JavaScript is disabled in your browser. Please enable JavaScript to view this website.
AB154011

Anti-SCML4 antibody

Be the first to review this product! Submit a review

|

(1 Publication)

Rabbit Polyclonal SCML4 antibody. Suitable for IHC-P, WB and reacts with Mouse, Human samples. Cited in 1 publication. Immunogen corresponding to Recombinant Fragment Protein within Human SCML4 aa 1-250.

View Alternative Names

Sex comb on midleg-like protein 4, SCML4

3 Images
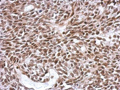
Immunohistochemistry (Formalin/PFA-fixed paraffin-embedded sections) - Anti-SCML4 antibody (AB154011)
  • IHC-P

Unknown

Immunohistochemistry (Formalin/PFA-fixed paraffin-embedded sections) - Anti-SCML4 antibody (AB154011)

Immunohistochemical analysis of paraffin embedded BT483 xenograft tissue labeling SCML4 with ab154011 at 1/750 dilution.

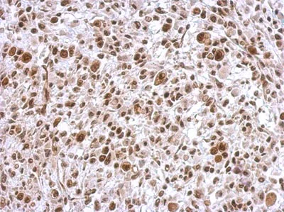
Immunohistochemistry (Formalin/PFA-fixed paraffin-embedded sections) - Anti-SCML4 antibody (AB154011)
  • IHC-P

Unknown

Immunohistochemistry (Formalin/PFA-fixed paraffin-embedded sections) - Anti-SCML4 antibody (AB154011)

Immunohistochemical analysis of paraffin embedded C2C12 xenograft tissue, labeling SCML4 with ab154011 at 1/750 dilution.

Western blot - Anti-SCML4 antibody (AB154011)
  • WB

Unknown

Western blot - Anti-SCML4 antibody (AB154011)

12% SDS PAGE

All lanes:

Western blot - Anti-SCML4 antibody (ab154011) at 1/1000 dilution

All lanes:

SK-N-SH whole cell lysate at 30 µg

Predicted band size: 45 kDa

false

Key facts

Host species

Rabbit

Clonality

Polyclonal

Isotype

IgG

Carrier free

No

Reacts with

Mouse, Human

Applications

WB, IHC-P

applications

Immunogen

Recombinant Fragment Protein within Human SCML4 aa 1-250. The exact immunogen used to generate this antibody is proprietary information.

Q8N228

Reactivity data

{ "title": "Reactivity Data", "filters": { "stats": ["", "Species", "Dilution Info", "Notes"], "tabs": { "all-applications": {"fullname" : "All Applications", "shortname": "All Applications"}, "IHCP" : {"fullname" : "Immunohistochemistry (Formalin/PFA-fixed paraffin-embedded sections)", "shortname":"IHC-P"}, "WB" : {"fullname" : "Western blot", "shortname":"WB"} }, "product-promise": { "all": "all", "testedAndGuaranteed": "tested", "guaranteed": "expected", "predicted": "predicted", "notRecommended": "not-recommended" } }, "values": { "Human": { "IHCP-species-checked": "testedAndGuaranteed", "IHCP-species-dilution-info": "1/100 - 1/1000", "IHCP-species-notes": "<p></p> Perform heat-mediated antigen retrieval with citrate buffer pH 6 before commencing with IHC staining protocol.", "WB-species-checked": "testedAndGuaranteed", "WB-species-dilution-info": "1/500 - 1/3000", "WB-species-notes": "<p></p>" }, "Mouse": { "IHCP-species-checked": "testedAndGuaranteed", "IHCP-species-dilution-info": "1/100 - 1/1000", "IHCP-species-notes": "<p></p> Perform heat-mediated antigen retrieval with citrate buffer pH 6 before commencing with IHC staining protocol.", "WB-species-checked": "guaranteed", "WB-species-dilution-info": "", "WB-species-notes": "" } } }

Properties and storage information

Form
Liquid
Purification technique
Affinity purification Immunogen
Storage buffer
pH: 7 Preservative: 0.01% Thimerosal (merthiolate) Constituents: PBS, 20% Glycerol (glycerin, glycerine), 1% BSA
Shipped at conditions
Blue Ice
Appropriate short-term storage conditions
+4°C
Appropriate long-term storage conditions
-20°C
Aliquoting information
Upon delivery aliquot
Storage information
Avoid freeze / thaw cycle

Supplementary information

This supplementary information is collated from multiple sources and compiled automatically.

SCML4 also known as Sex Comb on Midleg-Like 4 is a protein with a molecular mass of approximately 56 kDa. This protein is part of the Polycomb Group (PcG) proteins which are critical regulators of gene expression through chromatin modification. SCML4 binds to DNA influencing gene repression by recruiting other proteins to histones. Expression of SCML4 occurs in a wide range of tissues with noticeable levels in reproductive organs as well as in the central nervous system.
Biological function summary

SCML4 functions by participating in the repression of gene expression as a member of the Polycomb Repressive Complex (PRC). Within this context SCML4 may interact with other PcG proteins to maintain the repressive histone marks that lead to the compact chromatin state. This activity is significant for regulating genes involved in development including those responsible for cell differentiation and proliferation.

Pathways

The repression role SCML4 plays is integral to the PRC2 and PRC1 pathways. These pathways help control gene silencing by modifying chromatin structure influencing cell fate decisions. SCML4 may work with proteins such as EZH2 and BMI1 which are also components of these pathways to ensure that genes necessary for development and cell cycle control remain inactive when not needed.

Altered SCML4 function relates to cancer development particularly in prostate and ovarian cancers. Abnormal SCML4 expression or dysfunction can lead to the improper regulation of gene expression resulting in unregulated cell growth and tumorigenesis. Connection to cancer-related proteins like EZH2 highlights SCML4's role in maintaining cellular homeostasis and spotlight its potential as a target for therapeutic intervention in oncology.

Product protocols

For this product, it's our understanding that no specific protocols are required. You can visit:

Target data

Putative Polycomb group (PcG) protein. PcG proteins act by forming multiprotein complexes, which are required to maintain the transcriptionally repressive state of homeotic genes throughout development (By similarity).
See full target information SCML4

Publications (1)

Recent publications for all applications. Explore the full list and refine your search

Frontiers in immunology 14:1223653 PubMed38077328

2023

The Rac-GEF Tiam1 controls integrin-dependent neutrophil responses.

Applications

Unspecified application

Species

Unspecified reactive species

Kirsti Hornigold,Martin J Baker,Polly A Machin,Stephen A Chetwynd,Anna-Karin Johnsson,Chiara Pantarelli,Priota Islam,Melanie Stammers,Laraine Crossland,David Oxley,Hanneke Okkenhaug,Simon Walker,Rachael Walker,Anne Segonds-Pichon,Yoshinori Fukui,Angeliki Malliri,Heidi C E Welch
View all publications

Product promise

We are committed to supporting your work with high-quality reagents, and we're here for you every step of the way. In the unlikely event that one of our products does not perform as expected, you're protected by our Product Promise.
For full details, please see our Terms & Conditions

Please note: All products are 'FOR RESEARCH USE ONLY. NOT FOR USE IN DIAGNOSTIC OR THERAPEUTIC PROCEDURES'.

For licensing inquiries, please contact partnerships@abcam.com