JavaScript is disabled in your browser. Please enable JavaScript to view this website.
AB303520

Anti-SCP1 antibody [EPR27085-83]

  • BOND RX™ Validated
  • 20ul selling size
  • RabMAb
  • Recombinant
  • Advanced Validation
  • What is this?

Be the first to review this product! Submit a review

|

(2 Publications)

Rabbit Recombinant Monoclonal SCP1 antibody. Suitable for WB, IHC-P, IHC-Fr, IP, mIHC and reacts with Mouse, Rat samples. Cited in 2 publications.

View Alternative Names

Scp1, Sycp1, Synaptonemal complex protein 1, SCP-1

11 Images
Multiplex immunohistochemistry - Anti-SCP1 antibody [EPR27085-83] (AB303520)
  • mIHC

Lab

Multiplex immunohistochemistry - Anti-SCP1 antibody [EPR27085-83] (AB303520)

Immunohistochemistry analysis of Formalin/PFA-fixed paraffin-embedded sections Mouse testis tissue labelling Lin28A with ab279647 at 1 : 1000 dilution (B), STAT4 with ab284408 at 1 : 500 dilution (C) and SCP1 with [ab303520 at 1 : 500 dilution (D). Opal Polymer HRP Ms + Rb was used as a secondary antibody, and DAPI was used for a nuclear counter stain. Heat mediated antigen retrieval with Tris-EDTA buffer (pH 9.0, epitope retrieval solution2) for 20 mins.

Panel A : merged staining of anti-Lin28A (green; Opal™520), anti-STAT4 (magenta; Opal™690) and anti-SCP1 (gray; Opal™570) on mouse testis.

Panel B : anti-Lin28A staining undifferentiated spermatogonia in mouse testis.

Panel C : ant-STAT4 staining round spermatids (rs) and elongated spermatids (es) in mouse testis.

Panel D : ant-SCP1 staining spermatocytes in mouse testis.

Nuclear DNA was labeled with DAPI (shown in blue).

The section was incubated in three rounds of staining : in the order of ab279647, ab284408 and ab303520 for 30 mins at room temperature. Each round was followed by a separate fluorescent tyramide signal amplification system.

The immunostaining was performed on a Leica Biosystems BOND® RX instrument with an Opal™ 4-color kit. Image acquisition was performed with Leica SP8 confocal microscope.

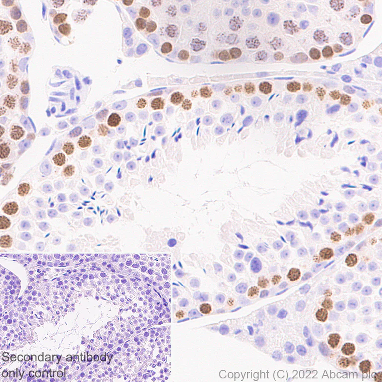
Immunohistochemistry (Formalin/PFA-fixed paraffin-embedded sections) - Anti-SCP1 antibody [EPR27085-83] (AB303520)
  • IHC-P

Supplier Data

Immunohistochemistry (Formalin/PFA-fixed paraffin-embedded sections) - Anti-SCP1 antibody [EPR27085-83] (AB303520)

Immunohistochemical analysis of paraffin-embedded Mouse testis tissue labeling SCP1 with ab303520 at 1/500 (1.074 ug/ml) followed by a ready to use LeicaDS9800 (Bond™ Polymer Refine Detection) was used. Nuclear staining in mouse testis. The section was incubated with ab303520 for 30 mins at room temperature. The immunostaining was performed on a Leica Biosystems BOND® RX instrument. Counterstained with Hematoxylin. Secondary antibody only control : Secondary antibody is a ready to use LeicaDS9800 (Bond™ Polymer Refine Detection).Heat mediated antigen retrieval with Tris-EDTA buffer (pH 9.0, epitope retrieval solution2) for 20 mins

Immunohistochemistry (Formalin/PFA-fixed paraffin-embedded sections) - Anti-SCP1 antibody [EPR27085-83] (AB303520)
  • IHC-P

Supplier Data

Immunohistochemistry (Formalin/PFA-fixed paraffin-embedded sections) - Anti-SCP1 antibody [EPR27085-83] (AB303520)

Immunohistochemical analysis of paraffin-embedded Mouse cardiac muscle tissue labeling SCP1 with ab303520 at 1/500 (1.074 ug/ml) followed by a ready to use LeicaDS9800 (Bond™ Polymer Refine Detection) was used. Negative control : No staining in mouse cardiac muscle. The section was incubated with ab303520 for 30 mins at room temperature. The immunostaining was performed on a Leica Biosystems BOND® RX instrument. Counterstained with Hematoxylin. Secondary antibody only control : Secondary antibody is a ready to use LeicaDS9800 (Bond™ Polymer Refine Detection).Heat mediated antigen retrieval with Tris-EDTA buffer (pH 9.0, epitope retrieval solution2) for 20 mins

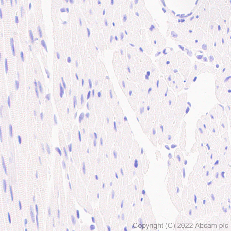
Immunohistochemistry (Formalin/PFA-fixed paraffin-embedded sections) - Anti-SCP1 antibody [EPR27085-83] (AB303520)
  • IHC-P

Supplier Data

Immunohistochemistry (Formalin/PFA-fixed paraffin-embedded sections) - Anti-SCP1 antibody [EPR27085-83] (AB303520)

Immunohistochemical analysis of paraffin-embedded Rat cardiac muscle tissue labeling SCP1 with ab303520 at 1/500 (1.074 ug/ml) followed by a ready to use LeicaDS9800 (Bond™ Polymer Refine Detection) was used. Negative control : No staining in rat cardiac muscle. The section was incubated with ab303520 for 30 mins at room temperature. The immunostaining was performed on a Leica Biosystems BOND® RX instrument. Counterstained with Hematoxylin. Secondary antibody only control : Secondary antibody is a ready to use LeicaDS9800 (Bond™ Polymer Refine Detection).Heat mediated antigen retrieval with Tris-EDTA buffer (pH 9.0, epitope retrieval solution2) for 20 mins

Immunohistochemistry (Frozen sections) - Anti-SCP1 antibody [EPR27085-83] (AB303520)
  • IHC-Fr

Supplier Data

Immunohistochemistry (Frozen sections) - Anti-SCP1 antibody [EPR27085-83] (AB303520)

Immunohistochemical analysis of 4% PFA-fixed, 0.2% Triton X-100 permeabilized frozen Mouse heart (fresh) tissue labeling SCP1 with ab303520 at 1/500 (1.074 ug/ml) dilution followed by ab150081 Goat Anti-Rabbit IgG H&L (Alexa Fluor® 488) preadsorbed at 1/1000 2 ug/mL dilution (Green). Negative control : confocal image showing positive staining on mouse heart (PMID : 18425777). The nuclear counterstain was DAPI (Blue). The section was incubated with ab303520 for 60mins at room temperature. The section was then mounted using Fluoromount®.The immunostaining was performed on a Leica Biosystems BOND® RX instrument. Image was taken with a confocal microscope (Leica-Microsystems, TCS SP8). Secondary antibody control : Secondary antibody is ab150081 Goat Anti-Rabbit IgG H&L (Alexa Fluor® 488) preadsorbedat 1/1000 2 ug/mL dilution.

Immunohistochemistry (Frozen sections) - Anti-SCP1 antibody [EPR27085-83] (AB303520)
  • IHC-Fr

Supplier Data

Immunohistochemistry (Frozen sections) - Anti-SCP1 antibody [EPR27085-83] (AB303520)

Immunohistochemical analysis of 4% PFA-fixed, 0.2% Triton X-100 permeabilized frozen Rat testis (fresh) tissue labeling SCP1 with ab303520 at 1/500 (1.074 ug/ml) dilution followed by ab150081 Goat Anti-Rabbit IgG H&L (Alexa Fluor® 488) preadsorbed at 1/1000 2 ug/mL dilution (Green). Confocal image showing positive staining on rat testis. The nuclear counterstain was DAPI (Blue). The section was incubated with ab303520 for 60mins at room temperature. The section was then mounted using Fluoromount®.The immunostaining was performed on a Leica Biosystems BOND® RX instrument. Image was taken with a confocal microscope (Leica-Microsystems, TCS SP8). Secondary antibody control : Secondary antibody is ab150081 Goat Anti-Rabbit IgG H&L (Alexa Fluor® 488) preadsorbedat 1/1000 2 ug/mL dilution.

Immunohistochemistry (Frozen sections) - Anti-SCP1 antibody [EPR27085-83] (AB303520)
  • IHC-Fr

Supplier Data

Immunohistochemistry (Frozen sections) - Anti-SCP1 antibody [EPR27085-83] (AB303520)

Immunohistochemical analysis of 4% PFA-fixed, 0.2% Triton X-100 permeabilized frozen Rat heart (fresh) tissue labeling SCP1 with ab303520 at 1/500 (1.074 ug/ml) dilution followed by ab150081 Goat Anti-Rabbit IgG H&L (Alexa Fluor® 488) preadsorbed at 1/1000 2 ug/mL dilution (Green). Confocal image showing positive staining on rat heart (PMID : 18425777). The nuclear counterstain was DAPI (Blue). The section was incubated with ab303520 for 60mins at room temperature. The section was then mounted using Fluoromount®.The immunostaining was performed on a Leica Biosystems BOND® RX instrument. Image was taken with a confocal microscope (Leica-Microsystems, TCS SP8). Secondary antibody control : Secondary antibody is ab150081 Goat Anti-Rabbit IgG H&L (Alexa Fluor® 488) preadsorbedat 1/1000 2 ug/mL dilution.

Immunohistochemistry (Frozen sections) - Anti-SCP1 antibody [EPR27085-83] (AB303520)
  • IHC-Fr

Supplier Data

Immunohistochemistry (Frozen sections) - Anti-SCP1 antibody [EPR27085-83] (AB303520)

Immunohistochemical analysis of 4% PFA-fixed, 0.2% Triton X-100 permeabilized frozen Mouse testis (fresh) tissue labeling SCP1 with ab303520 at 1/500 (1.074 ug/ml) dilution followed by ab150081 Goat Anti-Rabbit IgG H&L (Alexa Fluor® 488) preadsorbed at 1/1000 2 ug/mL dilution (Green). Confocal image showing positive staining on mouse testis. The nuclear counterstain was DAPI (Blue). The section was incubated with ab303520 for 60mins at room temperature. The section was then mounted using Fluoromount®.The immunostaining was performed on a Leica Biosystems BOND® RX instrument. Image was taken with a confocal microscope (Leica-Microsystems, TCS SP8). Secondary antibody control : Secondary antibody is ab150081 Goat Anti-Rabbit IgG H&L (Alexa Fluor® 488) preadsorbedat 1/1000 2 ug/mL dilution.

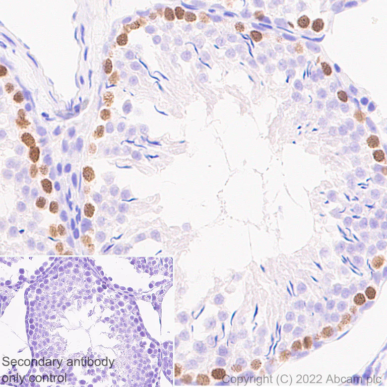
Immunohistochemistry (Formalin/PFA-fixed paraffin-embedded sections) - Anti-SCP1 antibody [EPR27085-83] (AB303520)
  • IHC-P

Supplier Data

Immunohistochemistry (Formalin/PFA-fixed paraffin-embedded sections) - Anti-SCP1 antibody [EPR27085-83] (AB303520)

Immunohistochemical analysis of paraffin-embedded Rat testis tissue labeling SCP1 with ab303520 at 1/500 (1.074 ug/ml) followed by a ready to use LeicaDS9800 (Bond™ Polymer Refine Detection) was used. Nuclear staining in rat testis. The section was incubated with ab303520 for 30 mins at room temperature. The immunostaining was performed on a Leica Biosystems BOND® RX instrument. Counterstained with Hematoxylin. Secondary antibody only control : Secondary antibody is a ready to use LeicaDS9800 (Bond™ Polymer Refine Detection).Heat mediated antigen retrieval with Tris-EDTA buffer (pH 9.0, epitope retrieval solution2) for 20 mins

Multiplex immunohistochemistry - Anti-SCP1 antibody [EPR27085-83] (AB303520)
  • mIHC

Lab

Multiplex immunohistochemistry - Anti-SCP1 antibody [EPR27085-83] (AB303520)

Immunohistochemistry analysis of Formalin/PFA-fixed paraffin-embedded sections Rat testis labelling Lin28A with ab279647 at 1 : 1000 dilution (B), STAT4 with ab284408 at 1 : 500 dilution (C) and SCP1 with ab303520 at 1 : 500 dilution (D). Opal Polymer HRP Ms + Rb was used as a secondary antibody, and DAPI was used for a nuclear counter stain. Heat mediated antigen retrieval with Tris-EDTA buffer (pH 9.0, epitope retrieval solution2) for 20 mins.

Panel A : merged staining of anti-Lin28A (green; Opal™520), anti-STAT4 (magenta; Opal™690) and anti-SCP1 (gray; Opal™570) on rat testis.

Panel B : anti-Lin28A staining undifferentiated spermatogonia in rat testis.

Panel C : ant-STAT4 staining round spermatids (rs) and elongated spermatids (es) in rat testis.

Panel D : ant-SCP1 staining spermatocytes in rat testis.

Nuclear DNA was labeled with DAPI (shown in blue).

The section was incubated in three rounds of staining : in the order of ab279647, ab284408 and ab303520 for 30 mins at room temperature. Each round was followed by a separate fluorescent tyramide signal amplification system.

The immunostaining was performed on a Leica Biosystems BOND® RX instrument with an Opal™ 4-color kit. Image acquisition was performed with Leica SP8 confocal microscope.

Western blot - Anti-SCP1 antibody [EPR27085-83] (AB303520)
  • WB

Supplier Data

Western blot - Anti-SCP1 antibody [EPR27085-83] (AB303520)

Blocking / Diluting buffer and concentration : 5% NFDM/TBST Negative control : heart (PMID : 18425777)

All lanes:

Western blot - Anti-SCP1 antibody [EPR27085-83] (ab303520) at 1/1000 dilution

Lane 1:

Mouse testis tissue lysate at 20 µg

Lane 2:

Mouse heart tissue lysate at 20 µg

Lane 3:

Rat testis tissue lysate at 20 µg

Lane 4:

Rat heart tissue lysate at 20 µg

Secondary

All lanes:

Western blot - Goat Anti-Rabbit IgG H&L (HRP) (<a href='/en-us/products/secondary-antibodies/goat-rabbit-igg-h-l-hrp-ab97051'>ab97051</a>) at 1/50000 dilution

Predicted band size: 114 kDa

Observed band size: 140 kDa

false

Exposure time: 114s

  • Carrier free

    Anti-SCP1 antibody [EPR27085-83] - BSA and Azide free

Key facts

Host species

Rabbit

Clonality

Monoclonal

Clone number

EPR27085-83

Isotype

IgG

Carrier free

No

Reacts with

Mouse, Rat

Applications

IP, WB, mIHC, IHC-Fr, IHC-P

applications

Immunogen

The exact immunogen used to generate this antibody is proprietary information.

Reactivity data

{ "title": "Reactivity Data", "filters": { "stats": ["", "Species", "Dilution Info", "Notes"], "tabs": { "all-applications": {"fullname" : "All Applications", "shortname": "All Applications"}, "WB" : {"fullname" : "Western blot", "shortname":"WB"}, "IHCP" : {"fullname" : "Immunohistochemistry (Formalin/PFA-fixed paraffin-embedded sections)", "shortname":"IHC-P"}, "IHCFr" : {"fullname" : "Immunohistochemistry (Frozen sections)", "shortname":"IHC-Fr"}, "ICCIF" : {"fullname" : "Immunocytochemistry/ Immunofluorescence", "shortname":"ICC/IF"}, "IP" : {"fullname" : "Immunoprecipitation", "shortname":"IP"}, "mIHC" : {"fullname" : "Multiplex immunohistochemistry", "shortname":"mIHC"} }, "product-promise": { "all": "all", "testedAndGuaranteed": "tested", "guaranteed": "expected", "predicted": "predicted", "notRecommended": "not-recommended" } }, "values": { "Human": { "WB-species-checked": "notRecommended", "WB-species-dilution-info": "1/1000", "WB-species-notes": "<p></p>", "IHCP-species-checked": "notRecommended", "IHCP-species-dilution-info": "1/500", "IHCP-species-notes": "<p></p>", "IHCFr-species-checked": "notRecommended", "IHCFr-species-dilution-info": "", "IHCFr-species-notes": "", "ICCIF-species-checked": "notRecommended", "ICCIF-species-dilution-info": "", "ICCIF-species-notes": "", "IP-species-checked": "notRecommended", "IP-species-dilution-info": "", "IP-species-notes": "", "mIHC-species-checked": "notRecommended", "mIHC-species-dilution-info": "", "mIHC-species-notes": "" }, "Mouse": { "WB-species-checked": "testedAndGuaranteed", "WB-species-dilution-info": "1/1000", "WB-species-notes": "<p></p>", "IHCP-species-checked": "testedAndGuaranteed", "IHCP-species-dilution-info": "1/500", "IHCP-species-notes": "<p></p>", "IHCFr-species-checked": "testedAndGuaranteed", "IHCFr-species-dilution-info": "1/500", "IHCFr-species-notes": "<p></p>", "ICCIF-species-checked": "notRecommended", "ICCIF-species-dilution-info": "", "ICCIF-species-notes": "<p></p>", "IP-species-checked": "testedAndGuaranteed", "IP-species-dilution-info": "1/30", "IP-species-notes": "<p></p>", "mIHC-species-checked": "testedAndGuaranteed", "mIHC-species-dilution-info": "1/500", "mIHC-species-notes": "<p></p>" }, "Rat": { "WB-species-checked": "testedAndGuaranteed", "WB-species-dilution-info": "1/1000", "WB-species-notes": "<p></p>", "IHCP-species-checked": "testedAndGuaranteed", "IHCP-species-dilution-info": "1/500", "IHCP-species-notes": "<p></p>", "IHCFr-species-checked": "testedAndGuaranteed", "IHCFr-species-dilution-info": "1/500", "IHCFr-species-notes": "<p></p>", "ICCIF-species-checked": "notRecommended", "ICCIF-species-dilution-info": "", "ICCIF-species-notes": "", "IP-species-checked": "guaranteed", "IP-species-dilution-info": "", "IP-species-notes": "", "mIHC-species-checked": "testedAndGuaranteed", "mIHC-species-dilution-info": "1/500", "mIHC-species-notes": "<p></p>" } } }

Product details

Patented technology
Our RabMAb® technology is a patented hybridoma-based technology for making rabbit monoclonal antibodies. For details on our patents, please refer to RabMAb® patents.

What are the advantages of a recombinant monoclonal antibody?
This product is a recombinant monoclonal antibody, which offers several advantages including:

  • - High batch-to-batch consistency and reproducibility
  • - Improved sensitivity and specificity
  • - Long-term security of supply
  • - Animal-free batch production

For more information, read more on recombinant antibodies.

Properties and storage information

Form
Liquid
Purification technique
Affinity purification Protein A
Storage buffer
pH: 7.2 - 7.4 Preservative: 0.01% Sodium azide Constituents: PBS, 40% Glycerol (glycerin, glycerine), 0.05% BSA
Shipped at conditions
Blue Ice
Appropriate short-term storage duration
1-2 weeks
Appropriate short-term storage conditions
+4°C
Appropriate long-term storage conditions
-20°C
Aliquoting information
Upon delivery aliquot
Storage information
Avoid freeze / thaw cycle

Supplementary information

This supplementary information is collated from multiple sources and compiled automatically.

SCP1 also known as Small Cajal body-specific phosphatase 1 is a protein that acts as a phosphatase. This protein weighs approximately 33 kDa and is expressed in various tissues particularly in the Golgi apparatus and nucleolar regions. SCP1 functions primarily by removing phosphate groups from phosphoserine or phosphothreonine residues on various substrates which regulates their activity and function.
Biological function summary

SCP1 plays a role in RNA synthesis and processing. It is closely associated with the Cajal body a nuclear organelle involved in RNA biogenesis. Within this complex SCP1 contributes to the maturation of small nuclear ribonucleoproteins (snRNPs) which are essential components of the spliceosomal machinery. This influences how genetic information gets translated into proteins impacting cellular function and responses.

Pathways

SCP1 is integral to both RNA processing and DNA repair mechanisms. Specifically SCP1 participates in the spliceosome pathway interacting with proteins like SMN and coilin which are vital for spliceosome assembly. SCP1 is also linked to the DNA damage response pathway involving other proteins such as ATM and ATR which signal and repair DNA damage to maintain genomic stability.

SCP1 has shown connections to neurological disorders and cancer. In neurodegenerative conditions such as spinal muscular atrophy SCP1 dysregulation affects the SMN protein impacting snRNP assembly. In cancer altered SCP1 activity has been linked to changes in ATM signaling which can lead to unchecked cell growth and division. Understanding SCP1 interactions in these diseases could provide insights into novel therapeutic targets.

Product protocols

For this product, it's our understanding that no specific protocols are required. You can visit:

Target data

Major component of the transverse filaments of synaptonemal complexes, formed between homologous chromosomes during meiotic prophase (PubMed : 16717126). Required for normal assembly of the central element of the synaptonemal complexes (PubMed : 15937223). Required for normal centromere pairing during meiosis (PubMed : 22761579). Required for normal meiotic chromosome synapsis during oocyte and spermatocyte development and for normal male and female fertility (PubMed : 15937223).
See full target information Sycp1

Publications (2)

Recent publications for all applications. Explore the full list and refine your search

Cell discovery 11:74 PubMed40921762

2025

Intrauterine hyperglycemia impairs mouse primordial germ cell development and fertility by sex-specific epigenetic reprogramming interference.

Applications

Unspecified application

Species

Unspecified reactive species

Jiangshan Cong,Qing Li,Yangyang Li,Minghao Li,Yan Shi,Peiran Hu,Xidi Yin,Qianyun Zhang,Jianzhong Sheng,Jinsong Li,Guolian Ding,Yu Zhang,Hefeng Huang

Cell death discovery 11:251 PubMed40410177

2025

Absence of Rnf126 causes male infertility with multiple morphological abnormalities of the sperm flagella.

Applications

Unspecified application

Species

Unspecified reactive species

Shengnan Wang,Zihan Qin,Juan Liu,Jie Liu,Qiaohua Xiong,Zexiao Wei,Li Wang,Yuming Cao
View all publications

Product promise

We are committed to supporting your work with high-quality reagents, and we're here for you every step of the way. In the unlikely event that one of our products does not perform as expected, you're protected by our Product Promise.
For full details, please see our Terms & Conditions

Please note: All products are 'FOR RESEARCH USE ONLY. NOT FOR USE IN DIAGNOSTIC OR THERAPEUTIC PROCEDURES'.

For licensing inquiries, please contact partnerships@abcam.com