JavaScript is disabled in your browser. Please enable JavaScript to view this website.
AB316325

Anti-SCN11A antibody [EPR28603-66] - BSA and Azide free

Be the first to review this product! Submit a review

|

(0 Publication)

Rabbit Recombinant Monoclonal SCNBA antibody. Carrier free. Suitable for WB, IHC-Fr and reacts with Transfected cell lysate - Human, Mouse samples.

View Alternative Names

SCN12A, SNS2, SCN11A, Sodium channel protein type 11 subunit alpha, Peripheral nerve sodium channel 5, Sensory neuron sodium channel 2, Sodium channel protein type XI subunit alpha, Voltage-gated sodium channel subunit alpha Nav1.9, hNaN, PN5

5 Images
Immunohistochemistry (Frozen sections) - Anti-SCN11A antibody [EPR28603-66] - BSA and Azide free (AB316325)
  • IHC-Fr

Supplier Data

Immunohistochemistry (Frozen sections) - Anti-SCN11A antibody [EPR28603-66] - BSA and Azide free (AB316325)

This data was developed using ab316324, the same antibody clone in a different buffer formulation.

Immunohistochemical analysis of 4% PFA-fixed, 0.2% Triton X-100 permeabilized frozen Mouse lung (fresh frozen) tissue labeling SCN11A with ab316324 at 1/200 (2.455 ug/ml) dilution followed by ab150081 Goat Anti-Rabbit IgG H&L (Alexa Fluor® 488) preadsorbed at 1/1000 (2 ug/mL) dilution (Green).

Negative control : confocal image showing no staining on mouse lung. The nuclear counterstain was DAPI (Blue). The section was incubated with ab316324 for 60 mins at room temperature. The section was then mounted using Fluoromount®.The immunostaining was performed on a Leica Biosystems BOND® RX instrument. Image was taken with a confocal microscope (Leica-Microsystems, TCS SP8).

Secondary antibody control : Secondary antibody is ab150081 Goat Anti-Rabbit IgG H&L (Alexa Fluor® 488) preadsorbed at 1/1000 (2 ug/mL) dilution.

Immunohistochemistry (Frozen sections) - Anti-SCN11A antibody [EPR28603-66] - BSA and Azide free (AB316325)
  • IHC-Fr

Supplier Data

Immunohistochemistry (Frozen sections) - Anti-SCN11A antibody [EPR28603-66] - BSA and Azide free (AB316325)

This data was developed using ab316324, the same antibody clone in a different buffer formulation.

Immunohistochemical analysis of 4% PFA-fixed, 0.2% Triton X-100 permeabilized frozen Mouse liver (fresh frozen) tissue labeling SCN11A with ab316324 at 1/200 (2.455 ug/ml) dilution followed by ab150081 Goat Anti-Rabbit IgG H&L (Alexa Fluor® 488) preadsorbed at 1/1000 (2 ug/mL) dilution (Green).

Negative control : confocal image showing no staining on mouse liver. The nuclear counterstain was DAPI (Blue). The section was incubated with ab316324 for 60 mins at room temperature. The section was then mounted using Fluoromount®. The immunostaining was performed on a Leica Biosystems BOND® RX instrument. Image was taken with a confocal microscope (Leica-Microsystems, TCS SP8).

Secondary antibody control : Secondary antibody is ab150081 Goat Anti-Rabbit IgG H&L (Alexa Fluor® 488) preadsorbedat 1/1000 (2 ug/mL) dilution.

Immunohistochemistry (Frozen sections) - Anti-SCN11A antibody [EPR28603-66] - BSA and Azide free (AB316325)
  • IHC-Fr

Supplier Data

Immunohistochemistry (Frozen sections) - Anti-SCN11A antibody [EPR28603-66] - BSA and Azide free (AB316325)

This data was developed using ab316324, the same antibody clone in a different buffer formulation.

Immunohistochemical analysis of 4% PFA-fixed, 0.2% Triton X-100 permeabilized frozen Mouse dorsal root ganglion (fresh frozen) tissue labeling SCN11A with ab316324 at 1/200 (2.455 ug/ml) dilution followed by ab150081 Goat Anti-Rabbit IgG H&L (Alexa Fluor® 488) preadsorbed at 1/1000 (2 ug/mL) dilution (Green).

Panel A : merged staining of anti-SCN11A (ab316324, green) and anti-NeuN (ab190565, magenta) on mouse dorsal root ganglia.
Panel B : anti-SCN11A stained on mouse dorsal root ganglia.
Panel C : anti-NeuN stained in neurons of mouse dorsal root ganglia.
The section was incubated in two rounds of staining : in the order of ab316324 and ab190565 for 1 hr at room temperature. The nuclear counterstain was DAPI (Blue). The section was then mounted using Fluoromount®.The immunostaining was performed on a Leica Biosystems BOND® RX instrument. Image was taken with a confocal microscope (Leica-Microsystems, TCS SP8).

Secondary antibody control : Secondary antibody is ab150081 Goat Anti-Rabbit IgG H&L (Alexa Fluor® 488) preadsorbedat 1/1000 (2 ug/mL) dilution.

Western blot - Anti-SCN11A antibody [EPR28603-66] - BSA and Azide free (AB316325)
  • WB

Supplier Data

Western blot - Anti-SCN11A antibody [EPR28603-66] - BSA and Azide free (AB316325)

This data was developed using ab316324, the same antibody clone in a different buffer formulation.

Negative control : brain, liver(PMID : 11972962, 30395542)

The lower band around 100 kDa could be non-specific band(PMID : 11739573)

Samples are non-boiled as boiling may cause protein aggregation.

In Western blot, Anti-Vinculin antibody [EPR8185] (ab129002) staining at 1/10000 dilution.

All lanes:

Western blot - Anti-SCN11A antibody [EPR28603-66] (<a href='/en-us/products/primary-antibodies/scn11a-antibody-epr28603-66-ab316324'>ab316324</a>) at 1/1000 dilution

Lane 1:

Mouse dorsal galion tissue lyaste at 30 µg with 5% NFDM/TBST

Lane 2:

Mouse brain tissue lyaste at 30 µg with 5% NFDM/TBST

Lane 3:

Mouse liver tissue lyaste at 30 µg with 5% NFDM/TBST

Secondary

All lanes:

Western blot - Goat Anti-Rabbit IgG H&L (HRP) (<a href='/en-us/products/secondary-antibodies/goat-rabbit-igg-h-l-hrp-ab97051'>ab97051</a>) at 1/100000 dilution

Observed band size: 70 kDa,124 kDa

false

Exposure time: 70s

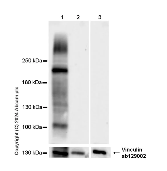
Western blot - Anti-SCN11A antibody [EPR28603-66] - BSA and Azide free (AB316325)
  • WB

Supplier Data

Western blot - Anti-SCN11A antibody [EPR28603-66] - BSA and Azide free (AB316325)

This data was developed using ab316324, the same antibody clone in a different buffer formulation.

In Western blot, Anti-Vinculin antibody [EPR8185] (ab129002) staining at 1/10000 dilution.

In Western blot, Anti-6X His tag® antibody [EPR20547] - ChIP Grade (ab213204) staining at 1/5000 dilution.

All lanes:

Western blot - Anti-SCN11A antibody [EPR28603-66] (<a href='/en-us/products/primary-antibodies/scn11a-antibody-epr28603-66-ab316324'>ab316324</a>) at 1/1000 dilution

Lane 1:

293T cells transfected with an empty vector containing a His-tag, whole cell lysate at 10 µg with 5% NFDM/TBST

Lane 2:

293T (human embryonic kidney epithelial cell) cells transfected with human SCN11A expression vector containi a myc-His-tag®, whole cell lysate at 10 µg with 5% NFDM/TBST

Secondary

All lanes:

Western blot - Goat Anti-Rabbit IgG H&L (HRP) (<a href='/en-us/products/secondary-antibodies/goat-rabbit-igg-h-l-hrp-ab97051'>ab97051</a>) at 1/100000 dilution

Observed band size: 204 kDa,124 kDa

false

Exposure time: 3s

Key facts

Host species

Rabbit

Clonality

Monoclonal

Clone number

EPR28603-66

Isotype

IgG

Carrier free

Yes

Reacts with

Mouse, Human

Applications

IHC-Fr, WB

applications

Immunogen

The exact immunogen used to generate this antibody is proprietary information.

Reactivity data

{ "title": "Reactivity Data", "filters": { "stats": ["", "Species", "Dilution Info", "Notes"], "tabs": { "all-applications": {"fullname" : "All Applications", "shortname": "All Applications"}, "WB" : {"fullname" : "Western blot", "shortname":"WB"}, "IHCFr" : {"fullname" : "Immunohistochemistry (Frozen sections)", "shortname":"IHC-Fr"}, "IHCP" : {"fullname" : "Immunohistochemistry (Formalin/PFA-fixed paraffin-embedded sections)", "shortname":"IHC-P"}, "ICCIF" : {"fullname" : "Immunocytochemistry/ Immunofluorescence", "shortname":"ICC/IF"}, "FlowCyt" : {"fullname" : "Flow Cytometry", "shortname":"Flow Cyt"}, "IP" : {"fullname" : "Immunoprecipitation", "shortname":"IP"} }, "product-promise": { "all": "all", "testedAndGuaranteed": "tested", "guaranteed": "expected", "predicted": "predicted", "notRecommended": "not-recommended" } }, "values": { "Human": { "WB-species-checked": "notRecommended", "WB-species-dilution-info": "", "WB-species-notes": "", "IHCFr-species-checked": "predicted", "IHCFr-species-dilution-info": "", "IHCFr-species-notes": "", "IHCP-species-checked": "notRecommended", "IHCP-species-dilution-info": "", "IHCP-species-notes": "<p></p>", "ICCIF-species-checked": "notRecommended", "ICCIF-species-dilution-info": "", "ICCIF-species-notes": "<p></p>", "FlowCyt-species-checked": "notRecommended", "FlowCyt-species-dilution-info": "", "FlowCyt-species-notes": "<p></p>", "IP-species-checked": "notRecommended", "IP-species-dilution-info": "", "IP-species-notes": "<p></p>" }, "Mouse": { "WB-species-checked": "testedAndGuaranteed", "WB-species-dilution-info": "", "WB-species-notes": "<p></p>", "IHCFr-species-checked": "testedAndGuaranteed", "IHCFr-species-dilution-info": "", "IHCFr-species-notes": "<p></p>", "IHCP-species-checked": "notRecommended", "IHCP-species-dilution-info": "", "IHCP-species-notes": "<p></p>", "ICCIF-species-checked": "notRecommended", "ICCIF-species-dilution-info": "", "ICCIF-species-notes": "", "FlowCyt-species-checked": "notRecommended", "FlowCyt-species-dilution-info": "", "FlowCyt-species-notes": "", "IP-species-checked": "notRecommended", "IP-species-dilution-info": "", "IP-species-notes": "" }, "Rat": { "WB-species-checked": "notRecommended", "WB-species-dilution-info": "", "WB-species-notes": "<p></p>", "IHCFr-species-checked": "notRecommended", "IHCFr-species-dilution-info": "", "IHCFr-species-notes": "", "IHCP-species-checked": "notRecommended", "IHCP-species-dilution-info": "", "IHCP-species-notes": "<p></p>", "ICCIF-species-checked": "notRecommended", "ICCIF-species-dilution-info": "", "ICCIF-species-notes": "", "FlowCyt-species-checked": "notRecommended", "FlowCyt-species-dilution-info": "", "FlowCyt-species-notes": "", "IP-species-checked": "notRecommended", "IP-species-dilution-info": "", "IP-species-notes": "" }, "Transfected cell lysate - Human": { "WB-species-checked": "testedAndGuaranteed", "WB-species-dilution-info": "", "WB-species-notes": "<p></p>", "IHCFr-species-checked": "notRecommended", "IHCFr-species-dilution-info": "", "IHCFr-species-notes": "", "IHCP-species-checked": "notRecommended", "IHCP-species-dilution-info": "", "IHCP-species-notes": "", "ICCIF-species-checked": "notRecommended", "ICCIF-species-dilution-info": "", "ICCIF-species-notes": "", "FlowCyt-species-checked": "notRecommended", "FlowCyt-species-dilution-info": "", "FlowCyt-species-notes": "", "IP-species-checked": "notRecommended", "IP-species-dilution-info": "", "IP-species-notes": "" } } }

Product details

ab316325 is the carrirer-free version of ab316324.

Patented technology
Our RabMAb® technology is a patented hybridoma-based technology for making rabbit monoclonal antibodies. For details on our patents, please refer to RabMAb® patents.

What are the advantages of a recombinant monoclonal antibody?
This product is a recombinant monoclonal antibody, which offers several advantages including:

  • - High batch-to-batch consistency and reproducibility
  • - Improved sensitivity and specificity
  • - Long-term security of supply
  • - Animal-free batch production

For more information, read more on recombinant antibodies.

Conjugation ready
Our carrier-free antibodies are typically supplied in a PBS-only formulation, purified and free of BSA, sodium azide and glycerol. This conjugation-ready format is designed for use with fluorochromes, metal isotopes, oligonucleotides, and enzymes, which makes them ideal for antibody labelling, functional and cell-based assays, flow-based assays (e.g. mass cytometry) and Multiplex Imaging applications.

Use our conjugation kits for antibody conjugates that are ready-to-use in as little as 20 minutes with 1 minute hands-on-time and 100% antibody recovery: available for fluorescent dyes, HRP, biotin and gold.

Compatibility
This product is compatible with the Maxpar® Antibody Labeling Kit from Fluidigm, without the need for antibody preparation. Maxpar® is a trademark of Fluidigm Canada Inc.

Properties and storage information

Form
Liquid
Purification technique
Affinity purification Protein A
Storage buffer
pH: 7.2 - 7.4 Constituents: PBS
Shipped at conditions
Blue Ice
Appropriate short-term storage conditions
+4°C
Appropriate long-term storage conditions
+4°C

Supplementary information

This supplementary information is collated from multiple sources and compiled automatically.

SCN11A also known as Nav1.9 is a voltage-gated sodium channel expressed in peripheral sensory neurons particularly in the dorsal root ganglion and trigeminal ganglion. The protein has an approximate mass of 207 kDa. SCN11A plays an important role in generating and propagating action potentials by allowing sodium ions to enter the cell. This ion influx is important for neuronal excitability and pain signal transmission. Expression of SCN11A is known to be increased in response to certain inflammatory processes and may contribute to pain perception.
Biological function summary

SCN11A contributes to the modulation of neuronal excitability and pain pathways. The channel participates in adjusting the resting membrane potential and firing threshold of neurons. It is hypothesized to function independently rather than as part of a larger protein complex. SCN11A influences the intensity and duration of pain signals affecting the perception of both acute and chronic pain. Its regulation is essential for proper sensory neuron functioning.

Pathways

SCN11A is involved in the nociceptive pain pathway which is responsible for the sensation of pain due to tissue injury. It interacts with other sodium channels such as Nav1.8 to fine-tune pain signaling under various physiological and pathological conditions. Additionally SCN11A is linked to the inflammatory response pathway where its expression can be modulated by pro-inflammatory cytokines. This interaction underlines the channel’s role in mediating neuropathic and inflammatory pain.

SCN11A is associated with neuropathic pain and familial episodic pain syndrome. Mutations in SCN11A can lead to altered channel function resulting in enhanced pain sensitivity or spontaneous pain episodes. The channel's dysfunction is also observed in conditions involving Nav1.7 another sodium channel implicated in pain disorders. Understanding the role of SCN11A in these conditions can provide insights into therapeutic targets for pain management and relief.

Product protocols

For this product, it's our understanding that no specific protocols are required. You can visit:

Target data

Sodium channel mediating the voltage-dependent sodium ion permeability of excitable membranes. Assuming opened or closed conformations in response to the voltage difference across the membrane, the protein forms a sodium-selective channel through which sodium ions may pass in accordance with their electrochemical gradient (PubMed : 10580103, PubMed : 12384689, PubMed : 24036948, PubMed : 24776970, PubMed : 25791876, PubMed : 26645915). Involved in membrane depolarization during action potential in nociceptors which function as key relay stations for the electrical transmission of pain signals from the periphery to the central nervous system (PubMed : 24036948, PubMed : 24776970, PubMed : 25791876, PubMed : 26645915). Also involved in rapid BDNF-evoked neuronal depolarization (PubMed : 12384689).
See full target information SCN11A

Product promise

We are committed to supporting your work with high-quality reagents, and we're here for you every step of the way. In the unlikely event that one of our products does not perform as expected, you're protected by our Product Promise.
For full details, please see our Terms & Conditions

Please note: All products are 'FOR RESEARCH USE ONLY. NOT FOR USE IN DIAGNOSTIC OR THERAPEUTIC PROCEDURES'.

For licensing inquiries, please contact partnerships@abcam.com