. Counterstained with ab195889 Anti-alpha Tubulin antibody [DM1A] - Microtubule Marker (Alexa Fluor® 594) at 1/200 dilution. Nuclear counterstain is DAPI.

Secondary antibody only control : Used PBS instead of primary antibody, secondary antibody is ab150077 AlexaFluor®488 Goat anti-Rabbit secondary at 1/1000 dilution.

Flow Cytometry (Intracellular) - Anti-SCD1 antibody [EPR21963] (AB236868)
  • Flow Cyt (Intra)

Supplier Data

Flow Cytometry (Intracellular) - Anti-SCD1 antibody [EPR21963] (AB236868)

Intracellular flow cytometric analysis of 4% paraformaldehyde-fixed, 90% methanol permeabilized HepG2 (Human hepatocellular carcinoma epithelial cell) cell line labeling SCD1 with ab236868 at 1/500 dilution (Red) compared with a Rabbit monoclonal IgG (ab172730) (Black) isotype control and an unlabeled control (cells without incubation with primary antibody and secondary antibody) (Blue). Goat anti rabbit IgG (Alexa Fluor® 488, ab150077) at 1/2000 was used as the secondary antibody.

Immunocytochemistry/ Immunofluorescence - Anti-SCD1 antibody [EPR21963] (AB236868)
  • ICC/IF

Supplier Data

Immunocytochemistry/ Immunofluorescence - Anti-SCD1 antibody [EPR21963] (AB236868)

Immunofluorescent analysis of 4% paraformaldehyde-fixed, 0.1% Triton X-100 permeabilized SK-MEL-28 (Human malignant melanoma) cells labeling SCD1 with ab236868 at 1/100 dilution, followed by ab150077 AlexaFluor®488 Goat anti-Rabbit secondary antibody at 1/1000 dilution (Green). Confocal image showing cytoplasmic staining in SK-MEL-28 cell line. Counterstained with ab195889 Anti-alpha Tubulin antibody [DM1A] - Microtubule Marker (Alexa Fluor® 594) at 1/200 dilution. Nuclear counterstain is DAPI.

Secondary antibody only control : Used PBS instead of primary antibody, secondary antibody is ab150077 AlexaFluor®488 Goat anti-Rabbit secondary at 1/1000 dilution.

Immunohistochemistry (Formalin/PFA-fixed paraffin-embedded sections) - Anti-SCD1 antibody [EPR21963] (AB236868)
  • IHC-P

Supplier Data

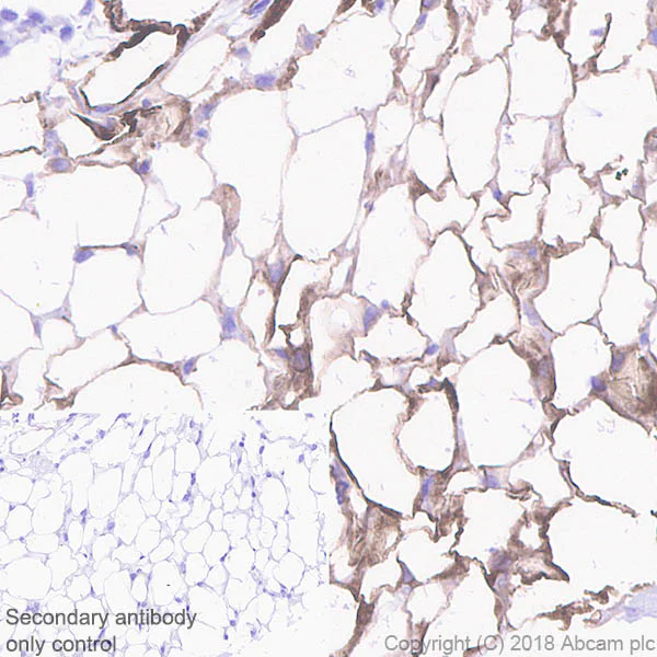
Immunohistochemistry (Formalin/PFA-fixed paraffin-embedded sections) - Anti-SCD1 antibody [EPR21963] (AB236868)

Immunohistochemical analysis of paraffin-embedded human adipose tissue within cardiac muscle tissue labeling SCD1 with ab236868 at 1/2000 dilution, followed by Goat Anti-Rabbit IgG H&L (HRP) ready to use. Positive staining in human adipose cells in cardiac muscle (PMID : 15907797) is observed. Counter stained with hematoxylin.

Secondary antibody only control : Used PBS instead of primary antibody, secondary antibody is Goat Anti-Rabbit IgG H&L (HRP) ready to use.

Heat-mediated antigen retrieval using ab93684 (Tris/EDTA buffer, pH 9.0).

Immunocytochemistry/ Immunofluorescence - Anti-SCD1 antibody [EPR21963] (AB236868)
  • ICC/IF

Lab

Immunocytochemistry/ Immunofluorescence - Anti-SCD1 antibody [EPR21963] (AB236868)

ab236868 staining SCD1 in wild-type HeLa cells, with negative expression in SCD1 knockout HeLa cells. The cells were fixed with 4% formaldehyde (10 min), permeabilised with 0.1% Triton x-100 for 5 minutes and then blocked with 1% BSA/10% normal goat serum/0.3M glycine in 0.1% PBS-Tween for 1h. The cells were then incubated overnight at +4°C with ab236868 at 0.04 μg/ml and ab7291, Mouse monoclonal [DM1A] to alpha Tubulin at 0.5 μg/ml. Cells were then incubated with ab150081, Goat polyclonal Secondary Antibody to Rabbit IgG - H&L (Alexa Fluor® 488), pre-adsorbed at 1/1000 dilution (shown in green) and ab150119, Goat polyclonal Secondary Antibody to Mouse IgG - H&L (Alexa Fluor® 647), pre-adsorbed at 1/1000 dilution (shown in red). Nuclear DNA was labelled with DAPI (shown in blue).

Image was acquired with a high-content analyser (Operetta CLS, Perkin Elmer) and a maximum intensity projection of confocal sections is shown.

This product also work with 100% methanol (5 min) fixation under the same testing conditions.

Immunoprecipitation - Anti-SCD1 antibody [EPR21963] (AB236868)
  • IP

Supplier Data

Immunoprecipitation - Anti-SCD1 antibody [EPR21963] (AB236868)

SCD1 was immunoprecipitated from 0.35 mg of HEK-293 (Human embryonic kidney epithelial cell) whole cell lysate with ab236868 at 1/30 dilution. Western blot was performed from the immunoprecipitate using ab236868 at 1/1000 dilution. VeriBlot for IP Detection Reagent (HRP) (ab131366) was used for detection at 1/5000 dilution.

Lane 1 : HEK-293 whole cell lysate 10 μg (input).
Lane 2 : ab236868 IP in HEK-293 whole cell lysate (+).
Lane 3 : Rabbit monoclonal IgG (ab172730) instead of ab236868 in HEK-293 whole cell lysate (-).

Blocking and dilution buffer : 5% NFDM/TBST.

Exposure time : 30 seconds.

The expression profile observed is consistent with what has been described in the literature (PMID : 20876744; PMID : 9843580; PMID : 17449569). The full-length protein migrates at 37 kDa; the 28 kDa fragment may represent an SCD1 cleavage product.

All lanes:

Immunoprecipitation - Anti-SCD1 antibody [EPR21963] (ab236868)

Predicted band size: 42 kDa

false

Immunoprecipitation - Anti-SCD1 antibody [EPR21963] (AB236868)
  • IP

Supplier Data

Immunoprecipitation - Anti-SCD1 antibody [EPR21963] (AB236868)

SCD1 was immunoprecipitated from 10 μg of HepG2 (Human hepatocellular carcinoma epithelial cell) whole cell lysate with ab236868 at 1/30 dilution. Western blot was performed from the immunoprecipitate using ab236868 at 1/1000 dilution. VeriBlot for IP Detection Reagent (HRP) (ab131366) was used for detection at 1/5000 dilution.

Lane 1 : HepG2 whole cell lysate 10 μg (input).
Lane 2 : ab236868 IP in HepG2 whole cell lysate (+).
Lane 3 : Rabbit monoclonal IgG (ab172730) instead of ab236868 in HepG2 whole cell lysate (-).

Blocking and dilution buffer : 5% NFDM/TBST.

Exposure time : 30 seconds.

The expression profile observed is consistent with what has been described in the literature (PMID : 20876744; PMID : 9843580; PMID : 17449569). The full-length protein migrates at 37 kDa; the 28 kDa fragment may represent an SCD1 cleavage product.

All lanes:

Immunoprecipitation - Anti-SCD1 antibody [EPR21963] (ab236868)

Predicted band size: 42 kDa

false

Immunohistochemistry (Formalin/PFA-fixed paraffin-embedded sections) - Anti-SCD1 antibody [EPR21963] (AB236868)
  • IHC-P

Supplier Data

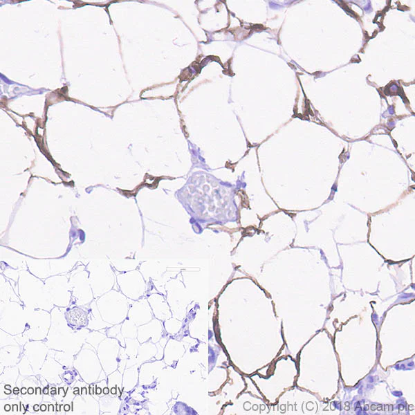
Immunohistochemistry (Formalin/PFA-fixed paraffin-embedded sections) - Anti-SCD1 antibody [EPR21963] (AB236868)

Immunohistochemical analysis of paraffin-embedded mouse adipose tissue of stomach tissue labeling SCD1 with ab236868 at 1/2000 dilution, followed by Goat Anti-Rabbit IgG H&L (HRP) ready to use. Positive staining in adipose cells in mouse stomach (PMID : 11500518) is observed. Counter stained with hematoxylin.

Secondary antibody only control : Used PBS instead of primary antibody, secondary antibody is Goat Anti-Rabbit IgG H&L (HRP) ready to use.

Heat-mediated antigen retrieval using ab93684 (Tris/EDTA buffer, pH 9.0).

Immunohistochemistry (Formalin/PFA-fixed paraffin-embedded sections) - Anti-SCD1 antibody [EPR21963] (AB236868)
  • IHC-P

Supplier Data

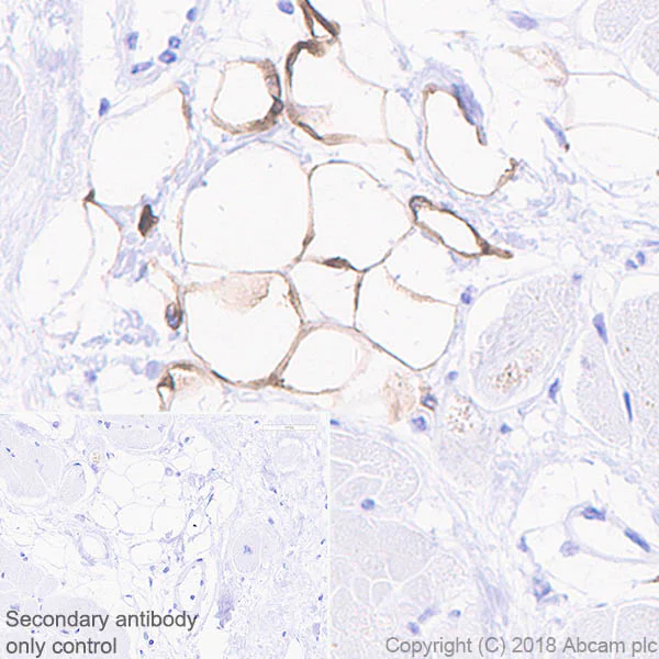
Immunohistochemistry (Formalin/PFA-fixed paraffin-embedded sections) - Anti-SCD1 antibody [EPR21963] (AB236868)

Immunohistochemical analysis of paraffin-embedded rat adipose tissue of pancreas tissue labeling SCD1 with ab236868 at 1/2000 dilution, followed by Goat Anti-Rabbit IgG H&L (HRP) ready to use. Positive staining in adipose cells in rat pancreas (PMID : 11500518) is observed. Counter stained with hematoxylin.

Secondary antibody only control : Used PBS instead of primary antibody, secondary antibody is Goat Anti-Rabbit IgG H&L (HRP) ready to use.

Heat-mediated antigen retrieval using ab93684 (Tris/EDTA buffer, pH 9.0).

Western blot - Anti-SCD1 antibody [EPR21963] (AB236868)
  • WB

Lab

Western blot - Anti-SCD1 antibody [EPR21963] (AB236868)

anes 1-3 : Merged signal (red and green). Green - ab236868. Red - loading control ab8245 observed at 50 kDa.

ab236868 Anti-SCD1 antibody [EPR21963] was shown to specifically react with SCD1 in wild-type HeLa cells. Loss of signal was observed when knockout cell line ab265220 (knockout cell lysate ab257658) was used. Wild-type and SCD1 knockout samples were subjected to SDS-PAGE. ab236868 and Anti-tubulin antibody [DM1A] - Loading Control (ab7291) were incubated overnight at 4°C at 1 in 1000 dilution and 1 in 20000 dilution respectively. Blots were developed with Goat anti-Rabbit IgG H&L (IRDye® 800CW) preadsorbed (ab216773) and Goat anti-Mouse IgG H&L (IRDye® 680RD) preadsorbed (ab216776) secondary antibodies at 1 in 10000 dilution for 1 hour at room temperature before imaging.

All lanes:

Western blot - Anti-SCD1 antibody [EPR21963] (ab236868) at 1/1000 dilution

Lane 1:

Wild-type HeLa cell lysate at 20 µg

Lane 2:

SCD knockout HeLa cell lysate at 20 µg

Lane 2:

Western blot - Human SCD (SCD1) knockout HeLa cell line (<a href='/en-us/products/cell-lines/human-scd-scd1-knockout-hela-cell-line-ab265220'>ab265220</a>)

Lane 3:

HepG2 cell lysate at 20 µg

Secondary

All lanes:

Western blot - Goat anti-Rabbit IgG H&L (IRDye® 800CW) preadsorbed (<a href='/en-us/products/secondary-antibodies/goat-rabbit-igg-h-l-irdye-800cw-preadsorbed-ab216773'>ab216773</a>) at 1/10000 dilution

Predicted band size: 42 kDa

false

Western blot - Anti-SCD1 antibody [EPR21963] (AB236868)
  • WB

Supplier Data

Western blot - Anti-SCD1 antibody [EPR21963] (AB236868)

Blocking/dilution buffer : 5% NFDM/TBST.

The expression profile observed is consistent with what has been described in the literature (PMID : 20876744; PMID : 9843580; PMID : 17449569). The full-length protein migrates at 37 kDa; the 28 kDa fragment may represent an SCD1 cleavage product.

We recommend that customers do not boil samples to prevent protein aggregation.

All lanes:

Western blot - Anti-SCD1 antibody [EPR21963] (ab236868) at 1/1000 dilution

Lane 1:

HepG2 (human hepatocellular carcinoma epithelial cell), whole cell lysate at 20 µg

Lane 2:

HEK-293 (human embryonic kidney epithelial cell), whole cell lysate at 20 µg

Lane 3:

SK-MEL-28 (human malignant melanoma), whole cell lysate at 20 µg

Secondary

All lanes:

Western blot - Goat Anti-Rabbit IgG H&L (HRP) (<a href='/en-us/products/secondary-antibodies/goat-rabbit-igg-h-l-hrp-ab97051'>ab97051</a>) at 1/50000 dilution

Predicted band size: 42 kDa

false

Exposure time: 4s

Western blot - Anti-SCD1 antibody [EPR21963] (AB236868)
  • WB

Lab

Western blot - Anti-SCD1 antibody [EPR21963] (AB236868)

ab236868 was shown to react with SCD1 in wild-type HeLa cells in Western blot with loss of signal observed in SCD1 knockout cell line ab265220. Wild-type HeLa and SCD1 knockout cell lysates were subjected to SDS-PAGE. Membranes were blocked in 5% milk in TBST for 1 hr before incubation with ab236868 overnight at 4 °C at a 1/1000 dilution. Blots were incubated with secondary antibodies at 0.2 µg/mL before imaging.

These data were provided by YCharOS Inc., an open science company with the mission of characterizing commercially available antibody reagents for all human proteins. Abcam and YCharOS are working together to help address the reproducibility crisis by enabling the life science community to better evaluate commercially available antibodies.

All lanes:

Western blot - Anti-SCD1 antibody [EPR21963] (ab236868) at 1/1000 dilution

Lane 1:

Wild-type HeLa lysate at 35 µg

Lane 2:

SCD1 knock-out HeLa lysate at 35 µg

false

Key facts

Host species

Rabbit

Clonality

Monoclonal

Clone number

EPR21963

Isotype

IgG

Carrier free

No

Reacts with

Mouse, Rat, Human

Applications

ICC/IF, Flow Cyt (Intra), IP, WB, IHC-P

applications

Immunogen

The exact immunogen used to generate this antibody is proprietary information.

Specificity

ab236868 is recommended for human only in WB.

This SCD1 antibody can bind to SCD5 very weakly in WB when SCD5 is overexpressed (<10% cross-reactivity).

Reactivity data

{ "title": "Reactivity Data", "filters": { "stats": ["", "Species", "Dilution Info", "Notes"], "tabs": { "all-applications": {"fullname" : "All Applications", "shortname": "All Applications"}, "IP" : {"fullname" : "Immunoprecipitation", "shortname":"IP"}, "WB" : {"fullname" : "Western blot", "shortname":"WB"}, "ICCIF" : {"fullname" : "Immunocytochemistry/ Immunofluorescence", "shortname":"ICC/IF"}, "FlowCytIntra" : {"fullname" : "Flow Cytometry (Intracellular)", "shortname":"Flow Cyt (Intra)"}, "IHCP" : {"fullname" : "Immunohistochemistry (Formalin/PFA-fixed paraffin-embedded sections)", "shortname":"IHC-P"} }, "product-promise": { "all": "all", "testedAndGuaranteed": "tested", "guaranteed": "expected", "predicted": "predicted", "notRecommended": "not-recommended" } }, "values": { "Human": { "IP-species-checked": "testedAndGuaranteed", "IP-species-dilution-info": "1/30", "IP-species-notes": "<p></p>", "WB-species-checked": "testedAndGuaranteed", "WB-species-dilution-info": "1/1000", "WB-species-notes": "<p>ab236868 is recommended for <strong>human only</strong> in WB.</p>", "ICCIF-species-checked": "testedAndGuaranteed", "ICCIF-species-dilution-info": "1/100", "ICCIF-species-notes": "<p></p>", "FlowCytIntra-species-checked": "testedAndGuaranteed", "FlowCytIntra-species-dilution-info": "1/500", "FlowCytIntra-species-notes": "<p></p>", "IHCP-species-checked": "testedAndGuaranteed", "IHCP-species-dilution-info": "1/2000", "IHCP-species-notes": "<p></p> Perform heat-mediated antigen retrieval with Tris/EDTA buffer pH 9.0 before commencing with IHC staining protocol." }, "Mouse": { "IP-species-checked": "guaranteed", "IP-species-dilution-info": "", "IP-species-notes": "", "WB-species-checked": "notRecommended", "WB-species-dilution-info": "1/1000", "WB-species-notes": "<p>ab236868 is recommended for <strong>human only</strong> in WB.</p>", "ICCIF-species-checked": "guaranteed", "ICCIF-species-dilution-info": "", "ICCIF-species-notes": "", "FlowCytIntra-species-checked": "guaranteed", "FlowCytIntra-species-dilution-info": "", "FlowCytIntra-species-notes": "", "IHCP-species-checked": "testedAndGuaranteed", "IHCP-species-dilution-info": "1/2000", "IHCP-species-notes": "<p></p> Perform heat-mediated antigen retrieval with Tris/EDTA buffer pH 9.0 before commencing with IHC staining protocol." }, "Rat": { "IP-species-checked": "guaranteed", "IP-species-dilution-info": "", "IP-species-notes": "", "WB-species-checked": "notRecommended", "WB-species-dilution-info": "1/1000", "WB-species-notes": "<p>ab236868 is recommended for <strong>human only</strong> in WB.</p>", "ICCIF-species-checked": "guaranteed", "ICCIF-species-dilution-info": "", "ICCIF-species-notes": "", "FlowCytIntra-species-checked": "guaranteed", "FlowCytIntra-species-dilution-info": "", "FlowCytIntra-species-notes": "", "IHCP-species-checked": "testedAndGuaranteed", "IHCP-species-dilution-info": "1/2000", "IHCP-species-notes": "<p></p> Perform heat-mediated antigen retrieval with Tris/EDTA buffer pH 9.0 before commencing with IHC staining protocol." } } }

Product details

What is this antibody validated in?
Anti-SCD1 antibody [EPR21963] (ab236868) is a rabbit recombinant monoclonal antibody and is validated for use in Western Blot (WB), Flow Cytometry (Intra), Flow Cytometry (Flow Cyt), Immunoprecipitation (IP), Immunohistochemistry (IHC-P), Immunocytochemistry/immunofluorescence (ICC/IF) in Human, Mouse, Rat samples.

What is the molecular weight of SCD1?
Anti-SCD1 [EPR21963] (ab236868) specifically detects a band for SCD1 (UniProt: O00767) at a molecular weight of 42kDa.

Trusted by the scientific community
Anti-SCD1 [EPR21963] (ab236868) was first used in a scientific publication in 2018 and has been cited over 20 times in peer-reviewed journals.

Trial sizes available!
Test your antibody or perform pre-screening before committing to a larger quantity. Sold in 10µl. Discover our selection of trial-size antibodies.

Specificity confirmed
The specificity of Anti-SCD1 antibody [EPR21963] (ab236868) has been confirmed by Western blot testing in SCD Knockout HeLa cell line, ab265220.

Other related products
We have a range of other formats of antibody clone [EPR21963] also available for your convenience: ab236868, Carrier free - ab238171, Alexa Fluor® 647 - ab314925, Alexa Fluor® 488 - ab315182

Patented technology
Our RabMAb® technology is a patented hybridoma-based technology for making rabbit monoclonal antibodies. For details on our patents, please refer to RabMAb® patents.

What are the advantages of a recombinant monoclonal antibody?
This product is a recombinant monoclonal antibody, which offers several advantages including:

  • - High batch-to-batch consistency and reproducibility
  • - Improved sensitivity and specificity
  • - Long-term security of supply
  • - Animal-free batch production

For more information, read more on recombinant antibodies.

Properties and storage information

Form
Liquid
Purification technique
Affinity purification Protein A
Storage buffer
pH: 7.2 - 7.4 Preservative: 0.01% Sodium azide Constituents: PBS, 40% Glycerol (glycerin, glycerine), 0.05% BSA
Shipped at conditions
Blue Ice
Appropriate short-term storage duration
1-2 weeks
Appropriate short-term storage conditions
+4°C
Appropriate long-term storage conditions
-20°C
Aliquoting information
Upon delivery aliquot
Storage information
Avoid freeze / thaw cycle

Supplementary information

This supplementary information is collated from multiple sources and compiled automatically.

Stearoyl-CoA desaturase-1 (SCD1) also known as delta-9-desaturase is an enzyme integral to the synthesis of monounsaturated fats. This enzyme converts saturated fatty acyl-CoAs to monounsaturated fatty acyl-CoAs by introducing a double bond between the ninth and tenth carbon atoms a process called desaturation. SCD1 has a molecular weight of approximately 45 kDa and expresses in a variety of tissues including the liver adipose tissue and heart.
Biological function summary

SCD1 plays a significant role in fatty acid metabolism by regulating the balance of saturated and unsaturated fatty acids which impacts membrane fluidity and cellular signaling. SCD1 does not function as part of a multi-protein complex acting independently in the endoplasmic reticulum. Its expression and activity influence lipid biosynthesis and storage affecting energy homeostasis and lipid composition in cells.

Pathways

Fatty acid synthesis and oxidation pathways extensively involve SCD1. It participates mainly in the lipogenesis pathway interacting with proteins like acetyl-CoA carboxylase (ACC) and fatty acid synthase (FAS). SCD1 contributes to maintaining the ratio of oleate and palmitoleate key monounsaturated fatty acids important for cellular functions by integrating into the lipid metabolism network.

SCD1 is implicated in conditions like obesity and metabolic syndrome. Altered SCD1 activity links to insulin resistance as seen in obesity by modulating lipid profiles that influence insulin sensitivity. SCD1 associates with proteins like peroxisome proliferator-activated receptor gamma (PPARγ) which regulates adipogenesis emphasizing its role in metabolic disorders.

Product protocols

For this product, it's our understanding that no specific protocols are required. You can visit:

Target data

Stearoyl-CoA desaturase that utilizes O(2) and electrons from reduced cytochrome b5 to introduce the first double bond into saturated fatty acyl-CoA substrates (PubMed : 15907797, PubMed : 18765284). Catalyzes the insertion of a cis double bond at the delta-9 position into fatty acyl-CoA substrates including palmitoyl-CoA and stearoyl-CoA (PubMed : 15907797, PubMed : 18765284). Gives rise to a mixture of 16 : 1 and 18 : 1 unsaturated fatty acids (PubMed : 15610069). Plays an important role in lipid biosynthesis. Plays an important role in regulating the expression of genes that are involved in lipogenesis and in regulating mitochondrial fatty acid oxidation (By similarity). Plays an important role in body energy homeostasis (By similarity). Contributes to the biosynthesis of membrane phospholipids, cholesterol esters and triglycerides (By similarity).
See full target information SCD

Publications (52)

Recent publications for all applications. Explore the full list and refine your search

Research and reports in urology 17:383-399 PubMed41048480

2025

Influencing Factors and Risk Prediction Model Construction of Urinary Tract Infections in Patients with Bladder Cancer.

Applications

Unspecified application

Species

Unspecified reactive species

Yancheng Di,Lingling Zhang,Linlin Zhao,Lei Yin

F1000Research 14:10 PubMed40657179

2025

A guide to selecting high-performing antibodies for Stearoyl-CoA desaturase (SCD1) (UniProt ID: O00767) for use in western blot, immunoprecipitation, and immunofluorescence.

Applications

Unspecified application

Species

Unspecified reactive species

Vera Ruíz Moleón,Charles Alende,Maryam Fotouhi,Sara González Bolívar,Riham Ayoubi,Carl Laflamme

Cell communication and signaling : CCS 23:286 PubMed40524162

2025

SREBF1 mediates immunoparalysis of dendritic cells in sepsis by regulating lipid metabolism and endoplasmic reticulum stress.

Applications

Unspecified application

Species

Unspecified reactive species

Yaolu Zhang,Fangfang Wu,Yan Li,Jiaxin Liu,Liuyan Zhu,Min Zhang,Zhongqiu Lu

The Tohoku journal of experimental medicine : PubMed40240173

2025

FGF21 Activates Autophagy to Ameliorate Lipid Accumulation in NAFLD.

Applications

Unspecified application

Species

Unspecified reactive species

Xuexin Xu,Jiayin Ren,Cuili Gong

Clinical and experimental medicine 25:115 PubMed40214825

2025

TPM4 influences the initiation and progression of gastric cancer by modulating ferroptosis via SCD1.

Applications

Unspecified application

Species

Unspecified reactive species

Ling-Lin Zhao,Yu-Jun Liu,Qi-Jing Guo,Nan Yan,Jie Yang,Jing-Qi Han,Xiao-Hong Xie,Yu-Shuang Luo

Physiological research 73:985-999 PubMed39903889

2025

LDHA- Mediated Histone Lactylation Promotes the Nonalcoholic Fatty Liver Disease Progression Through Targeting The METTL3/ YTHDF1/SCD1 m6A Axis.

Applications

Unspecified application

Species

Unspecified reactive species

J Meng,C Yan,J Liu

Nature communications 16:1241 PubMed39890808

2025

Copy number amplification of FLAD1 promotes the progression of triple-negative breast cancer through lipid metabolism.

Applications

Unspecified application

Species

Unspecified reactive species

Xiao-Qing Song,Tian-Jian Yu,Yang Ou-Yang,Jia-Han Ding,Yi-Zhou Jiang,Zhi-Ming Shao,Yi Xiao

Cancer cell international 25:25 PubMed39871246

2025

DLAT is involved in ovarian cancer progression by modulating lipid metabolism through the JAK2/STAT5A/SREBP1 signaling pathway.

Applications

Unspecified application

Species

Unspecified reactive species

Hui Wang,Shen Luo,Yue Yin,Yang Liu,Xiaomei Sun,Ling Qiu,Xin Wu

Nature communications 15:10107 PubMed39572570

2024

Acid-exposed and hypoxic cancer cells do not overlap but are interdependent for unsaturated fatty acid resources.

Applications

Unspecified application

Species

Unspecified reactive species

Katarzyna Głowacka,Sébastien Ibanez,Ophélie Renoult,Perrine Vermonden,Maria Virginia Giolito,Kübra Özkan,Charline Degavre,Léo Aubert,Céline Guilbaud,Florine Laloux-Morris,Elena Richiardone,Jérôme Ambroise,Caroline Bouzin,Davide Brusa,Jonas Dehairs,Johan Swinnen,Cyril Corbet,Yvan Larondelle,Olivier Feron

Journal of advanced research 74:429-442 PubMed39353531

2024

Gastrodin attenuates high fructose-induced sweet taste preference decrease by inhibiting hippocampal neural stem cell ferroptosis.

Applications

Unspecified application

Species

Unspecified reactive species

Chuan-Feng Tang,Hong Ding,Ya-Qian Wu,Zi-An Miao,Zi-Xuan Wang,Wen-Xuan Wang,Ying Pan,Ling-Dong Kong
View all publications

Product promise

We are committed to supporting your work with high-quality reagents, and we're here for you every step of the way. In the unlikely event that one of our products does not perform as expected, you're protected by our Product Promise.
For full details, please see our Terms & Conditions

Please note: All products are 'FOR RESEARCH USE ONLY. NOT FOR USE IN DIAGNOSTIC OR THERAPEUTIC PROCEDURES'.

For licensing inquiries, please contact partnerships@abcam.com