JavaScript is disabled in your browser. Please enable JavaScript to view this website.
AB240960

Anti-SCDGFB/PDGF-D antibody [EPR7266(2)] - BSA and Azide free

Be the first to review this product! Submit a review

|

(2 Publications)

Rabbit Recombinant Monoclonal SCDGFB/PDGF-D antibody. Carrier free. Suitable for IHC-P, WB and reacts with Human, Mouse samples. Cited in 2 publications.

View Alternative Names

IEGF, SCDGFB, MSTP036, UNQ1899/PRO4345, PDGFD, Platelet-derived growth factor D, PDGF-D, Iris-expressed growth factor, Spinal cord-derived growth factor B, SCDGF-B

2 Images
Immunohistochemistry (Formalin/PFA-fixed paraffin-embedded sections) - Anti-SCDGFB/PDGF-D antibody [EPR7266(2)] - BSA and Azide free (AB240960)
  • IHC-P

Supplier Data

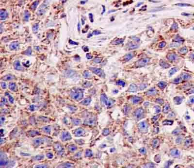
Immunohistochemistry (Formalin/PFA-fixed paraffin-embedded sections) - Anti-SCDGFB/PDGF-D antibody [EPR7266(2)] - BSA and Azide free (AB240960)

Immunohistochemical analysis of paraffin-embedded human squamous cell lung carcinoma tissue labeling SCDGFB/PDGF-D using ab181845 at 1/100 dilution. A ready to use HRP Polymer for Rabbit IgG prediluted was used as secondary. Counterstain : Hematoxylin.

This data was developed using the same antibody clone in a different buffer formulation containing PBS, BSA, glycerol, and sodium azide (ab181845)

Perform heat mediated antigen retrieval with citrate buffer pH 6 before commencing with IHC staining protocol.

Immunohistochemistry (Formalin/PFA-fixed paraffin-embedded sections) - Anti-SCDGFB/PDGF-D antibody [EPR7266(2)] - BSA and Azide free (AB240960)
  • IHC-P

Supplier Data

Immunohistochemistry (Formalin/PFA-fixed paraffin-embedded sections) - Anti-SCDGFB/PDGF-D antibody [EPR7266(2)] - BSA and Azide free (AB240960)

Immunohistochemical analysis of paraffin-embedded mouse heart tissue labeling SCDGFB/PDGF-D using ab181845 at 1/100 dilution. A ready to use HRP Polymer for Rabbit IgG prediluted was used as secondary. Counterstain : Hematoxylin.

This data was developed using the same antibody clone in a different buffer formulation containing PBS, BSA, glycerol, and sodium azide (ab181845)

Perform heat mediated antigen retrieval with citrate buffer pH 6 before commencing with IHC staining protocol.

Key facts

Host species

Rabbit

Clonality

Monoclonal

Clone number

EPR7266(2)

Isotype

IgG

Carrier free

Yes

Reacts with

Mouse, Human

Applications

WB, IHC-P

applications

Immunogen

The exact immunogen used to generate this antibody is proprietary information.

Reactivity data

{ "title": "Reactivity Data", "filters": { "stats": ["", "Species", "Dilution Info", "Notes"], "tabs": { "all-applications": {"fullname" : "All Applications", "shortname": "All Applications"}, "IHCP" : {"fullname" : "Immunohistochemistry (Formalin/PFA-fixed paraffin-embedded sections)", "shortname":"IHC-P"}, "WB" : {"fullname" : "Western blot", "shortname":"WB"} }, "product-promise": { "all": "all", "testedAndGuaranteed": "tested", "guaranteed": "expected", "predicted": "predicted", "notRecommended": "not-recommended" } }, "values": { "Human": { "IHCP-species-checked": "testedAndGuaranteed", "IHCP-species-dilution-info": "", "IHCP-species-notes": "<p></p>", "WB-species-checked": "guaranteed", "WB-species-dilution-info": "", "WB-species-notes": "<p></p>" }, "Mouse": { "IHCP-species-checked": "predicted", "IHCP-species-dilution-info": "", "IHCP-species-notes": "", "WB-species-checked": "guaranteed", "WB-species-dilution-info": "", "WB-species-notes": "<p></p>" }, "Rat": { "IHCP-species-checked": "predicted", "IHCP-species-dilution-info": "", "IHCP-species-notes": "", "WB-species-checked": "predicted", "WB-species-dilution-info": "", "WB-species-notes": "" } } }

Product details

ab240960 is the carrier-free version of ab181845.

Patented technology
Our RabMAb® technology is a patented hybridoma-based technology for making rabbit monoclonal antibodies. For details on our patents, please refer to RabMAb® patents.

What are the advantages of a recombinant monoclonal antibody?
This product is a recombinant monoclonal antibody, which offers several advantages including:

  • - High batch-to-batch consistency and reproducibility
  • - Improved sensitivity and specificity
  • - Long-term security of supply
  • - Animal-free batch production

For more information, read more on recombinant antibodies.

Conjugation ready
Our carrier-free antibodies are typically supplied in a PBS-only formulation, purified and free of BSA, sodium azide and glycerol. This conjugation-ready format is designed for use with fluorochromes, metal isotopes, oligonucleotides, and enzymes, which makes them ideal for antibody labelling, functional and cell-based assays, flow-based assays (e.g. mass cytometry) and Multiplex Imaging applications.

Use our conjugation kits for antibody conjugates that are ready-to-use in as little as 20 minutes with 1 minute hands-on-time and 100% antibody recovery: available for fluorescent dyes, HRP, biotin and gold.

Compatibility
This product is compatible with the Maxpar® Antibody Labeling Kit from Fluidigm, without the need for antibody preparation. Maxpar® is a trademark of Fluidigm Canada Inc.

Properties and storage information

Form
Liquid
Purification technique
Affinity purification Protein A
Storage buffer
pH: 7.2 - 7.4 Constituents: PBS
Shipped at conditions
Blue Ice
Appropriate short-term storage conditions
+4°C
Appropriate long-term storage conditions
+4°C
Storage information
Do Not Freeze

Supplementary information

This supplementary information is collated from multiple sources and compiled automatically.

SCDGFB also known as PDGF-D is a member of the platelet-derived growth factor family. It plays a critical role in cell proliferation and differentiation. The molecular mass of PDGF-D is approximately 47 kDa. PDGF-D is expressed in various tissues including the heart kidney and vascular endothelial cells reflecting its involvement in diverse physiological processes.
Biological function summary

This growth factor facilitates angiogenesis and tissue development. PDGF-D is secreted as a homodimer and becomes active following proteolytic cleavage. This activated form then binds to the PDGF receptor-beta which is a part of a large protein complex involved in signaling cascades. These interactions underline its significant contribution to cellular signaling and vascular development.

Pathways

The involvement of PDGF-D in the PI3K/Akt and MAPK pathways is evident. These pathways play significant roles in regulating cell growth and survival. PDGF-D interacts with related proteins like PI3K and Akt in these pathways orchestrating cellular responses necessary for growth and survival. It highlights the protein's importance in maintaining normal cellular function and response to external signals.

PDGF-D has implications in cardiovascular disease and cancer. Its overexpression can lead to abnormal cell growth contributing to atherosclerosis and tumorigenesis. PDGF-D is associated with VEGF in promoting angiogenesis and fibroblast growth which can exacerbate these conditions. Understanding these links can help in developing targeted therapies for these diseases.

Product protocols

For this product, it's our understanding that no specific protocols are required. You can visit:

Target data

Growth factor that plays an essential role in the regulation of embryonic development, cell proliferation, cell migration, survival and chemotaxis. Potent mitogen for cells of mesenchymal origin. Plays an important role in wound healing. Induces macrophage recruitment, increased interstitial pressure, and blood vessel maturation during angiogenesis. Can initiate events that lead to a mesangial proliferative glomerulonephritis, including influx of monocytes and macrophages and production of extracellular matrix (By similarity).
See full target information PDGFD

Publications (2)

Recent publications for all applications. Explore the full list and refine your search

Molecular medicine reports 21:2209-2219 PubMed32186759

2020

PDGFD induces ibrutinib resistance of diffuse large B‑cell lymphoma through activation of EGFR.

Applications

Unspecified application

Species

Unspecified reactive species

Jia Jin,Leiping Wang,Zhonghua Tao,Jian Zhang,Fangfang Lv,Junning Cao,Xichun Hu

Cell reports 28:1690-1702.e10 PubMed31412240

2019

SMUG1 Promotes Telomere Maintenance through Telomerase RNA Processing.

Applications

Unspecified application

Species

Unspecified reactive species

Penelope Kroustallaki,Lisa Lirussi,Sergio Carracedo,Panpan You,Q Ying Esbensen,Alexandra Götz,Laure Jobert,Lene Alsøe,Pål Sætrom,Sarantis Gagos,Hilde Nilsen
View all publications

Product promise

We are committed to supporting your work with high-quality reagents, and we're here for you every step of the way. In the unlikely event that one of our products does not perform as expected, you're protected by our Product Promise.
For full details, please see our Terms & Conditions

Please note: All products are 'FOR RESEARCH USE ONLY. NOT FOR USE IN DIAGNOSTIC OR THERAPEUTIC PROCEDURES'.

For licensing inquiries, please contact partnerships@abcam.com