JavaScript is disabled in your browser. Please enable JavaScript to view this website.
AB97672

Anti-SCP3 antibody [Cor 10G11/7]

5

(10 Reviews)

|

(219 Publications)

Anti-SCP3 antibody [Cor 10G11/7] (ab97672) is a mouse monoclonal antibody detecting SCP3 in Western Blot, IHC-P. Suitable for Mouse, Rat.

- Over 160 publications
- Trusted since 2010

View Alternative Names

Scp3, Sycp3, Synaptonemal complex protein 3, SCP-3

8 Images
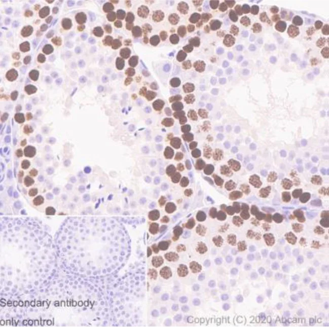
Immunohistochemistry (Formalin/PFA-fixed paraffin-embedded sections) - Anti-SCP3 antibody [Cor 10G11/7] (AB97672)
  • IHC-P

Lab

Immunohistochemistry (Formalin/PFA-fixed paraffin-embedded sections) - Anti-SCP3 antibody [Cor 10G11/7] (AB97672)

Immunohistochemical analysis of paraffin-embedded mouse testis tissue labeling SCP3 with ab97672 at 1/4000 dilution followed by Leica DS9800 (Bond™ Polymer Refine Detection). The section was incubated with ab97672 for 30 mins at room temperature and blocking mouse IgG by specific antibody (ab125913, 1 : 1000) for 8 mins. The immunostaining was performed on a Leica Biosystems BOND® RX instrument. Counterstained with hematoxylin.

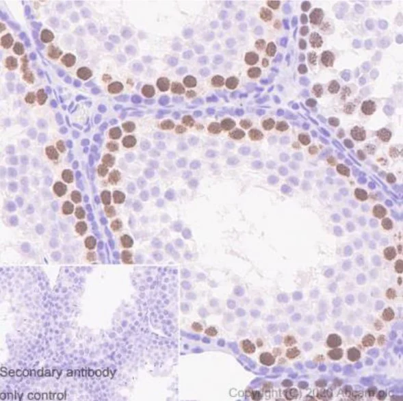
Immunohistochemistry (Formalin/PFA-fixed paraffin-embedded sections) - Anti-SCP3 antibody [Cor 10G11/7] (AB97672)
  • IHC-P

Lab

Immunohistochemistry (Formalin/PFA-fixed paraffin-embedded sections) - Anti-SCP3 antibody [Cor 10G11/7] (AB97672)

Immunohistochemical analysis of paraffin-embedded rat testis tissue labeling SCP3 with ab97672 at 1/4000 dilution followed by Leica DS9800 (Bond™ Polymer Refine Detection). The section was incubated with ab97672 for 30 mins at room temperature and blocking mouse IgG by specific antibody (ab125913, 1 : 1000) for 8 mins. The immunostaining was performed on a Leica Biosystems BOND® RX instrument. Counterstained with hematoxylin.

Immunohistochemistry (Formalin/PFA-fixed paraffin-embedded sections) - Anti-SCP3 antibody [Cor 10G11/7] (AB97672)
  • IHC-P

AbReview31982****

Immunohistochemistry (Formalin/PFA-fixed paraffin-embedded sections) - Anti-SCP3 antibody [Cor 10G11/7] (AB97672)

This image was generated from a previous batch made using the hybridoma production method.

IHC-P image of SCP3 staining with ab97672 on tissue sections from adult mouse testis.

The sections were subjected to heat-mediated antigen retrieval using Dako antigen retrieval solution. The sections were then blocked with 5% milk for 30 minutes at 25°C, before incubation with ab97672 (1/200 dilution) for 16 hours at 4°C. The secondary was an Alexa-Fluor®488 conjugated goat anti-mouse polyclonal, used at a 1/500 dilution.

This image is courtesy of an abreview by Zachary Yu-Ching Lin.

Immunocytochemistry/ Immunofluorescence - Anti-SCP3 antibody [Cor 10G11/7] (AB97672)
  • ICC/IF

Supplier Data

Immunocytochemistry/ Immunofluorescence - Anti-SCP3 antibody [Cor 10G11/7] (AB97672)

Immunofluorescent analysis of 4% Paraformaldehyde-fixed, 0.1% TritonX-100 permeabilized Mouse spermatocytes labelling SCP1 with ab324729 at 1/200 (2.45 ug/ml) dilution, followed by ab150081 Goat Anti-Rabbit IgG H&L (Alexa Fluor® 488) preadsorbed antibody at 1/1000 (2 ug/ml) dilution (Green).

Confocal image showing chromosomal staining in mouse spermatocytes (shown in green). The counterstain was observed in magenta. Nuclear DNA was labelled with DAPI (shown in blue). Image was taken with a confocal microscope (Leica-Microsystems, TCS SP8).

ab97672 Anti-SCP3 mouse monoclonal antibody was used to counterstain tubulin at 1/100 (10 ug/ml) dilution, followed by ab150120 Goat Anti-Mouse IgG H&L (Alexa Fluor® 594) at 1/1000 (2 ug/ml) dilution (Magenta).

-ve control 1 : ab324729 at a 1/200 dilution followed by ab150120 at a 1/1000 dilution.

-ve control 2 : ab97672 at a 1/100 dilution followed by ab150081 at a 1/1000 dilution.

Immunocytochemistry/ Immunofluorescence - Anti-SCP3 antibody [Cor 10G11/7] (AB97672)
  • ICC/IF

Supplier Data

Immunocytochemistry/ Immunofluorescence - Anti-SCP3 antibody [Cor 10G11/7] (AB97672)

Immunofluorescent analysis of 4% Paraformaldehyde-fixed, 0.1% TritonX-100 permeabilized Rat spermatocytes labelling SCP1 with ab324729 at 1/200 (2.45 ug/ml) dilution, followed by ab150081 Goat Anti-Rabbit IgG H&L (Alexa Fluor® 488) preadsorbed antibody at 1/1000 (2 ug/ml) dilution (Green).

Confocal image showing chromosomal staining in rat spermatocytes (shown in green). The counterstain was observed in magenta. Nuclear DNA was labelled with DAPI (shown in blue). Image was taken with a confocal microscope (Leica-Microsystems, TCS SP8).

ab97672 Anti-SCP3 mouse monoclonal antibody was used to counterstain tubulin at 1/100 (10 ug/ml) dilution, followed by ab150120 Goat Anti-Mouse IgG H&L (Alexa Fluor® 594) at 1/1000 (2 ug/ml) dilution (Magenta).

-ve control 1 : ab324729 at a 1/200 dilution followed by ab150120 at a 1/1000 dilution.

-ve control 2 : ab97672 at a 1/100 dilution followed by ab150081 at a 1/1000 dilution.

Immunohistochemistry (Formalin/PFA-fixed paraffin-embedded sections) - Anti-SCP3 antibody [Cor 10G11/7] (AB97672)
  • IHC-P

PubMed

Immunohistochemistry (Formalin/PFA-fixed paraffin-embedded sections) - Anti-SCP3 antibody [Cor 10G11/7] (AB97672)

This image was generated from a previous batch made using the hybridoma production method.

Localization of MAFB in adult mouse testis.

Double immunostaining of MAFB with SCP3 (ab97672 at a 1/400 dilution, O/N +4°C). Nuclei were counterstained with DAPI. The color of each marker is indicated above the images. All seminiferous tubules shown represent stage VII. US; undifferentiated spermatogonia. DS; differentiated spermatogonia. P; pachytene spermatocytes. Sp; spermatids. S; Sertoli cells. L; Leydig cells. MAFB was specifically detected in Leydig cells, Sertoli cells, and pachytene spermatocytes.

Shawki et al PLoS One. 2018 Jan 11;13(1):e0190800. doi: 10.1371/journal.pone.0190800. eCollection 2018. Fig 2. Reproduced under the Creative Commons license http://creativecommons.org/licenses/by/4.0/

Immunohistochemistry (Formalin/PFA-fixed paraffin-embedded sections) - Anti-SCP3 antibody [Cor 10G11/7] (AB97672)
  • IHC-P

AbReview35107****

Immunohistochemistry (Formalin/PFA-fixed paraffin-embedded sections) - Anti-SCP3 antibody [Cor 10G11/7] (AB97672)

This image was generated from a previous batch made using the hybridoma production method.

ab97672 staining SCP3 in mouse adult testis tissue sections by Immunohistochemistry (IHC-P - paraformaldehyde-fixed, paraffin-embedded sections).

Tissue was fixed with 4% paraformaldehyde and blocked with 5% BSA for 60 minutes at 25°C; antigen retrieval was by heat mediation in a 0.01M citrate buffer. Samples were incubated with primary antibody (1/200 in 1% BSA) for 1 hour at 22°C. A Biotin-conjugated Goat anti-mouse IgG polyclonal (1/200) was used as the secondary antibody.

This image is courtesy of an Abreview submitted by Qin Wen

Western blot - Anti-SCP3 antibody [Cor 10G11/7] (AB97672)
  • WB

Lab

Western blot - Anti-SCP3 antibody [Cor 10G11/7] (AB97672)

All lanes:

Western blot - Anti-SCP3 antibody [Cor 10G11/7] (ab97672) at 1/1000 dilution

Lane 1:

Rat testis tissue lysate at 20 µg

Lane 2:

Mouse testis tissue lysate at 20 µg

Observed band size: 27 kDa

true

Key facts

Host species

Mouse

Clonality

Monoclonal

Clone number

Cor 10G11/7

Isotype

IgG1

Light chain type

kappa

Carrier free

No

Reacts with

Mouse, Rat

Applications

IHC-P, WB

applications

Immunogen

The exact immunogen used to generate this antibody is proprietary information.

Reactivity data

{ "title": "Reactivity Data", "filters": { "stats": ["", "Species", "Dilution Info", "Notes"], "tabs": { "all-applications": {"fullname" : "All Applications", "shortname": "All Applications"}, "IHCP" : {"fullname" : "Immunohistochemistry (Formalin/PFA-fixed paraffin-embedded sections)", "shortname":"IHC-P"}, "WB" : {"fullname" : "Western blot", "shortname":"WB"} }, "product-promise": { "all": "all", "testedAndGuaranteed": "tested", "guaranteed": "expected", "predicted": "predicted", "notRecommended": "not-recommended" } }, "values": { "Mouse": { "IHCP-species-checked": "testedAndGuaranteed", "IHCP-species-dilution-info": "1/4000", "IHCP-species-notes": "<p></p>", "WB-species-checked": "testedAndGuaranteed", "WB-species-dilution-info": "1/1000", "WB-species-notes": "<p></p>" }, "Rat": { "IHCP-species-checked": "testedAndGuaranteed", "IHCP-species-dilution-info": "1/4000", "IHCP-species-notes": "<p></p>", "WB-species-checked": "testedAndGuaranteed", "WB-species-dilution-info": "1/1000", "WB-species-notes": "<p></p>" }, "Hamster": { "IHCP-species-checked": "predicted", "IHCP-species-dilution-info": "", "IHCP-species-notes": "", "WB-species-checked": "predicted", "WB-species-dilution-info": "", "WB-species-notes": "" }, "Zebrafish": { "IHCP-species-checked": "predicted", "IHCP-species-dilution-info": "", "IHCP-species-notes": "", "WB-species-checked": "predicted", "WB-species-dilution-info": "", "WB-species-notes": "" } } }

Product details

What is this antibody validated in?
Anti-SCP3 antibody [Cor 10G11/7] (ab97672) is a mouse recombinant monoclonal antibody and is validated for use in Western Blot (WB), Immunohistochemistry (IHC-P) in Mouse, Rat samples.

What is the molecular weight of SCP3?
Anti-SCP3 [Cor 10G11/7] (ab97672) specifically detects a band for SCP3 (UniProt: Q60547) at a molecular weight of 28kDa.

Trusted by the scientific community
Anti-SCP3 [Cor 10G11/7] (ab97672) was first used in a scientific publication in 2010 and has been cited over 160 times in peer-reviewed journals.

Reviewed by scientists
Anti-SCP3 [Cor 10G11/7] (ab97672) has over 5 independent reviews from customers.

Other related products
We have a range of other formats of antibody clone [Cor 10G11/7] also available for your convenience: ab97672, Alexa Fluor® 488 - ab205846, Carrier free - ab264093

Want a custom formulation?
This antibody clone is manufactured by Abcam. If you require a custom buffer formulation or conjugation for your experiments, please contact orders@abcam.com

What are the advantages of a recombinant monoclonal antibody?
This product is a recombinant monoclonal antibody, which offers several advantages including:

  • - High batch-to-batch consistency and reproducibility
  • - Improved sensitivity and specificity
  • - Long-term security of supply
  • - Animal-free batch production

For more information, read more on recombinant antibodies.

Properties and storage information

Form
Liquid
Purification technique
Affinity purification Protein A
Storage buffer
pH: 7.2 - 7.4 Preservative: 0.01% Sodium azide Constituents: PBS, 40% Glycerol (glycerin, glycerine), 0.05% BSA
Shipped at conditions
Blue Ice
Appropriate short-term storage duration
1-2 weeks
Appropriate short-term storage conditions
+4°C
Appropriate long-term storage conditions
-20°C
Aliquoting information
Upon delivery aliquot
Storage information
Avoid freeze / thaw cycle

Supplementary information

This supplementary information is collated from multiple sources and compiled automatically.

The SCP3 protein also known as Synaptonemal complex protein 3 and COR1 plays an important role in cell division. It is a component of the synaptonemal complex which is essential during meiosis for chromosome pairing and recombination. SCP3 has a molecular mass of approximately 30 kDa. Researchers observe its expression in germline cells where it facilitates the accurate segregation of homologous chromosomes during the prophase I stage of meiosis.
Biological function summary

SCP3 serves an important function in organizing the scaffold of the synaptonemal complex a highly organized proteinaceous framework. This structure helps in stabilizing the pairing of homologous chromosomes and promoting synapsis. SCP3 does not work alone; it operates as part of a larger complex with other synaptonemal complex components including SCP1 and SCP2. This coordination ensures the successful exchange of genetic material between chromosomes enhancing genetic diversity in gametes.

Pathways

SCP3 integrates into the meiotic recombination process essential for gametogenesis. It aligns with the DNA repair pathway significantly impacting homologous recombination. Proteins like RAD51 and DMC1 are part of these pathways interacting indirectly with SCP3 to facilitate recombination repair processes. SCP3's role helps maintain genome integrity by ensuring faithful chromosome segregation which is critical in producing viable gametes.

SCP3 implicates reproductive issues and genetic schizophrenia predispositions. Abnormal or disrupted function of SCP3 often leads to infertility due to failed meiosis impacting gamete viability. This malfunction may associate with proteins like SPO11 which initiates meiotic recombination. Alterations in SCP3's function or expression have been studied for their potential connections to schizophrenia suggesting a role in neurological development related to errors during meiosis.

Product protocols

For this product, it's our understanding that no specific protocols are required. You can visit:

Target data

Component of the synaptonemal complexes (SCS), formed between homologous chromosomes during meiotic prophase (PubMed : 11311943, PubMed : 22761579). Required for centromere pairing during meiosis in male germ cells (PubMed : 22761579). Required for normal meiosis during spermatogenesis and male fertility (PubMed : 10678170). Plays a lesser role in female fertility (PubMed : 10678170, PubMed : 12004129). Required for efficient phosphorylation of HORMAD1 and HORMAD2 (PubMed : 22346761).
See full target information Sycp3

Publications (219)

Recent publications for all applications. Explore the full list and refine your search

Zoological research 46:1079-1092 PubMed40923305

2025

Testis-specific protein HSF5 is essential for proper chromatin organization and transcriptional reprogramming to drive pachynema progression.

Applications

Unspecified application

Species

Unspecified reactive species

Chun-Hai Luo,Zhi-Wei Fan,Zi-Qi Yu,Da-Lin Liu,Hao-Ran Xu,Shu-Min Zhou,Xuan-Jing Zhu,Han-Chao Liu,Li-Fu Shao,Zhe-An Li,Chong Xie,Jun-Feng Zhan,Fei Sun

Cell death and differentiation : PubMed40866672

2025

Large-scale transcriptomic analyses reveal downstream target genes of ZFY1 and ZFY2 transcription factors in male germ cells.

Applications

Unspecified application

Species

Unspecified reactive species

Hayden Holmlund,Manon Coulée,Yasuhiro Yamauchi,Benazir Yarbabaeva,Muhammetnur Tekayev,Isabella R Garcia,Olivier U Feudjio,Alberto de la Iglesia,Lee Larcombe,Peter J I Ellis,Julie Cocquet,Monika A Ward

Endocrinology 166: PubMed40605617

2025

NEDD4 Promotes Sertoli Cell Proliferation and Adult Leydig Cell Differentiation in the Murine Testis.

Applications

Unspecified application

Species

Unspecified reactive species

Simon Peter Windley,Yasmine Neirijnck,Diana Vidovic,Quenten Schwarz,Sharad Kumar,Serge Nef,Dagmar Wilhelm

Methods in molecular biology (Clifton, N.J.) 2954:3-26 PubMed40601267

2025

Profiling Histone Modifications in Differentiating Mouse Spermatogonia with CUT&Tag.

Applications

Unspecified application

Species

Unspecified reactive species

Benjamin William Walters,Haoming Yu,Shubhangini Kataruka,Bluma J Lesch

Acta biochimica et biophysica Sinica : PubMed40462670

2025

A visualized and quercetin-optimized three-dimensional culture model of mouse ovaries derived from fetal gonads.

Applications

Unspecified application

Species

Unspecified reactive species

Manman Cui,Ziye Zheng,Shiyu Bai,Zhaoxiang Ouyang,Jun Chen,Xinyan Yang,Cong Wan,Yi Zheng,Jiexiang Zhao,Gang Chang,Xiao-Yang Zhao

Communications biology 8:849 PubMed40461746

2025

Spatiotemporal and single-cell atlases to dissect regional specific cell types of the developing ovary.

Applications

Unspecified application

Species

Unspecified reactive species

Zheng-Hui Zhao,Tie-Gang Meng,Xue-Ying Chen,Fei Gao,Heide Schatten,Xiang-Hong Ou,Qing-Yuan Sun

Cell death discovery 11:251 PubMed40410177

2025

Absence of Rnf126 causes male infertility with multiple morphological abnormalities of the sperm flagella.

Applications

Unspecified application

Species

Unspecified reactive species

Shengnan Wang,Zihan Qin,Juan Liu,Jie Liu,Qiaohua Xiong,Zexiao Wei,Li Wang,Yuming Cao

Cell death discovery 11:113 PubMed40118815

2025

Diazinon induces testicular dysfunction and testicular cell damage through increased reactive oxygen species production in mouse.

Applications

Unspecified application

Species

Unspecified reactive species

Ran Lee,Won-Young Lee,Dong-Wook Kim,Hyun-Jung Park

Nature communications 16:2605 PubMed40097464

2025

The nuclear exosome co-factor MTR4 shapes the transcriptome for meiotic initiation.

Applications

Unspecified application

Species

Unspecified reactive species

Li Zhang,Jianshu Wang,Zhidong Tang,Zhen Lin,Ruibao Su,Naijing Hu,Yao Tang,Gaoxiang Ge,Jing Fan,Ming-Han Tong,Yuanchao Xue,Yu Zhou,Hong Cheng

Nature structural & molecular biology 32:1213-1226 PubMed40033150

2025

ZBTB16/PLZF regulates juvenile spermatogonial stem cell development through an extensive transcription factor poising network.

Applications

Unspecified application

Species

Unspecified reactive species

Chongil Yi,Yuka Kitamura,So Maezawa,Satoshi H Namekawa,Bradley R Cairns
View all publications

Product promise

We are committed to supporting your work with high-quality reagents, and we're here for you every step of the way. In the unlikely event that one of our products does not perform as expected, you're protected by our Product Promise.
For full details, please see our Terms & Conditions

Please note: All products are 'FOR RESEARCH USE ONLY. NOT FOR USE IN DIAGNOSTIC OR THERAPEUTIC PROCEDURES'.

For licensing inquiries, please contact partnerships@abcam.com