JavaScript is disabled in your browser. Please enable JavaScript to view this website.
AB137017

Anti-SCGN/Secretagogin antibody [EPR7477]

5

(1 Review)

|

(5 Publications)

Rabbit Recombinant Monoclonal SCGN/Secretagogin antibody. Suitable for IHC-P, WB and reacts with Human, Mouse, Rat samples. Cited in 5 publications.

View Alternative Names

SECRET, SCGN, Secretagogin

6 Images
Immunohistochemistry (Formalin/PFA-fixed paraffin-embedded sections) - Anti-SCGN/Secretagogin antibody [EPR7477] (AB137017)
  • IHC-P

Unknown

Immunohistochemistry (Formalin/PFA-fixed paraffin-embedded sections) - Anti-SCGN/Secretagogin antibody [EPR7477] (AB137017)

Immunohistochemical analysis of paraffin-embedded Human gastric neuroendocrine carcinoma tissue labelling SCGN/Secretagogin with ab137017 at 1/250 dilution.

Perform heat mediated antigen retrieval with citrate buffer pH 6 before commencing with IHC staining protocol.

Immunohistochemistry (Formalin/PFA-fixed paraffin-embedded sections) - Anti-SCGN/Secretagogin antibody [EPR7477] (AB137017)
  • IHC-P

Unknown

Immunohistochemistry (Formalin/PFA-fixed paraffin-embedded sections) - Anti-SCGN/Secretagogin antibody [EPR7477] (AB137017)

Immunohistochemical analysis of paraffin-embedded Human pancreas tissue labelling SCGN/Secretagogin with ab137017 at 1/250 dilution.

Perform heat mediated antigen retrieval with citrate buffer pH 6 before commencing with IHC staining protocol.

Western blot - Anti-SCGN/Secretagogin antibody [EPR7477] (AB137017)
  • WB

Unknown

Western blot - Anti-SCGN/Secretagogin antibody [EPR7477] (AB137017)

All lanes:

Western blot - Anti-SCGN/Secretagogin antibody [EPR7477] (ab137017) at 1/1000 dilution

Lane 1:

Fetal brain lysate at 10 µg

Lane 2:

Human hypothalamus lysate at 10 µg

Lane 3:

Fetal midbrain lysate at 10 µg

Secondary

All lanes:

HRP labelled goat anti-rabbit at 1/2000 dilution

Predicted band size: 32 kDa

false

Immunohistochemistry (Formalin/PFA-fixed paraffin-embedded sections) - Anti-SCGN/Secretagogin antibody [EPR7477] (AB137017)
  • IHC-P

Unknown

Immunohistochemistry (Formalin/PFA-fixed paraffin-embedded sections) - Anti-SCGN/Secretagogin antibody [EPR7477] (AB137017)

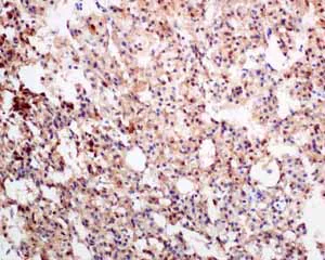
Immunohistochemical analysis using ab137017 showing staining in Lung carcinoid tissue.

Perform heat mediated antigen retrieval with citrate buffer pH 6 before commencing with IHC staining protocol.

Immunohistochemistry (Formalin/PFA-fixed paraffin-embedded sections) - Anti-SCGN/Secretagogin antibody [EPR7477] (AB137017)
  • IHC-P

Unknown

Immunohistochemistry (Formalin/PFA-fixed paraffin-embedded sections) - Anti-SCGN/Secretagogin antibody [EPR7477] (AB137017)

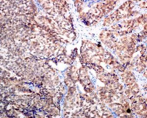
Immunohistochemical analysis using ab137017 showing staining in lung small cell undifferentiated carcinoma tissue.

Perform heat mediated antigen retrieval with citrate buffer pH 6 before commencing with IHC staining protocol.

OI-RD Scanning - Anti-SCGN/Secretagogin antibody [EPR7477] (AB137017)
  • OI-RD Scanning

Unknown

OI-RD Scanning - Anti-SCGN/Secretagogin antibody [EPR7477] (AB137017)

We have systematically measured KD (the equilibrium dissociation constant between the antibody and its antigen), of more than 840 recombinant antibodies to assess not only their individual KD values but also to see the average affinity of antibody. Based on the comparison with published literature values for mouse monoclonal antibodies, Recombinant antibodies appear to be on average 1-2 order of magnitude higher affinity.

  • Carrier free

    Anti-SCGN/Secretagogin antibody [EPR7477] - BSA and Azide free

Key facts

Host species

Rabbit

Clonality

Monoclonal

Clone number

EPR7477

Isotype

IgG

Carrier free

No

Reacts with

Human

Applications

WB, IHC-P

applications

Immunogen

The exact immunogen used to generate this antibody is proprietary information.

Reactivity data

{ "title": "Reactivity Data", "filters": { "stats": ["", "Species", "Dilution Info", "Notes"], "tabs": { "all-applications": {"fullname" : "All Applications", "shortname": "All Applications"}, "IHCP" : {"fullname" : "Immunohistochemistry (Formalin/PFA-fixed paraffin-embedded sections)", "shortname":"IHC-P"}, "WB" : {"fullname" : "Western blot", "shortname":"WB"}, "ICCIF" : {"fullname" : "Immunocytochemistry/ Immunofluorescence", "shortname":"ICC/IF"} }, "product-promise": { "all": "all", "testedAndGuaranteed": "tested", "guaranteed": "expected", "predicted": "predicted", "notRecommended": "not-recommended" } }, "values": { "Human": { "IHCP-species-checked": "testedAndGuaranteed", "IHCP-species-dilution-info": "1/250 - 1/500", "IHCP-species-notes": "<p></p>", "WB-species-checked": "testedAndGuaranteed", "WB-species-dilution-info": "1/1000 - 1/10000", "WB-species-notes": "<p></p>", "ICCIF-species-checked": "notRecommended", "ICCIF-species-dilution-info": "", "ICCIF-species-notes": "<p></p>" }, "Mouse": { "IHCP-species-checked": "predicted", "IHCP-species-dilution-info": "", "IHCP-species-notes": "", "WB-species-checked": "guaranteed", "WB-species-dilution-info": "", "WB-species-notes": "<p></p>", "ICCIF-species-checked": "notRecommended", "ICCIF-species-dilution-info": "", "ICCIF-species-notes": "" }, "Rat": { "IHCP-species-checked": "predicted", "IHCP-species-dilution-info": "", "IHCP-species-notes": "", "WB-species-checked": "guaranteed", "WB-species-dilution-info": "", "WB-species-notes": "<p></p>", "ICCIF-species-checked": "notRecommended", "ICCIF-species-dilution-info": "", "ICCIF-species-notes": "" } } }

Product details

Patented technology
Our RabMAb® technology is a patented hybridoma-based technology for making rabbit monoclonal antibodies. For details on our patents, please refer to RabMAb® patents.

What are the advantages of a recombinant monoclonal antibody?
This product is a recombinant monoclonal antibody, which offers several advantages including:

  • - High batch-to-batch consistency and reproducibility
  • - Improved sensitivity and specificity
  • - Long-term security of supply
  • - Animal-free batch production

For more information, read more on recombinant antibodies.

Properties and storage information

Form
Liquid
Purification technique
Affinity purification Protein A
Storage buffer
pH: 7.2 - 7.4 Preservative: 0.01% Sodium azide Constituents: PBS, 50% Tissue culture supernatant, 40% Glycerol (glycerin, glycerine), 0.05% BSA
Shipped at conditions
Blue Ice
Appropriate short-term storage conditions
+4°C
Appropriate long-term storage conditions
-20°C

Supplementary information

This supplementary information is collated from multiple sources and compiled automatically.

SCGN also known as Secretagogin is a calcium-binding protein with a molecular weight of approximately 33 kDa. It belongs to the family of EF-hand superfamily proteins which is known for its role in various cellular processes. Secretagogin predominantly expresses in neuroendocrine tissues such as the pancreas and central nervous system where it binds calcium and possibly modulates its signaling. It has drawn interest due to its distinctive expression pattern and potential role in regulated secretion.
Biological function summary

The role of Secretagogin extends beyond simple calcium binding. It participates in managing cytoskeleton dynamics through its ability to bind calcium impacting processes like vesicle trafficking. Although not part of a standard protein complex Secretagogin interacts with other cytoskeletal proteins and may influence the release of hormones. Its role in neurotransmission and insulin secretion showcases its significance in both the nervous and endocrine systems.

Pathways

Secretagogin interacts within signaling networks such as the calcium-signaling and insulin-secretion pathways. It has established relationships with other proteins like actin influencing cellular architecture and trafficking. Through these pathways Secretagogin appears instrumental in processes involving rapid response times such as neurotransmitter release or hormone secretion often acting in conjunction with or supporting other calcium-binding proteins.

Secretagogin has connections to diabetes and certain neuroendocrine tumors. Its involvement in insulin secretion makes it relevant in the context of diabetes where it might interact with malfunctioning insulin-related proteins. Additionally in neuroendocrine tumors altered Secretagogin expression could be linked with oncogenic processes as it shares pathways with proteins involved in cell-cycle regulation. Understanding these associations can aid in identifying potential therapeutic targets or biomarkers for these diseases.

Product protocols

For this product, it's our understanding that no specific protocols are required. You can visit:

Publications (5)

Recent publications for all applications. Explore the full list and refine your search

iScience 27:110836 PubMed39310774

2024

Single-cell sequencing reveals the heterogeneity of pancreatic neuroendocrine tumors under genomic instability and histological grading.

Applications

Unspecified application

Species

Unspecified reactive species

Zeng Ye,Yan Zhou,Yuheng Hu,Qiang Li,Zijin Xu,Xin Lou,Wuhu Zhang,Di Zhu,Cao Xie,Qingtong Zhou,Jing Gao,Hu Zhou,Dehua Yang,Yi Qin,Xiaowu Xu,Jie Chen,Shunrong Ji,Ming-Wei Wang,Xianjun Yu

Cell death discovery 10:340 PubMed39068218

2024

The downregulation of SCGN induced by lipotoxicity promotes NLRP3-mediated β-cell pyroptosis.

Applications

Unspecified application

Species

Unspecified reactive species

Shuhui Ouyang,Sunmin Xiang,Xin Wang,Xin Yang,Xuan Liu,Meilin Zhang,Yiting Zhou,Yang Xiao,Lingzhi Zhou,Gang Fan,Jing Yang

Acta biochimica et biophysica Sinica 54:1822-1831 PubMed36789686

2023

ox-LDL induces autophagy-mediated apoptosis by suppressing secretagogin-regulated autophagic flux in pancreatic β-cells.

Applications

Unspecified application

Species

Unspecified reactive species

Ying Lv,Sijie Xiao,Shuhui Ouyang,Zhengliang Peng,Li Wu,Ziqing Tang,Weizheng Zhang,Renxian Cao,Jing Yang

International journal of molecular medicine 44:608-616 PubMed31173188

2019

A microRNA‑24‑to‑secretagogin regulatory pathway mediates cholesterol‑induced inhibition of insulin secretion.

Applications

Unspecified application

Species

Unspecified reactive species

Jing Yang,Yuncheng Lv,Zhibo Zhao,Wu Li,Sunmin Xiang,Lingzhi Zhou,Anbo Gao,Bin Yan,Lingling Ou,Hong Ling,Xinhua Xiao,Jianghua Liu

Neurochemistry international 112:267-277 PubMed28818673

2017

1,25-Dihydroxyvitamin-D3 induces brain proteomic changes in cuprizone mice during remyelination involving calcium proteins.

Applications

IHC-P

Species

Unspecified reactive species

Eystein Oveland,Agnes Nystad,Frode Berven,Kjell-Morten Myhr,Øivind Torkildsen,Stig Wergeland
View all publications

Product promise

We are committed to supporting your work with high-quality reagents, and we're here for you every step of the way. In the unlikely event that one of our products does not perform as expected, you're protected by our Product Promise.
For full details, please see our Terms & Conditions

Please note: All products are 'FOR RESEARCH USE ONLY. NOT FOR USE IN DIAGNOSTIC OR THERAPEUTIC PROCEDURES'.

For licensing inquiries, please contact partnerships@abcam.com