JavaScript is disabled in your browser. Please enable JavaScript to view this website.
AB199723

Anti-SCIN antibody [EPR16310] - C-terminal

Be the first to review this product! Submit a review

|

(2 Publications)

Rabbit Recombinant Monoclonal SCIN antibody. C-terminal. Suitable for WB, IHC-P and reacts with Mouse, Rat, Human samples. Cited in 2 publications.

View Alternative Names

KIAA1905, SCIN, Scinderin, Adseverin

5 Images
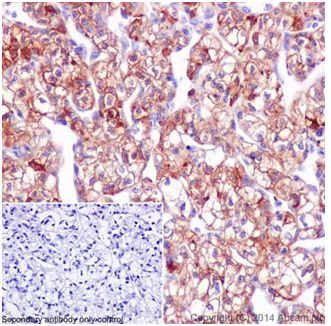
Immunohistochemistry (Formalin/PFA-fixed paraffin-embedded sections) - Anti-SCIN antibody [EPR16310] - C-terminal (AB199723)
  • IHC-P

Supplier Data

Immunohistochemistry (Formalin/PFA-fixed paraffin-embedded sections) - Anti-SCIN antibody [EPR16310] - C-terminal (AB199723)

Immunohistochemical analysis of paraffin-embedded Human clear cell carcinoma of kidney tissue labeling SCIN with ab199723 at 1/500 dilution followed by Goat Anti-Rabbit IgG H&L (HRP) (ab97051) at 1/500 dilution. Cytoplasm staining on Human clear cell carcinoma of kidney tissue is observed. Counter stained with Hematoxylin.
Negative control : Used PBS instead of primary antibody, secondary antibody is Goat Anti-Rabbit IgG H&L (HRP) (ab97051).

Perform heat mediated antigen retrieval with Tris/EDTA buffer pH 9.0 before commencing with IHC staining protocol.

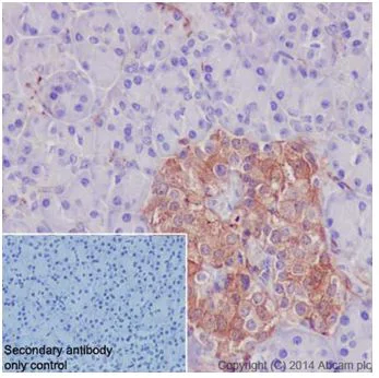
Immunohistochemistry (Formalin/PFA-fixed paraffin-embedded sections) - Anti-SCIN antibody [EPR16310] - C-terminal (AB199723)
  • IHC-P

Supplier Data

Immunohistochemistry (Formalin/PFA-fixed paraffin-embedded sections) - Anti-SCIN antibody [EPR16310] - C-terminal (AB199723)

Immunohistochemical analysis of paraffin-embedded Human pancreas tissue labeling SCIN with ab199723 at 1/500 dilution followed by Goat Anti-Rabbit IgG H&L (HRP) (ab97051) at 1/500 dilution. Cytoplasm staining on Human pancreas tissue is observed. Counter stained with Hematoxylin.
Negative control : Used PBS instead of primary antibody, secondary antibody is Goat Anti-Rabbit IgG H&L (HRP) (ab97051).

Perform heat mediated antigen retrieval with Tris/EDTA buffer pH 9.0 before commencing with IHC staining protocol.

Western blot - Anti-SCIN antibody [EPR16310] - C-terminal (AB199723)
  • WB

Supplier Data

Western blot - Anti-SCIN antibody [EPR16310] - C-terminal (AB199723)

Blocking/dilution buffer : 5% NFDM/TBST.

All lanes:

Western blot - Anti-SCIN antibody [EPR16310] - C-terminal (ab199723) at 1/10000 dilution

Lane 1:

Human fetal kidney lysate at 20 µg

Lane 2:

HEK293 (Human embryonic kidney) whole cell lysate at 20 µg

Secondary

All lanes:

Anti-Rabbit IgG (HRP), specific to the non-reduced form of IgG at 1/1000 dilution

Predicted band size: 80 kDa

Observed band size: 80 kDa

false

Exposure time: 30s

Western blot - Anti-SCIN antibody [EPR16310] - C-terminal (AB199723)
  • WB

Supplier Data

Western blot - Anti-SCIN antibody [EPR16310] - C-terminal (AB199723)

Blocking/dilution buffer : 5% NFDM/TBST.

All lanes:

Western blot - Anti-SCIN antibody [EPR16310] - C-terminal (ab199723) at 1/1000 dilution

Lane 1:

C6 (rat glial tumor cells) whole cell lysate at 10 µg

Lane 2:

PC-12 (rat adrenal gland pheochromocytoma) whole cell lysate at 10 µg

Lane 3:

NIH/3T3 (mouse embryo fibroblast cells) whole cell lysate at 10 µg

Secondary

All lanes:

Goat Anti-Rabbit IgG, (H+L), Peroxidase conjugated at 1/1000 dilution

Predicted band size: 80 kDa

Observed band size: 80 kDa

false

Exposure time: 5s

Western blot - Anti-SCIN antibody [EPR16310] - C-terminal (AB199723)
  • WB

Supplier Data

Western blot - Anti-SCIN antibody [EPR16310] - C-terminal (AB199723)

Blocking/dilution buffer : 5% NFDM/TBST.

All lanes:

Western blot - Anti-SCIN antibody [EPR16310] - C-terminal (ab199723) at 1/1000 dilution

Lane 1:

Mouse kidney lysate at 10 µg

Lane 2:

Mouse spleen lysate at 10 µg

Lane 3:

Rat kidney lysate at 10 µg

Lane 4:

Rat spleen lysate at 10 µg

Secondary

All lanes:

Goat Anti-Rabbit IgG, (H+L), Peroxidase conjugated at 1/1000 dilution

Predicted band size: 80 kDa

Observed band size: 80 kDa

false

Exposure time: 1min

Key facts

Host species

Rabbit

Clonality

Monoclonal

Clone number

EPR16310

Isotype

IgG

Carrier free

No

Reacts with

Mouse, Rat, Human

Applications

IHC-P, WB

applications

Immunogen

The exact immunogen used to generate this antibody is proprietary information.

Reactivity data

{ "title": "Reactivity Data", "filters": { "stats": ["", "Species", "Dilution Info", "Notes"], "tabs": { "all-applications": {"fullname" : "All Applications", "shortname": "All Applications"}, "WB" : {"fullname" : "Western blot", "shortname":"WB"}, "IHCP" : {"fullname" : "Immunohistochemistry (Formalin/PFA-fixed paraffin-embedded sections)", "shortname":"IHC-P"} }, "product-promise": { "all": "all", "testedAndGuaranteed": "tested", "guaranteed": "expected", "predicted": "predicted", "notRecommended": "not-recommended" } }, "values": { "Human": { "WB-species-checked": "testedAndGuaranteed", "WB-species-dilution-info": "1/1000", "WB-species-notes": "<p></p>", "IHCP-species-checked": "testedAndGuaranteed", "IHCP-species-dilution-info": "1/250", "IHCP-species-notes": "<p></p> Perform heat-mediated antigen retrieval with Tris/EDTA buffer pH 9.0 before commencing with IHC staining protocol." }, "Mouse": { "WB-species-checked": "testedAndGuaranteed", "WB-species-dilution-info": "1/1000", "WB-species-notes": "<p></p>", "IHCP-species-checked": "guaranteed", "IHCP-species-dilution-info": "", "IHCP-species-notes": "" }, "Rat": { "WB-species-checked": "testedAndGuaranteed", "WB-species-dilution-info": "1/1000", "WB-species-notes": "<p></p>", "IHCP-species-checked": "guaranteed", "IHCP-species-dilution-info": "", "IHCP-species-notes": "" } } }

Product details

Patented technology
Our RabMAb® technology is a patented hybridoma-based technology for making rabbit monoclonal antibodies. For details on our patents, please refer to RabMAb® patents.

What are the advantages of a recombinant monoclonal antibody?
This product is a recombinant monoclonal antibody, which offers several advantages including:

  • - High batch-to-batch consistency and reproducibility
  • - Improved sensitivity and specificity
  • - Long-term security of supply
  • - Animal-free batch production

For more information, read more on recombinant antibodies.

Properties and storage information

Form
Liquid
Purification technique
Affinity purification Protein A
Storage buffer
pH: 7.2 - 7.4 Preservative: 0.01% Sodium azide Constituents: PBS, 40% Glycerol (glycerin, glycerine), 0.05% BSA
Shipped at conditions
Blue Ice
Appropriate short-term storage duration
1-2 weeks
Appropriate short-term storage conditions
+4°C
Appropriate long-term storage conditions
-20°C
Aliquoting information
Upon delivery aliquot
Storage information
Avoid freeze / thaw cycle

Supplementary information

This supplementary information is collated from multiple sources and compiled automatically.

SCIN also known as scinderin or adseverin is an actin-severing protein involved in cytoskeletal dynamics. This protein has a mass of approximately 80 kDa. SCIN is expressed in a variety of tissues including neural hematopoietic and endocrine systems. Its mechanical function includes binding to filamentous actin and promoting severing which helps in the reorganization of the actin cytoskeleton. This activity is calcium-dependent making SCIN responsive to intracellular calcium levels.
Biological function summary

SCIN influences cellular processes like secretion motility and division. SCIN belongs to the gelsolin/villin family of actin-modulating proteins and often acts within a protein complex to disassemble actin filaments. It regulates exocytosis by modulating actin dynamics near the plasma membrane especially in cells such as chromaffin cells and platelets. Its ability to rearrange actin filaments is important for maintaining cellular homeostasis and responsive adaptation to environmental changes.

Pathways

SCIN is involved in the cytoskeletal signaling and calcium signaling pathways. It plays a role in actin filament dynamics and is related to other actin-binding proteins like gelsolin and cofilin through these pathways. SCIN interacts with phosphatidylinositol 45-bisphosphate (PIP2) and calcium ions which are important for its activity in cellular signaling networks. These pathways optimize how cells react to stimuli by altering their shape and function.

SCIN has been linked to neurodegenerative disorders and cancer. Disruptions in SCIN function can contribute to diseases such as Alzheimer’s where abnormal actin dynamics impact neuronal function. SCIN is also associated with certain cancers through its role in cell migration and metastasis. The protein may interact with tau in neurodegenerative disorders and it interacts with proteins like cortactin in cancer progression influencing cellular motility.

Product protocols

For this product, it's our understanding that no specific protocols are required. You can visit:

Target data

Ca(2+)-dependent actin filament-severing protein that has a regulatory function in exocytosis by affecting the organization of the microfilament network underneath the plasma membrane (PubMed : 26365202, PubMed : 8547642). Severing activity is inhibited by phosphatidylinositol 4,5-bis-phosphate (PIP2) (By similarity). In vitro, also has barbed end capping and nucleating activities in the presence of Ca(2+). Required for megakaryocyte differentiation, maturation, polyploidization and apoptosis with the release of platelet-like particles (PubMed : 11568009). Plays a role in osteoclastogenesis (OCG) and actin cytoskeletal organization in osteoclasts (By similarity). Regulates chondrocyte proliferation and differentiation (By similarity). Inhibits cell proliferation and tumorigenesis. Signaling is mediated by MAPK, p38 and JNK pathways (PubMed : 11568009).
See full target information SCIN

Publications (2)

Recent publications for all applications. Explore the full list and refine your search

Nutrients 14: PubMed35893911

2022

Effects of Milk-Derived Extracellular Vesicles on the Colonic Transcriptome and Proteome in Murine Model.

Applications

Unspecified application

Species

Unspecified reactive species

Chunmei Du,Yiguang Zhao,Kun Wang,Xuemei Nan,Ruipeng Chen,Benhai Xiong

Oncology letters 16:3207-3214 PubMed30127916

2018

Scinderin-knockdown inhibits proliferation and promotes apoptosis in human breast carcinoma cells.

Applications

Unspecified application

Species

Unspecified reactive species

Wenjing Jian,Xiaoli Zhang,Jiguo Wang,Yunlong Liu,Chuting Hu,Xianming Wang,Renbin Liu
View all publications

Product promise

We are committed to supporting your work with high-quality reagents, and we're here for you every step of the way. In the unlikely event that one of our products does not perform as expected, you're protected by our Product Promise.
For full details, please see our Terms & Conditions

Please note: All products are 'FOR RESEARCH USE ONLY. NOT FOR USE IN DIAGNOSTIC OR THERAPEUTIC PROCEDURES'.

For licensing inquiries, please contact partnerships@abcam.com