JavaScript is disabled in your browser. Please enable JavaScript to view this website.
AB322467

Anti-SCN7A antibody [EPR27096-569]

Be the first to review this product! Submit a review

|

(0 Publication)

Rabbit Recombinant Monoclonal SCN7A antibody. Suitable for I-ELISA, WB and reacts with Recombinant fragment - Mouse, Mouse, Rat samples.

View Alternative Names

Nag, Nav2, scl11, Sodium channel protein type 7 subunit alpha, Nax channel, Sodium channel Nav2.3

5 Images
Western blot - Anti-SCN7A antibody [EPR27096-569] (AB322467)
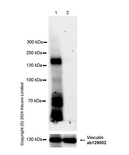
  • WB

Supplier Data

Western blot - Anti-SCN7A antibody [EPR27096-569] (AB322467)

Blocking and diluting buffer and concentration : 5% NFDM/TBST.

Negative control : skeletal muscle(PMID : 1379737)

To minimize protein degradation, tissues were lysed immediately after harvest and then applied to a gel and transfer membrane for Western blotting as soon as possible.

Samples are non-boiled as boiling may cause protein aggregation.

In Western blot, Anti-Vinculin antibody [EPR8185] (ab129002) staining at 1/10000 dilution.

All lanes:

Western blot - Anti-SCN7A antibody [EPR27096-569] (ab322467) at 1/1000 dilution

Lane 1:

Mouse heart tissue lysate at 50 µg

Lane 2:

Mouse skeletal muscle tissue lysate at 50 µg

Secondary

All lanes:

Western blot - Goat Anti-Rabbit IgG H&L (HRP) (<a href='/en-us/products/secondary-antibodies/goat-rabbit-igg-h-l-hrp-ab97051'>ab97051</a>) at 1/20000 dilution

Observed band size: 230 kDa,124 kDa

false

Exposure time: 70s

Western blot - Anti-SCN7A antibody [EPR27096-569] (AB322467)
  • WB

Supplier Data

Western blot - Anti-SCN7A antibody [EPR27096-569] (AB322467)

Blocking and diluting buffer and concentration : 5% NFDM/TBST.

Negative control : spleen(PMID : 1379737)

Samples are non-boiled as boiling may cause protein aggregation.

In Western blot, Anti-Vinculin antibody [EPR8185] (ab129002) staining at 1/10000 dilution.

All lanes:

Western blot - Anti-SCN7A antibody [EPR27096-569] (ab322467) at 1/1000 dilution

Lane 1:

Mouse dorsal ganglion tissue lysate at 50 µg

Lane 2:

Mouse spleen tissue lysate at 50 µg

Secondary

All lanes:

Western blot - Goat Anti-Rabbit IgG H&L (HRP) (<a href='/en-us/products/secondary-antibodies/goat-rabbit-igg-h-l-hrp-ab97051'>ab97051</a>) at 1/20000 dilution

Observed band size: 230 kDa,124 kDa

false

Exposure time: 15s

Western blot - Anti-SCN7A antibody [EPR27096-569] (AB322467)
  • WB

Supplier Data

Western blot - Anti-SCN7A antibody [EPR27096-569] (AB322467)

Blocking and diluting buffer and concentration : 5% NFDM/TBST.

Negative control : kidney(PMID : 1379737)

Low expression : brain(PMID : 1379737)

Samples are non-boiled as boiling may cause protein aggregation.

In Western blot, Anti-Vinculin antibody [EPR8185] (ab129002) staining at 1/10000 dilution.

All lanes:

Western blot - Anti-SCN7A antibody [EPR27096-569] (ab322467) at 1/1000 dilution

Lane 1:

Mouse spinal cord tissue lysate at 50 µg

Lane 2:

Mouse brain tissue lysate at 50 µg

Lane 3:

Mouse kidney tissue lysate at 50 µg

Secondary

All lanes:

Western blot - Goat Anti-Rabbit IgG H&L (HRP) (<a href='/en-us/products/secondary-antibodies/goat-rabbit-igg-h-l-hrp-ab97051'>ab97051</a>) at 1/20000 dilution

Observed band size: 230 kDa,124 kDa

false

Exposure time: 81s

Western blot - Anti-SCN7A antibody [EPR27096-569] (AB322467)
  • WB

Supplier Data

Western blot - Anti-SCN7A antibody [EPR27096-569] (AB322467)

Blocking and diluting buffer and concentration : 5% NFDM/TBST.

Negative control : kidney(PMID : 1379737)

Samples are non-boiled as boiling may cause protein aggregation.

In Western blot, Anti-Vinculin antibody [EPR8185] (ab129002) staining at 1/10000 dilution.

All lanes:

Western blot - Anti-SCN7A antibody [EPR27096-569] (ab322467) at 1/1000 dilution

Lane 1:

Rat heart tissue lysate at 50 µg

Lane 2:

Rat kidney tissue lysate at 50 µg

Lane 3:

Rat P14 spinal cord tissue lysate at 50 µg

Secondary

All lanes:

Western blot - Goat Anti-Rabbit IgG H&L (HRP) (<a href='/en-us/products/secondary-antibodies/goat-rabbit-igg-h-l-hrp-ab97051'>ab97051</a>) at 1/20000 dilution

Observed band size: 230 kDa,124 kDa

false

Exposure time: 26s

Indirect ELISA - Anti-SCN7A antibody [EPR27096-569] (AB322467)
  • I-ELISA

Supplier Data

Indirect ELISA - Anti-SCN7A antibody [EPR27096-569] (AB322467)

Indirect ELISA analysis of ab322467 at 1000-0 ng/ml. The Secondary antibody used was Alkaline Phosphatase-conjugated AffiniPure Goat Anti-Rabbit IgG (H+L) at 1 : 2500 dilution.

Antigen : Mouse SCN7A, Mouse SCN9A.

Antigen concentration : 1000 ng/ml

This antibody does not cross-react with mouse SCN9A

  • Carrier free

    Anti-SCN7A antibody [EPR27096-569] - BSA and Azide free

Key facts

Host species

Rabbit

Clonality

Monoclonal

Clone number

EPR27096-569

Isotype

IgG

Carrier free

No

Reacts with

Mouse, Rat

Applications

WB, I-ELISA

applications

Immunogen

The exact immunogen used to generate this antibody is proprietary information.

Reactivity data

{ "title": "Reactivity Data", "filters": { "stats": ["", "Species", "Dilution Info", "Notes"], "tabs": { "all-applications": {"fullname" : "All Applications", "shortname": "All Applications"}, "IELISA" : {"fullname" : "Indirect ELISA", "shortname":"I-ELISA"}, "WB" : {"fullname" : "Western blot", "shortname":"WB"}, "IHCFr" : {"fullname" : "Immunohistochemistry (Frozen sections)", "shortname":"IHC-Fr"}, "IHCP" : {"fullname" : "Immunohistochemistry (Formalin/PFA-fixed paraffin-embedded sections)", "shortname":"IHC-P"}, "ICCIF" : {"fullname" : "Immunocytochemistry/ Immunofluorescence", "shortname":"ICC/IF"} }, "product-promise": { "all": "all", "testedAndGuaranteed": "tested", "guaranteed": "expected", "predicted": "predicted", "notRecommended": "not-recommended" } }, "values": { "Mouse": { "IELISA-species-checked": "guaranteed", "IELISA-species-dilution-info": "", "IELISA-species-notes": "", "WB-species-checked": "testedAndGuaranteed", "WB-species-dilution-info": "1/1000", "WB-species-notes": "<p></p>", "IHCFr-species-checked": "notRecommended", "IHCFr-species-dilution-info": "", "IHCFr-species-notes": "<p></p>", "IHCP-species-checked": "notRecommended", "IHCP-species-dilution-info": "", "IHCP-species-notes": "<p></p>", "ICCIF-species-checked": "notRecommended", "ICCIF-species-dilution-info": "", "ICCIF-species-notes": "<p></p>" }, "Rat": { "IELISA-species-checked": "guaranteed", "IELISA-species-dilution-info": "", "IELISA-species-notes": "", "WB-species-checked": "testedAndGuaranteed", "WB-species-dilution-info": "1/1000", "WB-species-notes": "<p></p>", "IHCFr-species-checked": "notRecommended", "IHCFr-species-dilution-info": "", "IHCFr-species-notes": "<p></p>", "IHCP-species-checked": "notRecommended", "IHCP-species-dilution-info": "", "IHCP-species-notes": "<p></p>", "ICCIF-species-checked": "notRecommended", "ICCIF-species-dilution-info": "", "ICCIF-species-notes": "<p></p>" }, "Recombinant fragment - Mouse": { "IELISA-species-checked": "testedAndGuaranteed", "IELISA-species-dilution-info": "250 ng/mL", "IELISA-species-notes": "<p></p>", "WB-species-checked": "notRecommended", "WB-species-dilution-info": "", "WB-species-notes": "", "IHCFr-species-checked": "notRecommended", "IHCFr-species-dilution-info": "", "IHCFr-species-notes": "", "IHCP-species-checked": "notRecommended", "IHCP-species-dilution-info": "", "IHCP-species-notes": "", "ICCIF-species-checked": "notRecommended", "ICCIF-species-dilution-info": "", "ICCIF-species-notes": "" } } }

Product details

Patented technology
Our RabMAb® technology is a patented hybridoma-based technology for making rabbit monoclonal antibodies. For details on our patents, please refer to RabMAb® patents.

What are the advantages of a recombinant monoclonal antibody?
This product is a recombinant monoclonal antibody, which offers several advantages including:

  • - High batch-to-batch consistency and reproducibility
  • - Improved sensitivity and specificity
  • - Long-term security of supply
  • - Animal-free batch production

For more information, read more on recombinant antibodies.

Properties and storage information

Form
Liquid
Purification technique
Affinity purification Protein A
Storage buffer
pH: 7.2 - 7.4 Preservative: 0.01% Sodium azide Constituents: PBS, 40% Glycerol (glycerin, glycerine), 0.05% BSA
Shipped at conditions
Blue Ice
Appropriate short-term storage duration
1-2 weeks
Appropriate short-term storage conditions
+4°C
Appropriate long-term storage conditions
-20°C
Aliquoting information
Upon delivery aliquot
Storage information
Avoid freeze / thaw cycle

Product protocols

For this product, it's our understanding that no specific protocols are required. You can visit:

Target data

Sodium leak channel functioning as an osmosensor regulating sodium ion levels in various tissues and organs. While most sodium channels are voltage-gated, SCN7A is not and lets sodium flow through membrane along its concentration gradient (PubMed : 11027237, PubMed : 11992118, PubMed : 17408578, PubMed : 27252474). In glial cells of the central nervous system, senses body-fluid sodium levels and controls salt intake behavior as well as voluntary water intake through activation of nearby neurons to maintain appropriate sodium levels in the body (PubMed : 11027237, PubMed : 17408578, PubMed : 27252474). By mediating sodium influx into keratinocytes, also plays a role in skin barrier homeostasis (By similarity).
See full target information Scn7a

Product promise

We are committed to supporting your work with high-quality reagents, and we're here for you every step of the way. In the unlikely event that one of our products does not perform as expected, you're protected by our Product Promise.
For full details, please see our Terms & Conditions

Please note: All products are 'FOR RESEARCH USE ONLY. NOT FOR USE IN DIAGNOSTIC OR THERAPEUTIC PROCEDURES'.

For licensing inquiries, please contact partnerships@abcam.com