JavaScript is disabled in your browser. Please enable JavaScript to view this website.
AB324744

Anti-SCP1 antibody [EPR29778-50] - BSA and Azide free

Be the first to review this product! Submit a review

|

(0 Publication)

Rabbit Recombinant Monoclonal SCP1 antibody. Carrier free. Suitable for ICC/IF, IHC-P, WB and reacts with Mouse, Rat samples.

View Alternative Names

Scp1, Sycp1, Synaptonemal complex protein 1, SCP-1

10 Images
Immunocytochemistry/ Immunofluorescence - Anti-SCP1 antibody [EPR29778-50] - BSA and Azide free (AB324744)
  • ICC/IF

Supplier Data

Immunocytochemistry/ Immunofluorescence - Anti-SCP1 antibody [EPR29778-50] - BSA and Azide free (AB324744)

This data was developed using ab324729, the same antibody clone in a different buffer formulation.

Immunofluorescent analysis of 4% Paraformaldehyde-fixed, 0.1% TritonX-100 permeabilized Mouse splenocytes labelling SCP1 with ab324729 at 1/200 (2.45 ug/ml) dilution, followed by ab150081 Goat Anti-Rabbit IgG H&L (Alexa Fluor® 488) preadsorbed antibody at 1/1000 (2 ug/ml) dilution (Green).

Confocal image showing no staining in mouse splenocytes (shown in green). The counterstain was observed in magenta. Nuclear DNA was labelled with DAPI (shown in blue). Image was taken with a confocal microscope (Leica-Microsystems, TCS SP8).

ab7291 Anti-alpha Tubulin mouse monoclonal antibody was used to counterstain tubulin at 1/1000 (1 ug/ml) dilution, followed by ab150120 Goat Anti-Mouse IgG H&L (Alexa Fluor® 594) at 1/1000 (2 ug/ml) dilution (Magenta).

-ve control 1 : ab324729 at a 1/200 dilution followed by ab150120 at a 1/1000 dilution.

-ve control 2 : ab97672 at a 1/100 dilution followed by ab150081 at a 1/1000 dilution.

Immunocytochemistry/ Immunofluorescence - Anti-SCP1 antibody [EPR29778-50] - BSA and Azide free (AB324744)
  • ICC/IF

Supplier Data

Immunocytochemistry/ Immunofluorescence - Anti-SCP1 antibody [EPR29778-50] - BSA and Azide free (AB324744)

This data was developed using ab324729, the same antibody clone in a different buffer formulation.

Immunofluorescent analysis of 4% Paraformaldehyde-fixed, 0.1% TritonX-100 permeabilized Rat splenocytes labelling SCP1 with ab324729 at 1/200 (2.45 ug/ml) dilution, followed by ab150081 Goat Anti-Rabbit IgG H&L (Alexa Fluor® 488) preadsorbed antibody at 1/1000 (2 ug/ml) dilution (Green).

Confocal image showing no staining in rat splenocytes (shown in green). The counterstain was observed in magenta. Nuclear DNA was labelled with DAPI (shown in blue). Image was taken with a confocal microscope (Leica-Microsystems, TCS SP8).

ab7291 Anti-alpha Tubulin mouse monoclonal antibody was used to counterstain tubulin at 1/1000 (1 ug/ml) dilution, followed by ab150120 Goat Anti-Mouse IgG H&L (Alexa Fluor® 594) at 1/1000 (2 ug/ml) dilution (Magenta).

-ve control 1 : ab324729 at a 1/200 dilution followed by ab150120 at a 1/1000 dilution.

-ve control 2 : ab97672 at a 1/100 dilution followed by ab150081 at a 1/1000 dilution.

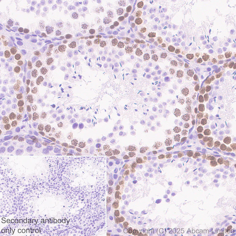
Immunohistochemistry (Formalin/PFA-fixed paraffin-embedded sections) - Anti-SCP1 antibody [EPR29778-50] - BSA and Azide free (AB324744)
  • IHC-P

Supplier Data

Immunohistochemistry (Formalin/PFA-fixed paraffin-embedded sections) - Anti-SCP1 antibody [EPR29778-50] - BSA and Azide free (AB324744)

This data was developed using ab324729, the same antibody clone in a different buffer formulation.

Immunohistochemical analysis of paraffin-embedded Rat testis tissue labeling SCP1 with ab324729 at 1/1000 (0.49 ug/ml) dilution, followed by a ready to use LeicaDS9800 (Bond™ Polymer Refine Detection).

Positive staining on rat testis. The primary antibody was incubated for 30 mins at room temperature.
The immunostaining was performed on a Leica Biosystems BOND® RX instrument

Counterstained with Hematoxylin.

Secondary antibody only control : Secondary antibody is a ready to use LeicaDS9800 (Bond™ Polymer Refine Detection).

Heat mediated antigen retrieval was performed with Tris-EDTA buffer (pH 9.0, Epitope Retrieval Solution2) for 20 mins

Immunocytochemistry/ Immunofluorescence - Anti-SCP1 antibody [EPR29778-50] - BSA and Azide free (AB324744)
  • ICC/IF

Supplier Data

Immunocytochemistry/ Immunofluorescence - Anti-SCP1 antibody [EPR29778-50] - BSA and Azide free (AB324744)

This data was developed using ab324729, the same antibody clone in a different buffer formulation.

Immunofluorescent analysis of 4% Paraformaldehyde-fixed, 0.1% TritonX-100 permeabilized Mouse spermatocytes labelling SCP1 with ab324729 at 1/200 (2.45 ug/ml) dilution, followed by ab150081 Goat Anti-Rabbit IgG H&L (Alexa Fluor® 488) preadsorbed antibody at 1/1000 (2 ug/ml) dilution (Green).

Confocal image showing chromosomal staining in mouse spermatocytes (shown in green). The counterstain was observed in magenta. Nuclear DNA was labelled with DAPI (shown in blue). Image was taken with a confocal microscope (Leica-Microsystems, TCS SP8).

ab97672 Anti-SCP3 mouse monoclonal antibody was used to counterstain tubulin at 1/100 (10 ug/ml) dilution, followed by ab150120 Goat Anti-Mouse IgG H&L (Alexa Fluor® 594) at 1/1000 (2 ug/ml) dilution (Magenta).

-ve control 1 : ab324729 at a 1/200 dilution followed by ab150120 at a 1/1000 dilution.

-ve control 2 : ab97672 at a 1/100 dilution followed by ab150081 at a 1/1000 dilution.

Immunocytochemistry/ Immunofluorescence - Anti-SCP1 antibody [EPR29778-50] - BSA and Azide free (AB324744)
  • ICC/IF

Supplier Data

Immunocytochemistry/ Immunofluorescence - Anti-SCP1 antibody [EPR29778-50] - BSA and Azide free (AB324744)

This data was developed using ab324729, the same antibody clone in a different buffer formulation.

Immunofluorescent analysis of 4% Paraformaldehyde-fixed, 0.1% TritonX-100 permeabilized Rat spermatocytes labelling SCP1 with ab324729 at 1/200 (2.45 ug/ml) dilution, followed by ab150081 Goat Anti-Rabbit IgG H&L (Alexa Fluor® 488) preadsorbed antibody at 1/1000 (2 ug/ml) dilution (Green).

Confocal image showing chromosomal staining in rat spermatocytes (shown in green). The counterstain was observed in magenta. Nuclear DNA was labelled with DAPI (shown in blue). Image was taken with a confocal microscope (Leica-Microsystems, TCS SP8).

ab97672 Anti-SCP3 mouse monoclonal antibody was used to counterstain tubulin at 1/100 (10 ug/ml) dilution, followed by ab150120 Goat Anti-Mouse IgG H&L (Alexa Fluor® 594) at 1/1000 (2 ug/ml) dilution (Magenta).

-ve control 1 : ab324729 at a 1/200 dilution followed by ab150120 at a 1/1000 dilution.

-ve control 2 : ab97672 at a 1/100 dilution followed by ab150081 at a 1/1000 dilution.

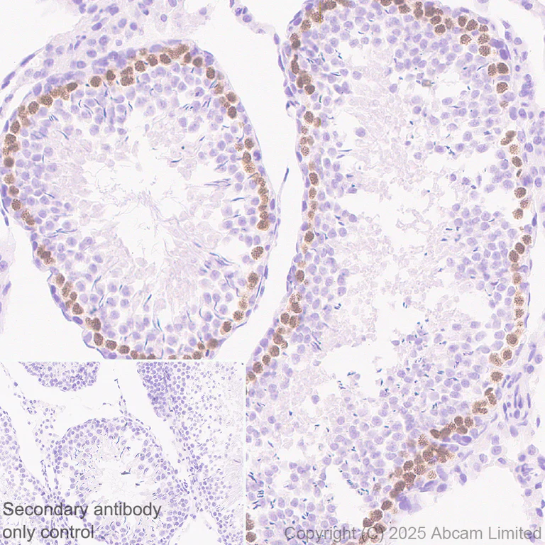
Immunohistochemistry (Formalin/PFA-fixed paraffin-embedded sections) - Anti-SCP1 antibody [EPR29778-50] - BSA and Azide free (AB324744)
  • IHC-P

Supplier Data

Immunohistochemistry (Formalin/PFA-fixed paraffin-embedded sections) - Anti-SCP1 antibody [EPR29778-50] - BSA and Azide free (AB324744)

This data was developed using ab324729, the same antibody clone in a different buffer formulation.

Immunohistochemical analysis of paraffin-embedded Mouse testis tissue labeling SCP1 with ab324729 at 1/1000 (0.49 ug/ml) dilution, followed by a ready to use LeicaDS9800 (Bond™ Polymer Refine Detection).

Positive staining on mouse testis. The primary antibody was incubated for 30 mins at room temperature.
The immunostaining was performed on a Leica Biosystems BOND® RX instrument

Counterstained with Hematoxylin.

Secondary antibody only control : Secondary antibody is a ready to use LeicaDS9800 (Bond™ Polymer Refine Detection).

Heat mediated antigen retrieval was performed with Tris-EDTA buffer (pH 9.0, Epitope Retrieval Solution2) for 20 mins

Western blot - Anti-SCP1 antibody [EPR29778-50] - BSA and Azide free (AB324744)
  • WB

Supplier Data

Western blot - Anti-SCP1 antibody [EPR29778-50] - BSA and Azide free (AB324744)

This data was developed using ab324729, the same antibody clone in a different buffer formulation.

Blocking and diluting buffer and concentration : 5% NFDM/TBST.

Negative control : spleen, heart, lung (PMID : 18425777).

In Western blot, Anti-GAPDH antibody [EPR16891] - Loading Control (ab181602) staining at 1/200000 dilution.

All lanes:

Western blot - Anti-SCP1 antibody [EPR29778-50] (<a href='/en-us/products/primary-antibodies/scp1-antibody-epr29778-50-ab324729'>ab324729</a>) at 1/1000 dilution

Lane 1:

Rat testis tissue lysate at 20 µg

Lane 2:

Rat heart tissue lysate at 20 µg

Lane 3:

Rat spleen tissue lysate at 20 µg

Lane 4:

Rat lung tissue lysate at 20 µg

Secondary

All lanes:

Western blot - Goat Anti-Rabbit IgG H&L (HRP) (<a href='/en-us/products/secondary-antibodies/goat-rabbit-igg-h-l-hrp-ab97051'>ab97051</a>) at 1/20000 dilution

Observed band size: 140 kDa,36 kDa

false

Exposure time: 15s

Western blot - Anti-SCP1 antibody [EPR29778-50] - BSA and Azide free (AB324744)
  • WB

Supplier Data

Western blot - Anti-SCP1 antibody [EPR29778-50] - BSA and Azide free (AB324744)

This data was developed using ab324729, the same antibody clone in a different buffer formulation.

Blocking and diluting buffer and concentration : 5% NFDM/TBST.

Negative control : spleen, heart, lung (PMID : 18425777).

In Western blot, Anti-GAPDH antibody [EPR16891] - Loading Control (ab181602) staining at 1/200000 dilution.

All lanes:

Western blot - Anti-SCP1 antibody [EPR29778-50] (<a href='/en-us/products/primary-antibodies/scp1-antibody-epr29778-50-ab324729'>ab324729</a>) at 1/1000 dilution

Lane 1:

Mouse testis tissue lysate at 20 µg

Lane 2:

Mouse spleen tissue lysate at 20 µg

Lane 3:

Mouse heart tissue lysate at 20 µg

Lane 4:

Mouse lung tissue lysate at 20 µg

Secondary

All lanes:

Western blot - Goat Anti-Rabbit IgG H&L (HRP) (<a href='/en-us/products/secondary-antibodies/goat-rabbit-igg-h-l-hrp-ab97051'>ab97051</a>) at 1/20000 dilution

Observed band size: 140 kDa,115 kDa,36 kDa

false

Exposure time: 26s

Immunohistochemistry (Formalin/PFA-fixed paraffin-embedded sections) - Anti-SCP1 antibody [EPR29778-50] - BSA and Azide free (AB324744)
  • IHC-P

Supplier Data

Immunohistochemistry (Formalin/PFA-fixed paraffin-embedded sections) - Anti-SCP1 antibody [EPR29778-50] - BSA and Azide free (AB324744)

This data was developed using ab324729, the same antibody clone in a different buffer formulation.

Immunohistochemical analysis of paraffin-embedded Mouse cardiac muscle tissue labeling SCP1 with ab324729 at 1/1000 (0.49 ug/ml) dilution, followed by a ready to use LeicaDS9800 (Bond™ Polymer Refine Detection).

Negative control : no staining on mouse cardiac muscle (PMID : 18425777). The primary antibody was incubated for 30 mins at room temperature.
The immunostaining was performed on a Leica Biosystems BOND® RX instrument

Counterstained with Hematoxylin.

Secondary antibody only control : Secondary antibody is a ready to use LeicaDS9800 (Bond™ Polymer Refine Detection).

Heat mediated antigen retrieval was performed with Tris-EDTA buffer (pH 9.0, Epitope Retrieval Solution2) for 20 mins

Immunohistochemistry (Formalin/PFA-fixed paraffin-embedded sections) - Anti-SCP1 antibody [EPR29778-50] - BSA and Azide free (AB324744)
  • IHC-P

Supplier Data

Immunohistochemistry (Formalin/PFA-fixed paraffin-embedded sections) - Anti-SCP1 antibody [EPR29778-50] - BSA and Azide free (AB324744)

This data was developed using ab324729, the same antibody clone in a different buffer formulation.

Immunohistochemical analysis of paraffin-embedded Rat cardiac muscle tissue labeling SCP1 with ab324729 at 1/1000 (0.49 ug/ml) dilution, followed by a ready to use LeicaDS9800 (Bond™ Polymer Refine Detection).

Negative control : no staining on rat cardiac muscle. The primary antibody was incubated for 30 mins at room temperature.
The immunostaining was performed on a Leica Biosystems BOND® RX instrument

Counterstained with Hematoxylin.

Secondary antibody only control : Secondary antibody is a ready to use LeicaDS9800 (Bond™ Polymer Refine Detection).

Heat mediated antigen retrieval was performed with Tris-EDTA buffer (pH 9.0, Epitope Retrieval Solution2) for 20 mins

Key facts

Host species

Rabbit

Clonality

Monoclonal

Clone number

EPR29778-50

Isotype

IgG

Carrier free

Yes

Reacts with

Mouse, Rat

Applications

WB, ICC/IF, IHC-P

applications

Immunogen

The exact immunogen used to generate this antibody is proprietary information.

Reactivity data

{ "title": "Reactivity Data", "filters": { "stats": ["", "Species", "Dilution Info", "Notes"], "tabs": { "all-applications": {"fullname" : "All Applications", "shortname": "All Applications"}, "ICCIF" : {"fullname" : "Immunocytochemistry/ Immunofluorescence", "shortname":"ICC/IF"}, "IHCP" : {"fullname" : "Immunohistochemistry (Formalin/PFA-fixed paraffin-embedded sections)", "shortname":"IHC-P"}, "WB" : {"fullname" : "Western blot", "shortname":"WB"} }, "product-promise": { "all": "all", "testedAndGuaranteed": "tested", "guaranteed": "expected", "predicted": "predicted", "notRecommended": "not-recommended" } }, "values": { "Human": { "ICCIF-species-checked": "notRecommended", "ICCIF-species-dilution-info": "", "ICCIF-species-notes": "", "IHCP-species-checked": "notRecommended", "IHCP-species-dilution-info": "", "IHCP-species-notes": "<p></p>", "WB-species-checked": "notRecommended", "WB-species-dilution-info": "", "WB-species-notes": "<p></p>" }, "Mouse": { "ICCIF-species-checked": "testedAndGuaranteed", "ICCIF-species-dilution-info": "", "ICCIF-species-notes": "<p></p>", "IHCP-species-checked": "testedAndGuaranteed", "IHCP-species-dilution-info": "", "IHCP-species-notes": "<p></p> Perform heat-mediated antigen retrieval with Tris/EDTA buffer pH 9.0 before commencing with IHC staining protocol.", "WB-species-checked": "testedAndGuaranteed", "WB-species-dilution-info": "", "WB-species-notes": "<p></p>" }, "Rat": { "ICCIF-species-checked": "testedAndGuaranteed", "ICCIF-species-dilution-info": "", "ICCIF-species-notes": "<p></p>", "IHCP-species-checked": "testedAndGuaranteed", "IHCP-species-dilution-info": "", "IHCP-species-notes": "<p></p> Perform heat-mediated antigen retrieval with Tris/EDTA buffer pH 9.0 before commencing with IHC staining protocol.", "WB-species-checked": "testedAndGuaranteed", "WB-species-dilution-info": "", "WB-species-notes": "<p></p>" } } }

Product details

ab324744 is the carrier-free version of ab324729.

Patented technology
Our RabMAb® technology is a patented hybridoma-based technology for making rabbit monoclonal antibodies. For details on our patents, please refer to RabMAb® patents.

What are the advantages of a recombinant monoclonal antibody?
This product is a recombinant monoclonal antibody, which offers several advantages including:

  • - High batch-to-batch consistency and reproducibility
  • - Improved sensitivity and specificity
  • - Long-term security of supply
  • - Animal-free batch production

For more information, read more on recombinant antibodies.

Conjugation ready
Our carrier-free antibodies are typically supplied in a PBS-only formulation, purified and free of BSA, sodium azide and glycerol. This conjugation-ready format is designed for use with fluorochromes, metal isotopes, oligonucleotides, and enzymes, which makes them ideal for antibody labelling, functional and cell-based assays, flow-based assays (e.g. mass cytometry) and Multiplex Imaging applications.

Use our conjugation kits for antibody conjugates that are ready-to-use in as little as 20 minutes with 1 minute hands-on-time and 100% antibody recovery: available for fluorescent dyes, HRP, biotin and gold.

Compatibility
This product is compatible with the Maxpar® Antibody Labeling Kit from Fluidigm, without the need for antibody preparation. Maxpar® is a trademark of Fluidigm Canada Inc.

Properties and storage information

Form
Liquid
Purification technique
Affinity purification Protein A
Storage buffer
pH: 7.2 - 7.4 Constituents: PBS
Shipped at conditions
Blue Ice
Appropriate short-term storage conditions
+4°C
Appropriate long-term storage conditions
+4°C

Product protocols

For this product, it's our understanding that no specific protocols are required. You can visit:

Target data

Major component of the transverse filaments of synaptonemal complexes, formed between homologous chromosomes during meiotic prophase (PubMed : 16717126). Required for normal assembly of the central element of the synaptonemal complexes (PubMed : 15937223). Required for normal centromere pairing during meiosis (PubMed : 22761579). Required for normal meiotic chromosome synapsis during oocyte and spermatocyte development and for normal male and female fertility (PubMed : 15937223).
See full target information Sycp1

Product promise

We are committed to supporting your work with high-quality reagents, and we're here for you every step of the way. In the unlikely event that one of our products does not perform as expected, you're protected by our Product Promise.
For full details, please see our Terms & Conditions

Please note: All products are 'FOR RESEARCH USE ONLY. NOT FOR USE IN DIAGNOSTIC OR THERAPEUTIC PROCEDURES'.

For licensing inquiries, please contact partnerships@abcam.com