JavaScript is disabled in your browser. Please enable JavaScript to view this website.
AB181845

Anti-SCDGFB/PDGF-D antibody [EPR7266(2)]

5

(1 Review)

|

(10 Publications)

Rabbit Recombinant Monoclonal SCDGFB/PDGF-D antibody. Suitable for IHC-P, WB and reacts with Mouse, Human samples. Cited in 10 publications.

View Alternative Names

IEGF, SCDGFB, MSTP036, UNQ1899/PRO4345, PDGFD, Platelet-derived growth factor D, PDGF-D, Iris-expressed growth factor, Spinal cord-derived growth factor B, SCDGF-B

4 Images
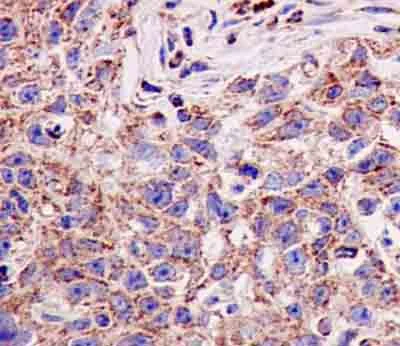
Immunohistochemistry (Formalin/PFA-fixed paraffin-embedded sections) - Anti-SCDGFB/PDGF-D antibody [EPR7266(2)] (AB181845)
  • IHC-P

Supplier Data

Immunohistochemistry (Formalin/PFA-fixed paraffin-embedded sections) - Anti-SCDGFB/PDGF-D antibody [EPR7266(2)] (AB181845)

Immunohistochemical analysis of paraffin-embedded Human squamous cell lung carcinoma tissue labeling SCDGFB/PDGF-D using ab181845 at 1/100 dilution. A ready to use HRP Polymer for Rabbit IgG prediluted was used as secondary. Counterstain : Hematoxylin.

Perform heat mediated antigen retrieval with citrate buffer pH 6 before commencing with IHC staining protocol.

Immunohistochemistry (Formalin/PFA-fixed paraffin-embedded sections) - Anti-SCDGFB/PDGF-D antibody [EPR7266(2)] (AB181845)
  • IHC-P

Supplier Data

Immunohistochemistry (Formalin/PFA-fixed paraffin-embedded sections) - Anti-SCDGFB/PDGF-D antibody [EPR7266(2)] (AB181845)

Immunohistochemical analysis of paraffin-embedded Mouse heart tissue labeling SCDGFB/PDGF-D using ab181845 at 1/100 dilution. A ready to use HRP Polymer for Rabbit IgG prediluted was used as secondary. Counterstain : Hematoxylin.

Perform heat mediated antigen retrieval with citrate buffer pH 6 before commencing with IHC staining protocol.

Western blot - Anti-SCDGFB/PDGF-D antibody [EPR7266(2)] (AB181845)
  • WB

Supplier Data

Western blot - Anti-SCDGFB/PDGF-D antibody [EPR7266(2)] (AB181845)

All lanes:

Western blot - Anti-SCDGFB/PDGF-D antibody [EPR7266(2)] (ab181845) at 1/1000 dilution

Lane 1:

Human fetal kidney lysate at 20 µg

Lane 2:

Human fetal heart lysate at 20 µg

Lane 3:

Human small intestine lysate at 20 µg

Secondary

All lanes:

Western blot - Goat Anti-Rabbit IgG H&L (HRP) (<a href='/en-us/products/secondary-antibodies/goat-rabbit-igg-h-l-hrp-ab136636'>ab136636</a>) at 1/500 dilution

Predicted band size: 43 kDa

false

Western blot - Anti-SCDGFB/PDGF-D antibody [EPR7266(2)] (AB181845)
  • WB

Supplier Data

Western blot - Anti-SCDGFB/PDGF-D antibody [EPR7266(2)] (AB181845)

All lanes:

Western blot - Anti-SCDGFB/PDGF-D antibody [EPR7266(2)] (ab181845) at 1/1000 dilution

All lanes:

PC3 cell lysate at 10 µg

Secondary

All lanes:

Goat Anti-Rabbit IgG, (H+L), Peroxidase conjugated at 1/1000 dilution

Predicted band size: 43 kDa

false

Key facts

Host species

Rabbit

Clonality

Monoclonal

Clone number

EPR7266(2)

Isotype

IgG

Carrier free

No

Reacts with

Mouse, Human

Applications

WB, IHC-P

applications

Immunogen

The exact immunogen used to generate this antibody is proprietary information.

Reactivity data

{ "title": "Reactivity Data", "filters": { "stats": ["", "Species", "Dilution Info", "Notes"], "tabs": { "all-applications": {"fullname" : "All Applications", "shortname": "All Applications"}, "IHCP" : {"fullname" : "Immunohistochemistry (Formalin/PFA-fixed paraffin-embedded sections)", "shortname":"IHC-P"}, "WB" : {"fullname" : "Western blot", "shortname":"WB"} }, "product-promise": { "all": "all", "testedAndGuaranteed": "tested", "guaranteed": "expected", "predicted": "predicted", "notRecommended": "not-recommended" } }, "values": { "Human": { "IHCP-species-checked": "testedAndGuaranteed", "IHCP-species-dilution-info": "1/100", "IHCP-species-notes": "<p></p>", "WB-species-checked": "testedAndGuaranteed", "WB-species-dilution-info": "1/1000 - 1/2000", "WB-species-notes": "<p></p>" }, "Mouse": { "IHCP-species-checked": "testedAndGuaranteed", "IHCP-species-dilution-info": "1/100", "IHCP-species-notes": "<p></p>", "WB-species-checked": "guaranteed", "WB-species-dilution-info": "", "WB-species-notes": "" }, "Rat": { "IHCP-species-checked": "predicted", "IHCP-species-dilution-info": "", "IHCP-species-notes": "", "WB-species-checked": "predicted", "WB-species-dilution-info": "", "WB-species-notes": "" } } }

Product details

Patented technology
Our RabMAb® technology is a patented hybridoma-based technology for making rabbit monoclonal antibodies. For details on our patents, please refer to RabMAb® patents.

What are the advantages of a recombinant monoclonal antibody?
This product is a recombinant monoclonal antibody, which offers several advantages including:

  • - High batch-to-batch consistency and reproducibility
  • - Improved sensitivity and specificity
  • - Long-term security of supply
  • - Animal-free batch production

For more information, read more on recombinant antibodies.

Properties and storage information

Form
Liquid
Purification technique
Affinity purification Protein A
Storage buffer
Preservative: 0.01% Sodium azide Constituents: PBS, 40% Glycerol (glycerin, glycerine), 0.05% BSA
Shipped at conditions
Blue Ice
Appropriate short-term storage duration
1-2 weeks
Appropriate short-term storage conditions
+4°C
Appropriate long-term storage conditions
-20°C
Aliquoting information
Upon delivery aliquot
Storage information
Avoid freeze / thaw cycle

Supplementary information

This supplementary information is collated from multiple sources and compiled automatically.

SCDGFB also known as PDGF-D is a member of the platelet-derived growth factor family. It plays a critical role in cell proliferation and differentiation. The molecular mass of PDGF-D is approximately 47 kDa. PDGF-D is expressed in various tissues including the heart kidney and vascular endothelial cells reflecting its involvement in diverse physiological processes.
Biological function summary

This growth factor facilitates angiogenesis and tissue development. PDGF-D is secreted as a homodimer and becomes active following proteolytic cleavage. This activated form then binds to the PDGF receptor-beta which is a part of a large protein complex involved in signaling cascades. These interactions underline its significant contribution to cellular signaling and vascular development.

Pathways

The involvement of PDGF-D in the PI3K/Akt and MAPK pathways is evident. These pathways play significant roles in regulating cell growth and survival. PDGF-D interacts with related proteins like PI3K and Akt in these pathways orchestrating cellular responses necessary for growth and survival. It highlights the protein's importance in maintaining normal cellular function and response to external signals.

PDGF-D has implications in cardiovascular disease and cancer. Its overexpression can lead to abnormal cell growth contributing to atherosclerosis and tumorigenesis. PDGF-D is associated with VEGF in promoting angiogenesis and fibroblast growth which can exacerbate these conditions. Understanding these links can help in developing targeted therapies for these diseases.

Product protocols

For this product, it's our understanding that no specific protocols are required. You can visit:

Target data

Growth factor that plays an essential role in the regulation of embryonic development, cell proliferation, cell migration, survival and chemotaxis. Potent mitogen for cells of mesenchymal origin. Plays an important role in wound healing. Induces macrophage recruitment, increased interstitial pressure, and blood vessel maturation during angiogenesis. Can initiate events that lead to a mesangial proliferative glomerulonephritis, including influx of monocytes and macrophages and production of extracellular matrix (By similarity).
See full target information PDGFD

Publications (10)

Recent publications for all applications. Explore the full list and refine your search

Stem cell research & therapy 16:253 PubMed40394699

2025

Exosomes derived from adipose-derived stem cells alleviate acute radiation-induced dermatitis through up-regulating hyaluronic acid synthase 1 expression.

Applications

Unspecified application

Species

Unspecified reactive species

Meijia Li,Yuan Tian,Xiaotian Wang,Di Sun,Haiqian Xu,Xinyue Wang,Xinyue Chen,Lijun Hao

The European journal of neuroscience 61:e70114 PubMed40277075

2025

VEGF-E Attenuates Injury After Ischemic Stroke by Promoting Reparative Revascularization.

Applications

Unspecified application

Species

Unspecified reactive species

Romain Menet,Leila Nasrallah,Maxime Bernard,Anne-Sophie Allain,Ayman ElAli

eLife 12: PubMed39207915

2024

PKR activation-induced mitochondrial dysfunction in HIV-transgenic mice with nephropathy.

Applications

Unspecified application

Species

Unspecified reactive species

Teruhiko Yoshida,Khun Zaw Latt,Avi Z Rosenberg,Briana A Santo,Komuraiah Myakala,Yu Ishimoto,Yongmei Zhao,Shashi Shrivastav,Bryce A Jones,Xiaoping Yang,Xiaoxin X Wang,Vincent M Tutino,Pinaki Sarder,Moshe Levi,Koji Okamoto,Cheryl A Winkler,Jeffrey B Kopp

Cellular and molecular life sciences : CMLS 81:225 PubMed38769116

2024

Endothelial PDGF-D contributes to neurovascular protection after ischemic stroke by rescuing pericyte functions.

Applications

Unspecified application

Species

Unspecified reactive species

Maxime Bernard,Romain Menet,Sarah Lecordier,Ayman ElAli

Journal of the American Heart Association 12:e031012 PubMed37489770

2023

Effector Genes at the Coronary Artery Disease Risk Locus Harboring and LncRNA .

Applications

Unspecified application

Species

Unspecified reactive species

Charles U Solomon,Wei Yang,Shu Ye

Cell death discovery 8:474 PubMed36450706

2022

Acetylation of Checkpoint suppressor 1 enhances its stability and promotes the progression of triple-negative breast cancer.

Applications

Unspecified application

Species

Unspecified reactive species

Zhaowei Xu,Shuyan Liu,Chun Feng,Fuyi Xu,Demin Kong,Jia Mi,Chunhua Yang,Guilong Zhang,Pengfei Wei,Buyan-Ochir Orgil,Jonas Bergquist,Geng Tian

Proceedings of the National Academy of Sciences of the United States of America 119: PubMed35027451

2022

PDGF-D-PDGFRβ signaling enhances IL-15-mediated human natural killer cell survival.

Applications

Unspecified application

Species

Unspecified reactive species

Shoubao Ma,Tingting Tang,Xiaojin Wu,Anthony G Mansour,Ting Lu,Jianying Zhang,Li-Shu Wang,Michael A Caligiuri,Jianhua Yu

Nature communications 11:2815 PubMed32499537

2020

Whole-genome resequencing of wild and domestic sheep identifies genes associated with morphological and agronomic traits.

Applications

Unspecified application

Species

Unspecified reactive species

Xin Li,Ji Yang,Min Shen,Xing-Long Xie,Guang-Jian Liu,Ya-Xi Xu,Feng-Hua Lv,Hua Yang,Yong-Lin Yang,Chang-Bin Liu,Ping Zhou,Peng-Cheng Wan,Yun-Sheng Zhang,Lei Gao,Jing-Quan Yang,Wen-Hui Pi,Yan-Ling Ren,Zhi-Qiang Shen,Feng Wang,Juan Deng,Song-Song Xu,Hosein Salehian-Dehkordi,Eer Hehua,Ali Esmailizadeh,Mostafa Dehghani-Qanatqestani,Ondřej Štěpánek,Christina Weimann,Georg Erhardt,Agraw Amane,Joram M Mwacharo,Jian-Lin Han,Olivier Hanotte,Johannes A Lenstra,Juha Kantanen,David W Coltman,James W Kijas,Michael W Bruford,Kathiravan Periasamy,Xin-Hua Wang,Meng-Hua Li

Molecular medicine reports 21:2209-2219 PubMed32186759

2020

PDGFD induces ibrutinib resistance of diffuse large B‑cell lymphoma through activation of EGFR.

Applications

Unspecified application

Species

Unspecified reactive species

Jia Jin,Leiping Wang,Zhonghua Tao,Jian Zhang,Fangfang Lv,Junning Cao,Xichun Hu

Oncology letters 15:1573-1579 PubMed29434852

2018

Platelet-derived growth factor-D promotes colorectal cancer cell migration, invasion and proliferation by regulating Notch1 and matrix metalloproteinase-9.

Applications

Unspecified application

Species

Unspecified reactive species

Bin Jiang,Jinhuang Chen,Wenzheng Yuan,Jintong Ji,Zhengyi Liu,Liang Wu,Qiang Tang,Xiaogang Shu
View all publications

Product promise

We are committed to supporting your work with high-quality reagents, and we're here for you every step of the way. In the unlikely event that one of our products does not perform as expected, you're protected by our Product Promise.
For full details, please see our Terms & Conditions

Please note: All products are 'FOR RESEARCH USE ONLY. NOT FOR USE IN DIAGNOSTIC OR THERAPEUTIC PROCEDURES'.

For licensing inquiries, please contact partnerships@abcam.com