JavaScript is disabled in your browser. Please enable JavaScript to view this website.
AB175191

Anti-SCP1 antibody [EP7918]

4

(3 Reviews)

|

(8 Publications)

Rabbit Monoclonal SCP1 antibody. Suitable for IHC-P, WB and reacts with Human, Mouse, Rat samples. Cited in 8 publications.

View Alternative Names

SCP1, SYCP1, Synaptonemal complex protein 1, SCP-1, Cancer/testis antigen 8, CT8

4 Images
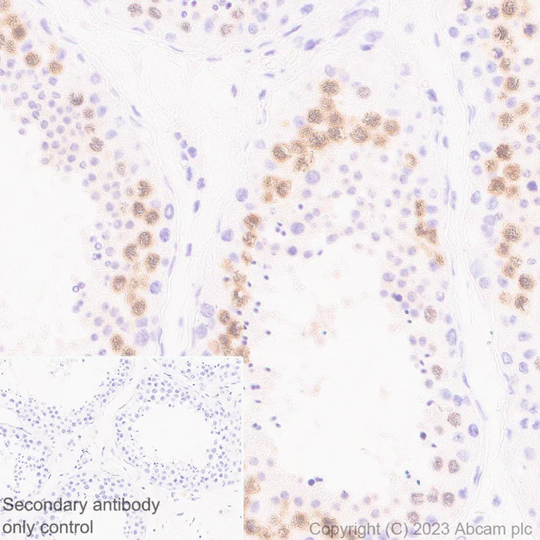
Immunohistochemistry (Formalin/PFA-fixed paraffin-embedded sections) - Anti-SCP1 antibody [EP7918] (AB175191)
  • IHC-P

Supplier Data

Immunohistochemistry (Formalin/PFA-fixed paraffin-embedded sections) - Anti-SCP1 antibody [EP7918] (AB175191)

Immunohistochemical analysis of paraffin-embedded Human testis tissue labeling SCP1 with ab175191 at 1/100 dilution followed by a ready to use LeicaDS9800 (Bond™ Polymer Refine Detection). Positive staining on human testis. The immunostaining was performed on a Leica Biosystems BOND® RX instrument. Counterstained with Hematoxylin. Secondary antibody only control : Secondary antibody is a ready to use LeicaDS9800 (Bond™ Polymer Refine Detection). Heat mediated antigen retrieval was performed with Tris-EDTA buffer (pH 9.0, epitope retrieval solution 2) for 20 mins.

Immunohistochemistry (Formalin/PFA-fixed paraffin-embedded sections) - Anti-SCP1 antibody [EP7918] (AB175191)
  • IHC-P

Supplier Data

Immunohistochemistry (Formalin/PFA-fixed paraffin-embedded sections) - Anti-SCP1 antibody [EP7918] (AB175191)

Immunohistochemical analysis of paraffin-embedded Mouse testis tissue labeling SCP1 with ab175191 at 1/1000 dilution followed by a ready to use LeicaDS9800 (Bond™ Polymer Refine Detection). Positive staining on mouse testis. The immunostaining was performed on a Leica Biosystems BOND® RX instrument. Counterstained with Hematoxylin. Secondary antibody only control : Secondary antibody is a ready to use LeicaDS9800 (Bond™ Polymer Refine Detection). Heat mediated antigen retrieval was performed with Tris-EDTA buffer (pH 9.0, epitope retrieval solution 2) for 20 mins.

Immunohistochemistry (Formalin/PFA-fixed paraffin-embedded sections) - Anti-SCP1 antibody [EP7918] (AB175191)
  • IHC-P

Supplier Data

Immunohistochemistry (Formalin/PFA-fixed paraffin-embedded sections) - Anti-SCP1 antibody [EP7918] (AB175191)

Immunohistochemical analysis of paraffin-embedded Rat testis tissue labeling SCP1 with ab175191 at 1/1000 dilution followed by a ready to use LeicaDS9800 (Bond™ Polymer Refine Detection). Positive staining on rat testis. The immunostaining was performed on a Leica Biosystems BOND® RX instrument. Counterstained with Hematoxylin. Secondary antibody only control : Secondary antibody is a ready to use LeicaDS9800 (Bond™ Polymer Refine Detection). Heat mediated antigen retrieval was performed with Tris-EDTA buffer (pH 9.0, epitope retrieval solution 2) for 20 mins.

Western blot - Anti-SCP1 antibody [EP7918] (AB175191)
  • WB

Supplier Data

Western blot - Anti-SCP1 antibody [EP7918] (AB175191)

All lanes:

Western blot - Anti-SCP1 antibody [EP7918] (ab175191) at 1/5000 dilution

Lane 1:

Human testis lysate at 15 µg

Lane 2:

Mouse testis lysate at 15 µg

Lane 3:

Rat testis lysate at 15 µg

Observed band size: 114 kDa

false

Exposure time: 60s

  • Carrier free

    Anti-SCP1 antibody [EP7918] - BSA and Azide free

Key facts

Host species

Rabbit

Clonality

Monoclonal

Clone number

EP7918

Isotype

IgG

Carrier free

No

Reacts with

Human, Mouse, Rat

Applications

IHC-P, WB

applications

Immunogen

The exact immunogen used to generate this antibody is proprietary information.

Reactivity data

{ "title": "Reactivity Data", "filters": { "stats": ["", "Species", "Dilution Info", "Notes"], "tabs": { "all-applications": {"fullname" : "All Applications", "shortname": "All Applications"}, "IP" : {"fullname" : "Immunoprecipitation", "shortname":"IP"}, "IHCP" : {"fullname" : "Immunohistochemistry (Formalin/PFA-fixed paraffin-embedded sections)", "shortname":"IHC-P"}, "FlowCyt" : {"fullname" : "Flow Cytometry", "shortname":"Flow Cyt"}, "WB" : {"fullname" : "Western blot", "shortname":"WB"}, "ICCIF" : {"fullname" : "Immunocytochemistry/ Immunofluorescence", "shortname":"ICC/IF"} }, "product-promise": { "all": "all", "testedAndGuaranteed": "tested", "guaranteed": "expected", "predicted": "predicted", "notRecommended": "not-recommended" } }, "values": { "Human": { "IP-species-checked": "notRecommended", "IP-species-dilution-info": "", "IP-species-notes": "<p></p>", "IHCP-species-checked": "testedAndGuaranteed", "IHCP-species-dilution-info": "1/100", "IHCP-species-notes": "<p></p>", "FlowCyt-species-checked": "notRecommended", "FlowCyt-species-dilution-info": "", "FlowCyt-species-notes": "<p></p>", "WB-species-checked": "testedAndGuaranteed", "WB-species-dilution-info": "1/1000", "WB-species-notes": "<p></p>", "ICCIF-species-checked": "notRecommended", "ICCIF-species-dilution-info": "", "ICCIF-species-notes": "<p></p>" }, "Mouse": { "IP-species-checked": "notRecommended", "IP-species-dilution-info": "", "IP-species-notes": "<p></p>", "IHCP-species-checked": "testedAndGuaranteed", "IHCP-species-dilution-info": "1/1000", "IHCP-species-notes": "<p></p>", "FlowCyt-species-checked": "notRecommended", "FlowCyt-species-dilution-info": "", "FlowCyt-species-notes": "<p></p>", "WB-species-checked": "testedAndGuaranteed", "WB-species-dilution-info": "1/1000", "WB-species-notes": "<p></p>", "ICCIF-species-checked": "notRecommended", "ICCIF-species-dilution-info": "", "ICCIF-species-notes": "" }, "Rat": { "IP-species-checked": "notRecommended", "IP-species-dilution-info": "", "IP-species-notes": "<p></p>", "IHCP-species-checked": "testedAndGuaranteed", "IHCP-species-dilution-info": "1/1000", "IHCP-species-notes": "<p></p>", "FlowCyt-species-checked": "notRecommended", "FlowCyt-species-dilution-info": "", "FlowCyt-species-notes": "<p></p>", "WB-species-checked": "testedAndGuaranteed", "WB-species-dilution-info": "1/1000", "WB-species-notes": "<p></p>", "ICCIF-species-checked": "notRecommended", "ICCIF-species-dilution-info": "", "ICCIF-species-notes": "" } } }

Product details

Patented technology
Our RabMAb® technology is a patented hybridoma-based technology for making rabbit monoclonal antibodies. For details on our patents, please refer to RabMAb® patents.

What are the advantages of a recombinant monoclonal antibody?
This product is a recombinant monoclonal antibody, which offers several advantages including:

  • - High batch-to-batch consistency and reproducibility
  • - Improved sensitivity and specificity
  • - Long-term security of supply
  • - Animal-free batch production

For more information, read more on recombinant antibodies.

Properties and storage information

Form
Liquid
Purification technique
Affinity purification Protein A
Storage buffer
pH: 7.2 - 7.4 Preservative: 0.01% Sodium azide Constituents: PBS, 40% Glycerol (glycerin, glycerine), 0.05% BSA
Shipped at conditions
Blue Ice
Appropriate short-term storage duration
1-2 weeks
Appropriate short-term storage conditions
+4°C
Appropriate long-term storage conditions
-20°C
Aliquoting information
Upon delivery aliquot
Storage information
Avoid freeze / thaw cycle

Supplementary information

This supplementary information is collated from multiple sources and compiled automatically.

SCP1 also known as Small Cajal body-specific phosphatase 1 is a protein that acts as a phosphatase. This protein weighs approximately 33 kDa and is expressed in various tissues particularly in the Golgi apparatus and nucleolar regions. SCP1 functions primarily by removing phosphate groups from phosphoserine or phosphothreonine residues on various substrates which regulates their activity and function.
Biological function summary

SCP1 plays a role in RNA synthesis and processing. It is closely associated with the Cajal body a nuclear organelle involved in RNA biogenesis. Within this complex SCP1 contributes to the maturation of small nuclear ribonucleoproteins (snRNPs) which are essential components of the spliceosomal machinery. This influences how genetic information gets translated into proteins impacting cellular function and responses.

Pathways

SCP1 is integral to both RNA processing and DNA repair mechanisms. Specifically SCP1 participates in the spliceosome pathway interacting with proteins like SMN and coilin which are vital for spliceosome assembly. SCP1 is also linked to the DNA damage response pathway involving other proteins such as ATM and ATR which signal and repair DNA damage to maintain genomic stability.

SCP1 has shown connections to neurological disorders and cancer. In neurodegenerative conditions such as spinal muscular atrophy SCP1 dysregulation affects the SMN protein impacting snRNP assembly. In cancer altered SCP1 activity has been linked to changes in ATM signaling which can lead to unchecked cell growth and division. Understanding SCP1 interactions in these diseases could provide insights into novel therapeutic targets.

Product protocols

For this product, it's our understanding that no specific protocols are required. You can visit:

Target data

Major component of the transverse filaments of synaptonemal complexes, formed between homologous chromosomes during meiotic prophase. Required for normal assembly of the central element of the synaptonemal complexes. Required for normal centromere pairing during meiosis. Required for normal meiotic chromosome synapsis during oocyte and spermatocyte development and for normal male and female fertility.
See full target information SYCP1

Publications (8)

Recent publications for all applications. Explore the full list and refine your search

Reproductive biology and endocrinology : RB&E 22:113 PubMed39210375

2024

Fance deficiency impaired DNA damage repair of prospermatogonia and altered the repair dynamics of spermatocytes.

Applications

Unspecified application

Species

Unspecified reactive species

Huan Yin,Zhixian Zhou,Chun Fu

Advanced science (Weinheim, Baden-Wurttemberg, Germany) 11:e2402412 PubMed38958533

2024

HSF5 Deficiency Causes Male Infertility Involving Spermatogenic Arrest at Meiotic Prophase I in Humans and Mice.

Applications

Unspecified application

Species

Unspecified reactive species

Mohan Liu,Lingbo Wang,Yifei Li,Erlei Zhi,Gan Shen,Xiaohui Jiang,Dingming Li,Xinya Zhao,Tiechao Ruan,Chuan Jiang,Xiang Wang,Xueguang Zhang,Yanjiang Zheng,Bangguo Wu,Ningjing Ou,Guicheng Zhao,Siyu Dai,Ruixi Zhou,Li Yang,Yihong Yang,Hanmin Liu,Ying Shen

eLife 12: PubMed37505079

2023

Mitochondrial defects caused by PARL deficiency lead to arrested spermatogenesis and ferroptosis.

Applications

Unspecified application

Species

Unspecified reactive species

Enrico Radaelli,Charles-Antoine Assenmacher,Jillian Verrelle,Esha Banerjee,Florence Manero,Salim Khiati,Anais Girona,Guillermo Lopez-Lluch,Placido Navas,Marco Spinazzi

iScience 25:105552 PubMed36444304

2022

Chromodomain helicase DNA-binding domain 2 maintains spermatogonial self-renewal by promoting chromatin accessibility and mRNA stability.

Applications

Unspecified application

Species

Unspecified reactive species

Ziqian Min,Huan Xin,Xiaowen Liu,Jingyu Wan,Ziling Fan,Xinxu Rao,Jiahui Fan,Lifang Yang,Dan Li

Stem cells (Dayton, Ohio) 39:1395-1409 PubMed34169608

2021

DUSP5 promotes osteogenic differentiation through SCP1/2-dependent phosphorylation of SMAD1.

Applications

Unspecified application

Species

Unspecified reactive species

Xuejiao Liu,Xuenan Liu,Yangge Du,Menglong Hu,Yueming Tian,Zheng Li,Longwei Lv,Xiao Zhang,Yunsong Liu,Yongsheng Zhou,Ping Zhang

Molecular reproduction and development 86:252-264 PubMed30614095

2019

Sohlh1 is required for synaptonemal complex formation by transcriptionally regulating meiotic genes during spermatogenesis in mice.

Applications

Unspecified application

Species

Unspecified reactive species

Yuan Li,Wanjing Qi,Gongqing Liu,Bing Du,Qi Sun,Xue Zhang,Meiyu Jin,Wanwei Dong,Jia Liu,Zhihong Zheng

Osteoarthritis and cartilage 24:1113-24 PubMed26826302

2016

Hypoxia regulates sumoylation pathways in intervertebral disc cells: implications for hypoxic adaptations.

Applications

Unspecified application

Species

Unspecified reactive species

F Wang,F Cai,R Shi,J-N Wei,X-T Wu

Human molecular genetics 24:5234-49 PubMed26123487

2015

FANCB is essential in the male germline and regulates H3K9 methylation on the sex chromosomes during meiosis.

Applications

Unspecified application

Species

Unspecified reactive species

Yasuko Kato,Kris G Alavattam,Ho-Su Sin,Amom Ruhikanta Meetei,Qishen Pang,Paul R Andreassen,Satoshi H Namekawa
View all publications

Product promise

We are committed to supporting your work with high-quality reagents, and we're here for you every step of the way. In the unlikely event that one of our products does not perform as expected, you're protected by our Product Promise.
For full details, please see our Terms & Conditions

Please note: All products are 'FOR RESEARCH USE ONLY. NOT FOR USE IN DIAGNOSTIC OR THERAPEUTIC PROCEDURES'.

For licensing inquiries, please contact partnerships@abcam.com